JavaScript is disabled in your browser. Please enable JavaScript to view this website.
AB305250

Anti-SIAH1 antibody [EPR27101-45] - BSA and Azide free

Be the first to review this product! Submit a review

|

(0 Publication)

Rabbit Recombinant Monoclonal SIAH1 antibody. Carrier free. Suitable for WB and reacts with Human samples.

View Alternative Names

HUMSIAH, SIAH1, E3 ubiquitin-protein ligase SIAH1, RING-type E3 ubiquitin transferase SIAH1, Seven in absentia homolog 1, Siah-1a, Siah-1

2 Images
Western blot - Anti-SIAH1 antibody [EPR27101-45] - BSA and Azide free (AB305250)
  • WB

Supplier Data

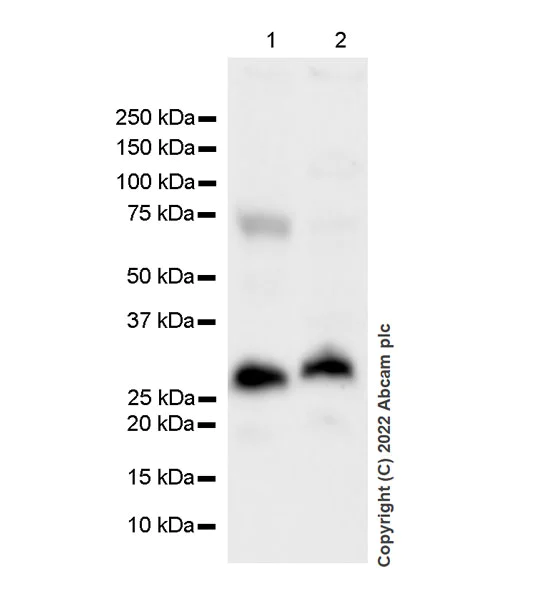
Western blot - Anti-SIAH1 antibody [EPR27101-45] - BSA and Azide free (AB305250)

This data was developed using ab305249, the same antibody clone in a different buffer formulation. Blocking and diluting buffer and concentration : 5% NFDM/TBST   Exposure time : 70 seconds

All lanes:

Western blot - Anti-SIAH1 antibody [EPR27101-45] (<a href='/en-us/products/primary-antibodies/siah1-antibody-epr27101-45-ab305249'>ab305249</a>) at 1/1000 dilution

Lane 1:

293T (human embryonic kidney epithelial cell) transfected with scrambled siRNA control whole cell lysate 20 μg

Lane 2:

293T transfected with siRNA specifically targeting SIAH1 whole cell lysate, 20 ug

Secondary

All lanes:

Western blot - Goat Anti-Rabbit IgG H&L (HRP) (<a href='/en-us/products/secondary-antibodies/goat-rabbit-igg-h-l-hrp-ab97051'>ab97051</a>) at 1/50000 dilution

Observed band size: 31 kDa

false

Exposure time: 70s

Western blot - Anti-SIAH1 antibody [EPR27101-45] - BSA and Azide free (AB305250)
  • WB

Supplier Data

Western blot - Anti-SIAH1 antibody [EPR27101-45] - BSA and Azide free (AB305250)

This data was developed using ab305249, the same antibody clone in a different buffer formulation. Blocking and diluting buffer and concentration : 5% NFDM/TBST   Exposure time : 48 seconds

All lanes:

Western blot - Anti-SIAH1 antibody [EPR27101-45] (<a href='/en-us/products/primary-antibodies/siah1-antibody-epr27101-45-ab305249'>ab305249</a>) at 1/1000 dilution

Lane 1:

SH-SY5Y (human neuroblastoma epithelial cell) whole cell lysate 20 μg

Lane 2:

HeLa (human cervix adenocarcinoma epithelial cell) whole cell lysate 20 μg

Secondary

All lanes:

Western blot - Goat Anti-Rabbit IgG H&L (HRP) (<a href='/en-us/products/secondary-antibodies/goat-rabbit-igg-h-l-hrp-ab97051'>ab97051</a>) at 1/50000 dilution

Observed band size: 31 kDa

false

Exposure time: 48s

Key facts

Host species

Rabbit

Clonality

Monoclonal

Clone number

EPR27101-45

Isotype

IgG

Carrier free

Yes

Reacts with

Human

Applications

WB

applications

Immunogen

The exact immunogen used to generate this antibody is proprietary information.

Reactivity data

{ "title": "Reactivity Data", "filters": { "stats": ["", "Species", "Dilution Info", "Notes"], "tabs": { "all-applications": {"fullname" : "All Applications", "shortname": "All Applications"}, "FlowCytIntra" : {"fullname" : "Flow Cytometry (Intracellular)", "shortname":"Flow Cyt (Intra)"}, "ICCIF" : {"fullname" : "Immunocytochemistry/ Immunofluorescence", "shortname":"ICC/IF"}, "IHCP" : {"fullname" : "Immunohistochemistry (Formalin/PFA-fixed paraffin-embedded sections)", "shortname":"IHC-P"}, "WB" : {"fullname" : "Western blot", "shortname":"WB"}, "IP" : {"fullname" : "Immunoprecipitation", "shortname":"IP"} }, "product-promise": { "all": "all", "testedAndGuaranteed": "tested", "guaranteed": "expected", "predicted": "predicted", "notRecommended": "not-recommended" } }, "values": { "Human": { "FlowCytIntra-species-checked": "notRecommended", "FlowCytIntra-species-dilution-info": "", "FlowCytIntra-species-notes": "<p></p>", "ICCIF-species-checked": "notRecommended", "ICCIF-species-dilution-info": "", "ICCIF-species-notes": "<p></p>", "IHCP-species-checked": "notRecommended", "IHCP-species-dilution-info": "", "IHCP-species-notes": "<p></p>", "WB-species-checked": "testedAndGuaranteed", "WB-species-dilution-info": "", "WB-species-notes": "<p></p>", "IP-species-checked": "notRecommended", "IP-species-dilution-info": "", "IP-species-notes": "<p></p>" }, "Mouse": { "FlowCytIntra-species-checked": "notRecommended", "FlowCytIntra-species-dilution-info": "", "FlowCytIntra-species-notes": "<p></p>", "ICCIF-species-checked": "notRecommended", "ICCIF-species-dilution-info": "", "ICCIF-species-notes": "<p></p>", "IHCP-species-checked": "notRecommended", "IHCP-species-dilution-info": "", "IHCP-species-notes": "<p></p>", "WB-species-checked": "notRecommended", "WB-species-dilution-info": "", "WB-species-notes": "<p></p>", "IP-species-checked": "notRecommended", "IP-species-dilution-info": "", "IP-species-notes": "<p></p>" }, "Rat": { "FlowCytIntra-species-checked": "notRecommended", "FlowCytIntra-species-dilution-info": "", "FlowCytIntra-species-notes": "", "ICCIF-species-checked": "notRecommended", "ICCIF-species-dilution-info": "", "ICCIF-species-notes": "", "IHCP-species-checked": "notRecommended", "IHCP-species-dilution-info": "", "IHCP-species-notes": "<p></p>", "WB-species-checked": "notRecommended", "WB-species-dilution-info": "", "WB-species-notes": "<p></p>", "IP-species-checked": "notRecommended", "IP-species-dilution-info": "", "IP-species-notes": "" } } }

Product details

Patented technology
Our RabMAb® technology is a patented hybridoma-based technology for making rabbit monoclonal antibodies. For details on our patents, please refer to RabMAb® patents.

What are the advantages of a recombinant monoclonal antibody?
This product is a recombinant monoclonal antibody, which offers several advantages including:

  • - High batch-to-batch consistency and reproducibility
  • - Improved sensitivity and specificity
  • - Long-term security of supply
  • - Animal-free batch production

For more information, read more on recombinant antibodies.

Conjugation ready
Our carrier-free antibodies are typically supplied in a PBS-only formulation, purified and free of BSA, sodium azide and glycerol. This conjugation-ready format is designed for use with fluorochromes, metal isotopes, oligonucleotides, and enzymes, which makes them ideal for antibody labelling, functional and cell-based assays, flow-based assays (e.g. mass cytometry) and Multiplex Imaging applications.

Use our conjugation kits for antibody conjugates that are ready-to-use in as little as 20 minutes with 1 minute hands-on-time and 100% antibody recovery: available for fluorescent dyes, HRP, biotin and gold.

Compatibility
This product is compatible with the Maxpar® Antibody Labeling Kit from Fluidigm, without the need for antibody preparation. Maxpar® is a trademark of Fluidigm Canada Inc.

Properties and storage information

Form
Liquid
Purification technique
Affinity purification Protein A
Storage buffer
pH: 7.2 - 7.4 Constituents: PBS
Shipped at conditions
Blue Ice
Appropriate short-term storage conditions
+4°C
Appropriate long-term storage conditions
+4°C

Supplementary information

This supplementary information is collated from multiple sources and compiled automatically.

SIAH1 also known as Seven In Absentia Homolog 1 functions mechanically as a RING-type E3 ubiquitin-protein ligase. This protein weighs approximately 32 kDa and adds ubiquitin to target proteins tagging them for proteasomal degradation. Researchers have found SIAH1 expressed in various tissue types including brain heart and kidney. By regulating protein stability SIAH1 plays a significant role in maintaining cellular protein homeostasis.
Biological function summary

SIAH1 influences cell cycle control and apoptosis by interacting with components of protein complexes. It associates with the ubiquitin-proteasome pathway to mediate degradation of key regulatory proteins. SIAH1 helps in reducing cellular proliferation and enhances apoptotic signaling which are vital processes for maintaining balance between cell survival and death. As part of these processes studies have connected SIAH1 to modulating the fate of proteins involved in cell cycle arrest.

Pathways

Several interactions of SIAH1 contribute to signal transduction and apoptosis. One significant pathway involving SIAH1 is the p53 signaling pathway. SIAH1 regulates the degradation of proteins within this pathway including p21 and cyclin D1 which influence cellular responses to DNA damage. Additionally SIAH1 interacts with β-catenin linking it to the Wnt signaling pathway. This interaction affects the regulation of cell growth and differentiation.

SIAH1 has links to cancer and neurodegenerative diseases. In cancer altered SIAH1 expression affects tumor suppressor activity through its interaction with p53 which can lead to uncontrolled cell growth. Moreover SIAH1 connects to neurodegenerative disorders like Parkinson's disease where abnormal protein degradation contributes to neuronal death. In such contexts researchers observe altered interactions between SIAH1 and proteins like parkin a ubiquitin ligase also implicated in these diseases.

Product protocols

For this product, it's our understanding that no specific protocols are required. You can visit:

Target data

E3 ubiquitin-protein ligase that mediates ubiquitination and subsequent proteasomal degradation of target proteins (PubMed : 14506261, PubMed : 14645235, PubMed : 14654780, PubMed : 15064394, PubMed : 16085652, PubMed : 19224863, PubMed : 20508617, PubMed : 22483617, PubMed : 28546513, PubMed : 32430360, PubMed : 33591310, PubMed : 9334332, PubMed : 9858595). E3 ubiquitin ligases accept ubiquitin from an E2 ubiquitin-conjugating enzyme in the form of a thioester and then directly transfers the ubiquitin to targeted substrates (PubMed : 14506261, PubMed : 14645235, PubMed : 14654780, PubMed : 15064394, PubMed : 16085652, PubMed : 19224863, PubMed : 20508617, PubMed : 22483617, PubMed : 9334332, PubMed : 9858595). Mediates E3 ubiquitin ligase activity either through direct binding to substrates or by functioning as the essential RING domain subunit of larger E3 complexes (PubMed : 14506261, PubMed : 14645235, PubMed : 14654780, PubMed : 15064394, PubMed : 16085652, PubMed : 19224863, PubMed : 20508617, PubMed : 22483617, PubMed : 9334332, PubMed : 9858595). Triggers the ubiquitin-mediated degradation of many substrates, including proteins involved in transcription regulation (ELL2, MYB, POU2AF1, PML and RBBP8), a cell surface receptor (DCC), the cell-surface receptor-type tyrosine kinase FLT3, the cytoplasmic signal transduction molecules (KLF10/TIEG1 and NUMB), an antiapoptotic protein (BAG1), a microtubule motor protein (KIF22), a protein involved in synaptic vesicle function in neurons (SYP), a structural protein (CTNNB1) and SNCAIP (PubMed : 10747903, PubMed : 11146551, PubMed : 11389839, PubMed : 11389840, PubMed : 11483517, PubMed : 11483518, PubMed : 11752454, PubMed : 12072443). Confers constitutive instability to HIPK2 through proteasomal degradation (PubMed : 18536714, PubMed : 33591310). It is thereby involved in many cellular processes such as apoptosis, tumor suppression, cell cycle, axon guidance, transcription regulation, spermatogenesis and TNF signaling (PubMed : 14506261, PubMed : 14645235, PubMed : 14654780, PubMed : 15064394, PubMed : 16085652, PubMed : 19224863, PubMed : 20508617, PubMed : 22483617, PubMed : 9334332, PubMed : 9858595). Has some overlapping function with SIAH2 (PubMed : 14506261, PubMed : 14645235, PubMed : 14654780, PubMed : 15064394, PubMed : 16085652, PubMed : 19224863, PubMed : 20508617, PubMed : 22483617, PubMed : 9334332, PubMed : 9858595). Induces apoptosis in cooperation with PEG3 (By similarity). Upon nitric oxid (NO) generation that follows apoptotic stimulation, interacts with S-nitrosylated GAPDH, mediating the translocation of GAPDH to the nucleus (By similarity). GAPDH acts as a stabilizer of SIAH1, facilitating the degradation of nuclear proteins (By similarity). Mediates ubiquitination and degradation of EGLN2 and EGLN3 in response to the unfolded protein response (UPR), leading to their degradation and subsequent stabilization of ATF4 (By similarity). Also part of the Wnt signaling pathway in which it mediates the Wnt-induced ubiquitin-mediated proteasomal degradation of AXIN1 (PubMed : 28546513, PubMed : 32430360).
See full target information SIAH1

Product promise

We are committed to supporting your work with high-quality reagents, and we're here for you every step of the way. In the unlikely event that one of our products does not perform as expected, you're protected by our Product Promise.
For full details, please see our Terms & Conditions

Please note: All products are 'FOR RESEARCH USE ONLY. NOT FOR USE IN DIAGNOSTIC OR THERAPEUTIC PROCEDURES'.

For licensing inquiries, please contact partnerships@abcam.com