JavaScript is disabled in your browser. Please enable JavaScript to view this website.
AB273058

Anti-Sigma1-receptor antibody [EPR23266-69] - BSA and Azide free

  • BOND RX™ Validated
  • RabMAb
  • Recombinant
  • KO Validated
  • What is this?

Be the first to review this product! Submit a review

|

(0 Publication)

Rabbit Recombinant Monoclonal Sigma1-receptor antibody. Carrier free. Suitable for IHC-P, WB, Flow Cyt (Intra) and reacts with Human, Rat samples.

View Alternative Names

OPRS1, SRBP, AAG8, SIGMAR1, Sigma non-opioid intracellular receptor 1, Aging-associated gene 8 protein, SR31747-binding protein, Sigma 1-type opioid receptor, SR-BP, SIG-1R, Sigma1-receptor, Sigma1R, hSigmaR1

6 Images
Flow Cytometry (Intracellular) - Anti-Sigma1-receptor antibody [EPR23266-69] - BSA and Azide free (AB273058)
  • Flow Cyt (Intra)

Unknown

Flow Cytometry (Intracellular) - Anti-Sigma1-receptor antibody [EPR23266-69] - BSA and Azide free (AB273058)

Intracellular flow cytometric analysis of 4% paraformaldehyde fixed 90% methanol permeabilized HT-29 (Human colorectal adenocarcinoma epithelial cell) cells labelling Sigma1-receptor with ab253192 at 1/600 dilution (0.1ug) (Red) compared with a Rabbit monoclonal IgG (ab172730) (Black) isotype control and an unlabelled control (cells without incubation with primary antibody and secondary antibody) (Blue). A Goat anti rabbit IgG (Alexa Fluor® 488, ab150077) at 1/2000 dilution was used as the secondary antibody. This data was developed using the same antibody clone in a different buffer formulation containing PBS, BSA, glycerol, and sodium azide (ab253192).

Immunohistochemistry (Formalin/PFA-fixed paraffin-embedded sections) - Anti-Sigma1-receptor antibody [EPR23266-69] - BSA and Azide free (AB273058)
  • IHC-P

Unknown

Immunohistochemistry (Formalin/PFA-fixed paraffin-embedded sections) - Anti-Sigma1-receptor antibody [EPR23266-69] - BSA and Azide free (AB273058)

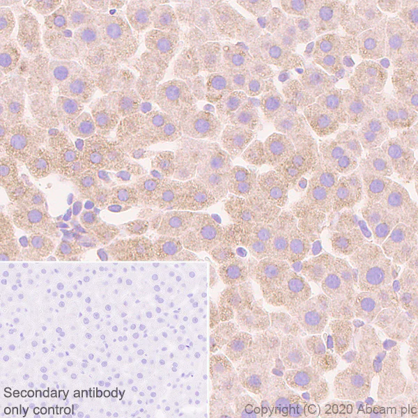
Immunohistochemical analysis of paraffin-embedded Human liver tissue labeling Sigma1-receptor with ab253192 at 1/500 dilution (1.23 ug/ml) followed by a ready to use Rabbit specific IHC polymer detection kit HRP/DAB (ab209101). Positive staining on human liver (PMID : 8954936). The section was incubated with ab253192 for 30 mins at room temperature. The immunostaining was performed on a Leica Biosystems BOND® RX instrument. Counterstained with Hematoxylin.

Secondary antibody only control : Secondary antibody is a ready to use Rabbit specific IHC polymer detection kit HRP/DAB (ab209101).

Heat mediated antigen retrieval with Citrate buffer (pH 6.0, epitope retrieval solution 1) for 20 mins

This data was developed using the same antibody clone in a different buffer formulation containing PBS, BSA, glycerol, and sodium azide (ab253192).

Immunohistochemistry (Formalin/PFA-fixed paraffin-embedded sections) - Anti-Sigma1-receptor antibody [EPR23266-69] - BSA and Azide free (AB273058)
  • IHC-P

Unknown

Immunohistochemistry (Formalin/PFA-fixed paraffin-embedded sections) - Anti-Sigma1-receptor antibody [EPR23266-69] - BSA and Azide free (AB273058)

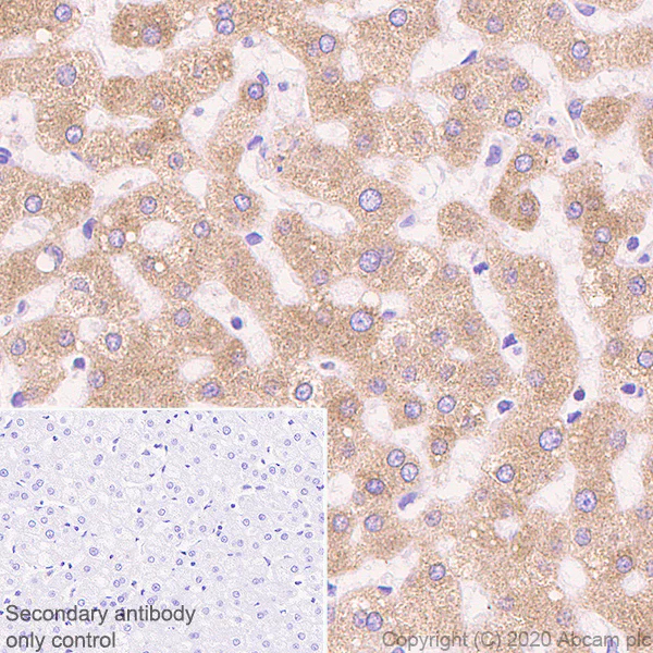
Immunohistochemical analysis of paraffin-embedded Rat liver tissue labeling Sigma1-receptor with ab253192 at 1/500 dilution (1.23 ug/ml) followed by a ready to use Rabbit specific IHC polymer detection kit HRP/DAB (ab209101). Positive staining on rat liver (PMID : 8954936). The section was incubated with ab253192 for 30 mins at room temperature. The immunostaining was performed on a Leica Biosystems BOND® RX instrument. Counterstained with Hematoxylin.

Secondary antibody only control : Secondary antibody is a ready to use Rabbit specific IHC polymer detection kit HRP/DAB (ab209101).

Heat mediated antigen retrieval with Citrate buffer (pH 6.0, epitope retrieval solution 1) for 20 mins

This data was developed using the same antibody clone in a different buffer formulation containing PBS, BSA, glycerol, and sodium azide (ab253192).

Immunohistochemistry (Formalin/PFA-fixed paraffin-embedded sections) - Anti-Sigma1-receptor antibody [EPR23266-69] - BSA and Azide free (AB273058)
  • IHC-P

Unknown

Immunohistochemistry (Formalin/PFA-fixed paraffin-embedded sections) - Anti-Sigma1-receptor antibody [EPR23266-69] - BSA and Azide free (AB273058)

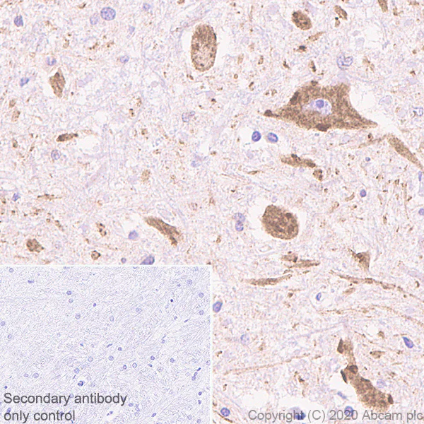
Immunohistochemical analysis of paraffin-embedded Rat spinal cord tissue labeling Sigma1-receptor with ab253192 at 1/500 dilution (1.23 ug/ml) followed by a ready to use Rabbit specific IHC polymer detection kit HRP/DAB (ab209101). Positive staining on rat spinal cord (PMID : 23314020). The section was incubated with ab253192 for 30 mins at room temperature. The immunostaining was performed on a Leica Biosystems BOND® RX instrument. Counterstained with Hematoxylin.

Secondary antibody only control : Secondary antibody is a ready to use Rabbit specific IHC polymer detection kit HRP/DAB (ab209101).

Heat mediated antigen retrieval with Citrate buffer (pH 6.0, epitope retrieval solution 1) for 20 mins

This data was developed using the same antibody clone in a different buffer formulation containing PBS, BSA, glycerol, and sodium azide (ab253192).

Immunohistochemistry (Formalin/PFA-fixed paraffin-embedded sections) - Anti-Sigma1-receptor antibody [EPR23266-69] - BSA and Azide free (AB273058)
  • IHC-P

Unknown

Immunohistochemistry (Formalin/PFA-fixed paraffin-embedded sections) - Anti-Sigma1-receptor antibody [EPR23266-69] - BSA and Azide free (AB273058)

Immunohistochemical analysis of paraffin-embedded Human spinal cord tissue labeling Sigma1-receptor with ab253192 at 1/500 (1.23 ug/ml) dilution followed by a ready to use Rabbit specific IHC polymer detection kit HRP/DAB (ab209101). Positive staining on human spinal cord (PMID : 23314020). The section was incubated with ab253192 for 30 mins at room temperature. The immunostaining was performed on a Leica Biosystems BOND® RX instrument. Counterstained with Hematoxylin.

Secondary antibody only control : Secondary antibody is a ready to use Rabbit specific IHC polymer detection kit HRP/DAB (ab209101).

Heat mediated antigen retrieval with Citrate buffer (pH 6.0, epitope retrieval solution 1) for 20 mins

This data was developed using the same antibody clone in a different buffer formulation containing PBS, BSA, glycerol, and sodium azide (ab253192).

Western blot - Anti-Sigma1-receptor antibody [EPR23266-69] - BSA and Azide free (AB273058)
  • WB

Lab

Western blot - Anti-Sigma1-receptor antibody [EPR23266-69] - BSA and Azide free (AB273058)

This data was developed using the same antibody clone in a different buffer formulation (ab253192).

Lanes 1 - 4 : Merged signal (red and green). Green - ab253192 observed at 24 kDa. Red - loading control ab7291 (Mouse anti-Alpha Tubulin [DM1A]) observed at 55 kDa.

ab253192 was shown to react with Sigma1-receptor in wild-type HEK-293T cells in Western blot with loss of signal observed in SIGMAR1 knockout cell line ab266619 (SIGMAR1 knockout cell lysate ab258666). Wild-type HEK-293T and SIGMAR1 knockout cell lysates were subjected to SDS-PAGE. Membranes were blocked in 3 % milk in TBS-T (0.1 % Tween®) before incubation with ab253192 and ab7291 (Mouse anti-Alpha Tubulin [DM1A]) overnight at 4 °C at a 1 in 1000 dilution and a 1 in 20000 dilution respectively. Blots were incubated with Goat anti-Rabbit IgG H&L (IRDye® 800CW) preabsorbed (ab216773) and Goat anti-Mouse IgG H&L (IRDye® 680RD) preabsorbed (ab216776) secondary antibodies at 1 in 20000 dilution for 1 h at room temperature before imaging.

All lanes:

Western blot - Anti-Sigma1-receptor antibody [EPR23266-69] (<a href='/en-us/products/primary-antibodies/sigma1-receptor-antibody-epr23266-69-ab253192'>ab253192</a>) at 1/1000 dilution

Lane 1:

Wild-type HEK-293T cell lysate at 20 µg

Lane 2:

Western blot - Human SIGMAR1 (Sigma1-receptor) knockout HEK-293T cell lysate (<a href='/en-us/products/cell-lysates/human-sigmar1-sigma1-receptor-knockout-hek-293t-cell-lysate-ab258666'>ab258666</a>) at 20 µg

Lane 3:

HeLa cell lysate at 20 µg

Lane 4:

Caco-2 cell lysate at 20 µg

Predicted band size: 25 kDa

Observed band size: 24 kDa,55 kDa

false

Key facts

Host species

Rabbit

Clonality

Monoclonal

Clone number

EPR23266-69

Isotype

IgG

Carrier free

Yes

Reacts with

Rat, Human

Applications

WB, Flow Cyt (Intra), IHC-P

applications

Immunogen

The exact immunogen used to generate this antibody is proprietary information.

Reactivity data

{ "title": "Reactivity Data", "filters": { "stats": ["", "Species", "Dilution Info", "Notes"], "tabs": { "all-applications": {"fullname" : "All Applications", "shortname": "All Applications"}, "IHCP" : {"fullname" : "Immunohistochemistry (Formalin/PFA-fixed paraffin-embedded sections)", "shortname":"IHC-P"}, "IP" : {"fullname" : "Immunoprecipitation", "shortname":"IP"}, "WB" : {"fullname" : "Western blot", "shortname":"WB"}, "ICCIF" : {"fullname" : "Immunocytochemistry/ Immunofluorescence", "shortname":"ICC/IF"}, "FlowCytIntra" : {"fullname" : "Flow Cytometry (Intracellular)", "shortname":"Flow Cyt (Intra)"} }, "product-promise": { "all": "all", "testedAndGuaranteed": "tested", "guaranteed": "expected", "predicted": "predicted", "notRecommended": "not-recommended" } }, "values": { "Human": { "IHCP-species-checked": "testedAndGuaranteed", "IHCP-species-dilution-info": "", "IHCP-species-notes": "<p></p>", "IP-species-checked": "notRecommended", "IP-species-dilution-info": "", "IP-species-notes": "<p></p>", "WB-species-checked": "testedAndGuaranteed", "WB-species-dilution-info": "", "WB-species-notes": "<p></p>", "ICCIF-species-checked": "notRecommended", "ICCIF-species-dilution-info": "", "ICCIF-species-notes": "<p></p>", "FlowCytIntra-species-checked": "testedAndGuaranteed", "FlowCytIntra-species-dilution-info": "", "FlowCytIntra-species-notes": "<p></p>" }, "Mouse": { "IHCP-species-checked": "notRecommended", "IHCP-species-dilution-info": "", "IHCP-species-notes": "<p></p>", "IP-species-checked": "notRecommended", "IP-species-dilution-info": "", "IP-species-notes": "<p></p>", "WB-species-checked": "notRecommended", "WB-species-dilution-info": "", "WB-species-notes": "<p></p>", "ICCIF-species-checked": "notRecommended", "ICCIF-species-dilution-info": "", "ICCIF-species-notes": "<p></p>", "FlowCytIntra-species-checked": "notRecommended", "FlowCytIntra-species-dilution-info": "", "FlowCytIntra-species-notes": "" }, "Rat": { "IHCP-species-checked": "testedAndGuaranteed", "IHCP-species-dilution-info": "", "IHCP-species-notes": "<p></p>", "IP-species-checked": "notRecommended", "IP-species-dilution-info": "", "IP-species-notes": "<p></p>", "WB-species-checked": "testedAndGuaranteed", "WB-species-dilution-info": "", "WB-species-notes": "<p></p>", "ICCIF-species-checked": "notRecommended", "ICCIF-species-dilution-info": "", "ICCIF-species-notes": "<p></p>", "FlowCytIntra-species-checked": "guaranteed", "FlowCytIntra-species-dilution-info": "", "FlowCytIntra-species-notes": "" } } }

Product details

ab273058 is the carrier-free version of ab253192.

Patented technology
Our RabMAb® technology is a patented hybridoma-based technology for making rabbit monoclonal antibodies. For details on our patents, please refer to RabMAb® patents.

What are the advantages of a recombinant monoclonal antibody?
This product is a recombinant monoclonal antibody, which offers several advantages including:

  • - High batch-to-batch consistency and reproducibility
  • - Improved sensitivity and specificity
  • - Long-term security of supply
  • - Animal-free batch production

For more information, read more on recombinant antibodies.

Conjugation ready
Our carrier-free antibodies are typically supplied in a PBS-only formulation, purified and free of BSA, sodium azide and glycerol. This conjugation-ready format is designed for use with fluorochromes, metal isotopes, oligonucleotides, and enzymes, which makes them ideal for antibody labelling, functional and cell-based assays, flow-based assays (e.g. mass cytometry) and Multiplex Imaging applications.

Use our conjugation kits for antibody conjugates that are ready-to-use in as little as 20 minutes with 1 minute hands-on-time and 100% antibody recovery: available for fluorescent dyes, HRP, biotin and gold.

Compatibility
This product is compatible with the Maxpar® Antibody Labeling Kit from Fluidigm, without the need for antibody preparation. Maxpar® is a trademark of Fluidigm Canada Inc.

Properties and storage information

Form
Liquid
Purification technique
Affinity purification Protein A
Storage buffer
pH: 7.2 - 7.4 Constituents: PBS
Shipped at conditions
Blue Ice
Appropriate short-term storage conditions
+4°C
Appropriate long-term storage conditions
+4°C
Storage information
Do Not Freeze

Product protocols

For this product, it's our understanding that no specific protocols are required. You can visit:

Target data

Functions in lipid transport from the endoplasmic reticulum and is involved in a wide array of cellular functions probably through regulation of the biogenesis of lipid microdomains at the plasma membrane. Involved in the regulation of different receptors it plays a role in BDNF signaling and EGF signaling. Also regulates ion channels like the potassium channel and could modulate neurotransmitter release. Plays a role in calcium signaling through modulation together with ANK2 of the ITP3R-dependent calcium efflux at the endoplasmic reticulum. Plays a role in several other cell functions including proliferation, survival and death. Originally identified for its ability to bind various psychoactive drugs it is involved in learning processes, memory and mood alteration (PubMed : 16472803, PubMed : 9341151). Necessary for proper mitochondrial axonal transport in motor neurons, in particular the retrograde movement of mitochondria. Plays a role in protecting cells against oxidative stress-induced cell death via its interaction with RNF112 (By similarity).
See full target information SIGMAR1

Product promise

We are committed to supporting your work with high-quality reagents, and we're here for you every step of the way. In the unlikely event that one of our products does not perform as expected, you're protected by our Product Promise.
For full details, please see our Terms & Conditions

Please note: All products are 'FOR RESEARCH USE ONLY. NOT FOR USE IN DIAGNOSTIC OR THERAPEUTIC PROCEDURES'.

For licensing inquiries, please contact partnerships@abcam.com