JavaScript is disabled in your browser. Please enable JavaScript to view this website.
AB290646

Anti-SHP2 antibody [79/PTP1D/SHP2]

Be the first to review this product! Submit a review

|

(0 Publication)

Mouse Recombinant Monoclonal SHP2 antibody. Suitable for ICC/IF, IHC-P, IP, WB and reacts with Human, Rat, Mouse samples.

View Alternative Names

PTP2C, SHPTP2, PTPN11, Tyrosine-protein phosphatase non-receptor type 11, Protein-tyrosine phosphatase 1D, Protein-tyrosine phosphatase 2C, SH-PTP2, SH-PTP3, PTP-1D, PTP-2C, SHP-2, Shp2

12 Images
Immunohistochemistry (Formalin/PFA-fixed paraffin-embedded sections) - Anti-SHP2 antibody [79/PTP1D/SHP2] (AB290646)
  • IHC-P

Supplier Data

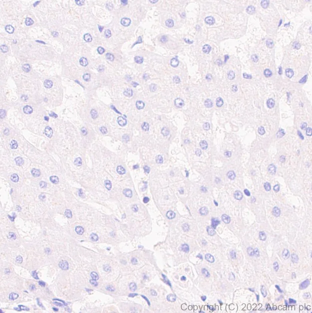
Immunohistochemistry (Formalin/PFA-fixed paraffin-embedded sections) - Anti-SHP2 antibody [79/PTP1D/SHP2] (AB290646)

Immunohistochemical analysis of paraffin-embedded Human liver tissue labelling SHP2 with ab290646 at 1/500 (2.018 µg/ml) followed by a ready to use LeicaDS9800 (Bond™ Polymer Refine Detection) was used. Negative control : no staining in human liver (PMID : 8216283).The section was incubated with ab290646 for 30 mins at room temperature, followed by anti-mouse IgG1 antibody (ab125913) for 8 mins during the LeicaDS9800 kit staining procedure. The immunostaining was performed on a Leica Biosystems BOND® RX instrument Counterstained with Hematoxylin. Secondary antibody only control : Secondary antibody is a ready to use LeicaDS9800 (Bond™ Polymer Refine Detection) was used. Heat mediated antigen retrieval with Tris-EDTA buffer (pH 9.0, epitope retrieval solution2) for 20 mins

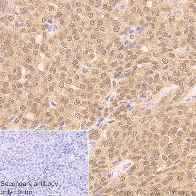
Immunohistochemistry (Formalin/PFA-fixed paraffin-embedded sections) - Anti-SHP2 antibody [79/PTP1D/SHP2] (AB290646)
  • IHC-P

Supplier Data

Immunohistochemistry (Formalin/PFA-fixed paraffin-embedded sections) - Anti-SHP2 antibody [79/PTP1D/SHP2] (AB290646)

Immunohistochemical analysis of paraffin-embedded Human ovarian cancer tissue labelling SHP2 with ab290646 at 1/500 (2.018 ug/ml) followed by a ready to use LeicaDS9800 (Bond Polymer Refine Detection) was used. Positive staining in human ovarian cancer.The section was incubated with ab290646 for 30 mins at room temperature, followed by anti-mouse IgG1 antibody (ab125913) for 8 mins during the LeicaDS9800 kit staining procedure.The immunostaining was performed on a Leica Biosystems BOND® RX instrument Counterstained with Hematoxylin. Secondary antibody only control : Secondary antibody is a ready to use LeicaDS9800 (Bond Polymer Refine Detection) was used. Heat mediated antigen retrieval with Tris-EDTA buffer (pH 9.0, epitope retrieval solution2) for 20 mins

Immunocytochemistry/ Immunofluorescence - Anti-SHP2 antibody [79/PTP1D/SHP2] (AB290646)
  • ICC/IF

Supplier Data

Immunocytochemistry/ Immunofluorescence - Anti-SHP2 antibody [79/PTP1D/SHP2] (AB290646)

Immunofluorescent analysis of 80% Methanol-fixed, 0.1% TritonX-100 permeabilized Jurkat (human T cell leukemia T lymphocyte) cells labeling SHP2 with ab290646 at 1/50 (20.18 µg/ml) dilution, followed by ab150117 Goat Anti-Mouse IgG H&L (Alexa Fluor® 488) preadsorbed antibody at 1/1000 (2 µg/ml) dilution (Green). Confocal image showing cytoplasmic staining in Jurkat cell line is observed. ab179513 Anti-beta Tubulin rabbit monoclonal antibody was used to counterstain tubulin at 1/200 10 µg/ml dilution (Red). The Nuclear counterstain was DAPI (Blue). Secondary antibody only control : Secondary antibody is ab150117 Goat Anti-Mouse IgG H&L (Alexa Fluor® 488) preadsorbed at 1/1000 2 µg/ml dilution.

Immunoprecipitation - Anti-SHP2 antibody [79/PTP1D/SHP2] (AB290646)
  • IP

Supplier Data

Immunoprecipitation - Anti-SHP2 antibody [79/PTP1D/SHP2] (AB290646)

SHP2 was immunoprecipitated from 0.35 mg HeLa (human cervix adenocarcinoma epithelial cell) whole cell lysate 10ug with ab290646 at 1/30 dilution (2µg in 0.35mg lysates). Western blot was performed on the immunoprecipitate using ab290646 at 1/1000 dilution. VeriBlot for IP secondary antibody(HRP)(ab131366) was used at 1/5000 dilution. Lane 1 : HeLa (human cervix adenocarcinoma epithelial cell) whole cell lysate 10µg Lane 2 : ab290646 IP in HeLa whole cell lysate Lane 3 : Mouse IgG1 monoclonal (ab18443) instead of ab290646 in HeLa whole cell lysate Blocking and dilution buffer and concentration : 5% NFDM/TBST. Exposure time : 3 seconds

Lane 1:

Immunoprecipitation - Anti-SHP2 antibody [79/PTP1D/SHP2] (ab290646) at 1/30 dilution

Lane 2:

Immunoprecipitation - Anti-SHP2 antibody [79/PTP1D/SHP2] (ab290646) at 1/1000 dilution

All lanes:

HeLa (human cervix adenocarcinoma epithelial cell) whole cell lysate at 10 µg

Secondary

All lanes:

Immunoprecipitation - VeriBlot for IP Detection Reagent (HRP) (<a href='/en-us/products/reagents/veriblot-for-ip-detection-reagent-hrp-ab131366'>ab131366</a>) at 1/5000 dilution

Predicted band size: 68 kDa

false

Exposure time: 3s

Immunohistochemistry (Formalin/PFA-fixed paraffin-embedded sections) - Anti-SHP2 antibody [79/PTP1D/SHP2] (AB290646)
  • IHC-P

Supplier Data

Immunohistochemistry (Formalin/PFA-fixed paraffin-embedded sections) - Anti-SHP2 antibody [79/PTP1D/SHP2] (AB290646)

Immunohistochemical analysis of paraffin-embedded Rat cerebrum tissue labelling SHP2 with ab290646 at 1/2000 (0.505 ug/ml) followed by a ready to use LeicaDS9800 (Bond Polymer Refine Detection) was used. Positive staining in rat cerebrum.The section was incubated with ab290646 for 30 mins at room temperature, followed by anti-mouse IgG1 antibody (ab125913) for 8 mins during the LeicaDS9800 kit staining procedure.The immunostaining was performed on a Leica Biosystems BOND® RX instrument Counterstained with Hematoxylin. Secondary antibody only control : Secondary antibody is a ready to use LeicaDS9800 (Bond Polymer Refine Detection) was used. Heat mediated antigen retrieval with Tris-EDTA buffer (pH 9.0, epitope retrieval solution2) for 20 mins

Immunohistochemistry (Formalin/PFA-fixed paraffin-embedded sections) - Anti-SHP2 antibody [79/PTP1D/SHP2] (AB290646)
  • IHC-P

Supplier Data

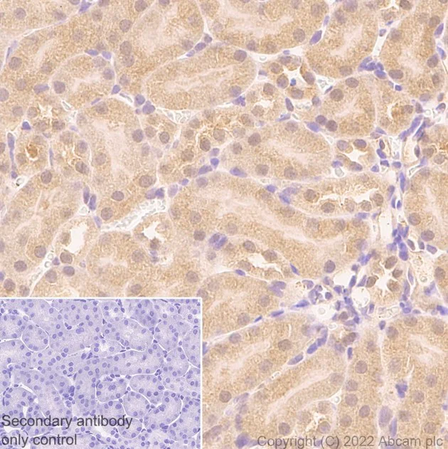
Immunohistochemistry (Formalin/PFA-fixed paraffin-embedded sections) - Anti-SHP2 antibody [79/PTP1D/SHP2] (AB290646)

Immunohistochemical analysis of paraffin-embedded Mouse kidney tissue labelling SHP2 with ab290646 at 1/2000 (0.505 ug/ml) followed by a ready to use LeicaDS9800 (Bond Polymer Refine Detection) was used. Positive staining in mouse kidney.The section was incubated with ab290646 for 30 mins at room temperature, followed by anti-mouse IgG1 antibody (ab125913) for 8 mins during the LeicaDS9800 kit staining procedure.The immunostaining was performed on a Leica Biosystems BOND® RX instrument Counterstained with Hematoxylin. Secondary antibody only control : Secondary antibody is a ready to use LeicaDS9800 (Bond Polymer Refine Detection) was used. Heat mediated antigen retrieval with Tris-EDTA buffer (pH 9.0, epitope retrieval solution2) for 20 mins

Immunohistochemistry (Formalin/PFA-fixed paraffin-embedded sections) - Anti-SHP2 antibody [79/PTP1D/SHP2] (AB290646)
  • IHC-P

Supplier Data

Immunohistochemistry (Formalin/PFA-fixed paraffin-embedded sections) - Anti-SHP2 antibody [79/PTP1D/SHP2] (AB290646)

Immunohistochemical analysis of paraffin-embedded Mouse cerebrum tissue labelling SHP2 with ab290646 at 1/2000 (0.505 ug/ml) followed by a ready to use LeicaDS9800 (Bond Polymer Refine Detection) was used. Positive staining in mouse cerebrum.The section was incubated with ab290646 for 30 mins at room temperature, followed by anti-mouse IgG1 antibody (ab125913) for 8 mins during the LeicaDS9800 kit staining procedure.The immunostaining was performed on a Leica Biosystems BOND® RX instrument Counterstained with Hematoxylin. Secondary antibody only control : Secondary antibody is a ready to use LeicaDS9800 (Bond Polymer Refine Detection) was used. Heat mediated antigen retrieval with Tris-EDTA buffer (pH 9.0, epitope retrieval solution2) for 20 mins

Immunohistochemistry (Formalin/PFA-fixed paraffin-embedded sections) - Anti-SHP2 antibody [79/PTP1D/SHP2] (AB290646)
  • IHC-P

Supplier Data

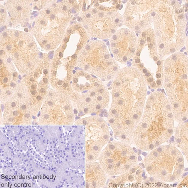
Immunohistochemistry (Formalin/PFA-fixed paraffin-embedded sections) - Anti-SHP2 antibody [79/PTP1D/SHP2] (AB290646)

Immunohistochemical analysis of paraffin-embedded Rat kidney tissue labelling SHP2 with ab290646 at 1/2000 (0.505 ug/ml) followed by a ready to use LeicaDS9800 (Bond Polymer Refine Detection) was used. Positive staining in rat kidney.The section was incubated with ab290646 for 30 mins at room temperature, followed by anti-mouse IgG1 antibody (ab125913) for 8 mins during the LeicaDS9800 kit staining procedure.The immunostaining was performed on a Leica Biosystems BOND® RX instrument Counterstained with Hematoxylin. Secondary antibody only control : Secondary antibody is a ready to use LeicaDS9800 (Bond Polymer Refine Detection) was used. Heat mediated antigen retrieval with Tris-EDTA buffer (pH 9.0, epitope retrieval solution2) for 20 mins

Immunoprecipitation - Anti-SHP2 antibody [79/PTP1D/SHP2] (AB290646)
  • IP

Supplier Data

Immunoprecipitation - Anti-SHP2 antibody [79/PTP1D/SHP2] (AB290646)

SHP2 was immunoprecipitated from 0.35 mg NIH/3T3 (mouse embryonic fibroblast) whole cell lysate 10 µg with ab290646 at 1/30 dilution (2µg in 0.35mg lysates). Western blot was performed on the immunoprecipitate using ab290646 at 1/1000 dilution. VeriBlot for IP secondary antibody(HRP)(ab131366) was used at 1/5000 dilution. Lane 1 : NIH/3T3 (mouse embryonic fibroblast) whole cell lysate 10 µg Lane 2 : ab290646 IP in NIH/3T3 whole cell lysate Lane 3 : Mouse IgG1 monoclonal (ab18443) instead of ab290646 in NIH/3T3 whole cell lysate Blocking and dilution buffer and concentration : 5% NFDM/TBST. Exposure time : 3 seconds

Lane 1:

Immunoprecipitation - Anti-SHP2 antibody [79/PTP1D/SHP2] (ab290646) at 1/30 dilution

Lane 2:

Immunoprecipitation - Anti-SHP2 antibody [79/PTP1D/SHP2] (ab290646) at 1/1000 dilution

All lanes:

NIH/3T3 (mouse embryonic fibroblast) whole cell lysate at 10 µg

Predicted band size: 68 kDa

false

Exposure time: 3s

Western blot - Anti-SHP2 antibody [79/PTP1D/SHP2] (AB290646)
  • WB

Lab

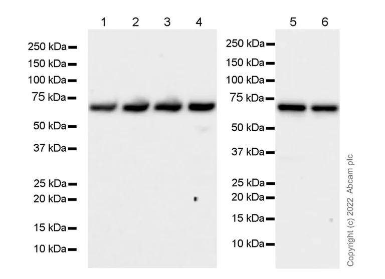
Western blot - Anti-SHP2 antibody [79/PTP1D/SHP2] (AB290646)

Blocking and diluting buffer and concentration : Lysates should be made freshly and used in WB immediately to minimize protein degradation.

All lanes:

Western blot - Anti-SHP2 antibody [79/PTP1D/SHP2] (ab290646)

Lane 1:

HeLa (human cervix adenocarcinoma epithelial cell), whole cell lysate at 20 µg

Lane 2:

293T (human embryonic kidney epithelial cell), whole cell lysate at 20 µg

Lane 3:

NIH/3T3 (mouse embryonic fibroblast), whole cell lysate at 20 µg

Lane 4:

PC-12 (rat adrenal gland pheochromocytoma), whole cell lysate at 20 µg

Lane 5:

Jurkat (human T cell leukemia T lymphocyte), whole cell lysate at 20 µg

Lane 6:

RAW264.7 (mouse Abelson murine leukemia virus-induced tumor macrophage), whole cell lysate at 20 µg

Secondary

All lanes:

Peroxidase-Conjugated Goat anti-Mouse IgG (H+L) at 1/1000 dilution

Predicted band size: 68 kDa

Observed band size: 68 kDa

false

Exposure time: 10s

Western blot - Anti-SHP2 antibody [79/PTP1D/SHP2] (AB290646)
  • WB

Lab

Western blot - Anti-SHP2 antibody [79/PTP1D/SHP2] (AB290646)

Blocking and diluting buffer and concentration : False colour image of Western blot : Anti-SHP2 antibody [79/PTP1D/SHP2] (ab290646 staining at 1/1000 dilution, shown in green; Rabbit anti-GAPDH antibody [16891] (ab181602) loading control staining at 1/20000 dilution, shown in red. In Western blot, ab290646 was shown to bind specifically to SHP2(PTPN11). A band was observed at 68 kDa in wild-type HEK-293 cell lysates with no signal observed at this size in the PTPN11 knockout cell line. To generate this image, wild-type and PTPN11 knockout HEK-293 cell lysates were analysed. First, samples were run on an SDS-PAGE gel then transferred onto a PVDF-FL membrane. Membranes were blocked in Odyssey diluted in equal volume of 0.1 % TBS before incubation with primary antibodies overnight at 4 °C. Blots were washed four times in TBS-T, incubated with secondary antibodies for 1 h at room temperature, washed again four times then imaged. Secondary antibodies used were Goat Anti-Mouse IgG H&L (IRDye® 800CW) (ab216772) and Goat Anti-Rabbit IgG H&L (IRDye® 680RD) (ab216777) at 1/10000 dilution. Performed under reducing conditions.

All lanes:

Western blot - Anti-SHP2 antibody [79/PTP1D/SHP2] (ab290646) at 1/1000 dilution

Lane 1:

Wild type HEK-293T (human embryonic kidney epithelial cell) at 20 µg

Lane 2:

PTPN11 knockout cell line at 20 µg

Secondary

Lanes 1 - 2:

Western blot - Goat Anti-Rabbit IgG H&L (IRDye® 680RD) preadsorbed (<a href='/en-us/products/secondary-antibodies/goat-rabbit-igg-h-l-irdye-680rd-preadsorbed-ab216777'>ab216777</a>) at 1/100000 dilution

Lanes 1 - 2:

Western blot - Goat anti-Mouse IgG H&L (IRDye® 800CW) preadsorbed (<a href='/en-us/products/secondary-antibodies/goat-mouse-igg-h-l-irdye-800cw-preadsorbed-ab216772'>ab216772</a>) at 1/10000 dilution

Predicted band size: 68 kDa

Observed band size: 68 kDa

false

Western blot - Anti-SHP2 antibody [79/PTP1D/SHP2] (AB290646)
  • WB

Lab

Western blot - Anti-SHP2 antibody [79/PTP1D/SHP2] (AB290646)

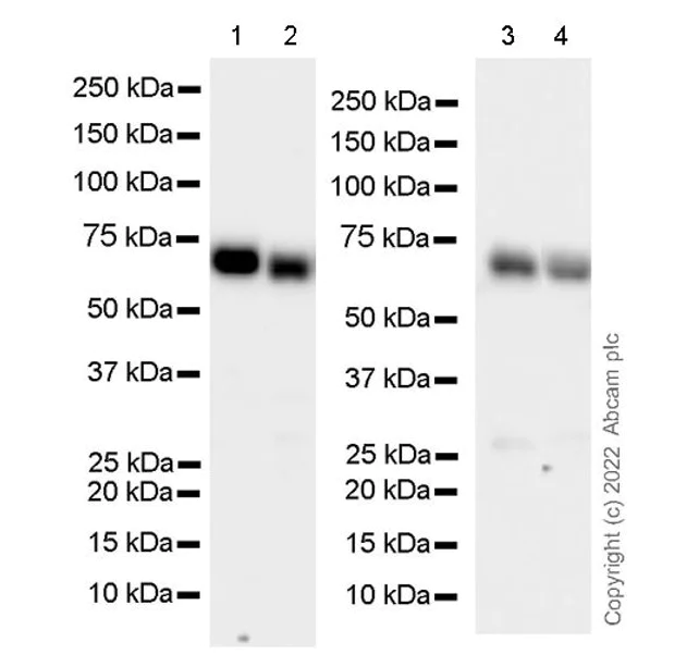
Blocking and diluting buffer and concentration : 5% NFDM/TBST Exposure time : Lanes 1/2 : 37 seconds Lanes 3/4 : 8 seconds

All lanes:

Western blot - Anti-SHP2 antibody [79/PTP1D/SHP2] (ab290646) at 1/1000 dilution

Lane 1:

Mouse heart tissue lysate at 10 µg

Lane 2:

Mouse kidney tissue lysate at 10 µg

Lane 3:

Rat brain tissue lysate at 10 µg

Lane 4:

Rat heart tissue lysate at 10 µg

Secondary

All lanes:

Peroxidase-Conjugated Goat anti-Mouse IgG (H+L) at 1/10000 dilution

Predicted band size: 68 kDa

Observed band size: 68 kDa

false

  • Carrier free

    Anti-SHP2 antibody [79/PTP1D/SHP2] (BSA and Azide free)

Key facts

Host species

Mouse

Clonality

Monoclonal

Clone number

79/PTP1D/SHP2

Isotype

IgG1

Carrier free

No

Reacts with

Human, Rat, Mouse

Applications

WB, IHC-P, IP, ICC/IF

applications

Immunogen

The exact immunogen used to generate this antibody is proprietary information.

Reactivity data

{ "title": "Reactivity Data", "filters": { "stats": ["", "Species", "Dilution Info", "Notes"], "tabs": { "all-applications": {"fullname" : "All Applications", "shortname": "All Applications"}, "ICCIF" : {"fullname" : "Immunocytochemistry/ Immunofluorescence", "shortname":"ICC/IF"}, "IHCP" : {"fullname" : "Immunohistochemistry (Formalin/PFA-fixed paraffin-embedded sections)", "shortname":"IHC-P"}, "IP" : {"fullname" : "Immunoprecipitation", "shortname":"IP"}, "WB" : {"fullname" : "Western blot", "shortname":"WB"} }, "product-promise": { "all": "all", "testedAndGuaranteed": "tested", "guaranteed": "expected", "predicted": "predicted", "notRecommended": "not-recommended" } }, "values": { "Human": { "ICCIF-species-checked": "testedAndGuaranteed", "ICCIF-species-dilution-info": "1/50", "ICCIF-species-notes": "<p></p>", "IHCP-species-checked": "testedAndGuaranteed", "IHCP-species-dilution-info": "1/500", "IHCP-species-notes": "<p></p>", "IP-species-checked": "testedAndGuaranteed", "IP-species-dilution-info": "1/30", "IP-species-notes": "<p></p>", "WB-species-checked": "testedAndGuaranteed", "WB-species-dilution-info": "1/1000", "WB-species-notes": "<p></p>" }, "Mouse": { "ICCIF-species-checked": "notRecommended", "ICCIF-species-dilution-info": "1/50", "ICCIF-species-notes": "<p></p>", "IHCP-species-checked": "testedAndGuaranteed", "IHCP-species-dilution-info": "1/500", "IHCP-species-notes": "<p></p>", "IP-species-checked": "testedAndGuaranteed", "IP-species-dilution-info": "1/30", "IP-species-notes": "<p></p>", "WB-species-checked": "testedAndGuaranteed", "WB-species-dilution-info": "1/1000", "WB-species-notes": "<p></p>" }, "Rat": { "ICCIF-species-checked": "notRecommended", "ICCIF-species-dilution-info": "1/50", "ICCIF-species-notes": "<p></p>", "IHCP-species-checked": "testedAndGuaranteed", "IHCP-species-dilution-info": "1/500", "IHCP-species-notes": "<p></p>", "IP-species-checked": "guaranteed", "IP-species-dilution-info": "", "IP-species-notes": "", "WB-species-checked": "testedAndGuaranteed", "WB-species-dilution-info": "1/1000", "WB-species-notes": "<p></p>" } } }

Product details

What are the advantages of a recombinant monoclonal antibody?
This product is a recombinant monoclonal antibody, which offers several advantages including:

  • - High batch-to-batch consistency and reproducibility
  • - Improved sensitivity and specificity
  • - Long-term security of supply
  • - Animal-free batch production

For more information, read more on recombinant antibodies.

Properties and storage information

Form
Liquid
Purification technique
Affinity purification Protein A
Storage buffer
pH: 7.2 - 7.4 Preservative: 0.01% Sodium azide Constituents: PBS, 40% Glycerol (glycerin, glycerine), 0.05% BSA
Shipped at conditions
Blue Ice
Appropriate short-term storage duration
1-2 weeks
Appropriate short-term storage conditions
+4°C
Appropriate long-term storage conditions
-20°C
Aliquoting information
Upon delivery aliquot
Storage information
Avoid freeze / thaw cycle

Supplementary information

This supplementary information is collated from multiple sources and compiled automatically.

SHP2 also known as PTPN11 is a protein tyrosine phosphatase with a molecular mass of approximately 68 kDa. It is expressed in various tissues including the heart liver and immune cells. SHP2 belongs to the non-receptor class of protein tyrosine phosphatases and plays a critical role in cell signaling by acting as a regulator of signal transduction processes. SHP2 mediates these processes by dephosphorylating specific phosphotyrosine residues on target proteins influencing various cellular functions like proliferation differentiation and survival.
Biological function summary

The role of SHP2 extends to involvement in several signaling cascades such as the Ras/MAPK and PI3K/AKT pathways. It functions as an essential component within protein complexes that facilitate cell communication and response to external signals. The protein modulates growth factor signaling and cytokine signaling highlighting its significance in normal cell function and development. SHP2's statement in signaling processes makes it an important regulator of cellular dynamics.

Pathways

SHP2 participates in the Ras/MAPK and PI3K/AKT signaling pathways which are important for regulating cell growth survival and differentiation. Within these pathways SHP2 interacts with various signaling molecules including Grb2 Sos and Gab family adaptors. These interactions coordinate cellular responses to growth factors and other extracellular cues ensuring proper pathway activation and control. By serving as a critical mediator SHP2 integrates signals that are necessary for appropriate cellular outcomes.

SHP2 is associated with several conditions such as Noonan syndrome and various cancers. Mutations in the PTPN11 gene which encodes SHP2 often result in aberrant signaling that leads to developmental anomalies or tumorigenesis. In Noonan syndrome the mutated SHP2 protein results in disrupted Ras/MAPK pathway signaling. As for cancers SHP2 is often found to be overactive leading to enhanced cell proliferation and survival. In these contexts SHP2 is interconnected with other proteins like RAS and RAF which also contribute to oncogenic pathway activation and disease progression.

Product protocols

For this product, it's our understanding that no specific protocols are required. You can visit:

Target data

Acts downstream of various receptor and cytoplasmic protein tyrosine kinases to participate in the signal transduction from the cell surface to the nucleus (PubMed : 10655584, PubMed : 14739280, PubMed : 18559669, PubMed : 18829466, PubMed : 26742426, PubMed : 28074573). Positively regulates MAPK signal transduction pathway (PubMed : 28074573). Dephosphorylates GAB1, ARHGAP35 and EGFR (PubMed : 28074573). Dephosphorylates ROCK2 at 'Tyr-722' resulting in stimulation of its RhoA binding activity (PubMed : 18559669). Dephosphorylates CDC73 (PubMed : 26742426). Dephosphorylates SOX9 on tyrosine residues, leading to inactivate SOX9 and promote ossification (By similarity). Dephosphorylates tyrosine-phosphorylated NEDD9/CAS-L (PubMed : 19275884).
See full target information PTPN11

Product promise

We are committed to supporting your work with high-quality reagents, and we're here for you every step of the way. In the unlikely event that one of our products does not perform as expected, you're protected by our Product Promise.
For full details, please see our Terms & Conditions

Please note: All products are 'FOR RESEARCH USE ONLY. NOT FOR USE IN DIAGNOSTIC OR THERAPEUTIC PROCEDURES'.

For licensing inquiries, please contact partnerships@abcam.com