JavaScript is disabled in your browser. Please enable JavaScript to view this website.
AB223531

Anti-SIRT3 antibody [EPR19755] - BSA and Azide free

Be the first to review this product! Submit a review

|

(3 Publications)

Rabbit Recombinant Monoclonal SIRT3 antibody. Carrier free. Suitable for WB, IHC-P and reacts with Human samples. Cited in 3 publications.

View Alternative Names

SIR2L3, SIRT3, hSIRT3, NAD-dependent protein delactylase sirtuin-3, Regulatory protein SIR2 homolog 3, SIR2-like protein 3

5 Images
Immunohistochemistry (Formalin/PFA-fixed paraffin-embedded sections) - Anti-SIRT3 antibody [EPR19755] - BSA and Azide free (AB223531)
  • IHC-P

Supplier Data

Immunohistochemistry (Formalin/PFA-fixed paraffin-embedded sections) - Anti-SIRT3 antibody [EPR19755] - BSA and Azide free (AB223531)

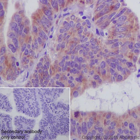
Immunohistochemical analysis of paraffin-embedded human colon adenocarcinoma tissue labeling SIRT3 with ab217319 at 1/500 dilution, followed by Goat Anti-Rabbit IgG H&L (HRP) ready to use. Cytoplasmic staining on human well-differentiated colon adenocarcinoma is observed. Counter stained with Hematoxylin.

Secondary antibody only control : Used PBS instead of primary antibody, secondary antibody is Goat Anti-Rabbit IgG H&L (HRP) (ab97051) at 1/500 dilution.

Our IHC-P results show that about 75% of well-differentiated colon carcinoma show increased expression.

This data was developed using the same antibody clone in a different buffer formulation containing PBS, BSA, glycerol, and sodium azide (ab217319).

Perform heat mediated antigen retrieval with Tris/EDTA buffer pH 9.0 before commencing with IHC staining protocol.

Immunohistochemistry (Formalin/PFA-fixed paraffin-embedded sections) - Anti-SIRT3 antibody [EPR19755] - BSA and Azide free (AB223531)
  • IHC-P

Supplier Data

Immunohistochemistry (Formalin/PFA-fixed paraffin-embedded sections) - Anti-SIRT3 antibody [EPR19755] - BSA and Azide free (AB223531)

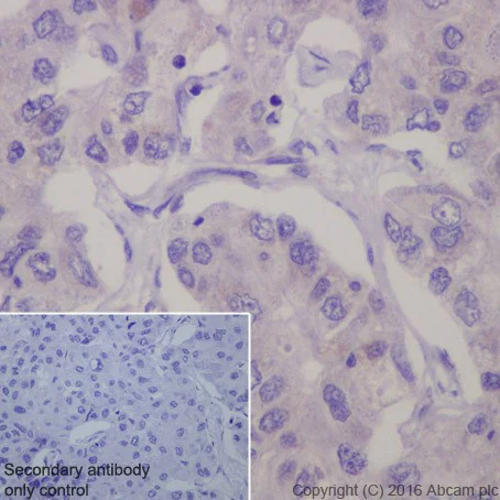
Immunohistochemical analysis of paraffin-embedded human hepatocellular carcinoma tissue labeling SIRT3 with ab217319 at 1/500 dilution, followed by Goat Anti-Rabbit IgG H&L (HRP) ready to use. Cytoplasmic staining on human hepatocellular carcinoma is observed. Counter stained with Hematoxylin.

Secondary antibody only control : Used PBS instead of primary antibody, secondary antibody is Goat Anti-Rabbit IgG H&L (HRP) (ab97051) at 1/500 dilution.

According to the literature [PMID : 24774224] : IHC and WB studies both showed a decreased expression of SIRT3 in tumor tissues compared with peritumor tissues. Our IHC-P results also showed decreased expression on about 58% of hepatocellular carcinoma.

This data was developed using the same antibody clone in a different buffer formulation containing PBS, BSA, glycerol, and sodium azide (ab217319).

Perform heat mediated antigen retrieval with Tris/EDTA buffer pH 9.0 before commencing with IHC staining protocol.

Immunohistochemistry (Formalin/PFA-fixed paraffin-embedded sections) - Anti-SIRT3 antibody [EPR19755] - BSA and Azide free (AB223531)
  • IHC-P

Supplier Data

Immunohistochemistry (Formalin/PFA-fixed paraffin-embedded sections) - Anti-SIRT3 antibody [EPR19755] - BSA and Azide free (AB223531)

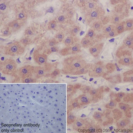
Immunohistochemical analysis of paraffin-embedded human liver tissue labeling SIRT3 with ab217319 at 1/500 dilution, followed by Goat Anti-Rabbit IgG H&L (HRP) ready to use. Cytoplasmic staining on human liver is observed. Counter stained with Hematoxylin.

Secondary antibody only control : Used PBS instead of primary antibody, secondary antibody is Goat Anti-Rabbit IgG H&L (HRP) (ab97051) at 1/500 dilution.

This data was developed using the same antibody clone in a different buffer formulation containing PBS, BSA, glycerol, and sodium azide (ab217319).

Perform heat mediated antigen retrieval with Tris/EDTA buffer pH 9.0 before commencing with IHC staining protocol.

Immunohistochemistry (Formalin/PFA-fixed paraffin-embedded sections) - Anti-SIRT3 antibody [EPR19755] - BSA and Azide free (AB223531)
  • IHC-P

Supplier Data

Immunohistochemistry (Formalin/PFA-fixed paraffin-embedded sections) - Anti-SIRT3 antibody [EPR19755] - BSA and Azide free (AB223531)

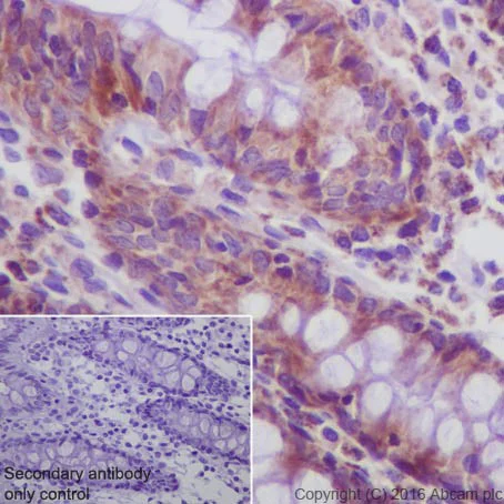
Immunohistochemical analysis of paraffin-embedded human colon adenocarcinoma tissue labeling SIRT3 with ab217319 at 1/500 dilution, followed by Goat Anti-Rabbit IgG H&L (HRP) (ab97051) at 1/500 dilution. Cytoplasmic staining on human poor- differentiated colon adenocarcinoma is observed. Counter stained with Hematoxylin.

Secondary antibody only control : Used PBS instead of primary antibody, secondary antibody is Goat Anti-Rabbit IgG H&L (HRP) (ab97051) at 1/500 dilution.

According to the literature [PMID : 25105144] : SIRT3 expression level was found to be significantly associated with the lymph node metastasis and tumor stages. Our IHC-P results show that about 25% of poor-differentiated colon carcinoma show decreased expression.

This data was developed using the same antibody clone in a different buffer formulation containing PBS, BSA, glycerol, and sodium azide (ab217319).

Perform heat mediated antigen retrieval with Tris/EDTA buffer pH 9.0 before commencing with IHC staining protocol.

Immunohistochemistry (Formalin/PFA-fixed paraffin-embedded sections) - Anti-SIRT3 antibody [EPR19755] - BSA and Azide free (AB223531)
  • IHC-P

Supplier Data

Immunohistochemistry (Formalin/PFA-fixed paraffin-embedded sections) - Anti-SIRT3 antibody [EPR19755] - BSA and Azide free (AB223531)

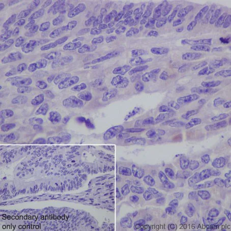
This IHC data was generated using the same anti-SIRT3 antibody clone [EPR19755] in a different buffer formulation (cat# ab217319).

Immunohistochemical analysis of paraffin-embedded human colon tissue labeling SIRT3 with ab217319 at 1/500 dilution, followed by Goat Anti-Rabbit IgG H&L (HRP) ready to use. Cytoplasmic staining on human colon is observed. Counter stained with Hematoxylin.

Secondary antibody only control : Used PBS instead of primary antibody, secondary antibody is Goat Anti-Rabbit IgG H&L (HRP) (ab97051) at 1/500 dilution.

Perform heat mediated antigen retrieval with Tris/EDTA buffer pH 9.0 before commencing with IHC staining protocol.

Key facts

Host species

Rabbit

Clonality

Monoclonal

Clone number

EPR19755

Isotype

IgG

Carrier free

Yes

Reacts with

Human

Applications

IHC-P, WB

applications

Immunogen

The exact immunogen used to generate this antibody is proprietary information.

Reactivity data

{ "title": "Reactivity Data", "filters": { "stats": ["", "Species", "Dilution Info", "Notes"], "tabs": { "all-applications": {"fullname" : "All Applications", "shortname": "All Applications"}, "WB" : {"fullname" : "Western blot", "shortname":"WB"}, "IHCP" : {"fullname" : "Immunohistochemistry (Formalin/PFA-fixed paraffin-embedded sections)", "shortname":"IHC-P"} }, "product-promise": { "all": "all", "testedAndGuaranteed": "tested", "guaranteed": "expected", "predicted": "predicted", "notRecommended": "not-recommended" } }, "values": { "Human": { "WB-species-checked": "guaranteed", "WB-species-dilution-info": "", "WB-species-notes": "<p></p>", "IHCP-species-checked": "testedAndGuaranteed", "IHCP-species-dilution-info": "", "IHCP-species-notes": "<p></p>" } } }

Product details

ab223531 is the carrier-free version of ab217319.

Patented technology
Our RabMAb® technology is a patented hybridoma-based technology for making rabbit monoclonal antibodies. For details on our patents, please refer to RabMAb® patents.

Conjugation ready
Our carrier-free antibodies are typically supplied in a PBS-only formulation, purified and free of BSA, sodium azide and glycerol. This conjugation-ready format is designed for use with fluorochromes, metal isotopes, oligonucleotides, and enzymes, which makes them ideal for antibody labelling, functional and cell-based assays, flow-based assays (e.g. mass cytometry) and Multiplex Imaging applications.

Use our conjugation kits for antibody conjugates that are ready-to-use in as little as 20 minutes with 1 minute hands-on-time and 100% antibody recovery: available for fluorescent dyes, HRP, biotin and gold.

Compatibility
This product is compatible with the Maxpar® Antibody Labeling Kit from Fluidigm, without the need for antibody preparation. Maxpar® is a trademark of Fluidigm Canada Inc.

Properties and storage information

Form
Liquid
Purification technique
Affinity purification Protein A
Storage buffer
pH: 7.2 - 7.4 Constituents: PBS
Shipped at conditions
Blue Ice
Appropriate short-term storage conditions
+4°C
Appropriate long-term storage conditions
+4°C
Storage information
Do Not Freeze

Supplementary information

This supplementary information is collated from multiple sources and compiled automatically.

SIRT3 also known as Sirtuin 3 and mitochondrial sirtuin is a deacetylase with a mass of roughly 44 kDa. This protein is mostly found in the mitochondria where it regulates the acetylation state of various substrates. It plays an important role in maintaining mitochondrial homeostasis by modifying protein activity. SIRT3 is evolutionarily conserved and highly expressed in tissues with high energy demand like the heart liver and brown adipose tissue.
Biological function summary

SIRT3 modulates energy homeostasis by deacetylating and regulating enzymes involved in metabolism. It is a part of the mitochondrial sirtuin family contributing to fatty acid oxidation and the antioxidant defense system. By targeting key metabolic enzymes SIRT3 directly impacts the tricarboxylic acid (TCA) cycle and oxidative phosphorylation processes. These functions highlight its role in maintaining energy efficiency and reducing reactive oxidative species.

Pathways

SIRT3 participates in vital metabolic pathways such as the TCA cycle and the urea cycle. It interacts with other proteins like MnSOD and IDH2 to enhance mitochondrial function and overall cellular metabolism. This helps control the balance between energy production and consumption integrating signals from the AMPK and NAD+-dependent pathways to coordinate responses to changes in energy availability.

SIRT3 has implications in metabolic syndrome and cancer. Reduced SIRT3 activity is associated with increased susceptibility to metabolic disturbances like obesity and type 2 diabetes. Its deficiency affects the regulation of ROS and metabolic adaptation linking it to tumorigenesis and cancer progression. As it connects with proteins like HIF-1α in hypoxic conditions SIRT3 plays a role in cellular adaptation to stress influencing disease progression.

Product protocols

For this product, it's our understanding that no specific protocols are required. You can visit:

Target data

NAD-dependent protein deacetylase (PubMed : 12186850, PubMed : 12374852, PubMed : 16788062, PubMed : 18680753, PubMed : 18794531, PubMed : 19535340, PubMed : 23283301, PubMed : 24121500, PubMed : 24252090). Activates or deactivates mitochondrial target proteins by deacetylating key lysine residues (PubMed : 12186850, PubMed : 12374852, PubMed : 16788062, PubMed : 18680753, PubMed : 18794531, PubMed : 23283301, PubMed : 24121500, PubMed : 24252090). Known targets include ACSS1, IDH, GDH, SOD2, PDHA1, LCAD, SDHA and the ATP synthase subunit ATP5PO (PubMed : 16788062, PubMed : 18680753, PubMed : 19535340, PubMed : 24121500, PubMed : 24252090). Contributes to the regulation of the cellular energy metabolism (PubMed : 24252090). Important for regulating tissue-specific ATP levels (PubMed : 18794531). In response to metabolic stress, deacetylates transcription factor FOXO3 and recruits FOXO3 and mitochondrial RNA polymerase POLRMT to mtDNA to promote mtDNA transcription (PubMed : 23283301). Acts as a regulator of ceramide metabolism by mediating deacetylation of ceramide synthases CERS1, CERS2 and CERS6, thereby increasing their activity and promoting mitochondrial ceramide accumulation (By similarity). Regulates hepatic lipogenesis (By similarity). Uses NAD(+) substrate imported by SLC25A47, triggering downstream activation of PRKAA1/AMPK-alpha signaling cascade that ultimately downregulates sterol regulatory element-binding protein (SREBP) transcriptional activities and ATP-consuming lipogenesis to restore cellular energy balance (By similarity). In addition to protein deacetylase activity, also acts as a protein-lysine deacylase by mediating delactylation of proteins, such as CCNE2 and 'Lys-16' of histone H4 (H4K16la) (PubMed : 36896611, PubMed : 37720100).
See full target information SIRT3

Publications (3)

Recent publications for all applications. Explore the full list and refine your search

Journal of translational medicine 19:463 PubMed34772407

2021

Dexmedetomidine inhibits mitochondria damage and apoptosis of enteric glial cells in experimental intestinal ischemia/reperfusion injury via SIRT3-dependent PINK1/HDAC3/p53 pathway.

Applications

Unspecified application

Species

Unspecified reactive species

Qin Zhang,Xiao-Ming Liu,Qian Hu,Zheng-Ren Liu,Zhi-Yi Liu,Huai-Gen Zhang,Yuan-Lu Huang,Qiu-Hong Chen,Wen-Xiang Wang,Xue-Kang Zhang

Journal of orthopaedic surgery and research 16:105 PubMed33530998

2021

MiR-140-3p inhibits the cell viability and promotes apoptosis of synovial fibroblasts in rheumatoid arthritis through targeting sirtuin 3.

Applications

Unspecified application

Species

Unspecified reactive species

Beibei Zu,Lin Liu,Jingya Wang,Meirong Li,Junxia Yang

Molecular cell 55:436-50 PubMed25042806

2014

An AMPK-independent signaling pathway downstream of the LKB1 tumor suppressor controls Snail1 and metastatic potential.

Applications

Unspecified application

Species

Unspecified reactive species

Jonathan M Goodwin,Robert U Svensson,Hua Jane Lou,Monte M Winslow,Benjamin E Turk,Reuben J Shaw
View all publications

Product promise

We are committed to supporting your work with high-quality reagents, and we're here for you every step of the way. In the unlikely event that one of our products does not perform as expected, you're protected by our Product Promise.
For full details, please see our Terms & Conditions

Please note: All products are 'FOR RESEARCH USE ONLY. NOT FOR USE IN DIAGNOSTIC OR THERAPEUTIC PROCEDURES'.

For licensing inquiries, please contact partnerships@abcam.com