JavaScript is disabled in your browser. Please enable JavaScript to view this website.
AB233299

Anti-SIGLEC14 antibody

Be the first to review this product! Submit a review

|

(1 Publication)

Rabbit Polyclonal SIGLEC14 antibody. Suitable for WB, IHC-P and reacts with Rat, Human samples. Cited in 1 publication. Immunogen corresponding to Recombinant Fragment Protein within Human SIGLEC14 aa 1-150.

View Alternative Names

UNQ294/PRO333, SIGLEC14, Sialic acid-binding Ig-like lectin 14, Siglec-14

3 Images
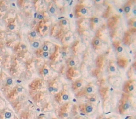
Immunohistochemistry (Formalin/PFA-fixed paraffin-embedded sections) - Anti-SIGLEC14 antibody (AB233299)
  • IHC-P

Supplier Data

Immunohistochemistry (Formalin/PFA-fixed paraffin-embedded sections) - Anti-SIGLEC14 antibody (AB233299)

Formalin-fixed, paraffin-embedded human liver tissue stained for SIGLEC14 with ab233299 at 20 μg/ml in immunohistochemical analysis. DAB staining.

Western blot - Anti-SIGLEC14 antibody (AB233299)
  • WB

Supplier Data

Western blot - Anti-SIGLEC14 antibody (AB233299)

All lanes:

Western blot - Anti-SIGLEC14 antibody (ab233299) at 1 µg/mL

All lanes:

Rat small intestine tissue lysate

Secondary

All lanes:

HRP-Linked Goat anti-Rabbit IgG polyclonal at 0.2 µg/mL

Predicted band size: 44 kDa,50 kDa

Observed band size: 90 kDa

false

Western blot - Anti-SIGLEC14 antibody (AB233299)
  • WB

Supplier Data

Western blot - Anti-SIGLEC14 antibody (AB233299)

All lanes:

Western blot - Anti-SIGLEC14 antibody (ab233299) at 1 µg/mL

All lanes:

Recombinant human SIGLEC14 protein

Predicted band size: 44 kDa

false

Key facts

Host species

Rabbit

Clonality

Polyclonal

Isotype

IgG

Carrier free

No

Reacts with

Rat, Human

Applications

WB, IHC-P

applications

Immunogen

Recombinant Fragment Protein within Human SIGLEC14 aa 1-150. The exact immunogen used to generate this antibody is proprietary information.

Q08ET2

Specificity

Expected cross reactivity with SIGLEC5, 100%.

Reactivity data

{ "title": "Reactivity Data", "filters": { "stats": ["", "Species", "Dilution Info", "Notes"], "tabs": { "all-applications": {"fullname" : "All Applications", "shortname": "All Applications"}, "WB" : {"fullname" : "Western blot", "shortname":"WB"}, "IHCP" : {"fullname" : "Immunohistochemistry (Formalin/PFA-fixed paraffin-embedded sections)", "shortname":"IHC-P"} }, "product-promise": { "all": "all", "testedAndGuaranteed": "tested", "guaranteed": "expected", "predicted": "predicted", "notRecommended": "not-recommended" } }, "values": { "Human": { "WB-species-checked": "testedAndGuaranteed", "WB-species-dilution-info": "0.2-2 µg/mL", "WB-species-notes": "<p></p>", "IHCP-species-checked": "testedAndGuaranteed", "IHCP-species-dilution-info": "5-20 µg/mL", "IHCP-species-notes": "<p></p>" }, "Rat": { "WB-species-checked": "testedAndGuaranteed", "WB-species-dilution-info": "0.2-2 µg/mL", "WB-species-notes": "<p></p>", "IHCP-species-checked": "guaranteed", "IHCP-species-dilution-info": "", "IHCP-species-notes": "" } } }

Properties and storage information

Form
Liquid
Purification technique
Affinity purification Immunogen
Purification notes
Antigen-specific affinity chromatography followed by Protein A affinity chromatography.
Storage buffer
pH: 7.4 Preservative: 0.011% Proclin 300 Constituents: PBS, 55.77% Glycerol (glycerin, glycerine)
Shipped at conditions
Blue Ice
Appropriate short-term storage duration
1-2 weeks
Appropriate short-term storage conditions
+4°C
Appropriate long-term storage conditions
-20°C
Aliquoting information
Upon delivery aliquot
Storage information
Avoid freeze / thaw cycle

Supplementary information

This supplementary information is collated from multiple sources and compiled automatically.

SIGLEC14 also known as sialic acid-binding immunoglobulin-type lectin 14 is a protein important for immune response regulation. Its molecular mass is approximately 49 kDa. This protein is found mainly on the surface of immune cells like macrophages and neutrophils. By recognizing sialylated glycans SIGLEC14 functions as an inhibitory receptor reducing glycan-mediated signaling in immune responses. It modulates cell signaling through ITIM (Immunoreceptor Tyrosine-based Inhibitory Motif) and ITAM (Immunoreceptor Tyrosine-based Activation Motif) domains which helps balance activation and suppression of immune cells.
Biological function summary

SIGLEC14 influences the immune system by modulating anti-inflammatory responses. It interacts with the immunoglobulin family and other SIGLEC proteins like SIGLEC5 forming receptor complexes that manage cellular communication. These interactions contribute to distinguishing self from non-self and controlling unnecessary immune responses beneficial for preventing autoimmune reactions. SIGLEC14's role becomes apparent in maintaining the balance ensuring that immune responses are appropriate and controlled.

Pathways

The protein plays roles in immune response regulation and signal transduction pathways. It interacts with pathways like the toll-like receptor (TLR) signaling pathway and the NF-kB signaling pathway which are important for pathogen recognition and inflammatory response. SIGLEC14 modulates these pathways by interacting with other proteins such as Toll-like receptors and signaling adapters. This interaction helps transmit signals essential for immune activation and regulation.

Dysregulation of SIGLEC14 associates with chronic inflammatory diseases and bacterial infections. Variants of SIGLEC14 show links to an altered susceptibility to diseases like chronic obstructive pulmonary disease (COPD) and bacterial pneumonia. It can interact with proteins such as SIGLEC5 influencing the outcome of infections by modulating the inflammatory responses. A balance in SIGLEC14 activity is necessary to prevent unintended inflammation and maintain immune homeostasis.

Product protocols

For this product, it's our understanding that no specific protocols are required. You can visit:

Target data

Putative adhesion molecule. Sialic acid-binding paired receptor which may activate associated receptors.
See full target information SIGLEC14

Publications (1)

Recent publications for all applications. Explore the full list and refine your search

Immunity, inflammation and disease 10:e723 PubMed36301026

2022

Low serum level of 25-OH vitamin D relates to Th17 and treg changes in colorectal cancer patients.

Applications

Unspecified application

Species

Unspecified reactive species

Bai Chen,Liugen Jin
View all publications

Product promise

We are committed to supporting your work with high-quality reagents, and we're here for you every step of the way. In the unlikely event that one of our products does not perform as expected, you're protected by our Product Promise.
For full details, please see our Terms & Conditions

Please note: All products are 'FOR RESEARCH USE ONLY. NOT FOR USE IN DIAGNOSTIC OR THERAPEUTIC PROCEDURES'.

For licensing inquiries, please contact partnerships@abcam.com