JavaScript is disabled in your browser. Please enable JavaScript to view this website.
AB247432

Anti-SIRT1 (phospho S47) antibody [EPR2849Y] - BSA and Azide free

Be the first to review this product! Submit a review

|

(1 Publication)

Rabbit Recombinant Monoclonal SIRT1 phospho S47 antibody. Carrier free. Suitable for IHC-P, ICC/IF, Dot, WB and reacts with Human, Synthetic peptide samples. Cited in 1 publication.

View Alternative Names

SIR2L1, SIRT1, NAD-dependent protein deacetylase sirtuin-1, hSIRT1, NAD-dependent protein deacylase sirtuin-1, Regulatory protein SIR2 homolog 1, SIR2-like protein 1, hSIR2

6 Images
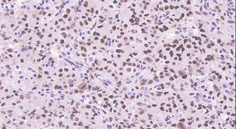
Immunohistochemistry (Formalin/PFA-fixed paraffin-embedded sections) - Anti-SIRT1 (phospho S47) antibody [EPR2849Y] - BSA and Azide free (AB247432)
  • IHC-P

Unknown

Immunohistochemistry (Formalin/PFA-fixed paraffin-embedded sections) - Anti-SIRT1 (phospho S47) antibody [EPR2849Y] - BSA and Azide free (AB247432)

This data was developed using the same antibody clone in a different buffer formulation (ab76039).
Immunohistochemical analysis of paraffin-embedded human gastric adenocarcinoma tissue sections labeling SIRT1 with purified ab76039 at 1/300 dilution. Rabbit specific IHC polymer detection kit HRP/DAB (ab209101) was used as the secondary antibody. Sections were counterstained with Hematoxylin.
Antigen retrieval was heat mediated antigen retrieval using Bond™ Epitope Retrieval Solution 2 (pH 9.0) .
The immunostaining was performed on a Leica Biosystems BOND™ RX instrument

Immunocytochemistry/ Immunofluorescence - Anti-SIRT1 (phospho S47) antibody [EPR2849Y] - BSA and Azide free (AB247432)
  • ICC/IF

Unknown

Immunocytochemistry/ Immunofluorescence - Anti-SIRT1 (phospho S47) antibody [EPR2849Y] - BSA and Azide free (AB247432)

This data was developed using ab76039, the same antibody clone in a different buffer formulation.

Immunocytochemistry/Immunofluorescence analysis of A549 +/- LP cells labelling SIRT1 (phospho S47) with ab76039 at a dilution of 1/100. Cells were fixed with 4% paraformaldehyde and permeabilized with 0.1% tritonX-100. ab150077 (goat anti-rabbit IgG Alexa Fluor® 488) (1/1000) was used as the secondary antibody. The cells were co-stained with ab195889 (Anti-alpha Tubulin antibody [DM1A] - Microtubule Marker (Alexa Fluor® 594)) at a 1/200 dilution. Nuclei counterstained with DAPI (blue).

Western blot - Anti-SIRT1 (phospho S47) antibody [EPR2849Y] - BSA and Azide free (AB247432)
  • WB

Unknown

Western blot - Anti-SIRT1 (phospho S47) antibody [EPR2849Y] - BSA and Azide free (AB247432)

This data was developed using ab76039, the same antibody clone in a different buffer formulation.

Blocking and dilution buffer : 5% NFDM/TBST.

All lanes:

Western blot - Anti-SIRT1 (phospho S47) antibody [EPR2849Y] (<a href='/en-us/products/primary-antibodies/sirt1-phospho-s47-antibody-epr2849y-ab76039'>ab76039</a>) at 1/2000 dilution

Lane 1:

A549 (human lung carcinoma epithelial cell) whole cell lysate at 10 µg

Lane 2:

A549 treated with 1mM AICAR for 48 hours whole cell lysate at 10 µg

Lane 3:

A549 treated with 1mM AICAR for 48 hours whole cell lysate. Then the membrane was incubated with alkaline phosphatase at 10 µg

Secondary

All lanes:

Western blot - Goat Anti-Rabbit IgG H&L (HRP) (<a href='/en-us/products/secondary-antibodies/goat-rabbit-igg-h-l-hrp-ab97051'>ab97051</a>) at 1/20000 dilution

Predicted band size: 81 kDa

Observed band size: 110 kDa

false

Western blot - Anti-SIRT1 (phospho S47) antibody [EPR2849Y] - BSA and Azide free (AB247432)
  • WB

Unknown

Western blot - Anti-SIRT1 (phospho S47) antibody [EPR2849Y] - BSA and Azide free (AB247432)

This data was developed using ab76039, the same antibody clone in a different buffer formulation.

All lanes:

Western blot - Anti-SIRT1 (phospho S47) antibody [EPR2849Y] (<a href='/en-us/products/primary-antibodies/sirt1-phospho-s47-antibody-epr2849y-ab76039'>ab76039</a>) at 1/2000 dilution

Lane 1:

293 cell lysate at 10 µg

Lane 2:

293 cell lysate treated with LP at 10 µg

Secondary

All lanes:

HRP labelled goat anti-rabbit at 1/2000 dilution

Predicted band size: 81 kDa

Observed band size: 82 kDa

false

Western blot - Anti-SIRT1 (phospho S47) antibody [EPR2849Y] - BSA and Azide free (AB247432)
  • WB

Unknown

Western blot - Anti-SIRT1 (phospho S47) antibody [EPR2849Y] - BSA and Azide free (AB247432)

This data was developed using ab76039, the same antibody clone in a different buffer formulation.

Blocking and dilution buffer : 5% NFDM/TBST.

All lanes:

Western blot - Anti-SIRT1 (phospho S47) antibody [EPR2849Y] (<a href='/en-us/products/primary-antibodies/sirt1-phospho-s47-antibody-epr2849y-ab76039'>ab76039</a>) at 1/1000 dilution

Lane 1:

NIH:OVCAR-3 (human ovary adenocarcinoma epithelial cell), whole cell lysate at 10 µg

Lane 2:

NIH:OVCAR-3 treated with 2mM H2O2 for 30 minutes whole cell lysate at 10 µg

Lane 3:

NIH:OVCAR-3 treated with 2mM H2O2 for 30 min whole cell lysate. Then the membrane was incubated with alkaline phosphatase at 10 µg

Secondary

All lanes:

Western blot - Goat Anti-Rabbit IgG H&L (HRP) (<a href='/en-us/products/secondary-antibodies/goat-rabbit-igg-h-l-hrp-ab97051'>ab97051</a>) at 1/5000 dilution

Predicted band size: 81 kDa

Observed band size: 110 kDa

false

Dot Blot - Anti-SIRT1 (phospho S47) antibody [EPR2849Y] - BSA and Azide free (AB247432)
  • Dot

Unknown

Dot Blot - Anti-SIRT1 (phospho S47) antibody [EPR2849Y] - BSA and Azide free (AB247432)

This data was developed using ab76039, the same antibody clone in a different buffer formulation.

Dot blot analysis of SIRT1 (phospho S47) phospho peptide (Lane 1) and SIRT1 non-phospho peptide (Lane 2) labelling SIRT1 (phospho S47) with ab76039 at a dilution of 1/1000. A Goat Anti-Rabbit IgG, (H+L), Peroxidase conjugated (ab97051) was used as the secondary antibody at a dilution of 1/20,000. Blocking buffer : 5% NFDM/TBST. Dilution buffer : 5% NFDM /TBST.

Key facts

Host species

Rabbit

Clonality

Monoclonal

Clone number

EPR2849Y

Isotype

IgG

Carrier free

Yes

Reacts with

Human

Applications

ICC/IF, IHC-P, WB, Dot

applications

Immunogen

The exact immunogen used to generate this antibody is proprietary information.

Reactivity data

{ "title": "Reactivity Data", "filters": { "stats": ["", "Species", "Dilution Info", "Notes"], "tabs": { "all-applications": {"fullname" : "All Applications", "shortname": "All Applications"}, "IHCP" : {"fullname" : "Immunohistochemistry (Formalin/PFA-fixed paraffin-embedded sections)", "shortname":"IHC-P"}, "ICCIF" : {"fullname" : "Immunocytochemistry/ Immunofluorescence", "shortname":"ICC/IF"}, "IP" : {"fullname" : "Immunoprecipitation", "shortname":"IP"}, "Dot" : {"fullname" : "Dot Blot", "shortname":"Dot"}, "WB" : {"fullname" : "Western blot", "shortname":"WB"} }, "product-promise": { "all": "all", "testedAndGuaranteed": "tested", "guaranteed": "expected", "predicted": "predicted", "notRecommended": "not-recommended" } }, "values": { "Human": { "IHCP-species-checked": "testedAndGuaranteed", "IHCP-species-dilution-info": "", "IHCP-species-notes": "<p></p>", "ICCIF-species-checked": "testedAndGuaranteed", "ICCIF-species-dilution-info": "", "ICCIF-species-notes": "<p></p>", "IP-species-checked": "notRecommended", "IP-species-dilution-info": "", "IP-species-notes": "<p></p>", "Dot-species-checked": "guaranteed", "Dot-species-dilution-info": "", "Dot-species-notes": "", "WB-species-checked": "testedAndGuaranteed", "WB-species-dilution-info": "", "WB-species-notes": "<p></p>" }, "Synthetic peptide": { "IHCP-species-checked": "notRecommended", "IHCP-species-dilution-info": "", "IHCP-species-notes": "", "ICCIF-species-checked": "notRecommended", "ICCIF-species-dilution-info": "", "ICCIF-species-notes": "", "IP-species-checked": "notRecommended", "IP-species-dilution-info": "", "IP-species-notes": "", "Dot-species-checked": "testedAndGuaranteed", "Dot-species-dilution-info": "", "Dot-species-notes": "<p></p>", "WB-species-checked": "notRecommended", "WB-species-dilution-info": "", "WB-species-notes": "" } } }

Product details

ab247432 is the carrier-free version of ab76039.

Species reactivity
Mouse, Rat: We have preliminary internal testing data to indicate this antibody may not react with these species.
Please contact us for more information.

Patented technology
Our RabMAb® technology is a patented hybridoma-based technology for making rabbit monoclonal antibodies. For details on our patents, please refer to RabMAb® patents.

What are the advantages of a recombinant monoclonal antibody?
This product is a recombinant monoclonal antibody, which offers several advantages including:

  • - High batch-to-batch consistency and reproducibility
  • - Improved sensitivity and specificity
  • - Long-term security of supply
  • - Animal-free batch production

For more information, read more on recombinant antibodies.

Conjugation ready
Our carrier-free antibodies are typically supplied in a PBS-only formulation, purified and free of BSA, sodium azide and glycerol. This conjugation-ready format is designed for use with fluorochromes, metal isotopes, oligonucleotides, and enzymes, which makes them ideal for antibody labelling, functional and cell-based assays, flow-based assays (e.g. mass cytometry) and Multiplex Imaging applications.

Use our conjugation kits for antibody conjugates that are ready-to-use in as little as 20 minutes with 1 minute hands-on-time and 100% antibody recovery: available for fluorescent dyes, HRP, biotin and gold.

Compatibility
This product is compatible with the Maxpar® Antibody Labeling Kit from Fluidigm, without the need for antibody preparation. Maxpar® is a trademark of Fluidigm Canada Inc.

Properties and storage information

Form
Liquid
Purification technique
Affinity purification Protein A
Storage buffer
pH: 7.2 - 7.4 Constituents: PBS
Shipped at conditions
Blue Ice
Appropriate short-term storage conditions
+4°C
Appropriate long-term storage conditions
+4°C
Storage information
Do Not Freeze

Supplementary information

This supplementary information is collated from multiple sources and compiled automatically.

SIRT1 also known as Silent mating type information regulation 2 homolog 1 is a NAD-dependent deacetylase enzyme. SIRT1 weighs approximately 120 kDa and plays an important role in regulating transcription apoptosis and stress resistance. Researchers have found SIRT1 in various tissues with higher expression in the heart brain and skeletal muscle. It is a component of the larger family of sirtuins which are involved in metabolic regulation and aging.
Biological function summary

SIRT1 modulates several cellular processes such as gene silencing DNA repair and lifespan extension. SIRT1 participates in complexes with other proteins including histones and transcription factors to influence chromatin structure and gene expression. It acts through deacetylation of target proteins affecting their function and stability. The activity of SIRT1 is also linked to environmental and cellular conditions including caloric intake and oxidative stress.

Pathways

SIRT1 is integral in the regulation of metabolic and longevity pathways. It interacts with the FOXO family proteins and the tumor suppressor protein p53 aiding in response to cellular stress and metabolic demands. The role of SIRT1 in the insulin signaling pathway exemplifies its influence on glucose homeostasis and energy balance. These interactions highlight its importance in metabolic health and aging.

SIRT1 links to neurodegenerative diseases such as Alzheimer's disease and metabolic disorders like type 2 diabetes. In Alzheimer's disease SIRT1 interacts with the amyloid precursor protein suggesting a protective role against amyloid-beta accumulation. Additionally studies have shown connections between SIRT1 and insulin receptor substrates highlighting its role in managing insulin sensitivity and glucose metabolism in diabetes. Understanding SIRT1's functions offers potential therapeutic targets for these disorders.

Product protocols

For this product, it's our understanding that no specific protocols are required. You can visit:

Target data

NAD-dependent protein deacetylase that links transcriptional regulation directly to intracellular energetics and participates in the coordination of several separated cellular functions such as cell cycle, response to DNA damage, metabolism, apoptosis and autophagy (PubMed : 11672523, PubMed : 12006491, PubMed : 14976264, PubMed : 14980222, PubMed : 15126506, PubMed : 15152190, PubMed : 15205477, PubMed : 15469825, PubMed : 15692560, PubMed : 16079181, PubMed : 16166628, PubMed : 16892051, PubMed : 16998810, PubMed : 17283066, PubMed : 17290224, PubMed : 17334224, PubMed : 17505061, PubMed : 17612497, PubMed : 17620057, PubMed : 17936707, PubMed : 18203716, PubMed : 18296641, PubMed : 18662546, PubMed : 18687677, PubMed : 19188449, PubMed : 19220062, PubMed : 19364925, PubMed : 19690166, PubMed : 19934257, PubMed : 20097625, PubMed : 20100829, PubMed : 20203304, PubMed : 20375098, PubMed : 20620956, PubMed : 20670893, PubMed : 20817729, PubMed : 20955178, PubMed : 21149730, PubMed : 21245319, PubMed : 21471201, PubMed : 21504832, PubMed : 21555002, PubMed : 21698133, PubMed : 21701047, PubMed : 21775285, PubMed : 21807113, PubMed : 21841822, PubMed : 21890893, PubMed : 21947282, PubMed : 22274616, PubMed : 22918831, PubMed : 24415752, PubMed : 24824780, PubMed : 29681526, PubMed : 29765047, PubMed : 30409912). Can modulate chromatin function through deacetylation of histones and can promote alterations in the methylation of histones and DNA, leading to transcriptional repression (PubMed : 15469825). Deacetylates a broad range of transcription factors and coregulators, thereby regulating target gene expression positively and negatively (PubMed : 14976264, PubMed : 14980222, PubMed : 15152190). Serves as a sensor of the cytosolic ratio of NAD(+)/NADH which is altered by glucose deprivation and metabolic changes associated with caloric restriction (PubMed : 15205477). Is essential in skeletal muscle cell differentiation and in response to low nutrients mediates the inhibitory effect on skeletal myoblast differentiation which also involves 5'-AMP-activated protein kinase (AMPK) and nicotinamide phosphoribosyltransferase (NAMPT) (By similarity). Component of the eNoSC (energy-dependent nucleolar silencing) complex, a complex that mediates silencing of rDNA in response to intracellular energy status and acts by recruiting histone-modifying enzymes (PubMed : 18485871). The eNoSC complex is able to sense the energy status of cell : upon glucose starvation, elevation of NAD(+)/NADP(+) ratio activates SIRT1, leading to histone H3 deacetylation followed by dimethylation of H3 at 'Lys-9' (H3K9me2) by SUV39H1 and the formation of silent chromatin in the rDNA locus (PubMed : 18485871, PubMed : 21504832). Deacetylates 'Lys-266' of SUV39H1, leading to its activation (PubMed : 21504832). Inhibits skeletal muscle differentiation by deacetylating PCAF and MYOD1 (PubMed : 19188449). Deacetylates H2A and 'Lys-26' of H1-4 (PubMed : 15469825). Deacetylates 'Lys-16' of histone H4 (in vitro). Involved in NR0B2/SHP corepression function through chromatin remodeling : Recruited to LRH1 target gene promoters by NR0B2/SHP thereby stimulating histone H3 and H4 deacetylation leading to transcriptional repression (PubMed : 20375098). Proposed to contribute to genomic integrity via positive regulation of telomere length; however, reports on localization to pericentromeric heterochromatin are conflicting (By similarity). Proposed to play a role in constitutive heterochromatin (CH) formation and/or maintenance through regulation of the available pool of nuclear SUV39H1 (PubMed : 15469825, PubMed : 18004385). Upon oxidative/metabolic stress decreases SUV39H1 degradation by inhibiting SUV39H1 polyubiquitination by MDM2 (PubMed : 18004385, PubMed : 21504832). This increase in SUV39H1 levels enhances SUV39H1 turnover in CH, which in turn seems to accelerate renewal of the heterochromatin which correlates with greater genomic integrity during stress response (PubMed : 18004385, PubMed : 21504832). Deacetylates 'Lys-382' of p53/TP53 and impairs its ability to induce transcription-dependent proapoptotic program and modulate cell senescence (PubMed : 11672523, PubMed : 12006491, PubMed : 22542455). Deacetylates TAF1B and thereby represses rDNA transcription by the RNA polymerase I (By similarity). Deacetylates MYC, promotes the association of MYC with MAX and decreases MYC stability leading to compromised transformational capability (PubMed : 19364925, PubMed : 21807113). Deacetylates FOXO3 in response to oxidative stress thereby increasing its ability to induce cell cycle arrest and resistance to oxidative stress but inhibiting FOXO3-mediated induction of apoptosis transcriptional activity; also leading to FOXO3 ubiquitination and protesomal degradation (PubMed : 14976264, PubMed : 14980222, PubMed : 21841822). Appears to have a similar effect on MLLT7/FOXO4 in regulation of transcriptional activity and apoptosis (PubMed : 15126506). Deacetylates DNMT1; thereby impairs DNMT1 methyltransferase-independent transcription repressor activity, modulates DNMT1 cell cycle regulatory function and DNMT1-mediated gene silencing (PubMed : 21947282). Deacetylates RELA/NF-kappa-B p65 thereby inhibiting its transactivating potential and augments apoptosis in response to TNF-alpha (PubMed : 15152190). Deacetylates HIF1A, KAT5/TIP60, RB1 and HIC1 (PubMed : 17283066, PubMed : 17620057, PubMed : 20100829, PubMed : 20620956). Deacetylates FOXO1 resulting in its nuclear retention and enhancement of its transcriptional activity leading to increased gluconeogenesis in liver (PubMed : 15692560). Inhibits E2F1 transcriptional activity and apoptotic function, possibly by deacetylation (PubMed : 16892051). Involved in HES1- and HEY2-mediated transcriptional repression (PubMed : 12535671). In cooperation with MYCN seems to be involved in transcriptional repression of DUSP6/MAPK3 leading to MYCN stabilization by phosphorylation at 'Ser-62' (PubMed : 21698133). Deacetylates MEF2D (PubMed : 16166628). Required for antagonist-mediated transcription suppression of AR-dependent genes which may be linked to local deacetylation of histone H3 (PubMed : 17505061). Represses HNF1A-mediated transcription (By similarity). Required for the repression of ESRRG by CREBZF (PubMed : 19690166). Deacetylates NR1H3 and NR1H2 and deacetylation of NR1H3 at 'Lys-434' positively regulates transcription of NR1H3 : RXR target genes, promotes NR1H3 proteasomal degradation and results in cholesterol efflux; a promoter clearing mechanism after reach round of transcription is proposed (PubMed : 17936707). Involved in lipid metabolism : deacetylates LPIN1, thereby inhibiting diacylglycerol synthesis (PubMed : 20817729, PubMed : 29765047). Implicated in regulation of adipogenesis and fat mobilization in white adipocytes by repression of PPARG which probably involves association with NCOR1 and SMRT/NCOR2 (By similarity). Deacetylates p300/EP300 and PRMT1 (By similarity). Deacetylates ACSS2 leading to its activation, and HMGCS1 deacetylation (PubMed : 21701047). Involved in liver and muscle metabolism. Through deacetylation and activation of PPARGC1A is required to activate fatty acid oxidation in skeletal muscle under low-glucose conditions and is involved in glucose homeostasis (PubMed : 23142079). Involved in regulation of PPARA and fatty acid beta-oxidation in liver. Involved in positive regulation of insulin secretion in pancreatic beta cells in response to glucose; the function seems to imply transcriptional repression of UCP2. Proposed to deacetylate IRS2 thereby facilitating its insulin-induced tyrosine phosphorylation. Deacetylates SREBF1 isoform SREBP-1C thereby decreasing its stability and transactivation in lipogenic gene expression (PubMed : 17290224, PubMed : 20817729). Involved in DNA damage response by repressing genes which are involved in DNA repair, such as XPC and TP73, deacetylating XRCC6/Ku70, and facilitating recruitment of additional factors to sites of damaged DNA, such as SIRT1-deacetylated NBN can recruit ATM to initiate DNA repair and SIRT1-deacetylated XPA interacts with RPA2 (PubMed : 15205477, PubMed : 16998810, PubMed : 17334224, PubMed : 17612497, PubMed : 20670893, PubMed : 21149730). Also involved in DNA repair of DNA double-strand breaks by homologous recombination and specifically single-strand annealing independently of XRCC6/Ku70 and NBN (PubMed : 15205477, PubMed : 17334224, PubMed : 20097625). Promotes DNA double-strand breaks by mediating deacetylation of SIRT6 (PubMed : 32538779). Transcriptional suppression of XPC probably involves an E2F4 : RBL2 suppressor complex and protein kinase B (AKT) signaling. Transcriptional suppression of TP73 probably involves E2F4 and PCAF. Deacetylates WRN thereby regulating its helicase and exonuclease activities and regulates WRN nuclear translocation in response to DNA damage (PubMed : 18203716). Deacetylates APEX1 at 'Lys-6' and 'Lys-7' and stimulates cellular AP endonuclease activity by promoting the association of APEX1 to XRCC1 (PubMed : 19934257). Catalyzes deacetylation of ERCC4/XPF, thereby impairing interaction with ERCC1 and nucleotide excision repair (NER) (PubMed : 32034146). Increases p53/TP53-mediated transcription-independent apoptosis by blocking nuclear translocation of cytoplasmic p53/TP53 and probably redirecting it to mitochondria. Deacetylates XRCC6/Ku70 at 'Lys-539' and 'Lys-542' causing it to sequester BAX away from mitochondria thereby inhibiting stress-induced apoptosis. Is involved in autophagy, presumably by deacetylating ATG5, ATG7 and MAP1LC3B/ATG8 (PubMed : 18296641). Deacetylates AKT1 which leads to enhanced binding of AKT1 and PDK1 to PIP3 and promotes their activation (PubMed : 21775285). Proposed to play role in regulation of STK11/LBK1-dependent AMPK signaling pathways implicated in cellular senescence which seems to involve the regulation of the acetylation status of STK11/LBK1. Can deacetylate STK11/LBK1 and thereby increase its activity, cytoplasmic localization and association with STRAD; however, the relevance of such activity in normal cells is unclear (PubMed : 18687677, PubMed : 20203304). In endothelial cells is shown to inhibit STK11/LBK1 activity and to promote its degradation. Deacetylates SMAD7 at 'Lys-64' and 'Lys-70' thereby promoting its degradation. Deacetylates CIITA and augments its MHC class II transactivation and contributes to its stability (PubMed : 21890893). Deacetylates MECOM/EVI1 (PubMed : 21555002). Deacetylates PML at 'Lys-487' and this deacetylation promotes PML control of PER2 nuclear localization (PubMed : 22274616). During the neurogenic transition, represses selective NOTCH1-target genes through histone deacetylation in a BCL6-dependent manner and leading to neuronal differentiation. Regulates the circadian expression of several core clock genes, including BMAL1, RORC, PER2 and CRY1 and plays a critical role in maintaining a controlled rhythmicity in histone acetylation, thereby contributing to circadian chromatin remodeling (PubMed : 18662546). Deacetylates BMAL1 and histones at the circadian gene promoters in order to facilitate repression by inhibitory components of the circadian oscillator (By similarity). Deacetylates PER2, facilitating its ubiquitination and degradation by the proteasome (By similarity). Protects cardiomyocytes against palmitate-induced apoptosis (By similarity). Deacetylates XBP1 isoform 2; deacetylation decreases protein stability of XBP1 isoform 2 and inhibits its transcriptional activity (PubMed : 20955178). Deacetylates PCK1 and directs its activity toward phosphoenolpyruvate production promoting gluconeogenesis (PubMed : 30193097). Involved in the CCAR2-mediated regulation of PCK1 and NR1D1 (PubMed : 24415752). Deacetylates CTNB1 at 'Lys-49' (PubMed : 24824780). In POMC (pro-opiomelanocortin) neurons, required for leptin-induced activation of PI3K signaling (By similarity). Deacetylates SOX9; promoting SOX9 nuclear localization and transactivation activity (By similarity). Involved in the regulation of centrosome duplication : deacetylates CENATAC in G1 phase, allowing for SASS6 accumulation on the centrosome and subsequent procentriole assembly (PubMed : 31722219). Deacetylates NDC80/HEC1 (PubMed : 30409912). In addition to protein deacetylase activity, also acts as a protein-lysine deacylase by mediating protein delactylation, depropionylation and decrotonylation (PubMed : 28497810, PubMed : 38512451). Mediates depropionylation of Osterix (SP7) (By similarity). Catalyzes decrotonylation of histones; it however does not represent a major histone decrotonylase (PubMed : 28497810). Mediates protein delactylation of TEAD1 and YAP1 (PubMed : 38512451).. Isoform 2. Deacetylates 'Lys-382' of p53/TP53, however with lower activity than isoform 1. In combination, the two isoforms exert an additive effect. Isoform 2 regulates p53/TP53 expression and cellular stress response and is in turn repressed by p53/TP53 presenting a SIRT1 isoform-dependent auto-regulatory loop.. SirtT1 75 kDa fragment. Catalytically inactive 75SirT1 may be involved in regulation of apoptosis. May be involved in protecting chondrocytes from apoptotic death by associating with cytochrome C and interfering with apoptosome assembly.. (Microbial infection) In case of HIV-1 infection, interacts with and deacetylates the viral Tat protein. The viral Tat protein inhibits SIRT1 deacetylation activity toward RELA/NF-kappa-B p65, thereby potentiates its transcriptional activity and SIRT1 is proposed to contribute to T-cell hyperactivation during infection.
See full target information SIRT1 phospho S47

Publications (1)

Recent publications for all applications. Explore the full list and refine your search

Nature genetics 57:1142-1154 PubMed40229600

2025

Longitudinal single-cell multiomic atlas of high-risk neuroblastoma reveals chemotherapy-induced tumor microenvironment rewiring.

Applications

Unspecified application

Species

Unspecified reactive species

Wenbao Yu,Rumeysa Biyik-Sit,Yasin Uzun,Chia-Hui Chen,Anusha Thadi,Jonathan H Sussman,Minxing Pang,Chi-Yun Wu,Liron D Grossmann,Peng Gao,David W Wu,Aliza Yousey,Mei Zhang,Christina S Turn,Zhan Zhang,Shovik Bandyopadhyay,Jeffrey Huang,Tasleema Patel,Changya Chen,Daniel Martinez,Lea F Surrey,Michael D Hogarty,Kathrin Bernt,Nancy R Zhang,John M Maris,Kai Tan
View all publications

Product promise

We are committed to supporting your work with high-quality reagents, and we're here for you every step of the way. In the unlikely event that one of our products does not perform as expected, you're protected by our Product Promise.
For full details, please see our Terms & Conditions

Please note: All products are 'FOR RESEARCH USE ONLY. NOT FOR USE IN DIAGNOSTIC OR THERAPEUTIC PROCEDURES'.

For licensing inquiries, please contact partnerships@abcam.com