JavaScript is disabled in your browser. Please enable JavaScript to view this website.
AB305176

Anti-SI-CLP antibody [1B8]

Be the first to review this product! Submit a review

|

(0 Publication)

Rat Recombinant Monoclonal SI-CLP antibody. Suitable for WB and reacts with Human, Mouse samples.

View Alternative Names

GL008, PSEC0104, SB139, CHID1, Chitinase domain-containing protein 1, Stabilin-1-interacting chitinase-like protein, SI-CLP

2 Images
Western blot - Anti-SI-CLP antibody [1B8] (AB305176)
  • WB

Supplier Data

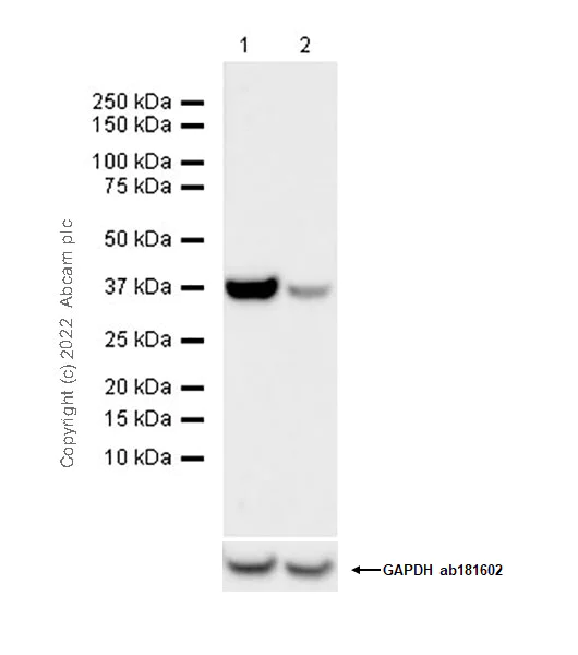
Western blot - Anti-SI-CLP antibody [1B8] (AB305176)

Blocking and diluting buffer and concentration : 5% NFDM/TBST. Exposure time : 62 seconds.

All lanes:

Western blot - Anti-SI-CLP antibody [1B8] (ab305176) at 1/1000 dilution

Lane 1:

THP-1 (human monocytic leukemia monocyte) transfected with scrambled siRNA control, whole cell lysate at 20 µg

Lane 2:

THP-1 transfected with siRNA specifically targeti SI-CLP, whole cell lysate at 20 µg

Secondary

All lanes:

Western blot - Goat Anti-Rat IgG H&L (HRP) (<a href='/en-us/products/secondary-antibodies/goat-rat-igg-h-l-hrp-ab205720'>ab205720</a>) at 1/10000 dilution

Observed band size: 44 kDa

false

Exposure time: 62s

Western blot - Anti-SI-CLP antibody [1B8] (AB305176)
  • WB

Supplier Data

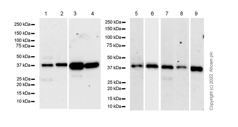
Western blot - Anti-SI-CLP antibody [1B8] (AB305176)

Blocking and diluting buffer and concentration : 5% NFDM/TBST Exposure time : Lanes 1-4 : 92 seconds Lanes 5/7-9 : 3 minutes Lane 6 : 10 seconds

All lanes:

Western blot - Anti-SI-CLP antibody [1B8] (ab305176) at 1/1000 dilution

Lane 1:

Mouse spleen lysate at 20 µg

Lane 2:

Raji (human Burkitts lymphoma B lymphocyte), whole cell lysate at 20 µg

Lane 3:

THP-1 (human monocytic leukemia monocyte), whole cell lysate at 20 µg

Lane 4:

U937 (human histiocytic lymphoma monocyte), whole cell lysate at 20 µg

Lane 5:

Mouse pancreas lysate at 20 µg

Lane 6:

Mouse testis lysate at 20 µg

Lane 7:

A20 (mouse reticum sarcoma B lymphocyte), whole cell lysate 20 at 20 µg

Lane 8:

EL4 (mouse lymphoma T lymphocyte), whole cell lysate at 20 µg

Lane 9:

EL4.IL-2 (mouse lymphoma T lymphocyte), whole cell lysate at 20 µg

Secondary

All lanes:

Western blot - Goat Anti-Rat IgG H&L (HRP) (<a href='/en-us/products/secondary-antibodies/goat-rat-igg-h-l-hrp-ab205720'>ab205720</a>) at 1/10000 dilution

Observed band size: 44 kDa

false

  • Carrier free

    Anti-SI-CLP antibody [1B8] - BSA and Azide free

Key facts

Host species

Rat

Clonality

Monoclonal

Clone number

1B8

Isotype

IgG2a

Carrier free

No

Reacts with

Human, Mouse

Applications

WB

applications

Immunogen

The exact immunogen used to generate this antibody is proprietary information.

Reactivity data

{ "title": "Reactivity Data", "filters": { "stats": ["", "Species", "Dilution Info", "Notes"], "tabs": { "all-applications": {"fullname" : "All Applications", "shortname": "All Applications"}, "WB" : {"fullname" : "Western blot", "shortname":"WB"}, "IHCP" : {"fullname" : "Immunohistochemistry (Formalin/PFA-fixed paraffin-embedded sections)", "shortname":"IHC-P"}, "ICCIF" : {"fullname" : "Immunocytochemistry/ Immunofluorescence", "shortname":"ICC/IF"}, "IP" : {"fullname" : "Immunoprecipitation", "shortname":"IP"} }, "product-promise": { "all": "all", "testedAndGuaranteed": "tested", "guaranteed": "expected", "predicted": "predicted", "notRecommended": "not-recommended" } }, "values": { "Human": { "WB-species-checked": "testedAndGuaranteed", "WB-species-dilution-info": "1/1000", "WB-species-notes": "<p></p>", "IHCP-species-checked": "notRecommended", "IHCP-species-dilution-info": "", "IHCP-species-notes": "<p></p> Perform heat-mediated antigen retrieval with Tris/EDTA buffer pH 9.0 before commencing with IHC staining protocol.", "ICCIF-species-checked": "notRecommended", "ICCIF-species-dilution-info": "", "ICCIF-species-notes": "<p></p>", "IP-species-checked": "notRecommended", "IP-species-dilution-info": "", "IP-species-notes": "<p></p>" }, "Mouse": { "WB-species-checked": "testedAndGuaranteed", "WB-species-dilution-info": "1/1000", "WB-species-notes": "<p></p>", "IHCP-species-checked": "notRecommended", "IHCP-species-dilution-info": "", "IHCP-species-notes": "<p></p> Perform heat-mediated antigen retrieval with Tris/EDTA buffer pH 9.0 before commencing with IHC staining protocol.", "ICCIF-species-checked": "notRecommended", "ICCIF-species-dilution-info": "", "ICCIF-species-notes": "<p></p>", "IP-species-checked": "notRecommended", "IP-species-dilution-info": "", "IP-species-notes": "<p></p>" }, "Rat": { "WB-species-checked": "notRecommended", "WB-species-dilution-info": "", "WB-species-notes": "", "IHCP-species-checked": "notRecommended", "IHCP-species-dilution-info": "", "IHCP-species-notes": "<p></p> Perform heat-mediated antigen retrieval with Tris/EDTA buffer pH 9.0 before commencing with IHC staining protocol.", "ICCIF-species-checked": "notRecommended", "ICCIF-species-dilution-info": "", "ICCIF-species-notes": "", "IP-species-checked": "notRecommended", "IP-species-dilution-info": "", "IP-species-notes": "" } } }

Product details

What are the advantages of a recombinant monoclonal antibody?
This product is a recombinant monoclonal antibody, which offers several advantages including:

  • - High batch-to-batch consistency and reproducibility
  • - Improved sensitivity and specificity
  • - Long-term security of supply
  • - Animal-free batch production

For more information, read more on recombinant antibodies.

Want a custom formulation?
This antibody clone is manufactured by Abcam. If you require a custom buffer formulation or conjugation for your experiments, please contact orders@abcam.com

Properties and storage information

Form
Liquid
Purification technique
Ion exchange chromatography
Storage buffer
pH: 7.2 - 7.4 Preservative: 0.01% Sodium azide Constituents: PBS, 40% Glycerol (glycerin, glycerine), 0.05% BSA
Shipped at conditions
Blue Ice
Appropriate short-term storage duration
1-2 weeks
Appropriate short-term storage conditions
+4°C
Appropriate long-term storage conditions
-20°C
Aliquoting information
Upon delivery aliquot
Storage information
Avoid freeze / thaw cycle

Supplementary information

This supplementary information is collated from multiple sources and compiled automatically.

SI-CLP also known as ClpB or Caseinolytic Peptidase B is an ATP-dependent protease with a molecular mass of approximately 95 kDa. It plays a critical role in disaggregating proteins facilitating their refolding in stress conditions. The target is mainly expressed in prokaryotic organisms and some eukaryotic mitochondria. Its mechanism involves using energy derived from ATP hydrolysis to remodel protein aggregates making it essential for maintaining cellular protein homeostasis.
Biological function summary

SI-CLP proteins interact with other chaperone systems to assist in the recovery of proteins from aggregates. It forms part of a larger Clp/Hsp100 chaperone complex working together with co-chaperones like DnaK and GroEL to efficiently manage protein misfolding. This association with other molecular chaperones allows SI-CLP to execute its role in cellular stress response ensuring damaged or misfolded proteins are effectively processed or refolded.

Pathways

SI-CLP contributes significantly within the cellular protein quality control and stress response pathways. In these pathways it closely associates with DnaK facilitating protein quality control under stress conditions. Related proteins such as Hsp70 also engage in similar pathways highlighting their coordinated roles in preserving cellular function especially during stress.

SI-CLP proteins have associations with neurodegenerative diseases like Alzheimer’s disease where protein aggregation occurs. It connects with proteins involved in managing protein aggregates such as Hsp70. Furthermore its role in cellular stress responses implicates it in some infectious diseases where pathogens hijack host protein quality control systems. The involvement of SI-CLP in these disorders highlights its potential as a therapeutic target to modulate protein aggregation-related pathologies.

Product protocols

For this product, it's our understanding that no specific protocols are required. You can visit:

Target data

Saccharide- and LPS-binding protein with possible roles in pathogen sensing and endotoxin neutralization. Ligand-binding specificity relates to the length of the oligosaccharides, with preference for chitotetraose (in vitro).
See full target information CHID1

Product promise

We are committed to supporting your work with high-quality reagents, and we're here for you every step of the way. In the unlikely event that one of our products does not perform as expected, you're protected by our Product Promise.
For full details, please see our Terms & Conditions

Please note: All products are 'FOR RESEARCH USE ONLY. NOT FOR USE IN DIAGNOSTIC OR THERAPEUTIC PROCEDURES'.

For licensing inquiries, please contact partnerships@abcam.com