JavaScript is disabled in your browser. Please enable JavaScript to view this website.
AB183509

Anti-SIKE1 antibody [EPR14692]

Be the first to review this product! Submit a review

|

(1 Publication)

Rabbit Recombinant Monoclonal SIKE1 antibody. Suitable for WB, IP, IHC-P and reacts with Human, Mouse samples. Cited in 1 publication.

View Alternative Names

SIKE, SIKE1, Suppressor of IKBKE 1, Suppressor of IKK-epsilon

5 Images
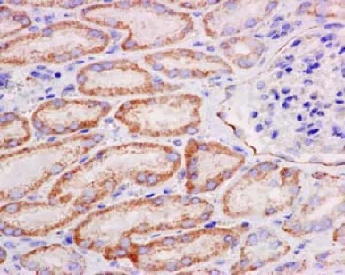
Immunohistochemistry (Formalin/PFA-fixed paraffin-embedded sections) - Anti-SIKE1 antibody [EPR14692] (AB183509)
  • IHC-P

Supplier Data

Immunohistochemistry (Formalin/PFA-fixed paraffin-embedded sections) - Anti-SIKE1 antibody [EPR14692] (AB183509)

Immunohistochemical analysis of paraffin embedded Human kidney tissue labeling SIKE1 with ab183509 at 1/50.

Perform heat mediated antigen retrieval with EDTA buffer pH 9 before commencing with IHC staining protocol.

Western blot - Anti-SIKE1 antibody [EPR14692] (AB183509)
  • WB

Lab

Western blot - Anti-SIKE1 antibody [EPR14692] (AB183509)

Lanes 1 - 4 : Merged signal (red and green). Green - ab183509 observed at 25 kDa. Red - loading control, ab8245, observed at 37 kDa.

ab183509 was shown to specifically react with SIKE1 when SIKE1 knockout samples were used. Wild-type and SIKE1 knockout samples were subjected to SDS-PAGE. ab183509 and ab8245 (loading control to GAPDH) were both diluted 1/10 000 and incubated overnight at 4°C. Blots were developed with Goat anti-Rabbit IgG H&L (IRDye® 800CW) preadsorbed ab216773 and Goat anti-Mouse IgG H&L (IRDye® 680RD) preadsorbed ab216776 secondary antibodies at 1/10000 dilution for 1 hour at room temperature before imaging.

All lanes:

Western blot - Anti-SIKE1 antibody [EPR14692] (ab183509) at 1/10000 dilution

Lane 1:

Wild-type HAP1 cell lysate at 20 µg

Lane 2:

SIKE1 knockout HAP1 cell lysate at 20 µg

Lane 3:

HeLa cell lysate at 20 µg

Lane 4:

PC3 cell lysate at 20 µg

Predicted band size: 24 kDa

false

Immunoprecipitation - Anti-SIKE1 antibody [EPR14692] (AB183509)
  • IP

Supplier Data

Immunoprecipitation - Anti-SIKE1 antibody [EPR14692] (AB183509)

Lysate from 293 cells was immunoprecipitated with ab183509 at a 1/50 dilution. For the subsequent blot, ab183509 used at a 1/10000 dilution with an anti-Rabbit IgG (HRP), specific to the non-reduced form of IgG at a 1/1500 dilution for the secondary. Blocking/ Dilution buffer : 5% NFDM/TBST. Lane 2 : TBS instead of lysate.

All lanes:

Immunoprecipitation - Anti-SIKE1 antibody [EPR14692] (ab183509)

Predicted band size: 24 kDa

Observed band size: 24 kDa

false

Western blot - Anti-SIKE1 antibody [EPR14692] (AB183509)
  • WB

Supplier Data

Western blot - Anti-SIKE1 antibody [EPR14692] (AB183509)

Lanes 1-3 : Merged signal (red and green). Green - ab183509 observed at 25 kDa. Red - loading control ab8245 observed at 37 kDa.

ab183509 Rabbit monoclonal [EPR14692] to SIKE1 was shown to specifically react with Suppressor of IKBKE 1 in wild-type HeLa cells. Loss of signal was observed when knockout cell line ab265933 (knockout cell lysate ab258188) was used. Wild-type and Suppressor of IKBKE 1 knockout samples were subjected to SDS-PAGE. ab183509 and Anti-GAPDH antibody [6C5] - Loading Control (ab8245) were incubated overnight at 4°C at 1 in 10000 dilution and 1 in 20000 dilution respectively. Blots were developed with Goat anti-Rabbit IgG H&L (IRDye® 800CW) preadsorbed (ab216773) and Goat anti-Mouse IgG H&L (IRDye® 680RD) preadsorbed (ab216776) secondary antibodies at 1 in 20000 dilution for 1 hour at room temperature before imaging.

All lanes:

Western blot - Anti-SIKE1 antibody [EPR14692] (ab183509) at 1/10000 dilution

Lane 1:

Wild-type HeLa cell lysate at 20 µg

Lane 2:

SIKE1 knockout HeLa cell lysate at 20 µg

Lane 2:

Western blot - Human SIKE1 knockout HeLa cell line (<a href='/en-us/products/cell-lines/human-sike1-knockout-hela-cell-line-ab265933'>ab265933</a>)

Lane 3:

HEK-293 cell lysate at 20 µg

Secondary

All lanes:

Western blot - Goat anti-Rabbit IgG H&L (IRDye® 800CW) preadsorbed (<a href='/en-us/products/secondary-antibodies/goat-rabbit-igg-h-l-irdye-800cw-preadsorbed-ab216773'>ab216773</a>) at 1/20000 dilution

Predicted band size: 24 kDa

Observed band size: 25 kDa

false

Western blot - Anti-SIKE1 antibody [EPR14692] (AB183509)
  • WB

Supplier Data

Western blot - Anti-SIKE1 antibody [EPR14692] (AB183509)

All lanes:

Western blot - Anti-SIKE1 antibody [EPR14692] (ab183509) at 1/20000 dilution

Lane 1:

SH-SY5Y cell lysate at 20 µg

Lane 2:

Hela cell lysate at 20 µg

Lane 3:

293 cell lysate at 20 µg

Secondary

All lanes:

Goat Anti-Rabbit IgG, (H+L), Peroxidase conjugated at 1/1000 dilution

Predicted band size: 24 kDa

Observed band size: 24 kDa

false

Key facts

Host species

Rabbit

Clonality

Monoclonal

Clone number

EPR14692

Isotype

IgG

Carrier free

No

Reacts with

Mouse, Human

Applications

WB, IP, IHC-P

applications

Immunogen

The exact immunogen used to generate this antibody is proprietary information.

Reactivity data

{ "title": "Reactivity Data", "filters": { "stats": ["", "Species", "Dilution Info", "Notes"], "tabs": { "all-applications": {"fullname" : "All Applications", "shortname": "All Applications"}, "WB" : {"fullname" : "Western blot", "shortname":"WB"}, "IP" : {"fullname" : "Immunoprecipitation", "shortname":"IP"}, "IHCP" : {"fullname" : "Immunohistochemistry (Formalin/PFA-fixed paraffin-embedded sections)", "shortname":"IHC-P"} }, "product-promise": { "all": "all", "testedAndGuaranteed": "tested", "guaranteed": "expected", "predicted": "predicted", "notRecommended": "not-recommended" } }, "values": { "Human": { "WB-species-checked": "testedAndGuaranteed", "WB-species-dilution-info": "1/10000 - 1/50000", "WB-species-notes": "<p></p>", "IP-species-checked": "testedAndGuaranteed", "IP-species-dilution-info": "1/30 - 1/50", "IP-species-notes": "<p></p>", "IHCP-species-checked": "testedAndGuaranteed", "IHCP-species-dilution-info": "1/50", "IHCP-species-notes": "<p></p>" }, "Mouse": { "WB-species-checked": "guaranteed", "WB-species-dilution-info": "1/10000 - 1/50000", "WB-species-notes": "<p></p>", "IP-species-checked": "guaranteed", "IP-species-dilution-info": "1/30 - 1/50", "IP-species-notes": "<p></p>", "IHCP-species-checked": "guaranteed", "IHCP-species-dilution-info": "1/50", "IHCP-species-notes": "<p></p>" }, "Rat": { "WB-species-checked": "predicted", "WB-species-dilution-info": "", "WB-species-notes": "", "IP-species-checked": "predicted", "IP-species-dilution-info": "", "IP-species-notes": "", "IHCP-species-checked": "predicted", "IHCP-species-dilution-info": "", "IHCP-species-notes": "" } } }

Product details

Patented technology
Our RabMAb® technology is a patented hybridoma-based technology for making rabbit monoclonal antibodies. For details on our patents, please refer to RabMAb® patents.

What are the advantages of a recombinant monoclonal antibody?
This product is a recombinant monoclonal antibody, which offers several advantages including:

  • - High batch-to-batch consistency and reproducibility
  • - Improved sensitivity and specificity
  • - Long-term security of supply
  • - Animal-free batch production

For more information, read more on recombinant antibodies.

Properties and storage information

Form
Liquid
Purification technique
Affinity purification Protein A
Storage buffer
pH: 7.2 Preservative: 0.01% Sodium azide Constituents: PBS, 40% Glycerol (glycerin, glycerine), 0.05% BSA
Shipped at conditions
Blue Ice
Appropriate short-term storage duration
1-2 weeks
Appropriate short-term storage conditions
+4°C
Appropriate long-term storage conditions
-20°C
Aliquoting information
Upon delivery aliquot
Storage information
Avoid freeze / thaw cycle

Supplementary information

This supplementary information is collated from multiple sources and compiled automatically.

SIKE1 also known as Squamous Cell Carcinoma Antigen Recognized by T-cells 3 (SART3) is a protein with a molecular weight of approximately 24 kDa. It inhibits the kinase activity of Tank-Binding Kinase 1 (TBK1) and IκB kinase ε (IKKε) which are critical for the induction of type I interferons and other cytokines in response to viral infections. SIKE1 is primarily expressed in various tissues including the brain and liver though expression levels may vary depending on cellular context.
Biological function summary

SIKE1 interacts with signaling pathways to modulate immune responses. As a negative regulator of the interferon signaling pathway it forms complexes with TBK1/IKKε to suppress excessive immune activation preventing potential tissue damage. By efficiently regulating kinase activity SIKE1 helps maintain balance in immune signaling ensuring proper immune defense while avoiding overactivation.

Pathways

The involvement of SIKE1 extends to the toll-like receptor (TLR) and retinoic acid-inducible gene I (RIG-I)-like receptor signaling pathways. These pathways play essential roles in detecting and responding to viral pathogens. SIKE1 modulates the activity of TBK1 and IKKε which are central to the aforementioned pathways impacting downstream molecules like IRF3 and NF-kB that drive interferon production and inflammatory responses.

SiKE1's regulatory role relates to conditions characterized by dysregulated immune responses. For instance in viral infections where excessive interferon production occurs SIKE1 can mitigate potential tissue damage by dampening cytokine output. It is also studied in auto-inflammatory disorders where control of cytokine production is important for managing disease severity. Its connection to TBK1 and IKKε further implicates SIKE1 in the context of these immune-related conditions as these kinases are targets for therapeutic intervention in disorders related to immune dysregulation.

Product protocols

For this product, it's our understanding that no specific protocols are required. You can visit:

Target data

Physiological suppressor of IKK-epsilon and TBK1 that plays an inhibitory role in virus- and TLR3-triggered IRF3. Inhibits TLR3-mediated activation of interferon-stimulated response elements (ISRE) and the IFN-beta promoter. May act by disrupting the interactions of IKBKE or TBK1 with TICAM1/TRIF, IRF3 and RIGI. Does not inhibit NF-kappa-B activation pathways (PubMed : 16281057). Associates with the striatin-interacting phosphatase and kinase (STRIPAK) core complex, forming the extended (SIKE1 : SLMAP)STRIPAK complex (PubMed : 30622739). The (SIKE1 : SLMAP)STRIPAK complex dephosphorylates STK3 leading to the inhibition of Hippo signaling and the control of cell growth (PubMed : 30622739).
See full target information SIKE1

Publications (1)

Recent publications for all applications. Explore the full list and refine your search

International journal of molecular sciences 23: PubMed35563042

2022

Identification of Potential Muscle Biomarkers in McArdle Disease: Insights from Muscle Proteome Analysis.

Applications

Unspecified application

Species

Unspecified reactive species

Inés García-Consuegra,Sara Asensio-Peña,Rocío Garrido-Moraga,Tomàs Pinós,Cristina Domínguez-González,Alfredo Santalla,Gisela Nogales-Gadea,Pablo Serrano-Lorenzo,Antoni L Andreu,Joaquín Arenas,José L Zugaza,Alejandro Lucia,Miguel A Martín
View all publications

Product promise

We are committed to supporting your work with high-quality reagents, and we're here for you every step of the way. In the unlikely event that one of our products does not perform as expected, you're protected by our Product Promise.
For full details, please see our Terms & Conditions

Please note: All products are 'FOR RESEARCH USE ONLY. NOT FOR USE IN DIAGNOSTIC OR THERAPEUTIC PROCEDURES'.

For licensing inquiries, please contact partnerships@abcam.com