JavaScript is disabled in your browser. Please enable JavaScript to view this website.
AB255759

Anti-SIX1 antibody [1229] - BSA and Azide free

Be the first to review this product! Submit a review

|

(0 Publication)

Mouse Recombinant Monoclonal SIX1 antibody. Carrier free. Suitable for WB, ICC/IF, IHC-P and reacts with Human samples.

View Alternative Names

Homeobox protein SIX1, Sine oculis homeobox homolog 1, SIX1

5 Images
Immunocytochemistry/ Immunofluorescence - Anti-SIX1 antibody [1229] - BSA and Azide free (AB255759)
  • ICC/IF

Supplier Data

Immunocytochemistry/ Immunofluorescence - Anti-SIX1 antibody [1229] - BSA and Azide free (AB255759)

4% Paraformaldehyde-fixed, 0.1% Triton X-100 permeabilized A-204 (human muscle rhabdomyosarcoma) cells stained for SIX1 (Green) using ab252224 at 10.9μg/ml, followed by ab150077 AlexaFluor®488 Goat anti-Rabbit secondary antibody at 1/1000 dilution. ab195889 anti-alpha Tubulin antibody [DM1A] - Microtubule Marker (Alexa Fluor® 594) was used as a counterstain at 1/200 dilution. Confocal image showing nuclear staining in A-204 cell line.
Negative control : Caco-2.

This data was developed using the same antibody clone in a different buffer formulation containing PBS, BSA, glycerol, and sodium azide (ab252224).

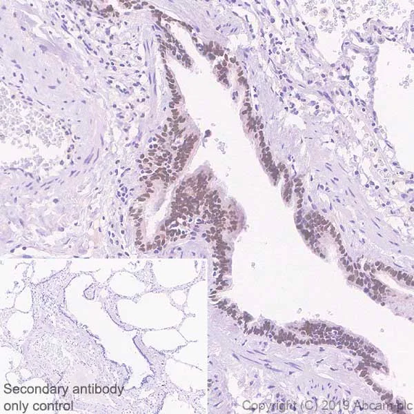
Immunohistochemistry (Formalin/PFA-fixed paraffin-embedded sections) - Anti-SIX1 antibody [1229] - BSA and Azide free (AB255759)
  • IHC-P

Supplier Data

Immunohistochemistry (Formalin/PFA-fixed paraffin-embedded sections) - Anti-SIX1 antibody [1229] - BSA and Azide free (AB255759)

Formalin-fixed paraffin-embedded human lung tissue stained for SIX1 using ab252224 at 5.45μg/ml followed by a ready to use secondary antibody.

Nuclear staining on human lung tissue.

The section was incubated with ab252224 for 30 mins at room temperature.

The immunostaining staining was performed on a Leica Biosystems BOND® RX instrument.

Heat mediated antigen retrieval with Tris-EDTA buffer (pH 9.0, epitope retrieval solution 2) for 20 mins.

This data was developed using the same antibody clone in a different buffer formulation containing PBS, BSA, glycerol, and sodium azide (ab252224).

Immunohistochemistry (Formalin/PFA-fixed paraffin-embedded sections) - Anti-SIX1 antibody [1229] - BSA and Azide free (AB255759)
  • IHC-P

Supplier Data

Immunohistochemistry (Formalin/PFA-fixed paraffin-embedded sections) - Anti-SIX1 antibody [1229] - BSA and Azide free (AB255759)

Formalin-fixed paraffin-embedded human skeletal muscle tissue stained for SIX1 using ab252224 at 5.45μg/ml followed by a ready to use secondary antibody.

Nuclear staining on human skeletal muscle tissue.

The section was incubated with ab252224 for 30 mins at room temperature.

The immunostaining staining was performed on a Leica Biosystems BOND® RX instrument.

Heat mediated antigen retrieval with Tris-EDTA buffer (pH 9.0, epitope retrieval solution 2) for 20 mins.

This data was developed using the same antibody clone in a different buffer formulation containing PBS, BSA, glycerol, and sodium azide (ab252224).

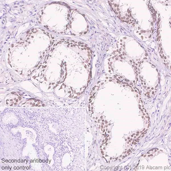
Immunohistochemistry (Formalin/PFA-fixed paraffin-embedded sections) - Anti-SIX1 antibody [1229] - BSA and Azide free (AB255759)
  • IHC-P

Supplier Data

Immunohistochemistry (Formalin/PFA-fixed paraffin-embedded sections) - Anti-SIX1 antibody [1229] - BSA and Azide free (AB255759)

Formalin-fixed paraffin-embedded human prostatic hyperplasia tissue stained for SIX1 using ab252224 at 5.45μg/ml followed by a ready to use secondary antibody.

Nuclear staining on human prostatic hyperplasia.

The section was incubated with ab252224 for 30 mins at room temperature.

The immunostaining staining was performed on a Leica Biosystems BOND® RX instrument.

Heat mediated antigen retrieval with Tris-EDTA buffer (pH 9.0, epitope retrieval solution 2) for 20 mins.

This data was developed using the same antibody clone in a different buffer formulation containing PBS, BSA, glycerol, and sodium azide (ab252224).

Western blot - Anti-SIX1 antibody [1229] - BSA and Azide free (AB255759)
  • WB

Supplier Data

Western blot - Anti-SIX1 antibody [1229] - BSA and Azide free (AB255759)

This data was developed using the same antibody clone in a different buffer formulation containing PBS, BSA, glycerol, and sodium azide (ab252224).

Blocking/Dilution buffer : 5% NFDM/TBST.

All lanes:

Western blot - Anti-SIX1 antibody [1229] (<a href='/en-us/products/primary-antibodies/six1-antibody-1229-ab252224'>ab252224</a>) at 0.545 µg/mL

Lane 1:

A-204 (human muscle rhabdomyosarcoma) whole cell lysate at 20 µg

Lane 2:

Caco-2 (human colorectal adenocarcinoma epithelial cell) whole cell lysate at 20 µg

Secondary

All lanes:

Peroxidase-Conjugated Goat anti-Mouse IgG (H+L) at 1/5000 dilution

Predicted band size: 32 kDa

true

Exposure time: 3min

Key facts

Host species

Mouse

Clonality

Monoclonal

Clone number

1229

Isotype

IgG1

Carrier free

Yes

Reacts with

Human

Applications

IHC-P, ICC/IF, WB

applications

Immunogen

The exact immunogen used to generate this antibody is proprietary information.

Reactivity data

{ "title": "Reactivity Data", "filters": { "stats": ["", "Species", "Dilution Info", "Notes"], "tabs": { "all-applications": {"fullname" : "All Applications", "shortname": "All Applications"}, "WB" : {"fullname" : "Western blot", "shortname":"WB"}, "ICCIF" : {"fullname" : "Immunocytochemistry/ Immunofluorescence", "shortname":"ICC/IF"}, "IHCP" : {"fullname" : "Immunohistochemistry (Formalin/PFA-fixed paraffin-embedded sections)", "shortname":"IHC-P"} }, "product-promise": { "all": "all", "testedAndGuaranteed": "tested", "guaranteed": "expected", "predicted": "predicted", "notRecommended": "not-recommended" } }, "values": { "Human": { "WB-species-checked": "testedAndGuaranteed", "WB-species-dilution-info": "0.545 µg/mL", "WB-species-notes": "<p></p>", "ICCIF-species-checked": "testedAndGuaranteed", "ICCIF-species-dilution-info": "10.9 µg/mL", "ICCIF-species-notes": "<p></p>", "IHCP-species-checked": "testedAndGuaranteed", "IHCP-species-dilution-info": "5.45 µg/mL", "IHCP-species-notes": "<p></p>" } } }

Product details

ab255759 is the carrier-free version of ab252224.

What are the advantages of a recombinant monoclonal antibody?
This product is a recombinant monoclonal antibody, which offers several advantages including:

  • - High batch-to-batch consistency and reproducibility
  • - Improved sensitivity and specificity
  • - Long-term security of supply
  • - Animal-free batch production

For more information, read more on recombinant antibodies.

Want a custom formulation?
This antibody clone is manufactured by Abcam. If you require a custom buffer formulation or conjugation for your experiments, please contact orders@abcam.com

Conjugation ready
Our carrier-free antibodies are typically supplied in a PBS-only formulation, purified and free of BSA, sodium azide and glycerol. This conjugation-ready format is designed for use with fluorochromes, metal isotopes, oligonucleotides, and enzymes, which makes them ideal for antibody labelling, functional and cell-based assays, flow-based assays (e.g. mass cytometry) and Multiplex Imaging applications.

Use our conjugation kits for antibody conjugates that are ready-to-use in as little as 20 minutes with 1 minute hands-on-time and 100% antibody recovery: available for fluorescent dyes, HRP, biotin and gold.

Compatibility
This product is compatible with the Maxpar® Antibody Labeling Kit from Fluidigm, without the need for antibody preparation. Maxpar® is a trademark of Fluidigm Canada Inc.

Properties and storage information

Form
Liquid
Purification technique
Affinity purification Protein A
Storage buffer
pH: 7.2 - 7.4 Constituents: PBS
Shipped at conditions
Blue Ice
Appropriate short-term storage conditions
+4°C
Appropriate long-term storage conditions
+4°C
Storage information
Do Not Freeze

Supplementary information

This supplementary information is collated from multiple sources and compiled automatically.

SIX1 also known as Sine oculis homeobox homolog 1 is a transcription factor with a molecular mass of about 32 kDa. SIX1 plays an important role in regulating gene expression by binding to DNA sequences. This transcription factor shows expression in various tissues including skeletal muscle kidney and neural tissues. In developing tissues the expression is particularly significant indicating its role during embryonic development and differentiation.
Biological function summary

SIX1 influences cell proliferation survival and differentiation. As part of a transcriptional complex it interacts frequently with cofactors like EYA1 to execute its roles in developmental processes. These interactions allow SIX1 to impact gene targets that are important for tissue morphogenesis. The malfunctioning of these processes can lead to developmental disorders highlighting its role in the regulatory networks that govern organogenesis.

Pathways

Several essential biological processes involve SIX1 including the Wnt/β-catenin and TGF-β signaling pathways. In these pathways SIX1 sometimes regulates or interacts with proteins such as β-catenin enhancing transcriptional activation essential for cell fate determination. In the TGF-β pathway SIX1 influences epithelial-mesenchymal transition (EMT) an important event in embryogenesis and metastasis. These pathway involvements indicate its importance in maintaining cellular homeostasis and signaling balance.

SIX1 has a significant link to cancer and congenital anomalies. Overexpression or mutations of SIX1 are often implicated in different cancers such as breast cancer due to its role in facilitating EMT and increasing invasiveness. Moreover SIX1 mutations associate with Branchio-Oto-Renal (BOR) syndrome a developmental disorder that affects the kidneys ears and branchial arches. In these contexts SIX1 connects with other proteins like β-catenin in cancer pathways and EYA1 in BOR syndrome further illustrating its broad impact on health and disease.

Product protocols

For this product, it's our understanding that no specific protocols are required. You can visit:

Target data

Transcription factor that is involved in the regulation of cell proliferation, apoptosis and embryonic development (By similarity). Plays an important role in the development of several organs, including kidney, muscle and inner ear (By similarity). Depending on context, functions as a transcriptional repressor or activator (By similarity). Lacks an activation domain, and requires interaction with EYA family members for transcription activation (PubMed : 15141091). Mediates nuclear translocation of EYA1 and EYA2 (PubMed : 19497856). Binds the 5'-TCA[AG][AG]TTNC-3' motif present in the MEF3 element in the MYOG promoter and CIDEA enhancer (PubMed : 15141091, PubMed : 19497856, PubMed : 23435380, PubMed : 27923061). Regulates the expression of numerous genes, including MYC, CCND1 and EZR (By similarity). Acts as an activator of the IGFBP5 promoter, probably coactivated by EYA2 (By similarity). Repression of precursor cell proliferation in myoblasts is switched to activation through recruitment of EYA3 to the SIX1-DACH1 complex (By similarity). During myogenesis, seems to act together with EYA2 and DACH2 (By similarity). Regulates the expression of CCNA1 (PubMed : 15123840). Promotes brown adipocyte differentiation (By similarity).
See full target information Homeobox protein SIX1

Product promise

We are committed to supporting your work with high-quality reagents, and we're here for you every step of the way. In the unlikely event that one of our products does not perform as expected, you're protected by our Product Promise.
For full details, please see our Terms & Conditions

Please note: All products are 'FOR RESEARCH USE ONLY. NOT FOR USE IN DIAGNOSTIC OR THERAPEUTIC PROCEDURES'.

For licensing inquiries, please contact partnerships@abcam.com