JavaScript is disabled in your browser. Please enable JavaScript to view this website.
AB312841

Anti-Sialoadhesin/CD169 antibody [EPR27102-11] - BSA and Azide free

  • BOND RX™ Validated
  • RabMAb
  • Advanced Validation
  • Recombinant
  • What is this?

Be the first to review this product! Submit a review

|

(0 Publication)

Rabbit Recombinant Monoclonal Sialoadhesin/CD169 antibody. Carrier free. Suitable for ICC/IF, WB, Flow Cyt, IHC-P, mIHC and reacts with Mouse, Rat, Transfected cell line - Mouse samples.

View Alternative Names

CD169, Sa, Sn, Siglec1, Sialoadhesin, Sheep erythrocyte receptor, Sialic acid-binding Ig-like lectin 1, SER, Siglec-1

14 Images
Multiplex immunohistochemistry - Anti-Sialoadhesin/CD169 antibody [EPR27102-11] - BSA and Azide free (AB312841)
  • mIHC

Supplier Data

Multiplex immunohistochemistry - Anti-Sialoadhesin/CD169 antibody [EPR27102-11] - BSA and Azide free (AB312841)

This data was developed using ab312840, the same antibody clone in a different buffer formulation. Multiplex immunohistochemistry analysis of formalin/PFA-fixed paraffin-embedded Mouse spleen tissue labeling Sialoadhesin/CD169, CD3 epsilon and CD20 with ab312840 at 1/100 dilution, ab16669 at 1 : 150 dilution and ab236434 at 1 : 5000 dilution. Panel A : merged staining of anti-Sialoadhesin/CD169 (red; Opal™690), anti-CD3 epsilon (green; Opal™520) and anti-CD20 (gray; Opal™570) on mouse spleen. Panel B : anti-Sialoadhesin/CD169 stained on macrophages. Panel C : anti-CD3 epsilon stained on T cells. Panel D : anti-CD20 stained on B cells. The section was incubated in three rounds of staining : in the order of ab312840, ab16669, and ab236434 for 30 mins at room temperature. Each round was followed by a separate fluorescent tyramide signal amplification system. The immunostaining was performed on a Leica Biosystems BOND® RX instrument with an Opal™ 4-color kit. Image acquisition was performed with Leica SP8 confocal microscope.

Immunohistochemistry (Formalin/PFA-fixed paraffin-embedded sections) - Anti-Sialoadhesin/CD169 antibody [EPR27102-11] - BSA and Azide free (AB312841)
  • IHC-P

Supplier Data

Immunohistochemistry (Formalin/PFA-fixed paraffin-embedded sections) - Anti-Sialoadhesin/CD169 antibody [EPR27102-11] - BSA and Azide free (AB312841)

This data was developed using ab312840, the same antibody clone in a different buffer formulation. Immunohistochemical analysis of paraffin-embedded Rat kidney tissue labeling Sialoadhesin/CD169 with ab312840 at 1/100 (5.16 ug/ml) followed by a ready to use LeicaDS9800 (Bond™ Polymer Refine Detection). Negative control : no staining on rat kidney. The section was incubated with ab312840 for 30 mins at room temperature. The immunostaining was performed on a Leica Biosystems BOND® RX instrument. Counterstained with Hematoxylin. Secondary antibody only control : Secondary antibody is a ready to use LeicaDS9800 (Bond™ Polymer Refine Detection). Heat mediated antigen retrieval was performed with Tris-EDTA buffer (pH 9.0, Epitope Retrieval Solution2) for 20 mins.

Immunohistochemistry (Formalin/PFA-fixed paraffin-embedded sections) - Anti-Sialoadhesin/CD169 antibody [EPR27102-11] - BSA and Azide free (AB312841)
  • IHC-P

Supplier Data

Immunohistochemistry (Formalin/PFA-fixed paraffin-embedded sections) - Anti-Sialoadhesin/CD169 antibody [EPR27102-11] - BSA and Azide free (AB312841)

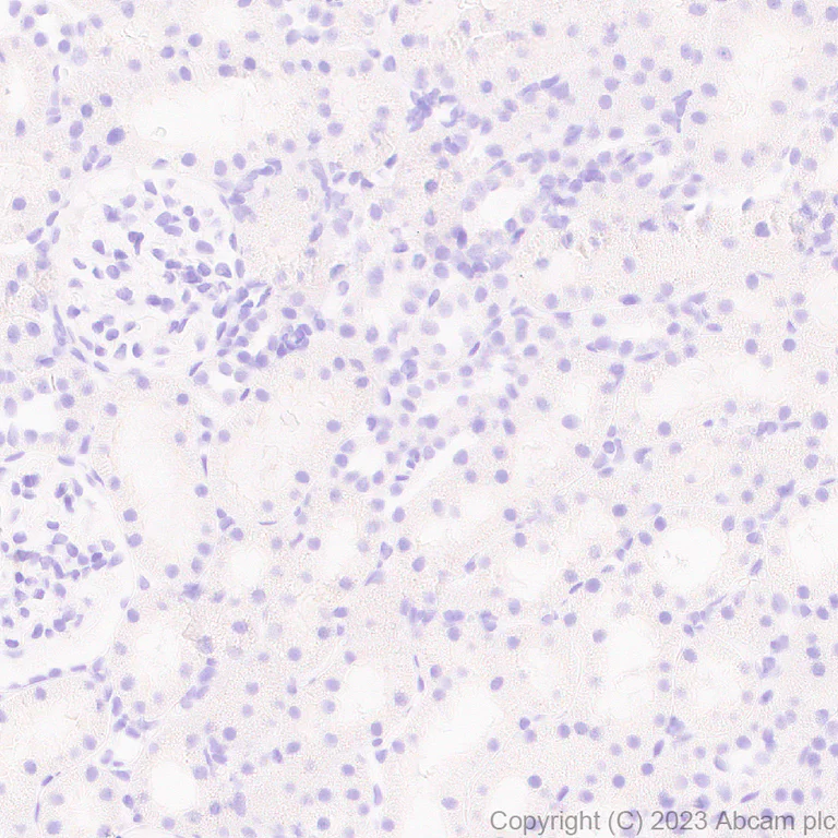
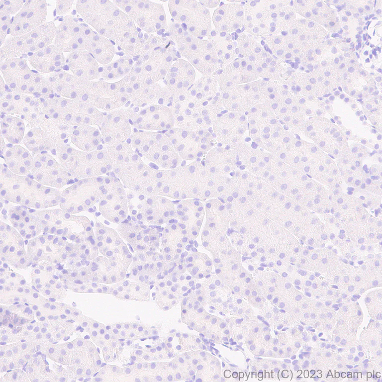
This data was developed using ab312840, the same antibody clone in a different buffer formulation. Immunohistochemical analysis of paraffin-embedded Mouse kidney tissue labeling Sialoadhesin/CD169 with ab312840 at 1/100 (5.16 ug/ml) followed by a ready to use LeicaDS9800 (Bond™ Polymer Refine Detection). Negative control : no staining on mouse kidney. The section was incubated with ab312840 for 30 mins at room temperature. The immunostaining was performed on a Leica Biosystems BOND® RX instrument. Counterstained with Hematoxylin. Secondary antibody only control : Secondary antibody is a ready to use LeicaDS9800 (Bond™ Polymer Refine Detection). Heat mediated antigen retrieval was performed with Tris-EDTA buffer (pH 9.0, Epitope Retrieval Solution2) for 20 mins.

Immunohistochemistry (Formalin/PFA-fixed paraffin-embedded sections) - Anti-Sialoadhesin/CD169 antibody [EPR27102-11] - BSA and Azide free (AB312841)
  • IHC-P

Supplier Data

Immunohistochemistry (Formalin/PFA-fixed paraffin-embedded sections) - Anti-Sialoadhesin/CD169 antibody [EPR27102-11] - BSA and Azide free (AB312841)

This data was developed using ab312840, the same antibody clone in a different buffer formulation. Immunohistochemical analysis of paraffin-embedded Mouse skeletal muscl tissue labeling Sialoadhesin/CD169 with ab312840 at 1/100 (5.16 ug/ml) followed by a ready to use LeicaDS9800 (Bond™ Polymer Refine Detection). Negative control : no staining on mouse skeletal muscle. The section was incubated with ab312840 for 30 mins at room temperature. The immunostaining was performed on a Leica Biosystems BOND® RX instrument. Counterstained with Hematoxylin. Secondary antibody only control : Secondary antibody is a ready to use LeicaDS9800 (Bond™ Polymer Refine Detection). Heat mediated antigen retrieval was performed with Tris-EDTA buffer (pH 9.0, Epitope Retrieval Solution2) for 20 mins.

Immunohistochemistry (Formalin/PFA-fixed paraffin-embedded sections) - Anti-Sialoadhesin/CD169 antibody [EPR27102-11] - BSA and Azide free (AB312841)
  • IHC-P

Supplier Data

Immunohistochemistry (Formalin/PFA-fixed paraffin-embedded sections) - Anti-Sialoadhesin/CD169 antibody [EPR27102-11] - BSA and Azide free (AB312841)

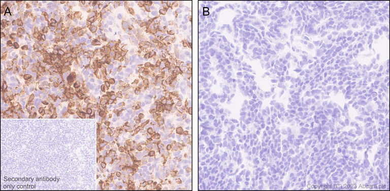
This data was developed using ab312840, the same antibody clone in a different buffer formulation. Immunohistochemical analysis of paraffin-embedded (A) HEK-293T (human tissue labeling Sialoadhesin/CD169 with ab312840 at 1/2000 (0.258 ug/ml) followed by a ready to use LeicaDS9800 (Bond™ Polymer Refine Detection). Positive staining on (A) HEK-293T transfected with a mouse SIGLEC1 expression vector containing a his tag. No staining on (B) HEK-293T transfected with empty vector containing a his tag. The section was incubated with ab312840 for 30 mins at room temperature. The immunostaining was performed on a Leica Biosystems BOND® RX instrument. Counterstained with Hematoxylin. Secondary antibody only control : Secondary antibody is a ready to use LeicaDS9800 (Bond™ Polymer Refine Detection). Heat mediated antigen retrieval was performed with Tris-EDTA buffer (pH 9.0, Epitope Retrieval Solution2) for 20 mins.

Immunohistochemistry (Formalin/PFA-fixed paraffin-embedded sections) - Anti-Sialoadhesin/CD169 antibody [EPR27102-11] - BSA and Azide free (AB312841)
  • IHC-P

Supplier Data

Immunohistochemistry (Formalin/PFA-fixed paraffin-embedded sections) - Anti-Sialoadhesin/CD169 antibody [EPR27102-11] - BSA and Azide free (AB312841)

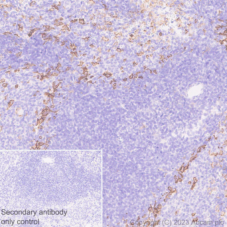
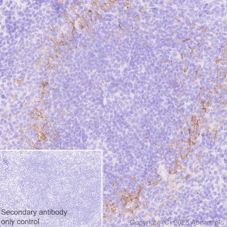
This data was developed using ab312840, the same antibody clone in a different buffer formulation. Immunohistochemical analysis of paraffin-embedded Mouse spleen tissue labeling Sialoadhesin/CD169 with ab312840 at 1/100 (5.16 ug/ml) followed by a ready to use LeicaDS9800 (Bond™ Polymer Refine Detection). Positive staining on mouse spleen interfollicular zone (PMID : 15107454). The section was incubated with ab312840 for 30 mins at room temperature. The immunostaining was performed on a Leica Biosystems BOND® RX instrument. Counterstained with Hematoxylin. Secondary antibody only control : Secondary antibody is a ready to use LeicaDS9800 (Bond™ Polymer Refine Detection). Heat mediated antigen retrieval was performed with Tris-EDTA buffer (pH 9.0, Epitope Retrieval Solution2) for 20 mins.

Immunohistochemistry (Formalin/PFA-fixed paraffin-embedded sections) - Anti-Sialoadhesin/CD169 antibody [EPR27102-11] - BSA and Azide free (AB312841)
  • IHC-P

Supplier Data

Immunohistochemistry (Formalin/PFA-fixed paraffin-embedded sections) - Anti-Sialoadhesin/CD169 antibody [EPR27102-11] - BSA and Azide free (AB312841)

This data was developed using ab312840, the same antibody clone in a different buffer formulation. Immunohistochemical analysis of paraffin-embedded Rat spleen tissue labeling Sialoadhesin/CD169 with ab312840 at 1/100 (5.16 ug/ml) followed by a ready to use LeicaDS9800 (Bond™ Polymer Refine Detection). Positive staining on rat spleen interfollicular zone. The section was incubated with ab312840 for 30 mins at room temperature. The immunostaining was performed on a Leica Biosystems BOND® RX instrument. Counterstained with Hematoxylin. Secondary antibody only control : Secondary antibody is a ready to use LeicaDS9800 (Bond™ Polymer Refine Detection). Heat mediated antigen retrieval was performed with Tris-EDTA buffer (pH 9.0, Epitope Retrieval Solution2) for 20 mins.

Immunocytochemistry/ Immunofluorescence - Anti-Sialoadhesin/CD169 antibody [EPR27102-11] - BSA and Azide free (AB312841)
  • ICC/IF

Supplier Data

Immunocytochemistry/ Immunofluorescence - Anti-Sialoadhesin/CD169 antibody [EPR27102-11] - BSA and Azide free (AB312841)

This data was developed using ab312840, the same antibody clone in a different buffer formulation. Immunofluorescent analysis of 4% Paraformaldehyde-fixed, 0.1% TritonX-100 permeabilized RAW 264.7 (mouse abelson murine leukemia virus-induced tumor macrophage) cells labelling Sialoadhesin/CD169 with ab312840 at 1/250 (2.064 ug/ml) dilution, followed by ab150081 Goat Anti-Rabbit IgG H&L (Alexa Fluor® 488) preadsorbed antibody at 1/1000 (2 ug/ml) dilution (Green). Confocal image showing positive staining in RAW 264.7 cells treated with lipopolysaccharide (100ng/ml) for 16 hours.Image was taken with a confocal microscope(Leica-Microsystems, TCS SP8). ab195889 Anti-alpha Tubulin mouse monoclonal antibody - Microtubule Marker (Alexa Fluor® 594) was used to counterstain tubulin at 1/200 (2.5ug/ml) dilution (Red). The Nuclear counterstain was DAPI (Blue). Secondary antibody only control : Secondary antibody is ab150081 Goat Anti-Rabbit IgG H&L (Alexa Fluor® 488) preadsorbed at 1/1000 (2 ug/ml) dilution.

Flow Cytometry - Anti-Sialoadhesin/CD169 antibody [EPR27102-11] - BSA and Azide free (AB312841)
  • Flow Cyt

Supplier Data

Flow Cytometry - Anti-Sialoadhesin/CD169 antibody [EPR27102-11] - BSA and Azide free (AB312841)

This data was developed using ab312840, the same antibody clone in a different buffer formulation. Flow cytometric analysis of Mouse bone marrow cells labelling Sialoadhesin/CD169 with ab312840 at 1/50 dilution (1ug)/ Right compared with a Rabbit monoclonal IgG (ab172730) / Left isotype control and an unlabelled control (cells without incubation with primary antibody and secondary antibody) (Blue). Goat Anti-Rabbit IgG (Alexa Fluor® 488, ab150081) at 1/5000 dilution was used as the secondary antibody. Cells co-stained with CD3 conjugated to A647. Gated on viable cells.

Flow Cytometry - Anti-Sialoadhesin/CD169 antibody [EPR27102-11] - BSA and Azide free (AB312841)
  • Flow Cyt

Supplier Data

Flow Cytometry - Anti-Sialoadhesin/CD169 antibody [EPR27102-11] - BSA and Azide free (AB312841)

This data was developed using ab312840, the same antibody clone in a different buffer formulation. Flow cytometric analysis of Mouse bone marrow cells labelling Sialoadhesin/CD169 with ab312840 at 1/50 dilution (1ug)/ Right compared with a Rabbit monoclonal IgG (ab172730) / Left isotype control and an unlabelled control (cells without incubation with primary antibody and secondary antibody) (Blue). Goat Anti-Rabbit IgG (Alexa Fluor® 488, ab150081) at 1/5000 dilution was used as the secondary antibody. Cells co-stained with F4/80 conjugated to PE. Gated on viable cells.

Multiplex immunohistochemistry - Anti-Sialoadhesin/CD169 antibody [EPR27102-11] - BSA and Azide free (AB312841)
  • mIHC

Supplier Data

Multiplex immunohistochemistry - Anti-Sialoadhesin/CD169 antibody [EPR27102-11] - BSA and Azide free (AB312841)

This data was developed using ab312840, the same antibody clone in a different buffer formulation. Multiplex immunohistochemistry analysis of formalin/PFA-fixed paraffin-embedded Rat spleen tissue labeling Sialoadhesin/CD169, CD3 epsilon and CD20 with ab312840 at 1/100 dilution, ab16669 at 1 : 150 dilution and ab236434 at 1 : 5000 dilution. Panel A : merged staining of anti-Sialoadhesin/CD169 (red; Opal™690), anti-CD3 epsilon (green; Opal™520) and anti-CD20 (gray; Opal™570) on rat spleen. Panel B : anti-Sialoadhesin/CD169 stained on macrophages. Panel C : anti-CD3 epsilon stained on T cells. Panel D : anti-CD20 stained on B cells. The section was incubated in three rounds of staining : in the order of ab312840, ab16669, and ab236434 for 30 mins at room temperature. Each round was followed by a separate fluorescent tyramide signal amplification system. The immunostaining was performed on a Leica Biosystems BOND® RX instrument with an Opal™ 4-color kit. Image acquisition was performed with Leica SP8 confocal microscope.

Immunohistochemistry (Formalin/PFA-fixed paraffin-embedded sections) - Anti-Sialoadhesin/CD169 antibody [EPR27102-11] - BSA and Azide free (AB312841)
  • IHC-P

Supplier Data

Immunohistochemistry (Formalin/PFA-fixed paraffin-embedded sections) - Anti-Sialoadhesin/CD169 antibody [EPR27102-11] - BSA and Azide free (AB312841)

This data was developed using ab312840, the same antibody clone in a different buffer formulation. Immunohistochemical analysis of paraffin-embedded Rat skeletal muscle tissue labeling Sialoadhesin/CD169 with ab312840 at 1/100 (5.16 ug/ml) followed by a ready to use LeicaDS9800 (Bond™ Polymer Refine Detection). Negative control : no staining on rat skeletal muscle. The section was incubated with ab312840 for 30 mins at room temperature. The immunostaining was performed on a Leica Biosystems BOND® RX instrument. Counterstained with Hematoxylin. Secondary antibody only control : Secondary antibody is a ready to use LeicaDS9800 (Bond™ Polymer Refine Detection). Heat mediated antigen retrieval was performed with Tris-EDTA buffer (pH 9.0, Epitope Retrieval Solution2) for 20 mins.

Western blot - Anti-Sialoadhesin/CD169 antibody [EPR27102-11] - BSA and Azide free (AB312841)
  • WB

Supplier Data

Western blot - Anti-Sialoadhesin/CD169 antibody [EPR27102-11] - BSA and Azide free (AB312841)

This data was developed using ab312840, the same antibody clone in a different buffer formulation. Blocking and diluting buffer and concentration : 5% NFDM/TBST The expression of Sialoadhesin/CD169 is upregulated in response to LPS treatment (PMID : 27129263). In Western blot, anti- Vinculin antibody (ab129002) loading control staining at 1/10000 dilution. Exposure time : 180 seconds

All lanes:

Western blot - Anti-Sialoadhesin/CD169 antibody [EPR27102-11] (<a href='/en-us/products/primary-antibodies/sialoadhesin-cd169-antibody-epr27102-11-ab312840'>ab312840</a>) at 1/1000 dilution

Lane 1:

Untreated RAW 264.7 (mouse Abelson murine leukemia virus-induced tumor macrophage) whole cell lysate at 20 µg

Lane 2:

RAW 264.7 treated with /ml LPS for 16h whole cell lysate at 20 µg

Secondary

All lanes:

Western blot - Goat Anti-Rabbit IgG H&L (HRP) (<a href='/en-us/products/secondary-antibodies/goat-rabbit-igg-h-l-hrp-ab97051'>ab97051</a>) at 1/20000 dilution

Observed band size: 250 kDa

false

Exposure time: 180s

Western blot - Anti-Sialoadhesin/CD169 antibody [EPR27102-11] - BSA and Azide free (AB312841)
  • WB

Supplier Data

Western blot - Anti-Sialoadhesin/CD169 antibody [EPR27102-11] - BSA and Azide free (AB312841)

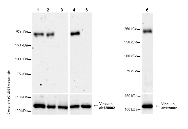
This data was developed using ab312840, the same antibody clone in a different buffer formulation. Blocking and diluting buffer and concentration : 5% NFDM/TBST Low expression : kidney (PMID 33408860). This blot of Lane 6 was developed using a high sensitivity ECL substrate. In Western blot, anti- Vinculin antibody (ab129002) loading control staining at 1/10000 dilution. Exposure time : Lane 1-5 : 180 seconds; Lane 6 : 114 seconds.

All lanes:

Western blot - Anti-Sialoadhesin/CD169 antibody [EPR27102-11] (<a href='/en-us/products/primary-antibodies/sialoadhesin-cd169-antibody-epr27102-11-ab312840'>ab312840</a>) at 1/1000 dilution

Lane 1:

Mouse spleen tissue lysate at 20 µg

Lane 2:

Mouse lymph node tissue lysate at 20 µg

Lane 3:

Mouse kidney tissue lysate at 20 µg

Lane 4:

Rat lymph node tissue lysate at 20 µg

Lane 5:

Rat kidney tissue lysate at 20 µg

Lane 6:

Rat spleen tissue lysate at 20 µg

Secondary

All lanes:

Western blot - Goat Anti-Rabbit IgG H&L (HRP) (<a href='/en-us/products/secondary-antibodies/goat-rabbit-igg-h-l-hrp-ab97051'>ab97051</a>) at 1/20000 dilution

Observed band size: 250 kDa

false

  • 519 Alexa Fluor® 488

    Alexa Fluor® 488 Anti-Sialoadhesin/CD169 antibody [EPR27102-11]

  • 665 Alexa Fluor® 647

    Alexa Fluor® 647 Anti-Sialoadhesin/CD169 antibody [EPR27102-11]

  • 603 Alexa Fluor® 568

    Alexa Fluor® 568 Anti-Sialoadhesin/CD169 antibody [EPR27102-11]

  • 660 APC

    APC Anti-Sialoadhesin/CD169 antibody [EPR27102-11]

  • 578 PE

    PE Anti-Sialoadhesin/CD169 antibody [EPR27102-11]

  • Unconjugated

    Anti-Sialoadhesin/CD169 antibody [EPR27102-11]

Key facts

Host species

Rabbit

Clonality

Monoclonal

Clone number

EPR27102-11

Isotype

IgG

Carrier free

Yes

Reacts with

Rat, Mouse

Applications

WB, Flow Cyt, ICC/IF, IHC-P, mIHC

applications

Immunogen

The exact immunogen used to generate this antibody is proprietary information.

Reactivity data

{ "title": "Reactivity Data", "filters": { "stats": ["", "Species", "Dilution Info", "Notes"], "tabs": { "all-applications": {"fullname" : "All Applications", "shortname": "All Applications"}, "ICCIF" : {"fullname" : "Immunocytochemistry/ Immunofluorescence", "shortname":"ICC/IF"}, "WB" : {"fullname" : "Western blot", "shortname":"WB"}, "FlowCyt" : {"fullname" : "Flow Cytometry", "shortname":"Flow Cyt"}, "IHCP" : {"fullname" : "Immunohistochemistry (Formalin/PFA-fixed paraffin-embedded sections)", "shortname":"IHC-P"}, "mIHC" : {"fullname" : "Multiplex immunohistochemistry", "shortname":"mIHC"}, "IP" : {"fullname" : "Immunoprecipitation", "shortname":"IP"} }, "product-promise": { "all": "all", "testedAndGuaranteed": "tested", "guaranteed": "expected", "predicted": "predicted", "notRecommended": "not-recommended" } }, "values": { "Human": { "ICCIF-species-checked": "notRecommended", "ICCIF-species-dilution-info": "", "ICCIF-species-notes": "", "WB-species-checked": "notRecommended", "WB-species-dilution-info": "", "WB-species-notes": "<p></p>", "FlowCyt-species-checked": "notRecommended", "FlowCyt-species-dilution-info": "", "FlowCyt-species-notes": "", "IHCP-species-checked": "notRecommended", "IHCP-species-dilution-info": "", "IHCP-species-notes": "<p></p>", "mIHC-species-checked": "notRecommended", "mIHC-species-dilution-info": "", "mIHC-species-notes": "", "IP-species-checked": "notRecommended", "IP-species-dilution-info": "", "IP-species-notes": "" }, "Mouse": { "ICCIF-species-checked": "testedAndGuaranteed", "ICCIF-species-dilution-info": "", "ICCIF-species-notes": "<p></p>", "WB-species-checked": "testedAndGuaranteed", "WB-species-dilution-info": "", "WB-species-notes": "<p></p>", "FlowCyt-species-checked": "testedAndGuaranteed", "FlowCyt-species-dilution-info": "", "FlowCyt-species-notes": "<p></p>", "IHCP-species-checked": "testedAndGuaranteed", "IHCP-species-dilution-info": "", "IHCP-species-notes": "<p></p>", "mIHC-species-checked": "testedAndGuaranteed", "mIHC-species-dilution-info": "", "mIHC-species-notes": "<p></p>", "IP-species-checked": "notRecommended", "IP-species-dilution-info": "", "IP-species-notes": "<p></p>" }, "Rat": { "ICCIF-species-checked": "guaranteed", "ICCIF-species-dilution-info": "", "ICCIF-species-notes": "", "WB-species-checked": "testedAndGuaranteed", "WB-species-dilution-info": "", "WB-species-notes": "<p></p>", "FlowCyt-species-checked": "guaranteed", "FlowCyt-species-dilution-info": "", "FlowCyt-species-notes": "", "IHCP-species-checked": "testedAndGuaranteed", "IHCP-species-dilution-info": "", "IHCP-species-notes": "<p></p>", "mIHC-species-checked": "testedAndGuaranteed", "mIHC-species-dilution-info": "", "mIHC-species-notes": "<p></p>", "IP-species-checked": "notRecommended", "IP-species-dilution-info": "", "IP-species-notes": "" }, "Transfected cell line - Mouse": { "ICCIF-species-checked": "notRecommended", "ICCIF-species-dilution-info": "", "ICCIF-species-notes": "", "WB-species-checked": "notRecommended", "WB-species-dilution-info": "", "WB-species-notes": "", "FlowCyt-species-checked": "notRecommended", "FlowCyt-species-dilution-info": "", "FlowCyt-species-notes": "", "IHCP-species-checked": "testedAndGuaranteed", "IHCP-species-dilution-info": "", "IHCP-species-notes": "<p></p>", "mIHC-species-checked": "notRecommended", "mIHC-species-dilution-info": "", "mIHC-species-notes": "", "IP-species-checked": "notRecommended", "IP-species-dilution-info": "", "IP-species-notes": "" } } }

Product details

Patented technology
Our RabMAb® technology is a patented hybridoma-based technology for making rabbit monoclonal antibodies. For details on our patents, please refer to RabMAb® patents.

What are the advantages of a recombinant monoclonal antibody?
This product is a recombinant monoclonal antibody, which offers several advantages including:

  • - High batch-to-batch consistency and reproducibility
  • - Improved sensitivity and specificity
  • - Long-term security of supply
  • - Animal-free batch production

For more information, read more on recombinant antibodies.

Conjugation ready
Our carrier-free antibodies are typically supplied in a PBS-only formulation, purified and free of BSA, sodium azide and glycerol. This conjugation-ready format is designed for use with fluorochromes, metal isotopes, oligonucleotides, and enzymes, which makes them ideal for antibody labelling, functional and cell-based assays, flow-based assays (e.g. mass cytometry) and Multiplex Imaging applications.

Use our conjugation kits for antibody conjugates that are ready-to-use in as little as 20 minutes with 1 minute hands-on-time and 100% antibody recovery: available for fluorescent dyes, HRP, biotin and gold.

Compatibility
This product is compatible with the Maxpar® Antibody Labeling Kit from Fluidigm, without the need for antibody preparation. Maxpar® is a trademark of Fluidigm Canada Inc.

Properties and storage information

Form
Liquid
Purification technique
Affinity purification Protein A
Storage buffer
pH: 7.2 - 7.4 Constituents: PBS
Shipped at conditions
Blue Ice
Appropriate short-term storage conditions
+4°C
Appropriate long-term storage conditions
+4°C

Product protocols

For this product, it's our understanding that no specific protocols are required. You can visit:

Target data

Macrophage-restricted adhesion molecule that mediates sialic-acid dependent binding to lymphocytes, including granulocytes, monocytes, natural killer cells, B-cells and CD8 T-cells. Plays a crucial role in limiting bacterial dissemination by engaging sialylated bacteria to promote effective phagocytosis and antigen presentation for the adaptive immune response (PubMed : 24788876). Mediates the uptake of various enveloped viruses via sialic acid recognition and subsequently induces the formation of intracellular compartments filled with virions (VCCs) (PubMed : 26370074). In turn, enhances macrophage-to-T-cell transmission of several viruses including murine leukemia virus (PubMed : 26370074). Acts as an endocytic receptor mediating clathrin dependent endocytosis. Preferentially binds to alpha-2,3-linked sialic acid (By similarity). Binds to SPN/CD43 on T-cells (By similarity). May play a role in hemopoiesis. Plays a role in the inhibition of antiviral innate immune by promoting TBK1 degradation via TYROBP and TRIM27-mediated ubiquitination (By similarity).
See full target information Siglec1

Product promise

We are committed to supporting your work with high-quality reagents, and we're here for you every step of the way. In the unlikely event that one of our products does not perform as expected, you're protected by our Product Promise.
For full details, please see our Terms & Conditions

Please note: All products are 'FOR RESEARCH USE ONLY. NOT FOR USE IN DIAGNOSTIC OR THERAPEUTIC PROCEDURES'.

For licensing inquiries, please contact partnerships@abcam.com