JavaScript is disabled in your browser. Please enable JavaScript to view this website.
AB275031

Anti-SIRT5 antibody [EPR23787-116] - BSA and Azide free

Be the first to review this product! Submit a review

|

(0 Publication)

Rabbit Recombinant Monoclonal SIRT5 antibody. Carrier free. Suitable for IP, WB, Flow Cyt (Intra), IHC-P and reacts with Human, Mouse, Rat samples.

View Alternative Names

SIR2L5, SIRT5, Regulatory protein SIR2 homolog 5, SIR2-like protein 5

12 Images
Immunohistochemistry (Formalin/PFA-fixed paraffin-embedded sections) - Anti-SIRT5 antibody [EPR23787-116] - BSA and Azide free (AB275031)
  • IHC-P

Unknown

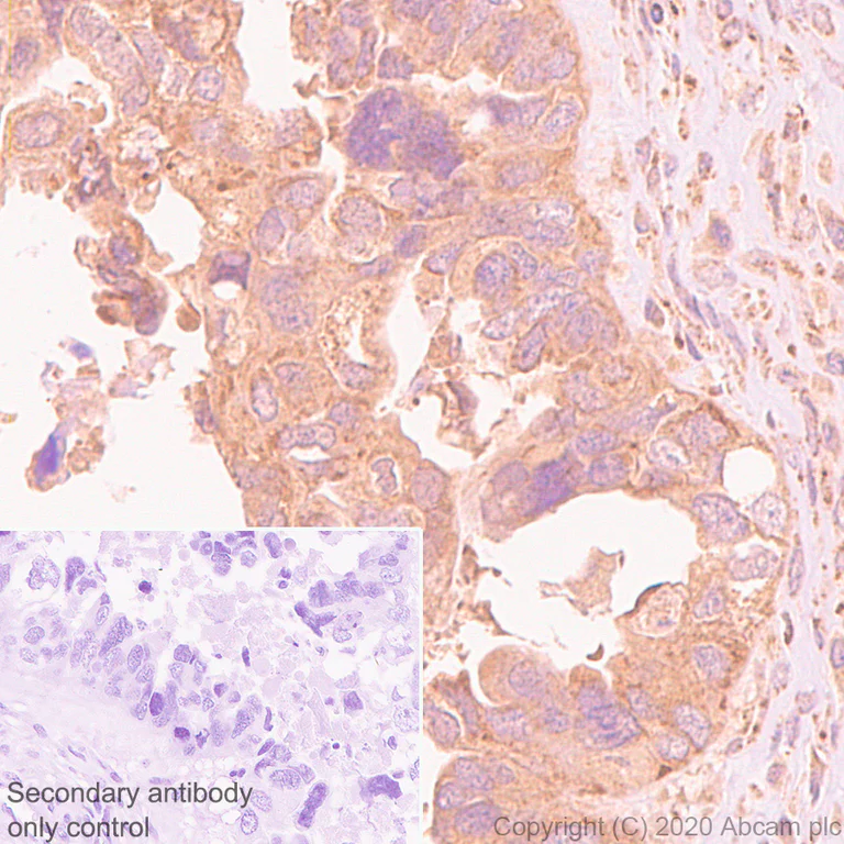
Immunohistochemistry (Formalin/PFA-fixed paraffin-embedded sections) - Anti-SIRT5 antibody [EPR23787-116] - BSA and Azide free (AB275031)

This data was developed using ab259967, the same antibody clone in a different buffer formulation.

Immunohistochemical analysis of paraffin-embedded Human ovarian adenocarcinoma tissue labeling SIRT5 with ab259967 at 1/100 dilution followed by a ready to use Rabbit specific IHC polymer detection kit HRP/DAB (ab209101). Positive staining on human ovarian adenocarcinoma (PMID 31456942). Counterstained with Hematoxylin.

Secondary antibody only control : Secondary antibody is a ready to use Rabbit specific IHC polymer detection kit HRP/DAB (ab209101).

Heat mediated antigen retrieval using ab93684 (Tris/EDTA buffer, pH 9.0).

Flow Cytometry (Intracellular) - Anti-SIRT5 antibody [EPR23787-116] - BSA and Azide free (AB275031)
  • Flow Cyt (Intra)

Unknown

Flow Cytometry (Intracellular) - Anti-SIRT5 antibody [EPR23787-116] - BSA and Azide free (AB275031)

This data was developed using ab259967, the same antibody clone in a different buffer formulation.

Intracellular flow cytometric analysis of 4% paraformaldehyde fixed 90% methanol permeabilized HepG2 (Human hepatocellular carcinoma epithelial cell) cells labelling SIRT5 with ab259967 at 1/50 dilution (1ug) (Red) compared with a Rabbit monoclonal IgG (ab172730) (Black) isotype control and an unlabelled control (cells without incubation with primary antibody and secondary antibody) (Blue).

A Goat anti rabbit IgG (Alexa Fluor®488, ab150077) at 1/2000 dilution was used as the secondary antibody.

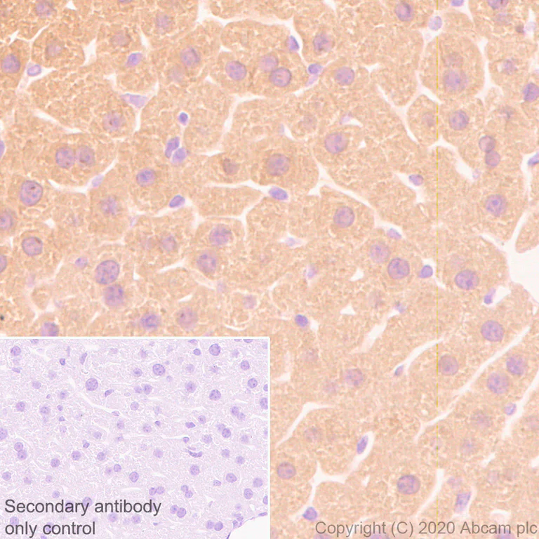
Immunohistochemistry (Formalin/PFA-fixed paraffin-embedded sections) - Anti-SIRT5 antibody [EPR23787-116] - BSA and Azide free (AB275031)
  • IHC-P

Unknown

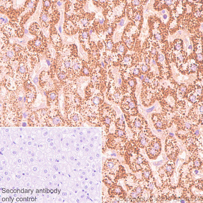
Immunohistochemistry (Formalin/PFA-fixed paraffin-embedded sections) - Anti-SIRT5 antibody [EPR23787-116] - BSA and Azide free (AB275031)

This data was developed using ab259967, the same antibody clone in a different buffer formulation.

Immunohistochemical analysis of paraffin-embedded Human liver tissue labeling SIRT5 with ab259967 at 1/100 dilution followed by a ready to use Rabbit specific IHC polymer detection kit HRP/DAB (ab209101). Positive staining on human liver (PMID 29491006). Counterstained with Hematoxylin.

Secondary antibody only control : Secondary antibody is a ready to use Rabbit specific IHC polymer detection kit HRP/DAB (ab209101).

Heat mediated antigen retrieval using ab93684 (Tris/EDTA buffer, pH 9.0).

Immunoprecipitation - Anti-SIRT5 antibody [EPR23787-116] - BSA and Azide free (AB275031)
  • IP

Unknown

Immunoprecipitation - Anti-SIRT5 antibody [EPR23787-116] - BSA and Azide free (AB275031)

This data was developed using ab259967, the same antibody clone in a different buffer formulation.

SIRT5 was immunoprecipitated from 0.35 mg HepG2 (human hepatocellular carcinoma epithelial cell) whole cell lysate with ab259967 at 1/30 dilution (2ug in 0.35mg lysates). Western blot was performed on the immunoprecipitate using ab259967 at 1/1000 dilution. VeriBlot for IP Detection Reagent (HRP)(ab131366) was used at 1/5000 dilution.

Lane 1 : HepG2 (human hepatocellular carcinoma epithelial cell) whole cell lysate 10 ug

Lane 2 : ab259967 IP in HepG2 whole cell lysate

Lane 3 : Rabbit monoclonal IgG (ab172730) instead of ab259967 in HepG2 whole cell lysate

Blocking and dilution buffer and concentration : 5% NFDM/TBST.

Exposure time : 3 minutes.

All lanes:

Immunoprecipitation - Anti-SIRT5 antibody [EPR23787-116] (<a href='/en-us/products/primary-antibodies/sirt5-antibody-epr23787-116-ab259967'>ab259967</a>)

Predicted band size: 33 kDa

Observed band size: 30 kDa

false

Flow Cytometry (Intracellular) - Anti-SIRT5 antibody [EPR23787-116] - BSA and Azide free (AB275031)
  • Flow Cyt (Intra)

Unknown

Flow Cytometry (Intracellular) - Anti-SIRT5 antibody [EPR23787-116] - BSA and Azide free (AB275031)

This data was developed using ab259967, the same antibody clone in a different buffer formulation.

Intracellular flow cytometric analysis of 4% paraformaldehyde fixed, 90% methanol permeabilized Hepa1-6 (Mouse hepatoma epithelial cell) cells labelling SIRT5 with ab259967 at 1/50 dilution (1ug) (Red) compared with a Rabbit monoclonal IgG (ab172730) (Black) isotype control and an unlabelled control (cells without incubation with primary antibody and secondary antibody) (Blue).

A Goat anti rabbit IgG (Alexa Fluor®488, ab150077) at 1/2000 dilution was used as the secondary antibody.

Immunohistochemistry (Formalin/PFA-fixed paraffin-embedded sections) - Anti-SIRT5 antibody [EPR23787-116] - BSA and Azide free (AB275031)
  • IHC-P

Unknown

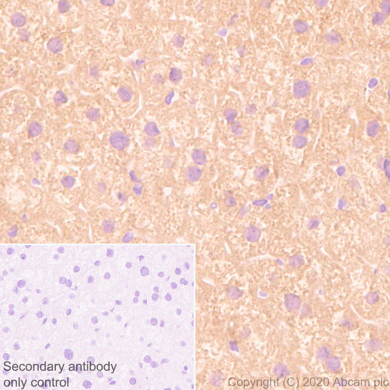
Immunohistochemistry (Formalin/PFA-fixed paraffin-embedded sections) - Anti-SIRT5 antibody [EPR23787-116] - BSA and Azide free (AB275031)

This data was developed using ab259967, the same antibody clone in a different buffer formulation.

Immunohistochemical analysis of paraffin-embedded Mouse liver tissue labeling SIRT5 with ab259967 at 1/100 dilution followed by a ready to use Rabbit specific IHC polymer detection kit HRP/DAB (ab209101). Positive staining on mouse liver (PMID 29491006). Counterstained with Hematoxylin.

Secondary antibody only control : Secondary antibody is a ready to use Rabbit specific IHC polymer detection kit HRP/DAB (ab209101).

Heat mediated antigen retrieval using ab93684 (Tris/EDTA buffer, pH 9.0).

Immunohistochemistry (Formalin/PFA-fixed paraffin-embedded sections) - Anti-SIRT5 antibody [EPR23787-116] - BSA and Azide free (AB275031)
  • IHC-P

Unknown

Immunohistochemistry (Formalin/PFA-fixed paraffin-embedded sections) - Anti-SIRT5 antibody [EPR23787-116] - BSA and Azide free (AB275031)

This data was developed using ab259967, the same antibody clone in a different buffer formulation.

Immunohistochemical analysis of paraffin-embedded Rat liver tissue labeling SIRT5 with ab259967 at 1/100 dilution followed by a ready to use Rabbit specific IHC polymer detection kit HRP/DAB (ab209101). Positive staining on rat liver (PMID 29491006). Counterstained with Hematoxylin.

Secondary antibody only control : Secondary antibody is a ready to use Rabbit specific IHC polymer detection kit HRP/DAB (ab209101).

Heat mediated antigen retrieval using ab93684 (Tris/EDTA buffer, pH 9.0).

Immunoprecipitation - Anti-SIRT5 antibody [EPR23787-116] - BSA and Azide free (AB275031)
  • IP

Unknown

Immunoprecipitation - Anti-SIRT5 antibody [EPR23787-116] - BSA and Azide free (AB275031)

This data was developed using ab259967, the same antibody clone in a different buffer formulation.

SIRT5 was immunoprecipitated from 0.35 mg Mouse liver tissue lysate with ab259967 at 1/30 dilution (2ug in 0.35mg lysates). Western blot was performed on the immunoprecipitate using ab259967 at 1/1000 dilution. VeriBlot for IP Detection Reagent (HRP)(ab131366) was used at 1/5000 dilution.

Lane 1 : Mouse liver tissue lysate 10 ug

Lane 2 : ab259967 IP in Mouse liver tissue lysate

Lane 3 : Rabbit monoclonal IgG (ab172730) instead of ab259967 in mouse liver tissue lysate

Blocking and dilution buffer and concentration : 5% NFDM/TBST.

Exposure time : 3 minutes.

All lanes:

Immunoprecipitation - Anti-SIRT5 antibody [EPR23787-116] (<a href='/en-us/products/primary-antibodies/sirt5-antibody-epr23787-116-ab259967'>ab259967</a>)

Predicted band size: 33 kDa

Observed band size: 30 kDa

false

Western blot - Anti-SIRT5 antibody [EPR23787-116] - BSA and Azide free (AB275031)
  • WB

Lab

Western blot - Anti-SIRT5 antibody [EPR23787-116] - BSA and Azide free (AB275031)

This data was developed using ab259967, the same antibody clone in a different buffer formulation.

Western blot : Anti-SIRT5 antibody [EPR23787-116] (ab259967) staining at 1/1000 dilution, shown in green; Mouse anti-Alpha Tubulin [DM1A] (ab7291) loading control staining at 1/20000 dilution, shown in magenta. In Western blot, ab259967 was shown to bind specifically to SIRT5. A band was observed at 33 kDa in wild-type A549 cell lysates with no signal observed at this size in SIRT5 knockout cell line. To generate this image, wild-type and SIRT5 knockout A549 cell lysates were analysed. First, samples were run on an SDS-PAGE gel then transferred onto a nitrocellulose membrane. Membranes were blocked in fluorescent western blot (TBS-based) blocking solution before incubation with primary antibodies overnight at 4 °C. Blots were washed four times in TBS-T, incubated with secondary antibodies for 1 h at room temperature, washed again four times then imaged. Secondary antibodies used were Goat anti-Rabbit IgG H&L 800CW and Goat anti-Mouse IgG H&L 680RD at 1/20000 dilution.

All lanes:

Western blot - Anti-SIRT5 antibody [EPR23787-116] (<a href='/en-us/products/primary-antibodies/sirt5-antibody-epr23787-116-ab259967'>ab259967</a>) at 1/1000 dilution

Lane 1:

Wild-type A549 cell lysate at 20 µg

Lane 2:

Western blot - Human SIRT5 knockout A549 cell line (<a href='/en-us/products/cell-lines/human-sirt5-knockout-a549-cell-line-ab282634'>ab282634</a>)

Lane 2:

SIRT5 knockout A549 cell lysate at 20 µg

Lane 3:

PC-3 cell lysate at 20 µg

Lane 4:

MCF7 Membrane Prep cell lysate at 20 µg

Secondary

Lanes 1 - 4:

Goat anti-Rabbit IgG H&L 800CW at 1/20000 dilution

Lanes 1 - 4:

Goat anti-Mouse IgG H&L 680RD at 1/20000 dilution

Observed band size: 33 kDa

false

Western blot - Anti-SIRT5 antibody [EPR23787-116] - BSA and Azide free (AB275031)
  • WB

Unknown

Western blot - Anti-SIRT5 antibody [EPR23787-116] - BSA and Azide free (AB275031)

This data was developed using ab259967, the same antibody clone in a different buffer formulation.

Blocking and dilution buffer : 5% NFDM/TBST.

Exposure time : 3 minutes.

All lanes:

Western blot - Anti-SIRT5 antibody [EPR23787-116] (<a href='/en-us/products/primary-antibodies/sirt5-antibody-epr23787-116-ab259967'>ab259967</a>) at 1/1000 dilution

Lane 1:

HepG2 (human hepatocellular carcinoma epithelial cell) whole cell lysate at 20 µg

Lane 2:

Huh7 (human hepatocellular carcinoma epithelial cell) whole cell lysate at 20 µg

Lane 3:

HeLa (human cervix adenocarcinoma epithelial cell) whole cell lysate at 20 µg

Lane 4:

HEK-293T (human embryonic kidney epithelial cell) whole cell lysate at 20 µg

Lane 5:

Hepa1-6 (mouse hepatoma epithelial cell) whole cell lysate at 20 µg

Lane 6:

RAW 264.7 (mouse abelson murine leukemia virus-induced tumor macrophage) whole cell lysate at 20 µg

Lane 7:

C6 (rat glial tumor glial cell) whole cell lysate at 20 µg

Secondary

All lanes:

Goat Anti-Rabbit IgG, (H+L), Peroxidase conjugated (<a href='/en-us/products/secondary-antibodies/goat-rabbit-igg-h-l-hrp-ab97051'>ab97051</a>) at 1/20000 dilution

Predicted band size: 33 kDa

Observed band size: 30 kDa

false

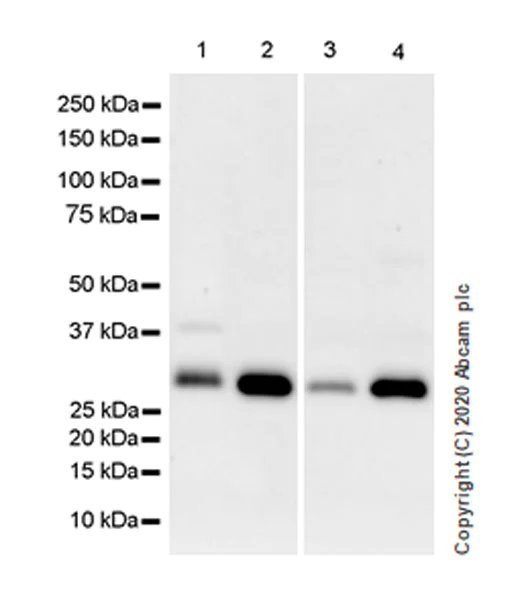
Western blot - Anti-SIRT5 antibody [EPR23787-116] - BSA and Azide free (AB275031)
  • WB

Unknown

Western blot - Anti-SIRT5 antibody [EPR23787-116] - BSA and Azide free (AB275031)

This data was developed using ab259967, the same antibody clone in a different buffer formulation.

Blocking and dilution buffer : 5% NFDM/TBST.

Exposure time : 3 minutes.

All lanes:

Western blot - Anti-SIRT5 antibody [EPR23787-116] (<a href='/en-us/products/primary-antibodies/sirt5-antibody-epr23787-116-ab259967'>ab259967</a>) at 1/1000 dilution

Lane 1:

Human liver tissue lysate at 10 µg

Lane 2:

Human heart tissue lysate at 10 µg

Secondary

All lanes:

VeriBlot for IP secondary antibody(HRP)(<a href='/en-us/products/reagents/veriblot-for-ip-detection-reagent-hrp-ab131366'>ab131366</a>) at 1/1000 dilution

Predicted band size: 33 kDa

Observed band size: 30 kDa

false

Western blot - Anti-SIRT5 antibody [EPR23787-116] - BSA and Azide free (AB275031)
  • WB

Unknown

Western blot - Anti-SIRT5 antibody [EPR23787-116] - BSA and Azide free (AB275031)

This data was developed using ab259967, the same antibody clone in a different buffer formulation.

Blocking and dilution buffer : 5% NFDM/TBST.

Exposure time : 48 seconds.

All lanes:

Western blot - Anti-SIRT5 antibody [EPR23787-116] (<a href='/en-us/products/primary-antibodies/sirt5-antibody-epr23787-116-ab259967'>ab259967</a>) at 1/1000 dilution

Lane 1:

Mouse liver tissue lysate at 20 µg

Lane 2:

Mouse heart tissue lysate at 20 µg

Lane 3:

Rat liver tissue lysate at 20 µg

Lane 4:

Rat heart tissue lysate at 20 µg

Secondary

All lanes:

Goat Anti-Rabbit IgG, (H+L), Peroxidase conjugated (<a href='/en-us/products/secondary-antibodies/goat-rabbit-igg-h-l-hrp-ab97051'>ab97051</a>) at 1/20000 dilution

Predicted band size: 33 kDa

Observed band size: 30 kDa

false

Key facts

Host species

Rabbit

Clonality

Monoclonal

Clone number

EPR23787-116

Isotype

IgG

Carrier free

Yes

Reacts with

Mouse, Rat, Human

Applications

IP, WB, IHC-P, Flow Cyt (Intra)

applications

Immunogen

The exact immunogen used to generate this antibody is proprietary information.

Reactivity data

{ "title": "Reactivity Data", "filters": { "stats": ["", "Species", "Dilution Info", "Notes"], "tabs": { "all-applications": {"fullname" : "All Applications", "shortname": "All Applications"}, "ICCIF" : {"fullname" : "Immunocytochemistry/ Immunofluorescence", "shortname":"ICC/IF"}, "IP" : {"fullname" : "Immunoprecipitation", "shortname":"IP"}, "WB" : {"fullname" : "Western blot", "shortname":"WB"}, "FlowCytIntra" : {"fullname" : "Flow Cytometry (Intracellular)", "shortname":"Flow Cyt (Intra)"}, "IHCP" : {"fullname" : "Immunohistochemistry (Formalin/PFA-fixed paraffin-embedded sections)", "shortname":"IHC-P"} }, "product-promise": { "all": "all", "testedAndGuaranteed": "tested", "guaranteed": "expected", "predicted": "predicted", "notRecommended": "not-recommended" } }, "values": { "Human": { "ICCIF-species-checked": "notRecommended", "ICCIF-species-dilution-info": "", "ICCIF-species-notes": "<p></p>", "IP-species-checked": "testedAndGuaranteed", "IP-species-dilution-info": "", "IP-species-notes": "<p></p>", "WB-species-checked": "testedAndGuaranteed", "WB-species-dilution-info": "", "WB-species-notes": "<p></p>", "FlowCytIntra-species-checked": "testedAndGuaranteed", "FlowCytIntra-species-dilution-info": "", "FlowCytIntra-species-notes": "<p></p>", "IHCP-species-checked": "testedAndGuaranteed", "IHCP-species-dilution-info": "", "IHCP-species-notes": "<p></p>" }, "Mouse": { "ICCIF-species-checked": "notRecommended", "ICCIF-species-dilution-info": "", "ICCIF-species-notes": "<p></p>", "IP-species-checked": "testedAndGuaranteed", "IP-species-dilution-info": "", "IP-species-notes": "<p></p>", "WB-species-checked": "testedAndGuaranteed", "WB-species-dilution-info": "", "WB-species-notes": "<p></p>", "FlowCytIntra-species-checked": "testedAndGuaranteed", "FlowCytIntra-species-dilution-info": "", "FlowCytIntra-species-notes": "<p></p>", "IHCP-species-checked": "testedAndGuaranteed", "IHCP-species-dilution-info": "", "IHCP-species-notes": "<p></p>" }, "Rat": { "ICCIF-species-checked": "notRecommended", "ICCIF-species-dilution-info": "", "ICCIF-species-notes": "<p></p>", "IP-species-checked": "guaranteed", "IP-species-dilution-info": "", "IP-species-notes": "", "WB-species-checked": "testedAndGuaranteed", "WB-species-dilution-info": "", "WB-species-notes": "<p></p>", "FlowCytIntra-species-checked": "guaranteed", "FlowCytIntra-species-dilution-info": "", "FlowCytIntra-species-notes": "", "IHCP-species-checked": "testedAndGuaranteed", "IHCP-species-dilution-info": "", "IHCP-species-notes": "<p></p>" } } }

Product details

ab275031 is the carrier-free version of ab259967.

Patented technology
Our RabMAb® technology is a patented hybridoma-based technology for making rabbit monoclonal antibodies. For details on our patents, please refer to RabMAb® patents.

What are the advantages of a recombinant monoclonal antibody?
This product is a recombinant monoclonal antibody, which offers several advantages including:

  • - High batch-to-batch consistency and reproducibility
  • - Improved sensitivity and specificity
  • - Long-term security of supply
  • - Animal-free batch production

For more information, read more on recombinant antibodies.

Conjugation ready
Our carrier-free antibodies are typically supplied in a PBS-only formulation, purified and free of BSA, sodium azide and glycerol. This conjugation-ready format is designed for use with fluorochromes, metal isotopes, oligonucleotides, and enzymes, which makes them ideal for antibody labelling, functional and cell-based assays, flow-based assays (e.g. mass cytometry) and Multiplex Imaging applications.

Use our conjugation kits for antibody conjugates that are ready-to-use in as little as 20 minutes with 1 minute hands-on-time and 100% antibody recovery: available for fluorescent dyes, HRP, biotin and gold.

Compatibility
This product is compatible with the Maxpar® Antibody Labeling Kit from Fluidigm, without the need for antibody preparation. Maxpar® is a trademark of Fluidigm Canada Inc.

Properties and storage information

Form
Liquid
Purification technique
Affinity purification Protein A
Storage buffer
Constituents: PBS
Shipped at conditions
Blue Ice
Appropriate short-term storage conditions
+4°C
Appropriate long-term storage conditions
+4°C
Storage information
Do Not Freeze

Supplementary information

This supplementary information is collated from multiple sources and compiled automatically.

SIRT5 also known as Sirtuin 5 is a mitochondrial protein with enzymatic activity as a lysine desuccinylase demalonylase and deglutarylase. It has a molecular mass of approximately 34 kDa. This protein is expressed highly in tissues with high metabolic activity like the liver heart and brain where it participates in regulating energy metabolism. The activity of SIRT5 affects cellular processes by removing post-translational modifications from lysine residues modulating proteins' functions and interactions in these tissues.
Biological function summary

SIRT5 functions as an important regulator of mitochondrial metabolism and influences cellular energy homeostasis. It is not part of larger complexes but it interacts with various metabolic enzymes to control their function. Through its deacylase activity SIRT5 affects the urea cycle and fatty acid oxidation by modifying key enzymes involved in these processes. Its role in maintaining a balance in energy production and consumption highlights its importance in cellular metabolism.

Pathways

SIRT5 is involved in both the tricarboxylic acid (TCA) cycle and the regulation of reactive oxygen species (ROS). Within the TCA cycle SIRT5 desuccinylates and activates enzymes like citrate synthase enhancing the cycle's efficiency. In regulating ROS SIRT5 reduces oxidative stress by affecting enzymes such as superoxide dismutase 2 (SOD2). Its interaction with these pathways and proteins reflects its role in maintaining metabolic health and cellular integrity.

Alterations in SIRT5 levels have been connected to metabolic diseases such as obesity and neurodegenerative disorders like Alzheimer's disease. In obesity SIRT5 dysregulation can lead to inefficient metabolic processes and energy imbalance. In Alzheimer’s decreased SIRT5 activity may contribute to increased mitochondrial oxidative stress implicated in disease progression. These connections highlight SIRT5’s significance in both metabolic and neurodegenerative contexts linking with proteins like AMPK in obesity and tau proteins in Alzheimer's disease.

Product protocols

For this product, it's our understanding that no specific protocols are required. You can visit:

Target data

NAD-dependent lysine demalonylase, desuccinylase and deglutarylase that specifically removes malonyl, succinyl and glutaryl groups on target proteins (PubMed : 21908771, PubMed : 22076378, PubMed : 24703693, PubMed : 29180469). Activates CPS1 and contributes to the regulation of blood ammonia levels during prolonged fasting : acts by mediating desuccinylation and deglutarylation of CPS1, thereby increasing CPS1 activity in response to elevated NAD levels during fasting (PubMed : 22076378, PubMed : 24703693). Activates SOD1 by mediating its desuccinylation, leading to reduced reactive oxygen species (PubMed : 24140062). Activates SHMT2 by mediating its desuccinylation (PubMed : 29180469). Modulates ketogenesis through the desuccinylation and activation of HMGCS2 (By similarity). Has weak NAD-dependent protein deacetylase activity; however this activity may not be physiologically relevant in vivo. Can deacetylate cytochrome c (CYCS) and a number of other proteins in vitro such as UOX.
See full target information SIRT5

Product promise

We are committed to supporting your work with high-quality reagents, and we're here for you every step of the way. In the unlikely event that one of our products does not perform as expected, you're protected by our Product Promise.
For full details, please see our Terms & Conditions

Please note: All products are 'FOR RESEARCH USE ONLY. NOT FOR USE IN DIAGNOSTIC OR THERAPEUTIC PROCEDURES'.

For licensing inquiries, please contact partnerships@abcam.com