JavaScript is disabled in your browser. Please enable JavaScript to view this website.
AB10140

Anti-SIRT4 antibody

0

(1 Review)

|

(22 Publications)

Goat Polyclonal SIRT4 antibody. Suitable for WB, IHC-P and reacts with Human samples. Cited in 22 publications. Immunogen corresponding to Synthetic Peptide within Human SIRT4 aa 300 to C-terminus.

View Alternative Names

SIR2L4, SIRT4, NAD-dependent ADP-ribosyltransferase sirtuin-4, NAD-dependent protein biotinylase sirtuin-4, NAD-dependent protein deacetylase sirtuin-4, Regulatory protein SIR2 homolog 4, SIR2-like protein 4

1 Images
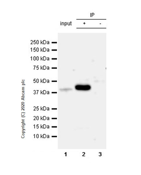
Western blot - Anti-SIRT4 antibody (AB10140)
  • WB

Unknown

Western blot - Anti-SIRT4 antibody (AB10140)

ab10140 staining (1μg/ml) of Human Kidney lysate (RIPA buffer, 35μg total protein per lane). Primary incubated for 1 hour. Detected by western blot using chemiluminescence.

Incubation with the primary Ab was carried out for 1 hr at room temperature.

All lanes:

Western blot - Anti-SIRT4 antibody (ab10140) at 1 µg/mL

All lanes:

Human Kidney Lysate (RIPA buffer).35 ug total protein was loaded.

Predicted band size: 35 kDa

false

Key facts

Host species

Goat

Clonality

Polyclonal

Isotype

IgG

Carrier free

No

Reacts with

Human

Applications

IHC-P, WB

applications

Immunogen

Synthetic Peptide within Human SIRT4 aa 300 to C-terminus. The exact immunogen used to generate this antibody is proprietary information.

Q9Y6E7

Reactivity data

{ "title": "Reactivity Data", "filters": { "stats": ["", "Species", "Dilution Info", "Notes"], "tabs": { "all-applications": {"fullname" : "All Applications", "shortname": "All Applications"}, "WB" : {"fullname" : "Western blot", "shortname":"WB"}, "IHCP" : {"fullname" : "Immunohistochemistry (Formalin/PFA-fixed paraffin-embedded sections)", "shortname":"IHC-P"} }, "product-promise": { "all": "all", "testedAndGuaranteed": "tested", "guaranteed": "expected", "predicted": "predicted", "notRecommended": "not-recommended" } }, "values": { "Human": { "WB-species-checked": "testedAndGuaranteed", "WB-species-dilution-info": "1-3 µg/mL", "WB-species-notes": "<p>1 hour primary incubation is recommended for this product.</p>", "IHCP-species-checked": "testedAndGuaranteed", "IHCP-species-dilution-info": "2-3 µg/mL", "IHCP-species-notes": "<p>Steamed antigen retrieval with citrate buffer pH 6 is recommended.</p>" }, "Mouse": { "WB-species-checked": "predicted", "WB-species-dilution-info": "", "WB-species-notes": "", "IHCP-species-checked": "predicted", "IHCP-species-dilution-info": "", "IHCP-species-notes": "" }, "Rat": { "WB-species-checked": "predicted", "WB-species-dilution-info": "", "WB-species-notes": "", "IHCP-species-checked": "predicted", "IHCP-species-dilution-info": "", "IHCP-species-notes": "" }, "Cow": { "WB-species-checked": "predicted", "WB-species-dilution-info": "", "WB-species-notes": "", "IHCP-species-checked": "predicted", "IHCP-species-dilution-info": "", "IHCP-species-notes": "" }, "Dog": { "WB-species-checked": "predicted", "WB-species-dilution-info": "", "WB-species-notes": "", "IHCP-species-checked": "predicted", "IHCP-species-dilution-info": "", "IHCP-species-notes": "" }, "Pig": { "WB-species-checked": "predicted", "WB-species-dilution-info": "", "WB-species-notes": "", "IHCP-species-checked": "predicted", "IHCP-species-dilution-info": "", "IHCP-species-notes": "" } } }

Product details

This gene encodes a member of the sirtuin family of proteins, homologs to the yeast Sir2 protein. Members of the sirtuin family are characterized by a sirtuin core domain and grouped into four classes. The functions of human sirtuins have not yet been determined; however, yeast sirtuin proteins are known to regulate epigenetic gene silencing and suppress recombination of rDNA. Studies suggest that the human sirtuins may function as intracellular regulatory proteins with mono-ADP-ribosyltransferase activity. The protein encoded by this gene is included in class IV of the sirtuin family.

Properties and storage information

Form
Liquid
Purification technique
Affinity purification Immunogen
Purification notes
Purified from goat serum by ammonium sulphate precipitation followed by antigen affinity chromatography using the immunizing peptide.
Storage buffer
pH: 7.3 Preservative: 0.02% Sodium azide Constituents: Tris buffered saline, 0.5% BSA
Shipped at conditions
Blue Ice
Appropriate short-term storage conditions
+4°C
Appropriate long-term storage conditions
-20°C
Aliquoting information
Upon delivery aliquot
Storage information
Avoid freeze / thaw cycle

Supplementary information

This supplementary information is collated from multiple sources and compiled automatically.

SIRT4 also known as Sirtuin 4 is a mitochondrial protein with a mass of approximately 36 kDa. It belongs to the sirtuin family of NAD+-dependent deacetylases. Unlike many other sirtuins SIRT4 does not function as a deacetylase; instead it exhibits ADP-ribosyltransferase activity. This activity regulates a range of mitochondrial functions. SIRT4 is expressed in various tissues including the liver pancreas and muscles where it plays different roles based on the tissue type.
Biological function summary

SIRT4 regulates energy metabolism and cellular stress responses. It plays key roles in the regulation of mitochondrial functions during fasting and impacts gluconeogenesis and fatty acid oxidation. SIRT4 inhibits glutamate dehydrogenase (GDH) affecting amino acid metabolism and insulin secretion. By acting in this capacity SIRT4 controls the flow of nutrients and energy homeostasis exhibiting its critical role in metabolic regulation.

Pathways

SIRT4 integrates into a broader metabolic network including the insulin signaling and AMPK pathways. It interacts with proteins like GDH and AMPK influencing mitochondrial energy output and stress response. This relationship places SIRT4 in an important position for maintaining energy balance and responding to cellular metabolic demands.

SIRT4 links to metabolic conditions such as diabetes and metabolic syndrome. Dysregulation of SIRT4 activity can lead to impaired insulin secretion and glucose intolerance. Furthermore SIRT4's interaction with other sirtuins particularly SIRT1 suggests a functional interplay in protecting against metabolic stress and possibly influencing the development of these metabolic disorders.

Product protocols

For this product, it's our understanding that no specific protocols are required. You can visit:

Target data

Acts as a NAD-dependent protein lipoamidase, biotinylase, deacetylase and ADP-ribosyl transferase (PubMed : 16959573, PubMed : 17715127, PubMed : 24052263, PubMed : 25525879). Catalyzes more efficiently removal of lipoyl- and biotinyl- than acetyl-lysine modifications (PubMed : 24052263, PubMed : 25525879). Inhibits the pyruvate dehydrogenase complex (PDH) activity via the enzymatic hydrolysis of the lipoamide cofactor from the E2 component, DLAT, in a phosphorylation-independent manner (PubMed : 25525879). Catalyzes the transfer of ADP-ribosyl groups onto target proteins, including mitochondrial GLUD1, inhibiting GLUD1 enzyme activity (PubMed : 16959573, PubMed : 17715127). Acts as a negative regulator of mitochondrial glutamine metabolism by mediating mono ADP-ribosylation of GLUD1 : expressed in response to DNA damage and negatively regulates anaplerosis by inhibiting GLUD1, leading to block metabolism of glutamine into tricarboxylic acid cycle and promoting cell cycle arrest (PubMed : 16959573, PubMed : 17715127). In response to mTORC1 signal, SIRT4 expression is repressed, promoting anaplerosis and cell proliferation (PubMed : 23663782). Acts as a tumor suppressor (PubMed : 23562301, PubMed : 23663782). Also acts as a NAD-dependent protein deacetylase : mediates deacetylation of 'Lys-471' of MLYCD, inhibiting its activity, thereby acting as a regulator of lipid homeostasis (By similarity). Does not seem to deacetylate PC (PubMed : 23438705). Controls fatty acid oxidation by inhibiting PPARA transcriptional activation (PubMed : 24043310). Impairs SIRT1-PPARA interaction probably through the regulation of NAD(+) levels (PubMed : 24043310). Down-regulates insulin secretion (PubMed : 17715127).
See full target information SIRT4

Publications (22)

Recent publications for all applications. Explore the full list and refine your search

Investigative ophthalmology & visual science 66:62 PubMed39873651

2025

SIRT4 Protects Retina Against Excitotoxic Injury by Promoting OPA1-Mediated Müller Glial Cell Mitochondrial Fusion and GLAST Expression.

Applications

Unspecified application

Species

Unspecified reactive species

Qian Ying,Hongdou Luo,Zhi Xie,Yi Huang,Haijian Hu,Ming Jin,Ke Xu,Yulian Pang,Yuning Song,Xu Zhang

iScience 27:109991 PubMed38846003

2024

Human SIRT5 variants with reduced stability and activity do not cause neuropathology in mice.

Applications

Unspecified application

Species

Unspecified reactive species

Taolin Yuan,Surinder Kumar,Mary E Skinner,Ryan Victor-Joseph,Majd Abuaita,Jaap Keijer,Jessica Zhang,Thaddeus J Kunkel,Yanghan Liu,Elyse M Petrunak,Thomas L Saunders,Andrew P Lieberman,Jeanne A Stuckey,Nouri Neamati,Fathiya Al-Murshedi,Majid Alfadhel,Johannes N Spelbrink,Richard Rodenburg,Vincent C J de Boer,David B Lombard

Cells 11: PubMed36078054

2022

Autophagy in Rat Müller Glial Cells Is Modulated by the Sirtuin 4/AMPK/mTOR Pathway and Induces Apoptosis under Oxidative Stress.

Applications

Unspecified application

Species

Unspecified reactive species

Mengqi Qin,Zhi Xie,Ting Cao,Zhiruo Wang,Xiaoyu Zhang,Feifei Wang,Wei Wei,Ming Jin,Jingyuan Ma,Ling Zeng,Yanan Wang,Shaonan Pei,Xu Zhang

Frontiers in oncology 12:872444 PubMed35707358

2022

SIRT4-Catalyzed Deacetylation of Axin1 Modulates the Wnt/β-Catenin Signaling Pathway.

Applications

Unspecified application

Species

Unspecified reactive species

Yuting Wang,Jicheng Yue,Mingzhe Xiao,Xiaomei Lu,Yuen Eugene Chin

Frontiers in neuroscience 16:840443 PubMed35185463

2022

SIRT4 Is Highly Expressed in Retinal Müller Glial Cells.

Applications

Unspecified application

Species

Unspecified reactive species

Wei Wei,Piaopiao Hu,Mengqi Qin,Guiping Chen,Feifei Wang,Shengrui Yao,Ming Jin,Zhi Xie,Xu Zhang

Molecular medicine reports 24: PubMed34414449

2021

Circular RNA OMA1 regulates the progression of breast cancer via modulation of the miR‑1276/SIRT4 axis.

Applications

Unspecified application

Species

Unspecified reactive species

Lingli Xu,Ke Xu,Lijun Xiang,Jiamei Yan

Annals of palliative medicine 9:3839-3847 PubMed33222465

2020

Nuclear factor E2 related factor (NRF2) inhibits mast cell- mediated allergic inflammation via SIRT4-mediated mitochondrial metabolism.

Applications

Unspecified application

Species

Unspecified reactive species

Binya Hu,Sijun Zhao,Min Huang,Jihao Ren

Theranostics 10:9458-9476 PubMed32863939

2020

Loss of SIRT4 promotes the self-renewal of Breast Cancer Stem Cells.

Applications

Unspecified application

Species

Unspecified reactive species

Lutao Du,Xiaoyan Liu,Yidan Ren,Juan Li,Peilong Li,Qinlian Jiao,Peng Meng,Fang Wang,Yuli Wang,Yun-Shan Wang,Chuanxin Wang

Molecular cell 75:823-834.e5 PubMed31302001

2019

SENP1-Sirt3 Signaling Controls Mitochondrial Protein Acetylation and Metabolism.

Applications

Unspecified application

Species

Unspecified reactive species

Tianshi Wang,Ying Cao,Quan Zheng,Jun Tu,Wei Zhou,Jianli He,Jie Zhong,Yalan Chen,Jiqiu Wang,Rong Cai,Yong Zuo,Bo Wei,Qiuju Fan,Jie Yang,Yicheng Wu,Jing Yi,Dali Li,Mingyao Liu,Chuangui Wang,Aiwu Zhou,Yu Li,Xuefeng Wu,Wen Yang,Y Eugene Chin,Guoqiang Chen,Jinke Cheng

International journal of molecular medicine 44:157-171 PubMed31017270

2019

Abnormal expression of SIRTs in psoriasis: Decreased expression of SIRT 1-5 and increased expression of SIRT 6 and 7.

Applications

Unspecified application

Species

Unspecified reactive species

Xiaojing Fan,Kexiang Yan,Qinqin Meng,Rui Sun,Xinrong Yang,Dingfen Yuan,Fulun Li,Hui Deng
View all publications

Product promise

We are committed to supporting your work with high-quality reagents, and we're here for you every step of the way. In the unlikely event that one of our products does not perform as expected, you're protected by our Product Promise.
For full details, please see our Terms & Conditions

Please note: All products are 'FOR RESEARCH USE ONLY. NOT FOR USE IN DIAGNOSTIC OR THERAPEUTIC PROCEDURES'.

For licensing inquiries, please contact partnerships@abcam.com