JavaScript is disabled in your browser. Please enable JavaScript to view this website.
AB116254

Anti-SIRP alpha antibody

Be the first to review this product! Submit a review

|

(3 Publications)

Rabbit Polyclonal SIRP alpha antibody. Suitable for IHC-P and reacts with Human samples. Cited in 3 publications. Immunogen corresponding to Synthetic Peptide within Human SIRPA conjugated to Keyhole Limpet Haemocyanin.

View Alternative Names

CD172a, BIT, MFR, MYD1, PTPNS1, SHPS1, SIRP, SIRPA, Tyrosine-protein phosphatase non-receptor type substrate 1, SHP substrate 1, SHPS-1, Brain Ig-like molecule with tyrosine-based activation motifs, CD172 antigen-like family member A, Inhibitory receptor SHPS-1, Macrophage fusion receptor, MyD-1 antigen, Signal-regulatory protein alpha-1, Signal-regulatory protein alpha-2, Signal-regulatory protein alpha-3, p84, Bit, Sirp-alpha-1, Sirp-alpha-2, Sirp-alpha-3

2 Images
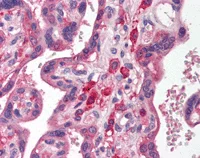
Immunohistochemistry (Formalin/PFA-fixed paraffin-embedded sections) - Anti-SIRP alpha antibody (AB116254)
  • IHC-P

Unknown

Immunohistochemistry (Formalin/PFA-fixed paraffin-embedded sections) - Anti-SIRP alpha antibody (AB116254)

ab116254, at 2.5 μg/ml, staining SIRP alpha in Formalin-fixed, Paraffin-embedded Human placenta tissue by Immunohistochemistry followed by biotinylated secondary antibody, alkaline phosphatase-streptavidin and chromogen.

Immunohistochemistry (Formalin/PFA-fixed paraffin-embedded sections) - Anti-SIRP alpha antibody (AB116254)
  • IHC-P

Unknown

Immunohistochemistry (Formalin/PFA-fixed paraffin-embedded sections) - Anti-SIRP alpha antibody (AB116254)

ab116254, at 2.5 μg/ml, staining SIRP alpha in Formalin-fixed, Paraffin-embedded Human testis tissue by Immunohistochemistry followed by biotinylated secondary antibody, alkaline phosphatase-streptavidin and chromogen.

Key facts

Host species

Rabbit

Clonality

Polyclonal

Isotype

IgG

Carrier free

No

Reacts with

Human

Applications

IHC-P

applications

Immunogen

Synthetic Peptide within Human SIRPA conjugated to Keyhole Limpet Haemocyanin. The exact immunogen used to generate this antibody is proprietary information.

P78324

Reactivity data

{ "title": "Reactivity Data", "filters": { "stats": ["", "Species", "Dilution Info", "Notes"], "tabs": { "all-applications": {"fullname" : "All Applications", "shortname": "All Applications"}, "IHCP" : {"fullname" : "Immunohistochemistry (Formalin/PFA-fixed paraffin-embedded sections)", "shortname":"IHC-P"} }, "product-promise": { "all": "all", "testedAndGuaranteed": "tested", "guaranteed": "expected", "predicted": "predicted", "notRecommended": "not-recommended" } }, "values": { "Human": { "IHCP-species-checked": "testedAndGuaranteed", "IHCP-species-dilution-info": "2.5 µg/mL", "IHCP-species-notes": "<p></p>" }, "Mouse": { "IHCP-species-checked": "predicted", "IHCP-species-dilution-info": "", "IHCP-species-notes": "" }, "Rat": { "IHCP-species-checked": "predicted", "IHCP-species-dilution-info": "", "IHCP-species-notes": "" }, "Cow": { "IHCP-species-checked": "predicted", "IHCP-species-dilution-info": "", "IHCP-species-notes": "" } } }

Properties and storage information

Form
Liquid
Purification technique
Affinity purification Protein A
Storage buffer
pH: 7.4 Preservative: 0.02% Thimerosal (merthiolate) Constituents: PBS
Shipped at conditions
Blue Ice
Appropriate short-term storage duration
1-2 weeks
Appropriate short-term storage conditions
+4°C
Appropriate long-term storage conditions
-20°C
Storage information
Avoid freeze / thaw cycle

Supplementary information

This supplementary information is collated from multiple sources and compiled automatically.

SIRP alpha also known as CD172a is a transmembrane receptor protein with a mass ranging between 70-110 kDa due to glycosylation. This protein extensively expresses on the surface of myeloid cells neurons and a subset of T-cells and is part of the immunoglobulin superfamily. SIRP alpha interacts with its ligand CD47 a widely expressed glycoprotein involved in immune response regulation. Its mechanical action primarily involves signal regulation through the recruitment of SHP-1 and SHP-2 two cytoplasmic tyrosine phosphatases.
Biological function summary

SIRP alpha functions significantly in the regulation of phagocytosis acting as a "don't eat me" signal to macrophages upon binding with CD47. It does not act alone; rather it is part of a complex that recruits SHP-1 and SHP-2 leading to inhibition of dephosphorylation activities essential for engulfment processes. This regulatory mechanism is important for maintaining cellular homeostasis ensuring that healthy cells are not mistakenly destroyed by the immune system.

Pathways

SIRP alpha plays an important role in the innate immune pathways involving the regulation of phagocytosis and cell-cell adhesion. Particularly it fits into the immune checkpoint pathways where it interacts closely with proteins like CD47 and plays a role in the interaction between the immune system and cancer cells. Through these pathways SIRP alpha helps maintain balance in the immune response allowing for the recognition of self versus non-self therefore preventing autoimmunity while facilitating the clearance of pathogens.

SIRP alpha is implicated in cancer and autoimmune diseases. In cancer its interaction with CD47 allows tumor cells to escape phagocytosis promoting tumor survival and growth. In autoimmune disorders dysregulated SIRP alpha expression or signaling could miscommunicate immune signals leading to the destruction of healthy tissue. Understanding the link between SIRP alpha and these conditions can reveal potential targets for therapeutic development especially using inhibitors or modulators targeting the SIRP alpha-CD47 interaction.

Product protocols

For this product, it's our understanding that no specific protocols are required. You can visit:

Target data

Immunoglobulin-like cell surface receptor for CD47. Acts as docking protein and induces translocation of PTPN6, PTPN11 and other binding partners from the cytosol to the plasma membrane. Supports adhesion of cerebellar neurons, neurite outgrowth and glial cell attachment. May play a key role in intracellular signaling during synaptogenesis and in synaptic function (By similarity). Involved in the negative regulation of receptor tyrosine kinase-coupled cellular responses induced by cell adhesion, growth factors or insulin. Mediates negative regulation of phagocytosis, mast cell activation and dendritic cell activation. CD47 binding prevents maturation of immature dendritic cells and inhibits cytokine production by mature dendritic cells. Plays a role in antiviral immunity and limits new world arenavirus infection by decreasing virus internalization (By similarity). Receptor for THBS1 (PubMed : 24511121). Interaction with THBS1 stimulates phosphorylation of SIRPA (By similarity). In response to THBS1, involved in ROS signaling in non-phagocytic cells, stimulating NADPH oxidase-derived ROS production (PubMed : 24511121).
See full target information SIRPA

Publications (3)

Recent publications for all applications. Explore the full list and refine your search

Folia histochemica et cytobiologica 60:136-145 PubMed35661993

2022

Immunohistochemical analysis of the thymus in newborn and adult yaks (Bos grunniens).

Applications

Unspecified application

Species

Unspecified reactive species

Qian Zhang,Yan Cui,Sijiu Yu,Junfeng He,Meng Wang,Yangyang Pan,Kun Yang,Kun Yang

Folia morphologica 81:91-100 PubMed34642930

2021

Immune cells in the small intestinal mucosa of newborn yaks.

Applications

Unspecified application

Species

Unspecified reactive species

Q Zhang,Y Cui,S J Yu,Y F Huang,Y Y Pan,Z C Bai

Biochemical pharmacology 90:159-65 PubMed24821112

2014

Drug oxygenation activities mediated by liver microsomal flavin-containing monooxygenases 1 and 3 in humans, monkeys, rats, and minipigs.

Applications

Unspecified application

Species

Unspecified reactive species

Miho Yamazaki,Makiko Shimizu,Yasuhiro Uno,Hiroshi Yamazaki
View all publications

Product promise

We are committed to supporting your work with high-quality reagents, and we're here for you every step of the way. In the unlikely event that one of our products does not perform as expected, you're protected by our Product Promise.
For full details, please see our Terms & Conditions

Please note: All products are 'FOR RESEARCH USE ONLY. NOT FOR USE IN DIAGNOSTIC OR THERAPEUTIC PROCEDURES'.

For licensing inquiries, please contact partnerships@abcam.com