JavaScript is disabled in your browser. Please enable JavaScript to view this website.
AB290756

Anti-SIK3 antibody [EPR23554-71] - BSA and Azide free

Be the first to review this product! Submit a review

|

(0 Publication)

Rabbit Recombinant Monoclonal SIK3 antibody. Carrier free. Suitable for ICC/IF, IP, WB, IHC-P, Flow Cyt (Intra) and reacts with Mouse, Rat, Human samples.

View Alternative Names

Kiaa0999, Qsk, Sik3, Serine/threonine-protein kinase SIK3, Salt-inducible kinase 3, Serine/threonine-protein kinase QSK, SIK-3

7 Images
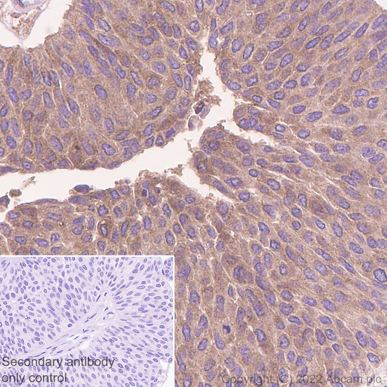
Immunohistochemistry (Formalin/PFA-fixed paraffin-embedded sections) - Anti-SIK3 antibody [EPR23554-71] - BSA and Azide free (AB290756)
  • IHC-P

Supplier Data

Immunohistochemistry (Formalin/PFA-fixed paraffin-embedded sections) - Anti-SIK3 antibody [EPR23554-71] - BSA and Azide free (AB290756)

This data was developed using ab255701, the same antibody clone in a different buffer formulation.

Immunohistochemical analysis of paraffin-embedded Human bladder cancer tissue labelling SIK3 with ab255701 at 1/100 (5.85 ug/ml) followed by a ready to use Rabbit specific IHC polymer detection kit HRP/DAB (ab209101). Cytoplasmic staining in human bladder cancer. The section was incubated with ab255701 for 30 mins at room temperature. The immunostaining was performed on a Leica Biosystems BOND® RX instrument Counterstained with Hematoxylin.

Secondary antibody only control : Secondary antibody is a ready to use Rabbit specific IHC polymer detection kit HRP/DAB (ab209101).

Heat mediated antigen retrieval with Tris-EDTA buffer (pH 9.0, epitope retrieval solution2) for 20 mins

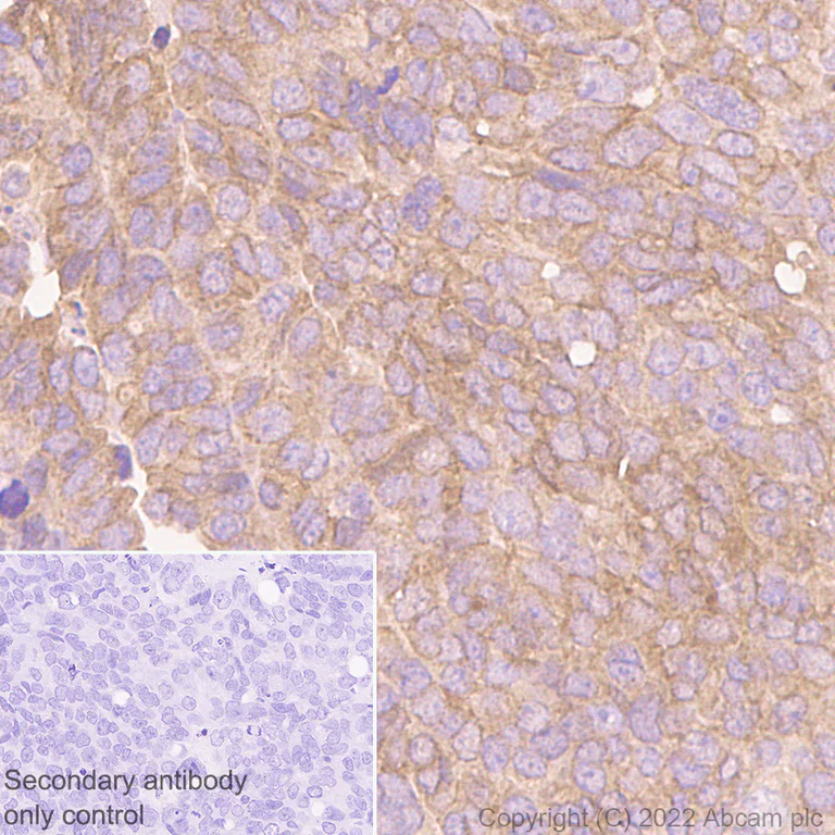
Immunohistochemistry (Formalin/PFA-fixed paraffin-embedded sections) - Anti-SIK3 antibody [EPR23554-71] - BSA and Azide free (AB290756)
  • IHC-P

Supplier Data

Immunohistochemistry (Formalin/PFA-fixed paraffin-embedded sections) - Anti-SIK3 antibody [EPR23554-71] - BSA and Azide free (AB290756)

This data was developed using ab255701, the same antibody clone in a different buffer formulation.

Immunohistochemical analysis of paraffin-embedded Human ovarian cancer tissue labelling SIK3 with ab255701 at 1/100 (5.85 ug/ml) followed by a ready to use Rabbit specific IHC polymer detection kit HRP/DAB (ab209101). Cytoplasmic staining in human ovarian cancer (PMID : 21399663). The section was incubated with ab255701 for 30 mins at room temperature. The immunostaining was performed on a Leica Biosystems BOND® RX instrument Counterstained with Hematoxylin.

Secondary antibody only control : Secondary antibody is a ready to use Rabbit specific IHC polymer detection kit HRP/DAB (ab209101).

Heat mediated antigen retrieval with Tris-EDTA buffer (pH 9.0, epitope retrieval solution2) for 20 mins

Immunocytochemistry/ Immunofluorescence - Anti-SIK3 antibody [EPR23554-71] - BSA and Azide free (AB290756)
  • ICC/IF

Supplier Data

Immunocytochemistry/ Immunofluorescence - Anti-SIK3 antibody [EPR23554-71] - BSA and Azide free (AB290756)

This data was developed using ab255701, the same antibody clone in a different buffer formulation.

Immunofluorescent analysis of 4% Paraformaldehyde-fixed, 0.1% TritonX-100 permeabilized Neuro-2a (mouse neuroblastoma neuroblast) cells lebelling SIK3 with ab255701 at 1/50 (11.7 ug/ml) dilution, followed by ab150081 Goat Anti-Rabbit IgG H&L (Alexa Fluor® 488) preadsorbed antibody at 1/1000 (2ug/mL) dilution (Green). Confocal image showing cytoplasmic staining in Neuro-2a cell line is observed. ab195889 Anti-alpha Tubulin mouse monoclonal antibody - Microtubule Marker (Alexa Fluor® 594) was used to counterstain tubulin at 1/200 (2.5ug/ml) dilution (Red). The Nuclear counterstain was DAPI (Blue).

Secondary antibody only control : Secondary antibody is ab150081 Goat Anti-Rabbit IgG H&L (Alexa Fluor® 488) preadsorbed at 1/1000 (2ug/mL) dilution.

Flow Cytometry (Intracellular) - Anti-SIK3 antibody [EPR23554-71] - BSA and Azide free (AB290756)
  • Flow Cyt (Intra)

Lab

Flow Cytometry (Intracellular) - Anti-SIK3 antibody [EPR23554-71] - BSA and Azide free (AB290756)

This data was developed using ab255701, the same antibody clone in a different buffer formulation.

Intracellular flow cytometric analysis of 4% paraformaldehyde fixed 90% methanol permeabilized Neuro-2a (Mouse neuroblastoma neuroblast) cells labelling SIK3 with ab255701 at 1/50 dilution (1ug) (Red) compared with a Rabbit monoclonal IgG (ab172730) (Black) isotype control and an unlabelled control (cells without incubation with primary antibody and secondary antibody) (Blue). A Goat Anti-Rabbit IgG (Alexa Fluor® 488, ab150081) at 1/2000 dilution was used as the secondary antibody.

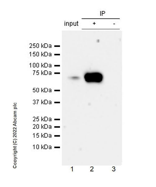
Immunoprecipitation - Anti-SIK3 antibody [EPR23554-71] - BSA and Azide free (AB290756)
  • IP

Supplier Data

Immunoprecipitation - Anti-SIK3 antibody [EPR23554-71] - BSA and Azide free (AB290756)

This data was developed using ab255701, the same antibody clone in a different buffer formulation.

SIK3 was immunoprecipitated from 0.35 mg Mouse brain tissue lysate 10 ug with ab255701 at 1/30 dilution (2ug in 0.35mg lysates). Western blot was performed on the immunoprecipitate using ab255701 at 1/1000 dilution. VeriBlot for IP secondary antibody(HRP)(ab131366) was used at 1/5000 dilution.

Lane 1 : Mouse brain tissue lysate 10 ug

Lane 2 : ab255701 IP in Mouse brain tissue lysate

Lane 3 : Rabbit monoclonal IgG (ab172730) instead of ab255701 in Mouse brain tissue lysate

Blocking and dilution buffer and concentration : 5% NFDM/TBST.

Exposure time : 41 seconds

All lanes:

Immunoprecipitation - Anti-SIK3 antibody [EPR23554-71] (<a href='/en-us/products/primary-antibodies/sik3-antibody-epr23554-71-ab255701'>ab255701</a>)

Predicted band size: 140 kDa

false

Western blot - Anti-SIK3 antibody [EPR23554-71] - BSA and Azide free (AB290756)
  • WB

Lab

Western blot - Anti-SIK3 antibody [EPR23554-71] - BSA and Azide free (AB290756)

This data was developed using ab255701, the same antibody clone in a different buffer formulation.

Blocking / Dilution buffer and concentration : 5% NFDM/TBST

The expression profile/molecular weight observed is consistent with that described in the literature (PMID : 32542037).
Low expression : NIH : OVCAR-3 (PMID : PMID : 31762812)

All lanes:

Western blot - Anti-SIK3 antibody [EPR23554-71] (<a href='/en-us/products/primary-antibodies/sik3-antibody-epr23554-71-ab255701'>ab255701</a>) at 1/1000 dilution

Lane 1:

U-87 MG (human glioblastoma-astrocytoma epithelial cell), whole cell lysate at 20 µg

Lane 2:

NIH:OVCAR-3 (human ovary adenocarcinoma epithelial cell), whole cell lysate at 20 µg

Lane 3:

Neuro-2a (mouse neuroblastoma neuroblast), whole cell lysate at 20 µg

Lane 4:

C6 (rat glial tumor glial cell), whole cell lysate at 20 µg

Secondary

All lanes:

Western blot - Goat Anti-Rabbit IgG H&L (HRP) (<a href='/en-us/products/secondary-antibodies/goat-rabbit-igg-h-l-hrp-ab97051'>ab97051</a>) at 1/100000 dilution

Predicted band size: 140 kDa

Observed band size: 69 kDa,73 kDa

false

Exposure time: 3min

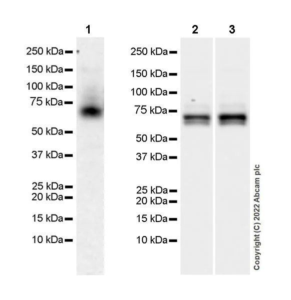
Western blot - Anti-SIK3 antibody [EPR23554-71] - BSA and Azide free (AB290756)
  • WB

Lab

Western blot - Anti-SIK3 antibody [EPR23554-71] - BSA and Azide free (AB290756)

This data was developed using ab255701, the same antibody clone in a different buffer formulation.

Blocking buffer and concentration : 5% NFDM/TBST

Exposure time :

Lane 1 : 3 minutes
Lane 2 & 3 : 26 seconds

The expression profile/molecular weight observed is consistent with that described in the literature (PMID : 32542037).

All lanes:

Western blot - Anti-SIK3 antibody [EPR23554-71] (<a href='/en-us/products/primary-antibodies/sik3-antibody-epr23554-71-ab255701'>ab255701</a>) at 1/1000 dilution

Lane 1:

Human brain tissue lysate at 60 µg

Lane 2:

Mouse brain tissue lysate at 20 µg

Lane 3:

Rat brain tissue lysate at 20 µg

Secondary

All lanes:

Western blot - Goat Anti-Rabbit IgG H&L (HRP) (<a href='/en-us/products/secondary-antibodies/goat-rabbit-igg-h-l-hrp-ab97051'>ab97051</a>) at 1/100000 dilution

Predicted band size: 140 kDa

Observed band size: 69 kDa,73 kDa

false

Key facts

Host species

Rabbit

Clonality

Monoclonal

Clone number

EPR23554-71

Isotype

IgG

Carrier free

Yes

Reacts with

Human, Mouse, Rat

Applications

WB, Flow Cyt (Intra), ICC/IF, IP, IHC-P

applications

Immunogen

The exact immunogen used to generate this antibody is proprietary information.

Specificity

This antibody does not react with Mouse and Rat species for IHC application.

This antibody does not react with Human species for ICC and FC application.

Reactivity data

{ "title": "Reactivity Data", "filters": { "stats": ["", "Species", "Dilution Info", "Notes"], "tabs": { "all-applications": {"fullname" : "All Applications", "shortname": "All Applications"}, "ICCIF" : {"fullname" : "Immunocytochemistry/ Immunofluorescence", "shortname":"ICC/IF"}, "IP" : {"fullname" : "Immunoprecipitation", "shortname":"IP"}, "WB" : {"fullname" : "Western blot", "shortname":"WB"}, "IHCP" : {"fullname" : "Immunohistochemistry (Formalin/PFA-fixed paraffin-embedded sections)", "shortname":"IHC-P"}, "FlowCytIntra" : {"fullname" : "Flow Cytometry (Intracellular)", "shortname":"Flow Cyt (Intra)"} }, "product-promise": { "all": "all", "testedAndGuaranteed": "tested", "guaranteed": "expected", "predicted": "predicted", "notRecommended": "not-recommended" } }, "values": { "Human": { "ICCIF-species-checked": "notRecommended", "ICCIF-species-dilution-info": "", "ICCIF-species-notes": "<p></p>", "IP-species-checked": "guaranteed", "IP-species-dilution-info": "", "IP-species-notes": "", "WB-species-checked": "testedAndGuaranteed", "WB-species-dilution-info": "", "WB-species-notes": "<p></p>", "IHCP-species-checked": "testedAndGuaranteed", "IHCP-species-dilution-info": "", "IHCP-species-notes": "<p></p>", "FlowCytIntra-species-checked": "notRecommended", "FlowCytIntra-species-dilution-info": "", "FlowCytIntra-species-notes": "<p></p>" }, "Mouse": { "ICCIF-species-checked": "testedAndGuaranteed", "ICCIF-species-dilution-info": "", "ICCIF-species-notes": "<p></p>", "IP-species-checked": "testedAndGuaranteed", "IP-species-dilution-info": "", "IP-species-notes": "<p></p>", "WB-species-checked": "testedAndGuaranteed", "WB-species-dilution-info": "", "WB-species-notes": "<p></p>", "IHCP-species-checked": "notRecommended", "IHCP-species-dilution-info": "", "IHCP-species-notes": "<p></p>", "FlowCytIntra-species-checked": "testedAndGuaranteed", "FlowCytIntra-species-dilution-info": "", "FlowCytIntra-species-notes": "<p></p>" }, "Rat": { "ICCIF-species-checked": "guaranteed", "ICCIF-species-dilution-info": "", "ICCIF-species-notes": "", "IP-species-checked": "guaranteed", "IP-species-dilution-info": "", "IP-species-notes": "", "WB-species-checked": "testedAndGuaranteed", "WB-species-dilution-info": "", "WB-species-notes": "<p></p>", "IHCP-species-checked": "notRecommended", "IHCP-species-dilution-info": "", "IHCP-species-notes": "<p></p>", "FlowCytIntra-species-checked": "guaranteed", "FlowCytIntra-species-dilution-info": "", "FlowCytIntra-species-notes": "" } } }

Product details

ab290756 is a carrier free version of ab255701.

Patented technology
Our RabMAb® technology is a patented hybridoma-based technology for making rabbit monoclonal antibodies. For details on our patents, please refer to RabMAb® patents.

What are the advantages of a recombinant monoclonal antibody?
This product is a recombinant monoclonal antibody, which offers several advantages including:

  • - High batch-to-batch consistency and reproducibility
  • - Improved sensitivity and specificity
  • - Long-term security of supply
  • - Animal-free batch production

For more information, read more on recombinant antibodies.

Conjugation ready
Our carrier-free antibodies are typically supplied in a PBS-only formulation, purified and free of BSA, sodium azide and glycerol. This conjugation-ready format is designed for use with fluorochromes, metal isotopes, oligonucleotides, and enzymes, which makes them ideal for antibody labelling, functional and cell-based assays, flow-based assays (e.g. mass cytometry) and Multiplex Imaging applications.

Use our conjugation kits for antibody conjugates that are ready-to-use in as little as 20 minutes with 1 minute hands-on-time and 100% antibody recovery: available for fluorescent dyes, HRP, biotin and gold.

Compatibility
This product is compatible with the Maxpar® Antibody Labeling Kit from Fluidigm, without the need for antibody preparation. Maxpar® is a trademark of Fluidigm Canada Inc.

Properties and storage information

Form
Liquid
Purification technique
Affinity purification Protein A
Storage buffer
pH: 7.2 - 7.4 Constituents: PBS
Shipped at conditions
Blue Ice
Appropriate short-term storage conditions
+4°C
Appropriate long-term storage conditions
+4°C

Supplementary information

This supplementary information is collated from multiple sources and compiled automatically.

SIK3 also known as salt-inducible kinase 3 is a serine/threonine-protein kinase with a molecular mass of approximately 140 kDa. This protein is expressed in many tissues including liver muscle and pancreas. Mechanically SIK3 phosphorylates key substrates involved in the regulation of various cellular functions enhancing or inhibiting their activity. Its action often involves regulating metabolism cytokine signaling and cellular growth processes.
Biological function summary

SIK3 participates in the regulation of glucose metabolism and energy homeostasis. It acts as part of larger complexes that control transcription factors and enzymes related to metabolic processes. These complexes help respond to cellular signals and external stress adjusting cellular functions to maintain balance. It influences the activity of enzymes and transcriptional regulators involved in lipid and carbohydrate metabolism playing a role in energy balance maintenance.

Pathways

SIK3 influences gluconeogenesis and insulin signaling pathways. It is closely connected with proteins such as AMPK (AMP-activated protein kinase) regulating energy sensor mechanisms and metabolic stress responses. These pathways are critical in controlling glucose production and utilization which affect overall energy homeostasis in the body.

SIK3's dysfunction links to metabolic disorders like type 2 diabetes and obesity. Altered SIK3 activity affects insulin signaling which can contribute to impaired glucose regulation. It also connects to the protein LKB1 (liver kinase B1) in metabolic disease contexts as both play roles in regulating energy metabolism and maintaining glucose levels. Understanding SIK3's role provides insights for targeting metabolic diseases through therapeutic strategies.

Product protocols

For this product, it's our understanding that no specific protocols are required. You can visit:

Target data

Positive regulator of mTOR signaling that functions by triggering the degradation of DEPTOR, an mTOR inhibitor (By similarity). Required for chondrocyte hypertrophy during skeletogenesis (PubMed : 22318228). Negatively regulates cAMP signaling pathway possibly by acting on CRTC2/TORC2 and CRTC3/TORC3 (By similarity). Prevents HDAC4 translocation to the nucleus (PubMed : 22318228).
See full target information Sik3

Product promise

We are committed to supporting your work with high-quality reagents, and we're here for you every step of the way. In the unlikely event that one of our products does not perform as expected, you're protected by our Product Promise.
For full details, please see our Terms & Conditions

Please note: All products are 'FOR RESEARCH USE ONLY. NOT FOR USE IN DIAGNOSTIC OR THERAPEUTIC PROCEDURES'.

For licensing inquiries, please contact partnerships@abcam.com