JavaScript is disabled in your browser. Please enable JavaScript to view this website.
AB322653

Anti-Shootin-1 antibody [EPR29089-44]

Be the first to review this product! Submit a review

|

(0 Publication)

Rabbit Recombinant Monoclonal SHOT1 antibody. Suitable for WB, ICC/IF and reacts with Human, Mouse, Rat samples.

View Alternative Names

Kiaa1598, Shootin-1, Shootin1

3 Images
Immunocytochemistry/ Immunofluorescence - Anti-Shootin-1 antibody [EPR29089-44] (AB322653)
  • ICC/IF

Supplier Data

Immunocytochemistry/ Immunofluorescence - Anti-Shootin-1 antibody [EPR29089-44] (AB322653)

Immunofluorescent analysis of 100% methanol-fixed, 0.1% TritonX-100 permeabilized SK-OV-3(human ovarian cancer epithelial cell) cells labelling Shootin-1 with ab322653 at 1/100 (5.23 ug/ml) dilution, followed by ab150081 Goat Anti-Rabbit IgG H&L (Alexa Fluor® 488) preadsorbed antibody at 1/1000 2ug/ml dilution (Green).

Confocal image showing cytoplasmic staining in SK-OV-3 cells (shown in green). The counterstain was observed in magenta. Nuclear DNA was labelled with DAPI (shown in blue).
Negative control : Daudi.
Image was taken with a confocal microscope (Leica-Microsystems, TCS SP8).

ab195889 Anti-alpha Tubulin mouse monoclonal antibody - Microtubule Marker (Alexa Fluor® 594) was used to counterstain tubulin at 1/ 200 2.5ug/ml dilution (Magenta). The Nuclear counterstain was DAPI (Blue).

Secondary antibody only control : Secondary antibody is ab150081 Goat Anti-Rabbit IgG H&L (Alexa Fluor® 488) preadsorbed at 1/ 1000 2ug/ml dilution.

Western blot - Anti-Shootin-1 antibody [EPR29089-44] (AB322653)
  • WB

Supplier Data

Western blot - Anti-Shootin-1 antibody [EPR29089-44] (AB322653)

Blocking and diluting buffer and concentration : 5% NFDM/TBST.

Low expression : Daudi.

The identity of the lower MW band at approximately 25 kDa is unknown.

In Western blot, Anti-GAPDH antibody [EPR16891] - Loading Control (ab181602) staining at 1/200000 dilution.

All lanes:

Western blot - Anti-Shootin-1 antibody [EPR29089-44] (ab322653) at 1/1000 dilution

Lane 1:

NCI-H69 (human lung small cell carcinoma cell line) whole cell lysate at 20 µg

Lane 2:

SK-OV-3 (human ovarian cancer epithelial cell) whole cell lysate at 20 µg

Lane 3:

Daudi (human Burkitts lymphoma lymphoblast) whole cell lysate at 20 µg

Secondary

All lanes:

Western blot - Goat Anti-Rabbit IgG H&L (HRP) (<a href='/en-us/products/secondary-antibodies/goat-rabbit-igg-h-l-hrp-ab97051'>ab97051</a>) at 1/100000 dilution

Observed band size: 53 kDa,76 kDa,36 kDa

false

Exposure time: 26s

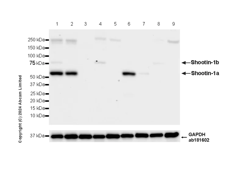
Western blot - Anti-Shootin-1 antibody [EPR29089-44] (AB322653)
  • WB

Supplier Data

Western blot - Anti-Shootin-1 antibody [EPR29089-44] (AB322653)

Blocking and diluting buffer and concentration : 5% NFDM/TBST.

Low expression : Mouse adult brain (PMID : 26849555, PMID : 17030985).

Negative control : Mouse spleen, mouse heart (PMID : 17030985; PMID : 27177867).

The identity of the higher MW band at approximately 250 kDa is unknown.

In Western blot, Anti-GAPDH antibody [EPR16891] - Loading Control (ab181602) staining at 1/200000 dilution.

All lanes:

Western blot - Anti-Shootin-1 antibody [EPR29089-44] (ab322653) at 1/1000 dilution

Lane 1:

Mouse P0 brain tissue lysate at 20 µg

Lane 2:

Mouse P0 hippocampus tissue lysate at 20 µg

Lane 3:

Mouse adult brain tissue lysate at 20 µg

Lane 4:

Mouse spleen tissue lysate at 20 µg

Lane 5:

Mouse heart tissue lysate at 20 µg

Lane 6:

Rat P5 brain tissue lysate at 20 µg

Lane 7:

Rat brain tissue lysate at 20 µg

Lane 8:

Rat spleen tissue lysate at 20 µg

Lane 9:

Rat heart tissue lysate at 20 µg

Secondary

All lanes:

Western blot - Goat Anti-Rabbit IgG H&L (HRP) (<a href='/en-us/products/secondary-antibodies/goat-rabbit-igg-h-l-hrp-ab97051'>ab97051</a>) at 1/100000 dilution

Observed band size: 53 kDa,76 kDa

false

Exposure time: 26s

Key facts

Host species

Rabbit

Clonality

Monoclonal

Clone number

EPR29089-44

Isotype

IgG

Carrier free

No

Reacts with

Human, Mouse, Rat

Applications

WB, ICC/IF

applications

Immunogen

The exact immunogen used to generate this antibody is proprietary information.

Specificity

Unsuitable for mouse and rat ICC.

Reactivity data

{ "title": "Reactivity Data", "filters": { "stats": ["", "Species", "Dilution Info", "Notes"], "tabs": { "all-applications": {"fullname" : "All Applications", "shortname": "All Applications"}, "WB" : {"fullname" : "Western blot", "shortname":"WB"}, "ICCIF" : {"fullname" : "Immunocytochemistry/ Immunofluorescence", "shortname":"ICC/IF"}, "IHCFr" : {"fullname" : "Immunohistochemistry (Frozen sections)", "shortname":"IHC-Fr"}, "IHCP" : {"fullname" : "Immunohistochemistry (Formalin/PFA-fixed paraffin-embedded sections)", "shortname":"IHC-P"} }, "product-promise": { "all": "all", "testedAndGuaranteed": "tested", "guaranteed": "expected", "predicted": "predicted", "notRecommended": "not-recommended" } }, "values": { "Human": { "WB-species-checked": "testedAndGuaranteed", "WB-species-dilution-info": "1/1000", "WB-species-notes": "<p></p>", "ICCIF-species-checked": "testedAndGuaranteed", "ICCIF-species-dilution-info": "1/100", "ICCIF-species-notes": "<p></p>", "IHCFr-species-checked": "notRecommended", "IHCFr-species-dilution-info": "", "IHCFr-species-notes": "", "IHCP-species-checked": "notRecommended", "IHCP-species-dilution-info": "", "IHCP-species-notes": "<p></p>" }, "Mouse": { "WB-species-checked": "testedAndGuaranteed", "WB-species-dilution-info": "1/1000", "WB-species-notes": "<p></p>", "ICCIF-species-checked": "notRecommended", "ICCIF-species-dilution-info": "", "ICCIF-species-notes": "<p></p>", "IHCFr-species-checked": "notRecommended", "IHCFr-species-dilution-info": "", "IHCFr-species-notes": "<p></p>", "IHCP-species-checked": "notRecommended", "IHCP-species-dilution-info": "", "IHCP-species-notes": "<p></p>" }, "Rat": { "WB-species-checked": "testedAndGuaranteed", "WB-species-dilution-info": "1/1000", "WB-species-notes": "<p></p>", "ICCIF-species-checked": "notRecommended", "ICCIF-species-dilution-info": "", "ICCIF-species-notes": "<p></p>", "IHCFr-species-checked": "notRecommended", "IHCFr-species-dilution-info": "", "IHCFr-species-notes": "<p></p>", "IHCP-species-checked": "notRecommended", "IHCP-species-dilution-info": "", "IHCP-species-notes": "<p></p>" } } }

Product details

Patented technology
Our RabMAb® technology is a patented hybridoma-based technology for making rabbit monoclonal antibodies. For details on our patents, please refer to RabMAb® patents.

What are the advantages of a recombinant monoclonal antibody?
This product is a recombinant monoclonal antibody, which offers several advantages including:

  • - High batch-to-batch consistency and reproducibility
  • - Improved sensitivity and specificity
  • - Long-term security of supply
  • - Animal-free batch production

For more information, read more on recombinant antibodies.

Properties and storage information

Form
Liquid
Purification technique
Affinity purification Protein A
Storage buffer
pH: 7.2 - 7.4 Preservative: 0.01% Sodium azide Constituents: PBS, 40% Glycerol (glycerin, glycerine), 0.05% BSA
Shipped at conditions
Blue Ice
Appropriate short-term storage duration
1-2 weeks
Appropriate short-term storage conditions
+4°C
Appropriate long-term storage conditions
-20°C
Aliquoting information
Upon delivery aliquot
Storage information
Avoid freeze / thaw cycle

Product protocols

For this product, it's our understanding that no specific protocols are required. You can visit:

Target data

Involved in the generation of internal asymmetric signals required for neuronal polarization and neurite outgrowth (PubMed : 23864681). Mediates netrin-1-induced F-actin-substrate coupling or 'clutch engagement' within the axon growth cone through activation of CDC42, RAC1 and PAK1-dependent signaling pathway, thereby converting the F-actin retrograde flow into traction forces, concomitantly with filopodium extension and axon outgrowth. Plays a role in cytoskeletal organization by regulating the subcellular localization of phosphoinositide 3-kinase (PI3K) activity at the axonal growth cone. Also plays a role in regenerative neurite outgrowth (By similarity). In the developing cortex, cooperates with KIF20B to promote both the transition from the multipolar to the bipolar stage and the radial migration of cortical neurons from the ventricular zone toward the superficial layer of the neocortex (PubMed : 23864681). Involved in the accumulation of phosphatidylinositol 3,4,5-trisphosphate (PIP3) in the growth cone of primary hippocampal neurons (PubMed : 23864681).
See full target information Shtn1

Product promise

We are committed to supporting your work with high-quality reagents, and we're here for you every step of the way. In the unlikely event that one of our products does not perform as expected, you're protected by our Product Promise.
For full details, please see our Terms & Conditions

Please note: All products are 'FOR RESEARCH USE ONLY. NOT FOR USE IN DIAGNOSTIC OR THERAPEUTIC PROCEDURES'.

For licensing inquiries, please contact partnerships@abcam.com