JavaScript is disabled in your browser. Please enable JavaScript to view this website.
AB19388

Anti-SIRT2 antibody

Be the first to review this product! Submit a review

|

(3 Publications)

Rabbit Polyclonal SIRT2 antibody. Suitable for WB, IHC-P, ICC/IF and reacts with Mouse, Human samples. Cited in 3 publications. Immunogen corresponding to Synthetic Peptide within Human SIRT2 aa 350 to C-terminus.

View Alternative Names

SIR2L, SIR2L2, SIRT2, NAD-dependent protein deacetylase sirtuin-2, NAD-dependent protein defatty-acylase sirtuin-2, Regulatory protein SIR2 homolog 2, SIR2-like protein 2

3 Images
Western blot - Anti-SIRT2 antibody (AB19388)
  • WB

Supplier Data

Western blot - Anti-SIRT2 antibody (AB19388)

All lanes:

Western blot - Anti-SIRT2 antibody (ab19388) at 1/250 dilution

Lane 1:

Mouse liver tissue lysate at 30 µg

Lane 2:

Mouse brain tissue lysate at 30 µg

Lane 3:

MCF7 whole cell lysate at 30 µg

Lane 4:

HeLa whole cell lysate at 30 µg

Secondary

All lanes:

Goat Anti-Rabbit IgG, HRP conjugate at 1/5000 dilution

Predicted band size: 43 kDa

Observed band size: 30 kDa

false

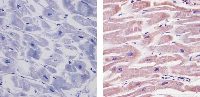
Immunohistochemistry (Formalin/PFA-fixed paraffin-embedded sections) - Anti-SIRT2 antibody (AB19388)
  • IHC-P

Supplier Data

Immunohistochemistry (Formalin/PFA-fixed paraffin-embedded sections) - Anti-SIRT2 antibody (AB19388)

Immunohistochemistry (Formalin/PFA-fixed paraffin-embedded sections) analysis of SIRT2 showing staining in the cytoplasm of paraffin-embedded human heart tissue (right) compared to a negative control without primary antibody (left). To expose target proteins, antigen retrieval was performed using 10mM sodium citrate (pH 6.0), microwaved for 8-15 min. Following antigen retrieval, tissues were blocked in 3% H2O2-methanol for 15 min at room temperature, washed with ddH2O and PBS, and then probed with ab19388 diluted in 3% BSA-PBS at a dilution of 1/100 for 1 hour at 37°C in a humidified chamber. Tissues were washed extensively in PBST and detection was performed using an HRP-conjugated secondary antibody followed by colorimetric detection using a DAB kit. Tissues were counterstained with hematoxylin and dehydrated with ethanol and xylene to prep for mounting.

Immunocytochemistry/ Immunofluorescence - Anti-SIRT2 antibody (AB19388)
  • ICC/IF

Unknown

Immunocytochemistry/ Immunofluorescence - Anti-SIRT2 antibody (AB19388)

Immunofluorescence staining of SIRT2 in transfected SAOS2 cells using ab19388.

Key facts

Host species

Rabbit

Clonality

Polyclonal

Isotype

IgG

Carrier free

No

Reacts with

Mouse, Human

Applications

IHC-P, WB, ICC/IF

applications

Immunogen

Synthetic Peptide within Human SIRT2 aa 350 to C-terminus. The exact immunogen used to generate this antibody is proprietary information.

Q8IXJ6

Specificity

SIRT2 antibody (ab19388) detects SIRT2 and shows no cross-reactivity to other SIRT isoforms.

Reactivity data

{ "title": "Reactivity Data", "filters": { "stats": ["", "Species", "Dilution Info", "Notes"], "tabs": { "all-applications": {"fullname" : "All Applications", "shortname": "All Applications"}, "WB" : {"fullname" : "Western blot", "shortname":"WB"}, "IHCP" : {"fullname" : "Immunohistochemistry (Formalin/PFA-fixed paraffin-embedded sections)", "shortname":"IHC-P"}, "ICCIF" : {"fullname" : "Immunocytochemistry/ Immunofluorescence", "shortname":"ICC/IF"} }, "product-promise": { "all": "all", "testedAndGuaranteed": "tested", "guaranteed": "expected", "predicted": "predicted", "notRecommended": "not-recommended" } }, "values": { "Human": { "WB-species-checked": "testedAndGuaranteed", "WB-species-dilution-info": "1/250", "WB-species-notes": "<p></p>", "IHCP-species-checked": "testedAndGuaranteed", "IHCP-species-dilution-info": "1/100", "IHCP-species-notes": "<p></p>", "ICCIF-species-checked": "testedAndGuaranteed", "ICCIF-species-dilution-info": "1/400", "ICCIF-species-notes": "<p></p>" }, "Mouse": { "WB-species-checked": "testedAndGuaranteed", "WB-species-dilution-info": "1/250", "WB-species-notes": "<p></p>", "IHCP-species-checked": "guaranteed", "IHCP-species-dilution-info": "", "IHCP-species-notes": "", "ICCIF-species-checked": "guaranteed", "ICCIF-species-dilution-info": "", "ICCIF-species-notes": "" } } }

You may be interested in:

AB156066

SIRT2 Activity Assay Kit (Fluorometric)

0

0 Reviews

View product

We recommend this product because it’s often used in the same experiment or related research.

We advise that you always check the datasheet to ensure it fits your experiments, or contact ourtechnical teamfor help.

Product details

The SIRT2 protein (also known as Sirtuin for Silent Mating Type Information 2-Homolog) is a NAD-dependent deacytylase (NDAC) that has been shown to control gene silencing, cell cycle, and DNA damage repair. It is believed that SIRT2 may act as a tumor suppressor in human gliomas and may also serve as a novel molecular marker for these cells. SIRT2 has also been shown to act as a redox sensor to help regulate muscle gene expression in response to food intake and exercise. SIRT2 acts in the phosphorylation cascade involving mitosis where SIRT2 is phosphorylated in late G2 phase, during M phase, and into cytokinesis.

Properties and storage information

Form
Liquid
Purity
Whole antiserum
Storage buffer
Preservative: 0.05% Sodium azide
Shipped at conditions
Blue Ice
Appropriate short-term storage conditions
+4°C
Appropriate long-term storage conditions
-20°C
Aliquoting information
Upon delivery aliquot
Storage information
Avoid freeze / thaw cycle

Supplementary information

This supplementary information is collated from multiple sources and compiled automatically.

SIRT2 also known as Sirtuin 2 is a member of the sirtuin family of proteins which are NAD+-dependent deacetylases known for regulating various cellular processes. SIRT2 has a molecular mass of approximately 43 kDa. Its expression is prominent in the cytoplasm but can also be found in the nucleus of cells particularly in the brain and liver tissues. The protein deacetylates various substrates influencing cellular processes including aging metabolism and neurodegeneration.
Biological function summary

SIRT2 contributes to the regulation of cellular homeostasis and stress responses. This protein acts as a deacetylase modulating the acetylation status of key proteins and participates in various signaling pathways. It functions as part of a larger protein complex and interacts with substrates that include tubulin and histones. These interactions help SIRT2 control processes such as cell cycle differentiation and proliferation indicating its importance in maintaining normal cellular function.

Pathways

SIRT2 plays an essential role in the insulin signaling pathway and the FoxO transcription factor pathway. In these pathways SIRT2 interacts with other sirtuins like SIRT1 which helps regulate metabolic homeostasis and oxidative stress responses. SIRT2's activity in deacetylating proteins such as p53 impacts cellular responses to DNA damage and genomic stability further integrating it into critical regulatory networks within the cell.

SIRT2 relates to neurodegenerative diseases like Parkinson's disease and metabolic disorders such as obesity. Its involvement in deacetylating alpha-synuclein links SIRT2 to Parkinson's disease pathogenesis. In metabolic disorders abnormalities in SIRT2 activity can affect glucose and lipid metabolism connecting it with proteins like acetyl-CoA carboxylase. Understanding SIRT2's function offers potential therapeutic targets for these conditions and highlights its importance in disease regulation.

Product protocols

For this product, it's our understanding that no specific protocols are required. You can visit:

Target data

NAD-dependent protein deacetylase, which deacetylates internal lysines on histone and alpha-tubulin as well as many other proteins such as key transcription factors (PubMed : 12620231, PubMed : 16648462, PubMed : 18249187, PubMed : 18332217, PubMed : 18995842, PubMed : 20543840, PubMed : 20587414, PubMed : 21081649, PubMed : 21726808, PubMed : 21949390, PubMed : 22014574, PubMed : 22771473, PubMed : 23468428, PubMed : 23908241, PubMed : 24177535, PubMed : 24681946, PubMed : 24769394, PubMed : 24940000). Participates in the modulation of multiple and diverse biological processes such as cell cycle control, genomic integrity, microtubule dynamics, cell differentiation, metabolic networks, and autophagy (PubMed : 12620231, PubMed : 16648462, PubMed : 18249187, PubMed : 18332217, PubMed : 18995842, PubMed : 20543840, PubMed : 20587414, PubMed : 21081649, PubMed : 21726808, PubMed : 21949390, PubMed : 22014574, PubMed : 22771473, PubMed : 23468428, PubMed : 23908241, PubMed : 24177535, PubMed : 24681946, PubMed : 24769394, PubMed : 24940000). Plays a major role in the control of cell cycle progression and genomic stability (PubMed : 12697818, PubMed : 16909107, PubMed : 17488717, PubMed : 17726514, PubMed : 19282667, PubMed : 23468428). Functions in the antephase checkpoint preventing precocious mitotic entry in response to microtubule stress agents, and hence allowing proper inheritance of chromosomes (PubMed : 12697818, PubMed : 16909107, PubMed : 17488717, PubMed : 17726514, PubMed : 19282667, PubMed : 23468428). Positively regulates the anaphase promoting complex/cyclosome (APC/C) ubiquitin ligase complex activity by deacetylating CDC20 and FZR1, then allowing progression through mitosis (PubMed : 22014574). Associates both with chromatin at transcriptional start sites (TSSs) and enhancers of active genes (PubMed : 23468428). Plays a role in cell cycle and chromatin compaction through epigenetic modulation of the regulation of histone H4 'Lys-20' methylation (H4K20me1) during early mitosis (PubMed : 23468428). Specifically deacetylates histone H4 at 'Lys-16' (H4K16ac) between the G2/M transition and metaphase enabling H4K20me1 deposition by KMT5A leading to ulterior levels of H4K20me2 and H4K20me3 deposition throughout cell cycle, and mitotic S-phase progression (PubMed : 23468428). Deacetylates KMT5A modulating KMT5A chromatin localization during the mitotic stress response (PubMed : 23468428). Deacetylates also histone H3 at 'Lys-57' (H3K56ac) during the mitotic G2/M transition (PubMed : 20587414). Upon bacterium Listeria monocytogenes infection, deacetylates 'Lys-18' of histone H3 in a receptor tyrosine kinase MET- and PI3K/Akt-dependent manner, thereby inhibiting transcriptional activity and promoting late stages of listeria infection (PubMed : 23908241). During oocyte meiosis progression, may deacetylate histone H4 at 'Lys-16' (H4K16ac) and alpha-tubulin, regulating spindle assembly and chromosome alignment by influencing microtubule dynamics and kinetochore function (PubMed : 24940000). Deacetylates histone H4 at 'Lys-16' (H4K16ac) at the VEGFA promoter and thereby contributes to regulate expression of VEGFA, a key regulator of angiogenesis (PubMed : 24940000). Deacetylates alpha-tubulin at 'Lys-40' and hence controls neuronal motility, oligodendroglial cell arbor projection processes and proliferation of non-neuronal cells (PubMed : 18332217, PubMed : 18995842). Phosphorylation at Ser-368 by a G1/S-specific cyclin E-CDK2 complex inactivates SIRT2-mediated alpha-tubulin deacetylation, negatively regulating cell adhesion, cell migration and neurite outgrowth during neuronal differentiation (PubMed : 17488717). Deacetylates PARD3 and participates in the regulation of Schwann cell peripheral myelination formation during early postnatal development and during postinjury remyelination (PubMed : 21949390). Involved in several cellular metabolic pathways (PubMed : 20543840, PubMed : 21726808, PubMed : 24769394). Plays a role in the regulation of blood glucose homeostasis by deacetylating and stabilizing phosphoenolpyruvate carboxykinase PCK1 activity in response to low nutrient availability (PubMed : 21726808). Acts as a key regulator in the pentose phosphate pathway (PPP) by deacetylating and activating the glucose-6-phosphate G6PD enzyme, and therefore, stimulates the production of cytosolic NADPH to counteract oxidative damage (PubMed : 24769394). Maintains energy homeostasis in response to nutrient deprivation as well as energy expenditure by inhibiting adipogenesis and promoting lipolysis (PubMed : 20543840). Attenuates adipocyte differentiation by deacetylating and promoting FOXO1 interaction to PPARG and subsequent repression of PPARG-dependent transcriptional activity (PubMed : 20543840). Plays a role in the regulation of lysosome-mediated degradation of protein aggregates by autophagy in neuronal cells (PubMed : 20543840). Deacetylates FOXO1 in response to oxidative stress or serum deprivation, thereby negatively regulating FOXO1-mediated autophagy (PubMed : 20543840). Deacetylates a broad range of transcription factors and co-regulators regulating target gene expression. Deacetylates transcriptional factor FOXO3 stimulating the ubiquitin ligase SCF(SKP2)-mediated FOXO3 ubiquitination and degradation (By similarity). Deacetylates HIF1A and therefore promotes HIF1A degradation and inhibition of HIF1A transcriptional activity in tumor cells in response to hypoxia (PubMed : 24681946). Deacetylates RELA in the cytoplasm inhibiting NF-kappaB-dependent transcription activation upon TNF-alpha stimulation (PubMed : 21081649). Inhibits transcriptional activation by deacetylating p53/TP53 and EP300 (PubMed : 18249187, PubMed : 18995842). Deacetylates also EIF5A (PubMed : 22771473). Functions as a negative regulator on oxidative stress-tolerance in response to anoxia-reoxygenation conditions (PubMed : 24769394). Plays a role as tumor suppressor (PubMed : 22014574). In addition to protein deacetylase activity, also has activity toward long-chain fatty acyl groups and mediates protein-lysine demyristoylation and depalmitoylation of target proteins, such as ARF6 and KRAS, thereby regulating their association with membranes (PubMed : 25704306, PubMed : 29239724, PubMed : 32103017).. Isoform 1. Deacetylates EP300, alpha-tubulin and histone H3 and H4.. Isoform 2. Deacetylates EP300, alpha-tubulin and histone H3 and H4.. Isoform 5. Lacks deacetylation activity, at least toward known SIRT2 targets.
See full target information SIRT2

Publications (3)

Recent publications for all applications. Explore the full list and refine your search

Bioengineered 13:2017-2027 PubMed34847835

2021

Ubiquitin-specific protease 3 attenuates interleukin-1β-mediated chondrocyte senescence by deacetylating forkhead box O-3 via sirtuin-3.

Applications

Unspecified application

Species

Unspecified reactive species

Qi Zhou,Wei Wang,Jun Wu,Shang Qiu,Shuai Yuan,Pei-Liang Fu,Qi-Rong Qian,Yao-Zeng Xu

Oncogene 28:781-91 PubMed19060927

2008

Salermide, a Sirtuin inhibitor with a strong cancer-specific proapoptotic effect.

Applications

WB

Species

Human

E Lara,A Mai,V Calvanese,L Altucci,P Lopez-Nieva,M L Martinez-Chantar,M Varela-Rey,D Rotili,A Nebbioso,S Ropero,G Montoya,J Oyarzabal,S Velasco,M Serrano,M Witt,A Villar-Garea,A Imhof,A Inhof,J M Mato,M Esteller,M F Fraga

Molecular & cellular proteomics : MCP 7:2337-49 PubMed18676363

2008

Transketolase and 2',3'-cyclic-nucleotide 3'-phosphodiesterase type I isoforms are specifically recognized by IgG autoantibodies in multiple sclerosis patients.

Applications

WB

Species

Human

Laura Lovato,Riccardo Cianti,Beatrice Gini,Silvia Marconi,Laura Bianchi,Alessandro Armini,Elena Anghileri,Francesca Locatelli,Francesco Paoletti,Diego Franciotta,Luca Bini,Bruno Bonetti
View all publications

Product promise

We are committed to supporting your work with high-quality reagents, and we're here for you every step of the way. In the unlikely event that one of our products does not perform as expected, you're protected by our Product Promise.
For full details, please see our Terms & Conditions

Associated Products

Select an associated product type
Alternative Product
Primary Antibodies

AB134171

Anti-SIRT2 antibody [EPR1667]

primary-antibodies

sirt2-antibody-epr1667-ab134171

4

(1 reviews)

Alternative Product
Primary Antibodies

AB51023

Anti-SIRT2 antibody [EP1668Y]

primary-antibodies

sirt2-antibody-ep1668y-ab51023

4

(4 reviews)

Alternative Product
Primary Antibodies

AB223534

Anti-SIRT2 antibody [EPR20411-105] - BSA and Azide free

primary-antibodies

sirt2-antibody-epr20411-105-bsa-and-azide-free-ab223534

0

(0 reviews)

Alternative Product
Primary Antibodies

AB239838

Anti-SIRT2 antibody [EP1668Y] - BSA and Azide free

primary-antibodies

sirt2-antibody-ep1668y-bsa-and-azide-free-ab239838

0

(0 reviews)

Alternative Product
Primary Antibodies

AB211033

Anti-SIRT2 antibody [EPR20411-105]

primary-antibodies

sirt2-antibody-epr20411-105-ab211033

4

(8 reviews)

Please note: All products are 'FOR RESEARCH USE ONLY. NOT FOR USE IN DIAGNOSTIC OR THERAPEUTIC PROCEDURES'.

For licensing inquiries, please contact partnerships@abcam.com