JavaScript is disabled in your browser. Please enable JavaScript to view this website.
AB316328

Anti-SHMT2/SHMT antibody [EPR28607-51]

  • BOND RX™ Validated
  • 20ul selling size
  • Recombinant
  • RabMAb
  • KO Validated
  • What is this?

Be the first to review this product! Submit a review

|

(1 Publication)

Rabbit Recombinant Monoclonal SHMT2/SHMT antibody. Suitable for WB, ICC/IF, IHC-P, Flow Cyt (Intra), IP and reacts with Recombinant fragment - Human, Human, Mouse, Rat samples. Cited in 1 publication.

View Alternative Names

SHMT, Glycine hydroxymethyltransferase, Serine methylase, SHMT2

20 Images
Immunohistochemistry (Formalin/PFA-fixed paraffin-embedded sections) - Anti-SHMT2/SHMT antibody [EPR28607-51] (AB316328)
  • IHC-P

Supplier Data

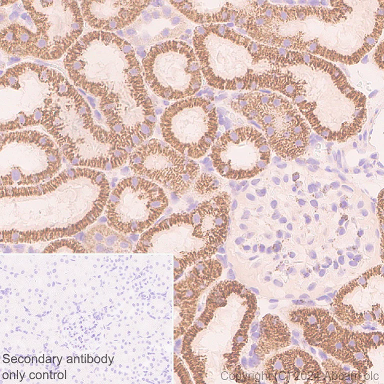
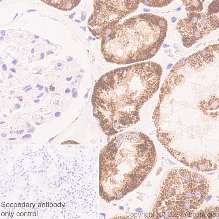
Immunohistochemistry (Formalin/PFA-fixed paraffin-embedded sections) - Anti-SHMT2/SHMT antibody [EPR28607-51] (AB316328)

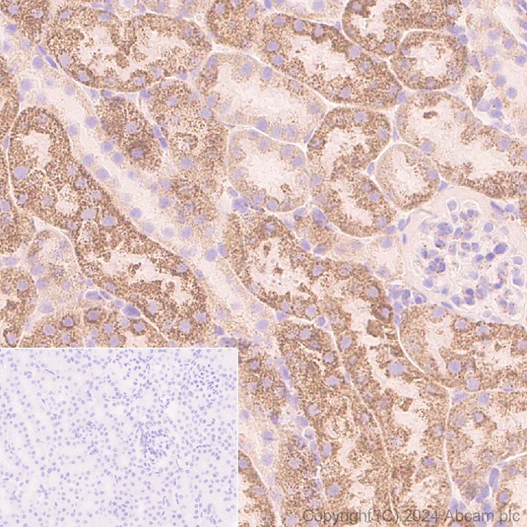
Immunohistochemical analysis of paraffin-embedded Human kidney tissue labeling SHMT2/SHMT with ab316328 at 1/5000 (0.1 ug/ml) dilution, followed by a ready to use LeicaDS9800 (Bond™ Polymer Refine Detection).

Positive staining on human kidney (PMID : 33066813). The section was incubated with ab316328 for 30 mins at room temperature. The immunostaining was performed on a Leica Biosystems BOND® RX instrument

Counterstained with Hematoxylin.

Secondary antibody only control : Secondary antibody is a ready to use LeicaDS9800 (Bond™ Polymer Refine Detection).

Heat mediated antigen retrieval was performed with Tris-EDTA buffer (pH 9.0, Epitope Retrieval Solution2) for 20 mins

Immunohistochemistry (Formalin/PFA-fixed paraffin-embedded sections) - Anti-SHMT2/SHMT antibody [EPR28607-51] (AB316328)
  • IHC-P

Supplier Data

Immunohistochemistry (Formalin/PFA-fixed paraffin-embedded sections) - Anti-SHMT2/SHMT antibody [EPR28607-51] (AB316328)

Immunohistochemical analysis of paraffin-embedded Human cardiac muscle tissue labeling SHMT2/SHMT with ab316328 at 1/5000 (0.1 ug/ml) dilution, followed by a ready to use LeicaDS9800 (Bond™ Polymer Refine Detection).

Low expression tissue : no staining on human cardiac muscle. The section was incubated with ab316328 for 30 mins at room temperature. The immunostaining was performed on a Leica Biosystems BOND® RX instrument

Counterstained with Hematoxylin.

Secondary antibody only control : Secondary antibody is a ready to use LeicaDS9800 (Bond™ Polymer Refine Detection).

Heat mediated antigen retrieval was performed with Tris-EDTA buffer (pH 9.0, Epitope Retrieval Solution2) for 20 mins

Immunohistochemistry (Formalin/PFA-fixed paraffin-embedded sections) - Anti-SHMT2/SHMT antibody [EPR28607-51] (AB316328)
  • IHC-P

Supplier Data

Immunohistochemistry (Formalin/PFA-fixed paraffin-embedded sections) - Anti-SHMT2/SHMT antibody [EPR28607-51] (AB316328)

Immunohistochemical analysis of paraffin-embedded Human skeletal muscle tissue labeling SHMT2/SHMT with ab316328 at 1/5000 (0.1 ug/ml) dilution, followed by a ready to use LeicaDS9800 (Bond™ Polymer Refine Detection).

Low expression tissue : no staining on human skeletal muscle. The section was incubated with ab316328 for 30 mins at room temperature. The immunostaining was performed on a Leica Biosystems BOND® RX instrument

Counterstained with Hematoxylin.

Secondary antibody only control : Secondary antibody is a ready to use LeicaDS9800 (Bond™ Polymer Refine Detection).

Heat mediated antigen retrieval was performed with Tris-EDTA buffer (pH 9.0, Epitope Retrieval Solution2) for 20 mins

Flow Cytometry (Intracellular) - Anti-SHMT2/SHMT antibody [EPR28607-51] (AB316328)
  • Flow Cyt (Intra)

Supplier Data

Flow Cytometry (Intracellular) - Anti-SHMT2/SHMT antibody [EPR28607-51] (AB316328)

Flow cytometric analysis of 4% paraformaldehyde fixed 90% methanol permeabilized HeLa (human cervical adenocarcinoma epithelial cell) cells labelling SHMT2/SHMT with ab316328 at 1/500 dilution (0.1 ug)/Red compared with a Rabbit monoclonal IgG (ab172730) (Black) isotype control and an unlabelled control (cells without incubation with primary antibody and secondary antibody) (Blue).

Goat Anti-Rabbit IgG (Alexa Fluor® 488, ab150081) at 1/5000 dilution was used as the secondary antibody.

Immunocytochemistry/ Immunofluorescence - Anti-SHMT2/SHMT antibody [EPR28607-51] (AB316328)
  • ICC/IF

Supplier Data

Immunocytochemistry/ Immunofluorescence - Anti-SHMT2/SHMT antibody [EPR28607-51] (AB316328)

Immunofluorescent analysis of 4% Paraformaldehyde-fixed, 0.1% TritonX-100 permeabilized HeLa (human cervical adenocarcinoma epithelial cell) cells labelling SHMT2/SHMT with ab316328 at 1/1000 (0.5 ug/ml) dilution, followed by ab150081 Goat Anti-Rabbit IgG H&L (Alexa Fluor® 488) preadsorbed antibody at 1/1000 (2 ug/ml) dilution (Green).

Confocal image showing mitochondrial staining in HeLa cell line.
Image was taken with a confocal microscope(Leica-Microsystems, TCS SP8).

anti-COX IV mouse monoclonal antibody - Mitochondrial Marker was used to counterstain at 1/200 (2.5ug/ml) dilution (Red). The Nuclear counterstain was DAPI (Blue).

Secondary antibody only control : Secondary antibody is ab150081 Goat Anti-Rabbit IgG H&L (Alexa Fluor® 488) preadsorbed at 1/1000 (2 ug/ml) dilution.

Immunohistochemistry (Formalin/PFA-fixed paraffin-embedded sections) - Anti-SHMT2/SHMT antibody [EPR28607-51] (AB316328)
  • IHC-P

Supplier Data

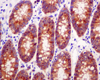
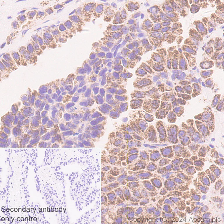
Immunohistochemistry (Formalin/PFA-fixed paraffin-embedded sections) - Anti-SHMT2/SHMT antibody [EPR28607-51] (AB316328)

Immunohistochemical analysis of paraffin-embedded Human colon carcinoma tissue labeling SHMT2/SHMT with ab316328 at 1/5000 (0.1 ug/ml) dilution, followed by a ready to use LeicaDS9800 (Bond™ Polymer Refine Detection).

Positive staining on human colon carcinoma. The section was incubated with ab316328 for 30 mins at room temperature. The immunostaining was performed on a Leica Biosystems BOND® RX instrument

Counterstained with Hematoxylin.

Secondary antibody only control : Secondary antibody is a ready to use LeicaDS9800 (Bond™ Polymer Refine Detection).

Heat mediated antigen retrieval was performed with Tris-EDTA buffer (pH 9.0, Epitope Retrieval Solution2) for 20 mins

Immunohistochemistry (Formalin/PFA-fixed paraffin-embedded sections) - Anti-SHMT2/SHMT antibody [EPR28607-51] (AB316328)
  • IHC-P

Supplier Data

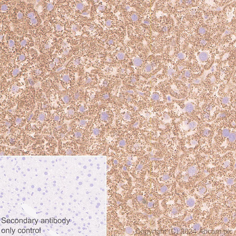
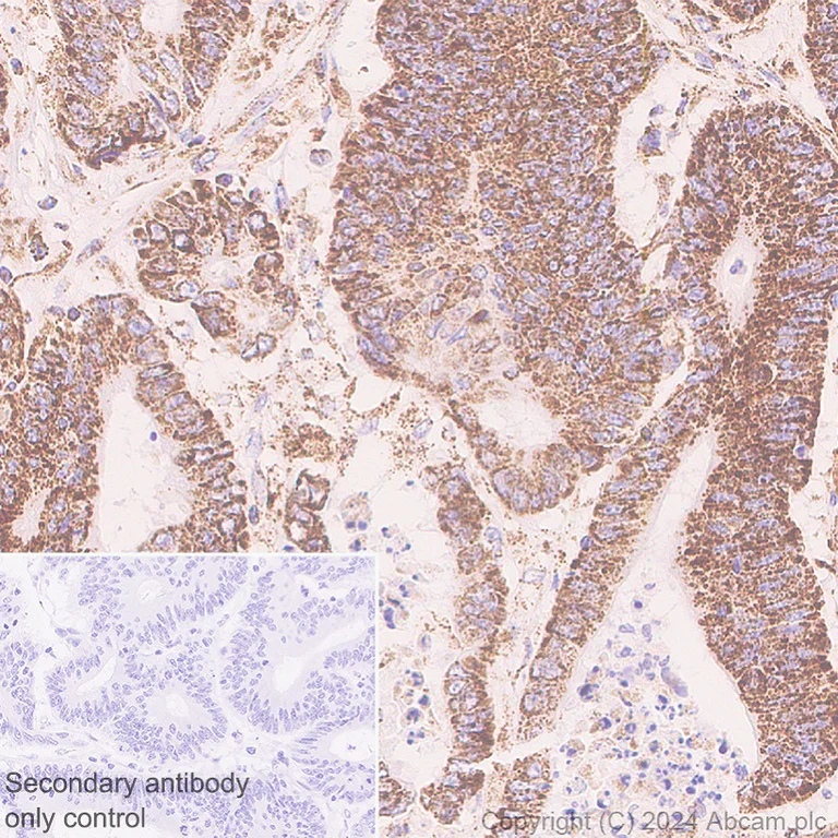
Immunohistochemistry (Formalin/PFA-fixed paraffin-embedded sections) - Anti-SHMT2/SHMT antibody [EPR28607-51] (AB316328)

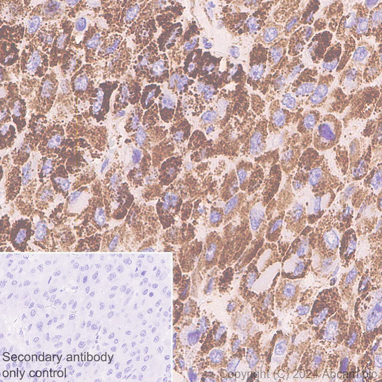
Immunohistochemical analysis of paraffin-embedded Human hepatocellular carcinoma tissue labeling SHMT2/SHMT with ab316328 at 1/5000 (0.1 ug/ml) dilution, followed by a ready to use LeicaDS9800 (Bond™ Polymer Refine Detection).

Positive staining on human hepatocellular carcinoma. The section was incubated with ab316328 for 30 mins at room temperature. The immunostaining was performed on a Leica Biosystems BOND® RX instrument

Counterstained with Hematoxylin.

Secondary antibody only control : Secondary antibody is a ready to use LeicaDS9800 (Bond™ Polymer Refine Detection).

Heat mediated antigen retrieval was performed with Tris-EDTA buffer (pH 9.0, Epitope Retrieval Solution2) for 20 mins

Immunoprecipitation - Anti-SHMT2/SHMT antibody [EPR28607-51] (AB316328)
  • IP

Supplier Data

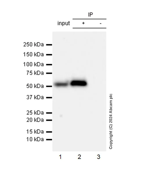
Immunoprecipitation - Anti-SHMT2/SHMT antibody [EPR28607-51] (AB316328)

SHMT2/SHMT was immunoprecipitated from 0.35 mg HeLa (human cervix adenocarcinoma epithelial cell) whole cell lysate with ab316328 at 1/30 dilution (2ug in 0.35mg lysates). Western blot was performed on the immunoprecipitate using ab316328 at 1/1000 dilution. VeriBlot for IP secondary antibody(HRP)(ab131366) was used at 1/5000 dilution.

Lane 1 : HeLa (human cervix adenocarcinoma epithelial cell) whole cell lysate
Lane 2 : ab316328 IP in HeLa (human cervix adenocarcinoma epithelial cell) whole cell lysate
Lane 3 : Rabbit monoclonal IgG (ab172730) instead of ab316328 in HeLa whole cell lysate

All lanes:

Immunoprecipitation - Anti-SHMT2/SHMT antibody [EPR28607-51] (ab316328) at 1/30 dilution

All lanes:

HeLa (human cervix adenocarcinoma epithelial cell) whole cell lysate with 5% NFDM/TBST

Secondary

All lanes:

Immunoprecipitation - VeriBlot for IP Detection Reagent (HRP) (<a href='/en-us/products/reagents/veriblot-for-ip-detection-reagent-hrp-ab131366'>ab131366</a>) at 1/5000 dilution

false

Exposure time: 8s

Immunohistochemistry (Formalin/PFA-fixed paraffin-embedded sections) - Anti-SHMT2/SHMT antibody [EPR28607-51] (AB316328)
  • IHC-P

Supplier Data

Immunohistochemistry (Formalin/PFA-fixed paraffin-embedded sections) - Anti-SHMT2/SHMT antibody [EPR28607-51] (AB316328)

Immunohistochemical analysis of paraffin-embedded Rat liver tissue labeling SHMT2/SHMT with ab316328 at 1/5000 (0.1 ug/ml) dilution, followed by a ready to use LeicaDS9800 (Bond™ Polymer Refine Detection).

Positive staining on rat liver. The section was incubated with ab316328 for 30 mins at room temperature. The immunostaining was performed on a Leica Biosystems BOND® RX instrument

Counterstained with Hematoxylin.

Secondary antibody only control : Secondary antibody is a ready to use LeicaDS9800 (Bond™ Polymer Refine Detection).

Heat mediated antigen retrieval was performed with Tris-EDTA buffer (pH 9.0, Epitope Retrieval Solution2) for 20 mins

Immunohistochemistry (Formalin/PFA-fixed paraffin-embedded sections) - Anti-SHMT2/SHMT antibody [EPR28607-51] (AB316328)
  • IHC-P

Supplier Data

Immunohistochemistry (Formalin/PFA-fixed paraffin-embedded sections) - Anti-SHMT2/SHMT antibody [EPR28607-51] (AB316328)

Immunohistochemical analysis of paraffin-embedded Mouse lung cancer tissue labeling SHMT2/SHMT with ab316328 at 1/5000 (0.1 ug/ml) dilution, followed by a ready to use LeicaDS9800 (Bond™ Polymer Refine Detection).

Positive staining on mouse lung cancer. The section was incubated with ab316328 for 30 mins at room temperature. The immunostaining was performed on a Leica Biosystems BOND® RX instrument

Counterstained with Hematoxylin.

Secondary antibody only control : Secondary antibody is a ready to use LeicaDS9800 (Bond™ Polymer Refine Detection).

Heat mediated antigen retrieval was performed with Tris-EDTA buffer (pH 9.0, Epitope Retrieval Solution2) for 20 mins

Immunohistochemistry (Formalin/PFA-fixed paraffin-embedded sections) - Anti-SHMT2/SHMT antibody [EPR28607-51] (AB316328)
  • IHC-P

Supplier Data

Immunohistochemistry (Formalin/PFA-fixed paraffin-embedded sections) - Anti-SHMT2/SHMT antibody [EPR28607-51] (AB316328)

Immunohistochemical analysis of paraffin-embedded Rat kidney tissue labeling SHMT2/SHMT with ab316328 at 1/5000 (0.1 ug/ml) dilution, followed by a ready to use LeicaDS9800 (Bond™ Polymer Refine Detection).

Positive staining on rat kidney. The section was incubated with ab316328 for 30 mins at room temperature. The immunostaining was performed on a Leica Biosystems BOND® RX instrument

Counterstained with Hematoxylin.

Secondary antibody only control : Secondary antibody is a ready to use LeicaDS9800 (Bond™ Polymer Refine Detection).

Heat mediated antigen retrieval was performed with Tris-EDTA buffer (pH 9.0, Epitope Retrieval Solution2) for 20 mins

Immunohistochemistry (Formalin/PFA-fixed paraffin-embedded sections) - Anti-SHMT2/SHMT antibody [EPR28607-51] (AB316328)
  • IHC-P

Supplier Data

Immunohistochemistry (Formalin/PFA-fixed paraffin-embedded sections) - Anti-SHMT2/SHMT antibody [EPR28607-51] (AB316328)

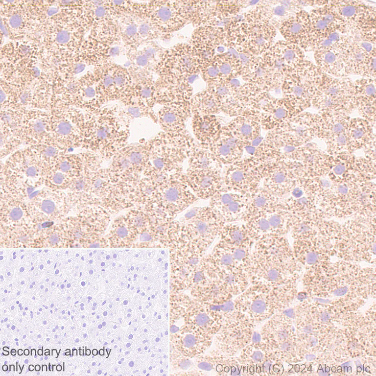
Immunohistochemical analysis of paraffin-embedded Mouse liver tissue labeling SHMT2/SHMT with ab316328 at 1/5000 (0.1 ug/ml) dilution, followed by a ready to use LeicaDS9800 (Bond™ Polymer Refine Detection).

Positive staining on mouse liver. The section was incubated with ab316328 for 30 mins at room temperature. The immunostaining was performed on a Leica Biosystems BOND® RX instrument

Counterstained with Hematoxylin.

Secondary antibody only control : Secondary antibody is a ready to use LeicaDS9800 (Bond™ Polymer Refine Detection).

Heat mediated antigen retrieval was performed with Tris-EDTA buffer (pH 9.0, Epitope Retrieval Solution2) for 20 mins

Immunohistochemistry (Formalin/PFA-fixed paraffin-embedded sections) - Anti-SHMT2/SHMT antibody [EPR28607-51] (AB316328)
  • IHC-P

Supplier Data

Immunohistochemistry (Formalin/PFA-fixed paraffin-embedded sections) - Anti-SHMT2/SHMT antibody [EPR28607-51] (AB316328)

Immunohistochemical analysis of paraffin-embedded Mouse kidney tissue labeling SHMT2/SHMT with ab316328 at 1/5000 (0.1 ug/ml) dilution, followed by a ready to use LeicaDS9800 (Bond™ Polymer Refine Detection).

Positive staining on mouse kidney. The section was incubated with ab316328 for 30 mins at room temperature. The immunostaining was performed on a Leica Biosystems BOND® RX instrument

Counterstained with Hematoxylin.

Secondary antibody only control : Secondary antibody is a ready to use LeicaDS9800 (Bond™ Polymer Refine Detection).

Heat mediated antigen retrieval was performed with Tris-EDTA buffer (pH 9.0, Epitope Retrieval Solution2) for 20 mins

Immunocytochemistry/ Immunofluorescence - Anti-SHMT2/SHMT antibody [EPR28607-51] (AB316328)
  • ICC/IF

Supplier Data

Immunocytochemistry/ Immunofluorescence - Anti-SHMT2/SHMT antibody [EPR28607-51] (AB316328)

Immunofluorescent analysis of 4% Paraformaldehyde-fixed, 0.1% TritonX-100 permeabilized Hepa1-6 (mouse hepatoma epithelial cell) cells labelling SHMT2/SHMT with ab316328 at 1/1000 (0.5 ug/ml) dilution, followed by ab150081 Goat Anti-Rabbit IgG H&L (Alexa Fluor® 488) preadsorbed antibody at 1/1000 (2 ug/ml) dilution (Green).

Confocal image showing mitochondrial staining in Hepa1-6 cell line.
Image was taken with a confocal microscope(Leica-Microsystems, TCS SP8).

anti-COX IV mouse monoclonal antibody - Mitochondrial Marker was used to counterstain at 1/200 (2.5ug/ml) dilution (Red). The Nuclear counterstain was DAPI (Blue).

Secondary antibody only control : Secondary antibody is ab150081 Goat Anti-Rabbit IgG H&L (Alexa Fluor® 488) preadsorbed at 1/1000 (2 ug/ml) dilution.

Immunohistochemistry (Formalin/PFA-fixed paraffin-embedded sections) - Anti-SHMT2/SHMT antibody [EPR28607-51] (AB316328)
  • IHC-P

Supplier Data

Immunohistochemistry (Formalin/PFA-fixed paraffin-embedded sections) - Anti-SHMT2/SHMT antibody [EPR28607-51] (AB316328)

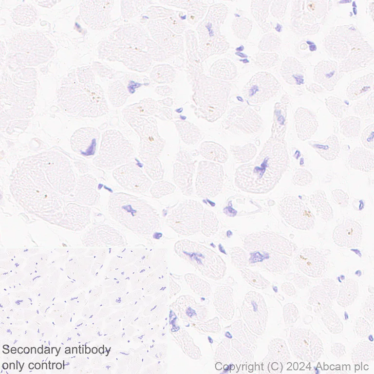
Immunohistochemical analysis of paraffin-embedded Rat skeletal muscle tissue labeling SHMT2/SHMT with ab316328 at 1/5000 (0.1 ug/ml) dilution, followed by a ready to use LeicaDS9800 (Bond™ Polymer Refine Detection).

Low expression tissue : no staining on rat skeletal muscle. The section was incubated with ab316328 for 30 mins at room temperature. The immunostaining was performed on a Leica Biosystems BOND® RX instrument

Counterstained with Hematoxylin.

Secondary antibody only control : Secondary antibody is a ready to use LeicaDS9800 (Bond™ Polymer Refine Detection).

Heat mediated antigen retrieval was performed with Tris-EDTA buffer (pH 9.0, Epitope Retrieval Solution2) for 20 mins

Immunohistochemistry (Formalin/PFA-fixed paraffin-embedded sections) - Anti-SHMT2/SHMT antibody [EPR28607-51] (AB316328)
  • IHC-P

Supplier Data

Immunohistochemistry (Formalin/PFA-fixed paraffin-embedded sections) - Anti-SHMT2/SHMT antibody [EPR28607-51] (AB316328)

Immunohistochemical analysis of paraffin-embedded Mouse skeletal muscle tissue labeling SHMT2/SHMT with ab316328 at 1/5000 (0.1 ug/ml) dilution, followed by a ready to use LeicaDS9800 (Bond™ Polymer Refine Detection).

Low expression tissue : weak staining on mouse skeletal muscle. The section was incubated with ab316328 for 30 mins at room temperature. The immunostaining was performed on a Leica Biosystems BOND® RX instrument

Counterstained with Hematoxylin.

Secondary antibody only control : Secondary antibody is a ready to use LeicaDS9800 (Bond™ Polymer Refine Detection).

Heat mediated antigen retrieval was performed with Tris-EDTA buffer (pH 9.0, Epitope Retrieval Solution2) for 20 mins

Western blot - Anti-SHMT2/SHMT antibody [EPR28607-51] (AB316328)
  • WB

Lab

Western blot - Anti-SHMT2/SHMT antibody [EPR28607-51] (AB316328)

Western blot : Anti-SHMT2/SHMT antibody [EPR28607-51] ab316328 staining at 1/5000 dilution, shown in green; Mouse anti GAPDH (ab8245) loading control staining at 1/20,000 dilution, shown in magenta. A band was observed at 55 kDa in Wild-type A549 cell lysates with no signal observed at this size in SHMT2 knockout A549 cell line. To generate this image, samples were run on an SDS-PAGE gel then transferred onto a nitrocellulose membrane. Membranes were blocked in 3pc Milk in TBS-0.1 % Tween® 20 (TBS-T) before incubation with primary antibodies overnight at 4 °C. Blots were washed four times in TBS-T, incubated with secondary antibodies for 1 h at room temperature, washed again four times then imaged. Secondary antibodies used were Goat anti-Rabbit 800CW & Goat anti-Mouse 680RD at 1/20,000 dilution.

All lanes:

Western blot - Anti-SHMT2/SHMT antibody [EPR28607-51] (ab316328) at 1/5000 dilution

Lane 1:

Wild-type A549 at 20 µg

Lane 2:

Western blot - Human SHMT2 knockout A549 cell line (<a href='/en-us/products/cell-lines/human-shmt2-knockout-a549-cell-line-ab301223'>ab301223</a>) at 20 µg

Lane 3:

HeLa at 20 µg

Secondary

Lanes 1 - 3:

Goat anti-Rabbit 800CW at 1/20000 dilution

Lanes 1 - 3:

Goat anti-Mouse 680RD at 1/20000 dilution

Predicted band size: 56 kDa

Observed band size: 55 kDa,37 kDa

false

Western blot - Anti-SHMT2/SHMT antibody [EPR28607-51] (AB316328)
  • WB

Supplier Data

Western blot - Anti-SHMT2/SHMT antibody [EPR28607-51] (AB316328)

All lanes:

Western blot - Anti-SHMT2/SHMT antibody [EPR28607-51] (ab316328) at 1/5000 dilution

Lane 1:

Human kidney tissue lysate at 20 µg with 5% NFDM/TBST

Lane 2:

Human liver tissue lysate at 20 µg with 5% NFDM/TBST

Lane 3:

Rat liver tissue lysate at 20 µg with 5% NFDM/TBST

Lane 4:

Rat kidney tissue lysate at 20 µg with 5% NFDM/TBST

Secondary

All lanes:

Goat Anti-Rabbit IgG (HRP) with minimal cross-reactivity with human IgG at 1/2000 dilution

Observed band size: 55 kDa

false

Exposure time: 6s

Western blot - Anti-SHMT2/SHMT antibody [EPR28607-51] (AB316328)
  • WB

Supplier Data

Western blot - Anti-SHMT2/SHMT antibody [EPR28607-51] (AB316328)

Low expression : skeletal muscle

In Western blot, Anti-Vinculin antibody [EPR8185] (ab129002) staining at 1/10000 dilution.

All lanes:

Western blot - Anti-SHMT2/SHMT antibody [EPR28607-51] (ab316328) at 1/5000 dilution

Lane 1:

Hela (human cervix adenocarcinoma epithelial cell) transfected with scrambled siRNA control whole cell lysate at 20 µg with 5% NFDM/TBST

Lane 2:

HeLa transfected with siRNA specifically targeting SHMT2 whole cell lysate at 20 µg with 5% NFDM/TBST

Lane 3:

HepG2 (human hepatocellar carcinoma epithelial cell) whole cell lysate at 20 µg with 5% NFDM/TBST

Lane 4:

Mouse kidney tissue lysate at 20 µg with 5% NFDM/TBST

Lane 5:

Mouse liver tissue lysate at 20 µg with 5% NFDM/TBST

Lane 6:

Mouse skeletal muscle tissue lysate at 20 µg with 5% NFDM/TBST

Lane 7:

Hepa1-6 (mouse hepatoma epithelial cell) whole cell lysate at 20 µg with 5% NFDM/TBST

Secondary

All lanes:

Western blot - Goat Anti-Rabbit IgG H&L (HRP) (<a href='/en-us/products/secondary-antibodies/goat-rabbit-igg-h-l-hrp-ab97051'>ab97051</a>) at 1/100000 dilution

Observed band size: 55 kDa,124 kDa

false

Exposure time: 26s

Western blot - Anti-SHMT2/SHMT antibody [EPR28607-51] (AB316328)
  • WB

Supplier Data

Western blot - Anti-SHMT2/SHMT antibody [EPR28607-51] (AB316328)

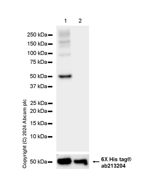
This antibody does not cross-react with human SHMT1.

In Western blot, Anti-6X His tag antibody [EPR20547]-CHIP Grade (ab213204) staining at 1/5000 dilution.

All lanes:

Western blot - Anti-SHMT2/SHMT antibody [EPR28607-51] (ab316328) at 1/5000 dilution

Lane 1:

His-tagged human SHMT2 recombinant protein at 10 ng with 5% NFDM/TBST

Lane 2:

His-tagged human SHMT1 recombinant protein at 10 ng with 5% NFDM/TBST

Secondary

All lanes:

Goat Anti-Rabbit IgG (HRP) with minimal cross-reactivity with human IgG at 1/100000 dilution

Observed band size: 55 kDa

false

Exposure time: 1s

  • Carrier free

    Anti-SHMT2/SHMT antibody [EPR28607-51] - BSA and Azide free

Key facts

Host species

Rabbit

Clonality

Monoclonal

Clone number

EPR28607-51

Isotype

IgG

Carrier free

No

Reacts with

Human, Mouse, Rat

Applications

ICC/IF, WB, Flow Cyt (Intra), IP, IHC-P

applications

Immunogen

The exact immunogen used to generate this antibody is proprietary information.

Reactivity data

{ "title": "Reactivity Data", "filters": { "stats": ["", "Species", "Dilution Info", "Notes"], "tabs": { "all-applications": {"fullname" : "All Applications", "shortname": "All Applications"}, "WB" : {"fullname" : "Western blot", "shortname":"WB"}, "ICCIF" : {"fullname" : "Immunocytochemistry/ Immunofluorescence", "shortname":"ICC/IF"}, "IHCP" : {"fullname" : "Immunohistochemistry (Formalin/PFA-fixed paraffin-embedded sections)", "shortname":"IHC-P"}, "FlowCytIntra" : {"fullname" : "Flow Cytometry (Intracellular)", "shortname":"Flow Cyt (Intra)"}, "IP" : {"fullname" : "Immunoprecipitation", "shortname":"IP"} }, "product-promise": { "all": "all", "testedAndGuaranteed": "tested", "guaranteed": "expected", "predicted": "predicted", "notRecommended": "not-recommended" } }, "values": { "Human": { "WB-species-checked": "testedAndGuaranteed", "WB-species-dilution-info": "1/5000", "WB-species-notes": "<p></p>", "ICCIF-species-checked": "testedAndGuaranteed", "ICCIF-species-dilution-info": "1/1000", "ICCIF-species-notes": "<p></p>", "IHCP-species-checked": "testedAndGuaranteed", "IHCP-species-dilution-info": "1/5000", "IHCP-species-notes": "<p></p>", "FlowCytIntra-species-checked": "testedAndGuaranteed", "FlowCytIntra-species-dilution-info": "1/500", "FlowCytIntra-species-notes": "<p></p>", "IP-species-checked": "testedAndGuaranteed", "IP-species-dilution-info": "1/30", "IP-species-notes": "<p></p>" }, "Mouse": { "WB-species-checked": "testedAndGuaranteed", "WB-species-dilution-info": "1/5000", "WB-species-notes": "<p></p>", "ICCIF-species-checked": "testedAndGuaranteed", "ICCIF-species-dilution-info": "1/1000", "ICCIF-species-notes": "<p></p>", "IHCP-species-checked": "testedAndGuaranteed", "IHCP-species-dilution-info": "1/5000", "IHCP-species-notes": "<p></p>", "FlowCytIntra-species-checked": "guaranteed", "FlowCytIntra-species-dilution-info": "", "FlowCytIntra-species-notes": "", "IP-species-checked": "guaranteed", "IP-species-dilution-info": "", "IP-species-notes": "" }, "Rat": { "WB-species-checked": "testedAndGuaranteed", "WB-species-dilution-info": "1/5000", "WB-species-notes": "<p></p>", "ICCIF-species-checked": "guaranteed", "ICCIF-species-dilution-info": "", "ICCIF-species-notes": "", "IHCP-species-checked": "testedAndGuaranteed", "IHCP-species-dilution-info": "1/5000", "IHCP-species-notes": "<p></p>", "FlowCytIntra-species-checked": "guaranteed", "FlowCytIntra-species-dilution-info": "", "FlowCytIntra-species-notes": "", "IP-species-checked": "guaranteed", "IP-species-dilution-info": "", "IP-species-notes": "" }, "Recombinant fragment - Human": { "WB-species-checked": "testedAndGuaranteed", "WB-species-dilution-info": "1/5000", "WB-species-notes": "<p></p>", "ICCIF-species-checked": "notRecommended", "ICCIF-species-dilution-info": "", "ICCIF-species-notes": "", "IHCP-species-checked": "notRecommended", "IHCP-species-dilution-info": "", "IHCP-species-notes": "", "FlowCytIntra-species-checked": "notRecommended", "FlowCytIntra-species-dilution-info": "", "FlowCytIntra-species-notes": "", "IP-species-checked": "notRecommended", "IP-species-dilution-info": "", "IP-species-notes": "" } } }

Product details

Patented technology
Our RabMAb® technology is a patented hybridoma-based technology for making rabbit monoclonal antibodies. For details on our patents, please refer to RabMAb® patents.

What are the advantages of a recombinant monoclonal antibody?
This product is a recombinant monoclonal antibody, which offers several advantages including:

  • - High batch-to-batch consistency and reproducibility
  • - Improved sensitivity and specificity
  • - Long-term security of supply
  • - Animal-free batch production

For more information, read more on recombinant antibodies.

Properties and storage information

Form
Liquid
Purification technique
Affinity purification Protein A
Storage buffer
pH: 7.2 - 7.4 Preservative: 0.01% Sodium azide Constituents: PBS, 40% Glycerol (glycerin, glycerine), 0.05% BSA
Shipped at conditions
Blue Ice
Appropriate short-term storage duration
1-2 weeks
Appropriate short-term storage conditions
+4°C
Appropriate long-term storage conditions
-20°C
Aliquoting information
Upon delivery aliquot
Storage information
Avoid freeze / thaw cycle

Supplementary information

This supplementary information is collated from multiple sources and compiled automatically.

Serine hydroxymethyltransferase 2 (SHMT2) also known as SHMT is an enzyme that plays a role in the mitochondrial compartment. It has a molecular mass of approximately 53 kDa. SHMT2 is highly expressed in tissues with elevated rates of oxidative metabolism such as the liver and brain. The enzyme catalyzes the reversible conversion of serine to glycine with the concomitant production of 510-methylenetetrahydrofolate a critical molecule for DNA synthesis and repair.
Biological function summary

The enzyme facilitates essential reactions in mitochondrial nucleotide synthesis. SHMT2 operates within a tetrameric complex that provides one-carbon units for cellular biosynthetic processes. The activity of SHMT2 links mitochondrial serine utilization directly to the folate cycle which is essential for the synthesis of purines and thymidylate. The efficient production of these nucleotides is important for rapidly dividing cells supporting their proliferation and maintenance.

Pathways

SHMT2 takes part in the folate and methionine metabolism pathways. It interacts with proteins like methylenetetrahydrofolate dehydrogenase and thymidylate synthase which are essential for one-carbon metabolism. These interactions integrate SHMT2 activity into a larger network that balances the supply of nucleotides according to the cellular demand impacting vital pathways like DNA replication and repair.

Elevated SHMT2 expression has been linked to cancer where it supports the rapid proliferation of tumor cells by providing necessary nucleotides. Its role in the mitochondrial folate pathway is also significant in neurodegenerative disorders. SHMT2 in conjunction with other proteins such as methionine synthase may play a role in the pathology of diseases like Alzheimer's by influencing homocysteine levels and oxidative stress in brain tissues.

Product protocols

For this product, it's our understanding that no specific protocols are required. You can visit:

Target data

Catalyzes the cleavage of serine to glycine accompanied with the production of 5,10-methylenetetrahydrofolate, an essential intermediate for purine biosynthesis (PubMed : 24075985, PubMed : 25619277, PubMed : 29364879, PubMed : 33015733). Serine provides the major source of folate one-carbon in cells by catalyzing the transfer of one carbon from serine to tetrahydrofolate (PubMed : 25619277). Contributes to the de novo mitochondrial thymidylate biosynthesis pathway via its role in glycine and tetrahydrofolate metabolism : thymidylate biosynthesis is required to prevent uracil accumulation in mtDNA (PubMed : 21876188). Also required for mitochondrial translation by producing 5,10-methylenetetrahydrofolate; 5,10-methylenetetrahydrofolate providing methyl donors to produce the taurinomethyluridine base at the wobble position of some mitochondrial tRNAs (PubMed : 29364879, PubMed : 29452640). Associates with mitochondrial DNA (PubMed : 18063578). In addition to its role in mitochondria, also plays a role in the deubiquitination of target proteins as component of the BRISC complex : required for IFNAR1 deubiquitination by the BRISC complex (PubMed : 24075985).
See full target information Serine hydroxymethyltransferase, mitochondrial

Publications (1)

Recent publications for all applications. Explore the full list and refine your search

EBioMedicine 112:105533 PubMed39808948

2025

SHMT2 regulates CD8+ T cell senescence via the reactive oxygen species axis in HIV-1 infected patients on antiretroviral therapy.

Applications

Unspecified application

Species

Unspecified reactive species

Qi-Sheng Zhang,Jia-Ning Wang,Tian-Ling Yang,Si-Yao Li,Jia-Qi Li,Ding-Ning Liu,Hong Shang,Zi-Ning Zhang
View all publications

Product promise

We are committed to supporting your work with high-quality reagents, and we're here for you every step of the way. In the unlikely event that one of our products does not perform as expected, you're protected by our Product Promise.
For full details, please see our Terms & Conditions

Please note: All products are 'FOR RESEARCH USE ONLY. NOT FOR USE IN DIAGNOSTIC OR THERAPEUTIC PROCEDURES'.

For licensing inquiries, please contact partnerships@abcam.com