JavaScript is disabled in your browser. Please enable JavaScript to view this website.
AB32083

Anti-SHP2 antibody [Y478]

4

(1 Review)

|

(20 Publications)

Anti-SHP2 antibody [Y478] (ab32083) is a rabbit monoclonal antibody detecting SHP2 in Western Blot, Flow Cytometry (Intra), Flow Cytometry, IP, IHC-P, ICC/IF. Suitable for Human.

- KO validated for confirmed specificity
- Biophysical QC for unrivalled batch-batch consistency
- Over 10 publications
- Trusted since 2006

View Alternative Names

PTP2C, SHPTP2, PTPN11, Tyrosine-protein phosphatase non-receptor type 11, Protein-tyrosine phosphatase 1D, Protein-tyrosine phosphatase 2C, SH-PTP2, SH-PTP3, PTP-1D, PTP-2C, SHP-2, Shp2

12 Images
Immunocytochemistry/ Immunofluorescence - Anti-SHP2 antibody [Y478] (AB32083)
  • ICC/IF

Unknown

Immunocytochemistry/ Immunofluorescence - Anti-SHP2 antibody [Y478] (AB32083)

Immunocytochemistry/ Immunofluorescence analysis of A431 (Human epidermoid carcinoma epithelial cell) cells labeling SHP2 with Purified ab32083 at 1 : 50 dilution (11 µg/ml). Cells were fixed in 4% Paraformaldehyde and permeabilized with 0.1% tritonX-100. Cells were counterstained with ab195889 Anti-alpha Tubulin antibody [DM1A] - Microtubule Marker (Alexa Fluor®594) 1 : 200 (2.5 µg/ml). Goat anti rabbit IgG (Alexa Fluor®488, ab150077) was used as the secondary antibody at 1 : 1000 (2 µg/ml) dilution. DAPI nuclear counterstain. PBS instead of the primary antibody was used as the secondary antibody only control.

Flow Cytometry (Intracellular) - Anti-SHP2 antibody [Y478] (AB32083)
  • Flow Cyt (Intra)

Unknown

Flow Cytometry (Intracellular) - Anti-SHP2 antibody [Y478] (AB32083)

Intracellular Flow Cytometry analysis of Jurkat (Human T cell leukemia T lymphocyte) cells labeling SHP2 with purified ab32083 at 1/50 dilution (10 μg/ml) (red). Cells were fixed with 4% Paraformaldehyde. A Goat anti rabbit IgG (Alexa Fluor® 488) secondary antibody was used at 1/2000 dilution. Isotype control - Rabbit monoclonal IgG (Black). Unlabeled control - Cell without incubation with primary antibody and secondary antibody (Blue).

Immunohistochemistry (Formalin/PFA-fixed paraffin-embedded sections) - Anti-SHP2 antibody [Y478] (AB32083)
  • IHC-P

Unknown

Immunohistochemistry (Formalin/PFA-fixed paraffin-embedded sections) - Anti-SHP2 antibody [Y478] (AB32083)

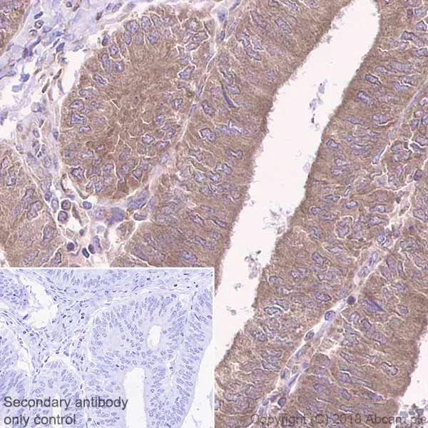
Immunohistochemistry (Formalin/PFA-fixed paraffin-embedded sections) analysis of Human endometrium cancer tissue sections labeling SHP2 with Purified ab32083 at 1 : 100 dilution (5.51 µg/ml). Heat mediated antigen retrieval was performed using Perform heat mediated antigen retrieval using ab93684 (Tris/EDTA buffer, pH 9.0)ImmunoHistoProbe one step HRP Polymer (ready to use)was used as the secondary antibody.Negative control : PBS instead of the primary antibody.Hematoxylinwas used as a counterstain

Immunohistochemistry (Formalin/PFA-fixed paraffin-embedded sections) - Anti-SHP2 antibody [Y478] (AB32083)
  • IHC-P

Unknown

Immunohistochemistry (Formalin/PFA-fixed paraffin-embedded sections) - Anti-SHP2 antibody [Y478] (AB32083)

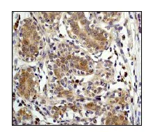
Immunohistochemical analysis of SHP2 expression in paraffin embedded human breast carcinoma, using 1/50 unpurified ab32083.

Flow Cytometry (Intracellular) - Anti-SHP2 antibody [Y478] (AB32083)
  • Flow Cyt (Intra)

Unknown

Flow Cytometry (Intracellular) - Anti-SHP2 antibody [Y478] (AB32083)

Intracellular Flow Cytometry analysis of Jurkat (human acute T cell leukemia) cells labeling SHP2 with unpurified ab32083 at 1/500 dilution (1ug/ml) (red). Cells were fixed with 4% paraformaldehyde and permeabilised with 90% methanol. A Goat anti rabbit IgG (Alexa Fluor® 488) (ab150077) (1/2000 dilution) was used as the secondary antibody. Rabbit monoclonal IgG (Black) (ab172730) was used as the isotype control, Cell without incubation with primary antibody and secondary antibody (Blue) were used as the unlabeled control.

Immunocytochemistry/ Immunofluorescence - Anti-SHP2 antibody [Y478] (AB32083)
  • ICC/IF

Unknown

Immunocytochemistry/ Immunofluorescence - Anti-SHP2 antibody [Y478] (AB32083)

unpurified ab32083 stained Hek293 cells. The cells were 100% methanol fixed for 5 minutes at -20°C and then incubated in 1%BSA / 10% normal goat serum / 0.3M glycine in 0.1% PBS-Tween for 1hour at room temperature to permeabilise the cells and block non-specific protein-protein interactions. The cells were then incubated with the antibody (ab32083 at 1/100 dilution) overnight at +4°C. The secondary antibody (pseudo-colored green) was Goat Anti-Rabbit IgG H&L (Alexa Fluor® 488) preadsorbed (ab150081) used at a 1/1000 dilution for 1hour at room temperature. Alexa Fluor® 594 WGA was used to label plasma membranes (pseudo-colored red) at a 1/200 dilution for 1hour at room temperature. DAPI was used to stain the cell nuclei (pseudo-colored blue) at a concentration of 1.43μM for 1hour at room temperature.

Flow Cytometry (Intracellular) - Anti-SHP2 antibody [Y478] (AB32083)
  • Flow Cyt (Intra)

Unknown

Flow Cytometry (Intracellular) - Anti-SHP2 antibody [Y478] (AB32083)

Overlay histogram showing HAP1 wildtype (green line) and HAP1-PTPN11 knockout cells (red line) stained with ab32083. The cells were fixed with 4% formaldehyde (10 min) and then permeabilized with 0.1% PBS-Triton X-100 for 15 min. The cells were then incubated in 1x PBS / 10% normal goat serum to block non-specific protein-protein interactions followed by the antibody (unpurified ab32083, 0.1μg/ml) for 30 min at 22°C. The secondary antibody used was Alexa Fluor® 488 goat anti-rabbit IgG (H&L) presorbed (ab150081) at 1/2000 dilution for 30 min at 22°C. A rabbit IgG isotype control antibody (ab172730) was used at the same concentration and conditions as the primary antibody (HAP1 wildtype - black line, HAP1-PTPN11 knockout - grey line). Unlabelled sample was also used as a control (this line is not shown for the purpose of simplicity). Acquisition of >5,000 events were collected using a 50 mW Blue laser (488nm) and 530/30 bandpass filter. This antibody can also be used in HAP1 cells fixed with 80% methanol (5 min) permeabilized with 0.1% PBS-Triton X-100 for 15 min under the same conditions.

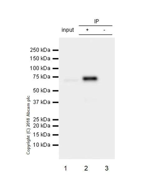
Immunoprecipitation - Anti-SHP2 antibody [Y478] (AB32083)
  • IP

Unknown

Immunoprecipitation - Anti-SHP2 antibody [Y478] (AB32083)

ab32083 (purified) at 1 : 40 dilution (2μg) immunoprecipitating SHP2 in THP-1 whole cell lysate.
Lane 1 (input) : THP-1 (Human monocytic leukemia monocyte) whole cell lysate 10μg
Lane 2 (+) : ab32083 & THP-1 whole cell lysate
Lane 3 (-) : Rabbit monoclonal IgG (ab172730) instead of ab32083 in THP-1 whole cell lysate
For western blotting, VeriBlot for IP Detection Reagent (HRP) (ab131366) was used for detection at 1 : 1000 dilution.
Blocking and diluting buffer : 5% NFDM/TBST.

All lanes:

Immunoprecipitation - Anti-SHP2 antibody [Y478] (ab32083)

Predicted band size: 68 kDa

false

Western blot - Anti-SHP2 antibody [Y478] (AB32083)
  • WB

Lab

Western blot - Anti-SHP2 antibody [Y478] (AB32083)

Lanes 1- 2 : Merged signal (red and green). Green - ab32083 observed at 68 kDa. Red - Anti-GAPDH antibody [6C5] - Loading Control (ab8245) observed at 37 kDa.

ab32083 was shown to react with SHP2 in wild-type HEK-293T cells in western blot. Loss of signal was observed when knockout cell line ab266450 (knockout cell lysate ab257618) was used. Wild-type HEK-293T and PTPN11 knockout HEK-293T cell lysates were subjected to SDS-PAGE. Membrane was blocked for 1 hour at room temperature in 0.1% TBST with 3% non-fat dried milk. ab32083 and Anti-GAPDH antibody [6C5] - Loading Control (ab8245) overnight at 4°C at a 1 in 1000 dilution and a 1 in 20000 dilution respectively. Blots were developed with Goat anti-Rabbit IgG H&L (IRDye®800CW) preadsorbed (ab216773) and Goat anti-Mouse IgG H&L (IRDye®680RD) preadsorbed (ab216776) secondary antibodies at 1 in 20000 dilution for 1 hour at room temperature before imaging.

All lanes:

Western blot - Anti-SHP2 antibody [Y478] (ab32083) at 1/1000 dilution

Lane 1:

Wild-type HEK-293T cell lysate at 20 µg

Lane 2:

PTPN11 knockout HEK-293T cell lysate at 20 µg

Lane 2:

Western blot - Human PTPN11 (SHP2) knockout HEK-293T cell line (<a href='/en-us/products/cell-lines/human-ptpn11-shp2-knockout-hek-293t-cell-line-ab266450'>ab266450</a>)

Predicted band size: 68 kDa

Observed band size: 68 kDa

false

Western blot - Anti-SHP2 antibody [Y478] (AB32083)
  • WB

Lab

Western blot - Anti-SHP2 antibody [Y478] (AB32083)

Lane 1 : Wild-type HAP1 cell lysate (20 μg)
Lane 2 : SHP2 knockout HAP1 cell lysate (20 μg)
Lane 3 : A431 cell lysate (20 μg)
Lane 4 : Jurkat cell lysate (20 μg)
Lanes 1 to 4 : Merged signal (red and green). Green - ab32083 observed at 68 kDa. Red - loading control, ab8245, observed at 37 kDa.
unpurified ab32083 was shown to specifically react with SHP2 when SHP2 knockout samples were used. Wild-type and SHP2 knockout samples were subjected to SDS-PAGE. ab32083 and ab8245 (loading control to GAPDH) were both diluted 1/1000 and 1/10 000 respectively and incubated overnight at 4°C. Blots were developed with Goat anti-Rabbit IgG H&L (IRDye® 800CW) preadsorbed (ab216773) and Goat anti-Mouse IgG H&L (IRDye® 680RD) preadsorbed (ab216776) secondary antibodies at 1/10 000 dilution for 1 h at room temperature before imaging.

All lanes:

Western blot - Anti-SHP2 antibody [Y478] (ab32083)

Predicted band size: 68 kDa

false

Western blot - Anti-SHP2 antibody [Y478] (AB32083)
  • WB

Unknown

Western blot - Anti-SHP2 antibody [Y478] (AB32083)

All lanes:

Western blot - Anti-SHP2 antibody [Y478] (ab32083) at 1/5000 dilution

All lanes:

Jurkat cell lysate

Predicted band size: 68 kDa

Observed band size: 70 kDa

false

Western blot - Anti-SHP2 antibody [Y478] (AB32083)
  • WB

Unknown

Western blot - Anti-SHP2 antibody [Y478] (AB32083)

Blocking and diluting buffer : 5% NFDM/TBST.

All lanes:

Western blot - Anti-SHP2 antibody [Y478] (ab32083) at 0.3 µg/mL

All lanes:

THP-1 (Human monocytic leukemia monocyte) whole cell lysates at 15 µg

Secondary

All lanes:

Western blot - Goat Anti-Rabbit IgG H&L (HRP) (<a href='/en-us/products/secondary-antibodies/goat-rabbit-igg-h-l-hrp-ab97051'>ab97051</a>) at 1/20000 dilution

Predicted band size: 68 kDa

false

Key facts

Host species

Rabbit

Clonality

Monoclonal

Clone number

Y478

Isotype

IgG

Carrier free

No

Reacts with

Human

Applications

IP, ICC/IF, WB, Flow Cyt (Intra), IHC-P

applications

Immunogen

The exact immunogen used to generate this antibody is proprietary information.

Specificity

This antibody recognises SHP2. This antibody is predicted to detect splice isoform 2 based on sequence analysis.

Reactivity data

{ "title": "Reactivity Data", "filters": { "stats": ["", "Species", "Dilution Info", "Notes"], "tabs": { "all-applications": {"fullname" : "All Applications", "shortname": "All Applications"}, "IP" : {"fullname" : "Immunoprecipitation", "shortname":"IP"}, "WB" : {"fullname" : "Western blot", "shortname":"WB"}, "ICCIF" : {"fullname" : "Immunocytochemistry/ Immunofluorescence", "shortname":"ICC/IF"}, "FlowCytIntra" : {"fullname" : "Flow Cytometry (Intracellular)", "shortname":"Flow Cyt (Intra)"}, "IHCP" : {"fullname" : "Immunohistochemistry (Formalin/PFA-fixed paraffin-embedded sections)", "shortname":"IHC-P"} }, "product-promise": { "all": "all", "testedAndGuaranteed": "tested", "guaranteed": "expected", "predicted": "predicted", "notRecommended": "not-recommended" } }, "values": { "Human": { "IP-species-checked": "testedAndGuaranteed", "IP-species-dilution-info": "1/40", "IP-species-notes": "<p><strong>For unpurified use at 1/50</strong></p>", "WB-species-checked": "testedAndGuaranteed", "WB-species-dilution-info": "1/1000 - 1/10000", "WB-species-notes": "<p></p>", "ICCIF-species-checked": "testedAndGuaranteed", "ICCIF-species-dilution-info": "1/50", "ICCIF-species-notes": "<p><strong>For unpurified use at 1/100.</strong></p>", "FlowCytIntra-species-checked": "testedAndGuaranteed", "FlowCytIntra-species-dilution-info": "1/50", "FlowCytIntra-species-notes": "<p>For unpurified use at 0.1 μg/ml</p>", "IHCP-species-checked": "testedAndGuaranteed", "IHCP-species-dilution-info": "1/100", "IHCP-species-notes": "<p></p> Perform heat-mediated antigen retrieval with Tris/EDTA buffer pH 9.0 before commencing with IHC staining protocol." } } }

Product details

What is this antibody validated in?
Anti-SHP2 antibody [Y478] (ab32083) is a rabbit recombinant monoclonal antibody and is validated for use in Western Blot (WB), Flow Cytometry (Intra), Flow Cytometry (Flow Cyt), Immunoprecipitation (IP), Immunohistochemistry (IHC-P), Immunocytochemistry/immunofluorescence (ICC/IF) in Human samples.

What is the molecular weight of SHP2?
Anti-SHP2 [Y478] (ab32083) specifically detects a band for SHP2 (UniProt: Q06124) at a molecular weight of 68kDa.

Trusted by the scientific community
Anti-SHP2 [Y478] (ab32083) was first used in a scientific publication in 2006 and has been cited over 10 times in peer-reviewed journals.

Trial sizes available!
Test your antibody or perform pre-screening before committing to a larger quantity. Sold in 10µl. Discover our selection of trial-size antibodies.

Specificity confirmed
The specificity of Anti-SHP2 antibody [Y478] (ab32083) has been confirmed by Western blot testing in PTPN11 Knockout HAP1 cells.

Other related products
We have a range of other formats of antibody clone [Y478] also available for your convenience: ab32083, Carrier free - ab182179, Alexa Fluor® 594 - ab210616, PE - ab305844, APC - ab305845, HRP - ab305846, Alkaline Phosphatase - ab308735, Alexa Fluor® 488 - ab309693, Alexa Fluor® 647 - ab310059, Alexa Fluor® 555 - ab311979, Alexa Fluor® 568 - ab312453, Alexa Fluor® 750 - ab321568

Species reactivity
Mouse, Rat: We have preliminary internal testing data to indicate this antibody may not react with these species.
Please contact us for more information.

Patented technology
Our RabMAb® technology is a patented hybridoma-based technology for making rabbit monoclonal antibodies. For details on our patents, please refer to RabMAb® patents.

What are the advantages of a recombinant monoclonal antibody?
This product is a recombinant monoclonal antibody, which offers several advantages including:

  • - High batch-to-batch consistency and reproducibility
  • - Improved sensitivity and specificity
  • - Long-term security of supply
  • - Animal-free batch production

For more information, read more on recombinant antibodies.

Properties and storage information

Form
Liquid
Purification technique
Affinity purification Protein A
Storage buffer
pH: 7.2 - 7.4 Preservative: 0.01% Sodium azide Constituents: PBS, 40% Glycerol (glycerin, glycerine), 0.05% BSA
Shipped at conditions
Blue Ice
Appropriate short-term storage duration
1-2 weeks
Appropriate short-term storage conditions
+4°C
Appropriate long-term storage conditions
-20°C
Aliquoting information
Upon delivery aliquot
Storage information
Avoid freeze / thaw cycle

Supplementary information

This supplementary information is collated from multiple sources and compiled automatically.

SHP2 also known as PTPN11 is a protein tyrosine phosphatase with a molecular mass of approximately 68 kDa. It is expressed in various tissues including the heart liver and immune cells. SHP2 belongs to the non-receptor class of protein tyrosine phosphatases and plays a critical role in cell signaling by acting as a regulator of signal transduction processes. SHP2 mediates these processes by dephosphorylating specific phosphotyrosine residues on target proteins influencing various cellular functions like proliferation differentiation and survival.
Biological function summary

The role of SHP2 extends to involvement in several signaling cascades such as the Ras/MAPK and PI3K/AKT pathways. It functions as an essential component within protein complexes that facilitate cell communication and response to external signals. The protein modulates growth factor signaling and cytokine signaling highlighting its significance in normal cell function and development. SHP2's statement in signaling processes makes it an important regulator of cellular dynamics.

Pathways

SHP2 participates in the Ras/MAPK and PI3K/AKT signaling pathways which are important for regulating cell growth survival and differentiation. Within these pathways SHP2 interacts with various signaling molecules including Grb2 Sos and Gab family adaptors. These interactions coordinate cellular responses to growth factors and other extracellular cues ensuring proper pathway activation and control. By serving as a critical mediator SHP2 integrates signals that are necessary for appropriate cellular outcomes.

SHP2 is associated with several conditions such as Noonan syndrome and various cancers. Mutations in the PTPN11 gene which encodes SHP2 often result in aberrant signaling that leads to developmental anomalies or tumorigenesis. In Noonan syndrome the mutated SHP2 protein results in disrupted Ras/MAPK pathway signaling. As for cancers SHP2 is often found to be overactive leading to enhanced cell proliferation and survival. In these contexts SHP2 is interconnected with other proteins like RAS and RAF which also contribute to oncogenic pathway activation and disease progression.

Product protocols

For this product, it's our understanding that no specific protocols are required. You can visit:

Target data

Acts downstream of various receptor and cytoplasmic protein tyrosine kinases to participate in the signal transduction from the cell surface to the nucleus (PubMed : 10655584, PubMed : 14739280, PubMed : 18559669, PubMed : 18829466, PubMed : 26742426, PubMed : 28074573). Positively regulates MAPK signal transduction pathway (PubMed : 28074573). Dephosphorylates GAB1, ARHGAP35 and EGFR (PubMed : 28074573). Dephosphorylates ROCK2 at 'Tyr-722' resulting in stimulation of its RhoA binding activity (PubMed : 18559669). Dephosphorylates CDC73 (PubMed : 26742426). Dephosphorylates SOX9 on tyrosine residues, leading to inactivate SOX9 and promote ossification (By similarity). Dephosphorylates tyrosine-phosphorylated NEDD9/CAS-L (PubMed : 19275884).
See full target information PTPN11

Publications (20)

Recent publications for all applications. Explore the full list and refine your search

Signal transduction and targeted therapy 10:299 PubMed40935839

2025

Coinhibition of the MEK/RTK pathway has high therapeutic efficacy in KRAS-mutant non-small cell lung cancer.

Applications

Unspecified application

Species

Unspecified reactive species

Jun Lu,Minjuan Hu,Yikai Zhao,Tianqing Chu,Wei Zhang,Yijia Zhou,Xinlei Cai,Jun Wu,Liang Hu,Chunlei Shi,Liwen Xiong,Aiqin Gu,Huimin Wang,Yanwei Zhang,Yuqing Lou,Runbo Zhong,Zhiqiang Gao,Hongyu Liu,Chao Zhou,Yingli Wu,Liang Zhu,Hua Zhong,Hongbin Ji,Baohui Han

Discover oncology 16:1196 PubMed40591172

2025

Tumor-associated macrophages derived exosomal circPLK1 promotes resistance to EGFR inhibitor osimertinib in non-small cell lung cancer.

Applications

Unspecified application

Species

Unspecified reactive species

Chuankui Li,Xinyu Sun,Zuyi Wang

Central-European journal of immunology 49:252-272 PubMed39720267

2024

Down-regulation of SHP2 promotes neutrophil autophagy and inhibits neutrophil extracellular trap formation to alleviate asthma through the ERK5 pathway.

Applications

Unspecified application

Species

Unspecified reactive species

Dandan Shi,Jian Huang,Jie Wu

EMBO molecular medicine 16:1755-1790 PubMed39030302

2024

LILRB1-HLA-G axis defines a checkpoint driving natural killer cell exhaustion in tuberculosis.

Applications

Unspecified application

Species

Unspecified reactive species

Jing Wang,Qiyao Chai,Zehui Lei,Yiru Wang,Jiehua He,Pupu Ge,Zhe Lu,Lihua Qiang,Dongdong Zhao,Shanshan Yu,Changgen Qiu,Yanzhao Zhong,Bing-Xi Li,Lingqiang Zhang,Yu Pang,George Fu Gao,Cui Hua Liu

Journal of gynecologic oncology 35:e64 PubMed38456588

2024

TET3-mediated DNA demethylation modification activates SHP2 expression to promote endometrial cancer progression through the EGFR/ERK pathway.

Applications

Unspecified application

Species

Unspecified reactive species

Fen Xue,Lifen Liu,Xueqiang Tao,Weipei Zhu

Indian journal of pathology & microbiology 67:29-35 PubMed38358185

2024

High expression of SHP2 predicts a promising prognosis in colorectal cancer.

Applications

Unspecified application

Species

Unspecified reactive species

Xibo Liu,Mengyao Li,Lirong Chen,Fei Wen,Shu Zheng,Weiting Ge

Allergologia et immunopathologia 51:143-152 PubMed37169572

2023

Knockdown of SHP2 attenuated LPS-induced ferroptosis via downregulating ACSL4 expression in acute lung injury.

Applications

Unspecified application

Species

Unspecified reactive species

Bin Li,Zhan Wang,Jiayang Yuan,Dachuan Liang,Yanrong Cheng,Zheng Wang

Cell cycle (Georgetown, Tex.) 21:948-960 PubMed35104174

2022

Knockdown of RNF183 suppressed proliferation of lung adenocarcinoma cells inactivating the STAT3 signaling pathway.

Applications

Unspecified application

Species

Unspecified reactive species

Guangbin Ye,Hongcheng Luo,Tingting Zhang,Tianshu Lan,Bo Ling,Zhongquan Qi

American journal of cancer research 12:247-264 PubMed35141016

2022

Targeting SHP2 sensitizes differentiated thyroid carcinoma to the MEK inhibitor.

Applications

Unspecified application

Species

Unspecified reactive species

Jingtai Zhi,Jiaoyu Yi,Xiukun Hou,Wei Wang,Weiwei Yang,Linfei Hu,Jianfeng Huang,Shicheng Guo,Xianhui Ruan,Ming Gao,Xiangqian Zheng

Molecular medicine reports 24: PubMed34633052

2021

Tong‑fu‑li‑fei decoction attenuates immunosuppression to protect the intestinal‑mucosal barrier in sepsis by inhibiting the PD‑1/PD‑L1 signaling pathway.

Applications

Unspecified application

Species

Unspecified reactive species

Li Chen,Lan Li,Suzhao Zou,Qianhua Liao,Bo Lv
View all publications

Product promise

We are committed to supporting your work with high-quality reagents, and we're here for you every step of the way. In the unlikely event that one of our products does not perform as expected, you're protected by our Product Promise.
For full details, please see our Terms & Conditions

Please note: All products are 'FOR RESEARCH USE ONLY. NOT FOR USE IN DIAGNOSTIC OR THERAPEUTIC PROCEDURES'.

For licensing inquiries, please contact partnerships@abcam.com