JavaScript is disabled in your browser. Please enable JavaScript to view this website.
AB256314

Anti-SIGIRR antibody [EPR22438-93] - BSA and Azide free

Be the first to review this product! Submit a review

|

(1 Publication)

Rabbit Recombinant Monoclonal SIGIRR antibody. Carrier free. Suitable for IP, WB, Flow Cyt (Intra), IHC-P and reacts with Mouse, Rat, Human samples. Cited in 1 publication.

View Alternative Names

UNQ301/PRO342, SIGIRR, Single Ig IL-1-related receptor, Single Ig IL-1R-related molecule, Single immunoglobulin domain-containing IL1R-related protein, Toll/interleukin-1 receptor 8, TIR8

6 Images
Immunohistochemistry (Formalin/PFA-fixed paraffin-embedded sections) - Anti-SIGIRR antibody [EPR22438-93] - BSA and Azide free (AB256314)
  • IHC-P

Unknown

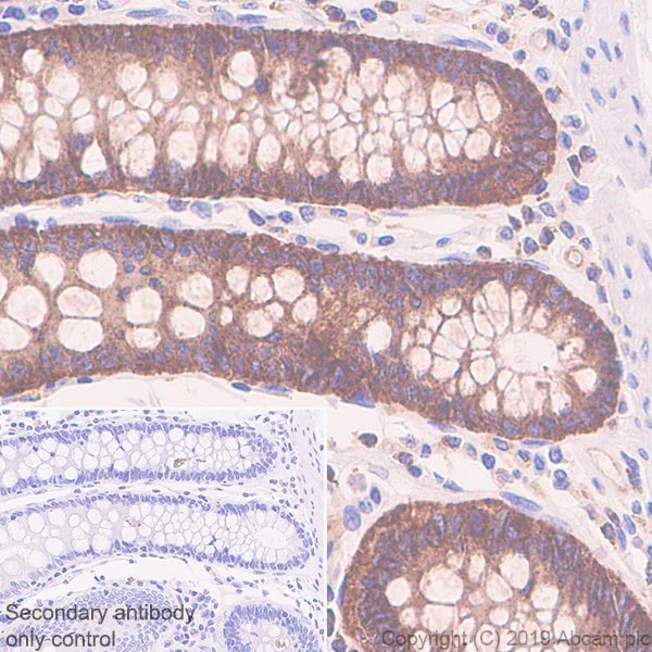
Immunohistochemistry (Formalin/PFA-fixed paraffin-embedded sections) - Anti-SIGIRR antibody [EPR22438-93] - BSA and Azide free (AB256314)

Immunohistochemical analysis of paraffin-embedded Human colon tissue labeling SIGIRR with ab228977 at 1/1000 dilution followed by a ready to use Rabbit specific IHC polymer detection kit HRP/DAB (ab209101). Positive staining on human colon (PMID : 21077278) The section was incubated with ab228977 for 30 mins at room temperature. The immunostaining was performed on a Leica Biosystems BOND® RX instrument. Counterstained with Hematoxylin.

Heat mediated antigen retrieval with Tris-EDTA buffer (pH 9.0, epitope retrieval solution 2) for 20 mins.

Secondary antibody only control : Used PBS instead of primary antibody, secondary antibody is a ready to use Rabbit specific IHC polymer detection kit HRP/DAB (ab209101).

This data was developed using the same antibody clone in a different buffer formulation containing PBS, BSA, glycerol, and sodium azide (ab228977).

Immunohistochemistry (Formalin/PFA-fixed paraffin-embedded sections) - Anti-SIGIRR antibody [EPR22438-93] - BSA and Azide free (AB256314)
  • IHC-P

Unknown

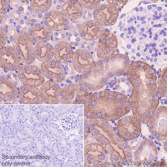
Immunohistochemistry (Formalin/PFA-fixed paraffin-embedded sections) - Anti-SIGIRR antibody [EPR22438-93] - BSA and Azide free (AB256314)

Immunohistochemical analysis of paraffin-embedded Human kidney tissue labeling SIGIRR with ab228977 at 1/1000 dilution followed by a ready to use Rabbit specific IHC polymer detection kit HRP/DAB (ab209101). Positive staining on human kidney (PMID : 14715412, 12925853) The section was incubated with ab228977 for 30 mins at room temperature. The immunostaining was performed on a Leica Biosystems BOND® RX instrument. Counterstained with Hematoxylin.

Heat mediated antigen retrieval with Tris-EDTA buffer (pH 9.0, epitope retrieval solution 2) for 20 mins.

Secondary antibody only control : Used PBS instead of primary antibody, secondary antibody is a ready to use Rabbit specific IHC polymer detection kit HRP/DAB (ab209101).

This data was developed using the same antibody clone in a different buffer formulation containing PBS, BSA, glycerol, and sodium azide (ab228977).

Immunohistochemistry (Formalin/PFA-fixed paraffin-embedded sections) - Anti-SIGIRR antibody [EPR22438-93] - BSA and Azide free (AB256314)
  • IHC-P

Unknown

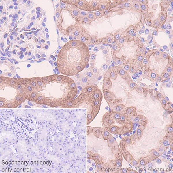
Immunohistochemistry (Formalin/PFA-fixed paraffin-embedded sections) - Anti-SIGIRR antibody [EPR22438-93] - BSA and Azide free (AB256314)

Immunohistochemical analysis of paraffin-embedded Rat kidney tissue labeling SIGIRR with ab228977 at 1/1000 dilution followed by a ready to use Rabbit specific IHC polymer detection kit HRP/DAB (ab209101). Positive staining on rat kidney (PMID : 14715412, 12925853). The section was incubated with ab228977 for 30 mins at room temperature. The immunostaining was performed on a Leica Biosystems BOND® RX instrument. Counterstained with Hematoxylin.

Heat mediated antigen retrieval with Tris-EDTA buffer (pH 9.0, epitope retrieval solution 2) for 20 mins.

Secondary antibody only control : Used PBS instead of primary antibody, secondary antibody is a ready to use Rabbit specific IHC polymer detection kit HRP/DAB (ab209101).

This data was developed using the same antibody clone in a different buffer formulation containing PBS, BSA, glycerol, and sodium azide (ab228977).

Flow Cytometry (Intracellular) - Anti-SIGIRR antibody [EPR22438-93] - BSA and Azide free (AB256314)
  • Flow Cyt (Intra)

Unknown

Flow Cytometry (Intracellular) - Anti-SIGIRR antibody [EPR22438-93] - BSA and Azide free (AB256314)

Intracellular flow cytometric analysis of 4% paraformaldehyde-fixed, 90% methanol-permeabilized MEF (mouse embryonic fibroblast (immortalized)) (Left) / Hepa1-6 (mouse hepatoma epithelial cell line) (Right) cells labelling SIGIRR with ab228977 at 1/600 dilution (Red) compared with a Rabbit monoclonal IgG (ab172730) (Black) isotype control and an unlabelled control (cells without incubation with primary antibody and secondary antibody) (Blue).

Goat anti rabbit IgG (Alexa Fluor® 488, ab150077) at 1/2000 dilution was used as the secondary antibody.

Negative control : MEF (PMID 12925853).

This data was developed using the same antibody clone in a different buffer formulation containing PBS, BSA, glycerol, and sodium azide (ab228977).

Immunohistochemistry (Formalin/PFA-fixed paraffin-embedded sections) - Anti-SIGIRR antibody [EPR22438-93] - BSA and Azide free (AB256314)
  • IHC-P

Unknown

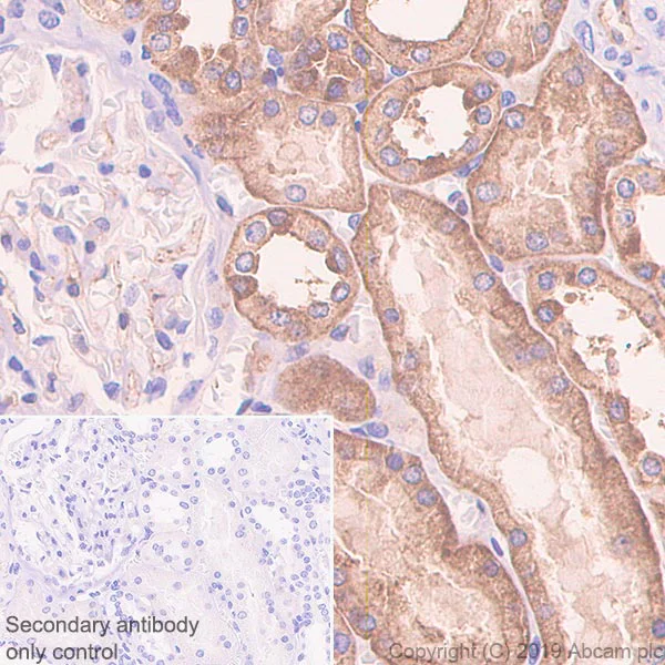
Immunohistochemistry (Formalin/PFA-fixed paraffin-embedded sections) - Anti-SIGIRR antibody [EPR22438-93] - BSA and Azide free (AB256314)

Immunohistochemical analysis of paraffin-embedded Mouse kidney tissue labeling SIGIRR with ab228977 at 1/1000 dilution followed by a ready to use Rabbit specific IHC polymer detection kit HRP/DAB (ab209101). Positive staining on mouse kidney (PMID : 14715412, 12925853). The section was incubated with ab228977 for 30 mins at room temperature. The immunostaining was performed on a Leica Biosystems BOND® RX instrument. Counterstained with Hematoxylin.

Heat mediated antigen retrieval with Tris-EDTA buffer (pH 9.0, epitope retrieval solution 2) for 20 mins.

Secondary antibody only control : Used PBS instead of primary antibody, secondary antibody is a ready to use Rabbit specific IHC polymer detection kit HRP/DAB (ab209101).

This data was developed using the same antibody clone in a different buffer formulation containing PBS, BSA, glycerol, and sodium azide (ab228977).

Immunoprecipitation - Anti-SIGIRR antibody [EPR22438-93] - BSA and Azide free (AB256314)
  • IP

Unknown

Immunoprecipitation - Anti-SIGIRR antibody [EPR22438-93] - BSA and Azide free (AB256314)

IGFBP5 was immunoprecipitated from 0.35 mg Hepa1-6 (mouse hepatoma epithelial cell line) whole cell lysate 10μg with ab254324 at 1/30 dilution. Western blot was performed on the immunoprecipitate using ab228977 1/1000 dilution. VeriBlot for IP Detection Reagent (HRP) (ab131366) was used as the secondary antibody at 1/5000 dilution.

Lane 1 : Hepa1-6 (mouse hepatoma epithelial cell) whole cell lysate 10μg

Lane 2 : ab254324 IP in Hepa1-6 whole cell lysate

Lane 3 : Rabbit monoclonal IgG (ab172730) instead of ab228977 in Hepa1-6 whole cell lysate.

Blocking and dilution buffer and concentration : 5% NFDM/TBST.

Exposure time : 5 seconds.

This data was developed using the same antibody clone in a different buffer formulation containing PBS, BSA, glycerol, and sodium azide (ab228977).

All lanes:

Immunoprecipitation - Anti-SIGIRR antibody [EPR22438-93] (<a href='/en-us/products/primary-antibodies/sigirr-antibody-epr22438-93-ab228977'>ab228977</a>)

Predicted band size: 46 kDa

Observed band size: 80 kDa

false

Key facts

Host species

Rabbit

Clonality

Monoclonal

Clone number

EPR22438-93

Isotype

IgG

Carrier free

Yes

Reacts with

Mouse, Rat, Human

Applications

WB, IP, Flow Cyt (Intra), IHC-P

applications

Immunogen

The exact immunogen used to generate this antibody is proprietary information.

Reactivity data

{ "title": "Reactivity Data", "filters": { "stats": ["", "Species", "Dilution Info", "Notes"], "tabs": { "all-applications": {"fullname" : "All Applications", "shortname": "All Applications"}, "IP" : {"fullname" : "Immunoprecipitation", "shortname":"IP"}, "WB" : {"fullname" : "Western blot", "shortname":"WB"}, "ICCIF" : {"fullname" : "Immunocytochemistry/ Immunofluorescence", "shortname":"ICC/IF"}, "FlowCytIntra" : {"fullname" : "Flow Cytometry (Intracellular)", "shortname":"Flow Cyt (Intra)"}, "IHCP" : {"fullname" : "Immunohistochemistry (Formalin/PFA-fixed paraffin-embedded sections)", "shortname":"IHC-P"} }, "product-promise": { "all": "all", "testedAndGuaranteed": "tested", "guaranteed": "expected", "predicted": "predicted", "notRecommended": "not-recommended" } }, "values": { "Human": { "IP-species-checked": "predicted", "IP-species-dilution-info": "", "IP-species-notes": "", "WB-species-checked": "guaranteed", "WB-species-dilution-info": "", "WB-species-notes": "<p></p>", "ICCIF-species-checked": "notRecommended", "ICCIF-species-dilution-info": "", "ICCIF-species-notes": "<p></p>", "FlowCytIntra-species-checked": "predicted", "FlowCytIntra-species-dilution-info": "", "FlowCytIntra-species-notes": "", "IHCP-species-checked": "predicted", "IHCP-species-dilution-info": "", "IHCP-species-notes": "" }, "Mouse": { "IP-species-checked": "testedAndGuaranteed", "IP-species-dilution-info": "", "IP-species-notes": "<p></p>", "WB-species-checked": "guaranteed", "WB-species-dilution-info": "", "WB-species-notes": "<p></p>", "ICCIF-species-checked": "notRecommended", "ICCIF-species-dilution-info": "", "ICCIF-species-notes": "<p></p>", "FlowCytIntra-species-checked": "testedAndGuaranteed", "FlowCytIntra-species-dilution-info": "", "FlowCytIntra-species-notes": "<p></p>", "IHCP-species-checked": "testedAndGuaranteed", "IHCP-species-dilution-info": "", "IHCP-species-notes": "<p></p>" }, "Rat": { "IP-species-checked": "predicted", "IP-species-dilution-info": "", "IP-species-notes": "", "WB-species-checked": "guaranteed", "WB-species-dilution-info": "", "WB-species-notes": "<p></p>", "ICCIF-species-checked": "notRecommended", "ICCIF-species-dilution-info": "", "ICCIF-species-notes": "<p></p>", "FlowCytIntra-species-checked": "predicted", "FlowCytIntra-species-dilution-info": "", "FlowCytIntra-species-notes": "", "IHCP-species-checked": "predicted", "IHCP-species-dilution-info": "", "IHCP-species-notes": "" } } }

Product details

ab256314 is the carrier-free version of ab228977.

Patented technology
Our RabMAb® technology is a patented hybridoma-based technology for making rabbit monoclonal antibodies. For details on our patents, please refer to RabMAb® patents.

What are the advantages of a recombinant monoclonal antibody?
This product is a recombinant monoclonal antibody, which offers several advantages including:

  • - High batch-to-batch consistency and reproducibility
  • - Improved sensitivity and specificity
  • - Long-term security of supply
  • - Animal-free batch production

For more information, read more on recombinant antibodies.

Conjugation ready
Our carrier-free antibodies are typically supplied in a PBS-only formulation, purified and free of BSA, sodium azide and glycerol. This conjugation-ready format is designed for use with fluorochromes, metal isotopes, oligonucleotides, and enzymes, which makes them ideal for antibody labelling, functional and cell-based assays, flow-based assays (e.g. mass cytometry) and Multiplex Imaging applications.

Use our conjugation kits for antibody conjugates that are ready-to-use in as little as 20 minutes with 1 minute hands-on-time and 100% antibody recovery: available for fluorescent dyes, HRP, biotin and gold.

Compatibility
This product is compatible with the Maxpar® Antibody Labeling Kit from Fluidigm, without the need for antibody preparation. Maxpar® is a trademark of Fluidigm Canada Inc.

Properties and storage information

Form
Liquid
Purification technique
Affinity purification Protein A
Storage buffer
pH: 7.2 - 7.4 Constituents: PBS
Shipped at conditions
Blue Ice
Appropriate short-term storage conditions
+4°C
Appropriate long-term storage conditions
+4°C
Storage information
Do Not Freeze

Supplementary information

This supplementary information is collated from multiple sources and compiled automatically.

SIGIRR also known as Single Immunoglobulin IL-1 Related Receptor or TIR8 is a transmembrane protein approximately 410 amino acids in length translating to a mass of about 45 kDa. It is expressed in various tissues with higher levels seen in the kidney liver lung and immune cells. SIGIRR is part of the Toll-like receptor (TLR) and interleukin-1 receptor (IL-1R) family acting as a negative regulator by interfering with signaling pathways usually triggered by these receptors.
Biological function summary

SIGIRR modulates immune responses by dampening inflammation and maintaining homeostasis in immune-related pathways. SIGIRR functions as a decoy receptor binding ligands without initiating a signaling cascade which effectively reduces the immune response. It does not work alone; it is part of larger receptor complexes within the TLR and IL-1R family where it can inhibit the signaling of other family members like TLR4 and IL-1R1 thereby controlling their activity and preventing excessive inflammation.

Pathways

SIGIRR participates in both the Toll-like receptor and interleukin-1 receptor pathways. It interacts with adaptor proteins such as MyD88 to modulate the downstream signaling cascade that involves NF-kB activation a central transcription factor in immune response. By doing so it keeps the inflammation response in check connecting to related proteins within these pathways that include IL-1R1 and TLR4 ultimately regulating key pro-inflammatory processes.

Multiple studies link SIGIRR to conditions characterized by chronic inflammation such as inflammatory bowel disease (IBD) and rheumatoid arthritis (RA). Animals with SIGIRR deficiency tend to show increased susceptibility to these diseases implicating its role in disease modulation. Additionally SIGIRR's interaction with IL-1R1 highlights its potential involvement in autoimmune diseases where dysregulated immune regulation is a common theme. Understanding its function in these contexts can provide insights into therapeutic approaches for inflammatory and autoimmune conditions.

Product protocols

For this product, it's our understanding that no specific protocols are required. You can visit:

Target data

Acts as a negative regulator of the Toll-like and IL-1R receptor signaling pathways. Attenuates the recruitment of receptor-proximal signaling components to the TLR4 receptor, probably through an TIR-TIR domain interaction with TLR4. Through its extracellular domain interferes with the heterodimerization of Il1R1 and IL1RAP.
See full target information SIGIRR

Publications (1)

Recent publications for all applications. Explore the full list and refine your search

Frontiers in cardiovascular medicine 9:1013262 PubMed36684586

2023

SARS-CoV-2 Spike protein activates TMEM16F-mediated platelet procoagulant activity.

Applications

Unspecified application

Species

Unspecified reactive species

Ambra Cappelletto,Harriet E Allan,Marilena Crescente,Edoardo Schneider,Rossana Bussani,Hashim Ali,Ilaria Secco,Simone Vodret,Roberto Simeone,Luca Mascaretti,Serena Zacchigna,Timothy D Warner,Mauro Giacca
View all publications

Product promise

We are committed to supporting your work with high-quality reagents, and we're here for you every step of the way. In the unlikely event that one of our products does not perform as expected, you're protected by our Product Promise.
For full details, please see our Terms & Conditions

Please note: All products are 'FOR RESEARCH USE ONLY. NOT FOR USE IN DIAGNOSTIC OR THERAPEUTIC PROCEDURES'.

For licensing inquiries, please contact partnerships@abcam.com