JavaScript is disabled in your browser. Please enable JavaScript to view this website.
AB275035

Anti-SIRT7 antibody [EPR23811-15] - BSA and Azide free

Be the first to review this product! Submit a review

|

(0 Publication)

Rabbit Recombinant Monoclonal SIRT7 antibody. Carrier free. Suitable for IHC-P, IP, WB and reacts with Rat, Mouse, Human samples.

View Alternative Names

SIR2L7, SIRT7, NAD-dependent protein deacetylase sirtuin-7, NAD-dependent protein deacylase sirtuin-7, Regulatory protein SIR2 homolog 7, SIR2-like protein 7

7 Images
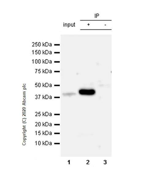
Immunoprecipitation - Anti-SIRT7 antibody [EPR23811-15] - BSA and Azide free (AB275035)
  • IP

Unknown

Immunoprecipitation - Anti-SIRT7 antibody [EPR23811-15] - BSA and Azide free (AB275035)

This data was developed using ab259968, the same antibody clone in a different buffer formulation.

SIRT7 was immunoprecipitated from 0.35 mg HeLa (human cervix adenocarcinoma epithelial cell), whole cell lysate with ab259968 at 1/30 dilution (2ug in 0.35mg lysates). Western blot was performed on the immunoprecipitate using ab259968 at 1/1000 dilution. VeriBlot for IP Detection Reagent (HRP)(ab131366) was used at 1/5000 dilution.

Lane 1 : HeLa (human cervix adenocarcinoma epithelial cell), whole cell lysate 10 ug

Lane 2 : ab259968 IP in HeLa whole cell lysate

Lane 3 : Rabbit monoclonal IgG (ab172730) instead of ab259968 in HeLa whole cell lysate

Blocking and dilution buffer and concentration : 5% NFDM/TBST.

Exposure time : 3 minutes.

All lanes:

Immunoprecipitation - Anti-SIRT7 antibody [EPR23811-15] (<a href='/en-us/products/primary-antibodies/sirt7-antibody-epr23811-15-ab259968'>ab259968</a>)

Predicted band size: 44 kDa

Observed band size: 45 kDa

false

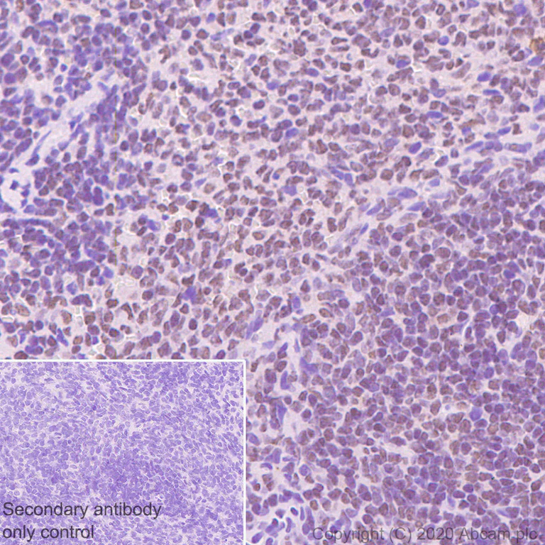
Immunohistochemistry (Formalin/PFA-fixed paraffin-embedded sections) - Anti-SIRT7 antibody [EPR23811-15] - BSA and Azide free (AB275035)
  • IHC-P

Unknown

Immunohistochemistry (Formalin/PFA-fixed paraffin-embedded sections) - Anti-SIRT7 antibody [EPR23811-15] - BSA and Azide free (AB275035)

This data was developed using ab259968, the same antibody clone in a different buffer formulation.

Immunohistochemical analysis of paraffin-embedded Rat spleen tissue labeling SIRT7 with ab259968 at 1/100 dilution followed by a ready to use Rabbit specific IHC polymer detection kit HRP/DAB (ab209101). Nuclear staining in rat spleen (PMID : 16618798). The section was incubated with ab259968 for 30 mins at room temperature. The immunostaining was performed on a Leica Biosystems BOND® RX instrument. Counterstained with Hematoxylin.

Secondary antibody only control : Secondary antibody is a ready to use Rabbit specific IHC polymer detection kit HRP/DAB (ab209101).

Heat mediated antigen retrieval with Citrate buffer (pH 6.0, epitope retrieval solution 1) for 20 mins.

Immunohistochemistry (Formalin/PFA-fixed paraffin-embedded sections) - Anti-SIRT7 antibody [EPR23811-15] - BSA and Azide free (AB275035)
  • IHC-P

Unknown

Immunohistochemistry (Formalin/PFA-fixed paraffin-embedded sections) - Anti-SIRT7 antibody [EPR23811-15] - BSA and Azide free (AB275035)

This data was developed using ab259968, the same antibody clone in a different buffer formulation.

Immunohistochemical analysis of paraffin-embedded Mouse liver tissue labeling SIRT7 with ab259968 at 1/100 dilution followed by a ready to use Rabbit specific IHC polymer detection kit HRP/DAB (ab209101). Nuclear staining in mouse liver (PMID : 16618798). The section was incubated with ab259968 for 30 mins at room temperature. The immunostaining was performed on a Leica Biosystems BOND® RX instrument. Counterstained with Hematoxylin.

Secondary antibody only control : Secondary antibody is a ready to use Rabbit specific IHC polymer detection kit HRP/DAB (ab209101).

Heat mediated antigen retrieval with Citrate buffer (pH 6.0, epitope retrieval solution 1) for 20 mins.

Immunoprecipitation - Anti-SIRT7 antibody [EPR23811-15] - BSA and Azide free (AB275035)
  • IP

Unknown

Immunoprecipitation - Anti-SIRT7 antibody [EPR23811-15] - BSA and Azide free (AB275035)

This data was developed using ab259968, the same antibody clone in a different buffer formulation.

SIRT7 was immunoprecipitated from 0.35 mg Neuro-2a (mouse neuroblastoma neuroblast), whole cell lysate with ab259968 at 1/30 dilution (2ug in 0.35mg lysates). Western blot was performed on the immunoprecipitate using ab259968 at 1/1000 dilution. VeriBlot for IP Detection Reagent (HRP)(ab131366) was used at 1/5000 dilution.

Lane 1 : Neuro-2a (mouse neuroblastoma neuroblast), whole cell lysate 10 ug

Lane 2 : ab259968 IP in Neuro-2a whole cell lysate

Lane 3 : Rabbit monoclonal IgG (ab172730) instead of ab259968 in Neuro-2a whole cell lysate

Blocking and dilution buffer and concentration : 5% NFDM/TBST.

Exposure time : 67 seconds.

All lanes:

Immunoprecipitation - Anti-SIRT7 antibody [EPR23811-15] (<a href='/en-us/products/primary-antibodies/sirt7-antibody-epr23811-15-ab259968'>ab259968</a>)

Predicted band size: 44 kDa

Observed band size: 45 kDa

false

Western blot - Anti-SIRT7 antibody [EPR23811-15] - BSA and Azide free (AB275035)
  • WB

Unknown

Western blot - Anti-SIRT7 antibody [EPR23811-15] - BSA and Azide free (AB275035)

This data was developed using ab259968, the same antibody clone in a different buffer formulation.

Blocking and dilution buffer : 5% NFDM/TBST.

Exposure time : 3 minutes.

All lanes:

Western blot - Anti-SIRT7 antibody [EPR23811-15] (<a href='/en-us/products/primary-antibodies/sirt7-antibody-epr23811-15-ab259968'>ab259968</a>) at 1/1000 dilution

Lane 1:

HeLa (human cervix adenocarcinoma epithelial cell), whole cell lysate at 20 µg

Lane 2:

HEK-293T (human embryonic kidney epithelial cell), whole cell lysate at 20 µg

Lane 3:

HepG2 (human hepatocellular carcinoma epithelial cell), whole cell lysate at 20 µg

Lane 4:

MCF7 (human breast adenocarcinoma epithelial cell), whole cell lysate at 20 µg

Secondary

All lanes:

Goat Anti-Rabbit IgG, (H+L), Peroxidase conjugated (<a href='/en-us/products/secondary-antibodies/goat-rabbit-igg-h-l-hrp-ab97051'>ab97051</a>) at 1/20000 dilution

Predicted band size: 44 kDa

Observed band size: 45 kDa

false

Western blot - Anti-SIRT7 antibody [EPR23811-15] - BSA and Azide free (AB275035)
  • WB

Unknown

Western blot - Anti-SIRT7 antibody [EPR23811-15] - BSA and Azide free (AB275035)

This data was developed using ab259968, the same antibody clone in a different buffer formulation.

Blocking and dilution buffer : 5% NFDM/TBST.

Exposure time : 3 minutes.

Low expression : skeletal muscle (PMID : 16618798).

All lanes:

Western blot - Anti-SIRT7 antibody [EPR23811-15] (<a href='/en-us/products/primary-antibodies/sirt7-antibody-epr23811-15-ab259968'>ab259968</a>) at 1/1000 dilution

Lane 1:

Mouse liver tissue lysate at 20 µg

Lane 2:

Mouse skeletal muscle tissue lysate at 20 µg

Lane 3:

Rat spleen tissue lysate at 20 µg

Lane 4:

Rat liver tissue lysate at 20 µg

Lane 5:

Rat skeletal muscle tissue lysate at 20 µg

Secondary

All lanes:

Goat Anti-Rabbit IgG, (H+L), Peroxidase conjugated (<a href='/en-us/products/secondary-antibodies/goat-rabbit-igg-h-l-hrp-ab97051'>ab97051</a>) at 1/20000 dilution

Predicted band size: 44 kDa

Observed band size: 45 kDa

false

Western blot - Anti-SIRT7 antibody [EPR23811-15] - BSA and Azide free (AB275035)
  • WB

Unknown

Western blot - Anti-SIRT7 antibody [EPR23811-15] - BSA and Azide free (AB275035)

This data was developed using ab259968, the same antibody clone in a different buffer formulation.

Blocking and dilution buffer : 5% NFDM/TBST.

Exposure time : 3 minutes.

The expression pattern of SIRT7 is consistent with what has been described in the literature(PMID : 24771643, 16618798).

All lanes:

Western blot - Anti-SIRT7 antibody [EPR23811-15] (<a href='/en-us/products/primary-antibodies/sirt7-antibody-epr23811-15-ab259968'>ab259968</a>) at 1/1000 dilution

Lane 1:

Mouse spleen tissue lysate at 20 µg

Lane 2:

Hepa1-6 (mouse hepatoma epithelial cell), whole cell lysate at 20 µg

Lane 3:

Neuro-2a (mouse neuroblastoma neuroblast), whole cell lysate at 20 µg

Lane 4:

NIH/3T3 (mouse embryonic fibroblast), whole cell lysate at 20 µg

Lane 5:

RAW264.7 (mouse Abelson murine leukemia virus-induced tumor macrophage), whole cell lysate at 20 µg

Lane 6:

C6 (rat glial tumor glial cell), whole cell lysate at 20 µg

Secondary

All lanes:

Goat Anti-Rabbit IgG, (H+L), Peroxidase conjugated (<a href='/en-us/products/secondary-antibodies/goat-rabbit-igg-h-l-hrp-ab97051'>ab97051</a>) at 1/20000 dilution

Predicted band size: 44 kDa

Observed band size: 45 kDa

false

Key facts

Host species

Rabbit

Clonality

Monoclonal

Clone number

EPR23811-15

Isotype

IgG

Carrier free

Yes

Reacts with

Mouse, Rat, Human

Applications

IP, IHC-P, WB

applications

Immunogen

The exact immunogen used to generate this antibody is proprietary information.

Reactivity data

{ "title": "Reactivity Data", "filters": { "stats": ["", "Species", "Dilution Info", "Notes"], "tabs": { "all-applications": {"fullname" : "All Applications", "shortname": "All Applications"}, "IHCP" : {"fullname" : "Immunohistochemistry (Formalin/PFA-fixed paraffin-embedded sections)", "shortname":"IHC-P"}, "ICCIF" : {"fullname" : "Immunocytochemistry/ Immunofluorescence", "shortname":"ICC/IF"}, "IP" : {"fullname" : "Immunoprecipitation", "shortname":"IP"}, "FlowCyt" : {"fullname" : "Flow Cytometry", "shortname":"Flow Cyt"}, "WB" : {"fullname" : "Western blot", "shortname":"WB"} }, "product-promise": { "all": "all", "testedAndGuaranteed": "tested", "guaranteed": "expected", "predicted": "predicted", "notRecommended": "not-recommended" } }, "values": { "Human": { "IHCP-species-checked": "notRecommended", "IHCP-species-dilution-info": "", "IHCP-species-notes": "<p></p>", "ICCIF-species-checked": "notRecommended", "ICCIF-species-dilution-info": "", "ICCIF-species-notes": "<p></p>", "IP-species-checked": "testedAndGuaranteed", "IP-species-dilution-info": "", "IP-species-notes": "<p></p>", "FlowCyt-species-checked": "notRecommended", "FlowCyt-species-dilution-info": "", "FlowCyt-species-notes": "<p></p>", "WB-species-checked": "testedAndGuaranteed", "WB-species-dilution-info": "", "WB-species-notes": "<p></p>" }, "Mouse": { "IHCP-species-checked": "testedAndGuaranteed", "IHCP-species-dilution-info": "", "IHCP-species-notes": "<p></p>", "ICCIF-species-checked": "notRecommended", "ICCIF-species-dilution-info": "", "ICCIF-species-notes": "<p></p>", "IP-species-checked": "testedAndGuaranteed", "IP-species-dilution-info": "", "IP-species-notes": "<p></p>", "FlowCyt-species-checked": "notRecommended", "FlowCyt-species-dilution-info": "", "FlowCyt-species-notes": "<p></p>", "WB-species-checked": "testedAndGuaranteed", "WB-species-dilution-info": "", "WB-species-notes": "<p></p>" }, "Rat": { "IHCP-species-checked": "testedAndGuaranteed", "IHCP-species-dilution-info": "", "IHCP-species-notes": "<p></p>", "ICCIF-species-checked": "notRecommended", "ICCIF-species-dilution-info": "", "ICCIF-species-notes": "<p></p>", "IP-species-checked": "guaranteed", "IP-species-dilution-info": "", "IP-species-notes": "", "FlowCyt-species-checked": "notRecommended", "FlowCyt-species-dilution-info": "", "FlowCyt-species-notes": "<p></p>", "WB-species-checked": "testedAndGuaranteed", "WB-species-dilution-info": "", "WB-species-notes": "<p></p>" } } }

Product details

ab275035 is the carrier-free version of ab259968.

Patented technology
Our RabMAb® technology is a patented hybridoma-based technology for making rabbit monoclonal antibodies. For details on our patents, please refer to RabMAb® patents.

What are the advantages of a recombinant monoclonal antibody?
This product is a recombinant monoclonal antibody, which offers several advantages including:

  • - High batch-to-batch consistency and reproducibility
  • - Improved sensitivity and specificity
  • - Long-term security of supply
  • - Animal-free batch production

For more information, read more on recombinant antibodies.

Conjugation ready
Our carrier-free antibodies are typically supplied in a PBS-only formulation, purified and free of BSA, sodium azide and glycerol. This conjugation-ready format is designed for use with fluorochromes, metal isotopes, oligonucleotides, and enzymes, which makes them ideal for antibody labelling, functional and cell-based assays, flow-based assays (e.g. mass cytometry) and Multiplex Imaging applications.

Use our conjugation kits for antibody conjugates that are ready-to-use in as little as 20 minutes with 1 minute hands-on-time and 100% antibody recovery: available for fluorescent dyes, HRP, biotin and gold.

Compatibility
This product is compatible with the Maxpar® Antibody Labeling Kit from Fluidigm, without the need for antibody preparation. Maxpar® is a trademark of Fluidigm Canada Inc.

Properties and storage information

Form
Liquid
Purification technique
Affinity purification Protein A
Storage buffer
Constituents: PBS
Shipped at conditions
Blue Ice
Appropriate short-term storage conditions
+4°C
Appropriate long-term storage conditions
+4°C
Storage information
Do Not Freeze

Supplementary information

This supplementary information is collated from multiple sources and compiled automatically.

SIRT7 also known as sirtuin 7 is a member of the sirtuin family of proteins which are class III histone deacetylases. SIRT7 has an approximate mass of 44 kDa and primarily resides in the nucleolus where it is involved in the regulation of ribosomal DNA transcription. It acts by removing acetyl groups from histone H3 at lysine 18 (H3K18Ac) which impacts chromatin structure and gene expression. SIRT7 expression is found in various tissues with higher levels observed in metabolically active tissues such as the liver heart and kidneys.
Biological function summary

SIRT7 plays a significant role in cell proliferation stress resistance and metabolism. It is a component of a nucleolar complex that actively regulates RNA polymerase I-dependent transcription. By deacetylating target substrates SIRT7 enhances rRNA synthesis which is vital for ribosome biogenesis and cellular growth. Additionally SIRT7 influences various cellular processes including mitochondrial homeostasis and DNA damage repair through its deacetylase activity on both histones and non-histone proteins.

Pathways

SIRT7 integrates into the broader framework of cellular regulatory mechanisms. Specifically it is involved in the aging pathway and the p53 signaling pathway. In the aging pathway SIRT7 functions alongside related sirtuins like SIRT1 to modulate lifespan and stress responses. In the p53 signaling pathway SIRT7 interacts with proteins such as p53 and MDM2 influencing apoptosis and cell cycle regulation. These pathways reflect its adaptability in managing cellular survival and growth responses.

SIRT7's involvement is highlighted in cancer and cardiovascular diseases. In cancer its role in promoting ribosomal biogenesis and cell proliferation links it to tumor progression where overexpression correlates with certain cancer types. SIRT7 interacts with oncogenes and tumor suppressor proteins such as MYC and p53 modulating their pathways. In cardiovascular disorders altered SIRT7 activity affects cardiac hypertrophy and myocardial function with connections to proteins that regulate cardiac stress responses such as AMPK and PGC-1α. These associations demonstrate SIRT7’s significant impact on disease development and progression.

Product protocols

For this product, it's our understanding that no specific protocols are required. You can visit:

Target data

NAD-dependent protein-lysine deacylase that can act both as a deacetylase or deacylase (desuccinylase, depropionylase, deglutarylase and dedecanoylase), depending on the context (PubMed : 22722849, PubMed : 26907567, PubMed : 30653310, PubMed : 31542297, PubMed : 35939806). Specifically mediates deacetylation of histone H3 at 'Lys-18' (H3K18Ac) (PubMed : 22722849, PubMed : 30420520, PubMed : 35939806). In contrast to other histone deacetylases, displays strong preference for a specific histone mark, H3K18Ac, directly linked to control of gene expression (PubMed : 22722849, PubMed : 30653310). H3K18Ac is mainly present around the transcription start site of genes and has been linked to activation of nuclear hormone receptors; SIRT7 thereby acts as a transcription repressor (PubMed : 22722849). Moreover, H3K18 hypoacetylation has been reported as a marker of malignancy in various cancers and seems to maintain the transformed phenotype of cancer cells (PubMed : 22722849). Also able to mediate deacetylation of histone H3 at 'Lys-36' (H3K36Ac) in the context of nucleosomes (PubMed : 30653310). Also mediates deacetylation of non-histone proteins, such as ATM, CDK9, DDX21, DDB1, FBL, FKBP5/FKBP51, GABPB1, RAN, RRP9/U3-55K and POLR1E/PAF53 (PubMed : 24207024, PubMed : 26867678, PubMed : 28147277, PubMed : 28426094, PubMed : 28790157, PubMed : 28886238, PubMed : 30540930, PubMed : 30944854, PubMed : 31075303). Enriched in nucleolus where it stimulates transcription activity of the RNA polymerase I complex (PubMed : 16618798, PubMed : 19174463, PubMed : 24207024). Acts by mediating the deacetylation of the RNA polymerase I subunit POLR1E/PAF53, thereby promoting the association of RNA polymerase I with the rDNA promoter region and coding region (PubMed : 16618798, PubMed : 19174463, PubMed : 24207024). In response to metabolic stress, SIRT7 is released from nucleoli leading to hyperacetylation of POLR1E/PAF53 and decreased RNA polymerase I transcription (PubMed : 24207024). Required to restore the transcription of ribosomal RNA (rRNA) at the exit from mitosis (PubMed : 19174463). Promotes pre-ribosomal RNA (pre-rRNA) cleavage at the 5'-terminal processing site by mediating deacetylation of RRP9/U3-55K, a core subunit of the U3 snoRNP complex (PubMed : 26867678). Mediates 'Lys-37' deacetylation of Ran, thereby regulating the nuclear export of NF-kappa-B subunit RELA/p65 (PubMed : 31075303). Acts as a regulator of DNA damage repair by mediating deacetylation of ATM during the late stages of DNA damage response, promoting ATM dephosphorylation and deactivation (PubMed : 30944854). Suppresses the activity of the DCX (DDB1-CUL4-X-box) E3 ubiquitin-protein ligase complexes by mediating deacetylation of DDB1, which prevents the interaction between DDB1 and CUL4 (CUL4A or CUL4B) (PubMed : 28886238). Activates RNA polymerase II transcription by mediating deacetylation of CDK9, thereby promoting 'Ser-2' phosphorylation of the C-terminal domain (CTD) of RNA polymerase II (PubMed : 28426094). Deacetylates FBL, promoting histone-glutamine methyltransferase activity of FBL (PubMed : 30540930). Acts as a regulator of mitochondrial function by catalyzing deacetylation of GABPB1 (By similarity). Regulates Akt/AKT1 activity by mediating deacetylation of FKBP5/FKBP51 (PubMed : 28147277). Required to prevent R-loop-associated DNA damage and transcription-associated genomic instability by mediating deacetylation and subsequent activation of DDX21, thereby overcoming R-loop-mediated stalling of RNA polymerases (PubMed : 28790157). In addition to protein deacetylase activity, also acts as a protein-lysine deacylase (PubMed : 27436229, PubMed : 27997115, PubMed : 31542297). Acts as a protein depropionylase by mediating depropionylation of Osterix (SP7), thereby regulating bone formation by osteoblasts (By similarity). Acts as a histone deglutarylase by mediating deglutarylation of histone H4 on 'Lys-91' (H4K91glu); a mark that destabilizes nucleosomes by promoting dissociation of the H2A-H2B dimers from nucleosomes (PubMed : 31542297). Acts as a histone desuccinylase : in response to DNA damage, recruited to DNA double-strand breaks (DSBs) and catalyzes desuccinylation of histone H3 on 'Lys-122' (H3K122succ), thereby promoting chromatin condensation and DSB repair (PubMed : 27436229). Also promotes DSB repair by promoting H3K18Ac deacetylation, regulating non-homologous end joining (NHEJ) (By similarity). Along with its role in DNA repair, required for chromosome synapsis during prophase I of female meiosis by catalyzing H3K18Ac deacetylation (By similarity). Involved in transcriptional repression of LINE-1 retrotransposon via H3K18Ac deacetylation, and promotes their association with the nuclear lamina (PubMed : 31226208). Required to stabilize ribosomal DNA (rDNA) heterochromatin and prevent cellular senescence induced by rDNA instability (PubMed : 29728458). Acts as a negative regulator of SIRT1 by preventing autodeacetylation of SIRT1, restricting SIRT1 deacetylase activity (By similarity).
See full target information SIRT7

Product promise

We are committed to supporting your work with high-quality reagents, and we're here for you every step of the way. In the unlikely event that one of our products does not perform as expected, you're protected by our Product Promise.
For full details, please see our Terms & Conditions

Please note: All products are 'FOR RESEARCH USE ONLY. NOT FOR USE IN DIAGNOSTIC OR THERAPEUTIC PROCEDURES'.

For licensing inquiries, please contact partnerships@abcam.com