JavaScript is disabled in your browser. Please enable JavaScript to view this website.
AB69920

Anti-SHK antibody

Be the first to review this product! Submit a review

|

(3 Publications)

Rabbit Polyclonal SHK antibody. Suitable for WB, IHC-P and reacts with Human samples. Cited in 3 publications. Immunogen corresponding to Synthetic Peptide within Human SHPK.

View Alternative Names

CARKL, SHPK, Sedoheptulokinase, SHK, Carbohydrate kinase-like protein

2 Images
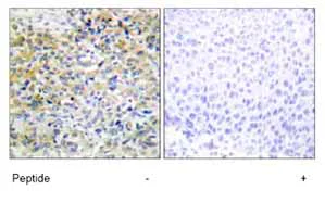
Immunohistochemistry (Formalin/PFA-fixed paraffin-embedded sections) - Anti-SHK antibody (AB69920)
  • IHC-P

Unknown

Immunohistochemistry (Formalin/PFA-fixed paraffin-embedded sections) - Anti-SHK antibody (AB69920)

Immunohistochemistry analysis of paraffin-embedded human liver carcinoma tissue using ab69920 at 1/50 dilution, in the presence and absence of immunising peptide.

Western blot - Anti-SHK antibody (AB69920)
  • WB

Unknown

Western blot - Anti-SHK antibody (AB69920)

All lanes:

Western blot - Anti-SHK antibody (ab69920) at 1/500 dilution

Lane 1:

Extracts from Jurkat cells at 5 µg

Lane 2:

Extracts from Jurkat cells at 5 µg with immunising peptide

Predicted band size: 51 kDa

Observed band size: 52 kDa

false

Key facts

Host species

Rabbit

Clonality

Polyclonal

Isotype

IgG

Carrier free

No

Reacts with

Human

Applications

WB, IHC-P

applications

Immunogen

Synthetic Peptide within Human SHPK. The exact immunogen used to generate this antibody is proprietary information.

Q9UHJ6

Reactivity data

{ "title": "Reactivity Data", "filters": { "stats": ["", "Species", "Dilution Info", "Notes"], "tabs": { "all-applications": {"fullname" : "All Applications", "shortname": "All Applications"}, "WB" : {"fullname" : "Western blot", "shortname":"WB"}, "IHCP" : {"fullname" : "Immunohistochemistry (Formalin/PFA-fixed paraffin-embedded sections)", "shortname":"IHC-P"} }, "product-promise": { "all": "all", "testedAndGuaranteed": "tested", "guaranteed": "expected", "predicted": "predicted", "notRecommended": "not-recommended" } }, "values": { "Human": { "WB-species-checked": "testedAndGuaranteed", "WB-species-dilution-info": "1/500 - 1/1000", "WB-species-notes": "<p></p>", "IHCP-species-checked": "testedAndGuaranteed", "IHCP-species-dilution-info": "1/50 - 1/100", "IHCP-species-notes": "<p></p>" }, "Rat": { "WB-species-checked": "predicted", "WB-species-dilution-info": "", "WB-species-notes": "", "IHCP-species-checked": "predicted", "IHCP-species-dilution-info": "", "IHCP-species-notes": "" } } }

Properties and storage information

Form
Liquid
Purification technique
Affinity purification Immunogen
Storage buffer
pH: 7.4 Preservative: 0.02% Sodium azide Constituents: PBS, 50% Glycerol (glycerin, glycerine), 0.87% Sodium chloride
Shipped at conditions
Blue Ice
Appropriate short-term storage conditions
+4°C
Appropriate long-term storage conditions
-20°C
Aliquoting information
Upon delivery aliquot
Storage information
Avoid freeze / thaw cycle

Supplementary information

This supplementary information is collated from multiple sources and compiled automatically.

SHK also known as Shaker-related voltage-gated potassium channel or Kv1.3 functions in the regulation of ion flow across the cell membrane. It belongs to the voltage-gated potassium channel family and has a molecular mass of approximately 57 kDa. Expression of SHK occurs mainly in the nervous system including the brain and in lymphocytes playing an important role in maintaining the cellular membrane potential and modulating action potentials.
Biological function summary

This channel is involved in repolarizing the neuronal membrane following action potentials. SHK channels contribute significantly to the excitability of neurons and T cells facilitating their activation and response. The protein does not exist in isolation but forms part of a complex with other ion channels impacting cellular excitability and immune responses. This interaction with other ion channels allows it to fine-tune the physiological responses important for cellular signaling.

Pathways

SHK participates in important neurological and immune system pathways. It is part of the neuronal signaling pathways where it affects neurotransmitter release. Additionally SHK aligns with the JAK-STAT pathway in T cells influencing their maturation and function. SHK operates alongside proteins like Kv1.1 in these pathways interacting to modulate channel conductance and overall cellular activity.

It is associated with multiple sclerosis and type 1 diabetes. SHK channel dysregulation affects the immune system contributing to aberrant immune responses seen in these autoimmune diseases. The protein interacts with other channels including Kv1.5 influencing disease progression. Targeting SHK for therapeutic intervention offers possible strategies for managing these conditions by correcting the dysregulated channel activity.

Product protocols

For this product, it's our understanding that no specific protocols are required. You can visit:

Target data

Acts as a modulator of macrophage activation through control of glucose metabolism.
See full target information SHPK

Publications (3)

Recent publications for all applications. Explore the full list and refine your search

Proceedings of the National Academy of Sciences of 114:3927-3932 PubMed28356515

2017

Identification of targets of tumor suppressor microRNA-34a using a reporter library system.

Applications

Unspecified application

Species

Unspecified reactive species

Yoshiaki Ito,Atsushi Inoue,Timothy Seers,Yukari Hato,Arisa Igarashi,Tatsuya Toyama,Konstantin D Taganov,Mark P Boldin,Hiroshi Asahara

Journal of inherited metabolic disease 38:889-94 PubMed25647543

2015

First two unrelated cases of isolated sedoheptulokinase deficiency: A benign disorder?

Applications

WB

Species

Unspecified reactive species

Mirjam M C Wamelink,Ruben J J F Ramos,Annette P M van den Elzen,George J G Ruijter,Ramon Bonte,Luisa Diogo,Paula Garcia,Nelson Neves,Benjamin Nota,Arvand Haschemi,Isabel Tavares de Almeida,Gajja S Salomons

Cell metabolism 15:813-26 PubMed22682222

2012

The sedoheptulose kinase CARKL directs macrophage polarization through control of glucose metabolism.

Applications

WB

Species

Mouse

Arvand Haschemi,Paul Kosma,Lars Gille,Charles R Evans,Charles F Burant,Philipp Starkl,Bernhard Knapp,Robert Haas,Johannes A Schmid,Christoph Jandl,Shahzada Amir,Gert Lubec,Jaehong Park,Harald Esterbauer,Martin Bilban,Leonardo Brizuela,J Andrew Pospisilik,Leo E Otterbein,Oswald Wagner
View all publications

Product promise

We are committed to supporting your work with high-quality reagents, and we're here for you every step of the way. In the unlikely event that one of our products does not perform as expected, you're protected by our Product Promise.
For full details, please see our Terms & Conditions

Please note: All products are 'FOR RESEARCH USE ONLY. NOT FOR USE IN DIAGNOSTIC OR THERAPEUTIC PROCEDURES'.

For licensing inquiries, please contact partnerships@abcam.com