JavaScript is disabled in your browser. Please enable JavaScript to view this website.
AB245735

Anti-Sialoadhesin/CD169 antibody [SP213] - BSA and Azide free

  • BOND RX™ Validated
  • RabMAb
  • Advanced Validation
  • Recombinant
  • What is this?

Be the first to review this product! Submit a review

|

(2 Publications)

Rabbit Recombinant Monoclonal Sialoadhesin/CD169 antibody. Carrier free. Suitable for IHC-P, Flow Cyt (Intra), mIHC and reacts with Human samples. Cited in 2 publications.

View Alternative Names

CD169, SN, SIGLEC1, Sialoadhesin, Sialic acid-binding Ig-like lectin 1, Siglec-1

9 Images
Immunohistochemistry (Formalin/PFA-fixed paraffin-embedded sections) - Anti-Sialoadhesin/CD169 antibody [SP213] - BSA and Azide free (AB245735)
  • IHC-P

Unknown

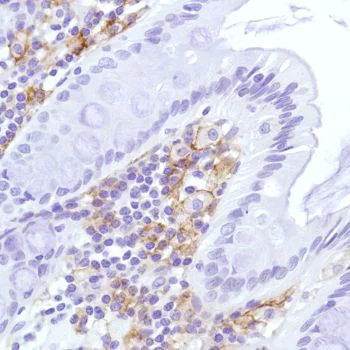
Immunohistochemistry (Formalin/PFA-fixed paraffin-embedded sections) - Anti-Sialoadhesin/CD169 antibody [SP213] - BSA and Azide free (AB245735)

Formalin-fixed, paraffin-embedded human colon tissue stained for Sialoadhesin/CD169 with ab227672 at 1/100 dilution in immunohistochemical analysis.

This data was developed using the same antibody clone in a different buffer formulation containing PBS, BSA and sodium azide (ab227672).

Immunohistochemistry (Formalin/PFA-fixed paraffin-embedded sections) - Anti-Sialoadhesin/CD169 antibody [SP213] - BSA and Azide free (AB245735)
  • IHC-P

Unknown

Immunohistochemistry (Formalin/PFA-fixed paraffin-embedded sections) - Anti-Sialoadhesin/CD169 antibody [SP213] - BSA and Azide free (AB245735)

Immunohistochemistry (Formalin/PFA-fixed paraffin-embedded sections) analysis of Human colon tissue sections labeling Sialoadhesin/CD169 with ab227672 at 1/100 dilution (1.17 µg/ml). Heat mediated antigen retrieval was performed Heat mediated antigen retrieval with sodium citrate buffer (pH 6.0, epitope retrieval solution 1) for 10 mins. Rabbit specific IHC polymer detection kit HRP/DAB (ab209101) was used as the secondary antibody. Negative control : PBS instead of the primary antibody. Hematoxylin was used as a counterstain.
This data was developed using the same antibody clone in a different buffer formulation containing PBS, BSA, glycerol, and sodium azide (ab227672)

Immunohistochemistry (Formalin/PFA-fixed paraffin-embedded sections) - Anti-Sialoadhesin/CD169 antibody [SP213] - BSA and Azide free (AB245735)
  • IHC-P

Supplier Data

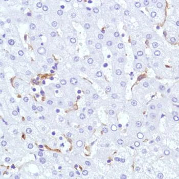
Immunohistochemistry (Formalin/PFA-fixed paraffin-embedded sections) - Anti-Sialoadhesin/CD169 antibody [SP213] - BSA and Azide free (AB245735)

Formalin-fixed, paraffin-embedded human liver tissue stained for Sialoadhesin with ab227672 at 1/100 dilution in immunohistochemical analysis.

This data was developed using the same antibody clone in a different buffer formulation containing PBS#44; BSA#44; and sodium azide (ab227672)

Immunohistochemistry (Formalin/PFA-fixed paraffin-embedded sections) - Anti-Sialoadhesin/CD169 antibody [SP213] - BSA and Azide free (AB245735)
  • IHC-P

Supplier Data

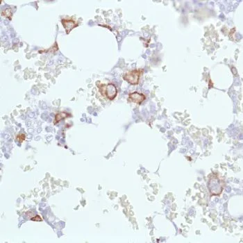
Immunohistochemistry (Formalin/PFA-fixed paraffin-embedded sections) - Anti-Sialoadhesin/CD169 antibody [SP213] - BSA and Azide free (AB245735)

Formalin-fixed, paraffin-embedded human bone marrow tissue stained for Sialoadhesin with ab227672 at 1/100 dilution in immunohistochemical analysis.

This data was developed using the same antibody clone in a different buffer formulation containing PBS#44; BSA#44; and sodium azide (ab227672)

Immunohistochemistry (Formalin/PFA-fixed paraffin-embedded sections) - Anti-Sialoadhesin/CD169 antibody [SP213] - BSA and Azide free (AB245735)
  • IHC-P

Supplier Data

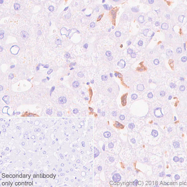
Immunohistochemistry (Formalin/PFA-fixed paraffin-embedded sections) - Anti-Sialoadhesin/CD169 antibody [SP213] - BSA and Azide free (AB245735)

Formalin-fixed, paraffin-embedded human liver tissue stained for Sialoadhesin/CD169 with ab227672 at 1/100 dilution in immunohistochemical analysis.

This data was developed using the same antibody clone in a different buffer formulation containing PBS, BSA and sodium azide (ab227672).

Flow Cytometry (Intracellular) - Anti-Sialoadhesin/CD169 antibody [SP213] - BSA and Azide free (AB245735)
  • Flow Cyt (Intra)

Unknown

Flow Cytometry (Intracellular) - Anti-Sialoadhesin/CD169 antibody [SP213] - BSA and Azide free (AB245735)

Intracellular Flow Cytometry analysis of Human PBMC treated with 20ng/ml IFN-gamma for 24 hours cells labeling Sialoadhesin/CD169 with purified ab227672 at 1/20 dilution (6μg/ml) (red). Cells were fixed with 4% paraformaldehyde and permeabilised with 0.1% Tween-20. A Goat anti rabbit IgG (Alexa Fluor® 488, ab150081) secondary antibody was used at 1/2000 dilution. Isotype control - Rabbit monoclonal IgG (ab172730) / Black. Unlabeled control - Unlabelled cells / blue.

This data was developed using the same antibody clone in a different buffer formulation containing PBS, BSA, glycerol, and sodium azide (ab227672).

Immunohistochemistry (Formalin/PFA-fixed paraffin-embedded sections) - Anti-Sialoadhesin/CD169 antibody [SP213] - BSA and Azide free (AB245735)
  • IHC-P

Supplier Data

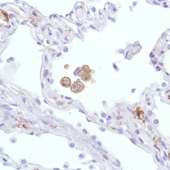
Immunohistochemistry (Formalin/PFA-fixed paraffin-embedded sections) - Anti-Sialoadhesin/CD169 antibody [SP213] - BSA and Azide free (AB245735)

Formalin-fixed, paraffin-embedded human lung tissue stained for Sialoadhesin with ab227672 at 1/100 dilution in immunohistochemical analysis.

This data was developed using the same antibody clone in a different buffer formulation containing PBS#44; BSA#44; and sodium azide (ab227672)

Immunohistochemistry (Formalin/PFA-fixed paraffin-embedded sections) - Anti-Sialoadhesin/CD169 antibody [SP213] - BSA and Azide free (AB245735)
  • IHC-P

Unknown

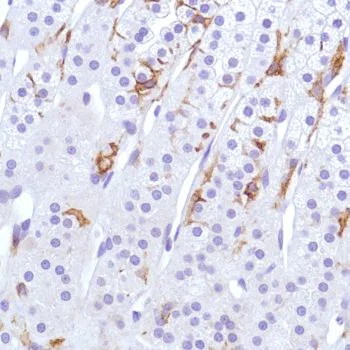
Immunohistochemistry (Formalin/PFA-fixed paraffin-embedded sections) - Anti-Sialoadhesin/CD169 antibody [SP213] - BSA and Azide free (AB245735)

Immunohistochemistry (Formalin/PFA-fixed paraffin-embedded sections) analysis of Human liver tissue sections labeling Sialoadhesin/CD169 with ab227672 at 1/100 dilution (1.17 µg/ml). Heat mediated antigen retrieval was performed Heat mediated antigen retrieval with sodium citrate buffer (pH 6.0, epitope retrieval solution 1) for 10 mins. Rabbit specific IHC polymer detection kit HRP/DAB (ab209101) was used as the secondary antibody. Negative control : PBS instead of the primary antibody. Hematoxylin was used as a counterstain.
This data was developed using the same antibody clone in a different buffer formulation containing PBS, BSA, glycerol, and sodium azide (ab227672)

Multiplex immunohistochemistry - Anti-Sialoadhesin/CD169 antibody [SP213] - BSA and Azide free (AB245735)
  • mIHC

Lab

Multiplex immunohistochemistry - Anti-Sialoadhesin/CD169 antibody [SP213] - BSA and Azide free (AB245735)

Fluorescence multiplex immunohistochemical analysis of formalin/PFA-fixed paraffin-embedded Human lung tissue. Panel A : Merged staining of anti-Podoplanin / gp36 (magenta; Opal™690), anti-Surfactant protein D/SP-D (green; Opal™520) and anti-Sialoadhesin/CD169 (red; Opal™570) on human lung. Panel B : Anti-Podoplanin / gp36 stained on alveolar type I cells. Panel C : Anti-Surfactant protein D/SP-D stained on alveolar type II cells. Panel D : Anti-Sialoadhesin/CD169 stained on macrophages. The section was incubated in three rounds of staining : in the order of ab236529 and ab234257 for 30 mins, then ab245735 for 10 mins at room temperature. Each round was followed by a separate fluorescent tyramide signal amplification system. The immunostaining was performed on a Leica Biosystems BOND® RX instrument with an Opal™ 4-color kit. Image acquisition was performed with Leica SP8 confocal microscope. Heat mediated antigen retrieval with Tris-EDTA buffer (pH 9.0, epitope retrieval solution 2) for 20 mins. Counterstained with DAPI.

  • Unconjugated

    Anti-Sialoadhesin/CD169 antibody [SP213] - C-terminal

  • 775 Alexa Fluor® 750

    Alexa Fluor® 750 Anti-Sialoadhesin/CD169 antibody [SP213] - C-terminal

  • 578 PE

    PE Anti-Sialoadhesin antibody [SP213] (C-terminal)

  • 660 APC

    APC Anti-Sialoadhesin antibody [SP213] (C-terminal)

  • HRP

    HRP Anti-Sialoadhesin antibody [SP213] (C-terminal)

  • 665 Alexa Fluor® 647

    Alexa Fluor® 647 Anti-Sialoadhesin antibody [SP213] - C-terminal

  • 519 Alexa Fluor® 488

    Alexa Fluor® 488 Anti-Sialoadhesin antibody [SP213] - C-terminal

  • 617 Alexa Fluor® 594

    Alexa Fluor® 594 Anti-Sialoadhesin antibody [SP213] - C-terminal

  • 603 Alexa Fluor® 568

    Alexa Fluor® 568 Anti-Sialoadhesin/CD169 antibody [SP213] - C-terminal

  • 565 Alexa Fluor® 555

    Alexa Fluor® 555 Anti-Sialoadhesin antibody [SP213] - C-terminal

Key facts

Host species

Rabbit

Clonality

Monoclonal

Clone number

SP213

Isotype

IgG

Carrier free

Yes

Reacts with

Human

Applications

IHC-P, Flow Cyt (Intra), mIHC

applications

Immunogen

The exact immunogen used to generate this antibody is proprietary information.

Reactivity data

{ "title": "Reactivity Data", "filters": { "stats": ["", "Species", "Dilution Info", "Notes"], "tabs": { "all-applications": {"fullname" : "All Applications", "shortname": "All Applications"}, "IHCP" : {"fullname" : "Immunohistochemistry (Formalin/PFA-fixed paraffin-embedded sections)", "shortname":"IHC-P"}, "FlowCytIntra" : {"fullname" : "Flow Cytometry (Intracellular)", "shortname":"Flow Cyt (Intra)"}, "mIHC" : {"fullname" : "Multiplex immunohistochemistry", "shortname":"mIHC"} }, "product-promise": { "all": "all", "testedAndGuaranteed": "tested", "guaranteed": "expected", "predicted": "predicted", "notRecommended": "not-recommended" } }, "values": { "Human": { "IHCP-species-checked": "testedAndGuaranteed", "IHCP-species-dilution-info": "", "IHCP-species-notes": "<p>Antigen retrieval: Boil tissue section in 10mM citrate buffer, pH 6.0 for 10 minutes followed by cooling at room temperature for 20 minutes.</p>", "FlowCytIntra-species-checked": "testedAndGuaranteed", "FlowCytIntra-species-dilution-info": "", "FlowCytIntra-species-notes": "<p></p>", "mIHC-species-checked": "testedAndGuaranteed", "mIHC-species-dilution-info": "1/2000", "mIHC-species-notes": "<p></p>" } } }

Product details

ab245735 is the carrier-free version of ab227672.

Patented technology
Our RabMAb® technology is a patented hybridoma-based technology for making rabbit monoclonal antibodies. For details on our patents, please refer to RabMAb® patents.

What are the advantages of a recombinant monoclonal antibody?
This product is a recombinant monoclonal antibody, which offers several advantages including:

  • - High batch-to-batch consistency and reproducibility
  • - Improved sensitivity and specificity
  • - Long-term security of supply
  • - Animal-free batch production

For more information, read more on recombinant antibodies.

Conjugation ready
Our carrier-free antibodies are typically supplied in a PBS-only formulation, purified and free of BSA, sodium azide and glycerol. This conjugation-ready format is designed for use with fluorochromes, metal isotopes, oligonucleotides, and enzymes, which makes them ideal for antibody labelling, functional and cell-based assays, flow-based assays (e.g. mass cytometry) and Multiplex Imaging applications.

Use our conjugation kits for antibody conjugates that are ready-to-use in as little as 20 minutes with 1 minute hands-on-time and 100% antibody recovery: available for fluorescent dyes, HRP, biotin and gold.

Compatibility
This product is compatible with the Maxpar® Antibody Labeling Kit from Fluidigm, without the need for antibody preparation. Maxpar® is a trademark of Fluidigm Canada Inc.

Properties and storage information

Form
Liquid
Purification technique
Affinity purification Protein A/G
Purification notes
Purified from TCS by protein A/G.
Storage buffer
pH: 7.2 - 7.4 Constituents: PBS
Shipped at conditions
Blue Ice
Appropriate short-term storage conditions
+4°C
Appropriate long-term storage conditions
+4°C
Storage information
Do Not Freeze

Product protocols

For this product, it's our understanding that no specific protocols are required. You can visit:

Target data

Macrophage-restricted adhesion molecule that mediates sialic-acid dependent binding to lymphocytes, including granulocytes, monocytes, natural killer cells, B-cells and CD8 T-cells. Plays a crucial role in limiting bacterial dissemination by engaging sialylated bacteria to promote effective phagocytosis and antigen presentation for the adaptive immune response (PubMed : 12940982, PubMed : 33489013). Mediates the uptake of various enveloped viruses via sialic acid recognition and subsequently induces the formation of intracellular compartments filled with virions (VCCs) (PubMed : 28129379). In turn, enhances macrophage-to-T-cell transmission of several viruses including HIV-1 or SARS-CoV-2 (PubMed : 28129379, PubMed : 34782760). Acts as an endocytic receptor mediating clathrin dependent endocytosis. Preferentially binds to alpha-2,3-linked sialic acid (PubMed : 12940982). Binds to SPN/CD43 on T-cells (By similarity). May play a role in hemopoiesis. Plays a role in the inhibition of antiviral innate immune by promoting TBK1 degradation via TYROBP and TRIM27-mediated ubiquitination (PubMed : 26358190).. (Microbial infection) Facilitates viral cytoplasmic entry into activated dendritic cells via recognition of sialylated gangliosides pesent on viral membrane.
See full target information SIGLEC1

Publications (2)

Recent publications for all applications. Explore the full list and refine your search

Nature communications 14:1462 PubMed36927854

2023

B cell class switch recombination is regulated by DYRK1A through MSH6 phosphorylation.

Applications

Unspecified application

Species

Unspecified reactive species

Liat Stoler-Barak,Ethan Harris,Ayelet Peres,Hadas Hezroni,Mirela Kuka,Pietro Di Lucia,Amalie Grenov,Neta Gurwicz,Meital Kupervaser,Bon Ham Yip,Matteo Iannacone,Gur Yaari,John D Crispino,Ziv Shulman

Immunity 55:1118-1134.e8 PubMed35447093

2022

Combined protein and nucleic acid imaging reveals virus-dependent B cell and macrophage immunosuppression of tissue microenvironments.

Applications

Unspecified application

Species

Unspecified reactive species

Sizun Jiang,Chi Ngai Chan,Xavier Rovira-Clavé,Han Chen,Yunhao Bai,Bokai Zhu,Erin McCaffrey,Noah F Greenwald,Candace Liu,Graham L Barlow,Jason L Weirather,John Paul Oliveria,Tsuguhisa Nakayama,Ivan T Lee,Matthias S Matter,Anne E Carlisle,Darci Philips,Gustavo Vazquez,Nilanjan Mukherjee,Kathleen Busman-Sahay,Michael Nekorchuk,Margaret Terry,Skyler Younger,Marc Bosse,Janos Demeter,Scott J Rodig,Alexandar Tzankov,Yury Goltsev,David Robert McIlwain,Michael Angelo,Jacob D Estes,Garry P Nolan
View all publications

Product promise

We are committed to supporting your work with high-quality reagents, and we're here for you every step of the way. In the unlikely event that one of our products does not perform as expected, you're protected by our Product Promise.
For full details, please see our Terms & Conditions

Please note: All products are 'FOR RESEARCH USE ONLY. NOT FOR USE IN DIAGNOSTIC OR THERAPEUTIC PROCEDURES'.

For licensing inquiries, please contact partnerships@abcam.com