JavaScript is disabled in your browser. Please enable JavaScript to view this website.
AB267401

Anti-SIRP alpha antibody [EPR22930-163] - BSA and Azide free

  • BOND RX™ Validated
  • KO Validated
  • RabMAb
  • Recombinant
  • What is this?

Be the first to review this product! Submit a review

|

(0 Publication)

Knockout Tested Rabbit Recombinant Monoclonal SIRP alpha antibody. Carrier free. Suitable for Flow Cyt, WB, ICC/IF, IHC-P and reacts with Human samples.

View Alternative Names

CD172a, BIT, MFR, MYD1, PTPNS1, SHPS1, SIRP, SIRPA, Tyrosine-protein phosphatase non-receptor type substrate 1, SHP substrate 1, SHPS-1, Brain Ig-like molecule with tyrosine-based activation motifs, CD172 antigen-like family member A, Inhibitory receptor SHPS-1, Macrophage fusion receptor, MyD-1 antigen, Signal-regulatory protein alpha-1, Signal-regulatory protein alpha-2, Signal-regulatory protein alpha-3, p84, Bit, Sirp-alpha-1, Sirp-alpha-2, Sirp-alpha-3

6 Images
Immunocytochemistry/ Immunofluorescence - Anti-SIRP alpha antibody [EPR22930-163] - BSA and Azide free (AB267401)
  • ICC/IF

Unknown

Immunocytochemistry/ Immunofluorescence - Anti-SIRP alpha antibody [EPR22930-163] - BSA and Azide free (AB267401)

Immunofluorescent analysis of 4% Paraformaldehyde-fixed, 0.1% Triton X-100 permeabilized SK-MEL-28 (human malignant melanoma melanoma) cells labeling SIRP alpha with ab260039 at 1/250 dilution, followed by ab150077 AlexaFluor®488 Goat anti-Rabbit secondary antibody at 1/1000 dilution (Green). Confocal image showing membranous staining in SK-MEL-28 cells Negative control : Jurkat (PMID : 17982459) is observed. ab195889 Anti-alpha Tubulin antibody [DM1A] - Microtubule Marker (Alexa Fluor® 594) was used to counterstain tubulin at 1/200 dilution (Red). The nuclear counterstain was DAPI (Blue).

Secondary antibody only control : ab150077 AlexaFluor®488 Goat anti-Rabbit secondary at 1/1000 dilution.

This data was developed using the same antibody clone in a different buffer formulation containing PBS, BSA, glycerol, and sodium azide (ab260039).

Flow Cytometry - Anti-SIRP alpha antibody [EPR22930-163] - BSA and Azide free (AB267401)
  • Flow Cyt

Unknown

Flow Cytometry - Anti-SIRP alpha antibody [EPR22930-163] - BSA and Azide free (AB267401)

Flow cytometric analysis of Jurkat (Human T cell leukemia T lymphocyte, Left) / THP-1 (Human monocytic leukemia monocyte, Right) cells labeling SIRP alpha with ab260039 at 1\600 compared with a Rabbit monoclonal IgG (ab172730) / Black isotype control and an unlabeled control (cells without incubation with primary antibody and secondary antibody) (Blue). Goat anti rabbit IgG (Alexa Fluor® 488, ab150077) at 1/2000 was used as the secondary antibody.

Negative control : Jurkat.

Gated on viable cells.

This data was developed using the same antibody clone in a different buffer formulation containing PBS, BSA, glycerol, and sodium azide (ab260039).

Immunohistochemistry (Formalin/PFA-fixed paraffin-embedded sections) - Anti-SIRP alpha antibody [EPR22930-163] - BSA and Azide free (AB267401)
  • IHC-P

Unknown

Immunohistochemistry (Formalin/PFA-fixed paraffin-embedded sections) - Anti-SIRP alpha antibody [EPR22930-163] - BSA and Azide free (AB267401)

Immunohistochemical analysis of paraffin-embedded human cerebrum tissue labeling SIRP alpha with ab260039 at 1/500 followed by a ready to use Rabbit specific IHC polymer detection kit HRP/DAB (ab209101). Positive staining on the human cerebrum (PMID : 9062191) is observed. The section was incubated with ab260039 for 15 mins at room temperature. The immunostaining staining was performed on a Leica Biosystems BOND® RX instrument. Counterstained with hematoxylin.

Secondary antibody only control : Ready to use Rabbit specific IHC polymer detection kit HRP/DAB (ab209101).

Heat mediated antigen retrieval was performed with Tris-EDTA buffer (pH 9.0, Epitope Retrieval Solution2) for 20 mins.

This data was developed using the same antibody clone in a different buffer formulation containing PBS, BSA, glycerol, and sodium azide (ab260039).

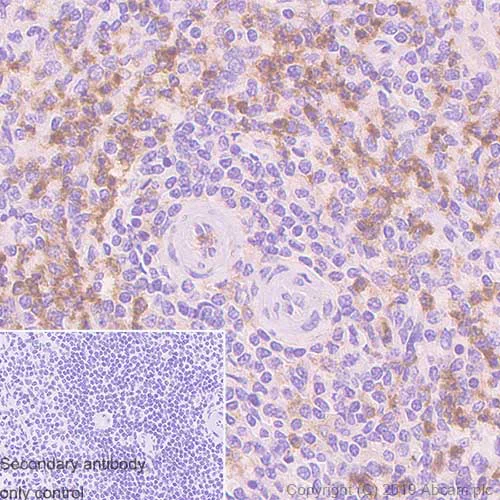
Immunohistochemistry (Formalin/PFA-fixed paraffin-embedded sections) - Anti-SIRP alpha antibody [EPR22930-163] - BSA and Azide free (AB267401)
  • IHC-P

Unknown

Immunohistochemistry (Formalin/PFA-fixed paraffin-embedded sections) - Anti-SIRP alpha antibody [EPR22930-163] - BSA and Azide free (AB267401)

Immunohistochemical analysis of paraffin-embedded human spleen tissue labeling SIRP alpha with ab260039 at 1/500 followed by a ready to use Rabbit specific IHC polymer detection kit HRP/DAB (ab209101). Positive staining on the human spleen is observed. The section was incubated with ab260039 for 15 mins at room temperature. The immunostaining staining was performed on a Leica Biosystems BOND® RX instrument. Counterstained with hematoxylin.

Secondary antibody only control : Ready to use Rabbit specific IHC polymer detection kit HRP/DAB (ab209101).

Heat mediated antigen retrieval was performed with Tris-EDTA buffer (pH 9.0, Epitope Retrieval Solution2) for 20 mins.

This data was developed using the same antibody clone in a different buffer formulation containing PBS, BSA, glycerol, and sodium azide (ab260039).

Flow Cytometry - Anti-SIRP alpha antibody [EPR22930-163] - BSA and Azide free (AB267401)
  • Flow Cyt

Lab

Flow Cytometry - Anti-SIRP alpha antibody [EPR22930-163] - BSA and Azide free (AB267401)

This data was developed using the same antibody clone in a different buffer formulation containing PBS, BSA, glycerol, and sodium azide (ab260039).

Flow cytometry staining of human peripheral blood mononuclear cells (PBMCs) with ab260039 (right) or Recombinant Rabbit IgG, monoclonal [EPR25A] - Isotype Control (left). PBMCs were incubated for 30 mins on ice in 1x PBS containing 10 µg/ml human IgG and 10 % normal goat serum to block FC receptors and non-specific protein-protein interaction followed by the antibody ab260039 or Recombinant Rabbit IgG, monoclonal [EPR25A] - Isotype Control (1x 106 in 100 µl at 0.2 μg/ml (1/2,500 dilution)) for 30 mins on ice. The cells were simultaneously stained with CD14.

The secondary antibody Goat Anti-Rabbit IgG H&L (Alexa Fluor® 488) preadsorbed was incubated at 1/4000 dilution for 30 mins on ice

Acquisition of >30000 events were collected using a 50 mW Blue laser (488nm) and 525/40 bandpass filter. Events were gated on CD14+.

Western blot - Anti-SIRP alpha antibody [EPR22930-163] - BSA and Azide free (AB267401)
  • WB

Lab

Western blot - Anti-SIRP alpha antibody [EPR22930-163] - BSA and Azide free (AB267401)

Western blot : Anti-SIRPA antibody [EPR22930-163] (ab260039) staining at 1/1000 dilution, shown in green; Mouse anti-GAPDH antibody [6C5] (ab8245) loading control staining at 1/20000 dilution, shown in magenta. In Western blot, ab260039 was shown to bind specifically to SIRPA. A band was observed at 75-85 kDa in wild-type A549 cell lysates with no signal observed at this size in SIRPA knockout cell line. To generate this image, wild-type and SIRPA knockout A549 cell lysates were analysed. First, samples were run on an SDS-PAGE gel then transferred onto a nitrocellulose membrane. Membranes were blocked in 3 % milk in TBS-0.1 % Tween® 20 (TBS-T) before incubation with primary antibodies overnight at 4 °C. Blots were washed four times in TBS-T, incubated with secondary antibodies for 1 h at room temperature, washed again four times then imaged. Secondary antibodies used were Goat anti-Rabbit IgG H&L 800CW and Goat anti-Mouse IgG H&L 680RD at 1/20000 dilution.

All lanes:

Western blot - Anti-SIRP alpha antibody [EPR22930-163] (<a href='/en-us/products/primary-antibodies/sirp-alpha-antibody-epr22930-163-ab260039'>ab260039</a>) at 1/1000 dilution

Lane 1:

Wild-type A549 cell lysate at 20 µg

Lane 2:

SIRPA knockout A549 cell lysate at 20 µg

Lane 3:

THP-1 cell lysate at 20 µg

Lane 4:

SW480 cell lysate at 20 µg

Secondary

All lanes:

Goat anti-Rabbit IgG H&L 800CW and Goat anti-Mouse IgG H&L 680RD at 1/20000 dilution

false

Key facts

Host species

Rabbit

Clonality

Monoclonal

Clone number

EPR22930-163

Isotype

IgG

Carrier free

Yes

Reacts with

Human

Applications

WB, ICC/IF, IHC-P, Flow Cyt

applications

Immunogen

The exact immunogen used to generate this antibody is proprietary information.

Reactivity data

{ "title": "Reactivity Data", "filters": { "stats": ["", "Species", "Dilution Info", "Notes"], "tabs": { "all-applications": {"fullname" : "All Applications", "shortname": "All Applications"}, "FlowCyt" : {"fullname" : "Flow Cytometry", "shortname":"Flow Cyt"}, "WB" : {"fullname" : "Western blot", "shortname":"WB"}, "ICCIF" : {"fullname" : "Immunocytochemistry/ Immunofluorescence", "shortname":"ICC/IF"}, "IHCP" : {"fullname" : "Immunohistochemistry (Formalin/PFA-fixed paraffin-embedded sections)", "shortname":"IHC-P"} }, "product-promise": { "all": "all", "testedAndGuaranteed": "tested", "guaranteed": "expected", "predicted": "predicted", "notRecommended": "not-recommended" } }, "values": { "Human": { "FlowCyt-species-checked": "testedAndGuaranteed", "FlowCyt-species-dilution-info": "", "FlowCyt-species-notes": "<p></p>", "WB-species-checked": "testedAndGuaranteed", "WB-species-dilution-info": "", "WB-species-notes": "<p></p>", "ICCIF-species-checked": "testedAndGuaranteed", "ICCIF-species-dilution-info": "", "ICCIF-species-notes": "<p></p>", "IHCP-species-checked": "testedAndGuaranteed", "IHCP-species-dilution-info": "", "IHCP-species-notes": "<p></p>" } } }

Product details

ab267401 is the carrier-free version of ab260039.

Patented technology
Our RabMAb® technology is a patented hybridoma-based technology for making rabbit monoclonal antibodies. For details on our patents, please refer to RabMAb® patents.

What are the advantages of a recombinant monoclonal antibody?
This product is a recombinant monoclonal antibody, which offers several advantages including:

  • - High batch-to-batch consistency and reproducibility
  • - Improved sensitivity and specificity
  • - Long-term security of supply
  • - Animal-free batch production

For more information, read more on recombinant antibodies.

Conjugation ready
Our carrier-free antibodies are typically supplied in a PBS-only formulation, purified and free of BSA, sodium azide and glycerol. This conjugation-ready format is designed for use with fluorochromes, metal isotopes, oligonucleotides, and enzymes, which makes them ideal for antibody labelling, functional and cell-based assays, flow-based assays (e.g. mass cytometry) and Multiplex Imaging applications.

Use our conjugation kits for antibody conjugates that are ready-to-use in as little as 20 minutes with 1 minute hands-on-time and 100% antibody recovery: available for fluorescent dyes, HRP, biotin and gold.

Compatibility
This product is compatible with the Maxpar® Antibody Labeling Kit from Fluidigm, without the need for antibody preparation. Maxpar® is a trademark of Fluidigm Canada Inc.

Properties and storage information

Form
Liquid
Purification technique
Affinity purification Protein A
Storage buffer
pH: 7.2 - 7.4 Constituents: PBS
Shipped at conditions
Blue Ice
Appropriate short-term storage conditions
+4°C
Appropriate long-term storage conditions
+4°C
Storage information
Do Not Freeze

Supplementary information

This supplementary information is collated from multiple sources and compiled automatically.

SIRP alpha also known as CD172a is a transmembrane receptor protein with a mass ranging between 70-110 kDa due to glycosylation. This protein extensively expresses on the surface of myeloid cells neurons and a subset of T-cells and is part of the immunoglobulin superfamily. SIRP alpha interacts with its ligand CD47 a widely expressed glycoprotein involved in immune response regulation. Its mechanical action primarily involves signal regulation through the recruitment of SHP-1 and SHP-2 two cytoplasmic tyrosine phosphatases.
Biological function summary

SIRP alpha functions significantly in the regulation of phagocytosis acting as a "don't eat me" signal to macrophages upon binding with CD47. It does not act alone; rather it is part of a complex that recruits SHP-1 and SHP-2 leading to inhibition of dephosphorylation activities essential for engulfment processes. This regulatory mechanism is important for maintaining cellular homeostasis ensuring that healthy cells are not mistakenly destroyed by the immune system.

Pathways

SIRP alpha plays an important role in the innate immune pathways involving the regulation of phagocytosis and cell-cell adhesion. Particularly it fits into the immune checkpoint pathways where it interacts closely with proteins like CD47 and plays a role in the interaction between the immune system and cancer cells. Through these pathways SIRP alpha helps maintain balance in the immune response allowing for the recognition of self versus non-self therefore preventing autoimmunity while facilitating the clearance of pathogens.

SIRP alpha is implicated in cancer and autoimmune diseases. In cancer its interaction with CD47 allows tumor cells to escape phagocytosis promoting tumor survival and growth. In autoimmune disorders dysregulated SIRP alpha expression or signaling could miscommunicate immune signals leading to the destruction of healthy tissue. Understanding the link between SIRP alpha and these conditions can reveal potential targets for therapeutic development especially using inhibitors or modulators targeting the SIRP alpha-CD47 interaction.

Product protocols

For this product, it's our understanding that no specific protocols are required. You can visit:

Target data

Immunoglobulin-like cell surface receptor for CD47. Acts as docking protein and induces translocation of PTPN6, PTPN11 and other binding partners from the cytosol to the plasma membrane. Supports adhesion of cerebellar neurons, neurite outgrowth and glial cell attachment. May play a key role in intracellular signaling during synaptogenesis and in synaptic function (By similarity). Involved in the negative regulation of receptor tyrosine kinase-coupled cellular responses induced by cell adhesion, growth factors or insulin. Mediates negative regulation of phagocytosis, mast cell activation and dendritic cell activation. CD47 binding prevents maturation of immature dendritic cells and inhibits cytokine production by mature dendritic cells. Plays a role in antiviral immunity and limits new world arenavirus infection by decreasing virus internalization (By similarity). Receptor for THBS1 (PubMed : 24511121). Interaction with THBS1 stimulates phosphorylation of SIRPA (By similarity). In response to THBS1, involved in ROS signaling in non-phagocytic cells, stimulating NADPH oxidase-derived ROS production (PubMed : 24511121).
See full target information SIRPA

Product promise

We are committed to supporting your work with high-quality reagents, and we're here for you every step of the way. In the unlikely event that one of our products does not perform as expected, you're protected by our Product Promise.
For full details, please see our Terms & Conditions

Please note: All products are 'FOR RESEARCH USE ONLY. NOT FOR USE IN DIAGNOSTIC OR THERAPEUTIC PROCEDURES'.

For licensing inquiries, please contact partnerships@abcam.com