JavaScript is disabled in your browser. Please enable JavaScript to view this website.
AB32559

Anti-SHP1 antibody [Y476]

  • BOND RX™ Validated
  • RabMAb
  • Recombinant
  • KO Validated
  • 20ul selling size
  • What is this?

5

(3 Reviews)

|

(32 Publications)

Rabbit Recombinant Monoclonal SHP1 antibody. Suitable for WB, IHC-P and reacts with Mouse, Rat, Human samples. Cited in 32 publications.

View Alternative Names

HCP, PTP1C, PTPN6, Tyrosine-protein phosphatase non-receptor type 6, Hematopoietic cell protein-tyrosine phosphatase, Protein-tyrosine phosphatase 1C, Protein-tyrosine phosphatase SHP-1, SH-PTP1, PTP-1C

10 Images
Immunohistochemistry (Formalin/PFA-fixed paraffin-embedded sections) - Anti-SHP1 antibody [Y476] (AB32559)
  • IHC-P

Lab

Immunohistochemistry (Formalin/PFA-fixed paraffin-embedded sections) - Anti-SHP1 antibody [Y476] (AB32559)

Tissue Microarrays stained for "Anti-SHP1 antibody [Y476]" using "ab32559"in immunohistochemical analysis. This table provides a detailed overview of positive (tick mark) and negative (cross mark) staining per sample type tested. The sections were pre-treated using Heat mediated antigen retrieval using Bond™ Epitope Retrieval Solution 2 (pH 9.0) for 20 minutes. The sections were incubated with ab32559 for 30 mins at room temperature followed by a ready to use Rabbit specific IHC polymer detection kit HRP/DAB (ab209101). The immunostaining was performed on a Leica Biosystems BOND® RX instrument.

Immunohistochemistry (Formalin/PFA-fixed paraffin-embedded sections) - Anti-SHP1 antibody [Y476] (AB32559)
  • IHC-P

Unknown

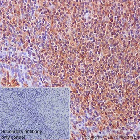
Immunohistochemistry (Formalin/PFA-fixed paraffin-embedded sections) - Anti-SHP1 antibody [Y476] (AB32559)

Unpurified ab32559, at a 1/50 dilution, staining human lymph node by immunohistochemistry, Paraffin embedded tissue.

Immunohistochemistry (Formalin/PFA-fixed paraffin-embedded sections) - Anti-SHP1 antibody [Y476] (AB32559)
  • IHC-P

Unknown

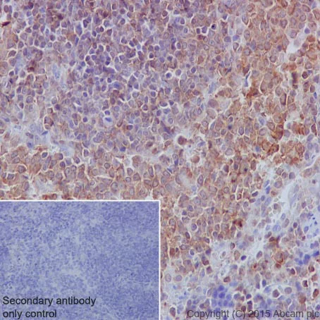
Immunohistochemistry (Formalin/PFA-fixed paraffin-embedded sections) - Anti-SHP1 antibody [Y476] (AB32559)

Immunohistochemical staining of paraffin embedded human tonsil with purified ab32559 at a working dilution of 1/100. The secondary antibody used is HRP goat anti-rabbit IgG H&L (ab97051) at 1/500. The sample is counter-stained with hematoxylin. Antigen retrieval was perfomed using Tris-EDTA buffer, pH 9.0. PBS was used instead of the primary antibody as the negative control, and is shown in the inset.

Immunohistochemistry (Formalin/PFA-fixed paraffin-embedded sections) - Anti-SHP1 antibody [Y476] (AB32559)
  • IHC-P

Lab

Immunohistochemistry (Formalin/PFA-fixed paraffin-embedded sections) - Anti-SHP1 antibody [Y476] (AB32559)

Tissue Microarrays stained for "Anti-SHP1 antibody [Y476]" using "ab32559"in immunohistochemical analysis. This table provides a detailed overview of positive (tick mark) and negative (cross mark) staining per sample type tested. The sections were pre-treated using Heat mediated antigen retrieval using Bond™ Epitope Retrieval Solution 2 (pH 9.0) for 20 minutes. The sections were incubated with ab32559 for 30 mins at room temperature followed by a ready to use Rabbit specific IHC polymer detection kit HRP/DAB (ab209101). The immunostaining was performed on a Leica Biosystems BOND® RX instrument.

Western blot - Anti-SHP1 antibody [Y476] (AB32559)
  • WB

Unknown

Western blot - Anti-SHP1 antibody [Y476] (AB32559)

All lanes:

Western blot - Anti-SHP1 antibody [Y476] (ab32559) at 1/1000 dilution

Lane 1:

A- A431 cell lysate

Lane 2:

B- Jurkat cell lysate

Lane 3:

C- K562 cell lysate

Predicted band size: 68 kDa

Observed band size: 65 kDa

false

Western blot - Anti-SHP1 antibody [Y476] (AB32559)
  • WB

Lab

Western blot - Anti-SHP1 antibody [Y476] (AB32559)

Blocking buffer : 5% NFDM/TBST
Dilution buffer : 5% NFDM/TBST

All lanes:

Western blot - Anti-SHP1 antibody [Y476] (ab32559) at 1/1000 dilution

Lane 1:

A431 cell lysate at 20 µg

Lane 2:

Jurkat cell lysate at 20 µg

Secondary

All lanes:

HRP goat anti-rabbit IgG (H+L) at 1/50000 dilution

Predicted band size: 68 kDa

Observed band size: 65 kDa

false

Western blot - Anti-SHP1 antibody [Y476] (AB32559)
  • WB

Lab

Western blot - Anti-SHP1 antibody [Y476] (AB32559)

Blocking buffer : 5% NFDM/TBST
Dilution buffer : 5% NFDM/TBST

All lanes:

Western blot - Anti-SHP1 antibody [Y476] (ab32559) at 1/1000 dilution

Lane 1:

SP2/0 cell lysate at 20 µg

Lane 2:

mouse marrow at 20 µg

Lane 3:

rat brain at 20 µg

Lane 4:

C6 cell lysate at 20 µg

Lane 5:

rat cerebral cortex at 20 µg

Secondary

All lanes:

HRP goat anti-rabbit IgG (H+L) at 1/50000 dilution

Predicted band size: 68 kDa

Observed band size: 65 kDa

false

Immunohistochemistry (Formalin/PFA-fixed paraffin-embedded sections) - Anti-SHP1 antibody [Y476] (AB32559)
  • IHC-P

Unknown

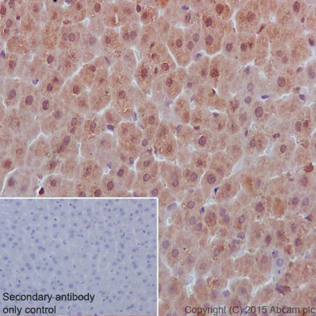
Immunohistochemistry (Formalin/PFA-fixed paraffin-embedded sections) - Anti-SHP1 antibody [Y476] (AB32559)

Immunohistochemical staining of paraffin embedded mouse liver with purified ab32559 at a working dilution of 1/100. The secondary antibody used is HRP goat anti-rabbit IgG H&L (ab97051) at 1/500. The sample is counter-stained with hematoxylin. Antigen retrieval was perfomed using Tris-EDTA buffer, pH 9.0. PBS was used instead of the primary antibody as the negative control, and is shown in the inset.

Immunohistochemistry (Formalin/PFA-fixed paraffin-embedded sections) - Anti-SHP1 antibody [Y476] (AB32559)
  • IHC-P

Unknown

Immunohistochemistry (Formalin/PFA-fixed paraffin-embedded sections) - Anti-SHP1 antibody [Y476] (AB32559)

Immunohistochemical staining of paraffin embedded rat spleen with purified ab32559 at a working dilution of 1/100. The secondary antibody used is HRP goat anti-rabbit IgG H&L (ab97051) at 1/500. The sample is counter-stained with hematoxylin. Antigen retrieval was perfomed using Tris-EDTA buffer, pH 9.0. PBS was used instead of the primary antibody as the negative control, and is shown in the inset.

Western blot - Anti-SHP1 antibody [Y476] (AB32559)
  • WB

Lab

Western blot - Anti-SHP1 antibody [Y476] (AB32559)

Lanes 1 - 4 : Merged signal (red and green). Green - ab32559 observed at 70 kDa. Red - loading control ab8245 (Mouse anti-GAPDH antibody [6C5]) observed at 37 kDa.

ab32559 was shown to react with SHP1 in wild-type THP-1 cells in Western blot with loss of signal observed in PTPN6 knockout sample. Wild-type THP-1 and PTPN6 knockout cell lysates were subjected to SDS-PAGE. Membranes were blocked in 3 % milk in TBS-T (0.1 % Tween®) before incubation with ab32559 and ab8245 (Mouse anti-GAPDH antibody [6C5]) overnight at 4 °C at a 1 in 1000 dilution and a 1 in 20000 dilution respectively. Blots were incubated with Goat anti-Rabbit IgG H&L (IRDye® 800CW) preabsorbed (ab216773) and Goat anti-Mouse IgG H&L (IRDye® 680RD) preabsorbed (ab216776) secondary antibodies at 1 in 20000 dilution for 1 h at room temperature before imaging.

All lanes:

Western blot - Anti-SHP1 antibody [Y476] (ab32559) at 1/1000 dilution

Lane 1:

Wild-type THP-1 cell lysate at 20 µg

Lane 2:

PTPN6 knockout THP-1 cell lysate at 20 µg

Lane 2:

Western blot - Human PTPN6 knockout THP-1 cell line (<a href='/en-us/products/cell-lines/human-ptpn6-knockout-thp-1-cell-line-ab273717'>ab273717</a>)

Lane 3:

Jurkat cell lysate at 20 µg

Lane 4:

K562 cell lysate at 20 µg

Predicted band size: 68 kDa,83 kDa

Observed band size: 70 kDa,85 kDa

false

  • 565 Alexa Fluor® 555

    Alexa Fluor® 555 Anti-SHP1 antibody [Y476]

  • HRP

    HRP Anti-SHP1 antibody [Y476]

  • 578 PE

    PE Anti-SHP1 antibody [Y476]

  • Carrier free

    Anti-SHP1 antibody [Y476] - BSA and Azide free

Key facts

Host species

Rabbit

Clonality

Monoclonal

Clone number

Y476

Isotype

IgG

Carrier free

No

Reacts with

Mouse, Rat, Human

Applications

WB, IHC-P

applications

Immunogen

The exact immunogen used to generate this antibody is proprietary information.

Specificity

The antibody is predicted to detect isoforms 1, 2 and 3 of human SHP1 based on sequence analysis.

Reactivity data

{ "title": "Reactivity Data", "filters": { "stats": ["", "Species", "Dilution Info", "Notes"], "tabs": { "all-applications": {"fullname" : "All Applications", "shortname": "All Applications"}, "IP" : {"fullname" : "Immunoprecipitation", "shortname":"IP"}, "FlowCyt" : {"fullname" : "Flow Cytometry", "shortname":"Flow Cyt"}, "WB" : {"fullname" : "Western blot", "shortname":"WB"}, "ICCIF" : {"fullname" : "Immunocytochemistry/ Immunofluorescence", "shortname":"ICC/IF"}, "IHCP" : {"fullname" : "Immunohistochemistry (Formalin/PFA-fixed paraffin-embedded sections)", "shortname":"IHC-P"} }, "product-promise": { "all": "all", "testedAndGuaranteed": "tested", "guaranteed": "expected", "predicted": "predicted", "notRecommended": "not-recommended" } }, "values": { "Human": { "IP-species-checked": "notRecommended", "IP-species-dilution-info": "", "IP-species-notes": "<p></p>", "FlowCyt-species-checked": "notRecommended", "FlowCyt-species-dilution-info": "", "FlowCyt-species-notes": "<p></p>", "WB-species-checked": "testedAndGuaranteed", "WB-species-dilution-info": "1/1000", "WB-species-notes": "<p></p>", "ICCIF-species-checked": "notRecommended", "ICCIF-species-dilution-info": "", "ICCIF-species-notes": "<p></p>", "IHCP-species-checked": "testedAndGuaranteed", "IHCP-species-dilution-info": "1/100", "IHCP-species-notes": "<p></p> Perform heat-mediated antigen retrieval with Tris/EDTA buffer pH 9.0 before commencing with IHC staining protocol." }, "Mouse": { "IP-species-checked": "notRecommended", "IP-species-dilution-info": "", "IP-species-notes": "<p></p>", "FlowCyt-species-checked": "notRecommended", "FlowCyt-species-dilution-info": "", "FlowCyt-species-notes": "<p></p>", "WB-species-checked": "testedAndGuaranteed", "WB-species-dilution-info": "1/1000", "WB-species-notes": "<p></p>", "ICCIF-species-checked": "notRecommended", "ICCIF-species-dilution-info": "", "ICCIF-species-notes": "<p></p>", "IHCP-species-checked": "testedAndGuaranteed", "IHCP-species-dilution-info": "1/100", "IHCP-species-notes": "<p></p> Perform heat-mediated antigen retrieval with Tris/EDTA buffer pH 9.0 before commencing with IHC staining protocol." }, "Rat": { "IP-species-checked": "notRecommended", "IP-species-dilution-info": "", "IP-species-notes": "<p></p>", "FlowCyt-species-checked": "notRecommended", "FlowCyt-species-dilution-info": "", "FlowCyt-species-notes": "<p></p>", "WB-species-checked": "testedAndGuaranteed", "WB-species-dilution-info": "1/1000", "WB-species-notes": "<p></p>", "ICCIF-species-checked": "notRecommended", "ICCIF-species-dilution-info": "", "ICCIF-species-notes": "<p></p>", "IHCP-species-checked": "testedAndGuaranteed", "IHCP-species-dilution-info": "1/100", "IHCP-species-notes": "<p></p> Perform heat-mediated antigen retrieval with Tris/EDTA buffer pH 9.0 before commencing with IHC staining protocol." } } }

Product details

Patented technology
Our RabMAb® technology is a patented hybridoma-based technology for making rabbit monoclonal antibodies. For details on our patents, please refer to RabMAb® patents.

What are the advantages of a recombinant monoclonal antibody?
This product is a recombinant monoclonal antibody, which offers several advantages including:

  • - High batch-to-batch consistency and reproducibility
  • - Improved sensitivity and specificity
  • - Long-term security of supply
  • - Animal-free batch production

For more information, read more on recombinant antibodies.

Properties and storage information

Form
Liquid
Purification technique
Affinity purification Protein A
Storage buffer
pH: 7.2 - 7.4 Preservative: 0.01% Sodium azide Constituents: 59% PBS, 40% Glycerol (glycerin, glycerine), 0.05% BSA
Shipped at conditions
Blue Ice
Appropriate short-term storage duration
1-2 weeks
Appropriate short-term storage conditions
+4°C
Appropriate long-term storage conditions
-20°C
Aliquoting information
Upon delivery aliquot
Storage information
Stable for 12 months at -20°C

Supplementary information

This supplementary information is collated from multiple sources and compiled automatically.

SHP1 also known as PTPN6 belongs to the family of protein tyrosine phosphatases and has a protein mass of approximately 68 kDa. It plays a critical role in cell signaling by dephosphorylating specific targets leading to the modulation of signal transduction pathways. SHP1 is ubiquitously expressed with high levels observed in hematopoietic cells suggesting a specialized function in the immune system.
Biological function summary

SHP1 influences cell proliferation survival and differentiation by acting as a negative regulator of signaling pathways. It is not a part of a larger protein complex but it associates transiently with different receptors and substrates. It plays an important role in the immune response by regulating cytokine signaling which is important for maintaining the balance between immune activation and tolerance.

Pathways

SHP1 significantly impacts the JAK/STAT and B cell receptor signaling pathways. In the JAK/STAT pathway SHP1 interacts with JAK kinases contributing to the downregulation of cytokine signaling. In B cell receptor signaling it associates with Syk influencing immune cell activation and function.

SHP1 has a role in autoimmune diseases such as rheumatoid arthritis and certain types of leukemia. In rheumatoid arthritis defective regulation by SHP1 can lead to excessive inflammation while in leukemia its altered activity impacts cell growth and survival. It interacts with proteins such as STATs and SOCS which are important in these pathologies.

Product protocols

For this product, it's our understanding that no specific protocols are required. You can visit:

Target data

Tyrosine phosphatase enzyme that plays important roles in controlling immune signaling pathways and fundamental physiological processes such as hematopoiesis (PubMed : 14739280, PubMed : 29925997). Dephosphorylates and negatively regulate several receptor tyrosine kinases (RTKs) such as EGFR, PDGFR and FGFR, thereby modulating their signaling activities (PubMed : 21258366, PubMed : 9733788). When recruited to immunoreceptor tyrosine-based inhibitory motif (ITIM)-containing receptors such as immunoglobulin-like transcript 2/LILRB1, programmed cell death protein 1/PDCD1, CD3D, CD22, CLEC12A and other receptors involved in immune regulation, initiates their dephosphorylation and subsequently inhibits downstream signaling events (PubMed : 11907092, PubMed : 14739280, PubMed : 37932456, PubMed : 38166031). Modulates the signaling of several cytokine receptors including IL-4 receptor (PubMed : 9065461). Additionally, targets multiple cytoplasmic signaling molecules including STING1, LCK or STAT1 among others involved in diverse cellular processes including modulation of T-cell activation or cGAS-STING signaling (PubMed : 34811497, PubMed : 38532423). Within the nucleus, negatively regulates the activity of some transcription factors such as NFAT5 via direct dephosphorylation. Acts also as a key transcriptional regulator of hepatic gluconeogenesis by controlling recruitment of RNA polymerase II to the PCK1 promoter together with STAT5A (PubMed : 37595871).
See full target information PTPN6

Publications (32)

Recent publications for all applications. Explore the full list and refine your search

Annals of hematology 104:4101-4109 PubMed40825899

2025

Sirolimus modulates the erythroid differentiation of K562 cells by upregulating SHP1.

Applications

Unspecified application

Species

Unspecified reactive species

Yuan Yang,Zengwei Tang,Qinglin Hu,Chen Yang,Miao Chen,Hongmei Jing,Bing Han

Aging 16:9437-9459 PubMed38814177

2024

Machine learning-based identification and immune characterization of ferroptosis-related molecular clusters in osteoarthritis and validation.

Applications

Unspecified application

Species

Unspecified reactive species

Xiaocheng Guo,Xinyuan Feng,Yue Yang,Wenying An,Lunhao Bai

Aging 15:9822-9841 PubMed37737713

2023

Single-cell and bulk sequencing analyses reveal the immune suppressive role of PTPN6 in glioblastoma.

Applications

Unspecified application

Species

Unspecified reactive species

Xiaonan Zhang,Jie Chen,Ming Zhang,Saisai Liu,Tao Wang,Tianyu Wu,Baiqing Li,Shidi Zhao,Hongtao Wang,Li Li,Chun Wang,Li Huang

Signal transduction and targeted therapy 8:236 PubMed37332010

2023

Soluble CD4 effectively prevents excessive TLR activation of resident macrophages in the onset of sepsis.

Applications

Unspecified application

Species

Unspecified reactive species

Sheng-Yuan Zhang,Qiu-Ping Xu,Li-Na Shi,Shih-Wen Li,Wei-Hong Wang,Qing-Qing Wang,Liao-Xun Lu,Hui Xiao,Jun-Hong Wang,Feng-Ying Li,Yin-Ming Liang,Si-Tang Gong,Hao-Ran Peng,Zheng Zhang,Hong Tang

Frontiers in endocrinology 14:1131993 PubMed37334311

2023

Changes and related factors of blood CCN1 levels in diabetic patients.

Applications

Unspecified application

Species

Unspecified reactive species

Zhao-Yu Xiang,Shu-Li Chen,Xin-Ran Qin,Sen-Lin Lin,Yi Xu,Li-Na Lu,Hai-Dong Zou

Molecular medicine (Cambridge, Mass.) 28:125 PubMed36273174

2022

SHP-1 knockdown suppresses mitochondrial biogenesis and aggravates mitochondria-dependent apoptosis induced by all trans retinal through the STING/AMPK pathways.

Applications

Unspecified application

Species

Unspecified reactive species

Xiaonan Zhuang,Jun Ma,Gezhi Xu,Zhongcui Sun

International journal of molecular sciences 23: PubMed36012293

2022

Dynamic Changes in Colonic Structure and Protein Expression Suggest Regulatory Mechanisms of Colonic Barrier Function in Torpor-Arousal Cycles of the Daurian Ground Squirrel.

Applications

Unspecified application

Species

Unspecified reactive species

Weilan Miao,Yuting Han,Yingyu Yang,Ziwei Hao,Ning An,Jiayu Chen,Ziwen Zhang,Xuli Gao,Kenneth B Storey,Hui Chang,Shiwei Wang

The EMBO journal 41:e109720 PubMed35938192

2022

SHP-1 dephosphorylates histone H2B to facilitate its ubiquitination during transcription.

Applications

Unspecified application

Species

Unspecified reactive species

Prajakta Tathe,K V S Rammohan Chowdary,Krushna Chandra Murmu,Punit Prasad,Subbareddy Maddika

Cell metabolism 34:1088-1103.e6 PubMed35921817

2022

CD24-Siglec axis is an innate immune checkpoint against metaflammation and metabolic disorder.

Applications

Unspecified application

Species

Unspecified reactive species

Xu Wang,Mingyue Liu,Jifeng Zhang,Nicholas K Brown,Peng Zhang,Yan Zhang,Heng Liu,Xuexiang Du,Wei Wu,Martin Devenport,Weng Tao,Yang Mao-Draayer,Guo-Yun Chen,Y Eugene Chen,Pan Zheng,Yang Liu

Cellular and molecular gastroenterology and hepatology 13:1161-1179 PubMed34990887

2022

Hepatic Reduction in Cholesterol 25-Hydroxylase Aggravates Diet-induced Steatosis.

Applications

Unspecified application

Species

Unspecified reactive species

Zeyu Dong,Fangzhou He,Xiaosong Yan,Yuanming Xing,Yuyang Lei,Jie Gao,Ming He,Dongmin Li,Liang Bai,Zuyi Yuan,John Y-J Shyy
View all publications

Product promise

We are committed to supporting your work with high-quality reagents, and we're here for you every step of the way. In the unlikely event that one of our products does not perform as expected, you're protected by our Product Promise.
For full details, please see our Terms & Conditions

Please note: All products are 'FOR RESEARCH USE ONLY. NOT FOR USE IN DIAGNOSTIC OR THERAPEUTIC PROCEDURES'.

For licensing inquiries, please contact partnerships@abcam.com