JavaScript is disabled in your browser. Please enable JavaScript to view this website.
AB289970

Anti-SIRT6 antibody [EPR26255-85]

  • BOND RX™ Validated
  • 20ul selling size
  • RabMAb
  • Recombinant
  • KO Validated
  • What is this?

Be the first to review this product! Submit a review

|

(3 Publications)

Rabbit Recombinant Monoclonal SIRT6 antibody. Suitable for ICC/IF, IP, WB, Flow Cyt (Intra), IHC-P and reacts with Human samples. Cited in 3 publications.

View Alternative Names

SIR2L6, SIRT6, NAD-dependent protein deacylase sirtuin-6, NAD-dependent protein deacetylase sirtuin-6, Protein mono-ADP-ribosyltransferase sirtuin-6, Regulatory protein SIR2 homolog 6, SIR2-like protein 6, hSIRT6

8 Images
Flow Cytometry (Intracellular) - Anti-SIRT6 antibody [EPR26255-85] (AB289970)
  • Flow Cyt (Intra)

Lab

Flow Cytometry (Intracellular) - Anti-SIRT6 antibody [EPR26255-85] (AB289970)

Flow cytometric analysis of 4% paraformaldehyde fixed, 90% methanol permeabilized Parental HeLa (Human cervix adenocarcinoma epithelial cell, Right) / SIRT6 KO HeLa (Left) cells labelling SIRT6 with ab289970 at 1/5000 dilution (0.01μg) (Red) compared with a Rabbit monoclonal IgG (ab172730) (Black) isotype control and an unlabelled control (cells without incubation with primary antibody and secondary antibody) (Blue). A Goat Anti-Rabbit IgG (Alexa Fluor® 488, ab150081) at 1/2000 dilution was used as the secondary antibody. Positive staining on HeLa cells (ab255448), while no staining on SIRT6 knockout HeLa cells (ab265054).

Immunohistochemistry (Formalin/PFA-fixed paraffin-embedded sections) - Anti-SIRT6 antibody [EPR26255-85] (AB289970)
  • IHC-P

Lab

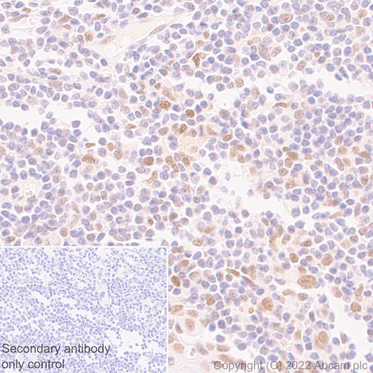
Immunohistochemistry (Formalin/PFA-fixed paraffin-embedded sections) - Anti-SIRT6 antibody [EPR26255-85] (AB289970)

Immunohistochemical analysis of paraffin-embedded Human thymus tissue labelling SIRT6 with ab289970 at 1/2000 followed by LeicaDS9800 (Bond™, Polymer Refine Detection). Positive staining on human thymus (PMID 29387864). The section was incubated with ab289970 for 30 mins at room temperature. The immunostaining was performed on a Leica Biosystems BOND® RX instrument. Counterstained with Hematoxylin.

Secondary antibody only control : Secondary antibody is LeicaDS9800 (Bond™, Polymer Refine Detection).

Heat mediated antigen retrieval with Tris-EDTA buffer (pH 9.0, epitope retrieval solution2) for 20 mins

Immunohistochemistry (Formalin/PFA-fixed paraffin-embedded sections) - Anti-SIRT6 antibody [EPR26255-85] (AB289970)
  • IHC-P

Lab

Immunohistochemistry (Formalin/PFA-fixed paraffin-embedded sections) - Anti-SIRT6 antibody [EPR26255-85] (AB289970)

Immunohistochemical analysis of paraffin-embedded Parental HeLa cell pellet labelling SIRT6 with ab289970 at 1/10000 followed by LeicaDS9800 (Bond™, Polymer Refine Detection) was used. Positive staining on Parental HeLa cell pellet (A), no staining on SIRT6 KO HeLa cell pellet (B). The section was incubated with ab289970 for 30 mins at room temperature.The immunostaining was performed on a Leica Biosystems BOND® RX instrument. Counterstained with Hematoxylin.

Secondary antibody only control : Secondary antibody is LeicaDS9800 (Bond™, Polymer Refine Detection).

Heat mediated antigen retrieval with Tris-EDTA buffer (pH 9.0, epitope retrieval solution2) for 20 mins

Immunohistochemistry (Formalin/PFA-fixed paraffin-embedded sections) - Anti-SIRT6 antibody [EPR26255-85] (AB289970)
  • IHC-P

Lab

Immunohistochemistry (Formalin/PFA-fixed paraffin-embedded sections) - Anti-SIRT6 antibody [EPR26255-85] (AB289970)

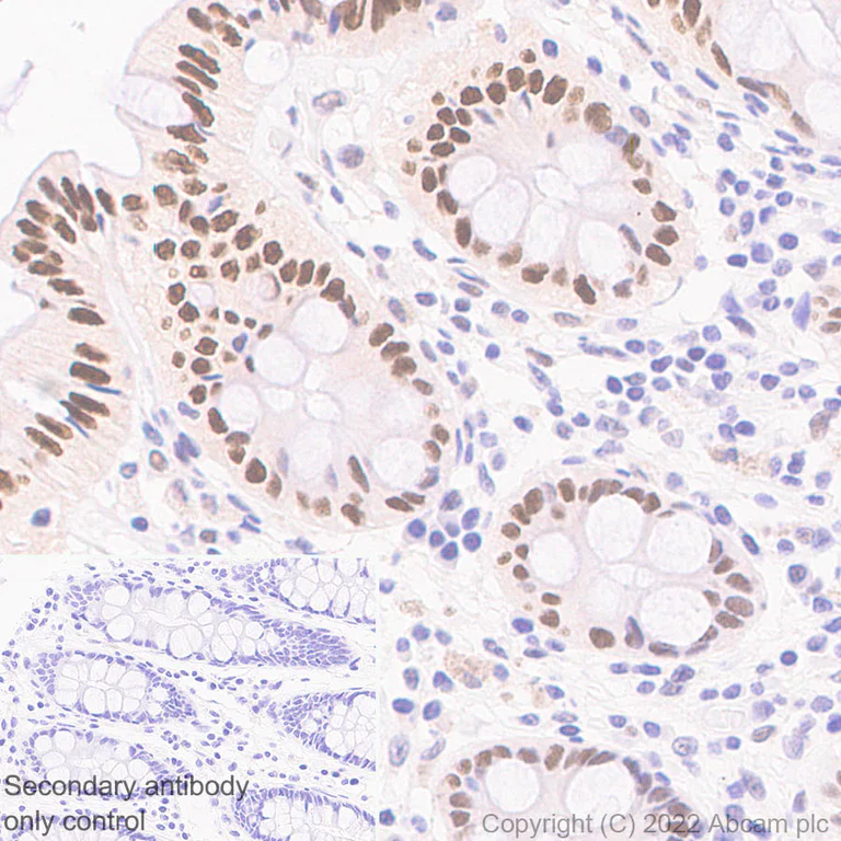
Immunohistochemical analysis of paraffin-embedded Human colon tissue labelling SIRT6 with ab289970 at 1/2000 followed by LeicaDS9800 (Bond™, Polymer Refine Detection). Positive staining on human colon (PMID 30333863) (PMID 29387864). The section was incubated with ab289970 for 30 mins at room temperature. The immunostaining was performed on a Leica Biosystems BOND® RX instrument. Counterstained with Hematoxylin.

Secondary antibody only control : Secondary antibody is LeicaDS9800 (Bond™, Polymer Refine Detection).

Heat mediated antigen retrieval with Tris-EDTA buffer (pH 9.0, epitope retrieval solution2) for 20 mins

Immunocytochemistry/ Immunofluorescence - Anti-SIRT6 antibody [EPR26255-85] (AB289970)
  • ICC/IF

Lab

Immunocytochemistry/ Immunofluorescence - Anti-SIRT6 antibody [EPR26255-85] (AB289970)

ab289970 staining SIRT6 in wild-type HeLa (human cervix adenocarcinoma epithelial cell line) cells and SIRT6 knockout HeLa (human cervix adenocarcinoma epithelial cell line) cells (ab265054). The cells were fixed with 4% paraformaldehyde and permeabilized with 0.1% Triton X-100. The cells were then incubated with ab289970 at 1/1000 dilution and ab195889 Anti-alpha Tubulin mouse monoclonal antibody - Microtubule Marker (Alexa Fluor® 594) at 1/200 dilution, followed by Goat Anti-Rabbit IgG H&L (Alexa Fluor® 488) preadsorbed (ab150081) secondary antibody at 1/1000 dilution. Nuclear DNA was labelled in blue with DAPI. Confocal image showing nuclear staining in parental Hela cell line and no staining in SIRT6 KO Hela cell line.

Immunoprecipitation - Anti-SIRT6 antibody [EPR26255-85] (AB289970)
  • IP

Lab

Immunoprecipitation - Anti-SIRT6 antibody [EPR26255-85] (AB289970)

SIRT6 was immunoprecipitated from HeLa (human cervix adenocarcinoma epithelial cell) whole cell lysate with ab289970 at 1/30 dilution (2μg in 0.35mg lysates). Western blot was performed on the immunoprecipitate using ab289970 at 1/1000 dilution. VeriBlot for IP secondary antibody(HRP)(ab131366) was used at 1/5000 dilution.

Lane 1 : HeLa (human cervix adenocarcinoma epithelial cell) whole cell lysate 10 μg

Lane 2 : ab289970 IP in HeLa whole cell lysate

Lane 3 : Rabbit monoclonal IgG (ab172730) instead of ab289970 in HeLa whole cell lysate

Blocking and dilution buffer and concentration : 5% NFDM/TBST.

Exposure time : 7.75 seconds

All lanes:

Immunoprecipitation - Anti-SIRT6 antibody [EPR26255-85] (ab289970)

All lanes:

HeLa (human cervix adenocarcinoma epithelial cell) whole cell lysate

Secondary

All lanes:

Immunoprecipitation - VeriBlot for IP Detection Reagent (HRP) (<a href='/en-us/products/reagents/veriblot-for-ip-detection-reagent-hrp-ab131366'>ab131366</a>) at 1/5000 dilution

Predicted band size: 39 kDa

Observed band size: 43 kDa

false

Western blot - Anti-SIRT6 antibody [EPR26255-85] (AB289970)
  • WB

Lab

Western blot - Anti-SIRT6 antibody [EPR26255-85] (AB289970)

Blocking buffer and concentration : Intercept® (TBS) Blocking Buffer diluted with an equal volume of 0.1% TBS.
Diluting buffer and concentration : Intercept® (TBS) Blocking Buffer diluted with an equal volume of 0.1% TBST.

Lysates/proteins at 20 μg per lane.

Performed under reducing conditions.

False colour image of Western blot : Anti-SIRT6 antibody [EPR26255-85](ab289970) staining at 1/1000 dilution, shown in green; Mouse anti-GAPDH antibody [6C5] (ab8245) loading control staining at 1/20000 dilution, shown in red.

In Western blot, ab289970 was shown to bind specifically to SIRT6. Two bands were observed at 43/36 kDa in wild-type SIRT6 cell lysates with no signal observed at this size in SIRT6 knockout cell line ab265054 (knockout cell lysate ab257673). To generate this image, wild-type and SIRT6 knockout HeLa cell lysates were analyzed. First, samples were run on an SDS-PAGE gel then transferred onto an immobilon-FL PVDF membrane. Membranes were blocked in Intercept® (TBS) Blocking Buffer diluted with an equal volume of 0.1% TBS before incubation with primary antibodies overnight at 4 °C. Blots were washed four times in TBS-T, incubated with secondary antibodies for 1 h at room temperature, washed again four times then imaged. Secondary antibodies used were Goat anti-Rabbit IgG H&L (IRDye® 800CW) preabsorbed (ab216773) and Goat anti-Mouse IgG H&L (IRDye® 680RD) preabsorbed (ab216776) at 1/10000 dilution.

All lanes:

Western blot - Anti-SIRT6 antibody [EPR26255-85] (ab289970) at 1/1000 dilution

Lane 1:

Wild-type HeLa (human cervix adenocarcinoma epithelial cell) whole cell lysate at 20 µg

Lane 2:

SIRT6 knockout HeLa whole cell lysate at 20 µg

Lane 3:

Jurkat (human T cell leukemia T lymphocyte) whole cell lysate at 20 µg

Predicted band size: 39 kDa

Observed band size: 40 kDa,43 kDa

false

Western blot - Anti-SIRT6 antibody [EPR26255-85] (AB289970)
  • WB

Lab

Western blot - Anti-SIRT6 antibody [EPR26255-85] (AB289970)

Blocking and diluting buffer and concentration : 5% NFDM/TBST

Exposure times : Lane 1 : 26 seconds Lane 2-4 : 7.75 seconds

All lanes:

Western blot - Anti-SIRT6 antibody [EPR26255-85] (ab289970) at 1/1000 dilution

Lane 1:

Human kidney tissue lysate at 20 µg

Lane 2:

HepG2 (human hepatocellar carcinoma epithelial cell) whole cell lysate at 20 µg

Lane 3:

MCF7 (human breast adenocarcinoma epithelial cell) whole cell lysate at 20 µg

Lane 4:

HCT116 (human colorectal carcinoma epithelial cell) whole cell lysate at 20 µg

Secondary

All lanes:

Goat Anti-Rabbit IgG (HRP) with minimal cross-reactivity with human IgG at 1/2000 dilution

Predicted band size: 39 kDa

Observed band size: 40 kDa,43 kDa

false

  • Carrier free

    Anti-SIRT6 antibody [EPR26255-85] - BSA and Azide free

Key facts

Host species

Rabbit

Clonality

Monoclonal

Clone number

EPR26255-85

Isotype

IgG

Carrier free

No

Reacts with

Human

Applications

WB, IP, ICC/IF, IHC-P, Flow Cyt (Intra)

applications

Immunogen

The exact immunogen used to generate this antibody is proprietary information.

Reactivity data

{ "title": "Reactivity Data", "filters": { "stats": ["", "Species", "Dilution Info", "Notes"], "tabs": { "all-applications": {"fullname" : "All Applications", "shortname": "All Applications"}, "ICCIF" : {"fullname" : "Immunocytochemistry/ Immunofluorescence", "shortname":"ICC/IF"}, "IP" : {"fullname" : "Immunoprecipitation", "shortname":"IP"}, "WB" : {"fullname" : "Western blot", "shortname":"WB"}, "FlowCytIntra" : {"fullname" : "Flow Cytometry (Intracellular)", "shortname":"Flow Cyt (Intra)"}, "IHCP" : {"fullname" : "Immunohistochemistry (Formalin/PFA-fixed paraffin-embedded sections)", "shortname":"IHC-P"} }, "product-promise": { "all": "all", "testedAndGuaranteed": "tested", "guaranteed": "expected", "predicted": "predicted", "notRecommended": "not-recommended" } }, "values": { "Human": { "ICCIF-species-checked": "testedAndGuaranteed", "ICCIF-species-dilution-info": "1/1000", "ICCIF-species-notes": "<p></p>", "IP-species-checked": "testedAndGuaranteed", "IP-species-dilution-info": "1/30", "IP-species-notes": "<p></p>", "WB-species-checked": "testedAndGuaranteed", "WB-species-dilution-info": "1/1000", "WB-species-notes": "<p></p>", "FlowCytIntra-species-checked": "testedAndGuaranteed", "FlowCytIntra-species-dilution-info": "1/5000", "FlowCytIntra-species-notes": "<p></p>", "IHCP-species-checked": "testedAndGuaranteed", "IHCP-species-dilution-info": "1/2000", "IHCP-species-notes": "<p></p>" }, "Mouse": { "ICCIF-species-checked": "notRecommended", "ICCIF-species-dilution-info": "1/1000", "ICCIF-species-notes": "<p></p>", "IP-species-checked": "notRecommended", "IP-species-dilution-info": "", "IP-species-notes": "", "WB-species-checked": "notRecommended", "WB-species-dilution-info": "1/1000", "WB-species-notes": "<p></p>", "FlowCytIntra-species-checked": "notRecommended", "FlowCytIntra-species-dilution-info": "", "FlowCytIntra-species-notes": "", "IHCP-species-checked": "notRecommended", "IHCP-species-dilution-info": "1/2000", "IHCP-species-notes": "<p></p>" }, "Rat": { "ICCIF-species-checked": "notRecommended", "ICCIF-species-dilution-info": "", "ICCIF-species-notes": "", "IP-species-checked": "notRecommended", "IP-species-dilution-info": "", "IP-species-notes": "", "WB-species-checked": "notRecommended", "WB-species-dilution-info": "1/1000", "WB-species-notes": "<p></p>", "FlowCytIntra-species-checked": "notRecommended", "FlowCytIntra-species-dilution-info": "", "FlowCytIntra-species-notes": "", "IHCP-species-checked": "notRecommended", "IHCP-species-dilution-info": "1/2000", "IHCP-species-notes": "<p></p>" } } }

Product details

Patented technology
Our RabMAb® technology is a patented hybridoma-based technology for making rabbit monoclonal antibodies. For details on our patents, please refer to RabMAb® patents.

What are the advantages of a recombinant monoclonal antibody?
This product is a recombinant monoclonal antibody, which offers several advantages including:

  • - High batch-to-batch consistency and reproducibility
  • - Improved sensitivity and specificity
  • - Long-term security of supply
  • - Animal-free batch production

For more information, read more on recombinant antibodies.

Properties and storage information

Form
Liquid
Purification technique
Affinity purification Protein A
Storage buffer
pH: 7.2 - 7.4 Preservative: 0.01% Sodium azide Constituents: PBS, 40% Glycerol (glycerin, glycerine), 0.05% BSA
Shipped at conditions
Blue Ice
Appropriate short-term storage duration
1-2 weeks
Appropriate short-term storage conditions
+4°C
Appropriate long-term storage conditions
-20°C
Aliquoting information
Upon delivery aliquot
Storage information
Avoid freeze / thaw cycle

Supplementary information

This supplementary information is collated from multiple sources and compiled automatically.

The SIRT6 protein also known as Sirtuin 6 plays an important role in cellular regulation. It is a member of the sirtuin family of proteins which are NAD+-dependent deacetylases. SIRT6 weighs approximately 39 kDa and can be found in the nucleus of many cell types. It acts mainly in regulating cellular homeostasis by removing acetyl groups from histone proteins which affects gene expression. Its expression levels vary across different tissues and it is known to be active in metabolically active organs such as the liver and brain.
Biological function summary

SIRT6 influences DNA repair metabolism and inflammation. It participates in maintaining genomic stability by promoting base excision repair a critical DNA repair process. Moreover SIRT6 contributes to glucose homeostasis by influencing gluconeogenesis and glycolysis. This protein is not known to be part of any larger protein complexes but it interacts individually with other proteins to exert its biological effects.

Pathways

SIRT6 plays a significant role in two key biological pathways: DNA damage response and metabolism regulation. In the DNA damage response pathway SIRT6 works with other proteins like PARP1 to facilitate DNA repair under stress conditions. In the regulation of metabolism SIRT6 interacts with transcription factors like HIF1α which influences the expression of genes involved in glycolytic metabolism and glucose homeostasis.

SIRT6 has associations with cancer and aging-related diseases. SIRT6 has a protective effect against oncogenesis by maintaining genomic stability and regulating metabolic pathways that cancer cells exploit. Additionally its role in aging is connected to its ability to prevent age-related genomic instability and metabolic decline. In cancer SIRT6 interacts with proteins such as c-Myc and p53 influencing cell growth and apoptosis pathways. This highlights its potential as a therapeutic target for both cancer and age-related conditions.

Product protocols

For this product, it's our understanding that no specific protocols are required. You can visit:

Target data

NAD-dependent protein deacetylase, deacylase and mono-ADP-ribosyltransferase that plays an essential role in DNA damage repair, telomere maintenance, metabolic homeostasis, inflammation, tumorigenesis and aging (PubMed : 18337721, PubMed : 19135889, PubMed : 19625767, PubMed : 21362626, PubMed : 21680843, PubMed : 23217706, PubMed : 23552949, PubMed : 23653361, PubMed : 24052263, PubMed : 27180906, PubMed : 27322069, PubMed : 29555651, PubMed : 30374165). Displays protein-lysine deacetylase or defatty-acylase (demyristoylase and depalmitoylase) activity, depending on the context (PubMed : 23552949, PubMed : 24052263, PubMed : 27322069). Acts as a key histone deacetylase by catalyzing deacetylation of histone H3 at 'Lys-9', 'Lys-18' and 'Lys-56' (H3K9ac, H3K18ac and H3K56ac, respectively), suppressing target gene expression of several transcription factors, including NF-kappa-B (PubMed : 19625767, PubMed : 21362626, PubMed : 23892288, PubMed : 23911928, PubMed : 24012758, PubMed : 26456828, PubMed : 26898756, PubMed : 27043296, PubMed : 27180906, PubMed : 30374165, PubMed : 33067423). Acts as an inhibitor of transcription elongation by mediating deacetylation of H3K9ac and H3K56ac, preventing release of NELFE from chromatin and causing transcriptional pausing (By similarity). Involved in DNA repair by promoting double-strand break (DSB) repair : acts as a DSB sensor by recognizing and binding DSB sites, leading to (1) recruitment of DNA repair proteins, such as SMARCA5/SNF2H, and (2) deacetylation of histone H3K9ac and H3K56ac (PubMed : 23911928, PubMed : 31995034, PubMed : 32538779). SIRT6 participation to DSB repair is probably involved in extension of life span (By similarity). Also promotes DNA repair by deacetylating non-histone proteins, such as DDB2 and p53/TP53 (PubMed : 29474172, PubMed : 32789493). Specifically deacetylates H3K18ac at pericentric heterochromatin, thereby maintaining pericentric heterochromatin silencing at centromeres and protecting against genomic instability and cellular senescence (PubMed : 27043296). Involved in telomere maintenance by catalyzing deacetylation of histone H3 in telomeric chromatin, regulating telomere position effect and telomere movement in response to DNA damage (PubMed : 18337721, PubMed : 19625767, PubMed : 21847107). Required for embryonic stem cell differentiation by mediating histone deacetylation of H3K9ac (PubMed : 25915124, PubMed : 29555651). Plays a major role in metabolism by regulating processes such as glycolysis, gluconeogenesis, insulin secretion and lipid metabolism (PubMed : 24012758, PubMed : 26787900). Inhibits glycolysis via histone deacetylase activity and by acting as a corepressor of the transcription factor HIF1A, thereby controlling the expression of multiple glycolytic genes (By similarity). Has tumor suppressor activity by repressing glycolysis, thereby inhibiting the Warburg effect (PubMed : 23217706). Also regulates glycolysis and tumorigenesis by mediating deacetylation and nuclear export of non-histone proteins, such as isoform M2 of PKM (PKM2) (PubMed : 26787900). Acts as a negative regulator of gluconeogenesis by mediating deacetylation of non-histone proteins, such as FOXO1 and KAT2A/GCN5 (PubMed : 23142079, PubMed : 25009184). Promotes beta-oxidation of fatty acids during fasting by catalyzing deacetylation of NCOA2, inducing coactivation of PPARA (By similarity). Acts as a regulator of lipid catabolism in brown adipocytes, both by catalyzing deacetylation of histones and non-histone proteins, such as FOXO1 (By similarity). Also acts as a regulator of circadian rhythms, both by regulating expression of clock-controlled genes involved in lipid and carbohydrate metabolism, and by catalyzing deacetylation of PER2 (By similarity). The defatty-acylase activity is specifically involved in regulation of protein secretion (PubMed : 23552949, PubMed : 24052263, PubMed : 27322069, PubMed : 28406396). Has high activity toward long-chain fatty acyl groups and mediates protein-lysine demyristoylation and depalmitoylation of target proteins, such as RRAS2 and TNF, thereby regulating their secretion (PubMed : 23552949, PubMed : 28406396). Also acts as a mono-ADP-ribosyltransferase by mediating mono-ADP-ribosylation of PARP1, TRIM28/KAP1 or SMARCC2/BAF170 (PubMed : 21680843, PubMed : 22753495, PubMed : 27322069, PubMed : 27568560). Mono-ADP-ribosyltransferase activity is involved in DNA repair, cellular senescence, repression of LINE-1 retrotransposon elements and regulation of transcription (PubMed : 21680843, PubMed : 22753495, PubMed : 27568560).
See full target information SIRT6

Publications (3)

Recent publications for all applications. Explore the full list and refine your search

Journal of cachexia, sarcopenia and muscle 16:e13734 PubMed39971710

2025

SIRT6 Ameliorates Cancer Cachexia-Associated Adipose Wasting by Suppressing TNFR2 Signalling in Mice.

Applications

Unspecified application

Species

Unspecified reactive species

Kang Xu,Yida Wang,Fang Wang,Yannan Guo,Yu Ren,Vivien Low,Sungyun Cho,Qingfei Liu,Ying Qiu,Xue Li,Kang Yu,Zhongchi Li,Zhao Wang

Cell & bioscience 14:153 PubMed39709438

2024

SIRT6 deficiency impairs the deacetylation and ubiquitination of UHRF1 to strengthen glycolysis and lactate secretion in bladder cancer.

Applications

Unspecified application

Species

Unspecified reactive species

Xiaojing Wang,Peipei Zhang,Jiaqi Yan,Jingyi Huang,Yan Shen,Hongchao He,Hongjing Dou

Experimental and therapeutic medicine 24:469 PubMed35747154

2022

Luteolin suppresses TNF-α-induced inflammatory injury and senescence of nucleus pulposus cells via the Sirt6/NF-κB pathway.

Applications

Unspecified application

Species

Unspecified reactive species

Tian Xie,Jun Yuan,Ling Mei,Ping Li,Ruijie Pan
View all publications

Product promise

We are committed to supporting your work with high-quality reagents, and we're here for you every step of the way. In the unlikely event that one of our products does not perform as expected, you're protected by our Product Promise.
For full details, please see our Terms & Conditions

Please note: All products are 'FOR RESEARCH USE ONLY. NOT FOR USE IN DIAGNOSTIC OR THERAPEUTIC PROCEDURES'.

For licensing inquiries, please contact partnerships@abcam.com