JavaScript is disabled in your browser. Please enable JavaScript to view this website.
AB45142

Anti-SHIP-1 antibody [EP378Y]

Be the first to review this product! Submit a review

|

(8 Publications)

Rabbit Recombinant Monoclonal SHIP-1 antibody. Suitable for IHC-P, IP, WB, ICC/IF, Flow Cyt (Intra) and reacts with Mouse, Human samples. Cited in 8 publications.

View Alternative Names

SHIP, SHIP1, INPP5D, Inositol polyphosphate-5-phosphatase D, Inositol polyphosphate-5-phosphatase of 145 kDa, SH2 domain-containing inositol 5'-phosphatase 1, p150Ship, SIP-145, SH2 domain-containing inositol phosphatase 1, SHIP-1, hp51CN

12 Images
Immunocytochemistry/ Immunofluorescence - Anti-SHIP-1 antibody [EP378Y] (AB45142)
  • ICC/IF

Lab

Immunocytochemistry/ Immunofluorescence - Anti-SHIP-1 antibody [EP378Y] (AB45142)

Immunocytochemistry/Immunofluorescence analysis of Raji cells labelling SHIP-1 with purified ab45142 at 1/150. Cells were fixed with 4% paraformaldehyde and permeabilized with 0.1% Triton X-100. ab150077 an Alexa Fluor® 488-conjugated goat anti-rabbit IgG (1/500) was used as the secondary antibody. DAPI (blue) was used as the nuclear counterstain. ab7291 a mouse anti-tubulin (1/1000) and ab150120 an Alexa Fluor® 594-conjugated goat anti-mouse IgG (1/500) were also used.

Control 1 : primary antibody (1/150) and secondary antibody ab150120 an Alexa Fluor® 594-conjugated goat anti-mouse IgG (1/500).

Control 2 : ab7291 (1/1000) and secondary antibody ab150077 an Alexa Fluor® 488-conjugated goat anti-rabbit IgG (1/500).

Flow Cytometry (Intracellular) - Anti-SHIP-1 antibody [EP378Y] (AB45142)
  • Flow Cyt (Intra)

Unknown

Flow Cytometry (Intracellular) - Anti-SHIP-1 antibody [EP378Y] (AB45142)

Intracellular Flow Cytometry analysis of Raji cells labelling SHIP-1 with purified ab45142 at 1/50 (red). Cells were fixed with 2% paraformaldehyde. A FITC-conjugated goat anti-rabbit IgG (1/150) was used as the secondary antibody. Black - Isotype control, rabbit monoclonal IgG. Blue - Unlabelled control, cells without incubation with primary and secondary antibodies.

Immunocytochemistry/ Immunofluorescence - Anti-SHIP-1 antibody [EP378Y] (AB45142)
  • ICC/IF

Unknown

Immunocytochemistry/ Immunofluorescence - Anti-SHIP-1 antibody [EP378Y] (AB45142)

Immunocytochemistry/Immunofluorescence analysis of Jurkat cells labelling SHIP-1 with purified ab45142 at 1/150. Cells were fixed with 4% paraformaldehyde and permeabilized with 0.1% Triton X-100. ab150077 an Alexa Fluor® 488-conjugated goat anti-rabbit IgG (1/500) was used as the secondary antibody. DAPI (blue) was used as the nuclear counterstain. ab7291 a mouse anti-tubulin (1/1000) and ab150120 an Alexa Fluor® 594-conjugated goat anti-mouse IgG (1/500) were also used.

Control 1 : primary antibody (1/150) and secondary antibody ab150120 an Alexa Fluor® 594-conjugated goat anti-mouse IgG (1/500).

Control 2 : ab7291 (1/1000) and secondary antibody ab150077 an Alexa Fluor® 488-conjugated goat anti-rabbit IgG (1/500).

Flow Cytometry (Intracellular) - Anti-SHIP-1 antibody [EP378Y] (AB45142)
  • Flow Cyt (Intra)

Lab

Flow Cytometry (Intracellular) - Anti-SHIP-1 antibody [EP378Y] (AB45142)

Flow cytometry overlay histogram showing left Raji positive cells and right negative MCF7 stained with ab45142 (red line). The cells were fixed with 80% methanol (5 min) and then permeabilised with 0.1% PBS-Triton X-100 for 15 min. The cells were then incubated in 1x PBS containing 10μg/ml human IgG and 10% normal goat serum to block FC receptors and non-specific protein-protein interaction followed by the antibody (ab45142) (1x 106 in 100μl at 0.008μg/ml (1/275000)) for 30min at 22°C.

The secondary antibody Goat Anti-Rabbit IgG H&L (Alexa Fluor® 488) preadsorbed was incubated at 1/4000 for 30min at 22°C

Isotype control antibody (black line) was Recombinant Rabbit IgG, monoclonal [EPR25A] - Isotype Control used at the same concentration and conditions as the primary antibody. Unlabelled sample (blue line) was also used as a control.

Acquisition of >5000 events were collected using a 50 mW Blue laser (488nm) and 525/40 bandpass filter.

Immunohistochemistry (Formalin/PFA-fixed paraffin-embedded sections) - Anti-SHIP-1 antibody [EP378Y] (AB45142)
  • IHC-P

Lab

Immunohistochemistry (Formalin/PFA-fixed paraffin-embedded sections) - Anti-SHIP-1 antibody [EP378Y] (AB45142)

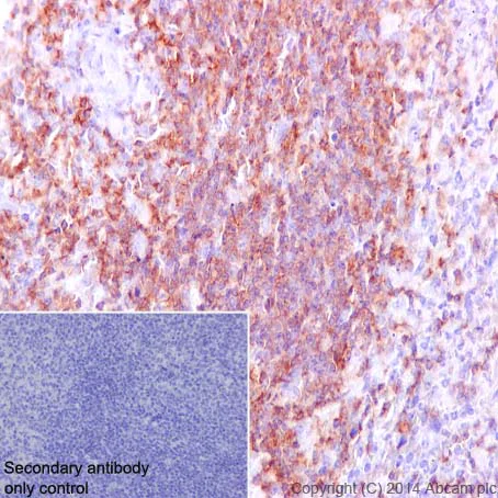
Immunohistochemistry (Formalin/PFA-fixed paraffin-embedded sections) analysis of human spleen tissue labelling SHIP-1 with purified ab45142 at 1/500. Heat mediated antigen retrieval was performed using Tris/EDTA buffer pH 9. ab97051 a HRP-conjugated goat anti-rabbit IgG (H+L) was used as the secondary antibody (1/500). Negative control using PBS instead of primary antibody. Counterstained with hematoxylin.

Immunohistochemistry (Formalin/PFA-fixed paraffin-embedded sections) - Anti-SHIP-1 antibody [EP378Y] (AB45142)
  • IHC-P

Unknown

Immunohistochemistry (Formalin/PFA-fixed paraffin-embedded sections) - Anti-SHIP-1 antibody [EP378Y] (AB45142)

Immunohistochemistry (Formalin/PFA-fixed paraffin-embedded sections) analysis of human spleen tissue labelling SHIP-1 with unpurified ab45142 at a dilution of 1/100.

Perform heat mediated antigen retrieval before commencing with IHC staining protocol.

Immunohistochemistry (Formalin/PFA-fixed paraffin-embedded sections) - Anti-SHIP-1 antibody [EP378Y] (AB45142)
  • IHC-P

Lab

Immunohistochemistry (Formalin/PFA-fixed paraffin-embedded sections) - Anti-SHIP-1 antibody [EP378Y] (AB45142)

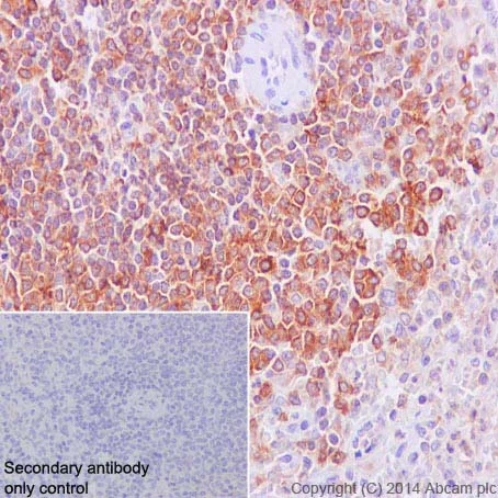
Immunohistochemistry (Formalin/PFA-fixed paraffin-embedded sections) analysis of mouse spleen tissue labelling SHIP-1 with purified ab45142 at 1/500. Heat mediated antigen retrieval was performed using Tris/EDTA buffer pH 9. ab97051 a HRP-conjugated goat anti-rabbit IgG (H+L) was used as the secondary antibody (1/500). Negative control using PBS instead of primary antibody. Counterstained with hematoxylin.

Western blot - Anti-SHIP-1 antibody [EP378Y] (AB45142)
  • WB

Lab

Western blot - Anti-SHIP-1 antibody [EP378Y] (AB45142)

ab45142 was shown to react with INPP5D in wild-type iPSC-derived microglia cells in Western blot with loss of signal observed in a INPP5D knockout cell line. Wild-type iPSC-derived microglia and INPP5D knockout cell lysates were subjected to SDS-PAGE. Membranes were blocked in 5% milk in TBST for 1 hr before incubation with ab45142 overnight at 4 °C at a 1/500 dilution. Blots were incubated with secondary antibodies at 0.2 µg/mL before imaging.

These data were provided by YCharOS Inc., an open science company with the mission of characterizing commercially available antibody reagents for all human proteins. Abcam and YCharOS are working together to help address the reproducibility crisis by enabling the life science community to better evaluate commercially available antibodies.

All lanes:

Western blot - Anti-SHIP-1 antibody [EP378Y] (ab45142) at 1/500 dilution

Lane 1:

Wild-type iPSC-derived microglia lysate at 10 µg

Lane 2:

INPP5D knock-out iPSC-derived microglia lysate at 10 µg

false

Immunoprecipitation - Anti-SHIP-1 antibody [EP378Y] (AB45142)
  • IP

Lab

Immunoprecipitation - Anti-SHIP-1 antibody [EP378Y] (AB45142)

ab45142 (purified) at 1/20 immunoprecipitating SHIP-1 in Daudi whole cell lysate.

Lane 1 (input) : Daudi whole cell lysate (10μg)

Lane 2 (+) : ab45142 + Daudi whole cell lysate (10μg).

Lane 3 (-) : Rabbit monoclonal IgG (ab172730) instead of ab45142 in Daudi whole cell lysate.

For western blotting, a HRP-conjugated anti-rabbit IgG, specific to the non-reduced form of IgG was used as the secondary antibody (1/1500).

Blocking buffer and concentration : 5% NFDM/TBST.

Diluting buffer and concentration : 5% NFDM /TBST.

All lanes:

Immunoprecipitation - Anti-SHIP-1 antibody [EP378Y] (ab45142)

Predicted band size: 133 kDa

Observed band size: 140 kDa

false

Western blot - Anti-SHIP-1 antibody [EP378Y] (AB45142)
  • WB

Unknown

Western blot - Anti-SHIP-1 antibody [EP378Y] (AB45142)

All lanes:

Western blot - Anti-SHIP-1 antibody [EP378Y] (ab45142) at 1/50000 dilution

All lanes:

Daudi cell lysate at 10 µg

Secondary

All lanes:

HRP-conjugated goat anti-rabbit IgG at 1/2000 dilution

Predicted band size: 133 kDa

Observed band size: 140 kDa

false

Western blot - Anti-SHIP-1 antibody [EP378Y] (AB45142)
  • WB

Lab

Western blot - Anti-SHIP-1 antibody [EP378Y] (AB45142)

Blocking and dilution buffer : 5% NFDM/TBST.

All lanes:

Western blot - Anti-SHIP-1 antibody [EP378Y] (ab45142) at 1/1000 dilution

All lanes:

KM3 cell lysate at 20 µg

Secondary

All lanes:

Peroxidase-conjugated goat anti-rabbit IgG, (H+L) at 1/1000 dilution

Predicted band size: 133 kDa

Observed band size: 140 kDa

false

Western blot - Anti-SHIP-1 antibody [EP378Y] (AB45142)
  • WB

Lab

Western blot - Anti-SHIP-1 antibody [EP378Y] (AB45142)

Blocking and dilution buffer : 5% NFDM/TBST.

All lanes:

Western blot - Anti-SHIP-1 antibody [EP378Y] (ab45142) at 1/5000 dilution

Lane 1:

Daudi cell lysate at 20 µg

Lane 2:

Ramos cell lysate at 20 µg

Secondary

All lanes:

Peroxidase-conjugated goat anti-rabbit IgG, (H+L) at 1/1000 dilution

Predicted band size: 133 kDa

Observed band size: 140 kDa

false

Key facts

Host species

Rabbit

Clonality

Monoclonal

Clone number

EP378Y

Isotype

IgG

Carrier free

No

Reacts with

Mouse, Human

Applications

Flow Cyt (Intra), IHC-P, IP, WB, ICC/IF

applications

Immunogen

The exact immunogen used to generate this antibody is proprietary information.

Reactivity data

{ "title": "Reactivity Data", "filters": { "stats": ["", "Species", "Dilution Info", "Notes"], "tabs": { "all-applications": {"fullname" : "All Applications", "shortname": "All Applications"}, "IHCP" : {"fullname" : "Immunohistochemistry (Formalin/PFA-fixed paraffin-embedded sections)", "shortname":"IHC-P"}, "IP" : {"fullname" : "Immunoprecipitation", "shortname":"IP"}, "WB" : {"fullname" : "Western blot", "shortname":"WB"}, "ICCIF" : {"fullname" : "Immunocytochemistry/ Immunofluorescence", "shortname":"ICC/IF"}, "FlowCytIntra" : {"fullname" : "Flow Cytometry (Intracellular)", "shortname":"Flow Cyt (Intra)"} }, "product-promise": { "all": "all", "testedAndGuaranteed": "tested", "guaranteed": "expected", "predicted": "predicted", "notRecommended": "not-recommended" } }, "values": { "Human": { "IHCP-species-checked": "testedAndGuaranteed", "IHCP-species-dilution-info": "1/100 - 1/500", "IHCP-species-notes": "<p></p>", "IP-species-checked": "testedAndGuaranteed", "IP-species-dilution-info": "1/20 - 1/50", "IP-species-notes": "<p></p>", "WB-species-checked": "testedAndGuaranteed", "WB-species-dilution-info": "1/1000", "WB-species-notes": "<p><strong>For unpurified use at 1/50000.</strong></p>", "ICCIF-species-checked": "testedAndGuaranteed", "ICCIF-species-dilution-info": "1/150", "ICCIF-species-notes": "<p></p>", "FlowCytIntra-species-checked": "testedAndGuaranteed", "FlowCytIntra-species-dilution-info": "1/20 - 1/50", "FlowCytIntra-species-notes": "<p><a href='/en-us/products/primary-antibodies/rabbit-igg-monoclonal-epr25a-isotype-control-ab172730'>ab172730</a> - Rabbit monoclonal IgG, is suitable for use as an isotype control with this antibody.</p>" }, "Mouse": { "IHCP-species-checked": "testedAndGuaranteed", "IHCP-species-dilution-info": "1/100 - 1/500", "IHCP-species-notes": "<p></p>", "IP-species-checked": "guaranteed", "IP-species-dilution-info": "", "IP-species-notes": "", "WB-species-checked": "guaranteed", "WB-species-dilution-info": "", "WB-species-notes": "", "ICCIF-species-checked": "guaranteed", "ICCIF-species-dilution-info": "", "ICCIF-species-notes": "", "FlowCytIntra-species-checked": "guaranteed", "FlowCytIntra-species-dilution-info": "", "FlowCytIntra-species-notes": "" } } }

Product details

Patented technology
Our RabMAb® technology is a patented hybridoma-based technology for making rabbit monoclonal antibodies. For details on our patents, please refer to RabMAb® patents.

What are the advantages of a recombinant monoclonal antibody?
This product is a recombinant monoclonal antibody, which offers several advantages including:

  • - High batch-to-batch consistency and reproducibility
  • - Improved sensitivity and specificity
  • - Long-term security of supply
  • - Animal-free batch production

For more information, read more on recombinant antibodies.

Species reactivity
Rat: We have preliminary internal testing data to indicate this antibody may not react with this species.
Please contact us for more information.

Properties and storage information

Form
Liquid
Purification technique
Affinity purification Protein A
Storage buffer
pH: 7.2 - 7.4 Preservative: 0.01% Sodium azide Constituents: PBS, 40% Glycerol (glycerin, glycerine), 0.05% BSA
Shipped at conditions
Blue Ice
Appropriate short-term storage duration
1-2 weeks
Appropriate short-term storage conditions
+4°C
Appropriate long-term storage conditions
-20°C
Aliquoting information
Upon delivery aliquot
Storage information
Avoid freeze / thaw cycle

Supplementary information

This supplementary information is collated from multiple sources and compiled automatically.

SHIP-1 also known as SHIP or INPP5D is a protein with a molecular mass of approximately 145 kDa. It functions as an inositol polyphosphate-5-phosphatase. This enzyme specifically hydrolyzes the 5’ phosphate from phosphatidylinositol-345-trisphosphate (PIP3) converting it to phosphatidylinositol-34-bisphosphate (PI(34)P2). SHIP-1 is mainly expressed in hematopoietic cells including those of the immune system like B cells T cells and myeloid cells.
Biological function summary

SHIP-1 plays significant roles in regulating immune cell signaling. It partakes in control over cell growth apoptosis and cellular responses to external signals. SHIP-1 influences the balance between cell survival and programmed cell death by modulating the PI3K signaling pathway which is pivotal for lymphocyte activation and immune functions. SHIP-1 can operate independently or as part of larger signaling complexes with other molecules to ensure immune cells respond appropriately to stimuli.

Pathways

SHIP-1 plays an integral role in the phosphoinositide signaling pathway and is linked to the PI3K-Akt pathway. It acts as an important regulatory node by limiting the accumulation of PIP3 a necessary component for Akt activation. This regulation allows for controlled signal propagation that influences immune cell activity and development. SHIP-1 also interfaces with proteins like PTEN and SHP-1 which similarly modulate downstream signaling events within these pathways ensuring the maintenance of immune equilibrium.

SHIP-1 is associated with conditions like leukemia and autoimmune diseases. Alterations or deficiencies in SHIP-1 function can lead to abnormal immune responses or uncontrolled cell proliferation. For instance its reduced activity has connections to leukemia where there is excessive cell growth due to unchecked PI3K signaling. Moreover SHIP-1 is associated with autoimmune disorders through interactions with other signaling proteins that might affect the intensity and duration of immune responses highlighting its role in maintaining immune tolerance and preventing self-reactivity.

Product protocols

For this product, it's our understanding that no specific protocols are required. You can visit:

Target data

Phosphatidylinositol (PtdIns) phosphatase that specifically hydrolyzes the 5-phosphate of phosphatidylinositol-3,4,5-trisphosphate (PtdIns(3,4,5)P3) to produce PtdIns(3,4)P2, thereby negatively regulating the PI3K (phosphoinositide 3-kinase) pathways (PubMed : 10764818, PubMed : 8723348, PubMed : 8769125). Able also to hydrolyzes the 5-phosphate of phosphatidylinositol-4,5-bisphosphate (PtdIns(4,5)P3) and inositol 1,3,4,5-tetrakisphosphate (PubMed : 10764818, PubMed : 8769125, PubMed : 9108392). Acts as a negative regulator of B-cell antigen receptor signaling. Mediates signaling from the FC-gamma-RIIB receptor (FCGR2B), playing a central role in terminating signal transduction from activating immune/hematopoietic cell receptor systems. Acts as a negative regulator of myeloid cell proliferation/survival and chemotaxis, mast cell degranulation, immune cells homeostasis, integrin alpha-IIb/beta-3 signaling in platelets and JNK signaling in B-cells. Regulates proliferation of osteoclast precursors, macrophage programming, phagocytosis and activation and is required for endotoxin tolerance. Involved in the control of cell-cell junctions, CD32a signaling in neutrophils and modulation of EGF-induced phospholipase C activity (PubMed : 16682172). Key regulator of neutrophil migration, by governing the formation of the leading edge and polarization required for chemotaxis. Modulates FCGR3/CD16-mediated cytotoxicity in NK cells. Mediates the activin/TGF-beta-induced apoptosis through its Smad-dependent expression.
See full target information INPP5D

Publications (8)

Recent publications for all applications. Explore the full list and refine your search

Nature communications 14:7552 PubMed38016942

2023

INPP5D regulates inflammasome activation in human microglia.

Applications

Unspecified application

Species

Unspecified reactive species

Vicky Chou,Richard V Pearse,Aimee J Aylward,Nancy Ashour,Mariko Taga,Gizem Terzioglu,Masashi Fujita,Seeley B Fancher,Alina Sigalov,Courtney R Benoit,Hyo Lee,Matti Lam,Nicholas T Seyfried,David A Bennett,Philip L De Jager,Vilas Menon,Tracy L Young-Pearse

Journal of viral hepatitis 30:417-426 PubMed36704832

2023

MiR-155 regulates M2 polarization of hepatitis B virus-infected tumour-associated macrophages which in turn regulates the malignant progression of hepatocellular carcinoma.

Applications

Unspecified application

Species

Unspecified reactive species

Yingming Fei,Zhiwei Wang,Minmin Huang,Xinjuan Wu,Fangqin Hu,Jinlong Zhu,Youlin Yu,Huajiang Shen,Yong Wu,Guilin Xie,Zumo Zhou

Journal of cellular physiology 236:5994-6010 PubMed33481268

2021

Hydrogen sulfide and mesenchymal stem cells-extracted microvesicles attenuate LPS-induced Alzheimer's disease.

Applications

Unspecified application

Species

Unspecified reactive species

Basma E Aboulhoda,Laila A Rashed,Hoda Ahmed,Eman M M Obaya,Walaa Ibrahim,Marwa A L Alkafass,Sarah A Abd El-Aal,Asmaa M ShamsEldeen

International journal of molecular medicine 46:1409-1422 PubMed32945349

2020

Overexpression of FcγRIIB regulates downstream protein phosphorylation and suppresses B cell activation to ameliorate systemic lupus erythematosus.

Applications

Unspecified application

Species

Unspecified reactive species

Linlin Sheng,Xiuqin Cao,Shuhong Chi,Jing Wu,Huihui Xing,Huiyu Liu,Zhiwei Yang

International journal of molecular sciences 21: PubMed32210104

2020

Fli-1 Activation through Targeted Promoter Activity Regulation Using a Novel 3', 5'-diprenylated Chalcone Inhibits Growth and Metastasis of Prostate Cancer Cells.

Applications

Unspecified application

Species

Unspecified reactive species

Youfen Ma,Bixue Xu,Jia Yu,Lirong Huang,Xiaoping Zeng,Xiangchun Shen,Chunyan Ren,Yaacov Ben-David,Heng Luo

Molecular medicine reports 17:6002-6008 PubMed29436643

2018

Neuroprotective effect of lurasidone via antagonist activities on histamine in a rat model of cranial nerve involvement.

Applications

Unspecified application

Species

Unspecified reactive species

Baoming He,Liang Yu,Suping Li,Fei Xu,Lili Yang,Shuai Ma,Yi Guo

Nature immunology 13:369-78 PubMed22366891

2012

The kinase Btk negatively regulates the production of reactive oxygen species and stimulation-induced apoptosis in human neutrophils.

Applications

Unspecified application

Species

Unspecified reactive species

Fumiko Honda,Hirotsugu Kano,Hirokazu Kanegane,Shigeaki Nonoyama,Eun-Sung Kim,Sang-Kyou Lee,Masatoshi Takagi,Shuki Mizutani,Tomohiro Morio

Journal of virology 85:7402-10 PubMed21543482

2011

The host phosphoinositide 5-phosphatase SHIP2 regulates dissemination of vaccinia virus.

Applications

WB

Species

Unspecified reactive species

Shannon McNulty,Kimberly Powell,Christophe Erneux,Daniel Kalman
View all publications

Product promise

We are committed to supporting your work with high-quality reagents, and we're here for you every step of the way. In the unlikely event that one of our products does not perform as expected, you're protected by our Product Promise.
For full details, please see our Terms & Conditions

Please note: All products are 'FOR RESEARCH USE ONLY. NOT FOR USE IN DIAGNOSTIC OR THERAPEUTIC PROCEDURES'.

For licensing inquiries, please contact partnerships@abcam.com