JavaScript is disabled in your browser. Please enable JavaScript to view this website.
AB224427

Anti-SHMT2/SHMT antibody

Be the first to review this product! Submit a review

|

(4 Publications)

Rabbit Polyclonal SHMT2/SHMT antibody. Suitable for IHC-P, ICC, WB and reacts with Human, Mouse, Rat samples. Cited in 4 publications. Immunogen corresponding to Recombinant Fragment Protein within Human Serine hydroxymethyltransferase, mitochondrial aa 1-100.

View Alternative Names

SHMT, Glycine hydroxymethyltransferase, Serine methylase, SHMT2

6 Images
Immunohistochemistry (Formalin/PFA-fixed paraffin-embedded sections) - Anti-SHMT2/SHMT antibody (AB224427)
  • IHC-P

Supplier Data

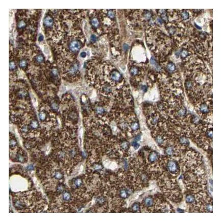
Immunohistochemistry (Formalin/PFA-fixed paraffin-embedded sections) - Anti-SHMT2/SHMT antibody (AB224427)

Paraffin-embedded human liver tissue stained for SHMT2/SHMT using ab224427 at 1/500 dilution in immunohistochemical analysis.

Immunohistochemistry (Formalin/PFA-fixed paraffin-embedded sections) - Anti-SHMT2/SHMT antibody (AB224427)
  • IHC-P

Supplier Data

Immunohistochemistry (Formalin/PFA-fixed paraffin-embedded sections) - Anti-SHMT2/SHMT antibody (AB224427)

Paraffin-embedded human lymph node tissue stained for SHMT2/SHMT using ab224427 at 1/500 dilution in immunohistochemical analysis.

Immunocytochemistry - Anti-SHMT2/SHMT antibody (AB224427)
  • ICC

Supplier Data

Immunocytochemistry - Anti-SHMT2/SHMT antibody (AB224427)

PFA-fixed, Triton X-100 permeabilized U-2 OS (human bone osteosarcoma epithelial cell line) cells stained for SHMT2/SHMT (green) using ab224427 at 4 μg/ml in ICC.

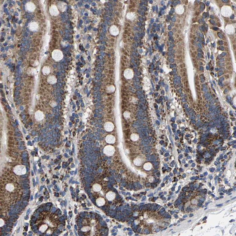
Immunohistochemistry (Formalin/PFA-fixed paraffin-embedded sections) - Anti-SHMT2/SHMT antibody (AB224427)
  • IHC-P

Unknown

Immunohistochemistry (Formalin/PFA-fixed paraffin-embedded sections) - Anti-SHMT2/SHMT antibody (AB224427)

Paraffin-embedded human duodenum tissue stained for SHMT2/SHMT using ab224427 at 1/500 dilution in immunohistochemical analysis.

Western blot - Anti-SHMT2/SHMT antibody (AB224427)
  • WB

Supplier Data

Western blot - Anti-SHMT2/SHMT antibody (AB224427)

Western blot analysis labeling SHMT2/SHMT with ab224427 at 0.04 ug/ml.

All lanes:

Western blot - Anti-SHMT2/SHMT antibody (ab224427) at 0.04 µg/mL

Lane 1:

RT4 (Human urinary bladder cancer cell line) whole cell lysate

Lane 2:

U-251 MG (Human brain glioma cell line) whole cell lysate

Predicted band size: 56 kDa

false

Western blot - Anti-SHMT2/SHMT antibody (AB224427)
  • WB

Supplier Data

Western blot - Anti-SHMT2/SHMT antibody (AB224427)

All lanes:

Western blot - Anti-SHMT2/SHMT antibody (ab224427) at 1/100 dilution

Lane 1:

NIH/3T3 (mouse embryo fibroblast cell line) cell lysate

Lane 2:

NBT-II cell lysate

Predicted band size: 56 kDa

false

Key facts

Host species

Rabbit

Clonality

Polyclonal

Isotype

IgG

Carrier free

No

Reacts with

Mouse, Rat, Human

Applications

IHC-P, ICC, WB

applications

Immunogen

Recombinant Fragment Protein within Human Serine hydroxymethyltransferase, mitochondrial aa 1-100. The exact immunogen used to generate this antibody is proprietary information.

P34897

Reactivity data

{ "title": "Reactivity Data", "filters": { "stats": ["", "Species", "Dilution Info", "Notes"], "tabs": { "all-applications": {"fullname" : "All Applications", "shortname": "All Applications"}, "IHCP" : {"fullname" : "Immunohistochemistry (Formalin/PFA-fixed paraffin-embedded sections)", "shortname":"IHC-P"}, "ICC" : {"fullname" : "Immunocytochemistry", "shortname":"ICC"}, "WB" : {"fullname" : "Western blot", "shortname":"WB"} }, "product-promise": { "all": "all", "testedAndGuaranteed": "tested", "guaranteed": "expected", "predicted": "predicted", "notRecommended": "not-recommended" } }, "values": { "Human": { "IHCP-species-checked": "testedAndGuaranteed", "IHCP-species-dilution-info": "1/500 - 1/1000", "IHCP-species-notes": "<p></p> Perform heat-mediated antigen retrieval with citrate buffer pH 6 before commencing with IHC staining protocol.", "ICC-species-checked": "testedAndGuaranteed", "ICC-species-dilution-info": "", "ICC-species-notes": "<p>Fixation/Permeabilization: PFA/Triton X-100.</p>", "WB-species-checked": "testedAndGuaranteed", "WB-species-dilution-info": "0.04-0.4 µg/mL", "WB-species-notes": "<p></p>" }, "Mouse": { "IHCP-species-checked": "guaranteed", "IHCP-species-dilution-info": "", "IHCP-species-notes": "", "ICC-species-checked": "guaranteed", "ICC-species-dilution-info": "", "ICC-species-notes": "", "WB-species-checked": "testedAndGuaranteed", "WB-species-dilution-info": "0.04-0.4 µg/mL", "WB-species-notes": "<p></p>" }, "Rat": { "IHCP-species-checked": "guaranteed", "IHCP-species-dilution-info": "", "IHCP-species-notes": "", "ICC-species-checked": "guaranteed", "ICC-species-dilution-info": "", "ICC-species-notes": "", "WB-species-checked": "testedAndGuaranteed", "WB-species-dilution-info": "0.04-0.4 µg/mL", "WB-species-notes": "<p></p>" } } }

Properties and storage information

Form
Liquid
Purification technique
Affinity purification Immunogen
Storage buffer
pH: 7.2 Preservative: 0.02% Sodium azide Constituents: PBS, 40% Glycerol (glycerin, glycerine)
Shipped at conditions
Blue Ice
Appropriate short-term storage duration
1-2 weeks
Appropriate short-term storage conditions
+4°C
Appropriate long-term storage conditions
-20°C
Aliquoting information
Upon delivery aliquot
Storage information
Avoid freeze / thaw cycle

Supplementary information

This supplementary information is collated from multiple sources and compiled automatically.

Serine hydroxymethyltransferase 2 (SHMT2) also known as SHMT is an enzyme that plays a role in the mitochondrial compartment. It has a molecular mass of approximately 53 kDa. SHMT2 is highly expressed in tissues with elevated rates of oxidative metabolism such as the liver and brain. The enzyme catalyzes the reversible conversion of serine to glycine with the concomitant production of 510-methylenetetrahydrofolate a critical molecule for DNA synthesis and repair.
Biological function summary

The enzyme facilitates essential reactions in mitochondrial nucleotide synthesis. SHMT2 operates within a tetrameric complex that provides one-carbon units for cellular biosynthetic processes. The activity of SHMT2 links mitochondrial serine utilization directly to the folate cycle which is essential for the synthesis of purines and thymidylate. The efficient production of these nucleotides is important for rapidly dividing cells supporting their proliferation and maintenance.

Pathways

SHMT2 takes part in the folate and methionine metabolism pathways. It interacts with proteins like methylenetetrahydrofolate dehydrogenase and thymidylate synthase which are essential for one-carbon metabolism. These interactions integrate SHMT2 activity into a larger network that balances the supply of nucleotides according to the cellular demand impacting vital pathways like DNA replication and repair.

Elevated SHMT2 expression has been linked to cancer where it supports the rapid proliferation of tumor cells by providing necessary nucleotides. Its role in the mitochondrial folate pathway is also significant in neurodegenerative disorders. SHMT2 in conjunction with other proteins such as methionine synthase may play a role in the pathology of diseases like Alzheimer's by influencing homocysteine levels and oxidative stress in brain tissues.

Product protocols

For this product, it's our understanding that no specific protocols are required. You can visit:

Target data

Catalyzes the cleavage of serine to glycine accompanied with the production of 5,10-methylenetetrahydrofolate, an essential intermediate for purine biosynthesis (PubMed : 24075985, PubMed : 25619277, PubMed : 29364879, PubMed : 33015733). Serine provides the major source of folate one-carbon in cells by catalyzing the transfer of one carbon from serine to tetrahydrofolate (PubMed : 25619277). Contributes to the de novo mitochondrial thymidylate biosynthesis pathway via its role in glycine and tetrahydrofolate metabolism : thymidylate biosynthesis is required to prevent uracil accumulation in mtDNA (PubMed : 21876188). Also required for mitochondrial translation by producing 5,10-methylenetetrahydrofolate; 5,10-methylenetetrahydrofolate providing methyl donors to produce the taurinomethyluridine base at the wobble position of some mitochondrial tRNAs (PubMed : 29364879, PubMed : 29452640). Associates with mitochondrial DNA (PubMed : 18063578). In addition to its role in mitochondria, also plays a role in the deubiquitination of target proteins as component of the BRISC complex : required for IFNAR1 deubiquitination by the BRISC complex (PubMed : 24075985).
See full target information Serine hydroxymethyltransferase, mitochondrial

Publications (4)

Recent publications for all applications. Explore the full list and refine your search

Cancer & metabolism 12:35 PubMed39563470

2024

Glutaminolysis is associated with mitochondrial pathway activation and can be therapeutically targeted in glioblastoma.

Applications

Unspecified application

Species

Unspecified reactive species

Kenji Miki,Mikako Yagi,Ryusuke Hatae,Ryosuke Otsuji,Takahiro Miyazaki,Katsuhiro Goto,Daiki Setoyama,Yutaka Fujioka,Yuhei Sangatsuda,Daisuke Kuga,Nayuta Higa,Tomoko Takajo,Yonezawa Hajime,Toshiaki Akahane,Akihide Tanimoto,Ryosuke Hanaya,Yuya Kunisaki,Takeshi Uchiumi,Koji Yoshimoto

Cell metabolism 36:116-129.e7 PubMed38171331

2024

Serine synthesis via reversed SHMT2 activity drives glycine depletion and acetaminophen hepatotoxicity in MASLD.

Applications

Unspecified application

Species

Unspecified reactive species

Alia Ghrayeb,Alexandra C Finney,Bella Agranovich,Daniel Peled,Sumit Kumar Anand,M Peyton McKinney,Mahasen Sarji,Dongshan Yang,Natan Weissman,Shani Drucker,Sara Isabel Fernandes,Jonatan Fernández-García,Kyle Mahan,Zaid Abassi,Lin Tan,Philip L Lorenzi,James Traylor,Jifeng Zhang,Ifat Abramovich,Y Eugene Chen,Oren Rom,Inbal Mor,Eyal Gottlieb

Journal of orthopaedic translation 39:135-146 PubMed36909862

2023

Pharmacological network analysis of the functions and mechanism of kaempferol from Du Zhong in intervertebral disc degeneration (IDD).

Applications

Unspecified application

Species

Unspecified reactive species

Xiaobin Wang,Yanlin Tan,Fusheng Liu,Jingyu Wang,Fubin Liu,Qianshi Zhang,Jing Li

Biomedicines 10: PubMed35885023

2022

Non-Targeted Metabolomics Approach Revealed Significant Changes in Metabolic Pathways in Patients with Chronic Traumatic Encephalopathy.

Applications

Unspecified application

Species

Unspecified reactive species

Jinkyung Lee,Suhyun Kim,Yoon Hwan Kim,Uiyeol Park,Junghee Lee,Ann C McKee,Kyoung Heon Kim,Hoon Ryu,Jeongae Lee
View all publications

Product promise

We are committed to supporting your work with high-quality reagents, and we're here for you every step of the way. In the unlikely event that one of our products does not perform as expected, you're protected by our Product Promise.
For full details, please see our Terms & Conditions

Please note: All products are 'FOR RESEARCH USE ONLY. NOT FOR USE IN DIAGNOSTIC OR THERAPEUTIC PROCEDURES'.

For licensing inquiries, please contact partnerships@abcam.com