JavaScript is disabled in your browser. Please enable JavaScript to view this website.
AB317448

Anti-SIGLEC10 + SIGLEC11 antibody [EPR29036-83]

  • BOND RX™ Validated
  • 20ul selling size
  • Recombinant
  • RabMAb
  • What is this?

Be the first to review this product! Submit a review

|

(0 Publication)

Rabbit Recombinant Monoclonal SIGLEC10 antibody. Suitable for IHC-P, WB and reacts with Transfected cell line - Human, Human samples.

View Alternative Names

SLG2, UNQ477/PRO940, SIGLEC10, Sialic acid-binding Ig-like lectin 10, Siglec-10, Siglec-like protein 2

6 Images
Immunohistochemistry (Formalin/PFA-fixed paraffin-embedded sections) - Anti-SIGLEC10 + SIGLEC11 antibody [EPR29036-83] (AB317448)
  • IHC-P

Supplier Data

Immunohistochemistry (Formalin/PFA-fixed paraffin-embedded sections) - Anti-SIGLEC10 + SIGLEC11 antibody [EPR29036-83] (AB317448)

Immunohistochemical analysis of paraffin-embedded Human skeletal muscle tissue labeling SIGLEC10 + SIGLEC11 with ab317448 at 1/500 (1.004 ug/ml) dilution, followed by a ready to use LeicaDS9800 (Bond™ Polymer Refine Detection).

Negative control : no staining on human skeletal muscle. The section was incubated with ab317448 for 30 mins at room temperature.
The immunostaining was performed on a Leica Biosystems BOND® RX instrument

Counterstained with Hematoxylin.

Secondary antibody only control : Secondary antibody is a ready to use LeicaDS9800 (Bond™ Polymer Refine Detection).

Heat mediated antigen retrieval was performed with Tris-EDTA buffer (pH 9.0, Epitope Retrieval Solution2) for 20 mins

Immunohistochemistry (Formalin/PFA-fixed paraffin-embedded sections) - Anti-SIGLEC10 + SIGLEC11 antibody [EPR29036-83] (AB317448)
  • IHC-P

Supplier Data

Immunohistochemistry (Formalin/PFA-fixed paraffin-embedded sections) - Anti-SIGLEC10 + SIGLEC11 antibody [EPR29036-83] (AB317448)

Immunohistochemical analysis of paraffin-embedded (A) HEK-293T (human epithelial cell line from embryonic kidney) transfected with a SIGLEC10 expression vector containing a Myc-His tag. (B) HEK-293T transfected with a SIGLEC11 expression vector containing a Myc-His tag. (C) HEK-293T transfected with a SIGLEC16 expression vector containing a Myc-His tag. (D) HEK-293T transfected with a SIGLEC5 expression vector containing a Myc-His tag. (E) HEK-293T transfected with empty vector containing a Myc-His tag. tissue labeling SIGLEC10 + SIGLEC11 with ab317448 at 1/2000 (0.251 ug/ml) dilution, followed by a ready to use LeicaDS9800 (Bond™ Polymer Refine Detection).

This antibody recognizes both SIGLEC10 and SIGLEC11. Positive staining on (A) HEK-293T (human epithelial cell line from embryonic kidney) transfected with a SIGLEC10 expression vector containing a Myc-His tag and (B) HEK-293T transfected with a SIGLEC11 expression vector containing a Myc-His tag, negative staining on (C) HEK-293T transfected with a SIGLEC16 expression vector containing a Myc-His tag, (D) HEK-293T transfected with a SIGLEC5 expression vector containing a Myc-His tag and (E) HEK-293T transfected with empty vector containing a Myc-His tag. The section was incubated with ab317448 for 30 mins at room temperature.
The immunostaining was performed on a Leica Biosystems BOND® RX instrument

Counterstained with Hematoxylin.

Secondary antibody only control : Secondary antibody is a ready to use LeicaDS9800 (Bond™ Polymer Refine Detection).

Heat mediated antigen retrieval was performed with Tris-EDTA buffer (pH 9.0, Epitope Retrieval Solution2) for 20 mins

Immunohistochemistry (Formalin/PFA-fixed paraffin-embedded sections) - Anti-SIGLEC10 + SIGLEC11 antibody [EPR29036-83] (AB317448)
  • IHC-P

Supplier Data

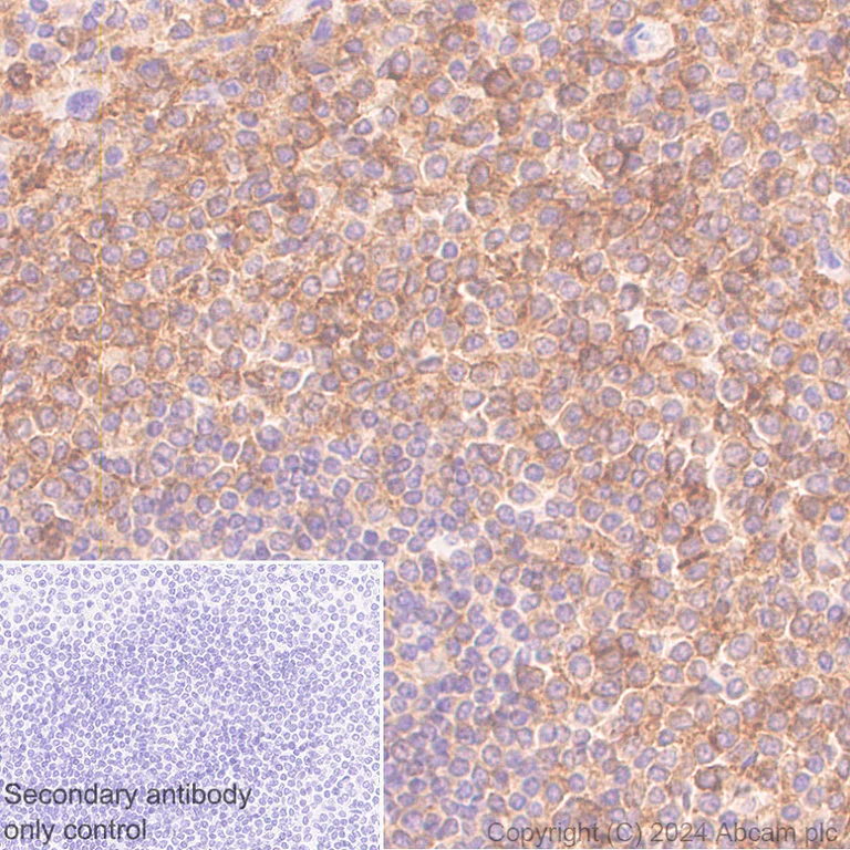
Immunohistochemistry (Formalin/PFA-fixed paraffin-embedded sections) - Anti-SIGLEC10 + SIGLEC11 antibody [EPR29036-83] (AB317448)

Immunohistochemical analysis of paraffin-embedded Human spleen tissue labeling SIGLEC10 + SIGLEC11 with ab317448 at 1/500 (1.004 ug/ml) dilution, followed by a ready to use LeicaDS9800 (Bond™ Polymer Refine Detection).

Positive staining on human spleen (PMID : 11358961; PMID : 11284738; PMID : 11733002). The section was incubated with ab317448 for 30 mins at room temperature.
The immunostaining was performed on a Leica Biosystems BOND® RX instrument

Counterstained with Hematoxylin.

Secondary antibody only control : Secondary antibody is a ready to use LeicaDS9800 (Bond™ Polymer Refine Detection).

Heat mediated antigen retrieval was performed with Tris-EDTA buffer (pH 9.0, Epitope Retrieval Solution2) for 20 mins

Immunohistochemistry (Formalin/PFA-fixed paraffin-embedded sections) - Anti-SIGLEC10 + SIGLEC11 antibody [EPR29036-83] (AB317448)
  • IHC-P

Supplier Data

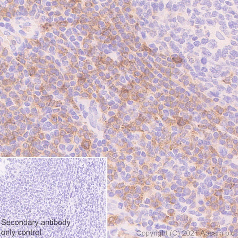
Immunohistochemistry (Formalin/PFA-fixed paraffin-embedded sections) - Anti-SIGLEC10 + SIGLEC11 antibody [EPR29036-83] (AB317448)

Immunohistochemical analysis of paraffin-embedded Human tonsil tissue labeling SIGLEC10 + SIGLEC11 with ab317448 at 1/500 (1.004 ug/ml) dilution, followed by a ready to use LeicaDS9800 (Bond™ Polymer Refine Detection).

Positive staining on human tonsil. The section was incubated with ab317448 for 30 mins at room temperature.
The immunostaining was performed on a Leica Biosystems BOND® RX instrument

Counterstained with Hematoxylin.

Secondary antibody only control : Secondary antibody is a ready to use LeicaDS9800 (Bond™ Polymer Refine Detection).

Heat mediated antigen retrieval was performed with Tris-EDTA buffer (pH 9.0, Epitope Retrieval Solution2) for 20 mins

Immunohistochemistry (Formalin/PFA-fixed paraffin-embedded sections) - Anti-SIGLEC10 + SIGLEC11 antibody [EPR29036-83] (AB317448)
  • IHC-P

Supplier Data

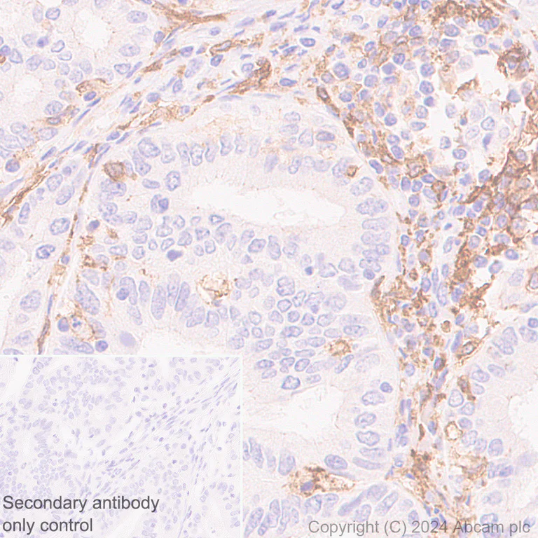
Immunohistochemistry (Formalin/PFA-fixed paraffin-embedded sections) - Anti-SIGLEC10 + SIGLEC11 antibody [EPR29036-83] (AB317448)

Immunohistochemical analysis of paraffin-embedded Human endometrial carcinoma tissue labeling SIGLEC10 + SIGLEC11 with ab317448 at 1/500 (1.004 ug/ml) dilution, followed by a ready to use LeicaDS9800 (Bond™ Polymer Refine Detection).

Positive staining on human endometrial carcinoma. The section was incubated with ab317448 for 30 mins at room temperature.
The immunostaining was performed on a Leica Biosystems BOND® RX instrument

Counterstained with Hematoxylin.

Secondary antibody only control : Secondary antibody is a ready to use LeicaDS9800 (Bond™ Polymer Refine Detection).

Heat mediated antigen retrieval was performed with Tris-EDTA buffer (pH 9.0, Epitope Retrieval Solution2) for 20 mins

Western blot - Anti-SIGLEC10 + SIGLEC11 antibody [EPR29036-83] (AB317448)
  • WB

Supplier Data

Western blot - Anti-SIGLEC10 + SIGLEC11 antibody [EPR29036-83] (AB317448)

Negative control : human skeletal muscle (PMID : 11733002).

In Western blot, Anti-GAPDH antibody [EPR16891] - Loading Control (ab181602) staining at 1/200000 dilution.

All lanes:

Western blot - Anti-SIGLEC10 + SIGLEC11 antibody [EPR29036-83] (ab317448) at 1/1000 dilution

Lane 1:

Human tonsil tissue lysate at 20 µg with NFDM/TBST

Lane 2:

Human spleen tissue lysate at 20 µg with NFDM/TBST

Lane 3:

Human skeletal muscle tissue lysate at 20 µg with NFDM/TBST

Secondary

All lanes:

Goat Anti-Rabbit IgG (HRP) with minimal cross-reactivity with human IgG at 1/2000 dilution

Observed band size: 76 kDa,36 kDa

false

Exposure time: 103s

  • Carrier free

    Anti-SIGLEC10 + SIGLEC11 antibody [EPR29036-83] - BSA and Azide free

  • 519 Alexa Fluor® 488

    Alexa Fluor® 488 Anti-SIGLEC10 + SIGLEC11 antibody [EPR29036-83]

Key facts

Host species

Rabbit

Clonality

Monoclonal

Clone number

EPR29036-83

Isotype

IgG

Carrier free

No

Reacts with

Human

Applications

WB, IHC-P

applications

Immunogen

The exact immunogen used to generate this antibody is proprietary information.

Specificity

WB signal is only observed in tissue lysates.

Reactivity data

{ "title": "Reactivity Data", "filters": { "stats": ["", "Species", "Dilution Info", "Notes"], "tabs": { "all-applications": {"fullname" : "All Applications", "shortname": "All Applications"}, "IHCP" : {"fullname" : "Immunohistochemistry (Formalin/PFA-fixed paraffin-embedded sections)", "shortname":"IHC-P"}, "WB" : {"fullname" : "Western blot", "shortname":"WB"}, "FlowCytIntra" : {"fullname" : "Flow Cytometry (Intracellular)", "shortname":"Flow Cyt (Intra)"}, "IP" : {"fullname" : "Immunoprecipitation", "shortname":"IP"}, "ICCIF" : {"fullname" : "Immunocytochemistry/ Immunofluorescence", "shortname":"ICC/IF"} }, "product-promise": { "all": "all", "testedAndGuaranteed": "tested", "guaranteed": "expected", "predicted": "predicted", "notRecommended": "not-recommended" } }, "values": { "Human": { "IHCP-species-checked": "testedAndGuaranteed", "IHCP-species-dilution-info": "1/500", "IHCP-species-notes": "<p></p> Perform heat-mediated antigen retrieval with Tris/EDTA buffer pH 9.0 before commencing with IHC staining protocol.", "WB-species-checked": "testedAndGuaranteed", "WB-species-dilution-info": "1/1000", "WB-species-notes": "<p></p>", "FlowCytIntra-species-checked": "notRecommended", "FlowCytIntra-species-dilution-info": "", "FlowCytIntra-species-notes": "<p></p>", "IP-species-checked": "notRecommended", "IP-species-dilution-info": "", "IP-species-notes": "<p></p>", "ICCIF-species-checked": "notRecommended", "ICCIF-species-dilution-info": "", "ICCIF-species-notes": "<p></p>" }, "Mouse": { "IHCP-species-checked": "notRecommended", "IHCP-species-dilution-info": "", "IHCP-species-notes": "<p></p>", "WB-species-checked": "notRecommended", "WB-species-dilution-info": "", "WB-species-notes": "<p></p>", "FlowCytIntra-species-checked": "notRecommended", "FlowCytIntra-species-dilution-info": "", "FlowCytIntra-species-notes": "", "IP-species-checked": "notRecommended", "IP-species-dilution-info": "", "IP-species-notes": "", "ICCIF-species-checked": "notRecommended", "ICCIF-species-dilution-info": "", "ICCIF-species-notes": "" }, "Rat": { "IHCP-species-checked": "notRecommended", "IHCP-species-dilution-info": "", "IHCP-species-notes": "<p></p>", "WB-species-checked": "notRecommended", "WB-species-dilution-info": "", "WB-species-notes": "<p></p>", "FlowCytIntra-species-checked": "notRecommended", "FlowCytIntra-species-dilution-info": "", "FlowCytIntra-species-notes": "", "IP-species-checked": "notRecommended", "IP-species-dilution-info": "", "IP-species-notes": "", "ICCIF-species-checked": "notRecommended", "ICCIF-species-dilution-info": "", "ICCIF-species-notes": "" }, "Transfected cell line - Human": { "IHCP-species-checked": "testedAndGuaranteed", "IHCP-species-dilution-info": "1/2000", "IHCP-species-notes": "<p></p> Perform heat-mediated antigen retrieval with Tris/EDTA buffer pH 9.0 before commencing with IHC staining protocol.", "WB-species-checked": "notRecommended", "WB-species-dilution-info": "", "WB-species-notes": "", "FlowCytIntra-species-checked": "notRecommended", "FlowCytIntra-species-dilution-info": "", "FlowCytIntra-species-notes": "", "IP-species-checked": "notRecommended", "IP-species-dilution-info": "", "IP-species-notes": "", "ICCIF-species-checked": "notRecommended", "ICCIF-species-dilution-info": "", "ICCIF-species-notes": "" } } }

Product details

Patented technology
Our RabMAb® technology is a patented hybridoma-based technology for making rabbit monoclonal antibodies. For details on our patents, please refer to RabMAb® patents.

What are the advantages of a recombinant monoclonal antibody?
This product is a recombinant monoclonal antibody, which offers several advantages including:

  • - High batch-to-batch consistency and reproducibility
  • - Improved sensitivity and specificity
  • - Long-term security of supply
  • - Animal-free batch production

For more information, read more on recombinant antibodies.

Properties and storage information

Form
Liquid
Purification technique
Affinity purification Protein A
Storage buffer
pH: 7.2 - 7.4 Preservative: 0.01% Sodium azide Constituents: PBS, 40% Glycerol (glycerin, glycerine), 0.05% BSA
Shipped at conditions
Blue Ice
Appropriate short-term storage duration
1-2 weeks
Appropriate short-term storage conditions
+4°C
Appropriate long-term storage conditions
-20°C
Aliquoting information
Upon delivery aliquot
Storage information
Avoid freeze / thaw cycle

Supplementary information

This supplementary information is collated from multiple sources and compiled automatically.

SIGLEC10 and SIGLEC11 are members of the sialic acid-binding immunoglobulin-type lectins family also known as siglecs. SIGLEC10 sometimes called CD33L1 has an approximate molecular mass of 85 kDa. SIGLEC11 has a molecular mass of about 101 kDa. These proteins are transmembrane receptors involved in cellular signaling. SIGLEC10 is expressed in various tissues including the placenta and spleen while SIGLEC11 expression is found mainly in the microglia of the brain. Their primary role is to mediate interactions with sialylated glycan ligands which affects cell-cell communication.
Biological function summary

SIGLEC10 and SIGLEC11 play important roles in the immune response by regulating inflammatory processes and helping the body distinguish between self and non-self cells. They function as part of the immune system to modulate immune cell activation damping down potentially harmful overreactions. These proteins can inhibit immune cell signaling when they engage with sialic acid-containing structures representing a form of immune checkpoint control. Their involvement in dampening inflammatory responses makes them part of the innate immune complex important in maintaining tissue homeostasis.

Pathways

SIGLEC10 and SIGLEC11 both interact with immunoregulatory pathways like the CD33-related and B cell receptor signaling pathways. Through these pathways they are involved in controlling immune responses and maintaining cellular communication balance. SIGLEC10 shows relationship with proteins such as SHP-1 and SHP-2 which are phosphatases that play critical roles in signal transduction. SIGLEC11 however interacts within microglial function pathways involving proteins associated with the innate immune response.

SIGLEC10 and SIGLEC11 connect to conditions such as Alzheimer's disease and rheumatoid arthritis. In Alzheimer’s SIGLEC11 interaction with microglia influences the disease's neuroinflammatory component. Its role can help modulate the immune environment in the brain influencing disease progression. SIGLEC10’s dysfunctional regulation may contribute to the chronic inflammation observed in rheumatoid arthritis often mediated by aberrant immune responses. This relation involves other siglec family members like SIGLEC9 which together modulate inflammatory pathways.

Product protocols

For this product, it's our understanding that no specific protocols are required. You can visit:

Target data

Putative adhesion molecule that mediates sialic-acid dependent binding to cells. Preferentially binds to alpha-2,3- or alpha-2,6-linked sialic acid (By similarity). The sialic acid recognition site may be masked by cis interactions with sialic acids on the same cell surface. In the immune response, seems to act as an inhibitory receptor upon ligand induced tyrosine phosphorylation by recruiting cytoplasmic phosphatase(s) via their SH2 domain(s) that block signal transduction through dephosphorylation of signaling molecules (PubMed : 11284738, PubMed : 12163025). Involved in negative regulation of B-cell antigen receptor signaling. The inhibition of B cell activation is dependent on PTPN6/SHP-1 (By similarity). In association with CD24 may be involved in the selective suppression of the immune response to danger-associated molecular patterns (DAMPs) such as HMGB1, HSP70 and HSP90 (By similarity). In association with CD24 may regulate the immune repsonse of natural killer (NK) cells (PubMed : 25450598). Plays a role in the control of autoimmunity (By similarity). During initiation of adaptive immune responses by CD8-alpha(+) dendritic cells inhibits cross-presentation by impairing the formation of MHC class I-peptide complexes. The function seems to implicate recruitment of PTPN6/SHP-1, which dephosphorylates NCF1 of the NADPH oxidase complex consequently promoting phagosomal acidification (By similarity).
See full target information SIGLEC10

Additional targets

SIGLEC11

Product promise

We are committed to supporting your work with high-quality reagents, and we're here for you every step of the way. In the unlikely event that one of our products does not perform as expected, you're protected by our Product Promise.
For full details, please see our Terms & Conditions

Please note: All products are 'FOR RESEARCH USE ONLY. NOT FOR USE IN DIAGNOSTIC OR THERAPEUTIC PROCEDURES'.

For licensing inquiries, please contact partnerships@abcam.com