JavaScript is disabled in your browser. Please enable JavaScript to view this website.
AB197981

Anti-SIGLEC9 antibody

Be the first to review this product! Submit a review

|

(1 Publication)

Rabbit Polyclonal SIGLEC9 antibody. Suitable for WB, IHC-P and reacts with Human samples. Cited in 1 publication. Immunogen corresponding to Recombinant Fragment Protein within Human SIGLEC9.

View Alternative Names

CD329, UNQ668/PRO1302, SIGLEC9, Sialic acid-binding Ig-like lectin 9, Siglec-9, CDw329, Protein FOAP-9

2 Images
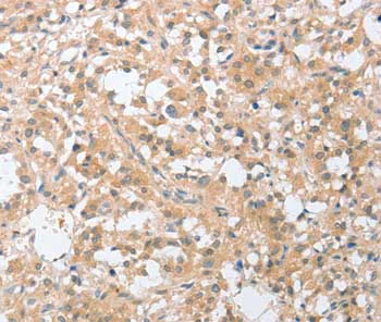
Immunohistochemistry (Formalin/PFA-fixed paraffin-embedded sections) - Anti-SIGLEC9 antibody (AB197981)
  • IHC-P

Supplier Data

Immunohistochemistry (Formalin/PFA-fixed paraffin-embedded sections) - Anti-SIGLEC9 antibody (AB197981)

Immunohistochemical analysis of paraffin-embedded Human thyroid cancer tissue labeling SIGLEC9 with ab197981 at 1/30 dilution.

Western blot - Anti-SIGLEC9 antibody (AB197981)
  • WB

Supplier Data

Western blot - Anti-SIGLEC9 antibody (AB197981)

6% SDS-PAGE

All lanes:

Western blot - Anti-SIGLEC9 antibody (ab197981) at 1/350 dilution

All lanes:

Jurkat cell lysate at 50 µg

Predicted band size: 50 kDa

false

Key facts

Host species

Rabbit

Clonality

Polyclonal

Isotype

IgG

Carrier free

No

Reacts with

Human

Applications

WB, IHC-P

applications

Immunogen

Recombinant Fragment Protein within Human SIGLEC9. The exact immunogen used to generate this antibody is proprietary information.

Q9Y336

Reactivity data

{ "title": "Reactivity Data", "filters": { "stats": ["", "Species", "Dilution Info", "Notes"], "tabs": { "all-applications": {"fullname" : "All Applications", "shortname": "All Applications"}, "WB" : {"fullname" : "Western blot", "shortname":"WB"}, "IHCP" : {"fullname" : "Immunohistochemistry (Formalin/PFA-fixed paraffin-embedded sections)", "shortname":"IHC-P"} }, "product-promise": { "all": "all", "testedAndGuaranteed": "tested", "guaranteed": "expected", "predicted": "predicted", "notRecommended": "not-recommended" } }, "values": { "Human": { "WB-species-checked": "testedAndGuaranteed", "WB-species-dilution-info": "1/200 - 1/1000", "WB-species-notes": "<p></p>", "IHCP-species-checked": "testedAndGuaranteed", "IHCP-species-dilution-info": "1/25 - 1/100", "IHCP-species-notes": "<p></p>" } } }

Properties and storage information

Form
Liquid
Purification technique
Affinity purification Immunogen
Storage buffer
pH: 7.4 Preservative: 0.05% Sodium azide Constituents: PBS, 50% Glycerol (glycerin, glycerine)
Shipped at conditions
Blue Ice
Appropriate short-term storage duration
1-2 weeks
Appropriate short-term storage conditions
+4°C
Appropriate long-term storage conditions
-20°C
Aliquoting information
Upon delivery aliquot
Storage information
Avoid freeze / thaw cycle

Supplementary information

This supplementary information is collated from multiple sources and compiled automatically.

SIGLEC9 also known as Sialic acid-binding Ig-like lectin 9 is a protein that plays a mechanical role in recognizing sialic acid-containing glycoproteins. It acts as an inhibitory receptor found on the surface of various immune cells primarily myeloid cells like neutrophils and monocytes. SIGLEC9 has a molecular weight of around 65 kilodaltons. This protein is predominantly expressed in hematopoietic tissues such as the spleen and bone marrow where the immune cells are common.
Biological function summary

This protein is involved in immune regulation helping to modulate immune responses and maintain self-tolerance to prevent autoimmunity. SIGLEC9 can recognize sialylated ligands on cell surfaces and interact with them to down-modulate immune cell activation. This protein is not known to be part of a specific complex but interacts directly with ligands on other cells influencing cellular communication and immune cell signaling within the microenvironment.

Pathways

SIGLEC9 participates primarily in the immune response pathway and interacts with pathways related to inflammation regulation. It works alongside proteins such as SIRPα which also plays a role in signaling pathways that result in immune cell inhibition. This coordination is critical to suppressing overactive immune responses and ensuring damage does not occur to host tissues during inflammation.

SIGLEC9 has been linked to chronic inflammatory conditions and autoimmune diseases. Its inhibitory function suggests that alterations in SIGLEC9 expression or function could contribute to disorders such as rheumatoid arthritis. Additionally SIGLEC9 might interact with proteins like CD33 which is implicated in similar immune response pathways. Targeting SIGLEC9 offers potential avenues for therapeutic intervention in diseases characterized by dysregulated immune responses.

Product protocols

For this product, it's our understanding that no specific protocols are required. You can visit:

Target data

Putative adhesion molecule that mediates sialic-acid dependent binding to cells. Preferentially binds to alpha-2,3- or alpha-2,6-linked sialic acid. The sialic acid recognition site may be masked by cis interactions with sialic acids on the same cell surface.
See full target information SIGLEC9

Publications (1)

Recent publications for all applications. Explore the full list and refine your search

Haematologica : PubMed40820727

2025

Single-cell RNA sequencing reveals heterogeneity of mucosa-associated invariant T cells in donor grafts and its diagnostic relevance in gastrointestinal graft--host disease.

Applications

Unspecified application

Species

Unspecified reactive species

Mengge Gao,Kainan Zhang,Siqi Li,Huidong Guo,Yuqian Sun,Jun Kong,Tingting Han,Yingjun Chang,Xiaojun Huang,Xiaosu Zhao
View all publications

Product promise

We are committed to supporting your work with high-quality reagents, and we're here for you every step of the way. In the unlikely event that one of our products does not perform as expected, you're protected by our Product Promise.
For full details, please see our Terms & Conditions

Please note: All products are 'FOR RESEARCH USE ONLY. NOT FOR USE IN DIAGNOSTIC OR THERAPEUTIC PROCEDURES'.

For licensing inquiries, please contact partnerships@abcam.com