JavaScript is disabled in your browser. Please enable JavaScript to view this website.
AB51171

Anti-SHP1 (phospho Y536) antibody

2

(1 Review)

|

(12 Publications)

Rabbit Polyclonal SHP1 phospho Y536 antibody. Suitable for WB, IHC-P and reacts with Mouse, Human samples. Cited in 12 publications. Immunogen corresponding to Synthetic Peptide within Human PTPN6 phospho Y536 aa 500 to C-terminus.

View Alternative Names

HCP, PTP1C, PTPN6, Tyrosine-protein phosphatase non-receptor type 6, Hematopoietic cell protein-tyrosine phosphatase, Protein-tyrosine phosphatase 1C, Protein-tyrosine phosphatase SHP-1, SH-PTP1, PTP-1C

2 Images
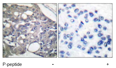
Immunohistochemistry (Formalin/PFA-fixed paraffin-embedded sections) - Anti-SHP1 (phospho Y536) antibody (AB51171)
  • IHC-P

Unknown

Immunohistochemistry (Formalin/PFA-fixed paraffin-embedded sections) - Anti-SHP1 (phospho Y536) antibody (AB51171)

ab51171 at 1/50 dilution staining SHP1 in human breast carcinoma by Immunohistochemistry, Paraffin embedded tissue, in the absence or presence of the immunising peptide.

Western blot - Anti-SHP1 (phospho Y536) antibody (AB51171)
  • WB

Unknown

Western blot - Anti-SHP1 (phospho Y536) antibody (AB51171)

Western blot analysis of extracts from RAW264.7 cells treated with EGF (200ng/ml, 5 minutes) Western blot analysis of extracts from RAW264.7 cells treated with EGF (200ng/ml, 5 minutes)

All lanes:

Western blot - Anti-SHP1 (phospho Y536) antibody (ab51171)

Predicted band size: 68 kDa

false

Key facts

Host species

Rabbit

Clonality

Polyclonal

Isotype

IgG

Carrier free

No

Reacts with

Mouse, Human

Applications

WB, IHC-P

applications

Immunogen

Synthetic Peptide within Human PTPN6 phospho Y536 aa 500 to C-terminus. The exact immunogen used to generate this antibody is proprietary information.

P29350

Reactivity data

{ "title": "Reactivity Data", "filters": { "stats": ["", "Species", "Dilution Info", "Notes"], "tabs": { "all-applications": {"fullname" : "All Applications", "shortname": "All Applications"}, "WB" : {"fullname" : "Western blot", "shortname":"WB"}, "IHCP" : {"fullname" : "Immunohistochemistry (Formalin/PFA-fixed paraffin-embedded sections)", "shortname":"IHC-P"} }, "product-promise": { "all": "all", "testedAndGuaranteed": "tested", "guaranteed": "expected", "predicted": "predicted", "notRecommended": "not-recommended" } }, "values": { "Human": { "WB-species-checked": "guaranteed", "WB-species-dilution-info": "", "WB-species-notes": "", "IHCP-species-checked": "testedAndGuaranteed", "IHCP-species-dilution-info": "", "IHCP-species-notes": "<p></p>" }, "Mouse": { "WB-species-checked": "testedAndGuaranteed", "WB-species-dilution-info": "1/300 - 1/1000", "WB-species-notes": "<p></p>", "IHCP-species-checked": "guaranteed", "IHCP-species-dilution-info": "", "IHCP-species-notes": "" } } }

Properties and storage information

Form
Liquid
Purification technique
Affinity purification Immunogen
Purification notes
ab51171 was affinity-purified from rabbit antiserum by affinity-chromatography using epitope-specific phosphopeptide. The antibody against non-phosphopeptide was removed by chromatography using non-phosphopeptide corresponding to the phosphorylation site.
Storage buffer
pH: 7.4 Preservative: 0.02% Sodium azide Constituents: PBS, 50% Glycerol (glycerin, glycerine), 0.87% Sodium chloride
Shipped at conditions
Blue Ice
Appropriate short-term storage conditions
+4°C
Appropriate long-term storage conditions
-20°C
Storage information
Stable for 12 months at -20°C

Supplementary information

This supplementary information is collated from multiple sources and compiled automatically.

SHP1 also known as PTPN6 belongs to the family of protein tyrosine phosphatases and has a protein mass of approximately 68 kDa. It plays a critical role in cell signaling by dephosphorylating specific targets leading to the modulation of signal transduction pathways. SHP1 is ubiquitously expressed with high levels observed in hematopoietic cells suggesting a specialized function in the immune system.
Biological function summary

SHP1 influences cell proliferation survival and differentiation by acting as a negative regulator of signaling pathways. It is not a part of a larger protein complex but it associates transiently with different receptors and substrates. It plays an important role in the immune response by regulating cytokine signaling which is important for maintaining the balance between immune activation and tolerance.

Pathways

SHP1 significantly impacts the JAK/STAT and B cell receptor signaling pathways. In the JAK/STAT pathway SHP1 interacts with JAK kinases contributing to the downregulation of cytokine signaling. In B cell receptor signaling it associates with Syk influencing immune cell activation and function.

SHP1 has a role in autoimmune diseases such as rheumatoid arthritis and certain types of leukemia. In rheumatoid arthritis defective regulation by SHP1 can lead to excessive inflammation while in leukemia its altered activity impacts cell growth and survival. It interacts with proteins such as STATs and SOCS which are important in these pathologies.

Product protocols

For this product, it's our understanding that no specific protocols are required. You can visit:

Target data

Tyrosine phosphatase enzyme that plays important roles in controlling immune signaling pathways and fundamental physiological processes such as hematopoiesis (PubMed : 14739280, PubMed : 29925997). Dephosphorylates and negatively regulate several receptor tyrosine kinases (RTKs) such as EGFR, PDGFR and FGFR, thereby modulating their signaling activities (PubMed : 21258366, PubMed : 9733788). When recruited to immunoreceptor tyrosine-based inhibitory motif (ITIM)-containing receptors such as immunoglobulin-like transcript 2/LILRB1, programmed cell death protein 1/PDCD1, CD3D, CD22, CLEC12A and other receptors involved in immune regulation, initiates their dephosphorylation and subsequently inhibits downstream signaling events (PubMed : 11907092, PubMed : 14739280, PubMed : 37932456, PubMed : 38166031). Modulates the signaling of several cytokine receptors including IL-4 receptor (PubMed : 9065461). Additionally, targets multiple cytoplasmic signaling molecules including STING1, LCK or STAT1 among others involved in diverse cellular processes including modulation of T-cell activation or cGAS-STING signaling (PubMed : 34811497, PubMed : 38532423). Within the nucleus, negatively regulates the activity of some transcription factors such as NFAT5 via direct dephosphorylation. Acts also as a key transcriptional regulator of hepatic gluconeogenesis by controlling recruitment of RNA polymerase II to the PCK1 promoter together with STAT5A (PubMed : 37595871).
See full target information PTPN6 phospho Y536

Publications (12)

Recent publications for all applications. Explore the full list and refine your search

Signal transduction and targeted therapy 8:236 PubMed37332010

2023

Soluble CD4 effectively prevents excessive TLR activation of resident macrophages in the onset of sepsis.

Applications

Unspecified application

Species

Unspecified reactive species

Sheng-Yuan Zhang,Qiu-Ping Xu,Li-Na Shi,Shih-Wen Li,Wei-Hong Wang,Qing-Qing Wang,Liao-Xun Lu,Hui Xiao,Jun-Hong Wang,Feng-Ying Li,Yin-Ming Liang,Si-Tang Gong,Hao-Ran Peng,Zheng Zhang,Hong Tang

Frontiers in cell and developmental biology 9:646077 PubMed34195186

2021

WASp Is Crucial for the Unique Architecture of the Immunological Synapse in Germinal Center B-Cells.

Applications

Unspecified application

Species

Unspecified reactive species

Yanan Li,Anshuman Bhanja,Arpita Upadhyaya,Xiaodong Zhao,Wenxia Song

PLoS pathogens 16:e1009136 PubMed33370418

2020

Runx proteins mediate protective immunity against Leishmania donovani infection by promoting CD40 expression on dendritic cells.

Applications

Unspecified application

Species

Unspecified reactive species

Md Naushad Akhtar,Manish Mishra,Vinod Yadav,Manisha Yadav,Ravindra Gujar,Sunaina Lal,Raj Kumar,Neeraj Khatri,Pradip Sen

International journal of clinical and experimental 11:5612-5621 PubMed31949648

2018

CD47 is associated with the up-regulation of the PD-1 oncogenic signaling pathway.

Applications

Unspecified application

Species

Unspecified reactive species

Danzhen Yao,Jinying Xia,Jianhui Li,Jun Xu

The Journal of experimental medicine 215:1337-1347 PubMed29669741

2018

SHP-1 regulates hematopoietic stem cell quiescence by coordinating TGF-β signaling.

Applications

Unspecified application

Species

Unspecified reactive species

Linjia Jiang,Xue Han,Jin Wang,Chen Wang,Xiaoqiang Sun,Jiayi Xie,Guojin Wu,Hiep Phan,Zhenguo Liu,Edward T H Yeh,ChengCheng Zhang,Meng Zhao,Xunlei Kang

Nature communications 8:15869 PubMed28635960

2017

Somatic mutations in clonally expanded cytotoxic T lymphocytes in patients with newly diagnosed rheumatoid arthritis.

Applications

Unspecified application

Species

Unspecified reactive species

P Savola,T Kelkka,H L Rajala,A Kuuliala,K Kuuliala,S Eldfors,P Ellonen,S Lagström,M Lepistö,T Hannunen,E I Andersson,R K Khajuria,T Jaatinen,R Koivuniemi,H Repo,J Saarela,K Porkka,M Leirisalo-Repo,S Mustjoki

Nature neuroscience 20:917-926 PubMed28530662

2017

PD-L1 inhibits acute and chronic pain by suppressing nociceptive neuron activity via PD-1.

Applications

Unspecified application

Species

Unspecified reactive species

Gang Chen,Yong Ho Kim,Hui Li,Hao Luo,Da-Lu Liu,Zhi-Jun Zhang,Mark Lay,Wonseok Chang,Yu-Qiu Zhang,Ru-Rong Ji

Nature immunology 17:1273-1281 PubMed27595232

2016

The mucin MUC1 modulates the tumor immunological microenvironment through engagement of the lectin Siglec-9.

Applications

WB

Species

Human

Richard Beatson,Virginia Tajadura-Ortega,Daniela Achkova,Gianfranco Picco,Theodora-Dorita Tsourouktsoglou,Sandra Klausing,Matthew Hillier,John Maher,Thomas Noll,Paul R Crocker,Joyce Taylor-Papadimitriou,Joy M Burchell

Nature cell biology 17:665-77 PubMed25915125

2015

The ITIM-containing receptor LAIR1 is essential for acute myeloid leukaemia development.

Applications

WB

Species

Unspecified reactive species

Xunlei Kang,Zhigang Lu,Changhao Cui,Mi Deng,Yuqi Fan,Baijun Dong,Xin Han,Fuchun Xie,Jeffrey W Tyner,John E Coligan,Robert H Collins,Xiangshu Xiao,M James You,Cheng Cheng Zhang

The Journal of biological chemistry 288:16738-46 PubMed23530036

2013

Discoidin domain receptor 1 protein is a novel modulator of megakaryocyte-collagen interactions.

Applications

Unspecified application

Species

Human

Vittorio Abbonante,Cristian Gruppi,Diana Rubel,Oliver Gross,Remigio Moratti,Alessandra Balduini
View all publications

Product promise

We are committed to supporting your work with high-quality reagents, and we're here for you every step of the way. In the unlikely event that one of our products does not perform as expected, you're protected by our Product Promise.
For full details, please see our Terms & Conditions

Please note: All products are 'FOR RESEARCH USE ONLY. NOT FOR USE IN DIAGNOSTIC OR THERAPEUTIC PROCEDURES'.

For licensing inquiries, please contact partnerships@abcam.com