JavaScript is disabled in your browser. Please enable JavaScript to view this website.
AB106430

Anti-Shoc2 / Sur8 antibody

Be the first to review this product! Submit a review

|

(3 Publications)

Rabbit Polyclonal Shoc2 / Sur8 antibody. Suitable for WB, IHC-P and reacts with Human samples. Cited in 3 publications. Immunogen corresponding to Synthetic Peptide within Human SHOC2.

View Alternative Names

KIAA0862, SHOC2, Leucine-rich repeat protein SHOC-2, Protein soc-2 homolog, Protein sur-8 homolog

2 Images
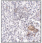
Immunohistochemistry (Formalin/PFA-fixed paraffin-embedded sections) - Anti-Shoc2 / Sur8 antibody (AB106430)
  • IHC-P

Unknown

Immunohistochemistry (Formalin/PFA-fixed paraffin-embedded sections) - Anti-Shoc2 / Sur8 antibody (AB106430)

ab106430, at 5 μg/ml, staining Shoc2 / Sur8 in paraffin embedded Human spleen tissue by Immunohistochemistry.

Western blot - Anti-Shoc2 / Sur8 antibody (AB106430)
  • WB

Unknown

Western blot - Anti-Shoc2 / Sur8 antibody (AB106430)

Lane 1:

Western blot - Anti-Shoc2 / Sur8 antibody (ab106430) at 1 µg/mL

Lane 2:

Western blot - Anti-Shoc2 / Sur8 antibody (ab106430) at 2 µg/mL

All lanes:

Jurkat cell lysate at 15 µg

Predicted band size: 64 kDa

false

Key facts

Host species

Rabbit

Clonality

Polyclonal

Isotype

IgG

Carrier free

No

Reacts with

Human

Applications

WB, IHC-P

applications

Immunogen

Synthetic Peptide within Human SHOC2. The exact immunogen used to generate this antibody is proprietary information.

Q9UQ13

Reactivity data

{ "title": "Reactivity Data", "filters": { "stats": ["", "Species", "Dilution Info", "Notes"], "tabs": { "all-applications": {"fullname" : "All Applications", "shortname": "All Applications"}, "WB" : {"fullname" : "Western blot", "shortname":"WB"}, "IHCP" : {"fullname" : "Immunohistochemistry (Formalin/PFA-fixed paraffin-embedded sections)", "shortname":"IHC-P"} }, "product-promise": { "all": "all", "testedAndGuaranteed": "tested", "guaranteed": "expected", "predicted": "predicted", "notRecommended": "not-recommended" } }, "values": { "Human": { "WB-species-checked": "testedAndGuaranteed", "WB-species-dilution-info": "1-2 µg/mL", "WB-species-notes": "<p></p>", "IHCP-species-checked": "testedAndGuaranteed", "IHCP-species-dilution-info": "5 µg/mL", "IHCP-species-notes": "<p></p>" } } }

Properties and storage information

Form
Liquid
Purification technique
Affinity purification Immunogen
Storage buffer
pH: 7.2 Preservative: 0.02% Sodium azide Constituents: PBS
Shipped at conditions
Blue Ice
Appropriate short-term storage conditions
+4°C
Appropriate long-term storage conditions
-20°C
Aliquoting information
Upon delivery aliquot
Storage information
Avoid freeze / thaw cycle

Product protocols

For this product, it's our understanding that no specific protocols are required. You can visit:

Target data

Core component of the SHOC2-MRAS-PP1c (SMP) holophosphatase complex that regulates activation of the MAPK pathway (PubMed : 10783161, PubMed : 16630891, PubMed : 25137548, PubMed : 35768504, PubMed : 35830882, PubMed : 35831509, PubMed : 36175670). Acts as a scaffolding protein in the SMP complex (PubMed : 35768504, PubMed : 35830882, PubMed : 35831509, PubMed : 36175670). The SMP complex specifically dephosphorylates the inhibitory phosphorylation at 'Ser-259' of RAF1 kinase, 'Ser-365' of BRAF kinase and 'Ser-214' of ARAF kinase, stimulating their kinase activities (PubMed : 10783161, PubMed : 16630891, PubMed : 35768504, PubMed : 35830882, PubMed : 35831509, PubMed : 36175670). The SMP complex enhances the dephosphorylation activity and substrate specificity of PP1c (PubMed : 35768504, PubMed : 36175670).
See full target information SHOC2

Publications (3)

Recent publications for all applications. Explore the full list and refine your search

Neoplasia (New York, N.Y.) 23:529-538 PubMed33945993

2021

Short chain fatty acids delay the development of hepatocellular carcinoma in HBx transgenic mice.

Applications

Unspecified application

Species

Unspecified reactive species

Noreen McBrearty,Alla Arzumanyan,Eugene Bichenkov,Salim Merali,Carmen Merali,Mark Feitelson

Cell reports 26:3037-3050.e4 PubMed30865892

2019

The FBXW7-SHOC2-Raptor Axis Controls the Cross-Talks between the RAS-ERK and mTORC1 Signaling Pathways.

Applications

Unspecified application

Species

Unspecified reactive species

Chuan-Ming Xie,Mingjia Tan,Xiao-Tong Lin,Di Wu,Yihan Jiang,Ye Tan,Haomin Li,Yuanyuan Ma,Xiufang Xiong,Yi Sun

Cancer cell 34:611-625.e7 PubMed30300582

2018

Pharmacological Induction of RAS-GTP Confers RAF Inhibitor Sensitivity in KRAS Mutant Tumors.

Applications

Unspecified application

Species

Unspecified reactive species

Ivana Yen,Frances Shanahan,Mark Merchant,Christine Orr,Thomas Hunsaker,Matthew Durk,Hank La,Xiaolin Zhang,Scott E Martin,Eva Lin,John Chan,Yihong Yu,Dhara Amin,Richard M Neve,Amy Gustafson,Avinashnarayan Venkatanarayan,Scott A Foster,Joachim Rudolph,Christiaan Klijn,Shiva Malek
View all publications

Product promise

We are committed to supporting your work with high-quality reagents, and we're here for you every step of the way. In the unlikely event that one of our products does not perform as expected, you're protected by our Product Promise.
For full details, please see our Terms & Conditions

Please note: All products are 'FOR RESEARCH USE ONLY. NOT FOR USE IN DIAGNOSTIC OR THERAPEUTIC PROCEDURES'.

For licensing inquiries, please contact partnerships@abcam.com