JavaScript is disabled in your browser. Please enable JavaScript to view this website.
AB131500

Anti-SHP1 (phospho Y536) antibody

Be the first to review this product! Submit a review

|

(5 Publications)

Rabbit Polyclonal SHP1 phospho Y536 antibody. Suitable for IHC-P, ICC/IF and reacts with Human samples. Cited in 5 publications. Immunogen corresponding to Synthetic Peptide within Human PTPN6 phospho Y536 conjugated to Keyhole Limpet Haemocyanin.

View Alternative Names

HCP, PTP1C, PTPN6, Tyrosine-protein phosphatase non-receptor type 6, Hematopoietic cell protein-tyrosine phosphatase, Protein-tyrosine phosphatase 1C, Protein-tyrosine phosphatase SHP-1, SH-PTP1, PTP-1C

2 Images
Immunohistochemistry (Formalin/PFA-fixed paraffin-embedded sections) - Anti-SHP1 (phospho Y536) antibody (AB131500)
  • IHC-P

Unknown

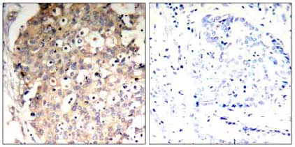
Immunohistochemistry (Formalin/PFA-fixed paraffin-embedded sections) - Anti-SHP1 (phospho Y536) antibody (AB131500)

Immunohistochemical analysis of paraffin-embedded Human breast carcinoma tissue labelling SHP1 (phospho Y536) with ab131500 at 1/50 dilution (left) or ab131500 preincubated with blocking peptide (right).

Immunocytochemistry/ Immunofluorescence - Anti-SHP1 (phospho Y536) antibody (AB131500)
  • ICC/IF

Unknown

Immunocytochemistry/ Immunofluorescence - Anti-SHP1 (phospho Y536) antibody (AB131500)

Immunofluorescent analysis of methanol-fixed HeLa cells labelling SHP1 (phospho Y536) with ab131500 at 1/100 dilution.

Key facts

Host species

Rabbit

Clonality

Polyclonal

Isotype

IgG

Carrier free

No

Reacts with

Human

Applications

IHC-P, ICC/IF

applications

Immunogen

Synthetic Peptide within Human PTPN6 phospho Y536 conjugated to Keyhole Limpet Haemocyanin. The exact immunogen used to generate this antibody is proprietary information.

P29350

Reactivity data

{ "title": "Reactivity Data", "filters": { "stats": ["", "Species", "Dilution Info", "Notes"], "tabs": { "all-applications": {"fullname" : "All Applications", "shortname": "All Applications"}, "IHCP" : {"fullname" : "Immunohistochemistry (Formalin/PFA-fixed paraffin-embedded sections)", "shortname":"IHC-P"}, "ICCIF" : {"fullname" : "Immunocytochemistry/ Immunofluorescence", "shortname":"ICC/IF"} }, "product-promise": { "all": "all", "testedAndGuaranteed": "tested", "guaranteed": "expected", "predicted": "predicted", "notRecommended": "not-recommended" } }, "values": { "Human": { "IHCP-species-checked": "testedAndGuaranteed", "IHCP-species-dilution-info": "1/50 - 1/100", "IHCP-species-notes": "<p></p>", "ICCIF-species-checked": "testedAndGuaranteed", "ICCIF-species-dilution-info": "1/100 - 1/200", "ICCIF-species-notes": "<p></p>" } } }

Properties and storage information

Form
Liquid
Purification technique
Affinity purification Immunogen
Purification notes
ab131500 was purified by affinity chromatography using epitope specific phosphopeptide. Non-phosphospecific antibodies were removed by chromatography using non-phosphopeptide.
Storage buffer
pH: 7.4 Preservative: 0.02% Sodium azide Constituents: PBS, 50% Glycerol (glycerin, glycerine), 0.88% Sodium chloride
Shipped at conditions
Blue Ice
Appropriate short-term storage conditions
+4°C
Appropriate long-term storage conditions
-20°C
Storage information
Stable for 12 months at -20°C

Supplementary information

This supplementary information is collated from multiple sources and compiled automatically.

SHP1 also known as PTPN6 belongs to the family of protein tyrosine phosphatases and has a protein mass of approximately 68 kDa. It plays a critical role in cell signaling by dephosphorylating specific targets leading to the modulation of signal transduction pathways. SHP1 is ubiquitously expressed with high levels observed in hematopoietic cells suggesting a specialized function in the immune system.
Biological function summary

SHP1 influences cell proliferation survival and differentiation by acting as a negative regulator of signaling pathways. It is not a part of a larger protein complex but it associates transiently with different receptors and substrates. It plays an important role in the immune response by regulating cytokine signaling which is important for maintaining the balance between immune activation and tolerance.

Pathways

SHP1 significantly impacts the JAK/STAT and B cell receptor signaling pathways. In the JAK/STAT pathway SHP1 interacts with JAK kinases contributing to the downregulation of cytokine signaling. In B cell receptor signaling it associates with Syk influencing immune cell activation and function.

SHP1 has a role in autoimmune diseases such as rheumatoid arthritis and certain types of leukemia. In rheumatoid arthritis defective regulation by SHP1 can lead to excessive inflammation while in leukemia its altered activity impacts cell growth and survival. It interacts with proteins such as STATs and SOCS which are important in these pathologies.

Product protocols

For this product, it's our understanding that no specific protocols are required. You can visit:

Target data

Tyrosine phosphatase enzyme that plays important roles in controlling immune signaling pathways and fundamental physiological processes such as hematopoiesis (PubMed : 14739280, PubMed : 29925997). Dephosphorylates and negatively regulate several receptor tyrosine kinases (RTKs) such as EGFR, PDGFR and FGFR, thereby modulating their signaling activities (PubMed : 21258366, PubMed : 9733788). When recruited to immunoreceptor tyrosine-based inhibitory motif (ITIM)-containing receptors such as immunoglobulin-like transcript 2/LILRB1, programmed cell death protein 1/PDCD1, CD3D, CD22, CLEC12A and other receptors involved in immune regulation, initiates their dephosphorylation and subsequently inhibits downstream signaling events (PubMed : 11907092, PubMed : 14739280, PubMed : 37932456, PubMed : 38166031). Modulates the signaling of several cytokine receptors including IL-4 receptor (PubMed : 9065461). Additionally, targets multiple cytoplasmic signaling molecules including STING1, LCK or STAT1 among others involved in diverse cellular processes including modulation of T-cell activation or cGAS-STING signaling (PubMed : 34811497, PubMed : 38532423). Within the nucleus, negatively regulates the activity of some transcription factors such as NFAT5 via direct dephosphorylation. Acts also as a key transcriptional regulator of hepatic gluconeogenesis by controlling recruitment of RNA polymerase II to the PCK1 promoter together with STAT5A (PubMed : 37595871).
See full target information PTPN6 phospho Y536

Publications (5)

Recent publications for all applications. Explore the full list and refine your search

International journal of nanomedicine 20:10353-10367 PubMed40896797

2025

Cardiac Homing Peptide-Functionalized Polymeric Nanoparticles Suppressing SHP1 Alleviate Acute Myocardial Infarction Injury by Promoting Efferocytosis and Inhibiting Inflammation.

Applications

Unspecified application

Species

Unspecified reactive species

Qi Pan,Guihao Chen,Xiaoli Zhuang,Fei Li,Yuejin Yang

Nature nanotechnology 15:154-161 PubMed31988506

2020

Pro-efferocytic nanoparticles are specifically taken up by lesional macrophages and prevent atherosclerosis.

Applications

Unspecified application

Species

Unspecified reactive species

Alyssa M Flores,Niloufar Hosseini-Nassab,Kai-Uwe Jarr,Jianqin Ye,Xingjun Zhu,Robert Wirka,Ai Leen Koh,Pavlos Tsantilas,Ying Wang,Vivek Nanda,Yoko Kojima,Yitian Zeng,Mozhgan Lotfi,Robert Sinclair,Irving L Weissman,Erik Ingelsson,Bryan Ronain Smith,Nicholas J Leeper

Cell death and differentiation 27:525-539 PubMed31222041

2019

Resolvin D1 promotes the targeting and clearance of necroptotic cells.

Applications

Unspecified application

Species

Unspecified reactive species

Brennan D Gerlach,Michael Marinello,Justin Heinz,Nicholas Rymut,Brian E Sansbury,Colin O Riley,Sudeshna Sadhu,Zeinab Hosseini,Yoko Kojima,Dale D Tang,Nicholas J Leeper,Matthew Spite,Margarida Barroso,Katey J Rayner,Gabrielle Fredman

Circulation 137:750-753 PubMed29440201

2018

Proefferocytic Therapy Promotes Transforming Growth Factor-β Signaling and Prevents Aneurysm Formation.

Applications

Unspecified application

Species

Unspecified reactive species

Yoko Kojima,Norna Werner,Jianqin Ye,Vivek Nanda,Noah Tsao,Ying Wang,Alyssa M Flores,Clint L Miller,Irving Weissman,Hongping Deng,Baohui Xu,Ronald L Dalman,Suzanne M Eken,Jaroslav Pelisek,Yuhuang Li,Lars Maegdefessel,Nicholas J Leeper

Nature 536:86-90 PubMed27437576

2016

CD47-blocking antibodies restore phagocytosis and prevent atherosclerosis.

Applications

Unspecified application

Species

Unspecified reactive species

Yoko Kojima,Jens-Peter Volkmer,Kelly McKenna,Mete Civelek,Aldons Jake Lusis,Clint L Miller,Daniel Direnzo,Vivek Nanda,Jianqin Ye,Andrew J Connolly,Eric E Schadt,Thomas Quertermous,Paola Betancur,Lars Maegdefessel,Ljubica Perisic Matic,Ulf Hedin,Irving L Weissman,Nicholas J Leeper
View all publications

Product promise

We are committed to supporting your work with high-quality reagents, and we're here for you every step of the way. In the unlikely event that one of our products does not perform as expected, you're protected by our Product Promise.
For full details, please see our Terms & Conditions

Please note: All products are 'FOR RESEARCH USE ONLY. NOT FOR USE IN DIAGNOSTIC OR THERAPEUTIC PROCEDURES'.

For licensing inquiries, please contact partnerships@abcam.com