JavaScript is disabled in your browser. Please enable JavaScript to view this website.
AB260039

Anti-SIRP alpha antibody [EPR22930-163]

  • BOND RX™ Validated
  • KO Validated
  • RabMAb
  • Recombinant
  • What is this?

5

(1 Review)

|

(6 Publications)

Anti-SIRP alpha antibody [EPR22930-163] (ab260039) is a rabbit monoclonal antibody detecting SIRP alpha in Western Blot, Flow Cytometry, IHC-P, ICC/IF. Suitable for Human.

- KO validated for confirmed specificity
- Biophysical QC for unrivalled batch-batch consistency

View Alternative Names

CD172a, BIT, MFR, MYD1, PTPNS1, SHPS1, SIRP, SIRPA, Tyrosine-protein phosphatase non-receptor type substrate 1, SHP substrate 1, SHPS-1, Brain Ig-like molecule with tyrosine-based activation motifs, CD172 antigen-like family member A, Inhibitory receptor SHPS-1, Macrophage fusion receptor, MyD-1 antigen, Signal-regulatory protein alpha-1, Signal-regulatory protein alpha-2, Signal-regulatory protein alpha-3, p84, Bit, Sirp-alpha-1, Sirp-alpha-2, Sirp-alpha-3

8 Images
Flow Cytometry - Anti-SIRP alpha antibody [EPR22930-163] (AB260039)
  • Flow Cyt

Lab

Flow Cytometry - Anti-SIRP alpha antibody [EPR22930-163] (AB260039)

Flow cytometry staining of human peripheral blood mononuclear cells (PBMCs) with ab260039 (right) or Recombinant Rabbit IgG, monoclonal [EPR25A] - Isotype Control (left). PBMCs were incubated for 30 mins on ice in 1x PBS containing 10 µg/ml human IgG and 10 % normal goat serum to block FC receptors and non-specific protein-protein interaction followed by the antibody ab260039 or Recombinant Rabbit IgG, monoclonal [EPR25A] - Isotype Control (1x 106 in 100 µl at 0.2 μg/ml (1/2,500 dilution)) for 30 mins on ice. The cells were simultaneously stained with CD14.

The secondary antibody Goat Anti-Rabbit IgG H&L (Alexa Fluor® 488) preadsorbed was incubated at 1/4000 dilution for 30 mins on ice

Acquisition of >30000 events were collected using a 50 mW Blue laser (488nm) and 525/40 bandpass filter. Events were gated on CD14+.

Immunohistochemistry (Formalin/PFA-fixed paraffin-embedded sections) - Anti-SIRP alpha antibody [EPR22930-163] (AB260039)
  • IHC-P

AbReview81807****

Immunohistochemistry (Formalin/PFA-fixed paraffin-embedded sections) - Anti-SIRP alpha antibody [EPR22930-163] (AB260039)

Immunohistochemistry (Formalin/PFA-fixed paraffin-embedded sections) analysis of formaldehyde-fixed human lung tissue staining with ab260039 at 1/250 dilution. Sections were cut at 2 µm from lung tissues and mounted on poly-L-lysin coated slides. Samples were incubated with the primary antibody with BSA 5% in PBS for 16 hours at 25°C. Then, the slides were washed in PBS pH 7.4, incubated with secondary antibody Alexa Fluor™ 568 Goat anti-rabbit IgG(H+L) at 1/250 dilution for 30 min at room temperature. Blocking was done using 5% BSA for 20 minutes at 25°C. The second step was performed using primary antibody to CD68 for 1h at room temperature. Then, the slides were washed in PBS pH 7.4, incubated with the appropriate anti mouse secondary antibody 1/250 dilution for 30 min and the DNA was counterstained with Hoechst 33342 at 1µg/ml for 30 min at room temperature. After final washes with PBS, coverslips were mounted on the top of the samples using homemade Mowiol mounting medium.

This image is courtesy of an Abreview submitted by Christos Efstathiou

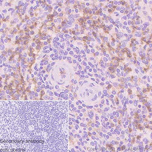
Immunohistochemistry (Formalin/PFA-fixed paraffin-embedded sections) - Anti-SIRP alpha antibody [EPR22930-163] (AB260039)
  • IHC-P

Unknown

Immunohistochemistry (Formalin/PFA-fixed paraffin-embedded sections) - Anti-SIRP alpha antibody [EPR22930-163] (AB260039)

Immunohistochemical analysis of paraffin-embedded human spleen tissue labeling SIRP alpha with ab260039 at 1/500 followed by a ready to use Rabbit specific IHC polymer detection kit HRP/DAB (ab209101). Positive staining on the human spleen is observed. The section was incubated with ab260039 for 15 mins at room temperature. The immunostaining staining was performed on a Leica Biosystems BOND® RX instrument. Counterstained with hematoxylin.

Secondary antibody only control : Ready to use Rabbit specific IHC polymer detection kit HRP/DAB (ab209101).

Heat mediated antigen retrieval was performed with Tris-EDTA buffer (pH 9.0, Epitope Retrieval Solution2) for 20 mins.

Immunocytochemistry/ Immunofluorescence - Anti-SIRP alpha antibody [EPR22930-163] (AB260039)
  • ICC/IF

Unknown

Immunocytochemistry/ Immunofluorescence - Anti-SIRP alpha antibody [EPR22930-163] (AB260039)

Immunofluorescent analysis of 4% Paraformaldehyde-fixed, 0.1% Triton X-100 permeabilized SK-MEL-28 (human malignant melanoma melanoma) cells labeling SIRP alpha with ab260039 at 1/250 dilution, followed by ab150077 AlexaFluor®488 Goat anti-Rabbit secondary antibody at 1/1000 dilution (Green). Confocal image showing membranous staining in SK-MEL-28 cells Negative control : Jurkat (PMID : 17982459) is observed. ab195889 Anti-alpha Tubulin antibody [DM1A] - Microtubule Marker (Alexa Fluor® 594) was used to counterstain tubulin at 1/200 dilution (Red). The nuclear counterstain was DAPI (Blue).

Secondary antibody only control : ab150077 AlexaFluor®488 Goat anti-Rabbit secondary at 1/1000 dilution.

Flow Cytometry - Anti-SIRP alpha antibody [EPR22930-163] (AB260039)
  • Flow Cyt

Unknown

Flow Cytometry - Anti-SIRP alpha antibody [EPR22930-163] (AB260039)

Flow cytometric analysis of Jurkat (Human T cell leukemia T lymphocyte, Left) / THP-1 (Human monocytic leukemia monocyte, Right) cells labeling SIRP alpha with ab260039 at 1\600 compared with a Rabbit monoclonal IgG (ab172730) / Black isotype control and an unlabeled control (cells without incubation with primary antibody and secondary antibody) (Blue). Goat anti rabbit IgG (Alexa Fluor® 488, ab150077) at 1/2000 was used as the secondary antibody.

Negative control : Jurkat.

Gated on viable cells.

Immunohistochemistry (Formalin/PFA-fixed paraffin-embedded sections) - Anti-SIRP alpha antibody [EPR22930-163] (AB260039)
  • IHC-P

Unknown

Immunohistochemistry (Formalin/PFA-fixed paraffin-embedded sections) - Anti-SIRP alpha antibody [EPR22930-163] (AB260039)

Immunohistochemical analysis of paraffin-embedded human cerebrum tissue labeling SIRP alpha with ab260039 at 1/500 followed by a ready to use Rabbit specific IHC polymer detection kit HRP/DAB (ab209101). Positive staining on the human cerebrum (PMID : 9062191) is observed. The section was incubated with ab260039 for 15 mins at room temperature. The immunostaining staining was performed on a Leica Biosystems BOND® RX instrument. Counterstained with hematoxylin.

Secondary antibody only control : Ready to use Rabbit specific IHC polymer detection kit HRP/DAB (ab209101).

Heat mediated antigen retrieval was performed with Tris-EDTA buffer (pH 9.0, Epitope Retrieval Solution2) for 20 mins.

Western blot - Anti-SIRP alpha antibody [EPR22930-163] (AB260039)
  • WB

Lab

Western blot - Anti-SIRP alpha antibody [EPR22930-163] (AB260039)

Blocking and diluting buffer and concentration : 5% NFDM/TBST.

There are many forms of SIRP alpha because of different glycosylation and phosphotyrosine modification.

The expression profile/ molecular weight observed is consistent with what has been described in the literature (PMID : 9712903).

Negative control : Jurkat (PMID : 17982459).

Exposure time : 3 minutes

All lanes:

Western blot - Anti-SIRP alpha antibody [EPR22930-163] (ab260039) at 1/1000 dilution

Lane 1:

Human brain lysate at 20 µg

Lane 2:

U-937 (human histiocytic lymphoma monocyte) whole cell lysate at 20 µg

Lane 3:

SK-MEL-28 (human malignant melanoma) whole cell lysate at 20 µg

Lane 4:

SK-MEL-2 (human skin malignant melanoma) whole cell lysate at 20 µg

Lane 5:

Jurkat (human T-cell leukemia lymphocyte) whole cell lysate at 20 µg

Secondary

All lanes:

Western blot - Goat Anti-Rabbit IgG H&L (HRP) (<a href='/en-us/products/secondary-antibodies/goat-rabbit-igg-h-l-hrp-ab97051'>ab97051</a>) at 1/100000 dilution

Predicted band size: 55 kDa

Observed band size: 85 kDa

false

Western blot - Anti-SIRP alpha antibody [EPR22930-163] (AB260039)
  • WB

Lab

Western blot - Anti-SIRP alpha antibody [EPR22930-163] (AB260039)

Western blot : Anti-SIRPA antibody [EPR22930-163] (ab260039) staining at 1/1000 dilution, shown in green; Mouse anti-GAPDH antibody [6C5] (ab8245) loading control staining at 1/20000 dilution, shown in magenta. In Western blot, ab260039 was shown to bind specifically to SIRPA. A band was observed at 75-85 kDa in wild-type A549 cell lysates with no signal observed at this size in SIRPA knockout cell line. To generate this image, wild-type and SIRPA knockout A549 cell lysates were analysed. First, samples were run on an SDS-PAGE gel then transferred onto a nitrocellulose membrane. Membranes were blocked in 3 % milk in TBS-0.1 % Tween® 20 (TBS-T) before incubation with primary antibodies overnight at 4 °C. Blots were washed four times in TBS-T, incubated with secondary antibodies for 1 h at room temperature, washed again four times then imaged. Secondary antibodies used were Goat anti-Rabbit IgG H&L 800CW and Goat anti-Mouse IgG H&L 680RD at 1/20000 dilution.

All lanes:

Western blot - Anti-SIRP alpha antibody [EPR22930-163] (ab260039) at 1/1000 dilution

Lane 1:

Wild-type A549 cell lysate at 20 µg

Lane 2:

SIRPA knockout A549 cell lysate at 20 µg

Lane 3:

THP-1 cell lysate at 20 µg

Lane 4:

SW480 cell lysate at 20 µg

Secondary

All lanes:

Goat anti-Rabbit IgG H&L 800CW and Goat anti-Mouse IgG H&L 680RD at 1/20000 dilution

false

  • Carrier free

    Anti-SIRP alpha antibody [EPR22930-163] - BSA and Azide free

  • 519 Alexa Fluor® 488

    Alexa Fluor® 488 Anti-SIRP alpha antibody [EPR22930-163]

  • 578 PE

    PE Anti-SIRP alpha antibody [EPR22930-163]

Key facts

Host species

Rabbit

Clonality

Monoclonal

Clone number

EPR22930-163

Isotype

IgG

Carrier free

No

Reacts with

Human

Applications

IHC-P, ICC/IF, WB, Flow Cyt

applications

Immunogen

The exact immunogen used to generate this antibody is proprietary information.

Reactivity data

{ "title": "Reactivity Data", "filters": { "stats": ["", "Species", "Dilution Info", "Notes"], "tabs": { "all-applications": {"fullname" : "All Applications", "shortname": "All Applications"}, "IP" : {"fullname" : "Immunoprecipitation", "shortname":"IP"}, "WB" : {"fullname" : "Western blot", "shortname":"WB"}, "IHCP" : {"fullname" : "Immunohistochemistry (Formalin/PFA-fixed paraffin-embedded sections)", "shortname":"IHC-P"}, "ICCIF" : {"fullname" : "Immunocytochemistry/ Immunofluorescence", "shortname":"ICC/IF"}, "FlowCyt" : {"fullname" : "Flow Cytometry", "shortname":"Flow Cyt"} }, "product-promise": { "all": "all", "testedAndGuaranteed": "tested", "guaranteed": "expected", "predicted": "predicted", "notRecommended": "not-recommended" } }, "values": { "Human": { "IP-species-checked": "notRecommended", "IP-species-dilution-info": "", "IP-species-notes": "<p></p>", "WB-species-checked": "testedAndGuaranteed", "WB-species-dilution-info": "1/1000", "WB-species-notes": "<p></p>", "IHCP-species-checked": "testedAndGuaranteed", "IHCP-species-dilution-info": "1/500", "IHCP-species-notes": "<p></p>", "ICCIF-species-checked": "testedAndGuaranteed", "ICCIF-species-dilution-info": "1/250", "ICCIF-species-notes": "<p></p>", "FlowCyt-species-checked": "testedAndGuaranteed", "FlowCyt-species-dilution-info": "1/2020", "FlowCyt-species-notes": "<p></p>" } } }

Product details

What is this antibody validated in?
Anti-SIRP alpha antibody [EPR22930-163] (ab260039) is a rabbit recombinant monoclonal antibody and is validated for use in Western Blot (WB), Flow Cytometry (Flow Cyt), Immunohistochemistry (IHC-P), Immunocytochemistry/immunofluorescence (ICC/IF) in Human samples.

What is the molecular weight of SIRP alpha?
Anti-SIRP alpha [EPR22930-163] (ab260039) specifically detects a band for SIRP alpha (UniProt: P78324) at a molecular weight of 55kDa.

Trial sizes available!
Test your antibody or perform pre-screening before committing to a larger quantity. Sold in 10µl. Discover our selection of trial-size antibodies.

Specificity confirmed
The specificity of Anti-SIRP alpha antibody [EPR22930-163] (ab260039) has been confirmed by Western blot testing in SIRPA Knockout A549 cells.

Other related products
We have a range of other formats of antibody clone [EPR22930-163] also available for your convenience: ab260039, Carrier free - ab267401, Alexa Fluor® 488 - ab312902, PE - ab314295

Patented technology
Our RabMAb® technology is a patented hybridoma-based technology for making rabbit monoclonal antibodies. For details on our patents, please refer to RabMAb® patents.

What are the advantages of a recombinant monoclonal antibody?
This product is a recombinant monoclonal antibody, which offers several advantages including:

  • - High batch-to-batch consistency and reproducibility
  • - Improved sensitivity and specificity
  • - Long-term security of supply
  • - Animal-free batch production

For more information, read more on recombinant antibodies.

Properties and storage information

Form
Liquid
Purification technique
Affinity purification Protein A
Storage buffer
pH: 7.2 - 7.4 Preservative: 0.01% Sodium azide Constituents: PBS, 40% Glycerol (glycerin, glycerine), 0.05% BSA
Shipped at conditions
Blue Ice
Appropriate short-term storage duration
1-2 weeks
Appropriate short-term storage conditions
+4°C
Appropriate long-term storage conditions
-20°C
Aliquoting information
Upon delivery aliquot
Storage information
Avoid freeze / thaw cycle

Supplementary information

This supplementary information is collated from multiple sources and compiled automatically.

SIRP alpha also known as CD172a is a transmembrane receptor protein with a mass ranging between 70-110 kDa due to glycosylation. This protein extensively expresses on the surface of myeloid cells neurons and a subset of T-cells and is part of the immunoglobulin superfamily. SIRP alpha interacts with its ligand CD47 a widely expressed glycoprotein involved in immune response regulation. Its mechanical action primarily involves signal regulation through the recruitment of SHP-1 and SHP-2 two cytoplasmic tyrosine phosphatases.
Biological function summary

SIRP alpha functions significantly in the regulation of phagocytosis acting as a "don't eat me" signal to macrophages upon binding with CD47. It does not act alone; rather it is part of a complex that recruits SHP-1 and SHP-2 leading to inhibition of dephosphorylation activities essential for engulfment processes. This regulatory mechanism is important for maintaining cellular homeostasis ensuring that healthy cells are not mistakenly destroyed by the immune system.

Pathways

SIRP alpha plays an important role in the innate immune pathways involving the regulation of phagocytosis and cell-cell adhesion. Particularly it fits into the immune checkpoint pathways where it interacts closely with proteins like CD47 and plays a role in the interaction between the immune system and cancer cells. Through these pathways SIRP alpha helps maintain balance in the immune response allowing for the recognition of self versus non-self therefore preventing autoimmunity while facilitating the clearance of pathogens.

SIRP alpha is implicated in cancer and autoimmune diseases. In cancer its interaction with CD47 allows tumor cells to escape phagocytosis promoting tumor survival and growth. In autoimmune disorders dysregulated SIRP alpha expression or signaling could miscommunicate immune signals leading to the destruction of healthy tissue. Understanding the link between SIRP alpha and these conditions can reveal potential targets for therapeutic development especially using inhibitors or modulators targeting the SIRP alpha-CD47 interaction.

Product protocols

For this product, it's our understanding that no specific protocols are required. You can visit:

Target data

Immunoglobulin-like cell surface receptor for CD47. Acts as docking protein and induces translocation of PTPN6, PTPN11 and other binding partners from the cytosol to the plasma membrane. Supports adhesion of cerebellar neurons, neurite outgrowth and glial cell attachment. May play a key role in intracellular signaling during synaptogenesis and in synaptic function (By similarity). Involved in the negative regulation of receptor tyrosine kinase-coupled cellular responses induced by cell adhesion, growth factors or insulin. Mediates negative regulation of phagocytosis, mast cell activation and dendritic cell activation. CD47 binding prevents maturation of immature dendritic cells and inhibits cytokine production by mature dendritic cells. Plays a role in antiviral immunity and limits new world arenavirus infection by decreasing virus internalization (By similarity). Receptor for THBS1 (PubMed : 24511121). Interaction with THBS1 stimulates phosphorylation of SIRPA (By similarity). In response to THBS1, involved in ROS signaling in non-phagocytic cells, stimulating NADPH oxidase-derived ROS production (PubMed : 24511121).
See full target information SIRPA

Publications (6)

Recent publications for all applications. Explore the full list and refine your search

Journal of orthopaedic surgery and research 20:220 PubMed40022160

2025

A novel mechanism in regulating drug sensitivity, growth, and apoptosis of bortezomib-resistant multiple myeloma cells: the USP4/KLF2/HMGA2 cascade.

Applications

Unspecified application

Species

Unspecified reactive species

Ziyi Liu,Xiaoliang Li,Yin He,Fengqun Xie,Yanrong Zhang,Mufang Huang,Yinjingwen Wang,Weijian Zhu

Communications biology 7:91 PubMed38216635

2024

Single-cell profiling of the microenvironment in human bone metastatic renal cell carcinoma.

Applications

Unspecified application

Species

Unspecified reactive species

Fen Ma,Shuoer Wang,Lun Xu,Wending Huang,Guohai Shi,Zhengwang Sun,Weiluo Cai,Zhiqiang Wu,Yiming Huang,Juan Meng,Yining Sun,Meng Fang,Mo Cheng,Yingzheng Ji,Tu Hu,Yunkui Zhang,Bingxin Gu,Jiwei Zhang,Shaoli Song,Yidi Sun,Wangjun Yan

International journal of molecular sciences 24: PubMed37108784

2023

APC Loss Prevents Doxorubicin-Induced Cell Death by Increasing Drug Efflux and a Chemoresistant Cell Population in Breast Cancer.

Applications

Unspecified application

Species

Unspecified reactive species

Casey D Stefanski,Anne Arnason,Sara Maloney,Janna Kotsen,Elizabeth Powers,Jian-Ting Zhang,Jenifer R Prosperi

Frontiers in oncology 12:967982 PubMed36158683

2022

Identification of macrophage correlated biomarkers to predict the prognosis in patients with intrahepatic cholangiocarcinoma.

Applications

Unspecified application

Species

Unspecified reactive species

Linping Xu,Meimei Yan,Jianpeng Long,Mengmeng Liu,Hui Yang,Wei Li

Cancers 14: PubMed35406573

2022

Expression of CD47 and SIRPα Macrophage Immune-Checkpoint Pathway in Non-Small-Cell Lung Cancer.

Applications

Unspecified application

Species

Unspecified reactive species

Alexandra Giatromanolaki,Achilleas Mitrakas,Ioannis Anestopoulos,Andreas Kontosis,Ioannis M Koukourakis,Aglaia Pappa,Mihalis I Panayiotidis,Michael I Koukourakis

Journal of translational medicine 20:140 PubMed35317832

2022

SIRPα and PD1 expression on tumor-associated macrophage predict prognosis of intrahepatic cholangiocarcinoma.

Applications

Unspecified application

Species

Unspecified reactive species

Hui Yang,Meimei Yan,Wei Li,Linping Xu
View all publications

Product promise

We are committed to supporting your work with high-quality reagents, and we're here for you every step of the way. In the unlikely event that one of our products does not perform as expected, you're protected by our Product Promise.
For full details, please see our Terms & Conditions

Please note: All products are 'FOR RESEARCH USE ONLY. NOT FOR USE IN DIAGNOSTIC OR THERAPEUTIC PROCEDURES'.

For licensing inquiries, please contact partnerships@abcam.com