JavaScript is disabled in your browser. Please enable JavaScript to view this website.
AB131541

Anti-SHP2 antibody

4

(1 Review)

|

(11 Publications)

Rabbit Polyclonal SHP2 antibody. Suitable for WB, IHC-P, ICC/IF and reacts with Mouse, Human samples. Cited in 11 publications. Immunogen corresponding to Synthetic Peptide within Human PTPN11 aa 500-550 conjugated to Keyhole Limpet Haemocyanin.

View Alternative Names

PTP2C, SHPTP2, PTPN11, Tyrosine-protein phosphatase non-receptor type 11, Protein-tyrosine phosphatase 1D, Protein-tyrosine phosphatase 2C, SH-PTP2, SH-PTP3, PTP-1D, PTP-2C, SHP-2, Shp2

3 Images
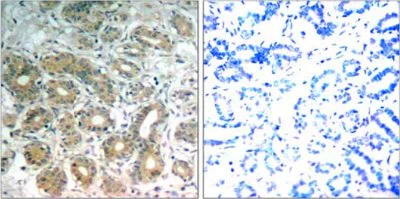
Immunohistochemistry (Formalin/PFA-fixed paraffin-embedded sections) - Anti-SHP2 antibody (AB131541)
  • IHC-P

Unknown

Immunohistochemistry (Formalin/PFA-fixed paraffin-embedded sections) - Anti-SHP2 antibody (AB131541)

Immunohistochemical analysis of paraffin-embedded Human breast carcinoma tissue labelling SHP2 with ab131541 at 1/50 dilution. Right panel was preincubated with blocking peptide.

Immunocytochemistry/ Immunofluorescence - Anti-SHP2 antibody (AB131541)
  • ICC/IF

Unknown

Immunocytochemistry/ Immunofluorescence - Anti-SHP2 antibody (AB131541)

Immunofluorescence analysis of methanol-fixed HeLa cells labelling SHP2 with ab131541 at 1/100 dilution.

Western blot - Anti-SHP2 antibody (AB131541)
  • WB

Unknown

Western blot - Anti-SHP2 antibody (AB131541)

All lanes:

Western blot - Anti-SHP2 antibody (ab131541) at 1/500 dilution

All lanes:

3T3 cell extract

Predicted band size: 68 kDa

false

Key facts

Host species

Rabbit

Clonality

Polyclonal

Isotype

IgG

Carrier free

No

Reacts with

Mouse, Human

Applications

IHC-P, WB, ICC/IF

applications

Immunogen

Synthetic Peptide within Human PTPN11 aa 500-550 conjugated to Keyhole Limpet Haemocyanin. The exact immunogen used to generate this antibody is proprietary information.

Q06124

Reactivity data

{ "title": "Reactivity Data", "filters": { "stats": ["", "Species", "Dilution Info", "Notes"], "tabs": { "all-applications": {"fullname" : "All Applications", "shortname": "All Applications"}, "WB" : {"fullname" : "Western blot", "shortname":"WB"}, "IHCP" : {"fullname" : "Immunohistochemistry (Formalin/PFA-fixed paraffin-embedded sections)", "shortname":"IHC-P"}, "ICCIF" : {"fullname" : "Immunocytochemistry/ Immunofluorescence", "shortname":"ICC/IF"} }, "product-promise": { "all": "all", "testedAndGuaranteed": "tested", "guaranteed": "expected", "predicted": "predicted", "notRecommended": "not-recommended" } }, "values": { "Human": { "WB-species-checked": "guaranteed", "WB-species-dilution-info": "", "WB-species-notes": "", "IHCP-species-checked": "testedAndGuaranteed", "IHCP-species-dilution-info": "1/50 - 1/100", "IHCP-species-notes": "<p></p>", "ICCIF-species-checked": "testedAndGuaranteed", "ICCIF-species-dilution-info": "1/100 - 1/200", "ICCIF-species-notes": "<p></p>" }, "Mouse": { "WB-species-checked": "testedAndGuaranteed", "WB-species-dilution-info": "1/500 - 1/1000", "WB-species-notes": "<p></p>", "IHCP-species-checked": "guaranteed", "IHCP-species-dilution-info": "", "IHCP-species-notes": "", "ICCIF-species-checked": "guaranteed", "ICCIF-species-dilution-info": "", "ICCIF-species-notes": "" } } }

Properties and storage information

Form
Liquid
Purification technique
Affinity purification Immunogen
Storage buffer
pH: 7.4 Preservative: 0.02% Sodium azide Constituents: PBS, 50% Glycerol (glycerin, glycerine), 0.88% Sodium chloride
Shipped at conditions
Blue Ice
Appropriate short-term storage conditions
+4°C
Appropriate long-term storage conditions
-20°C
Storage information
Stable for 12 months at -20°C

Supplementary information

This supplementary information is collated from multiple sources and compiled automatically.

SHP2 also known as PTPN11 is a protein tyrosine phosphatase with a molecular mass of approximately 68 kDa. It is expressed in various tissues including the heart liver and immune cells. SHP2 belongs to the non-receptor class of protein tyrosine phosphatases and plays a critical role in cell signaling by acting as a regulator of signal transduction processes. SHP2 mediates these processes by dephosphorylating specific phosphotyrosine residues on target proteins influencing various cellular functions like proliferation differentiation and survival.
Biological function summary

The role of SHP2 extends to involvement in several signaling cascades such as the Ras/MAPK and PI3K/AKT pathways. It functions as an essential component within protein complexes that facilitate cell communication and response to external signals. The protein modulates growth factor signaling and cytokine signaling highlighting its significance in normal cell function and development. SHP2's statement in signaling processes makes it an important regulator of cellular dynamics.

Pathways

SHP2 participates in the Ras/MAPK and PI3K/AKT signaling pathways which are important for regulating cell growth survival and differentiation. Within these pathways SHP2 interacts with various signaling molecules including Grb2 Sos and Gab family adaptors. These interactions coordinate cellular responses to growth factors and other extracellular cues ensuring proper pathway activation and control. By serving as a critical mediator SHP2 integrates signals that are necessary for appropriate cellular outcomes.

SHP2 is associated with several conditions such as Noonan syndrome and various cancers. Mutations in the PTPN11 gene which encodes SHP2 often result in aberrant signaling that leads to developmental anomalies or tumorigenesis. In Noonan syndrome the mutated SHP2 protein results in disrupted Ras/MAPK pathway signaling. As for cancers SHP2 is often found to be overactive leading to enhanced cell proliferation and survival. In these contexts SHP2 is interconnected with other proteins like RAS and RAF which also contribute to oncogenic pathway activation and disease progression.

Product protocols

For this product, it's our understanding that no specific protocols are required. You can visit:

Target data

Acts downstream of various receptor and cytoplasmic protein tyrosine kinases to participate in the signal transduction from the cell surface to the nucleus (PubMed : 10655584, PubMed : 14739280, PubMed : 18559669, PubMed : 18829466, PubMed : 26742426, PubMed : 28074573). Positively regulates MAPK signal transduction pathway (PubMed : 28074573). Dephosphorylates GAB1, ARHGAP35 and EGFR (PubMed : 28074573). Dephosphorylates ROCK2 at 'Tyr-722' resulting in stimulation of its RhoA binding activity (PubMed : 18559669). Dephosphorylates CDC73 (PubMed : 26742426). Dephosphorylates SOX9 on tyrosine residues, leading to inactivate SOX9 and promote ossification (By similarity). Dephosphorylates tyrosine-phosphorylated NEDD9/CAS-L (PubMed : 19275884).
See full target information PTPN11

Publications (11)

Recent publications for all applications. Explore the full list and refine your search

Molecular medicine reports 31: PubMed40211713

2025

Myeloid SHP2 attenuates myocardial ischemia‑reperfusion injury via regulation of BRD4/SYK/STING/NOX4/NLRP3 signaling.

Applications

Unspecified application

Species

Unspecified reactive species

Yazhong Liu,Hongshan Yin,Tao Wang,Tao Chen,Chengda Guo,Fue Zhang,Zhian Jiang

Signal transduction and targeted therapy 8:236 PubMed37332010

2023

Soluble CD4 effectively prevents excessive TLR activation of resident macrophages in the onset of sepsis.

Applications

Unspecified application

Species

Unspecified reactive species

Sheng-Yuan Zhang,Qiu-Ping Xu,Li-Na Shi,Shih-Wen Li,Wei-Hong Wang,Qing-Qing Wang,Liao-Xun Lu,Hui Xiao,Jun-Hong Wang,Feng-Ying Li,Yin-Ming Liang,Si-Tang Gong,Hao-Ran Peng,Zheng Zhang,Hong Tang

Journal of extracellular vesicles 10:e12078 PubMed33732417

2021

Phosphatase Shp2 regulates biogenesis of small extracellular vesicles by dephosphorylating Syntenin.

Applications

Unspecified application

Species

Unspecified reactive species

Yuefei Zhang,Yiqing Li,Pan Liu,Dacheng Gong,Hui Zhou,Wenjuan Li,Huilun Zhang,Wenfang Zheng,Jiaqi Xu,Hongqiang Cheng,Xue Zhang,Yuehai Ke

FEBS open bio 10:2578-2587 PubMed33012117

2020

SHP2 knockdown ameliorates liver insulin resistance by activating IRS-2 phosphorylation through the AKT and ERK1/2 signaling pathways.

Applications

Unspecified application

Species

Unspecified reactive species

Xinxin Yue,Tao Han,Wei Hao,Min Wang,Yang Fu

Nature communications 11:3595 PubMed32681081

2020

Preservation of microvascular barrier function requires CD31 receptor-induced metabolic reprogramming.

Applications

Unspecified application

Species

Unspecified reactive species

Kenneth C P Cheung,Silvia Fanti,Claudio Mauro,Guosu Wang,Anitha S Nair,Hongmei Fu,Silvia Angeletti,Silvia Spoto,Marta Fogolari,Francesco Romano,Dunja Aksentijevic,Weiwei Liu,Baiying Li,Lixin Cheng,Liwen Jiang,Juho Vuononvirta,Thanushiyan R Poobalasingam,David M Smith,Massimo Ciccozzi,Egle Solito,Federica M Marelli-Berg

Molecular medicine reports 22:2235-2244 PubMed32705242

2020

Combined administration of SHP2 inhibitor SHP099 and the α7nAChR agonist PNU282987 protect mice against DSS‑induced colitis.

Applications

Unspecified application

Species

Unspecified reactive species

Junhua Xiao,Gufang Zhang,Sujun Gao,Jiaqing Shen,Huang Feng,Zhilong He,Chunfang Xu

Oncology reports 43:1659-1668 PubMed32323811

2020

Ropivacaine inhibits cervical cancer cell growth via suppression of the miR‑96/MEG2/pSTAT3 axis.

Applications

Unspecified application

Species

Unspecified reactive species

Xi Chen,Wenxing Liu,Xiaohua Guo,Shenjiao Huang,Xingrong Song

Brain pathology (Zurich, Switzerland) 30:373-385 PubMed31398269

2019

Upregulated SHP-2 expression in the epileptogenic zone of temporal lobe epilepsy and various effects of SHP099 treatment on a pilocarpine model.

Applications

Unspecified application

Species

Unspecified reactive species

Jiong Yue,Chao Liang,Kefu Wu,Zhi Hou,Lukang Wang,Chunqing Zhang,Shiyong Liu,Hui Yang

Kidney & blood pressure research 43:1084-1103 PubMed29991025

2018

Lentivirus-Mediated Silencing of Src Homology 2 Domain-Containing Protein Tyrosine Phosphatase 2 Inhibits Release of Inflammatory Cytokines and Apoptosis in Renal Tubular Epithelial Cells Via Inhibition of the TLR4/NF-kB Pathway in Renal Ischemia-Reperfusion Injury.

Applications

Unspecified application

Species

Unspecified reactive species

Jing-Fei Teng,Kai Wang,Zhuo-Min Jia,Yan-Jie Guo,Ya-Wei Guan,Zhi-Hui Li,Xing Ai

Human pathology 81:105-112 PubMed29953894

2018

Clinicopathological and prognostic significance of SHP2 and Hook1 expression in patients with thyroid carcinoma.

Applications

Unspecified application

Species

Unspecified reactive species

Jun Cao,Yu-Qing Huang, Jiao-Sun,Xia-Bin Lan,Ming-Hua Ge
View all publications

Product promise

We are committed to supporting your work with high-quality reagents, and we're here for you every step of the way. In the unlikely event that one of our products does not perform as expected, you're protected by our Product Promise.
For full details, please see our Terms & Conditions

Please note: All products are 'FOR RESEARCH USE ONLY. NOT FOR USE IN DIAGNOSTIC OR THERAPEUTIC PROCEDURES'.

For licensing inquiries, please contact partnerships@abcam.com