JavaScript is disabled in your browser. Please enable JavaScript to view this website.
AB240263

Anti-SKP2 antibody [EPR3305(2)] - BSA and Azide free

Be the first to review this product! Submit a review

|

(1 Publication)

Rabbit Recombinant Monoclonal SKP2 antibody. Carrier free. Suitable for WB, ICC/IF, Flow Cyt (Intra), IHC-P and reacts with Human, Mouse, Rat samples. Cited in 1 publication.

View Alternative Names

FBXL1, SKP2, S-phase kinase-associated protein 2, Cyclin-A/CDK2-associated protein p45, F-box protein Skp2, F-box/LRR-repeat protein 1, p45skp2

4 Images
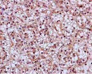
Immunohistochemistry (Formalin/PFA-fixed paraffin-embedded sections) - Anti-SKP2 antibody [EPR3305(2)] - BSA and Azide free (AB240263)
  • IHC-P

Supplier Data

Immunohistochemistry (Formalin/PFA-fixed paraffin-embedded sections) - Anti-SKP2 antibody [EPR3305(2)] - BSA and Azide free (AB240263)

immunohistochemical analysis of paraffin embedded Human kidney clear cell carcinoma tissue labeling SKP2 with ab183039 at 1/50 followed by secondary staining with Ready to use HRP Polymer for Rabbit IgG and counterstained with Hematoxylin.

This data was developed using the same antibody clone in a different buffer formulation containing PBS, BSA, glycerol, and sodium azide (ab183039).

Perform heat mediated antigen retrieval with EDTA buffer pH 9 before commencing with IHC staining protocol.

Flow Cytometry (Intracellular) - Anti-SKP2 antibody [EPR3305(2)] - BSA and Azide free (AB240263)
  • Flow Cyt (Intra)

Supplier Data

Flow Cytometry (Intracellular) - Anti-SKP2 antibody [EPR3305(2)] - BSA and Azide free (AB240263)

Intracellular flow cytometric analysis of 2% paraformaldehyde fixed HeLa cells labeling SKP2 with ab183039 at 1/70 followed by Goat anti rabbit IgG (FITC) at 1/150. Rabbit monoclonal IgG was used as Isotype control.

This data was developed using the same antibody clone in a different buffer formulation containing PBS, BSA, glycerol, and sodium azide (ab183039).

Immunocytochemistry/ Immunofluorescence - Anti-SKP2 antibody [EPR3305(2)] - BSA and Azide free (AB240263)
  • ICC/IF

Supplier Data

Immunocytochemistry/ Immunofluorescence - Anti-SKP2 antibody [EPR3305(2)] - BSA and Azide free (AB240263)

Immunofluorescenct analysis of 4% paraformaldehyde fixed 293T cells labeling SKP2 with ab183039 at 1/100 followed by Goat anti rabbit IgG(Alexa Fluor® 488) at 1/200 (green). Cells were counter stained with Dapi (blue).

This data was developed using the same antibody clone in a different buffer formulation containing PBS, BSA, glycerol, and sodium azide (ab183039).

Western blot - Anti-SKP2 antibody [EPR3305(2)] - BSA and Azide free (AB240263)
  • WB

Lab

Western blot - Anti-SKP2 antibody [EPR3305(2)] - BSA and Azide free (AB240263)

This data was developed using the same antibody clone in a different buffer formulation containing PBS, BSA, glycerol, and sodium azide (ab183039).

Lanes 1 - 4 : Merged signal (red and green). Green - ab183039 observed at 52 kDa. Red - loading control, ab8245, observed at 37 kDa.

ab183039 was shown to recognize in wild-type HAP1 cells as signal was lost at the expected MW in SKP2 knockout cells. Additional cross-reactive bands were observed in the wild-type and knockout cells. Wild-type and SKP2 knockout samples were subjected to SDS-PAGE. The membrane was blocked with 3% NF Milk. ab183039 and ab8245 (Mouse anti-GAPDH loading control) were incubated overnight at 4°C at 1/200 dilution and 1/20000 dilution respectively. Blots were developed with Goat anti-Rabbit IgG H&L (IRDye® 800CW) preabsorbed ab216773 and Goat anti-Mouse IgG H&L (IRDye® 680RD) preabsorbed ab216776 secondary antibodies at 1/20000 dilution for 1 hour at room temperature before imaging.

All lanes:

Western blot - Anti-SKP2 antibody [EPR3305(2)] (<a href='/en-us/products/primary-antibodies/skp2-antibody-epr33052-ab183039'>ab183039</a>) at 1/200 dilution

Lane 1:

Wild-type HAP1 whole cell lysate at 20 µg

Lane 2:

SKP2 knockout HAP1 whole cell lysate at 20 µg

Lane 3:

HeLa whole cell lysate at 20 µg

Lane 4:

MCF7 whole cell lysate at 20 µg

Predicted band size: 45 kDa,47 kDa,55 kDa

Observed band size: 45 kDa,55 kDa

false

Key facts

Host species

Rabbit

Clonality

Monoclonal

Clone number

EPR3305(2)

Isotype

IgG

Carrier free

Yes

Reacts with

Mouse, Rat, Human

Applications

ICC/IF, WB, Flow Cyt (Intra), IHC-P

applications

Immunogen

The exact immunogen used to generate this antibody is proprietary information.

Reactivity data

{ "title": "Reactivity Data", "filters": { "stats": ["", "Species", "Dilution Info", "Notes"], "tabs": { "all-applications": {"fullname" : "All Applications", "shortname": "All Applications"}, "WB" : {"fullname" : "Western blot", "shortname":"WB"}, "ICCIF" : {"fullname" : "Immunocytochemistry/ Immunofluorescence", "shortname":"ICC/IF"}, "FlowCytIntra" : {"fullname" : "Flow Cytometry (Intracellular)", "shortname":"Flow Cyt (Intra)"}, "IHCP" : {"fullname" : "Immunohistochemistry (Formalin/PFA-fixed paraffin-embedded sections)", "shortname":"IHC-P"} }, "product-promise": { "all": "all", "testedAndGuaranteed": "tested", "guaranteed": "expected", "predicted": "predicted", "notRecommended": "not-recommended" } }, "values": { "Human": { "WB-species-checked": "testedAndGuaranteed", "WB-species-dilution-info": "", "WB-species-notes": "<p></p>", "ICCIF-species-checked": "testedAndGuaranteed", "ICCIF-species-dilution-info": "", "ICCIF-species-notes": "<p></p>", "FlowCytIntra-species-checked": "testedAndGuaranteed", "FlowCytIntra-species-dilution-info": "", "FlowCytIntra-species-notes": "<p><a href='/en-us/products/primary-antibodies/rabbit-igg-monoclonal-epr25a-isotype-control-low-endotoxin-azide-free-ab199376'>ab199376</a> - Rabbit monoclonal IgG, is suitable for use as an isotype control with this antibody.</p>", "IHCP-species-checked": "testedAndGuaranteed", "IHCP-species-dilution-info": "", "IHCP-species-notes": "<p></p>" }, "Mouse": { "WB-species-checked": "testedAndGuaranteed", "WB-species-dilution-info": "", "WB-species-notes": "<p></p>", "ICCIF-species-checked": "guaranteed", "ICCIF-species-dilution-info": "", "ICCIF-species-notes": "", "FlowCytIntra-species-checked": "guaranteed", "FlowCytIntra-species-dilution-info": "", "FlowCytIntra-species-notes": "", "IHCP-species-checked": "guaranteed", "IHCP-species-dilution-info": "", "IHCP-species-notes": "" }, "Rat": { "WB-species-checked": "testedAndGuaranteed", "WB-species-dilution-info": "", "WB-species-notes": "<p></p>", "ICCIF-species-checked": "guaranteed", "ICCIF-species-dilution-info": "", "ICCIF-species-notes": "", "FlowCytIntra-species-checked": "guaranteed", "FlowCytIntra-species-dilution-info": "", "FlowCytIntra-species-notes": "", "IHCP-species-checked": "guaranteed", "IHCP-species-dilution-info": "", "IHCP-species-notes": "" } } }

Product details

ab240263 is the carrier-free version of ab183039.

Patented technology
Our RabMAb® technology is a patented hybridoma-based technology for making rabbit monoclonal antibodies. For details on our patents, please refer to RabMAb® patents.

What are the advantages of a recombinant monoclonal antibody?
This product is a recombinant monoclonal antibody, which offers several advantages including:

  • - High batch-to-batch consistency and reproducibility
  • - Improved sensitivity and specificity
  • - Long-term security of supply
  • - Animal-free batch production

For more information, read more on recombinant antibodies.

Conjugation ready
Our carrier-free antibodies are typically supplied in a PBS-only formulation, purified and free of BSA, sodium azide and glycerol. This conjugation-ready format is designed for use with fluorochromes, metal isotopes, oligonucleotides, and enzymes, which makes them ideal for antibody labelling, functional and cell-based assays, flow-based assays (e.g. mass cytometry) and Multiplex Imaging applications.

Use our conjugation kits for antibody conjugates that are ready-to-use in as little as 20 minutes with 1 minute hands-on-time and 100% antibody recovery: available for fluorescent dyes, HRP, biotin and gold.

Compatibility
This product is compatible with the Maxpar® Antibody Labeling Kit from Fluidigm, without the need for antibody preparation. Maxpar® is a trademark of Fluidigm Canada Inc.

Properties and storage information

Form
Liquid
Purification technique
Affinity purification Protein A
Storage buffer
pH: 7.2 - 7.4 Constituents: PBS
Shipped at conditions
Blue Ice
Appropriate short-term storage conditions
+4°C
Appropriate long-term storage conditions
+4°C
Storage information
Do Not Freeze

Supplementary information

This supplementary information is collated from multiple sources and compiled automatically.

S-phase kinase-associated protein 2 (SKP2) also known as FBL1 or p45 is an E3 ubiquitin ligase that tags proteins for degradation. It weighs around 48 kDa. SKP2 facilitates the transition from the G1 to S phase of the cell cycle by targeting cyclin-dependent kinase inhibitors for proteasomal destruction. Expressed in various tissues including key roles in proliferating cells SKP2 ensures the regulation of cell cycle progression and stability.
Biological function summary

SKP2 is part of the SCF (SKP1-CUL1-F-box) complex which is instrumental in controlling cell cycle and cell division. It regulates the degradation of p27^Kip1 and other cell cycle regulators. By modulating proteolysis SKP2 contributes to the maintenance of cell proliferation and it has essential roles in cellular responses to growth signals. Moreover SKP2 influences processes such as DNA replication through its effect on substrate interaction and ubiquitination.

Pathways

SKP2 functions inside the ubiquitin-proteasome system and impacts the PI3K/AKT signaling pathway. SKP2 advances cell cycle progression by associating with proteins like p27^Kip1 and CDK2 facilitating cell division. It modulates the phosphorylation state of numerous targets influencing signaling processes that control cell growth. This involvement aligns SKP2 with key cellular pathways that maintain cell survival and metabolic balance.

SKP2 plays an important role in cancer and cardiovascular diseases. In various cancers the aberrant expression of SKP2 connects to excessive cell proliferation and tumor growth partially through interactions with oncoproteins like Myc. In cardiovascular conditions SKP2 influences cardiac hypertrophy and might link to proteins such as cyclin-dependent kinase inhibitors. The regulation by SKP2 affects these proteins' stability impacting disease progression and potential therapeutic interventions.

Product protocols

For this product, it's our understanding that no specific protocols are required. You can visit:

Target data

Substrate recognition component of a SCF (SKP1-CUL1-F-box protein) E3 ubiquitin-protein ligase complex which mediates the ubiquitination and subsequent proteasomal degradation of target proteins involved in cell cycle progression, signal transduction and transcription (PubMed : 9736735, PubMed : 11931757, PubMed : 12435635, PubMed : 12769844, PubMed : 12840033, PubMed : 15342634, PubMed : 15668399, PubMed : 15949444, PubMed : 16103164, PubMed : 16262255, PubMed : 16581786, PubMed : 16951159, PubMed : 17908926, PubMed : 17962192, PubMed : 22464731, PubMed : 22770219, PubMed : 32267835). Specifically recognizes phosphorylated CDKN1B/p27kip and is involved in regulation of G1/S transition (By similarity). Degradation of CDKN1B/p27kip also requires CKS1 (By similarity). Recognizes target proteins ORC1, CDT1, RBL2, KMT2A/MLL1, CDK9, RAG2, NBN, FOXO1, UBP43, YTHDF2, and probably MYC, TOB1 and TAL1 (PubMed : 11931757, PubMed : 12435635, PubMed : 12769844, PubMed : 12840033, PubMed : 15342634, PubMed : 15668399, PubMed : 15949444, PubMed : 16103164, PubMed : 16581786, PubMed : 16951159, PubMed : 17908926, PubMed : 17962192, PubMed : 22464731, PubMed : 32267835). Degradation of TAL1 also requires STUB1 (PubMed : 17962192). Recognizes CDKN1A in association with CCNE1 or CCNE2 and CDK2 (PubMed : 9736735, PubMed : 16262255). Promotes ubiquitination and destruction of CDH1 in a CK1-dependent manner, thereby regulating cell migration (PubMed : 22770219). Following phosphorylation in response to DNA damage, mediates 'Lys-63'-linked ubiquitination of NBN, promoting ATM recruitment to DNA damage sites and DNA repair via homologous recombination (PubMed : 22464731).. Through the ubiquitin-mediated proteasomal degradation of hepatitis C virus non-structural protein 5A, has an antiviral activity towards that virus.
See full target information SKP2

Publications (1)

Recent publications for all applications. Explore the full list and refine your search

Cell 187:3120-3140.e29 PubMed38714197

2024

Mapping the cellular biogeography of human bone marrow niches using single-cell transcriptomics and proteomic imaging.

Applications

Unspecified application

Species

Unspecified reactive species

Shovik Bandyopadhyay,Michael P Duffy,Kyung Jin Ahn,Jonathan H Sussman,Minxing Pang,David Smith,Gwendolyn Duncan,Iris Zhang,Jeffrey Huang,Yulieh Lin,Barbara Xiong,Tamjid Imtiaz,Chia-Hui Chen,Anusha Thadi,Changya Chen,Jason Xu,Melissa Reichart,Zachary Martinez,Caroline Diorio,Chider Chen,Vinodh Pillai,Oraine Snaith,Derek Oldridge,Siddharth Bhattacharyya,Ivan Maillard,Martin Carroll,Charles Nelson,Ling Qin,Kai Tan
View all publications

Product promise

We are committed to supporting your work with high-quality reagents, and we're here for you every step of the way. In the unlikely event that one of our products does not perform as expected, you're protected by our Product Promise.
For full details, please see our Terms & Conditions

Please note: All products are 'FOR RESEARCH USE ONLY. NOT FOR USE IN DIAGNOSTIC OR THERAPEUTIC PROCEDURES'.

For licensing inquiries, please contact partnerships@abcam.com