JavaScript is disabled in your browser. Please enable JavaScript to view this website.
AB110304

Anti-SIRT1 antibody [19A7AB4]

5

(26 Reviews)

|

(445 Publications)

Anti-SIRT1 antibody [19A7AB4] (ab110304) is a mouse monoclonal antibody detecting SIRT1 in Western Blot, Flow Cytometry (Intra), Flow Cytometry, IHC-P, ICC/IF. Suitable for Human, Mouse, Rat.

- KO validated for confirmed specificity
- Over 310 publications

View Alternative Names

SIR2L1, SIRT1, NAD-dependent protein deacetylase sirtuin-1, hSIRT1, NAD-dependent protein deacylase sirtuin-1, Regulatory protein SIR2 homolog 1, SIR2-like protein 1, hSIR2

15 Images
Western blot - Anti-SIRT1 antibody [19A7AB4] (AB110304)
  • WB

Lab

Western blot - Anti-SIRT1 antibody [19A7AB4] (AB110304)

Blocking and diluting buffer and concentration : 5% NFDM/TBST.

ab181602 was used as a GAPDH loading control at a 1/200000 dilution.

Low expression : skeletal muscle

All lanes:

Western blot - Anti-SIRT1 antibody [19A7AB4] (ab110304) at 1/1000 dilution

Lane 1:

Mouse testis tissue lysate at 20 µg

Lane 2:

Mouse skeletal muscle tissue lysate at 20 µg

Lane 3:

Rat testis tissue lysate at 20 µg

Lane 4:

Rat skeletal muscle tissue lysate at 20 µg

Secondary

All lanes:

Peroxidase-Conjugated Goat anti-Mouse IgG (H+L) at 1/10000 dilution

Observed band size: 130 kDa

false

Exposure time: 10s

Flow Cytometry (Intracellular) - Anti-SIRT1 antibody [19A7AB4] (AB110304)
  • Flow Cyt (Intra)

Lab

Flow Cytometry (Intracellular) - Anti-SIRT1 antibody [19A7AB4] (AB110304)

Flow cytometric analysis of 4% paraformaldehyde fixed, 90% methanol permeabilized SIRT1 KO A549(Human SIRT1 knock out human lung carcinoma epithelial cell, Green) / A549 (Magenta) cells labelling SIRT1 with ab110304 at 1/1000 dilution (0.1µg)/Red followed by a Goat Anti-Rabbit IgG (Alexa Fluor® 488, ab150081) at a 1/5000 dilution (Red) compared with a Rabbit monoclonal IgG (ab172730) (Black and Grey) isotype control.

Flow Cytometry (Intracellular) - Anti-SIRT1 antibody [19A7AB4] (AB110304)
  • Flow Cyt (Intra)

Lab

Flow Cytometry (Intracellular) - Anti-SIRT1 antibody [19A7AB4] (AB110304)

Flow cytometric analysis of 4% paraformaldehyde fixed, 90% methanol permeabilized HeLa (human cervical adenocarcinoma epithelial cell) cells labelling SIRT1 with ab110304 at 1/1000 dilution (0.1µg)/Red followed by a Goat Anti-Rabbit IgG (Alexa Fluor® 488, ab150081) at a 1/5000 dilution (Red) compared with a Rabbit monoclonal IgG (ab172730) (Black) isotype control and unlabelled control Cell without incubation with primary antibody and secondary antibody / Blue.

Immunohistochemistry (Formalin/PFA-fixed paraffin-embedded sections) - Anti-SIRT1 antibody [19A7AB4] (AB110304)
  • IHC-P

Lab

Immunohistochemistry (Formalin/PFA-fixed paraffin-embedded sections) - Anti-SIRT1 antibody [19A7AB4] (AB110304)

Immunohistochemical analysis of paraffin-embedded human testis tissue using ab110304 at a 1/200 dilution followed by a ready to use secondary antibody LeicaDS9800 (Bond™ Polymer Refine Detection).

Nuclear staining on human testis.
The section was incubated with ab110304 for 30 mins at room temperature and followed by anti-mouse IgG1 antibody (ab125913) for 8 mins during the LeicaDS9800 kit staining procedure.
Hematoxylin was used as a counter stain.
The immunostaining was performed on a Leica Biosystems BOND® RX instrument.

Heat mediated antigen retrieval was performed with Citrate buffer (pH 6.0, Epitope Retrieval Solution 1) for 20 mins.

Immunocytochemistry/ Immunofluorescence - Anti-SIRT1 antibody [19A7AB4] (AB110304)
  • ICC/IF

Lab

Immunocytochemistry/ Immunofluorescence - Anti-SIRT1 antibody [19A7AB4] (AB110304)

Immunofluorescent analysis of 4% Paraformaldehyde-fixed, 0.1% TritonX-100 permeabilized SIRT1 KO A549 (SIRT1 knockout human lung carcinoma epithelial cell) cells labelling SIRT1 with ab110304 at 1/100 dilution followed by secondary antibody ab150117 Goat Anti-Mouse IgG H&L (Alexa Fluor® 488) preadsorbed at 1/1000 dilution.

ab206369 Anti-beta Tubulin rabbit monoclonal antibody (Alexa Fluor® 594) was used as a counterstain at a 1/200 dilution.

Confocal image showing nuclear staining in parental A549 cell line and no staining in SIRT1 KO A549 cell line (shown in green). The counterstain was observed in magenta. Nuclear DNA was labelled with DAPI (shown in blue). Image was taken with a confocal microscope (Leica-Microsystems, TCS SP8).

Immunohistochemistry (Formalin/PFA-fixed paraffin-embedded sections) - Anti-SIRT1 antibody [19A7AB4] (AB110304)
  • IHC-P

Lab

Immunohistochemistry (Formalin/PFA-fixed paraffin-embedded sections) - Anti-SIRT1 antibody [19A7AB4] (AB110304)

Immunohistochemical analysis of paraffin-embedded human colon tissue using ab110304 at a 1/200 dilution followed by a ready to use secondary antibody LeicaDS9800 (Bond™ Polymer Refine Detection).

Nuclear staining on human colon.
The section was incubated with ab110304 for 30 mins at room temperature and followed by anti-mouse IgG1 antibody (ab125913) for 8 mins during the LeicaDS9800 kit staining procedure.
Hematoxylin was used as a counter stain.
The immunostaining was performed on a Leica Biosystems BOND® RX instrument.

Heat mediated antigen retrieval was performed with Citrate buffer (pH 6.0, Epitope Retrieval Solution 1) for 20 mins.

Immunohistochemistry (Formalin/PFA-fixed paraffin-embedded sections) - Anti-SIRT1 antibody [19A7AB4] (AB110304)
  • IHC-P

Lab

Immunohistochemistry (Formalin/PFA-fixed paraffin-embedded sections) - Anti-SIRT1 antibody [19A7AB4] (AB110304)

Immunohistochemical analysis of paraffin-embedded human skeletal muscle tissue using ab110304 at a 1/200 dilution followed by a ready to use secondary antibody LeicaDS9800 (Bond™ Polymer Refine Detection).

Low expression : nearly no staining on human skeletal muscle.
The section was incubated with ab110304 for 30 mins at room temperature and followed by anti-mouse IgG1 antibody (ab125913) for 8 mins during the LeicaDS9800 kit staining procedure.
Hematoxylin was used as a counter stain.
The immunostaining was performed on a Leica Biosystems BOND® RX instrument.

Heat mediated antigen retrieval was performed with Citrate buffer (pH 6.0, Epitope Retrieval Solution 1) for 20 mins.

Immunohistochemistry (Formalin/PFA-fixed paraffin-embedded sections) - Anti-SIRT1 antibody [19A7AB4] (AB110304)
  • IHC-P

Lab

Immunohistochemistry (Formalin/PFA-fixed paraffin-embedded sections) - Anti-SIRT1 antibody [19A7AB4] (AB110304)

Immunohistochemical analysis of paraffin-embedded A : Wild-type A549 (Human lung carcinoma epithelial cell) cell pellet/B : SIRT1 knockout A549 cell pellet using ab110304 at a 1/500 dilution followed by a ready to use secondary antibody LeicaDS9800 (Bond™ Polymer Refine Detection).

Nuclear staining on (A) wild-type A549 cell pellet, no staining on (B) SIRT1 knockout A549 cell pellet.
The section was incubated with ab110304 for 30 mins at room temperature and followed by anti-mouse IgG1 antibody (ab125913) for 8 mins during the LeicaDS9800 kit staining procedure.
Hematoxylin was used as a counter stain.
The immunostaining was performed on a Leica Biosystems BOND® RX instrument.

Heat mediated antigen retrieval was performed with Citrate buffer (pH 6.0, Epitope Retrieval Solution 1) for 20 mins.

Immunocytochemistry/ Immunofluorescence - Anti-SIRT1 antibody [19A7AB4] (AB110304)
  • ICC/IF

Lab

Immunocytochemistry/ Immunofluorescence - Anti-SIRT1 antibody [19A7AB4] (AB110304)

Immunofluorescent analysis of 4% Paraformaldehyde-fixed, 0.1% TritonX-100 permeabilized PC-12 (rat adrenal gland pheochromocytoma cell) cells labelling SIRT1 with ab110304 at 1/100 dilution followed by secondary antibody ab150117 Goat Anti-Mouse IgG H&L (Alexa Fluor® 488) preadsorbed at 1/1000 dilution.

ab206369 Anti-beta Tubulin rabbit monoclonal antibody (Alexa Fluor® 594) was used as a counterstain at a 1/200 dilution.

Confocal image showing nuclear staining in PC-12 cell line (shown in green). The counterstain was observed in magenta. Nuclear DNA was labelled with DAPI (shown in blue). Image was taken with a confocal microscope (Leica-Microsystems, TCS SP8).

Immunohistochemistry (Formalin/PFA-fixed paraffin-embedded sections) - Anti-SIRT1 antibody [19A7AB4] (AB110304)
  • IHC-P

Lab

Immunohistochemistry (Formalin/PFA-fixed paraffin-embedded sections) - Anti-SIRT1 antibody [19A7AB4] (AB110304)

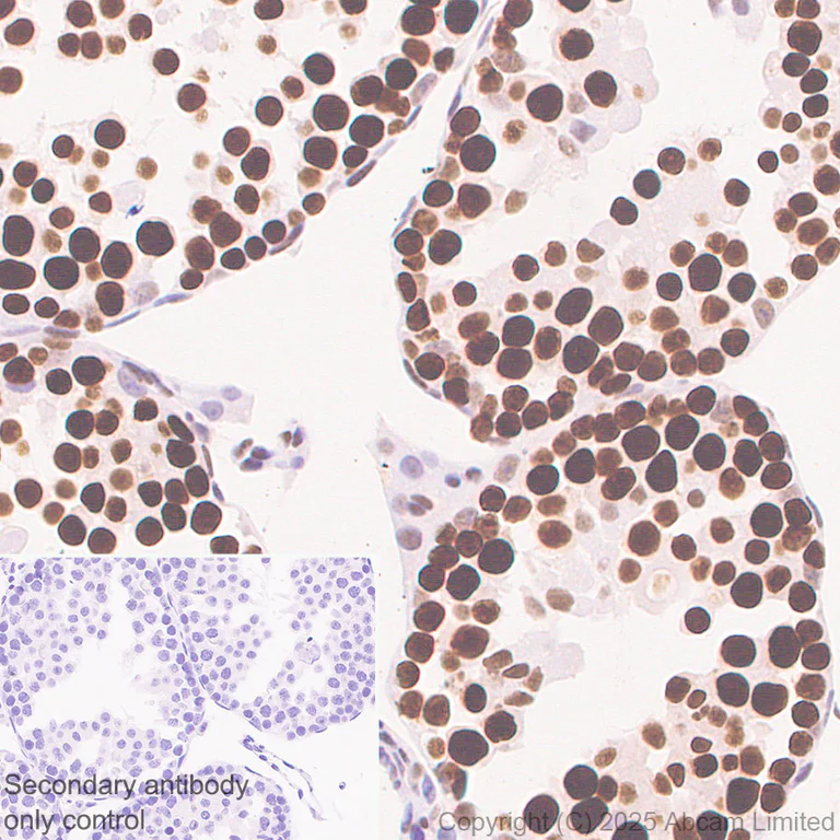
Immunohistochemical analysis of paraffin-embedded mouse testis tissue using ab110304 at a 1/1000 dilution followed by a ready to use secondary antibody LeicaDS9800 (Bond™ Polymer Refine Detection).

Nuclear staining on mouse testis.
The section was incubated with ab110304 for 30 mins at room temperature and followed by anti-mouse IgG1 antibody (ab125913) for 8 mins during the LeicaDS9800 kit staining procedure.
Hematoxylin was used as a counter stain.
The immunostaining was performed on a Leica Biosystems BOND® RX instrument.

Heat mediated antigen retrieval was performed with Citrate buffer (pH 6.0, Epitope Retrieval Solution 1) for 20 mins.

Immunohistochemistry (Formalin/PFA-fixed paraffin-embedded sections) - Anti-SIRT1 antibody [19A7AB4] (AB110304)
  • IHC-P

Lab

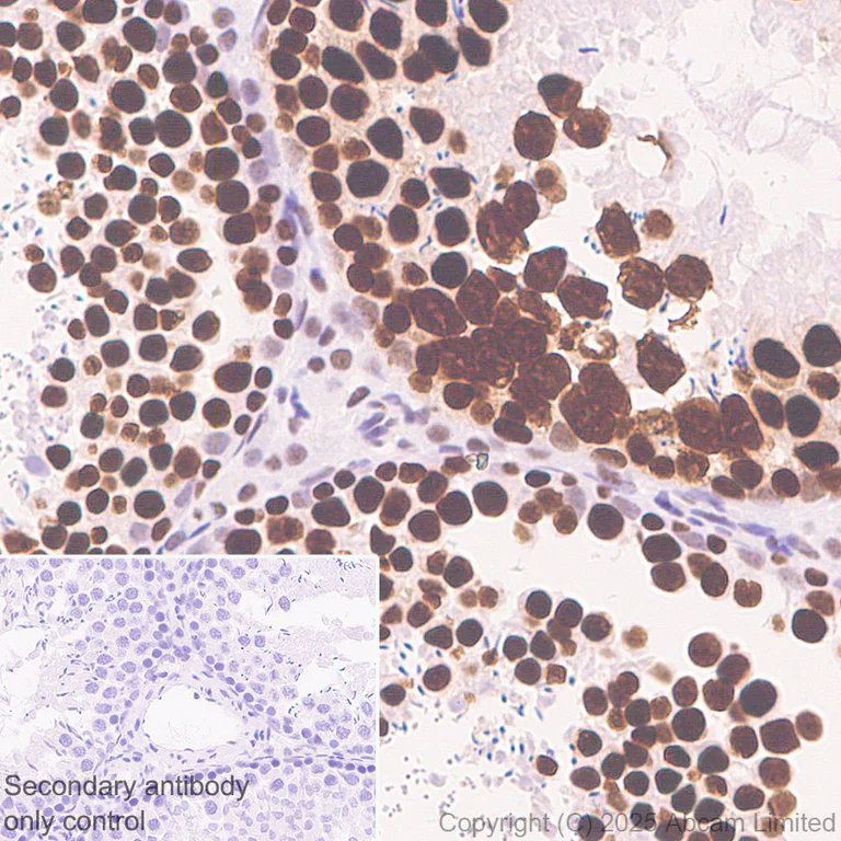
Immunohistochemistry (Formalin/PFA-fixed paraffin-embedded sections) - Anti-SIRT1 antibody [19A7AB4] (AB110304)

Immunohistochemical analysis of paraffin-embedded rat testis tissue using ab110304 at a 1/1000 dilution followed by a ready to use secondary antibody LeicaDS9800 (Bond™ Polymer Refine Detection).

Nuclear staining on rat testis.
The section was incubated with ab110304 for 30 mins at room temperature and followed by anti-mouse IgG1 antibody (ab125913) for 8 mins during the LeicaDS9800 kit staining procedure.
Hematoxylin was used as a counter stain.
The immunostaining was performed on a Leica Biosystems BOND® RX instrument.

Heat mediated antigen retrieval was performed with Citrate buffer (pH 6.0, Epitope Retrieval Solution 1) for 20 mins.

Immunocytochemistry/ Immunofluorescence - Anti-SIRT1 antibody [19A7AB4] (AB110304)
  • ICC/IF

Lab

Immunocytochemistry/ Immunofluorescence - Anti-SIRT1 antibody [19A7AB4] (AB110304)

Immunofluorescent analysis of 4% Paraformaldehyde-fixed, 0.1% TritonX-100 permeabilized C2C12 (mouse myoblast) cells labelling SIRT1 with ab110304 at 1/100 dilution followed by secondary antibody ab150117 Goat Anti-Mouse IgG H&L (Alexa Fluor® 488) preadsorbed at 1/1000 dilution.

ab206369 Anti-beta Tubulin rabbit monoclonal antibody (Alexa Fluor® 594) was used as a counterstain at a 1/200 dilution.

Confocal image showing nuclear staining in C2C12 cell line (shown in green). The counterstain was observed in magenta. Nuclear DNA was labelled with DAPI (shown in blue). Image was taken with a confocal microscope (Leica-Microsystems, TCS SP8).

Flow Cytometry (Intracellular) - Anti-SIRT1 antibody [19A7AB4] (AB110304)
  • Flow Cyt (Intra)

Lab

Flow Cytometry (Intracellular) - Anti-SIRT1 antibody [19A7AB4] (AB110304)

Flow cytometric analysis of 4% paraformaldehyde fixed, 90% methanol permeabilized PC-12(rat adrenal gland pheochromocytoma cell) cells labelling SIRT1 with ab110304 at 1/1000 dilution (0.1µg)/Red followed by a Goat Anti-Rabbit IgG (Alexa Fluor® 488, ab150081) at a 1/5000 dilution (Red) compared with a Rabbit monoclonal IgG (ab172730) (Black) isotype control and unlabelled control Cell without incubation with primary antibody and secondary antibody / Blue.

Western blot - Anti-SIRT1 antibody [19A7AB4] (AB110304)
  • WB

Lab

Western blot - Anti-SIRT1 antibody [19A7AB4] (AB110304)

Blocking and diluting buffer and concentration : 5% NFDM/TBST.

ab181602 was used as a GAPDH loading control at a 1/200000 dilution.

In Western blot, ab110304 was shown to bind specifically to SIRT1. Target of interest was observed at 37–150 kDa in wild-type A549 cell lysates (lane 1) with no signal observed at this size in SIRT1 knockout cell line (lane 2) (lane 2, knockout cell line ab287763).
The molecular weight observed is consistent with what has been described in the literature (PMID : 21305533).

All lanes:

Western blot - Anti-SIRT1 antibody [19A7AB4] (ab110304) at 1/1000 dilution

Lane 1:

Wild-type A549 (human lung carcinoma epithelial cell) whole cell lysate at 20 µg

Lane 2:

SIRT1 knockout A549 whole cell lysate at 20 µg

Lane 3:

HeLa (human cervical adenocarcinoma epithelial cell) whole cell lysate at 20 µg

Secondary

All lanes:

Peroxidase-Conjugated Goat anti-Mouse IgG (H+L) at 1/10000 dilution

Observed band size: 130 kDa

false

Exposure time: 180s

Western blot - Anti-SIRT1 antibody [19A7AB4] (AB110304)
  • WB

Lab

Western blot - Anti-SIRT1 antibody [19A7AB4] (AB110304)

Blocking and diluting buffer and concentration : 5% NFDM/TBST.

ab181602 was used as a GAPDH loading control at a 1/200000 dilution.

The molecular weight observed is consistent with what has been described in the literature (PMID : 21305533).

All lanes:

Western blot - Anti-SIRT1 antibody [19A7AB4] (ab110304) at 1/1000 dilution

Lane 1:

MEF (mouse embryo fibroblast) whole cell lysate at 20 µg

Lane 2:

C2C12 (mouse myoblast) whole cell lysate at 20 µg

Lane 3:

PC-12 (rat adrenal gland pheochromocytoma cell) whole cell lysate at 20 µg

Secondary

All lanes:

Peroxidase-Conjugated Goat anti-Mouse IgG (H+L) at 1/10000 dilution

Observed band size: 75-130 kDa

false

Exposure time: 26s

  • 519 Alexa Fluor® 488

    Alexa Fluor® 488 Anti-SIRT1 antibody [19A7AB4] - Nuclear Marker

  • Carrier free

    Anti-SIRT1 antibody [19A7AB4] - BSA and Azide free

Key facts

Host species

Mouse

Clonality

Monoclonal

Clone number

19A7AB4

Isotype

IgG1

Light chain type

kappa

Carrier free

No

Reacts with

Mouse, Rat, Human

Applications

WB, IHC-P, Flow Cyt (Intra), ICC/IF

applications

Immunogen

The exact immunogen used to generate this antibody is proprietary information.

Specificity

Expression levels of the target protein vary with sample type and some optimisation may be required. For western blotting, more concentrated lysates may be required when using tissues samples.

Reactivity data

{ "title": "Reactivity Data", "filters": { "stats": ["", "Species", "Dilution Info", "Notes"], "tabs": { "all-applications": {"fullname" : "All Applications", "shortname": "All Applications"}, "FlowCytIntra" : {"fullname" : "Flow Cytometry (Intracellular)", "shortname":"Flow Cyt (Intra)"}, "WB" : {"fullname" : "Western blot", "shortname":"WB"}, "ICCIF" : {"fullname" : "Immunocytochemistry/ Immunofluorescence", "shortname":"ICC/IF"}, "IHCP" : {"fullname" : "Immunohistochemistry (Formalin/PFA-fixed paraffin-embedded sections)", "shortname":"IHC-P"} }, "product-promise": { "all": "all", "testedAndGuaranteed": "tested", "guaranteed": "expected", "predicted": "predicted", "notRecommended": "not-recommended" } }, "values": { "Human": { "FlowCytIntra-species-checked": "testedAndGuaranteed", "FlowCytIntra-species-dilution-info": "1/1000", "FlowCytIntra-species-notes": "<p><a href='/en-us/products/primary-antibodies/mouse-igg1-kappa-monoclonal-15-6e10a7-isotype-control-ab170190'>ab170190</a> - Mouse monoclonal IgG1, is suitable for use as an isotype control with this antibody.</p>", "WB-species-checked": "testedAndGuaranteed", "WB-species-dilution-info": "1/1000", "WB-species-notes": "<p>Detects a band of approximately 110 kDa (110-121 kDa) which is likely to be due to post translational glycosylation. SIRT1 is known to bind to several other proteins, and the 121 kDa band could also be due to the presence of one of these complexes (ensure samples are adequately reduced and denatured).</p>", "ICCIF-species-checked": "testedAndGuaranteed", "ICCIF-species-dilution-info": "1/100", "ICCIF-species-notes": "<p></p>", "IHCP-species-checked": "testedAndGuaranteed", "IHCP-species-dilution-info": "1/200 - 1/1000", "IHCP-species-notes": "<p></p> Perform heat-mediated antigen retrieval with citrate buffer pH 6 before commencing with IHC staining protocol." }, "Mouse": { "FlowCytIntra-species-checked": "notRecommended", "FlowCytIntra-species-dilution-info": "", "FlowCytIntra-species-notes": "<p></p>", "WB-species-checked": "testedAndGuaranteed", "WB-species-dilution-info": "1/1000", "WB-species-notes": "<p>Detects a band of approximately 110 kDa (110-121 kDa) which is likely to be due to post translational glycosylation. SIRT1 is known to bind to several other proteins, and the 121 kDa band could also be due to the presence of one of these complexes (ensure samples are adequately reduced and denatured).</p>", "ICCIF-species-checked": "testedAndGuaranteed", "ICCIF-species-dilution-info": "1/100", "ICCIF-species-notes": "<p></p>", "IHCP-species-checked": "testedAndGuaranteed", "IHCP-species-dilution-info": "1/200 - 1/1000", "IHCP-species-notes": "<p></p> Perform heat-mediated antigen retrieval with citrate buffer pH 6 before commencing with IHC staining protocol." }, "Rat": { "FlowCytIntra-species-checked": "testedAndGuaranteed", "FlowCytIntra-species-dilution-info": "1/1000", "FlowCytIntra-species-notes": "<p><a href='/en-us/products/primary-antibodies/mouse-igg1-kappa-monoclonal-15-6e10a7-isotype-control-ab170190'>ab170190</a> - Mouse monoclonal IgG1, is suitable for use as an isotype control with this antibody.</p>", "WB-species-checked": "testedAndGuaranteed", "WB-species-dilution-info": "1/1000", "WB-species-notes": "<p>Detects a band of approximately 110 kDa (110-121 kDa) which is likely to be due to post translational glycosylation. SIRT1 is known to bind to several other proteins, and the 121 kDa band could also be due to the presence of one of these complexes (ensure samples are adequately reduced and denatured).</p>", "ICCIF-species-checked": "testedAndGuaranteed", "ICCIF-species-dilution-info": "1/100", "ICCIF-species-notes": "<p></p>", "IHCP-species-checked": "testedAndGuaranteed", "IHCP-species-dilution-info": "1/200 - 1/1000", "IHCP-species-notes": "<p></p> Perform heat-mediated antigen retrieval with citrate buffer pH 6 before commencing with IHC staining protocol." } } }

Product details

What is this antibody validated in?
Anti-SIRT1 antibody [19A7AB4] (ab110304) is a mouse recombinant monoclonal antibody and is validated for use in Western Blot (WB), Flow Cytometry (Intra), Flow Cytometry (Flow Cyt), Immunohistochemistry (IHC-P), Immunocytochemistry/immunofluorescence (ICC/IF) in Human, Mouse, Rat samples.

What is the molecular weight of SIRT1?
Anti-SIRT1 [19A7AB4] (ab110304) specifically detects a band for SIRT1 (UniProt: Q96EB6) at a molecular weight of 81kDa.

Trusted by the scientific community
Anti-SIRT1 [19A7AB4] (ab110304) was first used in a scientific publication in 2011 and has been cited over 310 times in peer-reviewed journals.

Reviewed by scientists
Anti-SIRT1 [19A7AB4] (ab110304) has over 25 independent reviews from customers.

Specificity confirmed
The specificity of Anti-SIRT1 antibody [19A7AB4] (ab110304) has been confirmed by Western blot testing in SIRT1 Knockout HEK-293 cells.

Other related products
We have a range of other formats of antibody clone [19A7AB4] also available for your convenience: ab110304, Alexa Fluor® 488 - ab157401

Want a custom formulation?
This antibody clone is manufactured by Abcam. If you require a custom buffer formulation or conjugation for your experiments, please contact orders@abcam.com

What are the advantages of a recombinant monoclonal antibody?
This product is a recombinant monoclonal antibody, which offers several advantages including:

  • - High batch-to-batch consistency and reproducibility
  • - Improved sensitivity and specificity
  • - Long-term security of supply
  • - Animal-free batch production

For more information, read more on recombinant antibodies.

Properties and storage information

Form
Liquid
Purification technique
Affinity purification Protein A
Purification notes
ab110304 was produced in vitro using hybridomas grown in serum-free medium. Purity: >95% by SDS-PAGE.
Storage buffer
pH: 7.2 - 7.4 Preservative: 0.01% Sodium azide Constituents: PBS, 40% Glycerol (glycerin, glycerine), 0.05% BSA
Shipped at conditions
Blue Ice
Appropriate short-term storage duration
1-2 weeks
Appropriate short-term storage conditions
+4°C
Appropriate long-term storage conditions
-20°C
Aliquoting information
Upon delivery aliquot
Storage information
Avoid freeze / thaw cycle

Supplementary information

This supplementary information is collated from multiple sources and compiled automatically.

SIRT1 also known as Silent mating type information regulation 2 homolog 1 is a NAD-dependent deacetylase enzyme. SIRT1 weighs approximately 120 kDa and plays an important role in regulating transcription apoptosis and stress resistance. Researchers have found SIRT1 in various tissues with higher expression in the heart brain and skeletal muscle. It is a component of the larger family of sirtuins which are involved in metabolic regulation and aging.
Biological function summary

SIRT1 modulates several cellular processes such as gene silencing DNA repair and lifespan extension. SIRT1 participates in complexes with other proteins including histones and transcription factors to influence chromatin structure and gene expression. It acts through deacetylation of target proteins affecting their function and stability. The activity of SIRT1 is also linked to environmental and cellular conditions including caloric intake and oxidative stress.

Pathways

SIRT1 is integral in the regulation of metabolic and longevity pathways. It interacts with the FOXO family proteins and the tumor suppressor protein p53 aiding in response to cellular stress and metabolic demands. The role of SIRT1 in the insulin signaling pathway exemplifies its influence on glucose homeostasis and energy balance. These interactions highlight its importance in metabolic health and aging.

SIRT1 links to neurodegenerative diseases such as Alzheimer's disease and metabolic disorders like type 2 diabetes. In Alzheimer's disease SIRT1 interacts with the amyloid precursor protein suggesting a protective role against amyloid-beta accumulation. Additionally studies have shown connections between SIRT1 and insulin receptor substrates highlighting its role in managing insulin sensitivity and glucose metabolism in diabetes. Understanding SIRT1's functions offers potential therapeutic targets for these disorders.

Product protocols

For this product, it's our understanding that no specific protocols are required. You can visit:

Target data

NAD-dependent protein deacetylase that links transcriptional regulation directly to intracellular energetics and participates in the coordination of several separated cellular functions such as cell cycle, response to DNA damage, metabolism, apoptosis and autophagy (PubMed : 11672523, PubMed : 12006491, PubMed : 14976264, PubMed : 14980222, PubMed : 15126506, PubMed : 15152190, PubMed : 15205477, PubMed : 15469825, PubMed : 15692560, PubMed : 16079181, PubMed : 16166628, PubMed : 16892051, PubMed : 16998810, PubMed : 17283066, PubMed : 17290224, PubMed : 17334224, PubMed : 17505061, PubMed : 17612497, PubMed : 17620057, PubMed : 17936707, PubMed : 18203716, PubMed : 18296641, PubMed : 18662546, PubMed : 18687677, PubMed : 19188449, PubMed : 19220062, PubMed : 19364925, PubMed : 19690166, PubMed : 19934257, PubMed : 20097625, PubMed : 20100829, PubMed : 20203304, PubMed : 20375098, PubMed : 20620956, PubMed : 20670893, PubMed : 20817729, PubMed : 20955178, PubMed : 21149730, PubMed : 21245319, PubMed : 21471201, PubMed : 21504832, PubMed : 21555002, PubMed : 21698133, PubMed : 21701047, PubMed : 21775285, PubMed : 21807113, PubMed : 21841822, PubMed : 21890893, PubMed : 21947282, PubMed : 22274616, PubMed : 22918831, PubMed : 24415752, PubMed : 24824780, PubMed : 29681526, PubMed : 29765047, PubMed : 30409912). Can modulate chromatin function through deacetylation of histones and can promote alterations in the methylation of histones and DNA, leading to transcriptional repression (PubMed : 15469825). Deacetylates a broad range of transcription factors and coregulators, thereby regulating target gene expression positively and negatively (PubMed : 14976264, PubMed : 14980222, PubMed : 15152190). Serves as a sensor of the cytosolic ratio of NAD(+)/NADH which is altered by glucose deprivation and metabolic changes associated with caloric restriction (PubMed : 15205477). Is essential in skeletal muscle cell differentiation and in response to low nutrients mediates the inhibitory effect on skeletal myoblast differentiation which also involves 5'-AMP-activated protein kinase (AMPK) and nicotinamide phosphoribosyltransferase (NAMPT) (By similarity). Component of the eNoSC (energy-dependent nucleolar silencing) complex, a complex that mediates silencing of rDNA in response to intracellular energy status and acts by recruiting histone-modifying enzymes (PubMed : 18485871). The eNoSC complex is able to sense the energy status of cell : upon glucose starvation, elevation of NAD(+)/NADP(+) ratio activates SIRT1, leading to histone H3 deacetylation followed by dimethylation of H3 at 'Lys-9' (H3K9me2) by SUV39H1 and the formation of silent chromatin in the rDNA locus (PubMed : 18485871, PubMed : 21504832). Deacetylates 'Lys-266' of SUV39H1, leading to its activation (PubMed : 21504832). Inhibits skeletal muscle differentiation by deacetylating PCAF and MYOD1 (PubMed : 19188449). Deacetylates H2A and 'Lys-26' of H1-4 (PubMed : 15469825). Deacetylates 'Lys-16' of histone H4 (in vitro). Involved in NR0B2/SHP corepression function through chromatin remodeling : Recruited to LRH1 target gene promoters by NR0B2/SHP thereby stimulating histone H3 and H4 deacetylation leading to transcriptional repression (PubMed : 20375098). Proposed to contribute to genomic integrity via positive regulation of telomere length; however, reports on localization to pericentromeric heterochromatin are conflicting (By similarity). Proposed to play a role in constitutive heterochromatin (CH) formation and/or maintenance through regulation of the available pool of nuclear SUV39H1 (PubMed : 15469825, PubMed : 18004385). Upon oxidative/metabolic stress decreases SUV39H1 degradation by inhibiting SUV39H1 polyubiquitination by MDM2 (PubMed : 18004385, PubMed : 21504832). This increase in SUV39H1 levels enhances SUV39H1 turnover in CH, which in turn seems to accelerate renewal of the heterochromatin which correlates with greater genomic integrity during stress response (PubMed : 18004385, PubMed : 21504832). Deacetylates 'Lys-382' of p53/TP53 and impairs its ability to induce transcription-dependent proapoptotic program and modulate cell senescence (PubMed : 11672523, PubMed : 12006491, PubMed : 22542455). Deacetylates TAF1B and thereby represses rDNA transcription by the RNA polymerase I (By similarity). Deacetylates MYC, promotes the association of MYC with MAX and decreases MYC stability leading to compromised transformational capability (PubMed : 19364925, PubMed : 21807113). Deacetylates FOXO3 in response to oxidative stress thereby increasing its ability to induce cell cycle arrest and resistance to oxidative stress but inhibiting FOXO3-mediated induction of apoptosis transcriptional activity; also leading to FOXO3 ubiquitination and protesomal degradation (PubMed : 14976264, PubMed : 14980222, PubMed : 21841822). Appears to have a similar effect on MLLT7/FOXO4 in regulation of transcriptional activity and apoptosis (PubMed : 15126506). Deacetylates DNMT1; thereby impairs DNMT1 methyltransferase-independent transcription repressor activity, modulates DNMT1 cell cycle regulatory function and DNMT1-mediated gene silencing (PubMed : 21947282). Deacetylates RELA/NF-kappa-B p65 thereby inhibiting its transactivating potential and augments apoptosis in response to TNF-alpha (PubMed : 15152190). Deacetylates HIF1A, KAT5/TIP60, RB1 and HIC1 (PubMed : 17283066, PubMed : 17620057, PubMed : 20100829, PubMed : 20620956). Deacetylates FOXO1 resulting in its nuclear retention and enhancement of its transcriptional activity leading to increased gluconeogenesis in liver (PubMed : 15692560). Inhibits E2F1 transcriptional activity and apoptotic function, possibly by deacetylation (PubMed : 16892051). Involved in HES1- and HEY2-mediated transcriptional repression (PubMed : 12535671). In cooperation with MYCN seems to be involved in transcriptional repression of DUSP6/MAPK3 leading to MYCN stabilization by phosphorylation at 'Ser-62' (PubMed : 21698133). Deacetylates MEF2D (PubMed : 16166628). Required for antagonist-mediated transcription suppression of AR-dependent genes which may be linked to local deacetylation of histone H3 (PubMed : 17505061). Represses HNF1A-mediated transcription (By similarity). Required for the repression of ESRRG by CREBZF (PubMed : 19690166). Deacetylates NR1H3 and NR1H2 and deacetylation of NR1H3 at 'Lys-434' positively regulates transcription of NR1H3 : RXR target genes, promotes NR1H3 proteasomal degradation and results in cholesterol efflux; a promoter clearing mechanism after reach round of transcription is proposed (PubMed : 17936707). Involved in lipid metabolism : deacetylates LPIN1, thereby inhibiting diacylglycerol synthesis (PubMed : 20817729, PubMed : 29765047). Implicated in regulation of adipogenesis and fat mobilization in white adipocytes by repression of PPARG which probably involves association with NCOR1 and SMRT/NCOR2 (By similarity). Deacetylates p300/EP300 and PRMT1 (By similarity). Deacetylates ACSS2 leading to its activation, and HMGCS1 deacetylation (PubMed : 21701047). Involved in liver and muscle metabolism. Through deacetylation and activation of PPARGC1A is required to activate fatty acid oxidation in skeletal muscle under low-glucose conditions and is involved in glucose homeostasis (PubMed : 23142079). Involved in regulation of PPARA and fatty acid beta-oxidation in liver. Involved in positive regulation of insulin secretion in pancreatic beta cells in response to glucose; the function seems to imply transcriptional repression of UCP2. Proposed to deacetylate IRS2 thereby facilitating its insulin-induced tyrosine phosphorylation. Deacetylates SREBF1 isoform SREBP-1C thereby decreasing its stability and transactivation in lipogenic gene expression (PubMed : 17290224, PubMed : 20817729). Involved in DNA damage response by repressing genes which are involved in DNA repair, such as XPC and TP73, deacetylating XRCC6/Ku70, and facilitating recruitment of additional factors to sites of damaged DNA, such as SIRT1-deacetylated NBN can recruit ATM to initiate DNA repair and SIRT1-deacetylated XPA interacts with RPA2 (PubMed : 15205477, PubMed : 16998810, PubMed : 17334224, PubMed : 17612497, PubMed : 20670893, PubMed : 21149730). Also involved in DNA repair of DNA double-strand breaks by homologous recombination and specifically single-strand annealing independently of XRCC6/Ku70 and NBN (PubMed : 15205477, PubMed : 17334224, PubMed : 20097625). Promotes DNA double-strand breaks by mediating deacetylation of SIRT6 (PubMed : 32538779). Transcriptional suppression of XPC probably involves an E2F4 : RBL2 suppressor complex and protein kinase B (AKT) signaling. Transcriptional suppression of TP73 probably involves E2F4 and PCAF. Deacetylates WRN thereby regulating its helicase and exonuclease activities and regulates WRN nuclear translocation in response to DNA damage (PubMed : 18203716). Deacetylates APEX1 at 'Lys-6' and 'Lys-7' and stimulates cellular AP endonuclease activity by promoting the association of APEX1 to XRCC1 (PubMed : 19934257). Catalyzes deacetylation of ERCC4/XPF, thereby impairing interaction with ERCC1 and nucleotide excision repair (NER) (PubMed : 32034146). Increases p53/TP53-mediated transcription-independent apoptosis by blocking nuclear translocation of cytoplasmic p53/TP53 and probably redirecting it to mitochondria. Deacetylates XRCC6/Ku70 at 'Lys-539' and 'Lys-542' causing it to sequester BAX away from mitochondria thereby inhibiting stress-induced apoptosis. Is involved in autophagy, presumably by deacetylating ATG5, ATG7 and MAP1LC3B/ATG8 (PubMed : 18296641). Deacetylates AKT1 which leads to enhanced binding of AKT1 and PDK1 to PIP3 and promotes their activation (PubMed : 21775285). Proposed to play role in regulation of STK11/LBK1-dependent AMPK signaling pathways implicated in cellular senescence which seems to involve the regulation of the acetylation status of STK11/LBK1. Can deacetylate STK11/LBK1 and thereby increase its activity, cytoplasmic localization and association with STRAD; however, the relevance of such activity in normal cells is unclear (PubMed : 18687677, PubMed : 20203304). In endothelial cells is shown to inhibit STK11/LBK1 activity and to promote its degradation. Deacetylates SMAD7 at 'Lys-64' and 'Lys-70' thereby promoting its degradation. Deacetylates CIITA and augments its MHC class II transactivation and contributes to its stability (PubMed : 21890893). Deacetylates MECOM/EVI1 (PubMed : 21555002). Deacetylates PML at 'Lys-487' and this deacetylation promotes PML control of PER2 nuclear localization (PubMed : 22274616). During the neurogenic transition, represses selective NOTCH1-target genes through histone deacetylation in a BCL6-dependent manner and leading to neuronal differentiation. Regulates the circadian expression of several core clock genes, including BMAL1, RORC, PER2 and CRY1 and plays a critical role in maintaining a controlled rhythmicity in histone acetylation, thereby contributing to circadian chromatin remodeling (PubMed : 18662546). Deacetylates BMAL1 and histones at the circadian gene promoters in order to facilitate repression by inhibitory components of the circadian oscillator (By similarity). Deacetylates PER2, facilitating its ubiquitination and degradation by the proteasome (By similarity). Protects cardiomyocytes against palmitate-induced apoptosis (By similarity). Deacetylates XBP1 isoform 2; deacetylation decreases protein stability of XBP1 isoform 2 and inhibits its transcriptional activity (PubMed : 20955178). Deacetylates PCK1 and directs its activity toward phosphoenolpyruvate production promoting gluconeogenesis (PubMed : 30193097). Involved in the CCAR2-mediated regulation of PCK1 and NR1D1 (PubMed : 24415752). Deacetylates CTNB1 at 'Lys-49' (PubMed : 24824780). In POMC (pro-opiomelanocortin) neurons, required for leptin-induced activation of PI3K signaling (By similarity). Deacetylates SOX9; promoting SOX9 nuclear localization and transactivation activity (By similarity). Involved in the regulation of centrosome duplication : deacetylates CENATAC in G1 phase, allowing for SASS6 accumulation on the centrosome and subsequent procentriole assembly (PubMed : 31722219). Deacetylates NDC80/HEC1 (PubMed : 30409912). In addition to protein deacetylase activity, also acts as a protein-lysine deacylase by mediating protein delactylation, depropionylation and decrotonylation (PubMed : 28497810, PubMed : 38512451). Mediates depropionylation of Osterix (SP7) (By similarity). Catalyzes decrotonylation of histones; it however does not represent a major histone decrotonylase (PubMed : 28497810). Mediates protein delactylation of TEAD1 and YAP1 (PubMed : 38512451).. Isoform 2. Deacetylates 'Lys-382' of p53/TP53, however with lower activity than isoform 1. In combination, the two isoforms exert an additive effect. Isoform 2 regulates p53/TP53 expression and cellular stress response and is in turn repressed by p53/TP53 presenting a SIRT1 isoform-dependent auto-regulatory loop.. SirtT1 75 kDa fragment. Catalytically inactive 75SirT1 may be involved in regulation of apoptosis. May be involved in protecting chondrocytes from apoptotic death by associating with cytochrome C and interfering with apoptosome assembly.. (Microbial infection) In case of HIV-1 infection, interacts with and deacetylates the viral Tat protein. The viral Tat protein inhibits SIRT1 deacetylation activity toward RELA/NF-kappa-B p65, thereby potentiates its transcriptional activity and SIRT1 is proposed to contribute to T-cell hyperactivation during infection.
See full target information SIRT1

Publications (445)

Recent publications for all applications. Explore the full list and refine your search

Current medical science 45:1244-1253 PubMed41060356

2025

miR-320a Regulates Placenta Endothelial Function After Fetal Cardiopulmonary Bypass via the ATG7-SIRT1/FOXO1 Pathway.

Applications

Unspecified application

Species

Unspecified reactive species

Yun Teng,Miao Tian,Xiao-Kang Luo,Qiu-Ping Jiang,Hai-Yun Yuan,Jian Zhuang,Ji-Mei Chen,Cheng-Bin Zhou

Food science & nutrition 13:e71009 PubMed40994455

2025

Screening Based on Structural and Biological Verification of Stachyose as a PPARγ-Modulating Ligand for the Treatment of Non-Alcoholic Fatty Liver Disease.

Applications

Unspecified application

Species

Unspecified reactive species

Binbo Fang,Mengyuan Li,Feng Jiang,Weisong Dong,Weizhi Zhang,Lifan Lin,Yongheng Bai,Jianjian Zheng

World journal of diabetes 16:109553 PubMed40980297

2025

Farrerol ameliorates diabetic cardiomyopathy by inhibiting ferroptosis miR-29b-3p/SIRT1 signaling pathway in endothelial cells.

Applications

Unspecified application

Species

Unspecified reactive species

Yan Guo,Xin-Rou Yu,Hao-Di Gu,Yu-Jie Wang,Zhen-Gang Yang,Ju-Fang Chi,Liu-Ping Zhang,Hui Lin

Journal of bone and mineral metabolism : PubMed40956314

2025

Trolox, r-irisin and resveratrol cocktail to counteract osteoblast metabolism alterations in osteoarthritis and osteoporosis.

Applications

Unspecified application

Species

Unspecified reactive species

Roberto Bonanni,Angela Falvino,Amarildo Smakaj,Lucia Tranquillo,Anna Maria Rinaldi,Giovanna D'Arcangelo,Pierangelo Cifelli,Virginia Tancredi,Ida Cariati,Umberto Tarantino

Frontiers in cell and developmental biology 13:1524919 PubMed40950405

2025

SIRT1 retention in elongating spermatids interferes with histone displacement by counteracting MOF-dependent H4K16 acetylation.

Applications

Unspecified application

Species

Unspecified reactive species

Veronica Porreca,Teresa Chioccarelli,Francesco Albano,Valeria Nittoli,Giulia Ricci,Concetta Ambrosino,Rosanna Chianese,Vincenza Grazia Mele,Antonella Migliaccio,Mariano Stornaiuolo,Antonio Suglia,Gilda Cobellis,Francesco Manfrevola

CNS neuroscience & therapeutics 31:e70454 PubMed40859434

2025

A Decoy Oligodeoxynucleotides Disturbing Forkhead Box O3 Mediated ctnna2 Transcriptional Repression Prevents Postoperative Neurocognitive Disorder in Mice.

Applications

Unspecified application

Species

Unspecified reactive species

Zhixin Wu,Dongkun Xie,Jing Zhao,Jianshuai Zhao,Huiqing Liu,Dong Xing,Tingting Gu,Yaru Guo,Dan Wang,Zhihong Lu,Hailong Dong,Junlong Zhao,Jiao Deng

Orphanet journal of rare diseases 20:453 PubMed40849475

2025

Alpha-lipoic acid supplementation improves pathological alterations in cellular models of Friedreich ataxia.

Applications

Unspecified application

Species

Unspecified reactive species

Marta Talaverón-Rey,Diana Reche-López,Suleva Povea-Cabello,Mónica Álvarez-Córdoba,David Gómez-Fernández,Ana Romero-González,Paula Cilleros-Holgado,José Manuel Romero-Domínguez,Alejandra López-Cabrera,Rocío Piñero-Pérez,Susana González-Granero,José Manuel García-Verdugo,José A Sánchez-Alcázar

BMC geriatrics 25:645 PubMed40836274

2025

AIMP1 exerts hearing protection role in age related hearing loss mice by regulating SIRT1 expression.

Applications

Unspecified application

Species

Unspecified reactive species

Haisen Peng,Jiali Liu,Yuehui Liu,Chunhua Li,Zhilin Zhang,Shuihua Hu,Wen Xie

Brain and behavior 15:e70728 PubMed40760806

2025

Curcumin Promotes the Recovery of Motor Function After Brachial Plexus Avulsion Injury in Rats.

Applications

Unspecified application

Species

Unspecified reactive species

Sijing Li,Bing He,Guijuan Zhou,Lin Wu,Xuanwei Wen,Limin Deng,Shudong Lin,Guozhi Liu,Shuangxi Chen,Zijian Xiao

Clinical epigenetics 17:135 PubMed40739268

2025

Clinical significance and prognostic value of SIRT1 genetic variants in sepsis: a multicenter hospital-based case-control study.

Applications

Unspecified application

Species

Unspecified reactive species

Junbing He,Meiting Yang,Yao Lin,Wanbing Qin,Ruoxuan Yang,Yuting Qin,Lizhen Liu,Mingwei Xu,Yiming Shao,Qinghua Liu
View all publications

Product promise

We are committed to supporting your work with high-quality reagents, and we're here for you every step of the way. In the unlikely event that one of our products does not perform as expected, you're protected by our Product Promise.
For full details, please see our Terms & Conditions

Please note: All products are 'FOR RESEARCH USE ONLY. NOT FOR USE IN DIAGNOSTIC OR THERAPEUTIC PROCEDURES'.

For licensing inquiries, please contact partnerships@abcam.com