JavaScript is disabled in your browser. Please enable JavaScript to view this website.
AB223702

Anti-Sigma1-receptor antibody

5

(1 Review)

|

(1 Publication)

Rabbit Polyclonal Sigma1-receptor antibody. Suitable for IHC-P, WB and reacts with Human samples. Cited in 1 publication. Immunogen corresponding to Recombinant Fragment Protein within Human SIGMAR1 aa 1-100.

View Alternative Names

OPRS1, SRBP, AAG8, SIGMAR1, Sigma non-opioid intracellular receptor 1, Aging-associated gene 8 protein, SR31747-binding protein, Sigma 1-type opioid receptor, SR-BP, SIG-1R, Sigma1-receptor, Sigma1R, hSigmaR1

6 Images
Immunohistochemistry (Formalin/PFA-fixed paraffin-embedded sections) - Anti-Sigma1-receptor antibody (AB223702)
  • IHC-P

Supplier Data

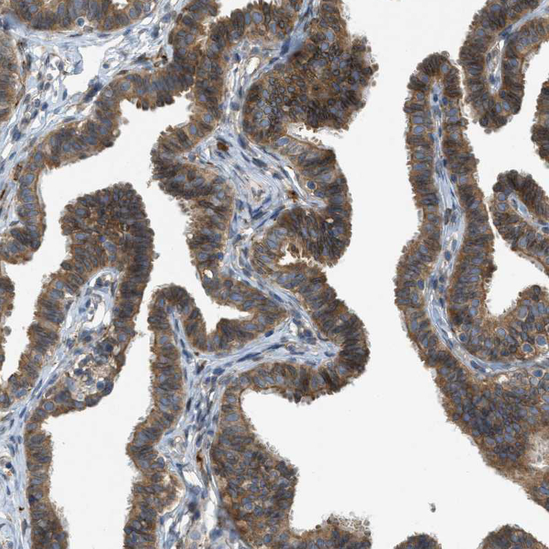
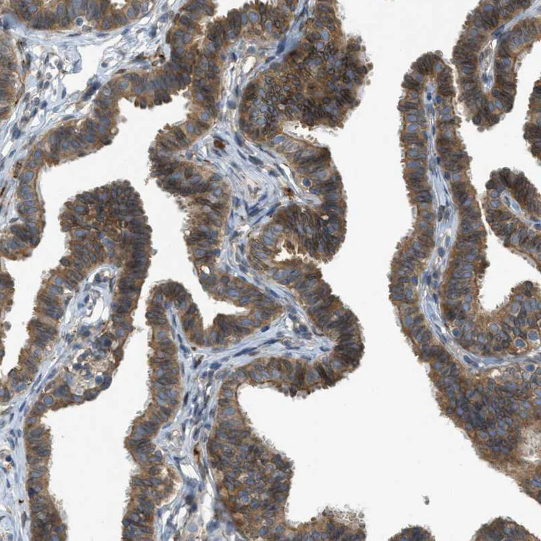
Immunohistochemistry (Formalin/PFA-fixed paraffin-embedded sections) - Anti-Sigma1-receptor antibody (AB223702)

Immunohistochemical analysis of Formalin fixed, Paraffin-embedded human Fallopian tube tissue labeling Sigma 1-receptor with ab223702 at 1/20 dilution. Antigen retrieval was heat mediated with citrate buffer pH 6 before commencing with IHC staining protocol.

Immunohistochemistry (Formalin/PFA-fixed paraffin-embedded sections) - Anti-Sigma1-receptor antibody (AB223702)
  • IHC-P

Supplier Data

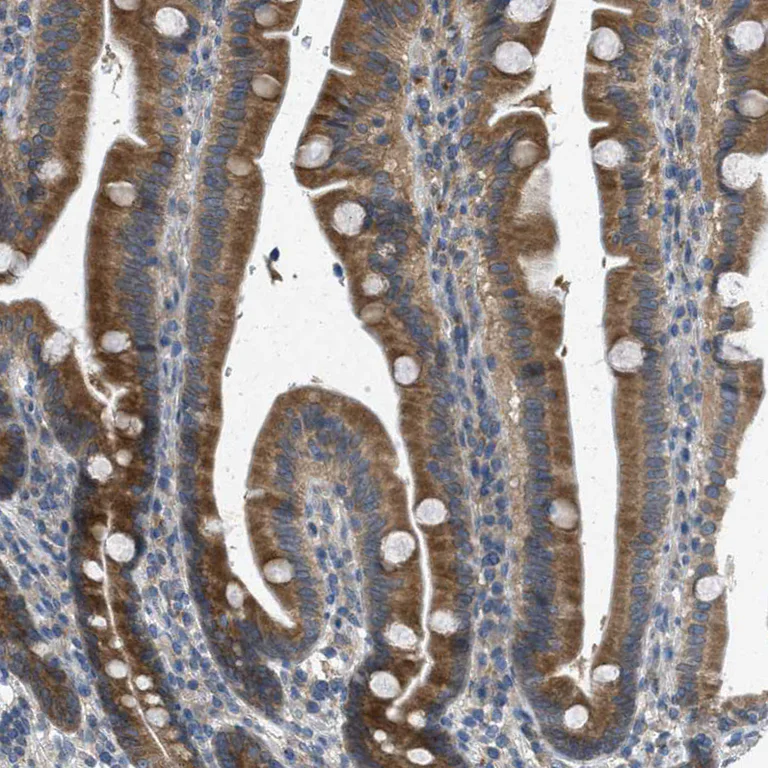
Immunohistochemistry (Formalin/PFA-fixed paraffin-embedded sections) - Anti-Sigma1-receptor antibody (AB223702)

Immunohistochemical analysis of Formalin fixed, Paraffin-embedded human gastrointestinal tissue labeling Sigma 1-receptor with ab223702 at 1/20 dilution. Antigen retrieval was heat mediated with citrate buffer pH 6 before commencing with IHC staining protocol.

Immunohistochemistry (Formalin/PFA-fixed paraffin-embedded sections) - Anti-Sigma1-receptor antibody (AB223702)
  • IHC-P

Supplier Data

Immunohistochemistry (Formalin/PFA-fixed paraffin-embedded sections) - Anti-Sigma1-receptor antibody (AB223702)

Immunohistochemical analysis of Formalin fixed, Paraffin-embedded human cerebellum tissue labeling Sigma 1-receptor with ab223702 at 1/20 dilution. Antigen retrieval was heat mediated with citrate buffer pH 6 before commencing with IHC staining protocol.

Immunohistochemistry (Formalin/PFA-fixed paraffin-embedded sections) - Anti-Sigma1-receptor antibody (AB223702)
  • IHC-P

Supplier Data

Immunohistochemistry (Formalin/PFA-fixed paraffin-embedded sections) - Anti-Sigma1-receptor antibody (AB223702)

Immunohistochemical analysis of Formalin fixed, Paraffin-embedded human liver tissue labeling Sigma 1-receptor with ab223702 at 1/20 dilution. Antigen retrieval was heat mediated with citrate buffer pH 6 before commencing with IHC staining protocol.

Western blot - Anti-Sigma1-receptor antibody (AB223702)
  • WB

Lab

Western blot - Anti-Sigma1-receptor antibody (AB223702)

Lanes 1 - 4 : Merged signal (red and green). Green - ab223702 observed at 24 kDa. Red - loading control ab7291 (Mouse anti-Alpha Tubulin [DM1A]) observed at 55 kDa.

ab223702 was shown to react with Sigma1-receptor in wild-type HEK-293T cells in Western blot with loss of signal observed in SIGMAR1 knockout cell line ab266619 (SIGMAR1 knockout cell lysate ab258666). Wild-type HEK-293T and SIGMAR1 knockout cell lysates were subjected to SDS-PAGE. Membranes were blocked in 3 % milk in TBS-T (0.1 % Tween®) before incubation with ab223702 and ab7291 (Mouse anti-Alpha Tubulin [DM1A]) overnight at 4 °C at 0.04 μg/ml and a 1 in 20000 dilution respectively. Blots were incubated with Goat anti-Rabbit IgG H&L (IRDye® 800CW) preabsorbed (ab216773) and Goat anti-Mouse IgG H&L (IRDye® 680RD) preabsorbed (ab216776) secondary antibodies at 1 in 20000 dilution for 1 h at room temperature before imaging.

Lanes 1 - 4:

Western blot - Anti-Sigma1-receptor antibody (<a href='/en-us/products/primary-antibodies/sigma1-receptor-antibody-ab151288'>ab151288</a>) at 1/500 dilution

Lanes 1 - 4:

Western blot - Anti-Sigma1-receptor antibody (ab223702) at 0.04 µg/mL

Lane 1:

Wild-type HEK-293T cell lysate at 20 µg

Lane 2:

SIGMAR1 knockout HEK-293T cell lysate at 20 µg

Lane 2:

Western blot - Human SIGMAR1 (Sigma1-receptor) knockout HEK-293T cell line (<a href='/en-us/products/cell-lines/human-sigmar1-sigma1-receptor-knockout-hek-293t-cell-line-ab266619'>ab266619</a>)

Lane 3:

HeLa cell lysate at 20 µg

Lane 4:

Caco-2 cell lysate at 20 µg

Predicted band size: 25 kDa

Observed band size: 24 kDa

false

Western blot - Anti-Sigma1-receptor antibody (AB223702)
  • WB

Supplier Data

Western blot - Anti-Sigma1-receptor antibody (AB223702)

All lanes:

Western blot - Anti-Sigma1-receptor antibody (ab223702) at 1/100 dilution

All lanes:

HeLa (human epithelial cell line from cervix adenocarcinoma) cell lysate

Predicted band size: 25 kDa

false

Key facts

Host species

Rabbit

Clonality

Polyclonal

Isotype

IgG

Carrier free

No

Reacts with

Human

Applications

IHC-P, WB

applications

Immunogen

Recombinant Fragment Protein within Human SIGMAR1 aa 1-100. The exact immunogen used to generate this antibody is proprietary information.

Q99720

Reactivity data

{ "title": "Reactivity Data", "filters": { "stats": ["", "Species", "Dilution Info", "Notes"], "tabs": { "all-applications": {"fullname" : "All Applications", "shortname": "All Applications"}, "IHCP" : {"fullname" : "Immunohistochemistry (Formalin/PFA-fixed paraffin-embedded sections)", "shortname":"IHC-P"}, "WB" : {"fullname" : "Western blot", "shortname":"WB"} }, "product-promise": { "all": "all", "testedAndGuaranteed": "tested", "guaranteed": "expected", "predicted": "predicted", "notRecommended": "not-recommended" } }, "values": { "Human": { "IHCP-species-checked": "testedAndGuaranteed", "IHCP-species-dilution-info": "1/20 - 1/50", "IHCP-species-notes": "<p></p> Perform heat-mediated antigen retrieval with citrate buffer pH 6 before commencing with IHC staining protocol.", "WB-species-checked": "testedAndGuaranteed", "WB-species-dilution-info": "0.04-0.4 µg/mL", "WB-species-notes": "<p></p>" }, "Mouse": { "IHCP-species-checked": "predicted", "IHCP-species-dilution-info": "", "IHCP-species-notes": "", "WB-species-checked": "predicted", "WB-species-dilution-info": "", "WB-species-notes": "" }, "Rat": { "IHCP-species-checked": "predicted", "IHCP-species-dilution-info": "", "IHCP-species-notes": "", "WB-species-checked": "predicted", "WB-species-dilution-info": "", "WB-species-notes": "" }, "Cow": { "IHCP-species-checked": "predicted", "IHCP-species-dilution-info": "", "IHCP-species-notes": "", "WB-species-checked": "predicted", "WB-species-dilution-info": "", "WB-species-notes": "" }, "Guinea pig": { "IHCP-species-checked": "predicted", "IHCP-species-dilution-info": "", "IHCP-species-notes": "", "WB-species-checked": "predicted", "WB-species-dilution-info": "", "WB-species-notes": "" } } }

Properties and storage information

Form
Liquid
Purification technique
Affinity purification Immunogen
Storage buffer
pH: 7.2 Preservative: 0.02% Sodium azide Constituents: PBS, 40% Glycerol (glycerin, glycerine)
Shipped at conditions
Blue Ice
Appropriate short-term storage duration
1-2 weeks
Appropriate short-term storage conditions
+4°C
Appropriate long-term storage conditions
-20°C
Aliquoting information
Upon delivery aliquot
Storage information
Avoid freeze / thaw cycle

Product protocols

For this product, it's our understanding that no specific protocols are required. You can visit:

Target data

Functions in lipid transport from the endoplasmic reticulum and is involved in a wide array of cellular functions probably through regulation of the biogenesis of lipid microdomains at the plasma membrane. Involved in the regulation of different receptors it plays a role in BDNF signaling and EGF signaling. Also regulates ion channels like the potassium channel and could modulate neurotransmitter release. Plays a role in calcium signaling through modulation together with ANK2 of the ITP3R-dependent calcium efflux at the endoplasmic reticulum. Plays a role in several other cell functions including proliferation, survival and death. Originally identified for its ability to bind various psychoactive drugs it is involved in learning processes, memory and mood alteration (PubMed : 16472803, PubMed : 9341151). Necessary for proper mitochondrial axonal transport in motor neurons, in particular the retrograde movement of mitochondria. Plays a role in protecting cells against oxidative stress-induced cell death via its interaction with RNF112 (By similarity).
See full target information SIGMAR1

Publications (1)

Recent publications for all applications. Explore the full list and refine your search

Reproduction (Cambridge, England) 167: PubMed38236723

2024

Decreased NSD2 impairs stromal cell proliferation in human endometrium via reprogramming H3K36me2.

Applications

Unspecified application

Species

Unspecified reactive species

Chuan-Mei Qin,Xiao-Wei Wei,Jia-Yi Wu,Xue-Qing Liu,Yi Lin
View all publications

Product promise

We are committed to supporting your work with high-quality reagents, and we're here for you every step of the way. In the unlikely event that one of our products does not perform as expected, you're protected by our Product Promise.
For full details, please see our Terms & Conditions

Please note: All products are 'FOR RESEARCH USE ONLY. NOT FOR USE IN DIAGNOSTIC OR THERAPEUTIC PROCEDURES'.

For licensing inquiries, please contact partnerships@abcam.com