JavaScript is disabled in your browser. Please enable JavaScript to view this website.
AB307434

Anti-SIGLEC5 antibody [EPR26250-156]

  • BOND RX™ Validated
  • 20ul selling size
  • RabMAb
  • Recombinant
  • What is this?

Be the first to review this product! Submit a review

|

(0 Publication)

Rabbit Recombinant Monoclonal SIGLEC5 antibody. Suitable for IHC-P and reacts with Human, Transfected cell line - Human samples.

View Alternative Names

CD170, CD33L2, OBBP2, SIGLEC5, Sialic acid-binding Ig-like lectin 5, Siglec-5, CD33 antigen-like 2, Obesity-binding protein 2, OB-BP2, OB-binding protein 2

4 Images
Immunohistochemistry (Formalin/PFA-fixed paraffin-embedded sections) - Anti-SIGLEC5 antibody [EPR26250-156] (AB307434)
  • IHC-P

Supplier Data

Immunohistochemistry (Formalin/PFA-fixed paraffin-embedded sections) - Anti-SIGLEC5 antibody [EPR26250-156] (AB307434)

Immunohistochemical analysis of paraffin-embedded Panel A HEK-293T c tissue lABeling SIGLEC5 with ab307434 at 1/2000 (0.26 ug/ml) followed by a ready to use LeicaDS9800 (Bond? Polymer Refine Detection) was used. Cytoplasmic staining on (A) HEK-293T transfected with a SIGLEC5 expression vector and (B) HEK-293T transfected with a SIGLEC14 expression vector, no staining on (C) HEK-293T transfected with empty vector. The section was incubated with ab307434 for 30 mins at room temperature.The immunostaining was performed on a Leica Biosystems BOND? RX instrument Counterstained with Hematoxylin. Secondary antibody only control : Secondary antibody is a ready to use LeicaDS9800 (Bond? Polymer Refine Detection) was used. Heat mediated antigen retrieval was performed with Tris-EDTA buffer (pH 9.0, Epitope Retrieval Solution2) for 20 mins

Immunohistochemistry (Formalin/PFA-fixed paraffin-embedded sections) - Anti-SIGLEC5 antibody [EPR26250-156] (AB307434)
  • IHC-P

Supplier Data

Immunohistochemistry (Formalin/PFA-fixed paraffin-embedded sections) - Anti-SIGLEC5 antibody [EPR26250-156] (AB307434)

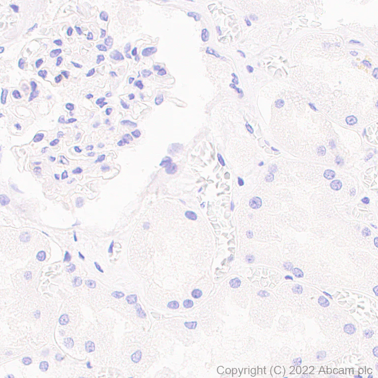
Immunohistochemical analysis of paraffin-embedded Human kidney tissue lABeling SIGLEC5 with ab307434 at 1/2000 (0.26 ug/ml) followed by a ready to use LeicaDS9800 (Bond? Polymer Refine Detection) was used. Negative control : no staining on human kidney. The section was incubated with ab307434 for 30 mins at room temperature.The immunostaining was performed on a Leica Biosystems BOND? RX instrument Counterstained with Hematoxylin. Secondary antibody only control : Secondary antibody is a ready to use LeicaDS9800 (Bond? Polymer Refine Detection) was used. Heat mediated antigen retrieval was performed with Tris-EDTA buffer (pH 9.0, Epitope Retrieval Solution2) for 20 mins

Immunohistochemistry (Formalin/PFA-fixed paraffin-embedded sections) - Anti-SIGLEC5 antibody [EPR26250-156] (AB307434)
  • IHC-P

Supplier Data

Immunohistochemistry (Formalin/PFA-fixed paraffin-embedded sections) - Anti-SIGLEC5 antibody [EPR26250-156] (AB307434)

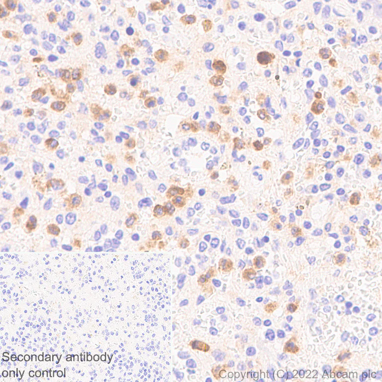
Immunohistochemical analysis of paraffin-embedded Human stomach tissue lABeling SIGLEC5 with ab307434 at 1/2000 (0.26 ug/ml) followed by a ready to use LeicaDS9800 (Bond? Polymer Refine Detection) was used. Positive staining on scattered immune cells of human stomach. The section was incubated with ab307434 for 30 mins at room temperature.The immunostaining was performed on a Leica Biosystems BOND? RX instrument Counterstained with Hematoxylin. Secondary antibody only control : Secondary antibody is a ready to use LeicaDS9800 (Bond? Polymer Refine Detection) was used. Heat mediated antigen retrieval was performed with Tris-EDTA buffer (pH 9.0, Epitope Retrieval Solution2) for 20 mins

Immunohistochemistry (Formalin/PFA-fixed paraffin-embedded sections) - Anti-SIGLEC5 antibody [EPR26250-156] (AB307434)
  • IHC-P

Supplier Data

Immunohistochemistry (Formalin/PFA-fixed paraffin-embedded sections) - Anti-SIGLEC5 antibody [EPR26250-156] (AB307434)

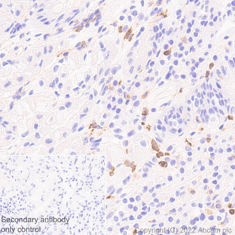
Immunohistochemical analysis of paraffin-embedded Human spleen tissue lABeling SIGLEC5 with ab307434 at 1/2000 (0.26 ug/ml) followed by a ready to use LeicaDS9800 (Bond? Polymer Refine Detection) was used. Positive staining on human spleen. The section was incubated with ab307434 for 30 mins at room temperature.The immunostaining was performed on a Leica Biosystems BOND? RX instrument Counterstained with Hematoxylin. Secondary antibody only control : Secondary antibody is a ready to use LeicaDS9800 (Bond? Polymer Refine Detection) was used. Heat mediated antigen retrieval was performed with Tris-EDTA buffer (pH 9.0, Epitope Retrieval Solution2) for 20 mins

  • Carrier free

    Anti-SIGLEC5 antibody [EPR26250-156] - BSA and Azide free

  • 665 Alexa Fluor® 647

    Alexa Fluor® 647 Anti-SIGLEC5 antibody [EPR26250-156]

Key facts

Host species

Rabbit

Clonality

Monoclonal

Clone number

EPR26250-156

Isotype

IgG

Carrier free

No

Reacts with

Human

Applications

IHC-P

applications

Immunogen

The exact immunogen used to generate this antibody is proprietary information.

Reactivity data

{ "title": "Reactivity Data", "filters": { "stats": ["", "Species", "Dilution Info", "Notes"], "tabs": { "all-applications": {"fullname" : "All Applications", "shortname": "All Applications"}, "IP" : {"fullname" : "Immunoprecipitation", "shortname":"IP"}, "FlowCyt" : {"fullname" : "Flow Cytometry", "shortname":"Flow Cyt"}, "ICCIF" : {"fullname" : "Immunocytochemistry/ Immunofluorescence", "shortname":"ICC/IF"}, "IHCP" : {"fullname" : "Immunohistochemistry (Formalin/PFA-fixed paraffin-embedded sections)", "shortname":"IHC-P"}, "WB" : {"fullname" : "Western blot", "shortname":"WB"} }, "product-promise": { "all": "all", "testedAndGuaranteed": "tested", "guaranteed": "expected", "predicted": "predicted", "notRecommended": "not-recommended" } }, "values": { "Human": { "IP-species-checked": "notRecommended", "IP-species-dilution-info": "", "IP-species-notes": "<p></p>", "FlowCyt-species-checked": "notRecommended", "FlowCyt-species-dilution-info": "", "FlowCyt-species-notes": "<p></p>", "ICCIF-species-checked": "notRecommended", "ICCIF-species-dilution-info": "", "ICCIF-species-notes": "<p></p>", "IHCP-species-checked": "testedAndGuaranteed", "IHCP-species-dilution-info": "1/2000", "IHCP-species-notes": "<p></p>", "WB-species-checked": "notRecommended", "WB-species-dilution-info": "", "WB-species-notes": "<p></p>" }, "Mouse": { "IP-species-checked": "notRecommended", "IP-species-dilution-info": "", "IP-species-notes": "", "FlowCyt-species-checked": "notRecommended", "FlowCyt-species-dilution-info": "", "FlowCyt-species-notes": "<p></p>", "ICCIF-species-checked": "notRecommended", "ICCIF-species-dilution-info": "", "ICCIF-species-notes": "<p></p>", "IHCP-species-checked": "notRecommended", "IHCP-species-dilution-info": "1/2000", "IHCP-species-notes": "<p></p>", "WB-species-checked": "notRecommended", "WB-species-dilution-info": "", "WB-species-notes": "<p></p>" }, "Rat": { "IP-species-checked": "notRecommended", "IP-species-dilution-info": "", "IP-species-notes": "", "FlowCyt-species-checked": "notRecommended", "FlowCyt-species-dilution-info": "", "FlowCyt-species-notes": "<p></p>", "ICCIF-species-checked": "notRecommended", "ICCIF-species-dilution-info": "", "ICCIF-species-notes": "<p></p>", "IHCP-species-checked": "notRecommended", "IHCP-species-dilution-info": "1/2000", "IHCP-species-notes": "<p></p>", "WB-species-checked": "notRecommended", "WB-species-dilution-info": "", "WB-species-notes": "<p></p>" }, "Transfected cell line - Human": { "IP-species-checked": "notRecommended", "IP-species-dilution-info": "", "IP-species-notes": "", "FlowCyt-species-checked": "notRecommended", "FlowCyt-species-dilution-info": "", "FlowCyt-species-notes": "", "ICCIF-species-checked": "notRecommended", "ICCIF-species-dilution-info": "", "ICCIF-species-notes": "", "IHCP-species-checked": "testedAndGuaranteed", "IHCP-species-dilution-info": "1/2000", "IHCP-species-notes": "<p></p>", "WB-species-checked": "notRecommended", "WB-species-dilution-info": "", "WB-species-notes": "" } } }

Product details

Patented technology
Our RabMAb® technology is a patented hybridoma-based technology for making rabbit monoclonal antibodies. For details on our patents, please refer to RabMAb® patents.

What are the advantages of a recombinant monoclonal antibody?
This product is a recombinant monoclonal antibody, which offers several advantages including:

  • - High batch-to-batch consistency and reproducibility
  • - Improved sensitivity and specificity
  • - Long-term security of supply
  • - Animal-free batch production

For more information, read more on recombinant antibodies.

Properties and storage information

Form
Liquid
Purification technique
Affinity purification Protein A
Storage buffer
pH: 7.2 - 7.4 Preservative: 0.01% Sodium azide Constituents: PBS, 40% Glycerol (glycerin, glycerine), 0.05% BSA
Shipped at conditions
Blue Ice
Appropriate short-term storage duration
1-2 weeks
Appropriate short-term storage conditions
+4°C
Appropriate long-term storage conditions
-20°C
Aliquoting information
Upon delivery aliquot
Storage information
Avoid freeze / thaw cycle

Supplementary information

This supplementary information is collated from multiple sources and compiled automatically.

SIGLEC5 also known as CD170 is a sialic acid-binding Ig-like lectin with a molecular mass of approximately 96 kDa. This protein plays an important role in immune cell signaling by recognizing sialylated glycans on the surface of cells. SIGLEC5 is mainly expressed on immune cells such as neutrophils monocytes and macrophages. It belongs to the lectin family of proteins and can modulate immune responses and communication between cells.
Biological function summary

SIGLEC5 functions by mediating cell-cell interactions and transmitting inhibitory signals that regulate immune responses. It binds to sialic acid-containing glycoproteins which can help modulate the threshold for cell activation by transmitting signals through its immunoreceptor tyrosine-based inhibitory motif (ITIM). SIGLEC5 is not part of a large complex but interacts with other molecules to exert its function in maintaining immune cell balance.

Pathways

SIGLEC5 plays a role in immune signaling pathways by maintaining cell homeostasis. It contributes to the regulation of the immune response by modulating inhibitory signaling pathways. It is associated with proteins like Src family kinases which phosphorylate the ITIM motif to initiate downstream signaling cascades. Additionally its interaction with sialic acids allows modulation of the innate immune response to various stimuli.

SIGLEC5 has been linked to autoimmune diseases and infections like bacterial sepsis. In autoimmune conditions the dysregulation of SIGLEC5-associated pathways can lead to improper immune cell activation and tissue damage. In the context of bacterial sepsis SIGLEC5 assists in dampening excessive immune responses and limiting inflammation. SIGLEC5 connects with proteins like DAP12 where aberrations could also influence disease progressions making it a target of interest for potential therapeutic interventions.

Product protocols

For this product, it's our understanding that no specific protocols are required. You can visit:

Target data

Putative adhesion molecule that mediates sialic-acid dependent binding to cells. Binds equally to alpha-2,3-linked and alpha-2,6-linked sialic acid. The sialic acid recognition site may be masked by cis interactions with sialic acids on the same cell surface.
See full target information SIGLEC5

Product promise

We are committed to supporting your work with high-quality reagents, and we're here for you every step of the way. In the unlikely event that one of our products does not perform as expected, you're protected by our Product Promise.
For full details, please see our Terms & Conditions

Please note: All products are 'FOR RESEARCH USE ONLY. NOT FOR USE IN DIAGNOSTIC OR THERAPEUTIC PROCEDURES'.

For licensing inquiries, please contact partnerships@abcam.com