JavaScript is disabled in your browser. Please enable JavaScript to view this website.
AB189494

Anti-SIRT1 antibody [EPR18239]

  • 20ul selling size
  • KO Validated
  • RabMAb
  • Recombinant
  • What is this?

4

(4 Reviews)

|

(201 Publications)

Anti-SIRT1 antibody [EPR18239] (ab189494) is a rabbit monoclonal antibody detecting SIRT1 in Western Blot, Flow Cytometry (Intra), Flow Cytometry, IP, IHC-P, ICC/IF. Suitable for Human, Mouse, Rat.

- KO validated for confirmed specificity
- Biophysical QC for unrivalled batch-batch consistency
- Over 100 publications

View Alternative Names

SIR2L1, SIRT1, NAD-dependent protein deacetylase sirtuin-1, hSIRT1, NAD-dependent protein deacylase sirtuin-1, Regulatory protein SIR2 homolog 1, SIR2-like protein 1, hSIR2

13 Images
Immunocytochemistry/ Immunofluorescence - Anti-SIRT1 antibody [EPR18239] (AB189494)
  • ICC/IF

Unknown

Immunocytochemistry/ Immunofluorescence - Anti-SIRT1 antibody [EPR18239] (AB189494)

Immunofluorescent analysis of 4% paraformaldehyde-fixed, 0.1% methanol-permeabilized HeLa (human epithelial cell line from cervix adenocarcinoma) cells labeling SIRT1 with ab189494 at 1/100 dilution, followed by Goat Anti-Rabbit IgG H&L (Alexa Fluor® 488) (ab150077) secondary antibody at 1/1000 dilution (green). Confocal image showing nuclear and weakly cytoplasmic staining in HeLa cell line.

The nuclear counterstain is DAPI (blue). Tubulin is detected with Anti-alpha Tubulin antibody [DM1A] - Microtubule Marker (Alexa Fluor® 594) (ab195889) at 1/200 dilution (red).

Secondary antibody only control : Used PBS instead of primary antibody, secondary antibody is Goat Anti-Rabbit IgG H&L (Alexa Fluor® 488) (ab150077) secondary antibody at 1/1000 dilution.

Flow Cytometry (Intracellular) - Anti-SIRT1 antibody [EPR18239] (AB189494)
  • Flow Cyt (Intra)

Supplier Data

Flow Cytometry (Intracellular) - Anti-SIRT1 antibody [EPR18239] (AB189494)

Intracellular flow cytometric analysis of4% paraformaldehyde-fixed, 90% methanol-permeabilized HeLa (human epithelial cell line from cervix adenocarcinoma) cell line labeling SIRT1 with ab189494 at 1/60 dilution (red) compared with a rabbit IgG, monoclonal [EPR25A] - Isotype Control (ab172730) (black) and an unlabelled control (cells without incubation with primary antibody and secondary antibody) (blue). Goat Anti-Rabbit IgG H&L (Alexa Fluorr® 488) (ab150077), at 1/2000 dilution was used as the secondary antibody.

Immunohistochemistry (Formalin/PFA-fixed paraffin-embedded sections) - Anti-SIRT1 antibody [EPR18239] (AB189494)
  • IHC-P

Unknown

Immunohistochemistry (Formalin/PFA-fixed paraffin-embedded sections) - Anti-SIRT1 antibody [EPR18239] (AB189494)

Immunohistochemical analysis of paraffin-embedded human skeletal muscle tissue labeling SIRT1 with ab189494 at 1/500 dilution, followed by Goat Anti-Rabbit IgG H&L (HRP) ready to use. Cytoplasmic staining in human skeletal muscle (PMID : 23332867) is observed. Counter stained with Hematoxylin.

Secondary antibody only control : Used PBS instead of primary antibody, secondary antibody is Goat Anti-Rabbit IgG H&L (HRP) ready to use.

Perform heat-mediated antigen retrieval using Citrate, pH 6.0.

Immunohistochemistry (Formalin/PFA-fixed paraffin-embedded sections) - Anti-SIRT1 antibody [EPR18239] (AB189494)
  • IHC-P

Unknown

Immunohistochemistry (Formalin/PFA-fixed paraffin-embedded sections) - Anti-SIRT1 antibody [EPR18239] (AB189494)

Immunohistochemical analysis of paraffin-embedded human testis tissue labeling SIRT1 with ab189494 at 1/500 dilution, followed by Goat Anti-Rabbit IgG H&L (HRP) ready to use. Mainly nuclear staining in human testis (PMID : 17197703) is observed. Counter stained with Hematoxylin.

Secondary antibody only control : Used PBS instead of primary antibody, secondary antibody is Goat Anti-Rabbit IgG H&L (HRP) ready to use.

Perform heat-mediated antigen retrieval using Citrate, pH 6.0.

Immunocytochemistry/ Immunofluorescence - Anti-SIRT1 antibody [EPR18239] (AB189494)
  • ICC/IF

Unknown

Immunocytochemistry/ Immunofluorescence - Anti-SIRT1 antibody [EPR18239] (AB189494)

Immunofluorescent analysis of 4% paraformaldehyde-fixed, 0.1% methanol-permeabilized F9 (mouse embryonic testicular cancer cell line) cells labeling SIRT1 with ab189494 at 1/100 dilution, followed by Goat Anti-Rabbit IgG H&L (Alexa Fluor® 488) (ab150077) secondary antibody at 1/1000 dilution (green). Confocal image showing nuclear and weakly cytoplasmic staining in F9 cell line.

The nuclear counterstain is DAPI (blue). Tubulin is detected with Anti-alpha Tubulin antibody [DM1A] - Microtubule Marker (Alexa Fluor® 594) (ab195889) at 1/200 dilution (red).

Secondary antibody only control : Used PBS instead of primary antibody, secondary antibody is Goat Anti-Rabbit IgG H&L (Alexa Fluor® 488) (ab150077) secondary antibody at 1/1000 dilution.

Immunohistochemistry (Formalin/PFA-fixed paraffin-embedded sections) - Anti-SIRT1 antibody [EPR18239] (AB189494)
  • IHC-P

Unknown

Immunohistochemistry (Formalin/PFA-fixed paraffin-embedded sections) - Anti-SIRT1 antibody [EPR18239] (AB189494)

Immunohistochemical analysis of paraffin-embedded rat skeletal muscle tissue labeling SIRT1 with ab189494 at 1/1000 dilution, followed by Goat Anti-Rabbit IgG H&L (HRP) ready to use. Cytoplasmic staining in rat skeletal muscle (PMID : 23332867) is observed. Counter stained with Hematoxylin.

Secondary antibody only control : Used PBS instead of primary antibody, secondary antibody is Goat Anti-Rabbit IgG H&L (HRP) ready to use.

Perform heat-mediated antigen retrieval using Citrate, pH 6.0.

Flow Cytometry (Intracellular) - Anti-SIRT1 antibody [EPR18239] (AB189494)
  • Flow Cyt (Intra)

Supplier Data

Flow Cytometry (Intracellular) - Anti-SIRT1 antibody [EPR18239] (AB189494)

Intracellular flow cytometric analysis of4% paraformaldehyde-fixed, 90% methanol-permeabilized F9 (mouse embryonic testicular cancer cell line) cell line labeling SIRT1 with ab189494 at 1/60 dilution (red) compared with a rabbit IgG, monoclonal [EPR25A] - Isotype Control (ab172730) (black) and an unlabelled control (cells without incubation with primary antibody and secondary antibody) (blue). Goat Anti-Rabbit IgG H&L (Alexa Fluorr®488) (ab150077), at 1/2000 dilution was used as the secondary antibody.

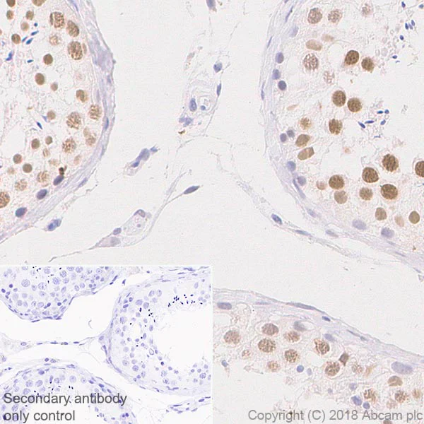
Immunohistochemistry (Formalin/PFA-fixed paraffin-embedded sections) - Anti-SIRT1 antibody [EPR18239] (AB189494)
  • IHC-P

Unknown

Immunohistochemistry (Formalin/PFA-fixed paraffin-embedded sections) - Anti-SIRT1 antibody [EPR18239] (AB189494)

Immunohistochemical analysis of paraffin-embedded mouse testis tissue labeling SIRT1 with ab189494 at 1/500 dilution, followed by Goat Anti-Rabbit IgG H&L (HRP) ready to use. Mainly nuclear staining in mouse testis (PMID : 17197703) is observed. Counter stained with Hematoxylin.

Secondary antibody only control : Used PBS instead of primary antibody, secondary antibody is Goat Anti-Rabbit IgG H&L (HRP) ready to use.

Perform heat-mediated antigen retrieval using Citrate, pH 6.0.

Immunoprecipitation - Anti-SIRT1 antibody [EPR18239] (AB189494)
  • IP

Unknown

Immunoprecipitation - Anti-SIRT1 antibody [EPR18239] (AB189494)

SIRT1 was immunoprecipitated from 0.35 mg of F9 (mouse embryonic testicular cancer cell line) whole cell lysate with ab189494 at 1/30 dilution. Western blot was performed from the immunoprecipitate using ab189494 at 1/1000 dilution. VeriBlot for IP Detection Reagent (HRP) (ab131366), was used for detection at 1/5000 dilution.

Lane 1 : F9 whole lysate 10 μg (Input).
Lane 2 : ab189494 IP in F9 whole cell lysate.
Lane 3 : Rabbit monoclonal IgG (ab172730) instead of ab189494 in F9 whole cell lysate.

Blocking and dilution buffer and concentration : 5% NFDM/TBST.
Exposure time : 50 seconds.

All lanes:

Immunoprecipitation - Anti-SIRT1 antibody [EPR18239] (ab189494)

Predicted band size: 81 kDa

Observed band size: 110 kDa

false

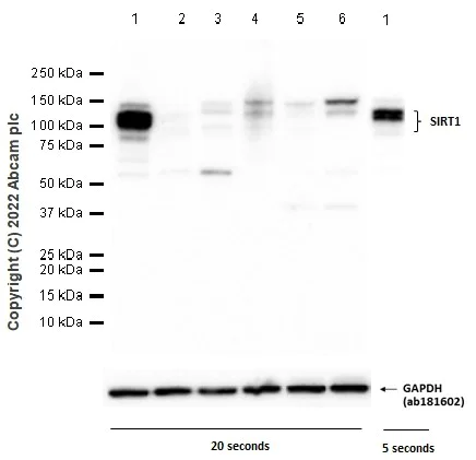
Western blot - Anti-SIRT1 antibody [EPR18239] (AB189494)
  • WB

Unknown

Western blot - Anti-SIRT1 antibody [EPR18239] (AB189494)

Blocking and dilution buffer : 5% NFDM/TBST.

Exposure times :

Lanes 1 & 2 : 8 seconds

Lane 3 : 32 seconds

Lanes 4 & 5 : 67 seconds

Lane 6 : 59 seconds

Lane 7 : 10 seconds

The expression profile is consistent with what has been described in the literature (PMID : 21474819).

The 75 kDa band is a cleaved fragment of SIRT1 (PMID : 25770475, PMID : 21305533), while the approximately 85 kDa band likely represents a splice variant (PMID : 20975832).

Lanes 1 - 6:

Western blot - Anti-SIRT1 antibody [EPR18239] (ab189494) at 1/1000 dilution

Lane 7:

Western blot - Anti-SIRT1 antibody [EPR18239] (ab189494) at 1/5000 dilution

Lane 1:

Mouse testis tissue lysate at 20 µg

Lane 2:

F9 (mouse embryonic testicular cancer cell line) whole cell lysate at 20 µg

Lane 3:

HeLa (human epithelial cell line from cervix adenocarcinoma) whole cell lysate at 20 µg

Lane 4:

Rat E18 brain tissue lysate at 20 µg

Lane 5:

A549 (human lung carcinoma cell line) whole cell lysate at 20 µg

Lane 6:

Human testis tissue lysate at 10 µg

Lane 7:

Rat testis tissue lysate at 10 µg

Secondary

All lanes:

Western blot - Goat Anti-Rabbit IgG H&L (HRP) (<a href='/en-us/products/secondary-antibodies/goat-rabbit-igg-h-l-hrp-ab97051'>ab97051</a>) at 1/20000 dilution

Predicted band size: 81 kDa

Observed band size: 110 kDa,120 kDa

true

Western blot - Anti-SIRT1 antibody [EPR18239] (AB189494)
  • WB

Lab

Western blot - Anti-SIRT1 antibody [EPR18239] (AB189494)

Western blot : Anti-SIRT1 antibody [EPR18239] (ab189494) staining at 1/1000 dilution, shown in green; Mouse anti-GAPDH antibody [6C5] (ab8245) loading control staining at 1/20000 dilution, shown in magenta. In Western blot, ab189494 was shown to bind specifically to SIRT1. A band was observed at 110 kDa in wild-type A549 cell lysates with no signal observed at this size in SIRT1 knockout cell line. To generate this image, wild-type and SIRT1 knockout A549 cell lysates were analysed. First, samples were run on an SDS-PAGE gel then transferred onto a nitrocellulose membrane. Membranes were blocked in 3 % milk in TBS-0.1 % Tween® 20 (TBS-T) before incubation with primary antibodies overnight at 4 °C. Blots were washed four times in TBS-T, incubated with secondary antibodies for 1 h at room temperature, washed again four times then imaged. Secondary antibodies used were Goat anti-Rabbit IgG H&L 800CW and Goat anti-Mouse IgG H&L 680RD at 1/20000 dilution.

All lanes:

Western blot - Anti-SIRT1 antibody [EPR18239] (ab189494) at 1/1000 dilution

Lane 1:

Wild-type A549 cell lysate at 20 µg

Lane 2:

SIRT1 knockout A549 cell lysate at 20 µg

Lane 3:

Wild-type HEK-293 cell lysate at 20 µg

Lane 4:

SIRT1 knockout HEK-293 cell lysate at 20 µg

Secondary

All lanes:

Goat anti-Rabbit IgG H&L 800CW and Goat anti-Mouse IgG H&L 680RD at 1/20000 dilution

false

Western blot - Anti-SIRT1 antibody [EPR18239] (AB189494)
  • WB

Lab

Western blot - Anti-SIRT1 antibody [EPR18239] (AB189494)

Lanes 1 - 4 : Merged signal (red and green). Green - ab189494 observed at 110 kDa. Red - loading control, ab8245 (Mouse anti-GAPDH antibody [6C5]) observed at 37kDa.

ab189494 was shown to react with SIRT1 in western blot. The band observed in the CRISPR/Cas9 edited lysate lane below 110kDa may represent truncated forms and cleaved fragments. This has not been investigated further. Membranes were blocked in 3% milk in TBS-T (0.1% Tween®) before incubation with ab189494 and ab8245 (Mouse anti-GAPDH antibody [6C5]) overnight at 4°C at a 1 in 1000 Dilution and a 1 in 20000 dilution respectively. Blots were incubated with Goat anti-Rabbit IgG H&L (IRDye® 800CW) preabsorbed (ab216773) and Goat anti-Mouse IgG H&L (IRDye® 680RD) preabsorbed (ab216776) secondary antibodies at 1 in 20000 dilution for 1 hour at room temperature before imaging.

All lanes:

Western blot - Anti-SIRT1 antibody [EPR18239] (ab189494) at 1/1000 dilution

Lane 1:

Wild-type HEK-293 cell lysate at 20 µg

Lane 2:

SIRT1 CRISPR/Cas9 edited HEK-293 cell lysate at 20 µg

Lane 3:

MDA-MB-231 cell lysate at 20 µg

Lane 4:

HeLa cell lysate at 20 µg

Predicted band size: 81 kDa

Observed band size: 110 kDa

false

Western blot - Anti-SIRT1 antibody [EPR18239] (AB189494)
  • WB

Lab

Western blot - Anti-SIRT1 antibody [EPR18239] (AB189494)

Blocking buffer and concentration : 5% NFDM/TBST Diluting buffer and concentration : 5% NFDM /TBST Exposure time : 20,5 seconds This antibody detects strong band in testis but weak band in other tissues like colon, kidney, lymph node and liver. Please upload more lysate or use lower dilution when testing these tissues. We are unsure as to the identity of the band around 130kDa.

Lanes 1 - 6:

Western blot - Anti-SIRT1 antibody [EPR18239] - BSA and Azide free (<a href='/en-us/products/primary-antibodies/sirt1-antibody-epr18239-bsa-and-azide-free-ab233398'>ab233398</a>) at 1/1000 dilution

Lanes 1 - 6:

Western blot - Anti-SIRT1 antibody [EPR18239] (ab189494) at 1/1000 dilution

Lane 1:

Mouse testis tissue lysate at 20 µg

Lane 2:

Mouse colon tissue lysate at 20 µg

Lane 3:

Mouse kidney tissue lysate at 20 µg

Lane 4:

Mouse lymph node tissue lysate at 20 µg

Lane 5:

Mouse liver tissue lysate at 20 µg

Lane 6:

Mouse liver tissue lysate

Secondary

All lanes:

Western blot - Goat Anti-Rabbit IgG H&L (HRP) (<a href='/en-us/products/secondary-antibodies/goat-rabbit-igg-h-l-hrp-ab97051'>ab97051</a>) at 1/20000 dilution

Predicted band size: 81 kDa

Observed band size: 120 kDa,110 kDa,75 kDa

false

Exposure time: 20.5s

  • Carrier free

    Anti-SIRT1 antibody [EPR18239] - BSA and Azide free

Key facts

Host species

Rabbit

Clonality

Monoclonal

Clone number

EPR18239

Isotype

IgG

Carrier free

No

Reacts with

Mouse, Rat, Human

Applications

WB, IHC-P, Flow Cyt (Intra), ICC/IF, IP

applications

Immunogen

The exact immunogen used to generate this antibody is proprietary information.

Reactivity data

{ "title": "Reactivity Data", "filters": { "stats": ["", "Species", "Dilution Info", "Notes"], "tabs": { "all-applications": {"fullname" : "All Applications", "shortname": "All Applications"}, "IHCP" : {"fullname" : "Immunohistochemistry (Formalin/PFA-fixed paraffin-embedded sections)", "shortname":"IHC-P"}, "IP" : {"fullname" : "Immunoprecipitation", "shortname":"IP"}, "WB" : {"fullname" : "Western blot", "shortname":"WB"}, "ICCIF" : {"fullname" : "Immunocytochemistry/ Immunofluorescence", "shortname":"ICC/IF"}, "FlowCytIntra" : {"fullname" : "Flow Cytometry (Intracellular)", "shortname":"Flow Cyt (Intra)"} }, "product-promise": { "all": "all", "testedAndGuaranteed": "tested", "guaranteed": "expected", "predicted": "predicted", "notRecommended": "not-recommended" } }, "values": { "Human": { "IHCP-species-checked": "testedAndGuaranteed", "IHCP-species-dilution-info": "1/500", "IHCP-species-notes": "<p></p>", "IP-species-checked": "guaranteed", "IP-species-dilution-info": "", "IP-species-notes": "", "WB-species-checked": "testedAndGuaranteed", "WB-species-dilution-info": "1/1000", "WB-species-notes": "<p></p>", "ICCIF-species-checked": "testedAndGuaranteed", "ICCIF-species-dilution-info": "1/100", "ICCIF-species-notes": "<p></p>", "FlowCytIntra-species-checked": "testedAndGuaranteed", "FlowCytIntra-species-dilution-info": "1/60", "FlowCytIntra-species-notes": "<p></p>" }, "Mouse": { "IHCP-species-checked": "testedAndGuaranteed", "IHCP-species-dilution-info": "1/500", "IHCP-species-notes": "<p></p>", "IP-species-checked": "testedAndGuaranteed", "IP-species-dilution-info": "1/30", "IP-species-notes": "<p></p>", "WB-species-checked": "testedAndGuaranteed", "WB-species-dilution-info": "1/1000", "WB-species-notes": "<p></p>", "ICCIF-species-checked": "testedAndGuaranteed", "ICCIF-species-dilution-info": "1/100", "ICCIF-species-notes": "<p></p>", "FlowCytIntra-species-checked": "testedAndGuaranteed", "FlowCytIntra-species-dilution-info": "1/60", "FlowCytIntra-species-notes": "<p></p>" }, "Rat": { "IHCP-species-checked": "testedAndGuaranteed", "IHCP-species-dilution-info": "1/500", "IHCP-species-notes": "<p></p>", "IP-species-checked": "guaranteed", "IP-species-dilution-info": "", "IP-species-notes": "", "WB-species-checked": "testedAndGuaranteed", "WB-species-dilution-info": "1/1000", "WB-species-notes": "<p></p>", "ICCIF-species-checked": "guaranteed", "ICCIF-species-dilution-info": "", "ICCIF-species-notes": "", "FlowCytIntra-species-checked": "guaranteed", "FlowCytIntra-species-dilution-info": "", "FlowCytIntra-species-notes": "" } } }

Product details

What is this antibody validated in?
Anti-SIRT1 antibody [EPR18239] (ab189494) is a rabbit recombinant monoclonal antibody and is validated for use in Western Blot (WB), Flow Cytometry (Intra), Flow Cytometry (Flow Cyt), Immunoprecipitation (IP), Immunohistochemistry (IHC-P), Immunocytochemistry/immunofluorescence (ICC/IF) in Human, Mouse, Rat samples.

What is the molecular weight of SIRT1?
Anti-SIRT1 [EPR18239] (ab189494) specifically detects a band for SIRT1 (UniProt: Q923E4) at a molecular weight of 80kDa.

Trusted by the scientific community
Anti-SIRT1 [EPR18239] (ab189494) was first used in a scientific publication in 2018 and has been cited over 100 times in peer-reviewed journals.

Trial sizes available!
Test your antibody or perform pre-screening before committing to a larger quantity. Sold in 10µl. Discover our selection of trial-size antibodies.

Specificity confirmed
The specificity of Anti-SIRT1 antibody [EPR18239] (ab189494) has been confirmed by Western blot testing in SIRT1 Knockout A549 cells.

Other related products
We have a range of other formats of antibody clone [EPR18239] also available for your convenience: ab189494, Carrier free - ab233398

Patented technology
Our RabMAb® technology is a patented hybridoma-based technology for making rabbit monoclonal antibodies. For details on our patents, please refer to RabMAb® patents.

What are the advantages of a recombinant monoclonal antibody?
This product is a recombinant monoclonal antibody, which offers several advantages including:

  • - High batch-to-batch consistency and reproducibility
  • - Improved sensitivity and specificity
  • - Long-term security of supply
  • - Animal-free batch production

For more information, read more on recombinant antibodies.

Properties and storage information

Form
Liquid
Purification technique
Affinity purification Protein A
Storage buffer
pH: 7.2 - 7.4 Preservative: 0.01% Sodium azide Constituents: PBS, 40% Glycerol (glycerin, glycerine), 0.05% BSA
Shipped at conditions
Blue Ice
Appropriate short-term storage duration
1-2 weeks
Appropriate short-term storage conditions
+4°C
Appropriate long-term storage conditions
-20°C
Aliquoting information
Upon delivery aliquot
Storage information
Avoid freeze / thaw cycle

Supplementary information

This supplementary information is collated from multiple sources and compiled automatically.

SIRT1 also known as Silent mating type information regulation 2 homolog 1 is a NAD-dependent deacetylase enzyme. SIRT1 weighs approximately 120 kDa and plays an important role in regulating transcription apoptosis and stress resistance. Researchers have found SIRT1 in various tissues with higher expression in the heart brain and skeletal muscle. It is a component of the larger family of sirtuins which are involved in metabolic regulation and aging.
Biological function summary

SIRT1 modulates several cellular processes such as gene silencing DNA repair and lifespan extension. SIRT1 participates in complexes with other proteins including histones and transcription factors to influence chromatin structure and gene expression. It acts through deacetylation of target proteins affecting their function and stability. The activity of SIRT1 is also linked to environmental and cellular conditions including caloric intake and oxidative stress.

Pathways

SIRT1 is integral in the regulation of metabolic and longevity pathways. It interacts with the FOXO family proteins and the tumor suppressor protein p53 aiding in response to cellular stress and metabolic demands. The role of SIRT1 in the insulin signaling pathway exemplifies its influence on glucose homeostasis and energy balance. These interactions highlight its importance in metabolic health and aging.

SIRT1 links to neurodegenerative diseases such as Alzheimer's disease and metabolic disorders like type 2 diabetes. In Alzheimer's disease SIRT1 interacts with the amyloid precursor protein suggesting a protective role against amyloid-beta accumulation. Additionally studies have shown connections between SIRT1 and insulin receptor substrates highlighting its role in managing insulin sensitivity and glucose metabolism in diabetes. Understanding SIRT1's functions offers potential therapeutic targets for these disorders.

Product protocols

For this product, it's our understanding that no specific protocols are required. You can visit:

Target data

NAD-dependent protein deacetylase that links transcriptional regulation directly to intracellular energetics and participates in the coordination of several separated cellular functions such as cell cycle, response to DNA damage, metabolism, apoptosis and autophagy (PubMed : 11672523, PubMed : 12006491, PubMed : 14976264, PubMed : 14980222, PubMed : 15126506, PubMed : 15152190, PubMed : 15205477, PubMed : 15469825, PubMed : 15692560, PubMed : 16079181, PubMed : 16166628, PubMed : 16892051, PubMed : 16998810, PubMed : 17283066, PubMed : 17290224, PubMed : 17334224, PubMed : 17505061, PubMed : 17612497, PubMed : 17620057, PubMed : 17936707, PubMed : 18203716, PubMed : 18296641, PubMed : 18662546, PubMed : 18687677, PubMed : 19188449, PubMed : 19220062, PubMed : 19364925, PubMed : 19690166, PubMed : 19934257, PubMed : 20097625, PubMed : 20100829, PubMed : 20203304, PubMed : 20375098, PubMed : 20620956, PubMed : 20670893, PubMed : 20817729, PubMed : 20955178, PubMed : 21149730, PubMed : 21245319, PubMed : 21471201, PubMed : 21504832, PubMed : 21555002, PubMed : 21698133, PubMed : 21701047, PubMed : 21775285, PubMed : 21807113, PubMed : 21841822, PubMed : 21890893, PubMed : 21947282, PubMed : 22274616, PubMed : 22918831, PubMed : 24415752, PubMed : 24824780, PubMed : 29681526, PubMed : 29765047, PubMed : 30409912). Can modulate chromatin function through deacetylation of histones and can promote alterations in the methylation of histones and DNA, leading to transcriptional repression (PubMed : 15469825). Deacetylates a broad range of transcription factors and coregulators, thereby regulating target gene expression positively and negatively (PubMed : 14976264, PubMed : 14980222, PubMed : 15152190). Serves as a sensor of the cytosolic ratio of NAD(+)/NADH which is altered by glucose deprivation and metabolic changes associated with caloric restriction (PubMed : 15205477). Is essential in skeletal muscle cell differentiation and in response to low nutrients mediates the inhibitory effect on skeletal myoblast differentiation which also involves 5'-AMP-activated protein kinase (AMPK) and nicotinamide phosphoribosyltransferase (NAMPT) (By similarity). Component of the eNoSC (energy-dependent nucleolar silencing) complex, a complex that mediates silencing of rDNA in response to intracellular energy status and acts by recruiting histone-modifying enzymes (PubMed : 18485871). The eNoSC complex is able to sense the energy status of cell : upon glucose starvation, elevation of NAD(+)/NADP(+) ratio activates SIRT1, leading to histone H3 deacetylation followed by dimethylation of H3 at 'Lys-9' (H3K9me2) by SUV39H1 and the formation of silent chromatin in the rDNA locus (PubMed : 18485871, PubMed : 21504832). Deacetylates 'Lys-266' of SUV39H1, leading to its activation (PubMed : 21504832). Inhibits skeletal muscle differentiation by deacetylating PCAF and MYOD1 (PubMed : 19188449). Deacetylates H2A and 'Lys-26' of H1-4 (PubMed : 15469825). Deacetylates 'Lys-16' of histone H4 (in vitro). Involved in NR0B2/SHP corepression function through chromatin remodeling : Recruited to LRH1 target gene promoters by NR0B2/SHP thereby stimulating histone H3 and H4 deacetylation leading to transcriptional repression (PubMed : 20375098). Proposed to contribute to genomic integrity via positive regulation of telomere length; however, reports on localization to pericentromeric heterochromatin are conflicting (By similarity). Proposed to play a role in constitutive heterochromatin (CH) formation and/or maintenance through regulation of the available pool of nuclear SUV39H1 (PubMed : 15469825, PubMed : 18004385). Upon oxidative/metabolic stress decreases SUV39H1 degradation by inhibiting SUV39H1 polyubiquitination by MDM2 (PubMed : 18004385, PubMed : 21504832). This increase in SUV39H1 levels enhances SUV39H1 turnover in CH, which in turn seems to accelerate renewal of the heterochromatin which correlates with greater genomic integrity during stress response (PubMed : 18004385, PubMed : 21504832). Deacetylates 'Lys-382' of p53/TP53 and impairs its ability to induce transcription-dependent proapoptotic program and modulate cell senescence (PubMed : 11672523, PubMed : 12006491, PubMed : 22542455). Deacetylates TAF1B and thereby represses rDNA transcription by the RNA polymerase I (By similarity). Deacetylates MYC, promotes the association of MYC with MAX and decreases MYC stability leading to compromised transformational capability (PubMed : 19364925, PubMed : 21807113). Deacetylates FOXO3 in response to oxidative stress thereby increasing its ability to induce cell cycle arrest and resistance to oxidative stress but inhibiting FOXO3-mediated induction of apoptosis transcriptional activity; also leading to FOXO3 ubiquitination and protesomal degradation (PubMed : 14976264, PubMed : 14980222, PubMed : 21841822). Appears to have a similar effect on MLLT7/FOXO4 in regulation of transcriptional activity and apoptosis (PubMed : 15126506). Deacetylates DNMT1; thereby impairs DNMT1 methyltransferase-independent transcription repressor activity, modulates DNMT1 cell cycle regulatory function and DNMT1-mediated gene silencing (PubMed : 21947282). Deacetylates RELA/NF-kappa-B p65 thereby inhibiting its transactivating potential and augments apoptosis in response to TNF-alpha (PubMed : 15152190). Deacetylates HIF1A, KAT5/TIP60, RB1 and HIC1 (PubMed : 17283066, PubMed : 17620057, PubMed : 20100829, PubMed : 20620956). Deacetylates FOXO1 resulting in its nuclear retention and enhancement of its transcriptional activity leading to increased gluconeogenesis in liver (PubMed : 15692560). Inhibits E2F1 transcriptional activity and apoptotic function, possibly by deacetylation (PubMed : 16892051). Involved in HES1- and HEY2-mediated transcriptional repression (PubMed : 12535671). In cooperation with MYCN seems to be involved in transcriptional repression of DUSP6/MAPK3 leading to MYCN stabilization by phosphorylation at 'Ser-62' (PubMed : 21698133). Deacetylates MEF2D (PubMed : 16166628). Required for antagonist-mediated transcription suppression of AR-dependent genes which may be linked to local deacetylation of histone H3 (PubMed : 17505061). Represses HNF1A-mediated transcription (By similarity). Required for the repression of ESRRG by CREBZF (PubMed : 19690166). Deacetylates NR1H3 and NR1H2 and deacetylation of NR1H3 at 'Lys-434' positively regulates transcription of NR1H3 : RXR target genes, promotes NR1H3 proteasomal degradation and results in cholesterol efflux; a promoter clearing mechanism after reach round of transcription is proposed (PubMed : 17936707). Involved in lipid metabolism : deacetylates LPIN1, thereby inhibiting diacylglycerol synthesis (PubMed : 20817729, PubMed : 29765047). Implicated in regulation of adipogenesis and fat mobilization in white adipocytes by repression of PPARG which probably involves association with NCOR1 and SMRT/NCOR2 (By similarity). Deacetylates p300/EP300 and PRMT1 (By similarity). Deacetylates ACSS2 leading to its activation, and HMGCS1 deacetylation (PubMed : 21701047). Involved in liver and muscle metabolism. Through deacetylation and activation of PPARGC1A is required to activate fatty acid oxidation in skeletal muscle under low-glucose conditions and is involved in glucose homeostasis (PubMed : 23142079). Involved in regulation of PPARA and fatty acid beta-oxidation in liver. Involved in positive regulation of insulin secretion in pancreatic beta cells in response to glucose; the function seems to imply transcriptional repression of UCP2. Proposed to deacetylate IRS2 thereby facilitating its insulin-induced tyrosine phosphorylation. Deacetylates SREBF1 isoform SREBP-1C thereby decreasing its stability and transactivation in lipogenic gene expression (PubMed : 17290224, PubMed : 20817729). Involved in DNA damage response by repressing genes which are involved in DNA repair, such as XPC and TP73, deacetylating XRCC6/Ku70, and facilitating recruitment of additional factors to sites of damaged DNA, such as SIRT1-deacetylated NBN can recruit ATM to initiate DNA repair and SIRT1-deacetylated XPA interacts with RPA2 (PubMed : 15205477, PubMed : 16998810, PubMed : 17334224, PubMed : 17612497, PubMed : 20670893, PubMed : 21149730). Also involved in DNA repair of DNA double-strand breaks by homologous recombination and specifically single-strand annealing independently of XRCC6/Ku70 and NBN (PubMed : 15205477, PubMed : 17334224, PubMed : 20097625). Promotes DNA double-strand breaks by mediating deacetylation of SIRT6 (PubMed : 32538779). Transcriptional suppression of XPC probably involves an E2F4 : RBL2 suppressor complex and protein kinase B (AKT) signaling. Transcriptional suppression of TP73 probably involves E2F4 and PCAF. Deacetylates WRN thereby regulating its helicase and exonuclease activities and regulates WRN nuclear translocation in response to DNA damage (PubMed : 18203716). Deacetylates APEX1 at 'Lys-6' and 'Lys-7' and stimulates cellular AP endonuclease activity by promoting the association of APEX1 to XRCC1 (PubMed : 19934257). Catalyzes deacetylation of ERCC4/XPF, thereby impairing interaction with ERCC1 and nucleotide excision repair (NER) (PubMed : 32034146). Increases p53/TP53-mediated transcription-independent apoptosis by blocking nuclear translocation of cytoplasmic p53/TP53 and probably redirecting it to mitochondria. Deacetylates XRCC6/Ku70 at 'Lys-539' and 'Lys-542' causing it to sequester BAX away from mitochondria thereby inhibiting stress-induced apoptosis. Is involved in autophagy, presumably by deacetylating ATG5, ATG7 and MAP1LC3B/ATG8 (PubMed : 18296641). Deacetylates AKT1 which leads to enhanced binding of AKT1 and PDK1 to PIP3 and promotes their activation (PubMed : 21775285). Proposed to play role in regulation of STK11/LBK1-dependent AMPK signaling pathways implicated in cellular senescence which seems to involve the regulation of the acetylation status of STK11/LBK1. Can deacetylate STK11/LBK1 and thereby increase its activity, cytoplasmic localization and association with STRAD; however, the relevance of such activity in normal cells is unclear (PubMed : 18687677, PubMed : 20203304). In endothelial cells is shown to inhibit STK11/LBK1 activity and to promote its degradation. Deacetylates SMAD7 at 'Lys-64' and 'Lys-70' thereby promoting its degradation. Deacetylates CIITA and augments its MHC class II transactivation and contributes to its stability (PubMed : 21890893). Deacetylates MECOM/EVI1 (PubMed : 21555002). Deacetylates PML at 'Lys-487' and this deacetylation promotes PML control of PER2 nuclear localization (PubMed : 22274616). During the neurogenic transition, represses selective NOTCH1-target genes through histone deacetylation in a BCL6-dependent manner and leading to neuronal differentiation. Regulates the circadian expression of several core clock genes, including BMAL1, RORC, PER2 and CRY1 and plays a critical role in maintaining a controlled rhythmicity in histone acetylation, thereby contributing to circadian chromatin remodeling (PubMed : 18662546). Deacetylates BMAL1 and histones at the circadian gene promoters in order to facilitate repression by inhibitory components of the circadian oscillator (By similarity). Deacetylates PER2, facilitating its ubiquitination and degradation by the proteasome (By similarity). Protects cardiomyocytes against palmitate-induced apoptosis (By similarity). Deacetylates XBP1 isoform 2; deacetylation decreases protein stability of XBP1 isoform 2 and inhibits its transcriptional activity (PubMed : 20955178). Deacetylates PCK1 and directs its activity toward phosphoenolpyruvate production promoting gluconeogenesis (PubMed : 30193097). Involved in the CCAR2-mediated regulation of PCK1 and NR1D1 (PubMed : 24415752). Deacetylates CTNB1 at 'Lys-49' (PubMed : 24824780). In POMC (pro-opiomelanocortin) neurons, required for leptin-induced activation of PI3K signaling (By similarity). Deacetylates SOX9; promoting SOX9 nuclear localization and transactivation activity (By similarity). Involved in the regulation of centrosome duplication : deacetylates CENATAC in G1 phase, allowing for SASS6 accumulation on the centrosome and subsequent procentriole assembly (PubMed : 31722219). Deacetylates NDC80/HEC1 (PubMed : 30409912). In addition to protein deacetylase activity, also acts as a protein-lysine deacylase by mediating protein delactylation, depropionylation and decrotonylation (PubMed : 28497810, PubMed : 38512451). Mediates depropionylation of Osterix (SP7) (By similarity). Catalyzes decrotonylation of histones; it however does not represent a major histone decrotonylase (PubMed : 28497810). Mediates protein delactylation of TEAD1 and YAP1 (PubMed : 38512451).. Isoform 2. Deacetylates 'Lys-382' of p53/TP53, however with lower activity than isoform 1. In combination, the two isoforms exert an additive effect. Isoform 2 regulates p53/TP53 expression and cellular stress response and is in turn repressed by p53/TP53 presenting a SIRT1 isoform-dependent auto-regulatory loop.. SirtT1 75 kDa fragment. Catalytically inactive 75SirT1 may be involved in regulation of apoptosis. May be involved in protecting chondrocytes from apoptotic death by associating with cytochrome C and interfering with apoptosome assembly.. (Microbial infection) In case of HIV-1 infection, interacts with and deacetylates the viral Tat protein. The viral Tat protein inhibits SIRT1 deacetylation activity toward RELA/NF-kappa-B p65, thereby potentiates its transcriptional activity and SIRT1 is proposed to contribute to T-cell hyperactivation during infection.
See full target information SIRT1

Publications (201)

Recent publications for all applications. Explore the full list and refine your search

Journal of translational medicine 23:1012 PubMed40993688

2025

Hypoxia reverses the early anti-inflammatory microglial response to the β-amyloid peptide: mitochondrial involvement and beneficial roles of melatonin and naringenin.

Applications

Unspecified application

Species

Unspecified reactive species

Cristiana Lucia Rita Lipari,Aurora Patti,Stefano Conti-Nibali,Angela Anna Messina,Andrea Magrì,Maria Angela Sortino,Sara Merlo

Food science & nutrition 13:e71009 PubMed40994455

2025

Screening Based on Structural and Biological Verification of Stachyose as a PPARγ-Modulating Ligand for the Treatment of Non-Alcoholic Fatty Liver Disease.

Applications

Unspecified application

Species

Unspecified reactive species

Binbo Fang,Mengyuan Li,Feng Jiang,Weisong Dong,Weizhi Zhang,Lifan Lin,Yongheng Bai,Jianjian Zheng

Chinese medicine 20:142 PubMed40890747

2025

Sodium tanshinone IIA sulfonate alleviates osteoarthritis through targeting SIRT1.

Applications

Unspecified application

Species

Unspecified reactive species

Mao Xu,Xulei Sun,Xiao Ma,Zixuan Qin,Xin Gao,Xinxin Jin,Hongzhi Sun

BMC neuroscience 26:56 PubMed40885954

2025

SRT1720 ameliorates LPS-induced depressive-like behaviors in mice and activates Parkin-mediated mitophagy.

Applications

Unspecified application

Species

Unspecified reactive species

Luna Sun,Chaoran Li,Jianli Shi,Wenfeng Zeng,Lingling Wu,Shunlun Wan,Yunxia Wang

Scientific reports 15:29741 PubMed40804251

2025

HSF1 in macrophages suppressed the progression of asthma via modulating SIRPα/SHP2-Dectin-1/ SYK mediated ROS and inflammatory responses.

Applications

Unspecified application

Species

Unspecified reactive species

Xiaojuan Liu,Yingqian Zhang,Huifang Wu,Jingli Zhang,Yingxue Wang,Huifeng Zhang

Drug design, development and therapy 19:6587-6603 PubMed40761667

2025

Liu Wei Di Huang Decoction Alleviates Renal Fibrosis by Inhibiting Endothelial Mesenchymal Transitions via Upregulating Sirt1 Expression and Inhibiting the Wnt/β-Catenin Signaling Pathway.

Applications

Unspecified application

Species

Unspecified reactive species

Hui Wang,Shuang-Shuang Chen,Yong-Xian Zhang,Hai-Bo Gao,Bin Meng,Wei-Yu Wu,Qun Tang

Food chemistry: X 29:102707 PubMed40686867

2025

Extract of camellia seed cake ameliorates glycolipid metabolism disorder in mice through inhibiting ACOX1 activity.

Applications

Unspecified application

Species

Unspecified reactive species

Bolin Chen,Li Ma,Xinzhi Chen,Zhigang Li,Qinhe Zhu,Changwei Liu,Haixiang He,Zhixu Zhang,Chuyi Zhou,Guanying Liu,Yuqiao Zhou,Senwen Deng,Shiyin Guo,Yongzhong Chen

Naunyn-Schmiedeberg's archives of pharmacology : PubMed40514518

2025

Alpha-asarone relieves nasal inflammation, epithelial barrier damage, and mitochondrial damage in allergic rhinitis by inhibiting mitochondrial ROS via the SIRT1/PGC-1α pathway.

Applications

Unspecified application

Species

Unspecified reactive species

Bin Xu,Weimin Gao,Haitong Li,Xiaojuan Cao,Xiaohong Chen,Nannan Dong,Lingfang Wu,Yunzhen Luo

Diabetic medicine : a journal of the British Diabetic Association 42:e70087 PubMed40509919

2025

Astragaloside IV alleviates diabetic foot ulcers by promoting the METTL3-mediated m6A modification of SIRT1.

Applications

Unspecified application

Species

Unspecified reactive species

Yu Liu,Hao Zheng,Jiayuan Zhang

Journal of clinical and translational hepatology 13:456-468 PubMed40474887

2025

Investigation of HO-1 Regulation of Liver Fibrosis Related to Nonalcoholic Fatty Liver Disease Through the SIRT1/TGF-ß/Smad3 Pathway.

Applications

Unspecified application

Species

Unspecified reactive species

Mengjiao Sun,Xiaoqing Wu,Zhandong Lin,Congyue Zhang,Jiawei Cui,Yaoyao Mao,Yue Shi,Jiaming Zhang,Yuemin Nan
View all publications

Product promise

We are committed to supporting your work with high-quality reagents, and we're here for you every step of the way. In the unlikely event that one of our products does not perform as expected, you're protected by our Product Promise.
For full details, please see our Terms & Conditions

Please note: All products are 'FOR RESEARCH USE ONLY. NOT FOR USE IN DIAGNOSTIC OR THERAPEUTIC PROCEDURES'.

For licensing inquiries, please contact partnerships@abcam.com