JavaScript is disabled in your browser. Please enable JavaScript to view this website.
AB217319

Anti-SIRT3 antibody [EPR19755]

4

(4 Reviews)

|

(43 Publications)

Rabbit Recombinant Monoclonal SIRT3 antibody. Suitable for WB, IHC-P and reacts with Human samples. Cited in 43 publications.

View Alternative Names

SIR2L3, SIRT3, hSIRT3, NAD-dependent protein delactylase sirtuin-3, Regulatory protein SIR2 homolog 3, SIR2-like protein 3

7 Images
Immunohistochemistry (Formalin/PFA-fixed paraffin-embedded sections) - Anti-SIRT3 antibody [EPR19755] (AB217319)
  • IHC-P

Supplier Data

Immunohistochemistry (Formalin/PFA-fixed paraffin-embedded sections) - Anti-SIRT3 antibody [EPR19755] (AB217319)

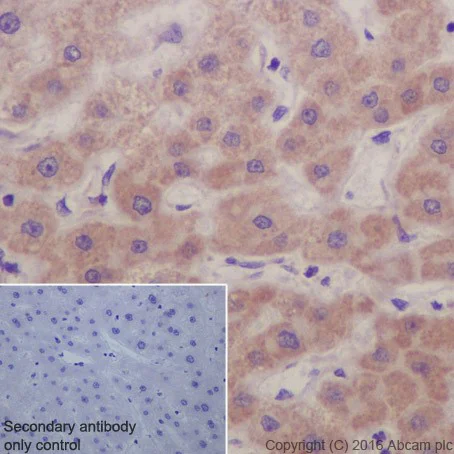
Immunohistochemical analysis of paraffin-embedded human liver tissue labeling SIRT3 with ab217319 at 1/500 dilution, followed by Goat Anti-Rabbit IgG H&L (HRP) ready to use. Cytoplasmic staining on human liver is observed. Counter stained with Hematoxylin.

Secondary antibody only control : Used PBS instead of primary antibody, secondary antibody is Goat Anti-Rabbit IgG H&L (HRP) (ab97051) at 1/500 dilution.

Perform heat mediated antigen retrieval with Tris/EDTA buffer pH 9.0 before commencing with IHC staining protocol.

Immunohistochemistry (Formalin/PFA-fixed paraffin-embedded sections) - Anti-SIRT3 antibody [EPR19755] (AB217319)
  • IHC-P

Supplier Data

Immunohistochemistry (Formalin/PFA-fixed paraffin-embedded sections) - Anti-SIRT3 antibody [EPR19755] (AB217319)

Immunohistochemical analysis of paraffin-embedded human colon tissue labeling SIRT3 with ab217319 at 1/500 dilution, followed by Goat Anti-Rabbit IgG H&L (HRP) ready to use. Cytoplasmic staining on human colon is observed. Counter stained with Hematoxylin.

Secondary antibody only control : Used PBS instead of primary antibody, secondary antibody is Goat Anti-Rabbit IgG H&L (HRP) (ab97051) at 1/500 dilution.

Perform heat mediated antigen retrieval with Tris/EDTA buffer pH 9.0 before commencing with IHC staining protocol.

Immunohistochemistry (Formalin/PFA-fixed paraffin-embedded sections) - Anti-SIRT3 antibody [EPR19755] (AB217319)
  • IHC-P

Supplier Data

Immunohistochemistry (Formalin/PFA-fixed paraffin-embedded sections) - Anti-SIRT3 antibody [EPR19755] (AB217319)

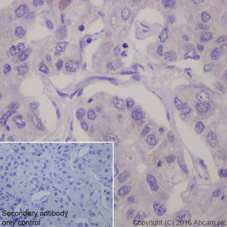
Immunohistochemical analysis of paraffin-embedded human hepatocellular carcinoma tissue labeling SIRT3 with ab217319 at 1/500 dilution, followed by Goat Anti-Rabbit IgG H&L (HRP) ready to use. Cytoplasmic staining on human hepatocellular carcinoma is observed. Counter stained with Hematoxylin.

Secondary antibody only control : Used PBS instead of primary antibody, secondary antibody is Goat Anti-Rabbit IgG H&L (HRP) (ab97051) at 1/500 dilution.

According to the literature [PMID : 24774224] : IHC and WB studies both showed a decreased expression of SIRT3 in tumor tissues compared with peritumor tissues. Our IHC-P results also showed decreased expression on about 58% of hepatocellular carcinoma.

Perform heat mediated antigen retrieval with Tris/EDTA buffer pH 9.0 before commencing with IHC staining protocol.

Immunohistochemistry (Formalin/PFA-fixed paraffin-embedded sections) - Anti-SIRT3 antibody [EPR19755] (AB217319)
  • IHC-P

Supplier Data

Immunohistochemistry (Formalin/PFA-fixed paraffin-embedded sections) - Anti-SIRT3 antibody [EPR19755] (AB217319)

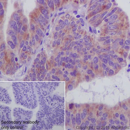
Immunohistochemical analysis of paraffin-embedded human colon adenocarcinoma tissue labeling SIRT3 with ab217319 at 1/500 dilution, followed by Goat Anti-Rabbit IgG H&L (HRP) (ab97051) at 1/500 dilution. Cytoplasmic staining on human poor- differentiated colon adenocarcinoma is observed. Counter stained with Hematoxylin.

Secondary antibody only control : Used PBS instead of primary antibody, secondary antibody is Goat Anti-Rabbit IgG H&L (HRP) (ab97051) at 1/500 dilution.

According to the literature [PMID : 25105144] : SIRT3 expression level was found to be significantly associated with the lymph node metastasis and tumor stages. Our IHC-P results show that about 25% of poor-differentiated colon carcinoma show decreased expression.

Perform heat mediated antigen retrieval with Tris/EDTA buffer pH 9.0 before commencing with IHC staining protocol.

Immunohistochemistry (Formalin/PFA-fixed paraffin-embedded sections) - Anti-SIRT3 antibody [EPR19755] (AB217319)
  • IHC-P

Supplier Data

Immunohistochemistry (Formalin/PFA-fixed paraffin-embedded sections) - Anti-SIRT3 antibody [EPR19755] (AB217319)

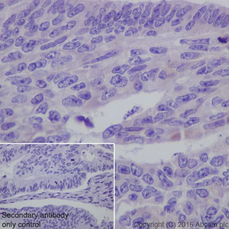
Immunohistochemical analysis of paraffin-embedded human colon adenocarcinoma tissue labeling SIRT3 with ab217319 at 1/500 dilution, followed by Goat Anti-Rabbit IgG H&L (HRP) ready to use. Cytoplasmic staining on human well-differentiated colon adenocarcinoma is observed. Counter stained with Hematoxylin.

Secondary antibody only control : Used PBS instead of primary antibody, secondary antibody is Goat Anti-Rabbit IgG H&L (HRP) (ab97051) at 1/500 dilution.

Our IHC-P results show that about 75% of well-differentiated colon carcinoma show increased expression.

Perform heat mediated antigen retrieval with Tris/EDTA buffer pH 9.0 before commencing with IHC staining protocol.

Western blot - Anti-SIRT3 antibody [EPR19755] (AB217319)
  • WB

Supplier Data

Western blot - Anti-SIRT3 antibody [EPR19755] (AB217319)

Blocking/Dilution buffer : 5% NFDM/TBST.

Exposure time : Lane 1-3 : 3 minutes; Lane 4 : 15 seconds.

All lanes:

Western blot - Anti-SIRT3 antibody [EPR19755] (ab217319) at 1/1000 dilution

Lane 1:

Human fetal brain lysate at 10 µg

Lane 2:

Human fetal heart lysate at 10 µg

Lane 3:

Human fetal kidney lysate at 10 µg

Lane 4:

Human fetal liver lysate at 10 µg

Secondary

All lanes:

Goat Anti-Rabbit IgG Peroxidase Conjugate, specific to the non-reduced form of IgG at 1/10000 dilution

Predicted band size: 43 kDa

Observed band size: 28 kDa

false

Western blot - Anti-SIRT3 antibody [EPR19755] (AB217319)
  • WB

Supplier Data

Western blot - Anti-SIRT3 antibody [EPR19755] (AB217319)

Blocking/Dilution buffer : 5% NFDM/TBST.

The expression profile observed is consistent with what has been described in the literature (PMID : 12186850).

All lanes:

Western blot - Anti-SIRT3 antibody [EPR19755] (ab217319) at 1/1000 dilution

Lane 1:

HEK-293 (Human epithelial cell line from embryonic kidney) whole cell lysate at 20 µg

Lane 2:

HeLa (Human epithelial cell line from cervix adenocarcinoma) whole cell lysate at 20 µg

Lane 3:

HepG2 (Human liver hepatocellular carcinoma cell line) whole cell lysate at 20 µg

Lane 4:

HT-29 (Human colorectal adenocarcinoma cell line) whole cell lysate at 20 µg

Secondary

All lanes:

Western blot - Goat Anti-Rabbit IgG H&L (HRP) (<a href='/en-us/products/secondary-antibodies/goat-rabbit-igg-h-l-hrp-ab97051'>ab97051</a>) at 1/100000 dilution

Predicted band size: 43 kDa

Observed band size: 28 kDa

false

Exposure time: 30s

Key facts

Host species

Rabbit

Clonality

Monoclonal

Clone number

EPR19755

Isotype

IgG

Carrier free

No

Reacts with

Human

Applications

IHC-P, WB

applications

Immunogen

The exact immunogen used to generate this antibody is proprietary information.

Reactivity data

{ "title": "Reactivity Data", "filters": { "stats": ["", "Species", "Dilution Info", "Notes"], "tabs": { "all-applications": {"fullname" : "All Applications", "shortname": "All Applications"}, "WB" : {"fullname" : "Western blot", "shortname":"WB"}, "IHCP" : {"fullname" : "Immunohistochemistry (Formalin/PFA-fixed paraffin-embedded sections)", "shortname":"IHC-P"} }, "product-promise": { "all": "all", "testedAndGuaranteed": "tested", "guaranteed": "expected", "predicted": "predicted", "notRecommended": "not-recommended" } }, "values": { "Human": { "WB-species-checked": "testedAndGuaranteed", "WB-species-dilution-info": "1/1000", "WB-species-notes": "<p></p>", "IHCP-species-checked": "testedAndGuaranteed", "IHCP-species-dilution-info": "1/500", "IHCP-species-notes": "<p></p>" } } }

Product details

Patented technology
Our RabMAb® technology is a patented hybridoma-based technology for making rabbit monoclonal antibodies. For details on our patents, please refer to RabMAb® patents.

What are the advantages of a recombinant monoclonal antibody?
This product is a recombinant monoclonal antibody, which offers several advantages including:

  • - High batch-to-batch consistency and reproducibility
  • - Improved sensitivity and specificity
  • - Long-term security of supply
  • - Animal-free batch production

For more information, read more on recombinant antibodies.

Properties and storage information

Form
Liquid
Purification technique
Affinity purification Protein A
Storage buffer
pH: 7.2 - 7.4 Preservative: 0.01% Sodium azide Constituents: PBS, 40% Glycerol (glycerin, glycerine), 0.05% BSA
Shipped at conditions
Blue Ice
Appropriate short-term storage duration
1-2 weeks
Appropriate short-term storage conditions
+4°C
Appropriate long-term storage conditions
-20°C
Aliquoting information
Upon delivery aliquot
Storage information
Avoid freeze / thaw cycle

Supplementary information

This supplementary information is collated from multiple sources and compiled automatically.

SIRT3 also known as Sirtuin 3 and mitochondrial sirtuin is a deacetylase with a mass of roughly 44 kDa. This protein is mostly found in the mitochondria where it regulates the acetylation state of various substrates. It plays an important role in maintaining mitochondrial homeostasis by modifying protein activity. SIRT3 is evolutionarily conserved and highly expressed in tissues with high energy demand like the heart liver and brown adipose tissue.
Biological function summary

SIRT3 modulates energy homeostasis by deacetylating and regulating enzymes involved in metabolism. It is a part of the mitochondrial sirtuin family contributing to fatty acid oxidation and the antioxidant defense system. By targeting key metabolic enzymes SIRT3 directly impacts the tricarboxylic acid (TCA) cycle and oxidative phosphorylation processes. These functions highlight its role in maintaining energy efficiency and reducing reactive oxidative species.

Pathways

SIRT3 participates in vital metabolic pathways such as the TCA cycle and the urea cycle. It interacts with other proteins like MnSOD and IDH2 to enhance mitochondrial function and overall cellular metabolism. This helps control the balance between energy production and consumption integrating signals from the AMPK and NAD+-dependent pathways to coordinate responses to changes in energy availability.

SIRT3 has implications in metabolic syndrome and cancer. Reduced SIRT3 activity is associated with increased susceptibility to metabolic disturbances like obesity and type 2 diabetes. Its deficiency affects the regulation of ROS and metabolic adaptation linking it to tumorigenesis and cancer progression. As it connects with proteins like HIF-1α in hypoxic conditions SIRT3 plays a role in cellular adaptation to stress influencing disease progression.

Product protocols

For this product, it's our understanding that no specific protocols are required. You can visit:

Target data

NAD-dependent protein deacetylase (PubMed : 12186850, PubMed : 12374852, PubMed : 16788062, PubMed : 18680753, PubMed : 18794531, PubMed : 19535340, PubMed : 23283301, PubMed : 24121500, PubMed : 24252090). Activates or deactivates mitochondrial target proteins by deacetylating key lysine residues (PubMed : 12186850, PubMed : 12374852, PubMed : 16788062, PubMed : 18680753, PubMed : 18794531, PubMed : 23283301, PubMed : 24121500, PubMed : 24252090). Known targets include ACSS1, IDH, GDH, SOD2, PDHA1, LCAD, SDHA and the ATP synthase subunit ATP5PO (PubMed : 16788062, PubMed : 18680753, PubMed : 19535340, PubMed : 24121500, PubMed : 24252090). Contributes to the regulation of the cellular energy metabolism (PubMed : 24252090). Important for regulating tissue-specific ATP levels (PubMed : 18794531). In response to metabolic stress, deacetylates transcription factor FOXO3 and recruits FOXO3 and mitochondrial RNA polymerase POLRMT to mtDNA to promote mtDNA transcription (PubMed : 23283301). Acts as a regulator of ceramide metabolism by mediating deacetylation of ceramide synthases CERS1, CERS2 and CERS6, thereby increasing their activity and promoting mitochondrial ceramide accumulation (By similarity). Regulates hepatic lipogenesis (By similarity). Uses NAD(+) substrate imported by SLC25A47, triggering downstream activation of PRKAA1/AMPK-alpha signaling cascade that ultimately downregulates sterol regulatory element-binding protein (SREBP) transcriptional activities and ATP-consuming lipogenesis to restore cellular energy balance (By similarity). In addition to protein deacetylase activity, also acts as a protein-lysine deacylase by mediating delactylation of proteins, such as CCNE2 and 'Lys-16' of histone H4 (H4K16la) (PubMed : 36896611, PubMed : 37720100).
See full target information SIRT3

Publications (43)

Recent publications for all applications. Explore the full list and refine your search

Materials today. Bio 34:102234 PubMed40893347

2025

Cationic microbubble loading hSIRT3 and hTIMP3 optimize cardiac-targeted delivery and myocardial protection in the porcine MI/R model.

Applications

Unspecified application

Species

Unspecified reactive species

Peian Cai,Kegong Chen,Xionghai Qin,Xingpei Jiang,Xuan Jiao,Kexun Liu,Erliang Guo,Zipeng Li,Xianxin Qiu,Chang Liu,Lu Sun,Junbo Chuai,Jie Wu,Wei Chen,Hai Tian

Frontiers in pharmacology 16:1608156 PubMed40777993

2025

Inhibition of SIRT3 by a specific inhibitor induces cellular senescence and growth arrest of ovarian granulosa cell tumor via p53 and NF-κB axis.

Applications

Unspecified application

Species

Unspecified reactive species

Jingxin Ma,Sailing Lin,Chuimian Zeng,Wenhao Wu,Qi Zhang,Guli Zhu,Qi Zhang,Qiongfang Fang,Lijun Fan,Shunichi Takeda,Xiaoyu Li,Xiushen Li,Yu Zhou,Xueqing Wu

Archives of rheumatology 40:197-210 PubMed40757971

2025

Methylation of PRDX3 Expression Alleviate Ferroptosis and Oxidative Stress in Patients with Osteoarthritis Cartilage Injury.

Applications

Unspecified application

Species

Unspecified reactive species

Xia Zhao,Yixue Peng,Mengsong Wang,Qishuang Tan

Clinical and experimental medicine 25:267 PubMed40736712

2025

Mechanism of USP11 regulated SIRT3/ROS in drug resistance of acute myeloid leukemia.

Applications

Unspecified application

Species

Unspecified reactive species

Pinwei Zhu,Hang Li,JinLi Ge,Zhencang Zhou,Dengke Chen,Qiang Li

American journal of translational research 17:4187-4197 PubMed40672597

2025

Sirtuin 3 modulation by high phosphates: a potential mechanism in muscle aging and sarcopenia.

Applications

Unspecified application

Species

Unspecified reactive species

Chao Xu,Ling Xiong,Junhu Chen,Qingcheng Liu,Fang Wang,Xianxian Fu,Juan Huo,Yufei Bu,Shiyu Chen,Qian Liu

Frontiers in pharmacology 16:1524219 PubMed40635757

2025

Dexmedetomidine reduces acute lung injury caused by LPS through the SIRT3 signaling pathway .

Applications

Unspecified application

Species

Unspecified reactive species

Jian Chen,Yang Cai,Xiaochun Peng,Yuanling Xu,Liying Chen,Xinxin Pan,Yingying Sun

Journal of orthopaedic surgery and research 20:542 PubMed40442713

2025

A-485 alleviates postmenopausal osteoporosis by activating GLUD1 deacetylation through the SENP1-Sirt3 signal pathway.

Applications

Unspecified application

Species

Unspecified reactive species

Yinghong Ma,Xiaohua Zou,Qianhong Jian,Jiaxin Dong,Xianbing Huang,Yue Zhai,Li Qian

International journal of biological sciences 21:3011-3029 PubMed40384870

2025

SIRT3 is required for the protective function of ketogenic diet on neural inflammation and neuropathic pain.

Applications

Unspecified application

Species

Unspecified reactive species

Mengqiu Deng,Yuanyuan Fang,Yan Chu,Ruifeng Ding,Xiaoyi Fan,Huawei Wei,Honghao Song,Guowei Jiang,Hailing Zhang,Chaofeng Han,Hongbin Yuan

Brain sciences 15: PubMed40309794

2025

Association of TRPV1 and the SIRT3/SOD2 Signaling Pathway in Mononuclear Cells and Astrocyte-Derived Extracellular Vesicles in Patients with Schizophrenia.

Applications

Unspecified application

Species

Unspecified reactive species

Rui Xu,Hao Liu,Chang Shu,Yuan Li,Shijing Wang,Ying Xiong,Fashuai Chen,Xiaowei Wang,Huan Huang,Zhongchun Liu,Gaohua Wang,Huiling Wang

Biotechnology and applied biochemistry 72:805-824 PubMed39690748

2024

SENP1 promotes deacetylation of isocitrate dehydrogenase 2 to inhibit ferroptosis of breast cancer via enhancing SIRT3 stability.

Applications

Unspecified application

Species

Unspecified reactive species

Yaomin Chen,Bin Chen,Yun Hong,Liang Chen,Shusen Zheng
View all publications

Product promise

We are committed to supporting your work with high-quality reagents, and we're here for you every step of the way. In the unlikely event that one of our products does not perform as expected, you're protected by our Product Promise.
For full details, please see our Terms & Conditions

Please note: All products are 'FOR RESEARCH USE ONLY. NOT FOR USE IN DIAGNOSTIC OR THERAPEUTIC PROCEDURES'.

For licensing inquiries, please contact partnerships@abcam.com