JavaScript is disabled in your browser. Please enable JavaScript to view this website.
AB245742

Anti-Sialoadhesin/CD169 antibody [SP216] - BSA and Azide free

Be the first to review this product! Submit a review

|

(1 Publication)

Rabbit Recombinant Monoclonal Sialoadhesin/CD169 antibody. Carrier free. Suitable for IHC-P, Flow Cyt (Intra) and reacts with Human samples. Cited in 1 publication.

View Alternative Names

CD169, SN, SIGLEC1, Sialoadhesin, Sialic acid-binding Ig-like lectin 1, Siglec-1

7 Images
Immunohistochemistry (Formalin/PFA-fixed paraffin-embedded sections) - Anti-Sialoadhesin/CD169 antibody [SP216] - BSA and Azide free (AB245742)
  • IHC-P

Unknown

Immunohistochemistry (Formalin/PFA-fixed paraffin-embedded sections) - Anti-Sialoadhesin/CD169 antibody [SP216] - BSA and Azide free (AB245742)

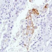
Immunohistochemical analysis of formalin fixed, paraffin embedded human lung tissue sections labeling Sialoadhesin/CD169 using ab183356 at a 1/100 dilution.

This data was developed using the same antibody clone in a different buffer formulation containing PBS, BSA and sodium azide (ab183356).

Flow Cytometry (Intracellular) - Anti-Sialoadhesin/CD169 antibody [SP216] - BSA and Azide free (AB245742)
  • Flow Cyt (Intra)

Unknown

Flow Cytometry (Intracellular) - Anti-Sialoadhesin/CD169 antibody [SP216] - BSA and Azide free (AB245742)

Intracellular Flow Cytometry analysis of Human PBMC treated with 20ng/ml IFN-gamma for 24 hours cells labeling Sialoadhesin/CD169 with purified ab183356 at 1/20 dilution (47μg/ml) (red). Cells were fixed with 4% paraformaldehyde and permeabilised with 0.1% Tween-20. A Goat anti rabbit IgG (Alexa Fluor® 488, ab150081) secondary antibody was used at 1/2000 dilution. Isotype control - Rabbit monoclonal IgG (ab172730) / Black. Unlabeled control - Unlabelled cells / blue.

This data was developed using the same antibody clone in a different buffer formulation containing PBS, BSA, glycerol, and sodium azide (ab183356).

Immunohistochemistry (Formalin/PFA-fixed paraffin-embedded sections) - Anti-Sialoadhesin/CD169 antibody [SP216] - BSA and Azide free (AB245742)
  • IHC-P

Supplier Data

Immunohistochemistry (Formalin/PFA-fixed paraffin-embedded sections) - Anti-Sialoadhesin/CD169 antibody [SP216] - BSA and Azide free (AB245742)

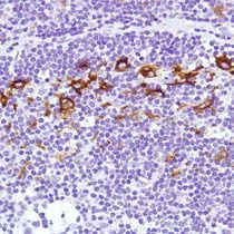
Immunohistochemical analysis of formalin fixed, paraffin embedded human lymph node tissue sections labeling Sialoadhesin/CD169 using ab183356 at a 1/100 dilution.

This data was developed using the same antibody clone in a different buffer formulation containing PBS, BSA and sodium azide (ab183356).

Immunohistochemistry (Formalin/PFA-fixed paraffin-embedded sections) - Anti-Sialoadhesin/CD169 antibody [SP216] - BSA and Azide free (AB245742)
  • IHC-P

Supplier Data

Immunohistochemistry (Formalin/PFA-fixed paraffin-embedded sections) - Anti-Sialoadhesin/CD169 antibody [SP216] - BSA and Azide free (AB245742)

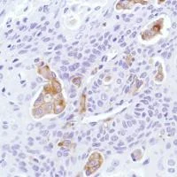
Immunohistochemical analysis of formalin fixed, paraffin embedded human squamous cell lung carcinoma tissue sections labeling Sialoadhesin/CD169 using ab183356 at a 1/100 dilution.

This data was developed using the same antibody clone in a different buffer formulation containing PBS, BSA and sodium azide (ab183356).

Immunohistochemistry (Formalin/PFA-fixed paraffin-embedded sections) - Anti-Sialoadhesin/CD169 antibody [SP216] - BSA and Azide free (AB245742)
  • IHC-P

Supplier Data

Immunohistochemistry (Formalin/PFA-fixed paraffin-embedded sections) - Anti-Sialoadhesin/CD169 antibody [SP216] - BSA and Azide free (AB245742)

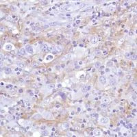
Immunohistochemical analysis of formalin fixed, paraffin embedded human squamous cell cervical carcinoma tissue sections labeling Sialoadhesin/CD169 using ab183356 at a 1/100 dilution.

This data was developed using the same antibody clone in a different buffer formulation containing PBS, BSA and sodium azide (ab183356).

Immunohistochemistry (Formalin/PFA-fixed paraffin-embedded sections) - Anti-Sialoadhesin/CD169 antibody [SP216] - BSA and Azide free (AB245742)
  • IHC-P

Supplier Data

Immunohistochemistry (Formalin/PFA-fixed paraffin-embedded sections) - Anti-Sialoadhesin/CD169 antibody [SP216] - BSA and Azide free (AB245742)

Immunohistochemical analysis of formalin fixed, paraffin embedded human bone marrow tissue sections labeling Sialoadhesin/CD169 using ab183356 at a 1/100 dilution.

This data was developed using the same antibody clone in a different buffer formulation containing PBS, BSA and sodium azide (ab183356).

Immunohistochemistry (Formalin/PFA-fixed paraffin-embedded sections) - Anti-Sialoadhesin/CD169 antibody [SP216] - BSA and Azide free (AB245742)
  • IHC-P

Supplier Data

Immunohistochemistry (Formalin/PFA-fixed paraffin-embedded sections) - Anti-Sialoadhesin/CD169 antibody [SP216] - BSA and Azide free (AB245742)

Immunohistochemical analysis of formalin fixed, paraffin embedded human HK lymphoma tissue sections labeling Sialoadhesin/CD169 using ab183356 at a 1/100 dilution.

This data was developed using the same antibody clone in a different buffer formulation containing PBS, BSA and sodium azide (ab183356).

Key facts

Host species

Rabbit

Clonality

Monoclonal

Clone number

SP216

Isotype

IgG

Carrier free

Yes

Reacts with

Human

Applications

Flow Cyt (Intra), IHC-P

applications

Immunogen

The exact immunogen used to generate this antibody is proprietary information.

Reactivity data

{ "title": "Reactivity Data", "filters": { "stats": ["", "Species", "Dilution Info", "Notes"], "tabs": { "all-applications": {"fullname" : "All Applications", "shortname": "All Applications"}, "IHCP" : {"fullname" : "Immunohistochemistry (Formalin/PFA-fixed paraffin-embedded sections)", "shortname":"IHC-P"}, "FlowCytIntra" : {"fullname" : "Flow Cytometry (Intracellular)", "shortname":"Flow Cyt (Intra)"} }, "product-promise": { "all": "all", "testedAndGuaranteed": "tested", "guaranteed": "expected", "predicted": "predicted", "notRecommended": "not-recommended" } }, "values": { "Human": { "IHCP-species-checked": "testedAndGuaranteed", "IHCP-species-dilution-info": "", "IHCP-species-notes": "<p></p>", "FlowCytIntra-species-checked": "testedAndGuaranteed", "FlowCytIntra-species-dilution-info": "", "FlowCytIntra-species-notes": "<p></p>" } } }

Product details

ab245742 is the carrier-free version of ab183356.

Patented technology
Our RabMAb® technology is a patented hybridoma-based technology for making rabbit monoclonal antibodies. For details on our patents, please refer to RabMAb® patents.

What are the advantages of a recombinant monoclonal antibody?
This product is a recombinant monoclonal antibody, which offers several advantages including:

  • - High batch-to-batch consistency and reproducibility
  • - Improved sensitivity and specificity
  • - Long-term security of supply
  • - Animal-free batch production

For more information, read more on recombinant antibodies.

Conjugation ready
Our carrier-free antibodies are typically supplied in a PBS-only formulation, purified and free of BSA, sodium azide and glycerol. This conjugation-ready format is designed for use with fluorochromes, metal isotopes, oligonucleotides, and enzymes, which makes them ideal for antibody labelling, functional and cell-based assays, flow-based assays (e.g. mass cytometry) and Multiplex Imaging applications.

Use our conjugation kits for antibody conjugates that are ready-to-use in as little as 20 minutes with 1 minute hands-on-time and 100% antibody recovery: available for fluorescent dyes, HRP, biotin and gold.

Compatibility
This product is compatible with the Maxpar® Antibody Labeling Kit from Fluidigm, without the need for antibody preparation. Maxpar® is a trademark of Fluidigm Canada Inc.

Properties and storage information

Form
Liquid
Purification technique
Affinity purification Protein A/G
Purification notes
Purified from TCS by protein A/G.
Storage buffer
pH: 7.2 - 7.4 Constituents: PBS
Shipped at conditions
Blue Ice
Appropriate short-term storage conditions
+4°C
Appropriate long-term storage conditions
+4°C
Storage information
Do Not Freeze

Product protocols

For this product, it's our understanding that no specific protocols are required. You can visit:

Target data

Macrophage-restricted adhesion molecule that mediates sialic-acid dependent binding to lymphocytes, including granulocytes, monocytes, natural killer cells, B-cells and CD8 T-cells. Plays a crucial role in limiting bacterial dissemination by engaging sialylated bacteria to promote effective phagocytosis and antigen presentation for the adaptive immune response (PubMed : 12940982, PubMed : 33489013). Mediates the uptake of various enveloped viruses via sialic acid recognition and subsequently induces the formation of intracellular compartments filled with virions (VCCs) (PubMed : 28129379). In turn, enhances macrophage-to-T-cell transmission of several viruses including HIV-1 or SARS-CoV-2 (PubMed : 28129379, PubMed : 34782760). Acts as an endocytic receptor mediating clathrin dependent endocytosis. Preferentially binds to alpha-2,3-linked sialic acid (PubMed : 12940982). Binds to SPN/CD43 on T-cells (By similarity). May play a role in hemopoiesis. Plays a role in the inhibition of antiviral innate immune by promoting TBK1 degradation via TYROBP and TRIM27-mediated ubiquitination (PubMed : 26358190).. (Microbial infection) Facilitates viral cytoplasmic entry into activated dendritic cells via recognition of sialylated gangliosides pesent on viral membrane.
See full target information SIGLEC1

Publications (1)

Recent publications for all applications. Explore the full list and refine your search

Cancer cell 42:396-412.e5 PubMed38242124

2024

Cancer-associated fibroblast phenotypes are associated with patient outcome in non-small cell lung cancer.

Applications

Unspecified application

Species

Unspecified reactive species

Lena Cords,Stefanie Engler,Martina Haberecker,Jan Hendrik Rüschoff,Holger Moch,Natalie de Souza,Bernd Bodenmiller
View all publications

Product promise

We are committed to supporting your work with high-quality reagents, and we're here for you every step of the way. In the unlikely event that one of our products does not perform as expected, you're protected by our Product Promise.
For full details, please see our Terms & Conditions

Please note: All products are 'FOR RESEARCH USE ONLY. NOT FOR USE IN DIAGNOSTIC OR THERAPEUTIC PROCEDURES'.

For licensing inquiries, please contact partnerships@abcam.com