JavaScript is disabled in your browser. Please enable JavaScript to view this website.
AB252224

Anti-SIX1 antibody [1229]

Be the first to review this product! Submit a review

|

(7 Publications)

Mouse Recombinant Monoclonal SIX1 antibody. Suitable for WB, ICC/IF, IHC-P and reacts with Human samples. Cited in 7 publications.

View Alternative Names

Homeobox protein SIX1, Sine oculis homeobox homolog 1, SIX1

5 Images
Immunocytochemistry/ Immunofluorescence - Anti-SIX1 antibody [1229] (AB252224)
  • ICC/IF

Supplier Data

Immunocytochemistry/ Immunofluorescence - Anti-SIX1 antibody [1229] (AB252224)

4% Paraformaldehyde-fixed, 0.1% Triton X-100 permeabilized A-204 (human muscle rhabdomyosarcoma) cells stained for SIX1 (Green) using ab252224 at 10.9μg/ml, followed by ab150077 AlexaFluor®488 Goat anti-Rabbit secondary antibody at 1/1000 dilution. ab195889 anti-alpha Tubulin antibody [DM1A] - Microtubule Marker (Alexa Fluor® 594) was used as a counterstain at 1/200 dilution. Confocal image showing nuclear staining in A-204 cell line.
Negative control : Caco-2.

Immunohistochemistry (Formalin/PFA-fixed paraffin-embedded sections) - Anti-SIX1 antibody [1229] (AB252224)
  • IHC-P

Supplier Data

Immunohistochemistry (Formalin/PFA-fixed paraffin-embedded sections) - Anti-SIX1 antibody [1229] (AB252224)

Formalin-fixed paraffin-embedded human lung tissue stained for SIX1 using ab252224 at 5.45 μg/ml followed by a ready to use secondary antibody.

Nuclear staining on human lung tissue.

The section was incubated with ab252224 for 30 mins at room temperature.

The immunostaining staining was performed on a Leica Biosystems BOND® RX instrument.

Heat mediated antigen retrieval with Tris-EDTA buffer (pH 9.0, epitope retrieval solution 2) for 20 mins.

Immunohistochemistry (Formalin/PFA-fixed paraffin-embedded sections) - Anti-SIX1 antibody [1229] (AB252224)
  • IHC-P

Supplier Data

Immunohistochemistry (Formalin/PFA-fixed paraffin-embedded sections) - Anti-SIX1 antibody [1229] (AB252224)

Formalin-fixed paraffin-embedded human skeletal muscle tissue stained for SIX1 using ab252224 at 5.45μg/ml followed by a ready to use secondary antibody.

Nuclear staining on human skeletal muscle tissue.

The section was incubated with ab252224 for 30 mins at room temperature.

The immunostaining staining was performed on a Leica Biosystems BOND® RX instrument.

Heat mediated antigen retrieval with Tris-EDTA buffer (pH 9.0, epitope retrieval solution 2) for 20 mins.

Immunohistochemistry (Formalin/PFA-fixed paraffin-embedded sections) - Anti-SIX1 antibody [1229] (AB252224)
  • IHC-P

Supplier Data

Immunohistochemistry (Formalin/PFA-fixed paraffin-embedded sections) - Anti-SIX1 antibody [1229] (AB252224)

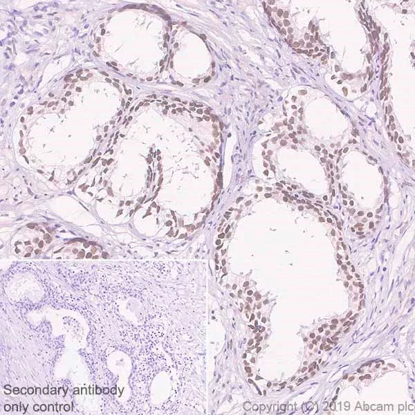
Formalin-fixed paraffin-embedded human prostatic hyperplasia tissue stained for SIX1 using ab252224 at 5.45μg/ml followed by a ready to use secondary antibody.

Nuclear staining on human prostatic hyperplasia.

The section was incubated with ab252224 for 30 mins at room temperature.

The immunostaining staining was performed on a Leica Biosystems BOND® RX instrument.

Heat mediated antigen retrieval with Tris-EDTA buffer (pH 9.0, epitope retrieval solution 2) for 20 mins.

Western blot - Anti-SIX1 antibody [1229] (AB252224)
  • WB

Supplier Data

Western blot - Anti-SIX1 antibody [1229] (AB252224)

Blocking/diluting buffer and concentration : 5% NFDM/TBST.

All lanes:

Western blot - Anti-SIX1 antibody [1229] (ab252224) at 0.545 µg/mL

Lane 1:

A-204 (human muscle rhabdomyosarcoma) whole cell lysate at 20 µg

Lane 2:

Caco-2 (human colorectal adenocarcinoma epithelial cell) whole cell lysate at 20 µg

Secondary

All lanes:

Peroxidase-Conjugated Goat anti-Mouse IgG (H+L) at 1/5000 dilution

Predicted band size: 32 kDa

true

Exposure time: 3min

Key facts

Host species

Mouse

Clonality

Monoclonal

Clone number

1229

Isotype

IgG1

Carrier free

No

Reacts with

Human

Applications

ICC/IF, WB, IHC-P

applications

Immunogen

The exact immunogen used to generate this antibody is proprietary information.

Reactivity data

{ "title": "Reactivity Data", "filters": { "stats": ["", "Species", "Dilution Info", "Notes"], "tabs": { "all-applications": {"fullname" : "All Applications", "shortname": "All Applications"}, "WB" : {"fullname" : "Western blot", "shortname":"WB"}, "ICCIF" : {"fullname" : "Immunocytochemistry/ Immunofluorescence", "shortname":"ICC/IF"}, "IHCP" : {"fullname" : "Immunohistochemistry (Formalin/PFA-fixed paraffin-embedded sections)", "shortname":"IHC-P"} }, "product-promise": { "all": "all", "testedAndGuaranteed": "tested", "guaranteed": "expected", "predicted": "predicted", "notRecommended": "not-recommended" } }, "values": { "Human": { "WB-species-checked": "testedAndGuaranteed", "WB-species-dilution-info": "0.545 µg/mL", "WB-species-notes": "<p></p>", "ICCIF-species-checked": "testedAndGuaranteed", "ICCIF-species-dilution-info": "10.9 µg/mL", "ICCIF-species-notes": "<p></p>", "IHCP-species-checked": "testedAndGuaranteed", "IHCP-species-dilution-info": "5.45 µg/mL", "IHCP-species-notes": "<p></p>" } } }

Product details

What are the advantages of a recombinant monoclonal antibody?
This product is a recombinant monoclonal antibody, which offers several advantages including:

  • - High batch-to-batch consistency and reproducibility
  • - Improved sensitivity and specificity
  • - Long-term security of supply
  • - Animal-free batch production

For more information, read more on recombinant antibodies.

Want a custom formulation?
This antibody clone is manufactured by Abcam. If you require a custom buffer formulation or conjugation for your experiments, please contact orders@abcam.com

Properties and storage information

Form
Liquid
Purification technique
Affinity purification Protein A
Storage buffer
pH: 7.2 - 7.4 Preservative: 0.01% Sodium azide Constituents: PBS, 40% Glycerol (glycerin, glycerine), 0.05% BSA
Shipped at conditions
Blue Ice
Appropriate short-term storage duration
1-2 weeks
Appropriate short-term storage conditions
+4°C
Appropriate long-term storage conditions
-20°C
Aliquoting information
Upon delivery aliquot
Storage information
Avoid freeze / thaw cycle

Supplementary information

This supplementary information is collated from multiple sources and compiled automatically.

SIX1 also known as Sine oculis homeobox homolog 1 is a transcription factor with a molecular mass of about 32 kDa. SIX1 plays an important role in regulating gene expression by binding to DNA sequences. This transcription factor shows expression in various tissues including skeletal muscle kidney and neural tissues. In developing tissues the expression is particularly significant indicating its role during embryonic development and differentiation.
Biological function summary

SIX1 influences cell proliferation survival and differentiation. As part of a transcriptional complex it interacts frequently with cofactors like EYA1 to execute its roles in developmental processes. These interactions allow SIX1 to impact gene targets that are important for tissue morphogenesis. The malfunctioning of these processes can lead to developmental disorders highlighting its role in the regulatory networks that govern organogenesis.

Pathways

Several essential biological processes involve SIX1 including the Wnt/β-catenin and TGF-β signaling pathways. In these pathways SIX1 sometimes regulates or interacts with proteins such as β-catenin enhancing transcriptional activation essential for cell fate determination. In the TGF-β pathway SIX1 influences epithelial-mesenchymal transition (EMT) an important event in embryogenesis and metastasis. These pathway involvements indicate its importance in maintaining cellular homeostasis and signaling balance.

SIX1 has a significant link to cancer and congenital anomalies. Overexpression or mutations of SIX1 are often implicated in different cancers such as breast cancer due to its role in facilitating EMT and increasing invasiveness. Moreover SIX1 mutations associate with Branchio-Oto-Renal (BOR) syndrome a developmental disorder that affects the kidneys ears and branchial arches. In these contexts SIX1 connects with other proteins like β-catenin in cancer pathways and EYA1 in BOR syndrome further illustrating its broad impact on health and disease.

Product protocols

For this product, it's our understanding that no specific protocols are required. You can visit:

Target data

Transcription factor that is involved in the regulation of cell proliferation, apoptosis and embryonic development (By similarity). Plays an important role in the development of several organs, including kidney, muscle and inner ear (By similarity). Depending on context, functions as a transcriptional repressor or activator (By similarity). Lacks an activation domain, and requires interaction with EYA family members for transcription activation (PubMed : 15141091). Mediates nuclear translocation of EYA1 and EYA2 (PubMed : 19497856). Binds the 5'-TCA[AG][AG]TTNC-3' motif present in the MEF3 element in the MYOG promoter and CIDEA enhancer (PubMed : 15141091, PubMed : 19497856, PubMed : 23435380, PubMed : 27923061). Regulates the expression of numerous genes, including MYC, CCND1 and EZR (By similarity). Acts as an activator of the IGFBP5 promoter, probably coactivated by EYA2 (By similarity). Repression of precursor cell proliferation in myoblasts is switched to activation through recruitment of EYA3 to the SIX1-DACH1 complex (By similarity). During myogenesis, seems to act together with EYA2 and DACH2 (By similarity). Regulates the expression of CCNA1 (PubMed : 15123840). Promotes brown adipocyte differentiation (By similarity).
See full target information Homeobox protein SIX1

Publications (7)

Recent publications for all applications. Explore the full list and refine your search

Renal failure 47:2553384 PubMed40948471

2025

A novel membrane-addressing domain mutation () in Chinese twins with FSGS: implications for podocyte injury and ion channel disruption.

Applications

Unspecified application

Species

Unspecified reactive species

Ting Peng,Dan Chang,Tingyu Chen,Sipei Chen,Li Wang,Guisen Li

Cancer biology & therapy 26:2545062 PubMed40789692

2025

SLX1 silencing overcomes Olaparib resistance in metastatic castration-resistant prostate cancer by disrupting SLX4-mediated DNA repair complexes.

Applications

Unspecified application

Species

Unspecified reactive species

Xin Zhao,Shiyun Feng,Xiaoping Nitie,Shibu Muluo,Yi Lei

Thyroid research 17:26 PubMed39648214

2024

SIX1 expression and its clinicopathological significance: difference between classic and follicular variant papillary thyroid carcinoma.

Applications

Unspecified application

Species

Unspecified reactive species

Elzahraa Ibrahim Khalil,Ahmed S Issa,Rehab M Kamal

Oncology letters 24:395 PubMed36276500

2022

Upregulation of the oestrogen target gene SIX1 is associated with higher growth speed and decreased survival in HCV-positive women with hepatocellular carcinoma.

Applications

Unspecified application

Species

Unspecified reactive species

Rosina Maria Critelli,Fabiola Milosa,Adriana Romanzi,Simone Lasagni,Gemma Marcelli,Lorenza Di Marco,Alessandra Pivetti,Filippo Schepis,Dante Romagnoli,Serena Mancarella,Francesco Dituri,Maria-Luz Martinez-Chantar,Gianluigi Giannelli,Erica Villa

Cellular & molecular biology letters 27:17 PubMed35193488

2022

Exosomal lncRNA TUG1 from cancer-associated fibroblasts promotes liver cancer cell migration, invasion, and glycolysis by regulating the miR-524-5p/SIX1 axis.

Applications

Unspecified application

Species

Unspecified reactive species

Le Lu,Jingjing Huang,Jiantao Mo,Xuanbo Da,Qiaoxin Li,Meng Fan,Hongwei Lu

Chinese medical journal 134:2340-2352 PubMed34561318

2021

Two naturally derived small molecules disrupt the sineoculis homeobox homolog 1-eyes absent homolog 1 (SIX1-EYA1) interaction to inhibit colorectal cancer cell growth.

Applications

Unspecified application

Species

Unspecified reactive species

Jing Wu,Bin Huang,Hong-Bo He,Wen-Zhu Lu,Wei-Guo Wang,Hong Liu

Genome biology 22:156 PubMed34001209

2021

A systematic dissection of the epigenomic heterogeneity of lung adenocarcinoma reveals two different subclasses with distinct prognosis and core regulatory networks.

Applications

Unspecified application

Species

Unspecified reactive species

Chongze Yuan,Haojie Chen,Shiqi Tu,Hsin-Yi Huang,Yunjian Pan,Xiuqi Gui,Muyu Kuang,Xuxia Shen,Qiang Zheng,Yang Zhang,Chao Cheng,Hui Hong,Xiaoting Tao,Yizhou Peng,Xingxin Yao,Feilong Meng,Hongbin Ji,Zhen Shao,Yihua Sun
View all publications

Product promise

We are committed to supporting your work with high-quality reagents, and we're here for you every step of the way. In the unlikely event that one of our products does not perform as expected, you're protected by our Product Promise.
For full details, please see our Terms & Conditions

Please note: All products are 'FOR RESEARCH USE ONLY. NOT FOR USE IN DIAGNOSTIC OR THERAPEUTIC PROCEDURES'.

For licensing inquiries, please contact partnerships@abcam.com