JavaScript is disabled in your browser. Please enable JavaScript to view this website.
AB18619

Anti-Sialoadhesin/CD169 antibody [HSn 7D2]

4

(3 Reviews)

|

(10 Publications)

Mouse Monoclonal Sialoadhesin/CD169 antibody. Suitable for WB, IHC-Fr and reacts with Human samples. Cited in 10 publications.

View Alternative Names

CD169, SN, SIGLEC1, Sialoadhesin, Sialic acid-binding Ig-like lectin 1, Siglec-1

2 Images
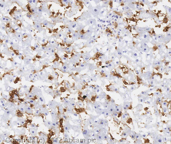
Immunohistochemistry (Frozen sections) - Anti-Sialoadhesin/CD169 antibody [HSn 7D2] (AB18619)
  • IHC-Fr

Lab

Immunohistochemistry (Frozen sections) - Anti-Sialoadhesin/CD169 antibody [HSn 7D2] (AB18619)

IHC image of Sialoadhesin/CD169 staining in human liver frozen tissue section, fixed in 10% paraformaldehyde (10 min). Staining was performed on a Leica Bond system using the standard protocol F. The section was then incubated with ab18619, 5μg/ml, for 15 mins at room temperature and detected using an HRP conjugated compact polymer system. DAB was used as the chromogen. The section was then counterstained with haematoxylin and mounted with DPX.

For other IHC staining systems (automated and non-automated) customers should optimize variable parameters such as antigen retrieval conditions, primary antibody concentration and antibody incubation times.

Western blot - Anti-Sialoadhesin/CD169 antibody [HSn 7D2] (AB18619)
  • WB

Lab

Western blot - Anti-Sialoadhesin/CD169 antibody [HSn 7D2] (AB18619)

This blot was produced using a 3-8% Tris-Acetate gel under the TA buffer system. The gel was run at 150V for 60 minutes before being transferred onto a Nitrocellulose membrane at 30V for 70 minutes.

The membrane was then blocked for an hour using 2% BSA before being incubated with ab269566 overnight at 4°C. Antibody binding was detected using a Goat anti-mouse antibody conjugated to HRP, and visualised using ECL development solution ab133406.

This image was produced using ab269566, the same antibody clone but in a different PBS only formulation

All lanes:

Western blot - Anti-Sialoadhesin/CD169 antibody [HSn 7D2] (ab18619) at 1 µg/mL

Lane 1:

Human spleen whole tissue lysate at 30 µg

Lane 2:

Human lymph node whole tissue lysate at 30 µg

Secondary

All lanes:

HRP conjugated Goat Anti-Mouse IgG (H+L) at 1/5000 dilution

Predicted band size: 182 kDa

false

Exposure time: 20min

  • Carrier free

    Anti-Sialoadhesin/CD169 antibody [HSn 7D2] - BSA and Azide free

Key facts

Host species

Mouse

Clonality

Monoclonal

Clone number

HSn 7D2

Isotype

IgG1

Light chain type

kappa

Carrier free

No

Reacts with

Human

Applications

IHC-Fr, WB

applications

Immunogen

The exact immunogen used to generate this antibody is proprietary information.

Epitope

Within domains 1-4.

Reactivity data

{ "title": "Reactivity Data", "filters": { "stats": ["", "Species", "Dilution Info", "Notes"], "tabs": { "all-applications": {"fullname" : "All Applications", "shortname": "All Applications"}, "WB" : {"fullname" : "Western blot", "shortname":"WB"}, "IHCFr" : {"fullname" : "Immunohistochemistry (Frozen sections)", "shortname":"IHC-Fr"} }, "product-promise": { "all": "all", "testedAndGuaranteed": "tested", "guaranteed": "expected", "predicted": "predicted", "notRecommended": "not-recommended" } }, "values": { "Human": { "WB-species-checked": "testedAndGuaranteed", "WB-species-dilution-info": "1 µg/mL", "WB-species-notes": "<p></p>", "IHCFr-species-checked": "testedAndGuaranteed", "IHCFr-species-dilution-info": "5 µg/mL", "IHCFr-species-notes": "<p></p>" } } }

Product details

Want a custom formulation?
This antibody clone is manufactured by Abcam. If you require a custom buffer formulation or conjugation for your experiments, please contact orders@abcam.com

Properties and storage information

Form
Liquid
Purification technique
Affinity purification
Storage buffer
Preservative: 0.02% Sodium azide Constituents: PBS
Shipped at conditions
Blue Ice
Appropriate short-term storage duration
1-2 weeks
Appropriate short-term storage conditions
+4°C
Appropriate long-term storage conditions
-20°C
Aliquoting information
Upon delivery aliquot
Storage information
Avoid freeze / thaw cycle

Product protocols

For this product, it's our understanding that no specific protocols are required. You can visit:

Target data

Macrophage-restricted adhesion molecule that mediates sialic-acid dependent binding to lymphocytes, including granulocytes, monocytes, natural killer cells, B-cells and CD8 T-cells. Plays a crucial role in limiting bacterial dissemination by engaging sialylated bacteria to promote effective phagocytosis and antigen presentation for the adaptive immune response (PubMed : 12940982, PubMed : 33489013). Mediates the uptake of various enveloped viruses via sialic acid recognition and subsequently induces the formation of intracellular compartments filled with virions (VCCs) (PubMed : 28129379). In turn, enhances macrophage-to-T-cell transmission of several viruses including HIV-1 or SARS-CoV-2 (PubMed : 28129379, PubMed : 34782760). Acts as an endocytic receptor mediating clathrin dependent endocytosis. Preferentially binds to alpha-2,3-linked sialic acid (PubMed : 12940982). Binds to SPN/CD43 on T-cells (By similarity). May play a role in hemopoiesis. Plays a role in the inhibition of antiviral innate immune by promoting TBK1 degradation via TYROBP and TRIM27-mediated ubiquitination (PubMed : 26358190).. (Microbial infection) Facilitates viral cytoplasmic entry into activated dendritic cells via recognition of sialylated gangliosides pesent on viral membrane.
See full target information SIGLEC1

Publications (10)

Recent publications for all applications. Explore the full list and refine your search

eLife 13: PubMed39535032

2024

CXCR3-expressing myeloid cells recruited to the hypothalamus protect against diet-induced body mass gain and metabolic dysfunction.

Applications

Unspecified application

Species

Unspecified reactive species

Natalia Mendes,Ariane Zanesco,Cristhiane Aguiar,Gabriela F Rodrigues-Luiz,Dayana Silva,Jonathan Campos,Niels Olsen Saraiva Camara,Pedro Moraes-Vieira,Eliana Araujo,Licio A Velloso

Journal of gastrointestinal oncology 13:1317-1329 PubMed35837195

2022

IL-1 receptor-associated kinase 1 participates in the modulation of the NLRP3 inflammasome by tumor-associated macrophages in hepatocellular carcinoma.

Applications

Unspecified application

Species

Unspecified reactive species

Wei Chen,Mingjuan Hu,Tao Wei,Ying Liu,Tian Tan,Chengfang Zhang,Jiaxuan Weng

Experimental and molecular pathology 113:104398 PubMed32007531

2020

Siglec1 enhances inflammation through miR-1260-dependent degradation of IκBα in COPD.

Applications

Unspecified application

Species

Unspecified reactive species

Sensen Li,Longfeng Jiang,Yanbing Yang,Juan Cao,Qi Zhang,Jinghai Zhang,Rui Wang,Xiaozhao Deng,Yaojun Li

Arthritis research & therapy 20:152 PubMed30053827

2018

The plasma biomarker soluble SIGLEC-1 is associated with the type I interferon transcriptional signature, ethnic background and renal disease in systemic lupus erythematosus.

Applications

Unspecified application

Species

Unspecified reactive species

João J Oliveira,Sarah Karrar,Daniel B Rainbow,Christopher L Pinder,Pamela Clarke,Arcadio Rubio García,Osama Al-Assar,Keith Burling,Sian Morris,Richard Stratton,Tim J Vyse,Linda S Wicker,John A Todd,Ricardo C Ferreira

Nature communications 9:2436 PubMed29934525

2018

Secondary lymphoid organ fibroblastic reticular cells mediate trans-infection of HIV-1 via CD44-hyaluronan interactions.

Applications

Unspecified application

Species

Unspecified reactive species

Tomoyuki Murakami,Jiwon Kim,Yi Li,Glenn Edward Green,Ariella Shikanov,Akira Ono

European journal of immunology 48:621-631 PubMed29266251

2018

Siglec-1 inhibits RSV-induced interferon gamma production by adult T cells in contrast to newborn T cells.

Applications

Unspecified application

Species

Unspecified reactive species

Jop Jans,Wendy W J Unger,Marloes Vissers,Inge M L Ahout,Inge Schreurs,Arthur Wickenhagen,Ronald de Groot,Marien I de Jonge,Gerben Ferwerda

Wellcome open research 2:28 PubMed28815218

2017

Capturing the systemic immune signature of a norovirus infection: an n-of-1 case study within a clinical trial.

Applications

Unspecified application

Species

Unspecified reactive species

Antony J Cutler,Joao Oliveira,Ricardo C Ferreira,Ben Challis,Neil M Walker,Sarah Caddy,Jia Lu,Helen E Stevens,Deborah J Smyth,Marcin L Pekalski,Jane Kennet,Kara M D Hunter,Ian Goodfellow,Linda S Wicker,John A Todd,Frank Waldron-Lynch

The American journal of pathology 177:1143-54 PubMed20696778

2010

Statin attenuates experimental anti-glomerular basement membrane glomerulonephritis together with the augmentation of alternatively activated macrophages.

Applications

ICC/IF

Species

Human

Emiko Fujita,Akira Shimizu,Yukinari Masuda,Naomi Kuwahara,Takashi Arai,Shinya Nagasaka,Kaoru Aki,Akiko Mii,Yasuhiro Natori,Yasuhiko Iino,Yasuo Katayama,Yuh Fukuda

Blood 97:288-96 PubMed11133773

2001

Characterization of human sialoadhesin, a sialic acid binding receptor expressed by resident and inflammatory macrophage populations.

Applications

Unspecified application

Species

Unspecified reactive species

A Hartnell,J Steel,H Turley,M Jones,D G Jackson,P R Crocker

Immunology 92:307-16 PubMed9415041

1998

The species-specific structure of microanatomical compartments in the human spleen: strongly sialoadhesin-positive macrophages occur in the perifollicular zone, but not in the marginal zone.

Applications

Unspecified application

Species

Unspecified reactive species

B Steiniger,P Barth,B Herbst,A Hartnell,P R Crocker
View all publications

Product promise

We are committed to supporting your work with high-quality reagents, and we're here for you every step of the way. In the unlikely event that one of our products does not perform as expected, you're protected by our Product Promise.
For full details, please see our Terms & Conditions

Please note: All products are 'FOR RESEARCH USE ONLY. NOT FOR USE IN DIAGNOSTIC OR THERAPEUTIC PROCEDURES'.

For licensing inquiries, please contact partnerships@abcam.com