JavaScript is disabled in your browser. Please enable JavaScript to view this website.
AB320089

Anti-SIGLEC5 antibody [EPR29501-522] - BSA and Azide free

Be the first to review this product! Submit a review

|

(0 Publication)

Rabbit Recombinant Monoclonal SIGLEC5 antibody. Carrier free. Suitable for IHC-P and reacts with Transfected cell line - Mouse, Mouse samples.

View Alternative Names

CD170, Siglecf, Sialic acid-binding Ig-like lectin 5, Siglec-5, Sialic acid-binding Ig-like lectin F, Siglec-F, mSiglec-F

5 Images
Immunohistochemistry (Formalin/PFA-fixed paraffin-embedded sections) - Anti-SIGLEC5 antibody [EPR29501-522] - BSA and Azide free (AB320089)
  • IHC-P

Supplier Data

Immunohistochemistry (Formalin/PFA-fixed paraffin-embedded sections) - Anti-SIGLEC5 antibody [EPR29501-522] - BSA and Azide free (AB320089)

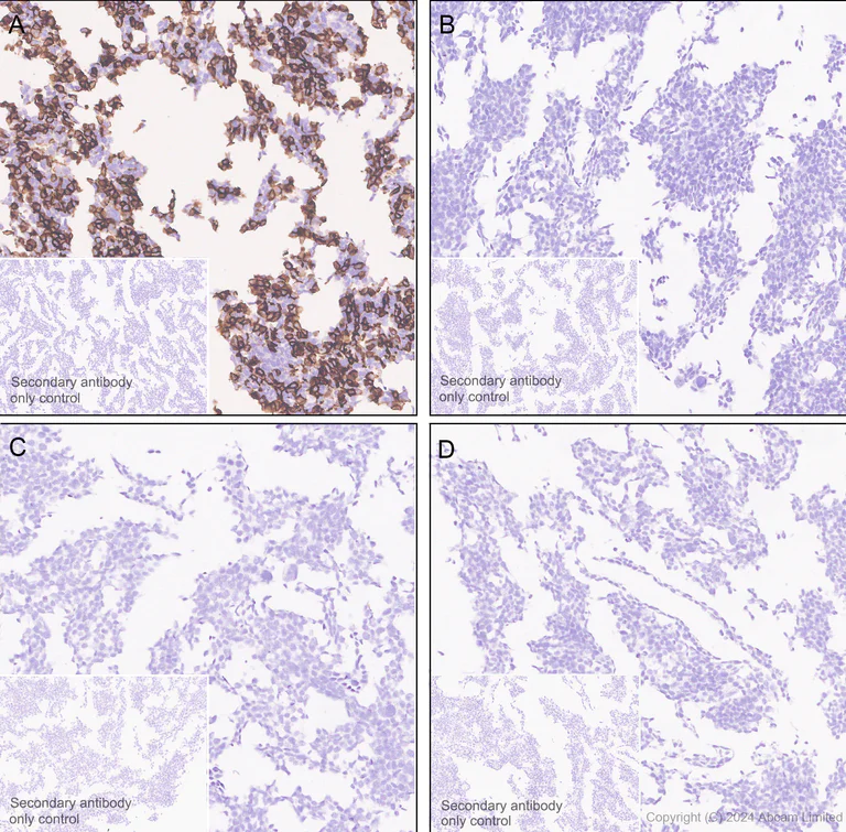
This data was developed using ab320088, the same antibody clone in a different buffer formulation.

Immunohistochemical analysis of paraffin-embedded (A) HEK-293T (human embryonic kidney epithelial cell) transfected with a mouse SIGLEC5 expression vector containing a his tag; (B) HEK-293T (human embryonic kidney epithelial cell) transfected with a mouse SIGLEC10 expression vector containing a his tag; (C) HEK-293T (human embryonic kidney epithelial cell) transfected with a mouse CD33 expression vector containing a his tag; (D) HEK-293T (human embryonic kidney epithelial cell) transfected with a mouse SIGLEC12 expression vector containing a his tag; tissue labeling SIGLEC5 with ab320088 at 1/100 (5.08 ug/ml) dilution, followed by a ready to use LeicaDS9800 (Bond™ Polymer Refine Detection).

Positive staining on (A) HEK-293T transfected with a mouse SIGLEC5 expression vector containing a his tag; no staining on (B) HEK-293T transfected with a mouse SIGLEC10 expression vector containing a his tag;
(C) HEK-293T transfected with a mouse CD33 expression vector containing a his tag; and
(D) HEK-293T transfected with a mouse SIGLEC12 expression vector containing a his tag;
The section was incubated with ab320088 for 30 mins at room temperature.
The immunostaining was performed on a Leica Biosystems BOND® RX instrument
Incubate slides with 3% Hydrogen Peroxide for 10 mins at room temperature after secondary antibody incubation to reduce the background

Counterstained with Hematoxylin.

Secondary antibody only control : Secondary antibody is a ready to use LeicaDS9800 (Bond™ Polymer Refine Detection).

Heat mediated antigen retrieval was performed with Tris-EDTA buffer (pH 9.0, Epitope Retrieval Solution2) for 20 mins

Immunohistochemistry (Formalin/PFA-fixed paraffin-embedded sections) - Anti-SIGLEC5 antibody [EPR29501-522] - BSA and Azide free (AB320089)
  • IHC-P

Supplier Data

Immunohistochemistry (Formalin/PFA-fixed paraffin-embedded sections) - Anti-SIGLEC5 antibody [EPR29501-522] - BSA and Azide free (AB320089)

This data was developed using ab320088, the same antibody clone in a different buffer formulation.

Immunohistochemical analysis of paraffin-embedded Mouse kidney tissue labeling SIGLEC5 with ab320088 at 1/100 (5.08 ug/ml) dilution, followed by a ready to use LeicaDS9800 (Bond™ Polymer Refine Detection).

Negative control : no staining on mouse kidney.
The section was incubated with ab320088 for 30 mins at room temperature.
The immunostaining was performed on a Leica Biosystems BOND® RX instrument
Incubate slides with 3% Hydrogen Peroxide for 10 mins at room temperature after secondary antibody incubation to reduce the background

Counterstained with Hematoxylin.

Secondary antibody only control : Secondary antibody is a ready to use LeicaDS9800 (Bond™ Polymer Refine Detection).

Heat mediated antigen retrieval was performed with Tris-EDTA buffer (pH 9.0, Epitope Retrieval Solution2) for 20 mins

Immunohistochemistry (Formalin/PFA-fixed paraffin-embedded sections) - Anti-SIGLEC5 antibody [EPR29501-522] - BSA and Azide free (AB320089)
  • IHC-P

Supplier Data

Immunohistochemistry (Formalin/PFA-fixed paraffin-embedded sections) - Anti-SIGLEC5 antibody [EPR29501-522] - BSA and Azide free (AB320089)

This data was developed using ab320088, the same antibody clone in a different buffer formulation.

Immunohistochemical analysis of paraffin-embedded Mouse cerebrum tissue labeling SIGLEC5 with ab320088 at 1/100 (5.08 ug/ml) dilution, followed by a ready to use LeicaDS9800 (Bond™ Polymer Refine Detection).

Negative control : no staining on mouse cerebrum.
The section was incubated with ab320088 for 30 mins at room temperature.
The immunostaining was performed on a Leica Biosystems BOND® RX instrument
Incubate slides with 3% Hydrogen Peroxide for 10 mins at room temperature after secondary antibody incubation to reduce the background

Counterstained with Hematoxylin.

Secondary antibody only control : Secondary antibody is a ready to use LeicaDS9800 (Bond™ Polymer Refine Detection).

Heat mediated antigen retrieval was performed with Tris-EDTA buffer (pH 9.0, Epitope Retrieval Solution2) for 20 mins

Immunohistochemistry (Formalin/PFA-fixed paraffin-embedded sections) - Anti-SIGLEC5 antibody [EPR29501-522] - BSA and Azide free (AB320089)
  • IHC-P

Supplier Data

Immunohistochemistry (Formalin/PFA-fixed paraffin-embedded sections) - Anti-SIGLEC5 antibody [EPR29501-522] - BSA and Azide free (AB320089)

This data was developed using ab320088, the same antibody clone in a different buffer formulation.

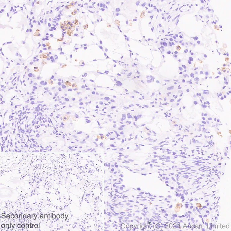
Immunohistochemical analysis of paraffin-embedded Mouse lung carcinoma tissue labeling SIGLEC5 with ab320088 at 1/100 (5.08 ug/ml) dilution, followed by a ready to use LeicaDS9800 (Bond™ Polymer Refine Detection).

Positive staining on immune cells of mouse lung carcinoma.
The section was incubated with ab320088 for 30 mins at room temperature.
The immunostaining was performed on a Leica Biosystems BOND® RX instrument
Incubate slides with 3% Hydrogen Peroxide for 10 mins at room temperature after secondary antibody incubation to reduce the background

Counterstained with Hematoxylin.

Secondary antibody only control : Secondary antibody is a ready to use LeicaDS9800 (Bond™ Polymer Refine Detection).

Heat mediated antigen retrieval was performed with Tris-EDTA buffer (pH 9.0, Epitope Retrieval Solution2) for 20 mins

Immunohistochemistry (Formalin/PFA-fixed paraffin-embedded sections) - Anti-SIGLEC5 antibody [EPR29501-522] - BSA and Azide free (AB320089)
  • IHC-P

Supplier Data

Immunohistochemistry (Formalin/PFA-fixed paraffin-embedded sections) - Anti-SIGLEC5 antibody [EPR29501-522] - BSA and Azide free (AB320089)

This data was developed using ab320088, the same antibody clone in a different buffer formulation.

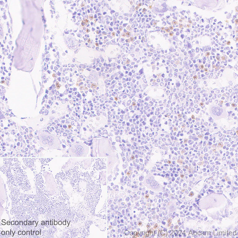
Immunohistochemical analysis of paraffin-embedded Mouse bone marrow tissue labeling SIGLEC5 with ab320088 at 1/100 (5.08 ug/ml) dilution, followed by a ready to use LeicaDS9800 (Bond™ Polymer Refine Detection).

Positive staining on immune cells of mouse bone marrow.
The section was incubated with ab320088 for 30 mins at room temperature.
The immunostaining was performed on a Leica Biosystems BOND® RX instrument
Incubate slides with 3% Hydrogen Peroxide for 10 mins at room temperature after secondary antibody incubation to reduce the background

Counterstained with Hematoxylin.

Secondary antibody only control : Secondary antibody is a ready to use LeicaDS9800 (Bond™ Polymer Refine Detection).

Heat mediated antigen retrieval was performed with Tris-EDTA buffer (pH 9.0, Epitope Retrieval Solution2) for 20 mins

Key facts

Host species

Rabbit

Clonality

Monoclonal

Clone number

EPR29501-522

Isotype

IgG

Carrier free

Yes

Reacts with

Mouse

Applications

IHC-P

applications

Immunogen

The exact immunogen used to generate this antibody is proprietary information.

Reactivity data

{ "title": "Reactivity Data", "filters": { "stats": ["", "Species", "Dilution Info", "Notes"], "tabs": { "all-applications": {"fullname" : "All Applications", "shortname": "All Applications"}, "IHCP" : {"fullname" : "Immunohistochemistry (Formalin/PFA-fixed paraffin-embedded sections)", "shortname":"IHC-P"} }, "product-promise": { "all": "all", "testedAndGuaranteed": "tested", "guaranteed": "expected", "predicted": "predicted", "notRecommended": "not-recommended" } }, "values": { "Mouse": { "IHCP-species-checked": "testedAndGuaranteed", "IHCP-species-dilution-info": "", "IHCP-species-notes": "<p></p> Perform heat-mediated antigen retrieval with Tris/EDTA buffer pH 9.0 before commencing with IHC staining protocol." }, "Transfected cell line - Mouse": { "IHCP-species-checked": "testedAndGuaranteed", "IHCP-species-dilution-info": "", "IHCP-species-notes": "<p></p>" } } }

Product details

ab320089 is the carrier-free version of ab320088.

Patented technology
Our RabMAb® technology is a patented hybridoma-based technology for making rabbit monoclonal antibodies. For details on our patents, please refer to RabMAb® patents.

What are the advantages of a recombinant monoclonal antibody?
This product is a recombinant monoclonal antibody, which offers several advantages including:

  • - High batch-to-batch consistency and reproducibility
  • - Improved sensitivity and specificity
  • - Long-term security of supply
  • - Animal-free batch production

For more information, read more on recombinant antibodies.

Conjugation ready
Our carrier-free antibodies are typically supplied in a PBS-only formulation, purified and free of BSA, sodium azide and glycerol. This conjugation-ready format is designed for use with fluorochromes, metal isotopes, oligonucleotides, and enzymes, which makes them ideal for antibody labelling, functional and cell-based assays, flow-based assays (e.g. mass cytometry) and Multiplex Imaging applications.

Use our conjugation kits for antibody conjugates that are ready-to-use in as little as 20 minutes with 1 minute hands-on-time and 100% antibody recovery: available for fluorescent dyes, HRP, biotin and gold.

Compatibility
This product is compatible with the Maxpar® Antibody Labeling Kit from Fluidigm, without the need for antibody preparation. Maxpar® is a trademark of Fluidigm Canada Inc.

Properties and storage information

Form
Liquid
Purification technique
Affinity purification Protein A
Storage buffer
pH: 7.2 - 7.4 Constituents: PBS
Shipped at conditions
Blue Ice
Appropriate short-term storage conditions
+4°C
Appropriate long-term storage conditions
+4°C

Supplementary information

This supplementary information is collated from multiple sources and compiled automatically.

SIGLEC5 also known as CD170 is a sialic acid-binding Ig-like lectin with a molecular mass of approximately 96 kDa. This protein plays an important role in immune cell signaling by recognizing sialylated glycans on the surface of cells. SIGLEC5 is mainly expressed on immune cells such as neutrophils monocytes and macrophages. It belongs to the lectin family of proteins and can modulate immune responses and communication between cells.
Biological function summary

SIGLEC5 functions by mediating cell-cell interactions and transmitting inhibitory signals that regulate immune responses. It binds to sialic acid-containing glycoproteins which can help modulate the threshold for cell activation by transmitting signals through its immunoreceptor tyrosine-based inhibitory motif (ITIM). SIGLEC5 is not part of a large complex but interacts with other molecules to exert its function in maintaining immune cell balance.

Pathways

SIGLEC5 plays a role in immune signaling pathways by maintaining cell homeostasis. It contributes to the regulation of the immune response by modulating inhibitory signaling pathways. It is associated with proteins like Src family kinases which phosphorylate the ITIM motif to initiate downstream signaling cascades. Additionally its interaction with sialic acids allows modulation of the innate immune response to various stimuli.

SIGLEC5 has been linked to autoimmune diseases and infections like bacterial sepsis. In autoimmune conditions the dysregulation of SIGLEC5-associated pathways can lead to improper immune cell activation and tissue damage. In the context of bacterial sepsis SIGLEC5 assists in dampening excessive immune responses and limiting inflammation. SIGLEC5 connects with proteins like DAP12 where aberrations could also influence disease progressions making it a target of interest for potential therapeutic interventions.

Product protocols

For this product, it's our understanding that no specific protocols are required. You can visit:

Target data

Putative adhesion molecule that mediates sialic-acid dependent binding to cells. Preferentially binds to alpha-2,3-linked sialic acid. The sialic acid recognition site may be masked by cis interactions with sialic acids on the same cell surface.
See full target information Siglec5

Product promise

We are committed to supporting your work with high-quality reagents, and we're here for you every step of the way. In the unlikely event that one of our products does not perform as expected, you're protected by our Product Promise.
For full details, please see our Terms & Conditions

Please note: All products are 'FOR RESEARCH USE ONLY. NOT FOR USE IN DIAGNOSTIC OR THERAPEUTIC PROCEDURES'.

For licensing inquiries, please contact partnerships@abcam.com