JavaScript is disabled in your browser. Please enable JavaScript to view this website.
AB269566

Anti-Sialoadhesin/CD169 antibody [HSn 7D2] - BSA and Azide free

Be the first to review this product! Submit a review

|

(0 Publication)

Mouse Monoclonal Sialoadhesin/CD169 antibody. Carrier free. Suitable for WB, IHC-Fr and reacts with Human samples.

View Alternative Names

CD169, SN, SIGLEC1, Sialoadhesin, Sialic acid-binding Ig-like lectin 1, Siglec-1

2 Images
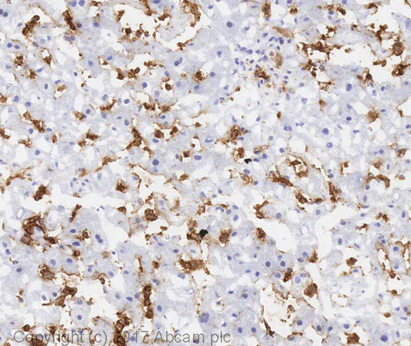
Immunohistochemistry (Frozen sections) - Anti-Sialoadhesin/CD169 antibody [HSn 7D2] - BSA and Azide free (AB269566)
  • IHC-Fr

Lab

Immunohistochemistry (Frozen sections) - Anti-Sialoadhesin/CD169 antibody [HSn 7D2] - BSA and Azide free (AB269566)

IHC image of Sialoadhesin/CD169 staining in human liver frozen tissue section, fixed in 10% paraformaldehyde (10 min). Staining was performed on a Leica Bond system using the standard protocol F. The section was then incubated with ab18619, 5μg/ml, for 15 mins at room temperature and detected using an HRP conjugated compact polymer system. DAB was used as the chromogen. The section was then counterstained with haematoxylin and mounted with DPX.

For other IHC staining systems (automated and non-automated) customers should optimize variable parameters such as antigen retrieval conditions, primary antibody concentration and antibody incubation times.

This image was produced using the same antibody clone but in a different formulation ab18619, PBS and sodium azide.

Western blot - Anti-Sialoadhesin/CD169 antibody [HSn 7D2] - BSA and Azide free (AB269566)
  • WB

Lab

Western blot - Anti-Sialoadhesin/CD169 antibody [HSn 7D2] - BSA and Azide free (AB269566)

This blot was produced using a 3-8% Tris-Acetate gel under the TA buffer system. The gel was run at 150V for 60 minutes before being transferred onto a Nitrocellulose membrane at 30V for 70 minutes. The membrane was then blocked for an hour using 2% BSA before being incubated with ab269566 overnight at 4°C. Antibody binding was detected using a Goat anti-mouse antibody conjugated to HRP, and visualised using ECL development solution ab133406.

All lanes:

Western blot - Anti-Sialoadhesin/CD169 antibody [HSn 7D2] (<a href='/en-us/products/primary-antibodies/sialoadhesin-cd169-antibody-hsn-7d2-ab18619'>ab18619</a>) at 1 µg/mL

Lane 1:

Human spleen whole tissue lysate at 30 µg

Lane 2:

Human lymph node whole tissue lysate at 30 µg

Secondary

All lanes:

HRP conjugated Goat Anti-Mouse IgG (H+L) at 1/5000 dilution

Predicted band size: 182 kDa

false

Exposure time: 20min

Key facts

Host species

Mouse

Clonality

Monoclonal

Clone number

HSn 7D2

Isotype

IgG1

Light chain type

kappa

Carrier free

Yes

Reacts with

Human

Applications

WB, IHC-Fr

applications

Immunogen

The exact immunogen used to generate this antibody is proprietary information.

Epitope

Within domains 1-4.

Reactivity data

{ "title": "Reactivity Data", "filters": { "stats": ["", "Species", "Dilution Info", "Notes"], "tabs": { "all-applications": {"fullname" : "All Applications", "shortname": "All Applications"}, "WB" : {"fullname" : "Western blot", "shortname":"WB"}, "IHCFr" : {"fullname" : "Immunohistochemistry (Frozen sections)", "shortname":"IHC-Fr"} }, "product-promise": { "all": "all", "testedAndGuaranteed": "tested", "guaranteed": "expected", "predicted": "predicted", "notRecommended": "not-recommended" } }, "values": { "Human": { "WB-species-checked": "testedAndGuaranteed", "WB-species-dilution-info": "1 µg/mL", "WB-species-notes": "<p></p>", "IHCFr-species-checked": "testedAndGuaranteed", "IHCFr-species-dilution-info": "5 µg/mL", "IHCFr-species-notes": "<p></p>" } } }

Product details

ab269566 is the carrier-free version of ab18619.

Want a custom formulation?
This antibody clone is manufactured by Abcam. If you require a custom buffer formulation or conjugation for your experiments, please contact orders@abcam.com

Conjugation ready
Our carrier-free antibodies are typically supplied in a PBS-only formulation, purified and free of BSA, sodium azide and glycerol. This conjugation-ready format is designed for use with fluorochromes, metal isotopes, oligonucleotides, and enzymes, which makes them ideal for antibody labelling, functional and cell-based assays, flow-based assays (e.g. mass cytometry) and Multiplex Imaging applications.

Use our conjugation kits for antibody conjugates that are ready-to-use in as little as 20 minutes with 1 minute hands-on-time and 100% antibody recovery: available for fluorescent dyes, HRP, biotin and gold.

Compatibility
This product is compatible with the Maxpar® Antibody Labeling Kit from Fluidigm, without the need for antibody preparation. Maxpar® is a trademark of Fluidigm Canada Inc.

Properties and storage information

Form
Liquid
Purification technique
Affinity purification
Storage buffer
Constituents: PBS
Shipped at conditions
Blue Ice
Appropriate short-term storage conditions
+4°C
Appropriate long-term storage conditions
+4°C
Storage information
Do Not Freeze

Product protocols

For this product, it's our understanding that no specific protocols are required. You can visit:

Target data

Macrophage-restricted adhesion molecule that mediates sialic-acid dependent binding to lymphocytes, including granulocytes, monocytes, natural killer cells, B-cells and CD8 T-cells. Plays a crucial role in limiting bacterial dissemination by engaging sialylated bacteria to promote effective phagocytosis and antigen presentation for the adaptive immune response (PubMed : 12940982, PubMed : 33489013). Mediates the uptake of various enveloped viruses via sialic acid recognition and subsequently induces the formation of intracellular compartments filled with virions (VCCs) (PubMed : 28129379). In turn, enhances macrophage-to-T-cell transmission of several viruses including HIV-1 or SARS-CoV-2 (PubMed : 28129379, PubMed : 34782760). Acts as an endocytic receptor mediating clathrin dependent endocytosis. Preferentially binds to alpha-2,3-linked sialic acid (PubMed : 12940982). Binds to SPN/CD43 on T-cells (By similarity). May play a role in hemopoiesis. Plays a role in the inhibition of antiviral innate immune by promoting TBK1 degradation via TYROBP and TRIM27-mediated ubiquitination (PubMed : 26358190).. (Microbial infection) Facilitates viral cytoplasmic entry into activated dendritic cells via recognition of sialylated gangliosides pesent on viral membrane.
See full target information SIGLEC1

Product promise

We are committed to supporting your work with high-quality reagents, and we're here for you every step of the way. In the unlikely event that one of our products does not perform as expected, you're protected by our Product Promise.
For full details, please see our Terms & Conditions

Please note: All products are 'FOR RESEARCH USE ONLY. NOT FOR USE IN DIAGNOSTIC OR THERAPEUTIC PROCEDURES'.

For licensing inquiries, please contact partnerships@abcam.com