JavaScript is disabled in your browser. Please enable JavaScript to view this website.
AB211033

Anti-SIRT2 antibody [EPR20411-105]

4

(8 Reviews)

|

(37 Publications)

Anti-SIRT2 antibody [EPR20411-105] (ab211033) is a rabbit monoclonal antibody detecting SIRT2 in Western Blot, IP, IHC-P, IHC-Fr. Suitable for Human, Mouse, Rat.

- Biophysical QC for unrivalled batch-batch consistency
- Over 10 publications

View Alternative Names

SIR2L, SIR2L2, SIRT2, NAD-dependent protein deacetylase sirtuin-2, NAD-dependent protein defatty-acylase sirtuin-2, Regulatory protein SIR2 homolog 2, SIR2-like protein 2

9 Images
Immunohistochemistry (Formalin/PFA-fixed paraffin-embedded sections) - Anti-SIRT2 antibody [EPR20411-105] (AB211033)
  • IHC-P

Supplier Data

Immunohistochemistry (Formalin/PFA-fixed paraffin-embedded sections) - Anti-SIRT2 antibody [EPR20411-105] (AB211033)

Immunohistochemical analysis of paraffin-embedded human cerebrum tissue labeling SIRT2 with ab211033 at 1/8000 dilution, followed by Goat Anti-Rabbit IgG H&L (HRP) (ab97051) at 1/500 dilution. Cytoplasmic staining on myelinated axons of human cerebrum is observed [PMID : 17447894]. Counter stained with Hematoxylin.

Secondary antibody only control : Used PBS instead of primary antibody, secondary antibody is Goat Anti-Rabbit IgG H&L (HRP) (ab97051) at 1/500 dilution.

Perform heat mediated antigen retrieval with Tris/EDTA buffer pH 9.0 before commencing with IHC staining protocol.

Immunoprecipitation - Anti-SIRT2 antibody [EPR20411-105] (AB211033)
  • IP

Supplier Data

Immunoprecipitation - Anti-SIRT2 antibody [EPR20411-105] (AB211033)

SIRT2 was immunoprecipitated from 0.35 mg of Human fetal brain lysate with ab211033 at 1/30 dilution. Western blot was performed from the immunoprecipitate using ab211033 at 1/1000 dilution. VeriBlot for IP Detection Reagent (HRP) (ab131366), was used for detection at 1/10000 dilution.

Lane 1 : Human fetal brain lysate, 10 μg (Input).

Lane 2 : ab211033 IP in Human fetal brain lysate.

Lane 3 : Rabbit monoclonal IgG (ab172730) instead of ab211033 in Human fetal brain lysate.

Blocking and dilution buffer and concentration : 5% NFDM/TBST.

Exposure time : 1 second.

All lanes:

Immunoprecipitation - Anti-SIRT2 antibody [EPR20411-105] (ab211033)

Predicted band size: 43 kDa

Observed band size: 36 kDa,43 kDa

false

Immunohistochemistry (Formalin/PFA-fixed paraffin-embedded sections) - Anti-SIRT2 antibody [EPR20411-105] (AB211033)
  • IHC-P

Supplier Data

Immunohistochemistry (Formalin/PFA-fixed paraffin-embedded sections) - Anti-SIRT2 antibody [EPR20411-105] (AB211033)

Immunohistochemical analysis of paraffin-embedded mouse cerebrum tissue labeling SIRT2 with ab211033 at 1/8000 dilution, followed by Goat Anti-Rabbit IgG H&L (HRP) (ab97051) at 1/500 dilution. Cytoplasmic staining on myelinated axons of mouse cerebrum is observed [PMID : 17447894]. Counter stained with Hematoxylin.

Secondary antibody only control : Used PBS instead of primary antibody, secondary antibody is Goat Anti-Rabbit IgG H&L (HRP) (ab97051) at 1/500 dilution.

Perform heat mediated antigen retrieval with Tris/EDTA buffer pH 9.0 before commencing with IHC staining protocol.

Immunohistochemistry (Formalin/PFA-fixed paraffin-embedded sections) - Anti-SIRT2 antibody [EPR20411-105] (AB211033)
  • IHC-P

Supplier Data

Immunohistochemistry (Formalin/PFA-fixed paraffin-embedded sections) - Anti-SIRT2 antibody [EPR20411-105] (AB211033)

Immunohistochemical analysis of paraffin-embedded rat cerebrum tissue labeling SIRT2 with ab211033 at 1/8000 dilution, followed by Goat Anti-Rabbit IgG H&L (HRP) (ab97051) at 1/500 dilution. Cytoplasmic staining on myelinated axons of rat cerebrum is observed [PMID : 17447894]. Counter stained with Hematoxylin.

Secondary antibody only control : Used PBS instead of primary antibody, secondary antibody is Goat Anti-Rabbit IgG H&L (HRP) (ab97051) at 1/500 dilution.

Perform heat mediated antigen retrieval with Tris/EDTA buffer pH 9.0 before commencing with IHC staining protocol.

Immunohistochemistry (Frozen sections) - Anti-SIRT2 antibody [EPR20411-105] (AB211033)
  • IHC-Fr

Supplier Data

Immunohistochemistry (Frozen sections) - Anti-SIRT2 antibody [EPR20411-105] (AB211033)

Immunohistochemical analysis of 4% paraformaldehyde-fixed, 0.2% Triton X-100 permeabilized frozen mouse striatum tissue labeling SIRT2 with ab211033 at 1/100 dilution, followed by Goat anti-rabbit IgG (Alexa Fluor® 488) (ab150077) secondary antibody at 1/1000 dilution (green). Cytoplasmic staining on mouse stratium is observed [PMID : 17447894]. The nuclear counterstain is DAPI (blue).

Secondary antibody only control : Used PBS instead of primary antibody, secondary antibody is Goat anti-rabbit IgG (Alexa Fluor® 488) (ab150077) secondary antibody at 1/1000 dilution.

Western blot - Anti-SIRT2 antibody [EPR20411-105] (AB211033)
  • WB

Supplier Data

Western blot - Anti-SIRT2 antibody [EPR20411-105] (AB211033)

Blocking/Dilution buffer : 5% NFDM/TBST.

Exposure times : Lane 1 : 8 seconds; Lane 2 : 1 second.

SIRT2 exists in two main isoforms, SIRT2.1 (43 kDa) and SIRT2.2 (39 kDa). The expression profile/ molecular weight observed is consistent with what has been described in the literature (PMID : 21791548).

Lane 1:

Western blot - Anti-SIRT2 antibody [EPR20411-105] (ab211033) at 1/5000 dilution

Lane 2:

Western blot - Anti-SIRT2 antibody [EPR20411-105] (ab211033) at 1/2000 dilution

Lane 1:

Human fetal brain lysate at 20 µg

Lane 2:

Human brain cortex lysate at 20 µg

Secondary

All lanes:

Western blot - Goat Anti-Rabbit IgG H&L (HRP) (<a href='/en-us/products/secondary-antibodies/goat-rabbit-igg-h-l-hrp-ab97051'>ab97051</a>) at 1/100000 dilution

Predicted band size: 43 kDa

Observed band size: 36 kDa,43 kDa

false

Western blot - Anti-SIRT2 antibody [EPR20411-105] (AB211033)
  • WB

Lab

Western blot - Anti-SIRT2 antibody [EPR20411-105] (AB211033)

Western blot : Anti-SIRT2 antibody [EPR20411-105] ab211033 staining at 1/5000 dilution, shown in green; Mouse anti-CANX ab238078 loading control staining at 1/20000 dilution, shown in magenta. A band was observed at 45 kDa in Wild-type MCF7 cell lysates with no signal observed at this size in SIRT2 knockout MCF7 cell line. To generate this image, samples were run on an SDS-PAGE gel then transferred onto a nitrocellulose membrane. Membranes were blocked in 3pc Milk in TBS-0.1 % Tween® 20 (TBS-T) before incubation with primary antibodies overnight at 4 °C. Blots were washed four times in TBS-T, incubated with secondary antibodies for 1 h at room temperature, washed again four times then imaged. Secondary antibodies used were Goat anti-Rabbit 800CW and Goat anti-Mouse 680RD at 1/20,000 dilution.

All lanes:

Western blot - Anti-SIRT2 antibody [EPR20411-105] (ab211033) at 1/5000 dilution

Lane 1:

Wild-type MCF7 at 20 µg

Lane 2:

Western blot - Human SIRT2 knockout MCF7 cell line (ab289308) at 20 µg

Lane 3:

THP-1 at 20 µg

Lane 4:

HeLa at 20 µg

Lane 5:

U-2 OS at 20 µg

Secondary

All lanes:

Goat anti-Rabbit 800CW & Goat anti-Mouse 680RD at 1/20000 dilution

Predicted band size: 43 kDa

Observed band size: 45 kDa,77 kDa

false

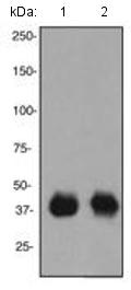
Western blot - Anti-SIRT2 antibody [EPR20411-105] (AB211033)
  • WB

Supplier Data

Western blot - Anti-SIRT2 antibody [EPR20411-105] (AB211033)

Blocking/Dilution buffer : 5% NFDM/TBST.

All lanes:

Western blot - Anti-SIRT2 antibody [EPR20411-105] (ab211033) at 1/2000 dilution

All lanes:

MCF7 (Human breast adenocarcinoma cell line) whole cell lysate at 20 µg

Secondary

All lanes:

Western blot - Goat Anti-Rabbit IgG H&L (HRP) (<a href='/en-us/products/secondary-antibodies/goat-rabbit-igg-h-l-hrp-ab97051'>ab97051</a>) at 1/100000 dilution

Predicted band size: 43 kDa

Observed band size: 36 kDa

false

Exposure time: 3min

Western blot - Anti-SIRT2 antibody [EPR20411-105] (AB211033)
  • WB

Supplier Data

Western blot - Anti-SIRT2 antibody [EPR20411-105] (AB211033)

Blocking/Dilution buffer : 5% NFDM/TBST.

Exposure times : Lane 1 : 3 minutes; Lane 2/3 : 5 seconds.

The expression profile/ molecular weight observed is consistent with what has been described in the literature (PMID : 21791548).

All lanes:

Western blot - Anti-SIRT2 antibody [EPR20411-105] (ab211033) at 1/2000 dilution

Lane 1:

Mouse brain lysate at 20 µg

Lane 2:

Mouse cerebral cortex lysate at 20 µg

Lane 3:

Rat brain lysate at 20 µg

Secondary

All lanes:

Western blot - Goat Anti-Rabbit IgG H&L (HRP) (<a href='/en-us/products/secondary-antibodies/goat-rabbit-igg-h-l-hrp-ab97051'>ab97051</a>) at 1/100000 dilution

Predicted band size: 43 kDa

Observed band size: 36 kDa

false

  • Carrier free

    Anti-SIRT2 antibody [EPR20411-105] - BSA and Azide free

Key facts

Host species

Rabbit

Clonality

Monoclonal

Clone number

EPR20411-105

Isotype

IgG

Carrier free

No

Reacts with

Mouse, Rat, Human

Applications

IHC-Fr, IHC-P, WB, IP

applications

Immunogen

The exact immunogen used to generate this antibody is proprietary information.

Reactivity data

{ "title": "Reactivity Data", "filters": { "stats": ["", "Species", "Dilution Info", "Notes"], "tabs": { "all-applications": {"fullname" : "All Applications", "shortname": "All Applications"}, "IP" : {"fullname" : "Immunoprecipitation", "shortname":"IP"}, "WB" : {"fullname" : "Western blot", "shortname":"WB"}, "IHCFr" : {"fullname" : "Immunohistochemistry (Frozen sections)", "shortname":"IHC-Fr"}, "IHCP" : {"fullname" : "Immunohistochemistry (Formalin/PFA-fixed paraffin-embedded sections)", "shortname":"IHC-P"} }, "product-promise": { "all": "all", "testedAndGuaranteed": "tested", "guaranteed": "expected", "predicted": "predicted", "notRecommended": "not-recommended" } }, "values": { "Human": { "IP-species-checked": "testedAndGuaranteed", "IP-species-dilution-info": "1/30", "IP-species-notes": "<p></p>", "WB-species-checked": "testedAndGuaranteed", "WB-species-dilution-info": "1/2000 - 1/5000", "WB-species-notes": "<p></p>", "IHCFr-species-checked": "guaranteed", "IHCFr-species-dilution-info": "", "IHCFr-species-notes": "", "IHCP-species-checked": "testedAndGuaranteed", "IHCP-species-dilution-info": "1/8000", "IHCP-species-notes": "<p></p> Perform heat-mediated antigen retrieval with Tris/EDTA buffer pH 9.0 before commencing with IHC staining protocol." }, "Mouse": { "IP-species-checked": "guaranteed", "IP-species-dilution-info": "", "IP-species-notes": "", "WB-species-checked": "testedAndGuaranteed", "WB-species-dilution-info": "1/2000", "WB-species-notes": "<p></p>", "IHCFr-species-checked": "testedAndGuaranteed", "IHCFr-species-dilution-info": "1/100", "IHCFr-species-notes": "<p>Anitgen retrieval: Heated citrate solution (10mM citrate pH 6.0 + 0.05% Tween-20).</p>", "IHCP-species-checked": "testedAndGuaranteed", "IHCP-species-dilution-info": "1/8000", "IHCP-species-notes": "<p></p> Perform heat-mediated antigen retrieval with Tris/EDTA buffer pH 9.0 before commencing with IHC staining protocol." }, "Rat": { "IP-species-checked": "guaranteed", "IP-species-dilution-info": "", "IP-species-notes": "", "WB-species-checked": "testedAndGuaranteed", "WB-species-dilution-info": "1/2000", "WB-species-notes": "<p></p>", "IHCFr-species-checked": "guaranteed", "IHCFr-species-dilution-info": "", "IHCFr-species-notes": "", "IHCP-species-checked": "testedAndGuaranteed", "IHCP-species-dilution-info": "1/8000", "IHCP-species-notes": "<p></p> Perform heat-mediated antigen retrieval with Tris/EDTA buffer pH 9.0 before commencing with IHC staining protocol." } } }

Product details

What is this antibody validated in?
Anti-SIRT2 antibody [EPR20411-105] (ab211033) is a rabbit recombinant monoclonal antibody and is validated for use in Western Blot (WB), Immunoprecipitation (IP), Immunohistochemistry (IHC-P), Immunohistochemistry (IHC-Fr) in Human, Mouse, Rat samples.

What is the molecular weight of SIRT2?
Anti-SIRT2 [EPR20411-105] (ab211033) specifically detects a band for SIRT2 (UniProt: Q8IXJ6) at a molecular weight of 43kDa.

Trusted by the scientific community
Anti-SIRT2 [EPR20411-105] (ab211033) was first used in a scientific publication in 2017 and has been cited over 10 times in peer-reviewed journals.

Reviewed by scientists
Anti-SIRT2 [EPR20411-105] (ab211033) has over 5 independent reviews from customers.

Trial sizes available!
Test your antibody or perform pre-screening before committing to a larger quantity. Sold in 10µl. Discover our selection of trial-size antibodies.

Other related products
We have a range of other formats of antibody clone [EPR20411-105] also available for your convenience: ab211033, Carrier free - ab223534

Patented technology
Our RabMAb® technology is a patented hybridoma-based technology for making rabbit monoclonal antibodies. For details on our patents, please refer to RabMAb® patents.

What are the advantages of a recombinant monoclonal antibody?
This product is a recombinant monoclonal antibody, which offers several advantages including:

  • - High batch-to-batch consistency and reproducibility
  • - Improved sensitivity and specificity
  • - Long-term security of supply
  • - Animal-free batch production

For more information, read more on recombinant antibodies.

Properties and storage information

Form
Liquid
Purification technique
Affinity purification Protein A
Storage buffer
pH: 7.2 - 7.4 Preservative: 0.01% Sodium azide Constituents: PBS, 40% Glycerol (glycerin, glycerine), 0.05% BSA
Shipped at conditions
Blue Ice
Appropriate short-term storage duration
1-2 weeks
Appropriate short-term storage conditions
+4°C
Appropriate long-term storage conditions
-20°C
Aliquoting information
Upon delivery aliquot
Storage information
Avoid freeze / thaw cycle

Supplementary information

This supplementary information is collated from multiple sources and compiled automatically.

SIRT2 also known as Sirtuin 2 is a member of the sirtuin family of proteins which are NAD+-dependent deacetylases known for regulating various cellular processes. SIRT2 has a molecular mass of approximately 43 kDa. Its expression is prominent in the cytoplasm but can also be found in the nucleus of cells particularly in the brain and liver tissues. The protein deacetylates various substrates influencing cellular processes including aging metabolism and neurodegeneration.
Biological function summary

SIRT2 contributes to the regulation of cellular homeostasis and stress responses. This protein acts as a deacetylase modulating the acetylation status of key proteins and participates in various signaling pathways. It functions as part of a larger protein complex and interacts with substrates that include tubulin and histones. These interactions help SIRT2 control processes such as cell cycle differentiation and proliferation indicating its importance in maintaining normal cellular function.

Pathways

SIRT2 plays an essential role in the insulin signaling pathway and the FoxO transcription factor pathway. In these pathways SIRT2 interacts with other sirtuins like SIRT1 which helps regulate metabolic homeostasis and oxidative stress responses. SIRT2's activity in deacetylating proteins such as p53 impacts cellular responses to DNA damage and genomic stability further integrating it into critical regulatory networks within the cell.

SIRT2 relates to neurodegenerative diseases like Parkinson's disease and metabolic disorders such as obesity. Its involvement in deacetylating alpha-synuclein links SIRT2 to Parkinson's disease pathogenesis. In metabolic disorders abnormalities in SIRT2 activity can affect glucose and lipid metabolism connecting it with proteins like acetyl-CoA carboxylase. Understanding SIRT2's function offers potential therapeutic targets for these conditions and highlights its importance in disease regulation.

Product protocols

For this product, it's our understanding that no specific protocols are required. You can visit:

Target data

NAD-dependent protein deacetylase, which deacetylates internal lysines on histone and alpha-tubulin as well as many other proteins such as key transcription factors (PubMed : 12620231, PubMed : 16648462, PubMed : 18249187, PubMed : 18332217, PubMed : 18995842, PubMed : 20543840, PubMed : 20587414, PubMed : 21081649, PubMed : 21726808, PubMed : 21949390, PubMed : 22014574, PubMed : 22771473, PubMed : 23468428, PubMed : 23908241, PubMed : 24177535, PubMed : 24681946, PubMed : 24769394, PubMed : 24940000). Participates in the modulation of multiple and diverse biological processes such as cell cycle control, genomic integrity, microtubule dynamics, cell differentiation, metabolic networks, and autophagy (PubMed : 12620231, PubMed : 16648462, PubMed : 18249187, PubMed : 18332217, PubMed : 18995842, PubMed : 20543840, PubMed : 20587414, PubMed : 21081649, PubMed : 21726808, PubMed : 21949390, PubMed : 22014574, PubMed : 22771473, PubMed : 23468428, PubMed : 23908241, PubMed : 24177535, PubMed : 24681946, PubMed : 24769394, PubMed : 24940000). Plays a major role in the control of cell cycle progression and genomic stability (PubMed : 12697818, PubMed : 16909107, PubMed : 17488717, PubMed : 17726514, PubMed : 19282667, PubMed : 23468428). Functions in the antephase checkpoint preventing precocious mitotic entry in response to microtubule stress agents, and hence allowing proper inheritance of chromosomes (PubMed : 12697818, PubMed : 16909107, PubMed : 17488717, PubMed : 17726514, PubMed : 19282667, PubMed : 23468428). Positively regulates the anaphase promoting complex/cyclosome (APC/C) ubiquitin ligase complex activity by deacetylating CDC20 and FZR1, then allowing progression through mitosis (PubMed : 22014574). Associates both with chromatin at transcriptional start sites (TSSs) and enhancers of active genes (PubMed : 23468428). Plays a role in cell cycle and chromatin compaction through epigenetic modulation of the regulation of histone H4 'Lys-20' methylation (H4K20me1) during early mitosis (PubMed : 23468428). Specifically deacetylates histone H4 at 'Lys-16' (H4K16ac) between the G2/M transition and metaphase enabling H4K20me1 deposition by KMT5A leading to ulterior levels of H4K20me2 and H4K20me3 deposition throughout cell cycle, and mitotic S-phase progression (PubMed : 23468428). Deacetylates KMT5A modulating KMT5A chromatin localization during the mitotic stress response (PubMed : 23468428). Deacetylates also histone H3 at 'Lys-57' (H3K56ac) during the mitotic G2/M transition (PubMed : 20587414). Upon bacterium Listeria monocytogenes infection, deacetylates 'Lys-18' of histone H3 in a receptor tyrosine kinase MET- and PI3K/Akt-dependent manner, thereby inhibiting transcriptional activity and promoting late stages of listeria infection (PubMed : 23908241). During oocyte meiosis progression, may deacetylate histone H4 at 'Lys-16' (H4K16ac) and alpha-tubulin, regulating spindle assembly and chromosome alignment by influencing microtubule dynamics and kinetochore function (PubMed : 24940000). Deacetylates histone H4 at 'Lys-16' (H4K16ac) at the VEGFA promoter and thereby contributes to regulate expression of VEGFA, a key regulator of angiogenesis (PubMed : 24940000). Deacetylates alpha-tubulin at 'Lys-40' and hence controls neuronal motility, oligodendroglial cell arbor projection processes and proliferation of non-neuronal cells (PubMed : 18332217, PubMed : 18995842). Phosphorylation at Ser-368 by a G1/S-specific cyclin E-CDK2 complex inactivates SIRT2-mediated alpha-tubulin deacetylation, negatively regulating cell adhesion, cell migration and neurite outgrowth during neuronal differentiation (PubMed : 17488717). Deacetylates PARD3 and participates in the regulation of Schwann cell peripheral myelination formation during early postnatal development and during postinjury remyelination (PubMed : 21949390). Involved in several cellular metabolic pathways (PubMed : 20543840, PubMed : 21726808, PubMed : 24769394). Plays a role in the regulation of blood glucose homeostasis by deacetylating and stabilizing phosphoenolpyruvate carboxykinase PCK1 activity in response to low nutrient availability (PubMed : 21726808). Acts as a key regulator in the pentose phosphate pathway (PPP) by deacetylating and activating the glucose-6-phosphate G6PD enzyme, and therefore, stimulates the production of cytosolic NADPH to counteract oxidative damage (PubMed : 24769394). Maintains energy homeostasis in response to nutrient deprivation as well as energy expenditure by inhibiting adipogenesis and promoting lipolysis (PubMed : 20543840). Attenuates adipocyte differentiation by deacetylating and promoting FOXO1 interaction to PPARG and subsequent repression of PPARG-dependent transcriptional activity (PubMed : 20543840). Plays a role in the regulation of lysosome-mediated degradation of protein aggregates by autophagy in neuronal cells (PubMed : 20543840). Deacetylates FOXO1 in response to oxidative stress or serum deprivation, thereby negatively regulating FOXO1-mediated autophagy (PubMed : 20543840). Deacetylates a broad range of transcription factors and co-regulators regulating target gene expression. Deacetylates transcriptional factor FOXO3 stimulating the ubiquitin ligase SCF(SKP2)-mediated FOXO3 ubiquitination and degradation (By similarity). Deacetylates HIF1A and therefore promotes HIF1A degradation and inhibition of HIF1A transcriptional activity in tumor cells in response to hypoxia (PubMed : 24681946). Deacetylates RELA in the cytoplasm inhibiting NF-kappaB-dependent transcription activation upon TNF-alpha stimulation (PubMed : 21081649). Inhibits transcriptional activation by deacetylating p53/TP53 and EP300 (PubMed : 18249187, PubMed : 18995842). Deacetylates also EIF5A (PubMed : 22771473). Functions as a negative regulator on oxidative stress-tolerance in response to anoxia-reoxygenation conditions (PubMed : 24769394). Plays a role as tumor suppressor (PubMed : 22014574). In addition to protein deacetylase activity, also has activity toward long-chain fatty acyl groups and mediates protein-lysine demyristoylation and depalmitoylation of target proteins, such as ARF6 and KRAS, thereby regulating their association with membranes (PubMed : 25704306, PubMed : 29239724, PubMed : 32103017).. Isoform 1. Deacetylates EP300, alpha-tubulin and histone H3 and H4.. Isoform 2. Deacetylates EP300, alpha-tubulin and histone H3 and H4.. Isoform 5. Lacks deacetylation activity, at least toward known SIRT2 targets.
See full target information SIRT2

Publications (37)

Recent publications for all applications. Explore the full list and refine your search

Journal of cell communication and signaling 19:e70031 PubMed40620356

2025

Sirtuin 2 regulates NOD-like receptor protein 3/nuclear factor kappa B axis to promote cartilage repair in osteoarthritis.

Applications

Unspecified application

Species

Unspecified reactive species

Xiaotian Chen,Yining Song,Fan Zhang,Fangyan Hu,Zhenfei Ding,Jianzhong Guan

Frontiers in pharmacology 16:1563865 PubMed40166471

2025

Metformin upregulates circadian gene PER2 to inhibit growth and enhance the sensitivity of glioblastoma cell lines to radiotherapy via SIRT2/G6PD pathway.

Applications

Unspecified application

Species

Unspecified reactive species

Hailiang Li,Zheng Ma,Wanfu Yang,Yifan Zhang,Jinping Sun,Haifeng Jiang,Faxuan Wang,Li Hou,Hechun Xia

MedComm 6:e70142 PubMed40104261

2025

Swimming Exercise Pretreatment Attenuates Postoperative Delirium-Like Behavior in Type 2 Diabetic Rats by Enhancing Mitochondrial Biogenesis Through Activation of SIRT2 Deacetylation.

Applications

Unspecified application

Species

Unspecified reactive species

Kaixi Liu,Lei Chen,Xinning Mi,Qian Wang,Yitong Li,Jingshu Hong,Xiaoxiao Wang,Yue Li,Yanan Song,Yi Yuan,Jie Wang,Dengyang Han,Taotao Liu,Ning Yang,Xiangyang Guo,Zhengqian Li

BMC biology 23:51 PubMed39985000

2025

Rapid and high-throughput screening of proteolysis targeting chimeras using a dual-reporter system expressing fluorescence protein and luciferase.

Applications

Unspecified application

Species

Unspecified reactive species

Shuai Meng,Yuan Meng,Xuena Yang,Wenwen Yu,Bole Li,Tianjun Liu,Jie Zhang,Xiubao Ren,Lin Zhang

Scientific reports 15:4236 PubMed39905044

2025

Untargeted metabolomic and proteomic analysis implicates SIRT2 as a novel therapeutic target for diabetic nephropathy.

Applications

Unspecified application

Species

Unspecified reactive species

Ruijing Zhang,Runze Chang,Heng Wang,Jinshan Chen,Chuanlong Lu,Keyi Fan,Yuhang Zhang,Lizheng Li,Sheng Yan,Honglin Dong

Cellular and molecular life sciences : CMLS 82:45 PubMed39833479

2025

Sirtuin 2 exacerbates renal tubule injury and inflammation in diabetic mice via deacetylation of c-Jun/c-Fos.

Applications

Unspecified application

Species

Unspecified reactive species

Li Chen,Dan Li,Zishun Zhan,Jingjing Quan,Juan Peng,Zhijun Huang,Bin Yi

Molecular neurodegeneration 20:6 PubMed39815261

2025

SIRT2 and ALDH1A1 as critical enzymes for astrocytic GABA production in Alzheimer's disease.

Applications

Unspecified application

Species

Unspecified reactive species

Mridula Bhalla,Jinhyeong Joo,Daeun Kim,Jeong Im Shin,Yongmin Mason Park,Yeon Ha Ju,Uiyeol Park,Seonguk Yoo,Seung Jae Hyeon,Hyunbeom Lee,Junghee Lee,Hoon Ryu,C Justin Lee

International journal of biological sciences 21:725-744 PubMed39781464

2025

Mitochondrial SIRT2-mediated CPT2 deacetylation prevents diabetic cardiomyopathy by impeding cardiac fatty acid oxidation.

Applications

Unspecified application

Species

Unspecified reactive species

Yaoyao Guo,Ziyin Zhang,Zheng Wen,Xiaonan Kang,Dan Wang,Lu Zhang,Mengke Cheng,Gang Yuan,Huihui Ren

Kidney & blood pressure research 49:513-527 PubMed38901411

2024

Urinary SIRT2 Reflects Kidney Injury in Type 2 Diabetes.

Applications

Unspecified application

Species

Unspecified reactive species

Yali Dai,Dan Li,Juan Peng,Yanfang Luo,Lianlian Xiong,Su Wu,Xiangyu Liao,Bin Yi

Antiviral research 226:105888 PubMed38641024

2024

An allosteric inhibitor of sirtuin 2 blocks hepatitis B virus covalently closed circular DNA establishment and its transcriptional activity.

Applications

Unspecified application

Species

Unspecified reactive species

Liudi Tang,Stacy Remiszewski,Andrew Snedeker,Lillian W Chiang,Thomas Shenk
View all publications

Product promise

We are committed to supporting your work with high-quality reagents, and we're here for you every step of the way. In the unlikely event that one of our products does not perform as expected, you're protected by our Product Promise.
For full details, please see our Terms & Conditions

Please note: All products are 'FOR RESEARCH USE ONLY. NOT FOR USE IN DIAGNOSTIC OR THERAPEUTIC PROCEDURES'.

For licensing inquiries, please contact partnerships@abcam.com