JavaScript is disabled in your browser. Please enable JavaScript to view this website.
AB307846

Anti-SIGLEC5 antibody [RM2001]

  • BOND RX™ Validated
  • 20ul selling size
  • RabMAb
  • Recombinant
  • What is this?

4

(1 Review)

|

(0 Publication)

Rabbit Recombinant Multiclonal SIGLEC5 antibody. Suitable for IHC-P, ICC/IF, Flow Cyt and reacts with Human, Transfected cell line - Human samples.

View Alternative Names

CD170, CD33L2, OBBP2, SIGLEC5, Sialic acid-binding Ig-like lectin 5, Siglec-5, CD33 antigen-like 2, Obesity-binding protein 2, OB-BP2, OB-binding protein 2

8 Images
Immunohistochemistry (Formalin/PFA-fixed paraffin-embedded sections) - Anti-SIGLEC5 antibody [RM2001] (AB307846)
  • IHC-P

Supplier Data

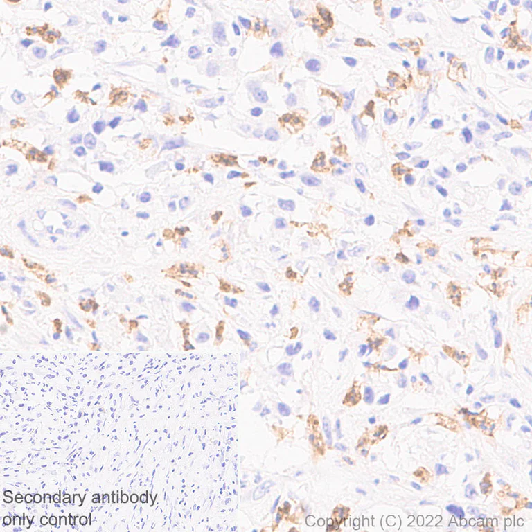
Immunohistochemistry (Formalin/PFA-fixed paraffin-embedded sections) - Anti-SIGLEC5 antibody [RM2001] (AB307846)

Immunohistochemical analysis of paraffin-embedded human stomach carcinoma tissue labeling SIGLEC5 with ab307846 at 1/500 dilution (0.972 µg/ml) followed by ready to use LeicaDS9800 (Bond ™ Polymer Refine Detection). Positive staining on human stomach carcinoma.  The section was incubated with ab307846 for 30 mins at room temperature. The immunostaining was performed on a Leica Biosystems BOND® RX instrument. Counterstained with Hematoxylin. Secondary antibody only control : Secondary antibody is ready to use LeicaDS9800 (Bond ™ Polymer Refine Detection). Heat mediated antigen retrieval was performed with Tris-EDTA buffer (pH 9.0, Epitope Retrieval Solution2) for 20 mins.

Immunocytochemistry/ Immunofluorescence - Anti-SIGLEC5 antibody [RM2001] (AB307846)
  • ICC/IF

Supplier Data

Immunocytochemistry/ Immunofluorescence - Anti-SIGLEC5 antibody [RM2001] (AB307846)

Immunofluorescent analysis of 4% Paraformaldehyde-fixed, 0.1% Triton X-100 permeabilized HEK-293T (human embryonic kidney epithelial cell) cells labeling SIGLEC5 and SIGLEC14 with ab307846 at 1/50 dilution (9.72 µg/ml) followed by ab150088 Goat Anti-Rabbit IgG H&L (Alexa Fluor® 594) preadsorbed (ab150088) antibody at 1/1000 dilution (2 µg/ml) (Green). Confocal image showing positive staining in HEK-293T cells transfected with a human SIGLEC14 or SIGLEC5 expression vector containing a myc tag. Image was taken with a confocal microscope (Leica-Microsystems, TCS SP8). Nuclear counterstain was DAPI (Blue). Secondary antibody only control : Secondary antibody is ab150088 Goat Anti-Rabbit IgG H&L (Alexa Fluor® 594) preadsorbed (ab150088) at 1/1000 dilution (2 µg/ml).

Immunocytochemistry/ Immunofluorescence - Anti-SIGLEC5 antibody [RM2001] (AB307846)
  • ICC/IF

Supplier Data

Immunocytochemistry/ Immunofluorescence - Anti-SIGLEC5 antibody [RM2001] (AB307846)

Immunofluorescent analysis of 4% Paraformaldehyde-fixed, 0.1% Triton X-100 permeabilized U-937 (human histiocytic lymphoma monocyte) cells labeling SIGLEC5 with ab307846 at 1/50 dilution (9.72 µg/ml) followed by ab150081 Goat Anti-Rabbit IgG H&L (Alexa Fluor® 488) preadsorbed antibody at 1/1000 dilution (2 µg/ml) (Green). Confocal image showing membranous and cytoplasmic staining in U-937 cell line. Negative control : K-562 (PMID : 9731071). Image was taken with a confocal microscope (Leica-Microsystems, TCS SP8). ab195889 Anti-alpha Tubulin mouse monoclonal antibody - Microtubule Marker (Alexa Fluor® 594) was used to counterstain tubulin at 1/200 dilution (2.5 µg/ml) (Red). The nuclear counterstain was DAPI (Blue). Secondary antibody only control : Secondary antibody is ab150081 Goat Anti-Rabbit IgG H&L (Alexa Fluor® 488) preadsorbed at 1/1000 dilution (2 µg/ml).

Flow Cytometry (Intracellular) - Anti-SIGLEC5 antibody [RM2001] (AB307846)
  • Flow Cyt (Intra)

Supplier Data

Flow Cytometry (Intracellular) - Anti-SIGLEC5 antibody [RM2001] (AB307846)

Flow cytometric analysis of K-562(human chronic myelogenous leukemia lymphoblast) (Left panel) compared with U-937 (human histiocytic lymphoma monocyte) (Right panel) labeling SIGLEC5 with ab307846 at 1/500 dilution (0.1µg) (Red) compared with a Rabbit monoclonal IgG (ab172730) (Black) isotype control and an unlabeled control (cells without incubation with primary antibody and secondary antibody) (Blue). Goat Anti-Rabbit IgG (Alexa Fluor® 488, ab150081) at 1/5000 dilution was used as the secondary antibody. Negative control : K-562. Gated on viable cells.

Immunohistochemistry (Formalin/PFA-fixed paraffin-embedded sections) - Anti-SIGLEC5 antibody [RM2001] (AB307846)
  • IHC-P

Supplier Data

Immunohistochemistry (Formalin/PFA-fixed paraffin-embedded sections) - Anti-SIGLEC5 antibody [RM2001] (AB307846)

Immunohistochemical analysis of paraffin-embedded human skeletal muscle tissue labeling SIGLEC5 with ab307846 at 1/500 dilution (0.972 µg/ml) followed by ready to use LeicaDS9800 (Bond ™ Polymer Refine Detection). Negative control : No staining on human skeletal muscle (PMID : 9731071). The section was incubated with ab307846 for 30 mins at room temperature. The immunostaining was performed on a Leica Biosystems BOND® RX instrument. Counterstained with Hematoxylin. Secondary antibody only control : Secondary antibody is ready to use LeicaDS9800 (Bond ™ Polymer Refine Detection). Heat mediated antigen retrieval was performed with Tris-EDTA buffer (pH 9.0, Epitope Retrieval Solution2) for 20 mins.

Immunohistochemistry (Formalin/PFA-fixed paraffin-embedded sections) - Anti-SIGLEC5 antibody [RM2001] (AB307846)
  • IHC-P

Supplier Data

Immunohistochemistry (Formalin/PFA-fixed paraffin-embedded sections) - Anti-SIGLEC5 antibody [RM2001] (AB307846)

Immunohistochemical analysis of paraffin-embedded cell pellets labeling SIGLEC5 with ab307846 at 1/4000 dilution (0.122 µg/ml) followed by ready to use LeicaDS9800 (Bond ® Polymer Refine Detection). Positive staining on (A) HEK-293T transfected with a SIGLEC5 expression vector and (B) HEK-293T transfected with a SIGLEC14 expression vector, no staining on (C) HEK-293T transfected with empty vector. The section was incubated with ab307846 for 30 mins at room temperature. The immunostaining was performed on a Leica Biosystems BOND® RX instrument. Counterstained with Hematoxylin. Heat mediated antigen retrieval was performed with Tris-EDTA buffer (pH 9.0, Epitope Retrieval Solution2) for 20 mins.

Immunohistochemistry (Formalin/PFA-fixed paraffin-embedded sections) - Anti-SIGLEC5 antibody [RM2001] (AB307846)
  • IHC-P

Supplier Data

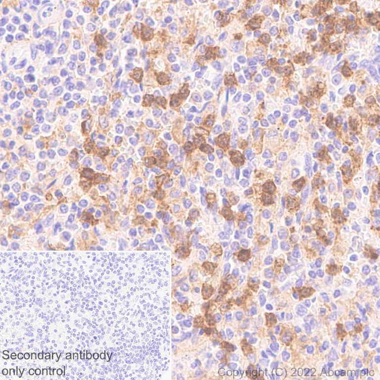
Immunohistochemistry (Formalin/PFA-fixed paraffin-embedded sections) - Anti-SIGLEC5 antibody [RM2001] (AB307846)

Immunohistochemical analysis of paraffin-embedded human spleen tissue labeling SIGLEC5 with ab307846 at 1/500 dilution (0.972 µg/ml) followed by ready to use LeicaDS9800 (Bond ™ Polymer Refine Detection). Positive staining on human spleen.  The section was incubated with ab307846 for 30 mins at room temperature. The immunostaining was performed on a Leica Biosystems BOND® RX instrument. Counterstained with Hematoxylin. Secondary antibody only control : Secondary antibody is ready to use LeicaDS9800 (Bond ™ Polymer Refine Detection). Heat mediated antigen retrieval was performed with Tris-EDTA buffer (pH 9.0, Epitope Retrieval Solution2) for 20 mins.

Flow Cytometry (Intracellular) - Anti-SIGLEC5 antibody [RM2001] (AB307846)
  • Flow Cyt (Intra)

Supplier Data

Flow Cytometry (Intracellular) - Anti-SIGLEC5 antibody [RM2001] (AB307846)

Flow cytometric analysis of HEK-293T (human embryonic kidney) cells transfected with human SIGLEC14 (Left) or SIGLEC5 (Right) expression vector containing GFP tag cells labeling SIGLEC5 and SIGLEC14 with ab307846 at 1/500 dilution (0.1µg). Goat anti-Rabbit IgG (Alexa Fluor® 647, ab150083) at 1/5000 dilution was used as the secondary antibody. Cross-react with SIGLEC14. Gated on viable cells.

Key facts

Host species

Rabbit

Clonality

Multiclonal

Clone number

RM2001

Isotype

IgG

Carrier free

No

Reacts with

Human

Applications

IHC-P, ICC/IF, Flow Cyt

applications

Immunogen

The exact immunogen used to generate this antibody is proprietary information.

Reactivity data

{ "title": "Reactivity Data", "filters": { "stats": ["", "Species", "Dilution Info", "Notes"], "tabs": { "all-applications": {"fullname" : "All Applications", "shortname": "All Applications"}, "IHCP" : {"fullname" : "Immunohistochemistry (Formalin/PFA-fixed paraffin-embedded sections)", "shortname":"IHC-P"}, "ICCIF" : {"fullname" : "Immunocytochemistry/ Immunofluorescence", "shortname":"ICC/IF"}, "FlowCyt" : {"fullname" : "Flow Cytometry", "shortname":"Flow Cyt"}, "WB" : {"fullname" : "Western blot", "shortname":"WB"}, "IP" : {"fullname" : "Immunoprecipitation", "shortname":"IP"} }, "product-promise": { "all": "all", "testedAndGuaranteed": "tested", "guaranteed": "expected", "predicted": "predicted", "notRecommended": "not-recommended" } }, "values": { "Human": { "IHCP-species-checked": "testedAndGuaranteed", "IHCP-species-dilution-info": "1/500", "IHCP-species-notes": "<p></p>", "ICCIF-species-checked": "testedAndGuaranteed", "ICCIF-species-dilution-info": "1/50", "ICCIF-species-notes": "<p></p>", "FlowCyt-species-checked": "testedAndGuaranteed", "FlowCyt-species-dilution-info": "1/500", "FlowCyt-species-notes": "<p></p>", "WB-species-checked": "notRecommended", "WB-species-dilution-info": "", "WB-species-notes": "<p></p>", "IP-species-checked": "notRecommended", "IP-species-dilution-info": "", "IP-species-notes": "<p></p>" }, "Mouse": { "IHCP-species-checked": "notRecommended", "IHCP-species-dilution-info": "", "IHCP-species-notes": "<p></p>", "ICCIF-species-checked": "notRecommended", "ICCIF-species-dilution-info": "", "ICCIF-species-notes": "", "FlowCyt-species-checked": "notRecommended", "FlowCyt-species-dilution-info": "", "FlowCyt-species-notes": "", "WB-species-checked": "notRecommended", "WB-species-dilution-info": "", "WB-species-notes": "<p></p>", "IP-species-checked": "notRecommended", "IP-species-dilution-info": "", "IP-species-notes": "" }, "Rat": { "IHCP-species-checked": "notRecommended", "IHCP-species-dilution-info": "", "IHCP-species-notes": "<p></p>", "ICCIF-species-checked": "notRecommended", "ICCIF-species-dilution-info": "", "ICCIF-species-notes": "", "FlowCyt-species-checked": "notRecommended", "FlowCyt-species-dilution-info": "", "FlowCyt-species-notes": "", "WB-species-checked": "notRecommended", "WB-species-dilution-info": "", "WB-species-notes": "<p></p>", "IP-species-checked": "notRecommended", "IP-species-dilution-info": "", "IP-species-notes": "" }, "Transfected cell line - Human": { "IHCP-species-checked": "testedAndGuaranteed", "IHCP-species-dilution-info": "1/4000", "IHCP-species-notes": "<p></p>", "ICCIF-species-checked": "testedAndGuaranteed", "ICCIF-species-dilution-info": "1/50", "ICCIF-species-notes": "<p></p>", "FlowCyt-species-checked": "testedAndGuaranteed", "FlowCyt-species-dilution-info": "1/500", "FlowCyt-species-notes": "<p></p>", "WB-species-checked": "notRecommended", "WB-species-dilution-info": "", "WB-species-notes": "", "IP-species-checked": "notRecommended", "IP-species-dilution-info": "", "IP-species-notes": "" } } }

Product details

What are recombinant multiclonals?
Recombinant multiclonals are a mixture of recombinant antibodies co-expressed from a library of heavy and light chains. They offer several advantages including:

  • - The sensitivity of polyclonal antibodies by recognising multiple epitopes
  • - High batch-to-batch consistency and reproducibility
  • - Improved sensitivity and specificity
  • - Long-term security of supply
  • - Animal-free batch production

View our range of recombinant multiclonal antibodies.

Patented technology
Our RabMAb® technology is a patented hybridoma-based technology for making rabbit monoclonal antibodies. For details on our patents, please refer to RabMAb® patents.

Properties and storage information

Form
Liquid
Purification technique
Affinity purification Protein A
Storage buffer
pH: 7.2 - 7.4 Preservative: 0.01% Sodium azide Constituents: PBS, 40% Glycerol (glycerin, glycerine), 0.05% BSA
Shipped at conditions
Blue Ice
Appropriate short-term storage duration
1-2 weeks
Appropriate short-term storage conditions
+4°C
Appropriate long-term storage conditions
-20°C
Aliquoting information
Upon delivery aliquot
Storage information
Avoid freeze / thaw cycle

Supplementary information

This supplementary information is collated from multiple sources and compiled automatically.

SIGLEC5 also known as CD170 is a sialic acid-binding Ig-like lectin with a molecular mass of approximately 96 kDa. This protein plays an important role in immune cell signaling by recognizing sialylated glycans on the surface of cells. SIGLEC5 is mainly expressed on immune cells such as neutrophils monocytes and macrophages. It belongs to the lectin family of proteins and can modulate immune responses and communication between cells.
Biological function summary

SIGLEC5 functions by mediating cell-cell interactions and transmitting inhibitory signals that regulate immune responses. It binds to sialic acid-containing glycoproteins which can help modulate the threshold for cell activation by transmitting signals through its immunoreceptor tyrosine-based inhibitory motif (ITIM). SIGLEC5 is not part of a large complex but interacts with other molecules to exert its function in maintaining immune cell balance.

Pathways

SIGLEC5 plays a role in immune signaling pathways by maintaining cell homeostasis. It contributes to the regulation of the immune response by modulating inhibitory signaling pathways. It is associated with proteins like Src family kinases which phosphorylate the ITIM motif to initiate downstream signaling cascades. Additionally its interaction with sialic acids allows modulation of the innate immune response to various stimuli.

SIGLEC5 has been linked to autoimmune diseases and infections like bacterial sepsis. In autoimmune conditions the dysregulation of SIGLEC5-associated pathways can lead to improper immune cell activation and tissue damage. In the context of bacterial sepsis SIGLEC5 assists in dampening excessive immune responses and limiting inflammation. SIGLEC5 connects with proteins like DAP12 where aberrations could also influence disease progressions making it a target of interest for potential therapeutic interventions.

Product protocols

For this product, it's our understanding that no specific protocols are required. You can visit:

Target data

Putative adhesion molecule that mediates sialic-acid dependent binding to cells. Binds equally to alpha-2,3-linked and alpha-2,6-linked sialic acid. The sialic acid recognition site may be masked by cis interactions with sialic acids on the same cell surface.
See full target information SIGLEC5

Product promise

We are committed to supporting your work with high-quality reagents, and we're here for you every step of the way. In the unlikely event that one of our products does not perform as expected, you're protected by our Product Promise.
For full details, please see our Terms & Conditions

Please note: All products are 'FOR RESEARCH USE ONLY. NOT FOR USE IN DIAGNOSTIC OR THERAPEUTIC PROCEDURES'.

For licensing inquiries, please contact partnerships@abcam.com