JavaScript is disabled in your browser. Please enable JavaScript to view this website.
AB202840

Anti-SLAMF7/CS1 antibody

Be the first to review this product! Submit a review

|

(4 Publications)

Rabbit Polyclonal SLAMF7/CS1 antibody. Suitable for IHC-P and reacts with Mouse, Human samples. Cited in 4 publications. Immunogen corresponding to Synthetic Peptide within Human SLAMF7 aa 50-150 conjugated to Keyhole Limpet Haemocyanin.

View Alternative Names

CD319, CS1, UNQ576/PRO1138, SLAMF7, SLAM family member 7, CD2 subset 1, CD2-like receptor-activating cytotoxic cells, Membrane protein FOAP-12, Novel Ly9, Protein 19A, CRACC

2 Images
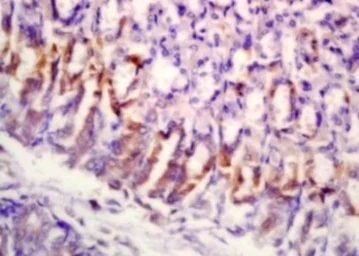
Immunohistochemistry (Formalin/PFA-fixed paraffin-embedded sections) - Anti-SLAMF7/CS1 antibody (AB202840)
  • IHC-P

Supplier Data

Immunohistochemistry (Formalin/PFA-fixed paraffin-embedded sections) - Anti-SLAMF7/CS1 antibody (AB202840)

Immunohistochemical analysis of Formalin fixed paraffin-embedded Mouse intestine tissue labeling SLAMF7/CS1 with ab202840 at 1/200 dilution.

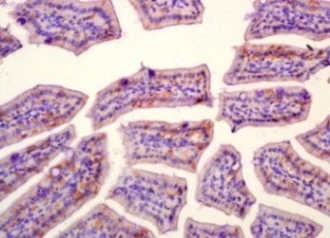
Immunohistochemistry (Formalin/PFA-fixed paraffin-embedded sections) - Anti-SLAMF7/CS1 antibody (AB202840)
  • IHC-P

Supplier Data

Immunohistochemistry (Formalin/PFA-fixed paraffin-embedded sections) - Anti-SLAMF7/CS1 antibody (AB202840)

Immunohistochemical analysis of Formalin fixed paraffin-embedded Mouse stomach tissue labeling SLAMF7/CS1 with ab202840 at 1/200 dilution.

Key facts

Host species

Rabbit

Clonality

Polyclonal

Isotype

IgG

Carrier free

No

Reacts with

Mouse, Human

Applications

IHC-P

applications

Immunogen

Synthetic Peptide within Human SLAMF7 aa 50-150 conjugated to Keyhole Limpet Haemocyanin. The exact immunogen used to generate this antibody is proprietary information.

Q9NQ25

Reactivity data

{ "title": "Reactivity Data", "filters": { "stats": ["", "Species", "Dilution Info", "Notes"], "tabs": { "all-applications": {"fullname" : "All Applications", "shortname": "All Applications"}, "IHCP" : {"fullname" : "Immunohistochemistry (Formalin/PFA-fixed paraffin-embedded sections)", "shortname":"IHC-P"} }, "product-promise": { "all": "all", "testedAndGuaranteed": "tested", "guaranteed": "expected", "predicted": "predicted", "notRecommended": "not-recommended" } }, "values": { "Human": { "IHCP-species-checked": "guaranteed", "IHCP-species-dilution-info": "1/100 - 1/500", "IHCP-species-notes": "<p>Use at 1/50 - 1/200 with fluorescent detection methods.</p> Perform heat-mediated antigen retrieval with citrate buffer pH 6 before commencing with IHC staining protocol." }, "Mouse": { "IHCP-species-checked": "testedAndGuaranteed", "IHCP-species-dilution-info": "1/100 - 1/500", "IHCP-species-notes": "<p>Use at 1/50 - 1/200 with fluorescent detection methods.</p> Perform heat-mediated antigen retrieval with citrate buffer pH 6 before commencing with IHC staining protocol." } } }

Properties and storage information

Form
Liquid
Purification technique
Affinity purification Protein A
Storage buffer
pH: 7.4 Preservative: 0.02% Proclin 300 Constituents: 50% Glycerol (glycerin, glycerine), 48.98% TBS, 1X, 1% BSA
Shipped at conditions
Blue Ice
Appropriate short-term storage duration
1-2 weeks
Appropriate short-term storage conditions
+4°C
Appropriate long-term storage conditions
-20°C
Aliquoting information
Upon delivery aliquot
Storage information
Avoid freeze / thaw cycle

Supplementary information

This supplementary information is collated from multiple sources and compiled automatically.

SLAMF7 also known as CS1 is a glycoprotein with a mass of approximately 70 kDa. This protein localizes on the surface of immune cells mainly on natural killer (NK) cells certain subsets of T cells and mature dendritic cells. It does not express in resting B cells but can be induced upon activation. CS1 plays a role in immune modulation by facilitating cell-to-cell interactions and activating various signaling pathways that enable immune responses.
Biological function summary

SLAMF7/CS1 modulates immune functions by engaging in interactions with other cell surface receptors. It often operates in the context of hematopoietic cells integrating signals that influence cell proliferation differentiation and survival. It does not require an associated adaptor molecule like most of the SLAM family members as it signals through its ability to recruit EAT-2. The CS1 protein modulates pathways related to immune cell activation and control making it an important player in the regulation of immune responses.

Pathways

CS1 participates prominently in immune signaling pathways where it interacts with proteins such as SAP and EAT-2. It is particularly involved in the immunoregulatory interactions contributing to NK cell-mediated cytotoxicity and modulation of T-cell responses. These interactions illustrate CS1's role in the modulation of immune responses positioning it within the broader network of immune signaling pathways important for maintaining immune homeostasis and defense mechanisms.

SLAMF7/CS1 shows key relevance in multiple myeloma and systemic lupus erythematosus (SLE). In multiple myeloma CS1 presents an overexpression and serves as a therapeutic target; its relationship with CD38 another important marker illustrates the potential for targeted therapies. In SLE improper signaling involving CS1 can contribute to the dysregulation of immune responses. Overall the intricate interactions of CS1 with other proteins highlight its significance in disease pathology and therapeutic potential.

Product protocols

For this product, it's our understanding that no specific protocols are required. You can visit:

Target data

Self-ligand receptor of the signaling lymphocytic activation molecule (SLAM) family. SLAM receptors triggered by homo- or heterotypic cell-cell interactions are modulating the activation and differentiation of a wide variety of immune cells and thus are involved in the regulation and interconnection of both innate and adaptive immune response. Activities are controlled by presence or absence of small cytoplasmic adapter proteins, SH2D1A/SAP and/or SH2D1B/EAT-2. Isoform 1 mediates NK cell activation through a SH2D1A-independent extracellular signal-regulated ERK-mediated pathway (PubMed : 11698418). Positively regulates NK cell functions by a mechanism dependent on phosphorylated SH2D1B. Downstream signaling implicates PLCG1, PLCG2 and PI3K (PubMed : 16339536). In addition to heterotypic NK cells-target cells interactions also homotypic interactions between NK cells may contribute to activation. However, in the absence of SH2D1B, inhibits NK cell function. Acts also inhibitory in T-cells (By similarity). May play a role in lymphocyte adhesion (PubMed : 11802771). In LPS-activated monocytes negatively regulates production of pro-inflammatory cytokines (PubMed : 23695528).. Isoform 3 does not mediate any NK cell activation.
See full target information SLAMF7

Publications (4)

Recent publications for all applications. Explore the full list and refine your search

Nature nanotechnology 17:1332-1341 PubMed36357792

2022

Immunological conversion of solid tumours using a bispecific nanobioconjugate for cancer immunotherapy.

Applications

Unspecified application

Species

Unspecified reactive species

Yifei Lu,Kristin Huntoon,DaeYong Lee,Yifan Wang,JongHoon Ha,Yaqing Qie,Xuefeng Li,Benjamin R Schrank,Shiyan Dong,Thomas D Gallup,Minjeong Kang,Hai Zhao,Yi An,Zhaogang Yang,Jing Li,Betty Y S Kim,Wen Jiang

Oncology letters 24:433 PubMed36311690

2022

Strong prognostic value of SLAMF7 protein expression in patients with lymph node-positive breast cancer.

Applications

Unspecified application

Species

Unspecified reactive species

Mourad Assidi

Cancers 14: PubMed36230572

2022

The Histone Demethylase HR Suppresses Breast Cancer Development through Enhanced CELF2 Tumor Suppressor Activity.

Applications

Unspecified application

Species

Unspecified reactive species

Yao Shen,Jasvinder Singh,Bindeshwar Sah,Zhongming Chen,Wootae Ha,Christine Henzler,Tao Su,Lillian Xie,Yibin Deng,Gen Li,Hua Guo,Hanina Hibshoosh,Liang Liu

Scientific reports 7:42646 PubMed28211524

2017

Epigenetic and genetic dissections of UV-induced global gene dysregulation in skin cells through multi-omics analyses.

Applications

Unspecified application

Species

Unspecified reactive species

Yao Shen,Milda Stanislauskas,Gen Li,Deyou Zheng,Liang Liu
View all publications

Product promise

We are committed to supporting your work with high-quality reagents, and we're here for you every step of the way. In the unlikely event that one of our products does not perform as expected, you're protected by our Product Promise.
For full details, please see our Terms & Conditions

Please note: All products are 'FOR RESEARCH USE ONLY. NOT FOR USE IN DIAGNOSTIC OR THERAPEUTIC PROCEDURES'.

For licensing inquiries, please contact partnerships@abcam.com