JavaScript is disabled in your browser. Please enable JavaScript to view this website.
AB238716

Anti-SKA1 antibody

Be the first to review this product! Submit a review

|

(1 Publication)

Rabbit Polyclonal SKA1 antibody. Suitable for IHC-P and reacts with Human samples. Cited in 1 publication. Immunogen corresponding to Recombinant Fragment Protein within Human SKA1 aa 50-150.

View Alternative Names

C18orf24, SKA1, SKA complex subunit 1, Spindle and kinetochore-associated protein 1

1 Images
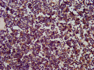
Immunohistochemistry (Formalin/PFA-fixed paraffin-embedded sections) - Anti-SKA1 antibody (AB238716)
  • IHC-P

Supplier Data

Immunohistochemistry (Formalin/PFA-fixed paraffin-embedded sections) - Anti-SKA1 antibody (AB238716)

Paraffin-embedded human lymph node tissue stained for SKA1 using ab238716 at 1/200 dilution in immunohistochemical analysis.

After dewaxing and hydration, antigen retrieval was mediated by high pressure in a citrate buffer (pH 6.0). Section was blocked with 10% normal goat serum 30 minutes at RT. Then primary antibody (1% BSA) was incubated at 4°C overnight. The primary is detected by a biotinylated secondary antibody and visualized using an HRP conjugated SP system.

Key facts

Host species

Rabbit

Clonality

Polyclonal

Isotype

IgG

Carrier free

No

Reacts with

Human

Applications

IHC-P

applications

Immunogen

Recombinant Fragment Protein within Human SKA1 aa 50-150. The exact immunogen used to generate this antibody is proprietary information.

Q96BD8

Reactivity data

{ "title": "Reactivity Data", "filters": { "stats": ["", "Species", "Dilution Info", "Notes"], "tabs": { "all-applications": {"fullname" : "All Applications", "shortname": "All Applications"}, "IHCP" : {"fullname" : "Immunohistochemistry (Formalin/PFA-fixed paraffin-embedded sections)", "shortname":"IHC-P"} }, "product-promise": { "all": "all", "testedAndGuaranteed": "tested", "guaranteed": "expected", "predicted": "predicted", "notRecommended": "not-recommended" } }, "values": { "Human": { "IHCP-species-checked": "testedAndGuaranteed", "IHCP-species-dilution-info": "1/200 - 1/500", "IHCP-species-notes": "<p></p> Perform heat-mediated antigen retrieval with citrate buffer pH 6 before commencing with IHC staining protocol." } } }

Properties and storage information

Form
Liquid
Purification technique
Affinity purification Protein G
Purification notes
Purity greater than 95%.
Storage buffer
pH: 7.4 Preservative: 0.03% Proclin 300 Constituents: PBS, 50% Glycerol (glycerin, glycerine)
Shipped at conditions
Blue Ice
Appropriate short-term storage duration
1-2 weeks
Appropriate short-term storage conditions
+4°C
Appropriate long-term storage conditions
-20°C
Aliquoting information
Upon delivery aliquot
Storage information
Avoid freeze / thaw cycle

Supplementary information

This supplementary information is collated from multiple sources and compiled automatically.

Spindle and kinetochore associated protein 1 (SKA1) is part of a complex known for its essential role in the mitotic spindle checkpoint. SKA1 sometimes referred to by its alternate name Protein CASC5 has a molecular weight of approximately 9.5 kDa. SKA1 mainly expresses in tissues where cell division is active which include bone marrow and various cancerous tissues. Its function connects it to the assemblies of microtubules and kinetochores ensuring accurate chromosome segregation during mitosis.
Biological function summary

SKA1 interacts with other proteins to maintain the stability of the spindle microtubules attached to kinetochores. It forms the SKA complex with SKA2 and SKA3 which helps anchor microtubule fibers to kinetochores. This interaction is critical for tracking kinetochores along the microtubules during mitosis promoting proper chromosome alignment and segregation. The SKA complex ensures that daughter cells receive the correct number of chromosomes after cell division facilitating genomic integrity.

Pathways

SKA1 participates in the mechanisms governing mitosis and is involved in the progression through the cell cycle. It operates closely with the spindle assembly checkpoint pathway relying on interactions with NDC80 and SPC24 within the kinetochore complex. These interactions are necessary for monitoring chromosome alignment and preventing premature entry into anaphase. SKA1 supports the processes that control cell division fidelity making it vital to understanding normal cell cycle and division.

SKA1 associates strongly with various cancers such as breast and colorectal cancers. Abnormal expression or malfunction of SKA1 can lead to incorrect chromosome segregation contributing to aneuploidy a condition frequently seen in cancer cells. SKA1 interactions with proteins like MAD2 a mitotic checkpoint protein are implicated in tumorigenesis due to their roles in cell cycle control. Investigating SKA1 offers insights into potential therapeutic interventions especially targeting cell division in cancer treatment.

Product protocols

For this product, it's our understanding that no specific protocols are required. You can visit:

Target data

Component of the SKA complex, a microtubule plus end-binding complex of the outer kinetochore that stabilizes spindle microtubule-kinetochore attachments, promotes alignment of chromosomes at the mitotic spindle equator (chromosome congression) and assists suppression of the spindle assembly checkpoint (PubMed : 17093495, PubMed : 19289083, PubMed : 22371557, PubMed : 22483620, PubMed : 23085020, PubMed : 26981768, PubMed : 27697923, PubMed : 29487209, PubMed : 31804178). Kinetochores, consisting of a centromere-associated inner segment and a microtubule-contacting outer segment, play a crucial role in chromosome segregation by mediating the physical connection between centromeric DNA and spindle microtubules (PubMed : 19289083, PubMed : 22483620, PubMed : 23085020, PubMed : 28479321, PubMed : 29487209). The outer kinetochore is made up of the ten-subunit KMN network complex, comprising the MIS12, NDC80 and KNL1 complexes, and auxiliary microtubule-associated components such as the SKA complex; together they connect the outer kinetochore with the inner kinetochore, bind microtubules, and mediate interactions with mitotic checkpoint proteins that delay anaphase until chromosomes are bioriented on the spindle (PubMed : 17093495, PubMed : 19289083, PubMed : 23085020, PubMed : 28479321, PubMed : 29487209). The SKA complex is loaded onto bioriented kinetochores and it facilitates chromosome congression by stabilizing microtubules together with MAPRE1, and end-on attachment of the NDC80 complex to depolymerizing spindle microtubules, thereby assisting the poleward-moving kinetochore in withstanding microtubule pulling forces (PubMed : 19289083, PubMed : 22371557, PubMed : 22454517, PubMed : 23085020, PubMed : 24413531, PubMed : 27697923, PubMed : 28479321, PubMed : 28495837, PubMed : 29487209). The complex associates with dynamic microtubule plus-ends and can track both depolymerizing and elongating microtubules (PubMed : 23085020, PubMed : 29153323). The complex recruits protein phosphatase 1 (PP1) to the kinetochore in prometaphase and metaphase, to oppose spindle assembly checkpoint signaling and promote the onset of anaphase (PubMed : 26981768). In the complex, it mediates interactions with microtubules (PubMed : 19289083, PubMed : 22483620, PubMed : 23085020, PubMed : 24413531, PubMed : 27667719, PubMed : 29153323, PubMed : 36592928). It also stimulates AURKB/Aurora B catalytic activity (PubMed : 27697923). During meiosis the SKA complex stabilizes the meiotic spindle and is required for its migration to the cortex (By similarity).
See full target information SKA1

Publications (1)

Recent publications for all applications. Explore the full list and refine your search

Aging 14:9679-9698 PubMed36462498

2022

SKA1 promotes tumor metastasis via SAFB-mediated transcription repression of DUSP6 in clear cell renal cell carcinoma.

Applications

Unspecified application

Species

Unspecified reactive species

Yan Pu,Jing Han,Mengmeng Zhang,Mengxue Liu,Gulnazar Abdusamat,Huibin Liu
View all publications

Product promise

We are committed to supporting your work with high-quality reagents, and we're here for you every step of the way. In the unlikely event that one of our products does not perform as expected, you're protected by our Product Promise.
For full details, please see our Terms & Conditions

Please note: All products are 'FOR RESEARCH USE ONLY. NOT FOR USE IN DIAGNOSTIC OR THERAPEUTIC PROCEDURES'.

For licensing inquiries, please contact partnerships@abcam.com