JavaScript is disabled in your browser. Please enable JavaScript to view this website.
AB226008

Anti-SHP1 antibody [Y476] - BSA and Azide free

  • BOND RX™ Validated
  • RabMAb
  • Recombinant
  • KO Validated
  • What is this?

4

(1 Review)

|

(1 Publication)

Rabbit Recombinant Monoclonal SHP1 antibody. Carrier free. Suitable for WB, IHC-P and reacts with Mouse, Rat, Human samples. Cited in 1 publication.

View Alternative Names

HCP, PTP1C, PTPN6, Tyrosine-protein phosphatase non-receptor type 6, Hematopoietic cell protein-tyrosine phosphatase, Protein-tyrosine phosphatase 1C, Protein-tyrosine phosphatase SHP-1, SH-PTP1, PTP-1C

7 Images
Immunohistochemistry (Formalin/PFA-fixed paraffin-embedded sections) - Anti-SHP1 antibody [Y476] - BSA and Azide free (AB226008)
  • IHC-P

Unknown

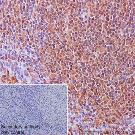
Immunohistochemistry (Formalin/PFA-fixed paraffin-embedded sections) - Anti-SHP1 antibody [Y476] - BSA and Azide free (AB226008)

This IHC data was generated using the same anti-SHP1 antibody clone [Y476] in a different buffer formulation (cat# ab32559).

Unpurified ab32559, at a 1/50 dilution, staining human lymph node by immunohistochemistry, Paraffin embedded tissue.

Immunohistochemistry (Formalin/PFA-fixed paraffin-embedded sections) - Anti-SHP1 antibody [Y476] - BSA and Azide free (AB226008)
  • IHC-P

Unknown

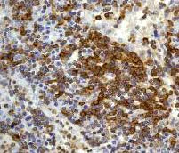
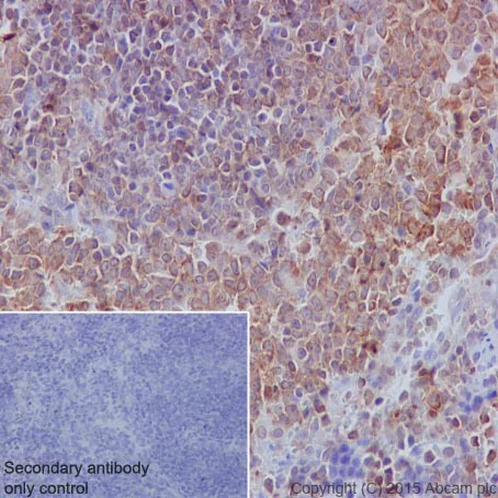
Immunohistochemistry (Formalin/PFA-fixed paraffin-embedded sections) - Anti-SHP1 antibody [Y476] - BSA and Azide free (AB226008)

Immunohistochemical staining of paraffin embedded human tonsil with purified ab32559 at a working dilution of 1/100. The secondary antibody used is HRP goat anti-rabbit IgG H&L (ab97051) at 1/500. The sample is counter-stained with hematoxylin. Antigen retrieval was perfomed using Tris-EDTA buffer, pH 9.0. PBS was used instead of the primary antibody as the negative control, and is shown in the inset.This data was developed using the same antibody clone in a different buffer formulation containing PBS, BSA, glycerol, and sodium azide (ab32559).

Immunohistochemistry (Formalin/PFA-fixed paraffin-embedded sections) - Anti-SHP1 antibody [Y476] - BSA and Azide free (AB226008)
  • IHC-P

Lab

Immunohistochemistry (Formalin/PFA-fixed paraffin-embedded sections) - Anti-SHP1 antibody [Y476] - BSA and Azide free (AB226008)

Tissue Microarrays stained for "Anti-SHP1 antibody [Y476]" using "ab32559"in immunohistochemical analysis. This table provides a detailed overview of positive (tick mark) and negative (cross mark) staining per sample type tested. The sections were pre-treated using Heat mediated antigen retrieval using Bond™ Epitope Retrieval Solution 2 (pH 9.0) for 20 minutes. The sections were incubated with ab32559 for 30 mins at room temperature followed by a ready to use Rabbit specific IHC polymer detection kit HRP/DAB (ab209101). The immunostaining was performed on a Leica Biosystems BOND® RX instrument.

Immunohistochemistry (Formalin/PFA-fixed paraffin-embedded sections) - Anti-SHP1 antibody [Y476] - BSA and Azide free (AB226008)
  • IHC-P

Lab

Immunohistochemistry (Formalin/PFA-fixed paraffin-embedded sections) - Anti-SHP1 antibody [Y476] - BSA and Azide free (AB226008)

Tissue Microarrays stained for "Anti-SHP1 antibody [Y476]" using "ab32559"in immunohistochemical analysis. This table provides a detailed overview of positive (tick mark) and negative (cross mark) staining per sample type tested. The sections were pre-treated using Heat mediated antigen retrieval using Bond™ Epitope Retrieval Solution 2 (pH 9.0) for 20 minutes. The sections were incubated with ab32559 for 30 mins at room temperature followed by a ready to use Rabbit specific IHC polymer detection kit HRP/DAB (ab209101). The immunostaining was performed on a Leica Biosystems BOND® RX instrument.

Immunohistochemistry (Formalin/PFA-fixed paraffin-embedded sections) - Anti-SHP1 antibody [Y476] - BSA and Azide free (AB226008)
  • IHC-P

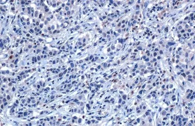
Unknown

Immunohistochemistry (Formalin/PFA-fixed paraffin-embedded sections) - Anti-SHP1 antibody [Y476] - BSA and Azide free (AB226008)

Immunohistochemical staining of paraffin embedded rat spleen with purified ab32559 at a working dilution of 1/100. The secondary antibody used is HRP goat anti-rabbit IgG H&L (ab97051) at 1/500. The sample is counter-stained with hematoxylin. Antigen retrieval was perfomed using Tris-EDTA buffer, pH 9.0. PBS was used instead of the primary antibody as the negative control, and is shown in the inset.This data was developed using the same antibody clone in a different buffer formulation containing PBS, BSA, glycerol, and sodium azide (ab32559).

Immunohistochemistry (Formalin/PFA-fixed paraffin-embedded sections) - Anti-SHP1 antibody [Y476] - BSA and Azide free (AB226008)
  • IHC-P

Unknown

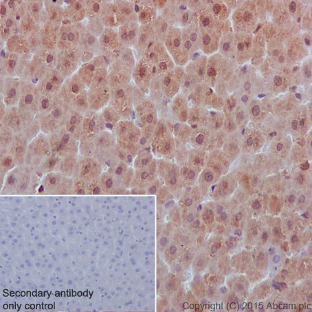
Immunohistochemistry (Formalin/PFA-fixed paraffin-embedded sections) - Anti-SHP1 antibody [Y476] - BSA and Azide free (AB226008)

Immunohistochemical staining of paraffin embedded mouse liver with purified ab32559 at a working dilution of 1/100. The secondary antibody used is HRP goat anti-rabbit IgG H&L (ab97051) at 1/500. The sample is counter-stained with hematoxylin. Antigen retrieval was perfomed using Tris-EDTA buffer, pH 9.0. PBS was used instead of the primary antibody as the negative control, and is shown in the inset.This data was developed using the same antibody clone in a different buffer formulation containing PBS, BSA, glycerol, and sodium azide (ab32559).

Western blot - Anti-SHP1 antibody [Y476] - BSA and Azide free (AB226008)
  • WB

Lab

Western blot - Anti-SHP1 antibody [Y476] - BSA and Azide free (AB226008)

This data was developed using the same antibody clone in a different buffer formulation (ab32559).

Lanes 1 - 4 : Merged signal (red and green). Green - ab32559 observed at 70 kDa. Red - loading control ab8245 (Mouse anti-GAPDH antibody [6C5]) observed at 37 kDa.

ab32559 was shown to react with SHP1 in wild-type THP-1 cells in Western blot with loss of signal observed in PTPN6 knockout sample. Wild-type THP-1 and PTPN6 knockout cell lysates were subjected to SDS-PAGE. Membranes were blocked in 3 % milk in TBS-T (0.1 % Tween®) before incubation with ab32559 and ab8245 (Mouse anti-GAPDH antibody [6C5]) overnight at 4 °C at a 1 in 1000 dilution and a 1 in 20000 dilution respectively. Blots were incubated with Goat anti-Rabbit IgG H&L (IRDye® 800CW) preabsorbed (ab216773) and Goat anti-Mouse IgG H&L (IRDye® 680RD) preabsorbed (ab216776) secondary antibodies at 1 in 20000 dilution for 1 h at room temperature before imaging.

All lanes:

Western blot - Anti-SHP1 antibody [Y476] (<a href='/en-us/products/primary-antibodies/shp1-antibody-y476-ab32559'>ab32559</a>) at 1/1000 dilution

Lane 1:

Wild-type THP-1 cell lysate at 20 µg

Lane 2:

PTPN6 knockout THP-1 cell lysate at 20 µg

Lane 2:

Western blot - Human PTPN6 knockout THP-1 cell line (<a href='/en-us/products/cell-lines/human-ptpn6-knockout-thp-1-cell-line-ab273717'>ab273717</a>)

Lane 3:

Jurkat cell lysate at 20 µg

Lane 4:

K562 cell lysate at 20 µg

Predicted band size: 68 kDa,83 kDa

Observed band size: 70 kDa,85 kDa

false

  • Unconjugated

    Anti-SHP1 antibody [Y476]

  • 565 Alexa Fluor® 555

    Alexa Fluor® 555 Anti-SHP1 antibody [Y476]

  • HRP

    HRP Anti-SHP1 antibody [Y476]

  • 578 PE

    PE Anti-SHP1 antibody [Y476]

Key facts

Host species

Rabbit

Clonality

Monoclonal

Clone number

Y476

Isotype

IgG

Carrier free

Yes

Reacts with

Mouse, Rat, Human

Applications

IHC-P, WB

applications

Immunogen

The exact immunogen used to generate this antibody is proprietary information.

Specificity

The antibody is predicted to detect isoforms 1, 2 and 3 of human SHP1 based on sequence analysis.

Reactivity data

{ "title": "Reactivity Data", "filters": { "stats": ["", "Species", "Dilution Info", "Notes"], "tabs": { "all-applications": {"fullname" : "All Applications", "shortname": "All Applications"}, "WB" : {"fullname" : "Western blot", "shortname":"WB"}, "IHCP" : {"fullname" : "Immunohistochemistry (Formalin/PFA-fixed paraffin-embedded sections)", "shortname":"IHC-P"} }, "product-promise": { "all": "all", "testedAndGuaranteed": "tested", "guaranteed": "expected", "predicted": "predicted", "notRecommended": "not-recommended" } }, "values": { "Human": { "WB-species-checked": "testedAndGuaranteed", "WB-species-dilution-info": "", "WB-species-notes": "<p></p> Perform heat-mediated antigen retrieval with Tris/EDTA buffer pH 9.0 before commencing with IHC staining protocol.", "IHCP-species-checked": "testedAndGuaranteed", "IHCP-species-dilution-info": "", "IHCP-species-notes": "<p></p> Perform heat-mediated antigen retrieval with Tris/EDTA buffer pH 9.0 before commencing with IHC staining protocol." }, "Mouse": { "WB-species-checked": "testedAndGuaranteed", "WB-species-dilution-info": "", "WB-species-notes": "<p></p> Perform heat-mediated antigen retrieval with Tris/EDTA buffer pH 9.0 before commencing with IHC staining protocol.", "IHCP-species-checked": "testedAndGuaranteed", "IHCP-species-dilution-info": "", "IHCP-species-notes": "<p></p> Perform heat-mediated antigen retrieval with Tris/EDTA buffer pH 9.0 before commencing with IHC staining protocol." }, "Rat": { "WB-species-checked": "testedAndGuaranteed", "WB-species-dilution-info": "", "WB-species-notes": "<p></p> Perform heat-mediated antigen retrieval with Tris/EDTA buffer pH 9.0 before commencing with IHC staining protocol.", "IHCP-species-checked": "testedAndGuaranteed", "IHCP-species-dilution-info": "", "IHCP-species-notes": "<p></p> Perform heat-mediated antigen retrieval with Tris/EDTA buffer pH 9.0 before commencing with IHC staining protocol." } } }

Product details

ab226008 is the carrier-free version of ab32559.

Patented technology
Our RabMAb® technology is a patented hybridoma-based technology for making rabbit monoclonal antibodies. For details on our patents, please refer to RabMAb® patents.

Conjugation ready
Our carrier-free antibodies are typically supplied in a PBS-only formulation, purified and free of BSA, sodium azide and glycerol. This conjugation-ready format is designed for use with fluorochromes, metal isotopes, oligonucleotides, and enzymes, which makes them ideal for antibody labelling, functional and cell-based assays, flow-based assays (e.g. mass cytometry) and Multiplex Imaging applications.

Use our conjugation kits for antibody conjugates that are ready-to-use in as little as 20 minutes with 1 minute hands-on-time and 100% antibody recovery: available for fluorescent dyes, HRP, biotin and gold.

Compatibility
This product is compatible with the Maxpar® Antibody Labeling Kit from Fluidigm, without the need for antibody preparation. Maxpar® is a trademark of Fluidigm Canada Inc.

Properties and storage information

Form
Liquid
Purification technique
Affinity purification Protein A
Storage buffer
pH: 7.2 - 7.4 Constituents: PBS
Shipped at conditions
Blue Ice
Appropriate short-term storage conditions
+4°C
Appropriate long-term storage conditions
+4°C
Storage information
Do Not Freeze

Supplementary information

This supplementary information is collated from multiple sources and compiled automatically.

SHP1 also known as PTPN6 belongs to the family of protein tyrosine phosphatases and has a protein mass of approximately 68 kDa. It plays a critical role in cell signaling by dephosphorylating specific targets leading to the modulation of signal transduction pathways. SHP1 is ubiquitously expressed with high levels observed in hematopoietic cells suggesting a specialized function in the immune system.
Biological function summary

SHP1 influences cell proliferation survival and differentiation by acting as a negative regulator of signaling pathways. It is not a part of a larger protein complex but it associates transiently with different receptors and substrates. It plays an important role in the immune response by regulating cytokine signaling which is important for maintaining the balance between immune activation and tolerance.

Pathways

SHP1 significantly impacts the JAK/STAT and B cell receptor signaling pathways. In the JAK/STAT pathway SHP1 interacts with JAK kinases contributing to the downregulation of cytokine signaling. In B cell receptor signaling it associates with Syk influencing immune cell activation and function.

SHP1 has a role in autoimmune diseases such as rheumatoid arthritis and certain types of leukemia. In rheumatoid arthritis defective regulation by SHP1 can lead to excessive inflammation while in leukemia its altered activity impacts cell growth and survival. It interacts with proteins such as STATs and SOCS which are important in these pathologies.

Product protocols

For this product, it's our understanding that no specific protocols are required. You can visit:

Target data

Tyrosine phosphatase enzyme that plays important roles in controlling immune signaling pathways and fundamental physiological processes such as hematopoiesis (PubMed : 14739280, PubMed : 29925997). Dephosphorylates and negatively regulate several receptor tyrosine kinases (RTKs) such as EGFR, PDGFR and FGFR, thereby modulating their signaling activities (PubMed : 21258366, PubMed : 9733788). When recruited to immunoreceptor tyrosine-based inhibitory motif (ITIM)-containing receptors such as immunoglobulin-like transcript 2/LILRB1, programmed cell death protein 1/PDCD1, CD3D, CD22, CLEC12A and other receptors involved in immune regulation, initiates their dephosphorylation and subsequently inhibits downstream signaling events (PubMed : 11907092, PubMed : 14739280, PubMed : 37932456, PubMed : 38166031). Modulates the signaling of several cytokine receptors including IL-4 receptor (PubMed : 9065461). Additionally, targets multiple cytoplasmic signaling molecules including STING1, LCK or STAT1 among others involved in diverse cellular processes including modulation of T-cell activation or cGAS-STING signaling (PubMed : 34811497, PubMed : 38532423). Within the nucleus, negatively regulates the activity of some transcription factors such as NFAT5 via direct dephosphorylation. Acts also as a key transcriptional regulator of hepatic gluconeogenesis by controlling recruitment of RNA polymerase II to the PCK1 promoter together with STAT5A (PubMed : 37595871).
See full target information PTPN6

Publications (1)

Recent publications for all applications. Explore the full list and refine your search

Journal of molecular medicine (Berlin, Germany) 92:983-94 PubMed24858946

2014

Inhibition of protein tyrosine phosphatases enhances cerebral collateral growth in rats.

Applications

IP

Species

Rat

Ivo Buschmann,Daniel Hackbusch,Nora Gatzke,André Dülsner,Manuela Trappiel,Markus Dagnell,Arne Ostman,Rob Hooft van Huijsduijnen,Kai Kappert
View all publications

Product promise

We are committed to supporting your work with high-quality reagents, and we're here for you every step of the way. In the unlikely event that one of our products does not perform as expected, you're protected by our Product Promise.
For full details, please see our Terms & Conditions

Please note: All products are 'FOR RESEARCH USE ONLY. NOT FOR USE IN DIAGNOSTIC OR THERAPEUTIC PROCEDURES'.

For licensing inquiries, please contact partnerships@abcam.com